Design and Development of Natural-Product-Derived Nanoassemblies and Their Interactions with Alpha Synuclein
Abstract
1. Introduction
2. Materials and Methods
2.1. Computational Methods
2.1.1. Conjugate Design
2.1.2. Binding Pocket Analysis (POCASA)
2.1.3. Molecular Docking
2.1.4. Protein Ligand Interaction Profiler (PLIP) Analysis
2.1.5. Molecular Dynamics Simulations
2.2. Laboratory Methods
2.2.1. Materials
2.2.2. Synthesis of Conjugates
- Boswellate-peptide conjugates: BA-GSGGL: 1H NMR (400 MHz, DMSO) δ 0.82 (6H, d); δ 0.88 (9H, s); δ 0.96 (6H, d); δ 1.0 (3H, s); δ 1.1 (1H, t); δ 1.20 (2H, t); δ 1.28 (2H, t); δ 1.30 (3H, s); δ 1.32 (1H, s); δ 1.42 (1H, m); δ 1.51 (2H, m); δ 1.58 (6H, t); δ 1.65 (2H, m); δ 1.75 (4H, m); δ 1.80 (1H, d); δ 2.25 (2H, t); δ 3.82 (1H, t); δ 4.10 (6H, s); δ 4.15 (2H, d); δ 4.25 (1H, s); δ 4.62 (1H, s); δ 4.71 (1H, t); δ 5.9 (1H, s); δ 5.25 (1H, t). δ 8.1 (2H, s); δ 8.8 (3H, s).
- BA-MPDAHL: 1H NMR (400 MHz, DMSO) δ 0.81 (6H, d); δ 0.85 (6H, s); δ 0.94 (6H, d); δ 1.0 (3H, s); δ 1.1 (1H, s); δ 1.20 (5H, m); δ 1.32 (3H, t); δ 1.45 (6H, m); δ 1.53 (6H, t); δ 1.60 (4H, m); δ 1.71 (4H, m); δ 1.85 (1H, d); δ 1.94 (4H, m); δ 2.1 (1H, s); δ 2.21 (2H, d); δ 2.30 (2H, t); δ 2.52 (2H, t); δ 3.0 (2H, d); δ 3.2 (2H, d); δ 3.47 (2H, t); δ 3.63 (1H, t); δ 4.32 (2H, m); δ 4.48 (1H, t); δ 4.60 (1H, q); δ 4.75 (2H, t); δ 4.88 (1H, t); δ 5. 2 (1H, s); δ 6.4 (1H, s); δ 7.5 (1H, s); δ 8.5 (5H, s); δ 8.9 (1H, s); δ 12.9 (1H, s).
- BA-YYIVS: 1H NMR (400 MHz, DMSO) δ 0.82 (3H, s); δ 0.87 (6H, d); δ 0.90 (6H, s); δ 0.94 (9H, m); δ 1.0 (3H, d); 1.1 (4H, m); δ 1.21 (2H, t); δ 1.28 (3H, d); δ 1.32 (3H, t); δ 1.44 (2H, m); δ 1.50 (2H, m); (δ 1.52 (6H, m); δ 1.61 (4H, m); δ 1.68 (2H, m); δ 1.75 (1H, s); δ 2.21 (2H, d); δ 2. 41 (1H, d); δ 2.9 (1H, m); δ 3.32 (4H, s); δ 3.6 (1H, t); δ 4.01 (1H, d); δ 4.10 (2H, d); δ 4.4 (2H, m); δ 5.05 (1H, s); δ 5.22 (1H, s); δ 5.3 (1H, t); δ 6.51 (1H, s); δ 6.92 (4H, d); δ 7.1 (4H, d); δ 8.51 (5H, s); δ 9.0 (1H, s).
- Glycyrrhetinate-peptide conjugates: GH-GSGGL: 1H NMR (400 MHz, DMSO) δ 0.85 (6H, d); δ 0.88 (6H, s); δ 0.92 (6H, d); δ 0.96 (1H, s) δ 1.10 (3H, s); δ 1.21 (3H, s); 1.25 (2H, t); 1.30 (3H, s); δ 1.35 (2H, t); δ 1.45 (1H, m); δ 1.58 (6H, t); δ 1.64 (2H, m); δ 1.72 (4H, d); δ 1.85 (1H, s); δ 1.95 (4H, t); δ 3.25 (1H, t); δ 3.92 (6H, s); δ 4.11 (2H, d); δ 4.44 (2H, t); δ 5.1 (1H, s); δ 5.65 (1H, s); δ 8.5 (2H, s); δ 9.2 (3H, s).
- GH-MPDAHL: 1H NMR (400 MHz, DMSO) δ 0.83 (6H, d); δ 0.88 (6H, s); δ 0.92 (6H, d); 0.96 (1H, t); δ 1.1 (3H, s); δ 1.22 (5H, m); δ 1.28 (3H, s); δ 1.35 (2H, t); δ 1.45 (3H, d); 1.50 (1H, m); δ 1.58 (6H, t); δ 1.65 (2H, m); δ 1.70 (2H, m); δ 1.77 (4H, d); δ 1.94 (3H, m); δ 2.0 (2H, m); δ 2.1 (1H, s); δ 2.38 (2H, t); δ 2.64 (2H, t); δ 3.1 (2H, d); δ 3.21 (2H, d); δ 3.55 (2H, t); δ 4. 35 (1H, t); δ 4.47 (1H, t); δ 4.55 (1H, t); δ 4.71 (1H, m); δ 4.90 (1H, t); δ 4.96 (1H, d); δ 7.5 (1H, s); δ 8.42 (5H, s); δ 8.82 (1H, s); δ 12.82 (1H, s).
- GH-YYIVS: 1H NMR (400 MHz, DMSO) δ 0.90 (6H, d); δ 0.95 (6H, s); δ 0.98 (1H, t); δ 1.01 (6H, d); δ 1.1 (3H, d); δ 1.18 (3H, s); δ 1.25 (4H, m); δ 1.29 (3H, s); δ 1.33 (2H, t); δ 1.52 (8H, m); δ 1.65 (2H, q); δ 1.70 (2H, m); δ 1.82 (2H, d); δ 1.95 (4H, m); δ 2.3 (1H, m); δ 2.92 (1H, m); δ 3.25 (1H, t); δ 3.40 (4H, d); δ 3.72 (2H, d); δ 3.92 (1H, t); δ 4.25 (2H, d); δ 4.88 (2H, t); δ 4.98 (1H, s); δ 5.1 (1H, s); δ 5.5 (1H, s); δ 6.83 (4H, d); δ 7.1 (4H, d); δ 8.5 (5H, s); δ 9.2 (2H, s).
2.2.3. Self-Assembly of Conjugates
2.2.4. Scanning Electron Microscopy (SEM)
2.2.5. Fourier Transform Infrared (FTIR) Spectroscopy
2.2.6. Circular Dichroism (CD) Spectroscopy
2.2.7. Cell Studies
Cell Viability
Imaging
Flow Cytometry Analysis
ELISA
3. Results and Discussion
3.1. Binding Affinity Studies
PLIP Analysis
3.2. Molecular Dynamics (MD) Simulations
3.3. Laboratory Studies
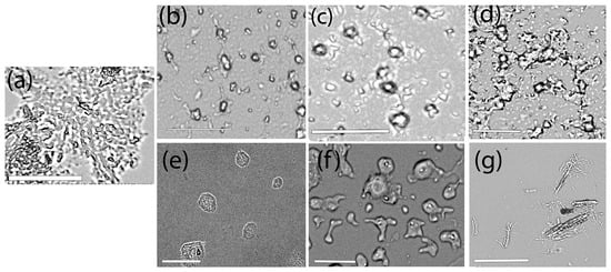
3.3.1. Formation of Nanoassemblies
3.3.2. Interactions of GH–Peptide and BA–Peptide Nanoassemblies with α-Synuclein
3.3.3. Cell Studies
Cell Viability
4. Conclusions
Supplementary Materials
Author Contributions
Funding
Institutional Review Board Statement
Data Availability Statement
Acknowledgments
Conflicts of Interest
Abbreviations
| BA | Boswellate |
| GH | Glycyrrhetinate |
| BA-Y/GH-Y | Boswellate/glycyrrhetinate conjugate with YYIVS |
| BA-G/GH-G | Boswellate/glycyrrhetinate conjugate with GSGGL |
| BA-M/GH-M | Boswellate/glycyrrhetinate conjugate with MPDAHL |
References
- Nagaich, U. Natural products-based nanomedicine. J. Adv. Pharm. Technol. Res. 2018, 9, 119. [Google Scholar] [CrossRef] [PubMed]
- Lv, Y.; Li, W.; Liao, W.; Jiang, H.; Liu, Y.; Cao, J.; Lu, W.; Feng, Y. Nano-Drug delivery systems based on natural products. Int. J. Nanomed. 2024, 19, 541–569. [Google Scholar] [CrossRef] [PubMed]
- Tang, N.; Ding, Z.; Zhang, S.; Luo, D.; Liu, X.; Bao, X.; Liu, C.; Liu, Z. Nanoassemblies derived from natural flavonoid compounds as new antioxidant oral preparations for targeted inflammatory bowel disease therapy. Adv. Funct. Mater. 2023, 33, 2305133. [Google Scholar] [CrossRef]
- Cheng, C.; Sui, B.; Wang, M.; Hu, X.; Shi, S.; Xu, P. Carrier-Free nanoassembly of Curcumin-Erlotinib conjugate for cancer targeted therapy. Adv. Healthc. Mater. 2020, 9, 2001128. [Google Scholar] [CrossRef] [PubMed]
- Serrano Vega, R.J.; Campos Xolalpa, N.; Castro Alonso, J.A.; González Pérez, C.; Pérez Ramos, J.; Pérez Gutiérrez, S. Terpenes from Natural Products with Potential Anti- Activity Inflammatory Activity. In Terpenes from Natural Products with Potential Anti-Inflammatory Activity; Perveen, S., Al-Taweel, A., Eds.; IntechOpen: London, UK, 2018; pp. 59–85. [Google Scholar] [CrossRef]
- Tsimogiannis, D.; Oreopoulou, V. Classification of Phenolic Compounds in Plants. In Polyphenols in Plants; Elsevier: Amsterdam, The Netherlands, 2019; pp. 263–284. [Google Scholar]
- Han, N.; Huang, X.; Tian, X.; Li, T.; Liu, X.; Li, W.; Huo, S.; Wu, Q.; Gu, Y.; Dai, Z.; et al. Self-assembled nanoparticles of natural phytochemicals (Berberine and 3,4,5-methoxycinnamic acid) originated from traditional Chinese medicine for inhibiting multidrug-resistant Staphylococcus aureus. Curr. Drug Deliv. 2021, 18, 914–921. [Google Scholar] [CrossRef]
- Chen, S.; Zou, L.; Li, L.; Wu, T. The protective effect of glycyrrhetinic acid on carbon tetrachloride-induced chronic liver fibrosis in mice via upregulation of Nrf2. PLoS ONE 2013, 8, e53662. [Google Scholar] [CrossRef]
- Ahmed, R.F.; Nasr, M.; Elbaset, M.; Hessin, A.F.; Ahmed-Farid, O.; Shaffie, N.M.; Shabana, M.E. Combating hematopoietic and hepatocellular abnormalities resulting from administration of cisplatin: Role of liver targeted glycyrrhetinic acid nanoliposomes loaded with amino acids. Pharm. Dev. Technol. 2022, 27, 925–941. [Google Scholar] [CrossRef] [PubMed]
- Charoenputtakun, P.; Pamornpathomkul, B.; Opanasopit, P.; Rojanaratam, T.; Ngawhirunpat, T. Terpene composited lipid nanoparticles for enhanced dermal delivery of all-trans-retinoic acids. Biol. Pharm. Bull. 2014, 37, 1139–1148. [Google Scholar] [CrossRef]
- Bag, B.G.; Barai, A.C.; Hasan, S.N.; Panja, S.K.; Ghorai, S.; Patra, S. Terpenoids, nano-entities and molecular self-assembly. Pure Appl. Chem. 2020, 92, 567–577. [Google Scholar] [CrossRef]
- Bag, B.G.; Dash, S.S. Hierarchical Self-Assembly of a Renewable Nanosized Pentacyclic Dihydroxy-triterpenoid Betulin Yielding Flower-Like Architectures. Langmuir 2015, 31, 13664–13672. [Google Scholar] [CrossRef]
- Bag, B.G.; Hasan, S.N.; Pongpamorn, P.; Thasana, N. First Hierarchical Self-Assembly of a Seco-Triterpenoid α-Onocerin Yielding Supramolecular Architectures. Chem. Sel. 2017, 2, 6650–6657. [Google Scholar] [CrossRef]
- Abrenica, B.; Gilchrist, J. Nucleoplasmic Ca2+ loading is regulated by mobilization of perinuclear Ca2+. Cell Calcium 2000, 28, 127–136. [Google Scholar] [CrossRef] [PubMed]
- Stanková, J.; Jurásek, M.; Hajduch, M.; Džubák, P. Terpenes and Terpenoids conjugated with BODIPYs: An overview of biological and chemical properties. J. Nat. Prod. 2024, 87, 1306–1319. [Google Scholar] [CrossRef] [PubMed]
- Chen, F.; Eckman, E.A.; Eckman, C.B. Reductions in levels of the Alzheimer’s amyloid beta peptide after oral administration of ginsenosides. FASEB J. 2006, 20, 1269–1271. [Google Scholar] [CrossRef] [PubMed]
- Yang, L.; Hao, J.; Zhang, J.; Xia, W.; Dong, X.; Hu, X.; Kong, F.; Cui, X. Ginsenoside Rg3 promotes beta-amyloid peptide degradation by enhancing gene expression of neprilysin. J. Pharm. Pharmacol. 2009, 61, 375–380. [Google Scholar] [CrossRef]
- Cho, S.O.; Ban, J.Y.; Kim, J.Y.; Jeong, H.Y.; Lee, I.S.; Song, K.S.; Bae, K.; Seong, Y.H. Aralia cordata protects against amyloid beta protein (25-35)-induced neurotoxicity in cultured neurons and has antidementia activities in mice. J. Pharmacol. Sci. 2009, 111, 22–32. [Google Scholar] [CrossRef] [PubMed]
- Lv, J.; Jia, H.; Jiang, Y.; Ruan, Y.; Liu, Z.; Yue, W.; Beyreuther, K.; Tu, P.; Zhang, D. Tenuifolin, an extract derived from tenuigenin, inhibits amyloid-beta secretion in vitro. Acta Physiol. 2009, 196, 419–425. [Google Scholar] [CrossRef]
- Zhang, Y.; Ning, Z.; Lu, C.; Zhao, S.; Wang, J.; Liu, B.; Xu, X.; Liu, Y. Triterpenoid resinous metabolites from the genus Boswellia: Pharmacological activities and potential species-identifying properties. Chem. Cent. J. 2013, 7, 153. [Google Scholar] [CrossRef]
- Fatima, M.; Anjum, I.; Abdullah, A.; Abid, S.Z.; Malik, M.N. Boswellic acids, pentacyclic triterpenes, attenuate oxidative stress and bladder tissue damage in cyclophosphamide-induced cystitis. ACS Omega 2022, 7, 13697–13703. [Google Scholar] [CrossRef]
- Lim, Y.Z.; Hussain, S.M.; Cicuttini, F.M.; Wang, Y. Chapter 6: Nutrients and dietary supplements for osteoarthritis. In Bioactive Food as Dietary Interventions for Arthritis and Related Inflammatory Diseases; Watson, R., Preedy, V., Eds.; Academic Press: Cambridge, MA, USA, 2019; pp. 97–137. [Google Scholar]
- Kheradmand, H.; Babaloo, H.; Vojgani, Y.; Mirzakhanlouei, S.; Bayat, N. PCL/gelatin scaffolds and beta-boswellic acid synergistically increase the efficiency of CGR8 stem cells differentiation into dopaminergic neuron: A new paradigm of Parkinson’s disease cell therapy. J. Biomed. Mater. Res. 2021, 109, 562–671. [Google Scholar] [CrossRef] [PubMed]
- Gharb, M.; Nouralishahi, A.; Riazi, G. Inhibition of Tau protein aggregation by a chaperone-like β-Boswellic acid conjugated to gold nanoparticles. ACS Omega 2022, 7, 30347–30358. [Google Scholar] [CrossRef]
- Elnawasany, S.; Haggag, Y.; Shalaby, S.; Soliman, N.; El Saadany, A.; Ibrahim, M.; Badria, F. Anti-cancer effect of nano-encapsulated boswellic acids, curcumin and narigenin against HepG-2 cell line. BMC Complement. Med. Ther. 2023, 23, 270. [Google Scholar] [CrossRef]
- Abou Zaid, E.; Mansour, S.; El-Sonbaty, S.; Moawed, F.; Kandil, E.; Abdel-Hamid Haroun, R. Boswellic acid coated zinc nanoparticles attenuate NF-κB-mediated inflammation in DSS-induced ulcerative colitis in rats. Int. J. Immunopathol. Pharmacol. 2023, 37, 03946320221150720. [Google Scholar] [CrossRef]
- Schwarz, S.; Lucas, S.D.; Sommerwrek, S.; Csuk, R. Amino derivatives of glycyrrhetinic acid as potential inhibitors of cholinesterases. Bioorg. Med. Chem. 2014, 22, 3370–3378. [Google Scholar] [CrossRef] [PubMed]
- Lee, J.-S.; Kwon, M.-J.; Kweon, S.-H.; Kim, J.; Moon, J.-Y.; Cho, Y.-C.; Shin, J.-W.; Lee, J.-S.; Sohn, N.-W. Effects of 18β-glycyrrhetinic acid on pro-inflammatory cytokines and neuronal apoptosis in hippocampus of lipopolysaccharide-treated mice. Korea J. Herbol. 2016, 31, 73–81. [Google Scholar] [CrossRef]
- Muthu, S.; Sharma, R.; Qureshi, A.; Parvez, S.; Ahmad, B. Mechanistic insights into monomer level prevention of amyloid aggregation of lysozyme by glycyrrhizic acid. Int. J. Biol. Macromol. 2023, 227, 884–895. [Google Scholar] [CrossRef]
- Zhao, H.; Wang, S.-L.; Qian, L.; Jin, J.-L.; Li, H.; Xu, Y.; Zhu, X.-L. Diammonium glycyrrhizinate attenuates Aβ (1-42) induced neuroinflammation and regulates MAPK and NF-κB pathways in vitro and in vivo. CNS Neurosci. Ther. 2013, 19, 117–124. [Google Scholar] [CrossRef]
- Zhang, L.; Zhang, N.; Pang, C. The mechanistic interaction, aggregation and neurotoxicity of α-synuclein after interaction with glycyrrhizic acid: Modulation of synucelinopathies. Int. J. Biomacromol. 2024, 267, 131423. [Google Scholar] [CrossRef]
- Calabresi, P.; Mechelli, A.; Natale, G.; Volpicelli-Daley, L.; Lazzaro, G.; Ghiglieri, V. Alpha-synuclein in Parkinson’s disease and other synucleinopathies: From overt neurodegeneration back to early synaptic dysfunction. Cell Death Dis. 2023, 14, 176. [Google Scholar] [CrossRef] [PubMed]
- Chi, C.-F.; Wang, B.; Hu, F.-Y.; Wang, Y.-M.; Zhang, B.; Deng, S.-G.; Wu, C.-W. Purification and identification of three novel antioxidant peptides from protein hydrolysate of bluefin leatherjact (Navodon septerntrionalis) skin. Food Res. Int. 2015, 73, 124–129. [Google Scholar] [CrossRef]
- Liu, J.; Jin, Y.; Lin, S.; Jones, G.S.; Chen, F. Purification and identification of novel antioxidant peptides from egg white protein and their antioxidant activities. Food Chem. 2015, 175, 258–266. [Google Scholar] [CrossRef]
- Reeve, A.K.; Ludtmann, M.H.R.; Angelova, P.; Simcox, E.; Horrocks, M.; Klenerman, D.; Gandhi, S.; Turnbull, D.; Abramov, A. Aggregated α-synuclein and complex I deficiency: Exploration of their relationship in differentiated neurons. Cell Death Dis. 2015, 6, e1820. [Google Scholar] [CrossRef]
- Kashapov, R.; Gaynanova, G.; Gabdrakhmanov, D.; Kuznetsov, D.; Pavlov, R.; Petrov, K.; Zakharova, L.; Sinyashin, O. Self-assembly of amphiphilic compounds as a versatile tool for construction of nanoscale drug carriers. Int. J. Mol. Sci. 2020, 21, 6961. [Google Scholar] [CrossRef] [PubMed]
- Goncalves, B.G.; Phan, C.A.; Biggs, M.A.; Hunt, H.L.; Banerjee, I.A. Design and investigation of celastrol-peptide nanoassemblies and their binding interactions with superoxide dismutase 1 and its mutants. NanoSelect 2024, 5, e2400042. [Google Scholar] [CrossRef]
- Majoor-Krakauer, D.; Ottman, R.; Johnson, W.G.; Rowland, L.P. Familial aggregation of amyotrophic lateral sclerosis, dementia and Parkinson’s disease: Evidence of shared genetic susceptibility. Neurology 1994, 44, 1872–1877. [Google Scholar] [CrossRef] [PubMed]
- Guerrero-Ferreira, R.; Taylor, N.M.; Mona, D.; Ringler, P.; Lauer, M.; Riek, R.; Britschgi, M.; Stahlberg, H. Cryo-EM structure of alpha-synuclein fibrils. Elife 2018, 7, 36402. [Google Scholar] [CrossRef]
- Berman, H.; Westbrook, J.; Feng, Z.; Gilliland, G.; Bhat, T.; Weissig, H. The protein data bank. Nucleic Acids Res. 2000, 28, 235–242. [Google Scholar] [CrossRef] [PubMed]
- Yu, J.; Zhou, Y.; Tanaka, I.; Yao, M. Roll: A new algorithm for the detection of protein pockets and cavities with a rolling probe sphere. Bioinformatics 2010, 26, 46–52. [Google Scholar] [CrossRef]
- Eberhardt, J.; Santos-Martins, D.; Tillack, A.F.; Forli, S. AutoDock Vina 1.2.0: New Docking Methods, Expanded Force Field, and Python Bindings. J. Chem. Inform. Model. 2021, 61, 3891–3898. [Google Scholar]
- Trott, O.; Olson, A.J. AutoDock Vina: Improving the speed and accuracy of docking with a new scoring function, efficient optimization, and multithreading. J. Comput. Chem. 2010, 31, 455–461. [Google Scholar] [CrossRef]
- Kraus, A.; Hoyt, F.; Schwartz, C.; Hansen, B.; Artikis, E.; Hughson, A.; Raymond, G.; Race, B.; Baron, G.; Caughey, B. High-resolution structure and strain comparison of infectious mammalian prions. Mol. Cell. 2021, 81, P4540–P4551. [Google Scholar] [CrossRef] [PubMed]
- Roder, C.; Kupreichyk, T.; Gremer, L.; Schafer, L.U.; Pothula, K.R.; Ravelli, R.B.G.; Willbold, D.; Hoyer, W.; Schroder, G.F. Cryo-EM structure of islet amyloid polypeptide fibrils reveals similarities with amyloid-β fibrils. Nat. Struct. Mol. Biol. 2020, 27, 660–667. [Google Scholar] [CrossRef]
- Lee, M.; Yau, W.M.; Louis, J.M.; Tycko, R. Structures of brain-derived 42 residue amyloid beta fibril polymorphs with unusual molecular conformations and intermolecular interactions. Proc. Natl. Acad. Sci. USA 2023, 120, e2218831120. [Google Scholar] [CrossRef]
- Seidler, P.M.; Murray, K.; Boyer, D.R.; Ge, P.; Sawaya, M.; Hu, C.J.; Cheng, X.; Abskharon, R.; Pan, H.; DeTure, M.; et al. Structure-based discovery of small molecules that disaggregate Alzheimer’s disease tissue derived from tau fibrils in vitro. Nat. Commun. 2022, 13, 5441. [Google Scholar] [CrossRef]
- Sebastian, S.; Sven, S.; Adasme, J.H.V.; Schroeder, M. PLIP: Fully automated protein–ligand interaction profiler. Nucleic Acids Res. 2015, 43, W443–W447. [Google Scholar]
- Bowers, K.J.; Chow, E.; Xu, H.; Dror, R.O.; Eastwood, M.P.; Gregersen, B.A.; Klepeis, J.L.; Kolossvary, I.; Moraes, M.A.; Sacerdoti, F.D.; et al. Scalable algorithms for molecular dynamics simulations on commodity clusters. In Proceedings of the ACM/IEEE Conference on Supercomputing (SC06), Tampa, FL, USA, 11–17 November 2006. [Google Scholar]
- Nam, K.; Kimura, T.; Kishida, A. Controlling coupling reaction of EDC and NHS for preparation of collagen gels using ethanol/ water co-solvents. Macromol. Biosci. 2008, 8, 32–37. [Google Scholar] [CrossRef] [PubMed]
- Cornell, B.A.; Fletcher, G.C.; Middlehurst, J.; Separovic, F. The temperature dependence of the size of phospholipid vesicles. Biochim. Biophys. Acta 1981, 642, 375–380. [Google Scholar] [CrossRef]
- Micsonai, A.; Moussong, E.; Wien, F.; Boros, E.; Vadászi, H.; Murvai, N.; Lee, Y.-H.; Molnár, T.; Réfrégiers, M.; Goto, Y.; et al. BeStSel: Webserver for secondary structure and fold prediction for protein CD spectroscopy. Nucleic Acids Res. 2022, 50, W90–W98. [Google Scholar] [CrossRef] [PubMed]
- Niskanen, J.; Peltonen, S.; Ohtonen, S.; Fazaludeen, M.F.; Luk, K.C.; Giudice, L.; Koistinaho, J.; Malm, T.; Goldsteins, G.; Albert, K.; et al. Uptake of alpha-synuclein preformed fibrils is suppressed by inflammation and induces and aberrant phenotype in human microglia. Glia 2025, 73, 159–174. [Google Scholar] [CrossRef]
- Präbst, K.; Engelhardt, H.; Finggeler, S.; Hubner, H. Basic colorimetric proliferation assays: MTT, WST and Resazurin. In Cell Viability Assays; Gilbert, D., Friedrich, O., Eds.; Methods in Molecular Biology; Humana Press: New York, NY, USA, 2017; Volume 1601, pp. 1–17. [Google Scholar]
- Hunka, J.; Riley, J.; Debes, G. Approaches to overcome flow cytometry limitations in the analysis of cells from veterinary relevant species. BMC Vet. Res. 2020, 16, 83. [Google Scholar] [CrossRef]
- Bobbo, V.C.; Jara, C.P.; Mendes, N.; Morari, J.; Velloso, L.; Araújo, E.P. Interleukin-6 expression by hypothalmic microglia in multiple inflmmatory contexts: A systematic review. Biomed Res. Int. 2019, 2019, 1365210. [Google Scholar] [CrossRef] [PubMed]
- Ramirez, D.; Caballero, J. Is it reliable to take the molecular docking top scoring position as the best position as the best solution without considering available structural data. Molecules 2018, 23, 1038. [Google Scholar] [CrossRef]
- Doherty, C.P.; Ulamec, S.; Maya-Martinez, R.; Good, S.; Makepeace, J.; Khan, G.S.; van Oosten-Hawle, P.; Radford, S.; Brockwell, D. A short motif in the N-terminal region of α-synuclein is critical for both aggregation and function. Nat. Struct. Biol. 2020, 27, 249–259. [Google Scholar] [CrossRef]
- Marsh, S.E.; Blurton-Jones, M. Examining the mechanisms that link β-amyloid and α-synuclein pathologies. Alzheimer’s Res. Ther. 2012, 4, 11. [Google Scholar] [CrossRef]
- Giasson, B.I.; Murray, I.V.J.; Trojanowski, J.Q.; Lee, V.M.Y. A hydrophobic stretch of 12 amino acid residues in the middle of alpha-synuclein is essential for filament assembly. J. Biol. Chem. 2001, 276, 2380–2386. [Google Scholar] [CrossRef]
- Du, H.N. A peptide motif consisting of glycine, alanine, and valine is required for the fibrillization and cytotoxicity of human alpha-synuclein. Biochemistry 2003, 42, 8870–8878. [Google Scholar] [CrossRef]
- Poulos, J.; Peña-Diaz, S.; Làzaro, D.F.; Peccati, F.; Pinheiro, F.; González, D.; Carija, A.; Navarro, S.; Conde-Gimenez, M.; Garcia, J.; et al. Small molecule inhibits α-synuclein aggregation, disrupts amyloid fibrils, and prevents degeneration of dopaminergic neurons. Proc. Natl. Acad. Sci. USA 2018, 115, 10481–10486. [Google Scholar]
- Dagliyan, O.; Proctor, E.; D’Auria, K.; Ding, F.; Dokholyan, N. Structural and dynamic determinants of protein-peptide recognition. Structure 2011, 19, 1837–1845. [Google Scholar] [CrossRef]
- Ulamec, S.; Maya-Martinez, R.; Byrd, E.; Dewison, K.; Xu, Y.; Willis, L.; Sobott, F.; Heath, G.; van Oosten Hawle, P.; Buchman, V.; et al. Single residue modulators of amyloid formation in the N-terminal P1 region of α-synuclein. Nat. Commun. 2022, 13, 4986. [Google Scholar] [CrossRef]
- Sahihi, M.; Gaci, F.; Navizet, I. Identification of new alpha-synuclein fibrillogenesis inhibitor using in silico structure-based virtual screening. J. Mol. Graph. Model. 2021, 108, 108010. [Google Scholar] [CrossRef] [PubMed]
- Skowicki, M.; Tarvirdipour, S.; Kraus, M.; Schoenenberger, C.-A.; Palivan, C.G. Nanoassemblies designed for efficient nuclear targeting. Adv. Drug Del. Rev. 2024, 211, 115354. [Google Scholar] [CrossRef]
- Doll, T.; Raman, S.; Dey, R.; Burkhard, P. Nanoscale assemblies and their biomedical applications. J. R. Soc. Interface 2013, 10, 2012740. [Google Scholar] [CrossRef]
- Kim, J.; Kang, S.; Kim, J.; Yong, S.-B.; Lahiji, S.; Kim, Y.-H. Dual adjuvant-loaded peptide antigen self-assembly potentiates dendritic cell-mediated tumor immunotherapy. Adv. Sci. 2024, 11, 2403663. [Google Scholar] [CrossRef] [PubMed]
- Uthaman, S.; Snima, K.S.; Annopurna, M.; Ravindranath, K.C.; Nair, S.; Lakshmanan, V.-K. Novel boswellic acids nanoparticles induces cell death in prostate cancer cells. J. Natural Prod. 2012, 5, 100–108. [Google Scholar]
- Li, T.; Lu, X.-M.; Zhang, M.-R.; Hu, K.; Li, Z. Peptide-based nanomaterials: Self-assembly, properties and applications. Bioactive Mater. 2022, 11, 268–282. [Google Scholar] [CrossRef] [PubMed]
- Weber, C.-C.; Reising, K.; Muller, W.; Schubert-Zsilavecz, M.; Abdel-Tawab, M. Modulation of Pgp function by boswellic acids. Planta Med. 2006, 72, 507–513. [Google Scholar] [CrossRef]
- Zhang, S. Lipid like self-assembling peptides. Acc. Chem. Res. 2012, 45, 2142–2150. [Google Scholar] [CrossRef] [PubMed]
- Li, Q.; Su, R.; Bao, X.; Cao, K.; Du, Y.; Wang, N.; Wang, J.; Xing, F.; Huang, K.; Feng, S. Glycyrrhetinic acid nanoparticles combined with ferrotherapy for improved cancer immunotherapy. Acta Biomater. 2022, 144, 109–120. [Google Scholar] [CrossRef] [PubMed]
- Chen, Y.; Tao, K.; Ji, W.; Kumar, V.; Rencus-Lazar, S.; Gazit, E. Histidine a key modulator of molecular self-assembly: Peptide-based supramolecular materials inspired by biological systems. Mater. Today 2022, 60, 106–127. [Google Scholar] [CrossRef]
- Liao, S.-M.; Du, O.-S.; Meng, J.-Z.; Pang, Z.-W.; Huang, R.-B. The multiple roles of histidine in protein interactions. Chem. Cent. J. 2013, 7, 44. [Google Scholar] [CrossRef]
- Galvagnion, C. The role of lipids interacting with α-Synuclein in the pathogenesis of parkinson’s disease. J. Parkinson’s Dis. 2017, 7, 433–450. [Google Scholar] [CrossRef] [PubMed]
- Hellstrand, E.; Nowacka, A.; Topgaard, D.; Linse, S.; Sparr, E. Membrane lipid co-aggregation with-synuclein fibrils. PLoS ONE 2013, 8, e77235. [Google Scholar] [CrossRef]
- Kinnunen, P.; Domanov, Y.; Mattlila, J.-P.; Varis, T. Formation of lipid/peptide tubules IAPP and temporin B on supported lipid membranes. Soft Matter 2015, 11, 9188. [Google Scholar] [CrossRef]
- Strodel, B.; Lee, J.; Whittleston, C.; Wales, D. Transmembrane structures of Alzheimer’s Aβ1-42 oligomers. J. Am. Chem. Soc. 2010, 132, 1330–13312. [Google Scholar] [CrossRef] [PubMed]
- Conway, K.A.; Harper, J.D.; Lansbury, P.T., Jr. Fibrils formed in vitro from alpha-synuclein and two mutant forms linked to Parkinson’s disease are typical amyloid. Biochemistry 2000, 39, 2552–2563. [Google Scholar] [CrossRef] [PubMed]
- Giehm, L.; Svergun, D.I.; Otzen, D.E.; Vestergaard, B. Low-resolution structure of vesicle disrupting α-synuclein oligomer that accumulates during fibrillation. Proc. Natl. Acad. Sci. USA 2011, 108, 3246–3251. [Google Scholar] [CrossRef]
- Micsonai, A.; Wien, F.; Kernya, L.; Lee, Y.H.; Goto, Y.; Réfrégiers, M.; Kardos, J. Accurate secondary structure prediction and fold recognition for circular dichroism spectroscopy. Proc. Natl. Acad. Sci. USA 2015, 112, E3095–E3103. [Google Scholar] [CrossRef]
- Deyell, J.S.; Sriparna, M.; Ying, M.; Mao, X. The interplay between α-Synuclein and microglia in α-Synucleinopathies. Int. J. Mol. Sci. 2023, 27, 2477. [Google Scholar] [CrossRef] [PubMed]
- Choi, I.; Zhang, Y.; Seegobin, S.; Pruvost, M.; Wang, Q.; Purtell, K.; Zhang, B.; Yue, Z. Microglia clear neuron-released α-synuclein via selective autophagy and prevent neurodegeneration. Nat. Commun. 2020, 11, 1386. [Google Scholar] [CrossRef]
- Li, Z.; Wang, X.; Wang, X.; Yi, X.; Wong, Y.K.; Wu, J.; Xie, F.; Hu, D.; Wang, Q.; Wang, J.; et al. Research progress on the role of extracellular vesicles in neurodegenerative diseases. Transl. Neurodegener. 2023, 12, 43. [Google Scholar] [CrossRef]
- Bieri, G.; Gitler, A.D.; Brahic, M. Internalization, axonal transport and release of fibrillar forms of alpha-synuclein. Neurobiol. Dis. 2018, 109, 219–225. [Google Scholar] [CrossRef] [PubMed]
- Devi, L.; Raghavendran, V.; Anandatheerthavarada, H.K. Mitochondrial import and accumulation of α-synuclein impair complex I in human dopaminergic neuronal cultures and Parkinson’s disease brain. J. Biol. Chem. 2008, 283, 9089–9100. [Google Scholar] [CrossRef]
- Zhang, X.; Yu, H.; Feng, J. Emerging role of microglia in inter-cellular transmission of α-synuclein in Parkinson’s disease. Front. Aging Neurosci. 2024, 16, 1411104. [Google Scholar] [CrossRef] [PubMed]
- Lee, H.-J.; Suk, J.-E.; Bae, E.-J.; Lee, J.-H.; Paik, S.R.; Lee, S.-J. Assembly-dependent endocytosis and clearance of extracellular alpha-synuclein. Int. J. Biochem. Cell Biol. 2008, 40, 1835–1849. [Google Scholar] [CrossRef] [PubMed]
- Kim, C.; Ho, D.H.; Suk, J.E.; You, S.; Michael, S.; Kang, J.; Joong, L.-S.; Masliah, E.; Hwang, D.; Lee, H.J.; et al. Neuron-released oligomeric alpha-synuclein is an endogenous agonist of TLR2 for paracrine activation of microglia. Nat. Commun. 2013, 4, 1562. [Google Scholar] [CrossRef]
- Sharma, S.; Gupta, S.; Khajuria, V.; Bhagat, A.; Ahmed, Z.; Shah, B.A. Analogues of boswellic acids as inhibitors of pro-inflammatory cytokines TNF-α and IL-6. Bioorg. Med. Chem. Lett. 2016, 26, 695–698. [Google Scholar] [CrossRef]
- Song, Y.; Xing, X.; Shen, J.; Chen, G.; Zhao, L.; Tian, L.; Ying, J.; Yu, Y. Anti-inflammatory effect of glycyrrhetinic acid in IL-1β-induced SW982 cells and adjuvant-induced arthritis. Heliyon 2023, 9, e15588. [Google Scholar] [CrossRef] [PubMed]
- Hernandez-Ledesma, B.; Hsieh, C.-C.; de Lumen, B. Antioxidant and anti-inflammatory properties of cancer preventative peptide lunasin in RAW 264.7 macrophages. Biochem. Biophys. Res. Commun. 2009, 390, 803–808. [Google Scholar] [CrossRef] [PubMed]













| Conjugate/Peptide | Binding Affinity (kcal/mol) |
|---|---|
| Boswellate-YYIVS (BA-Y) | −9.7 |
| Boswellic-GSGGL (BA-G) | −10.2 |
| Boswellate-MPDAHL (BA-M) | −9.2 |
| Glycyrrhetinate-YYIVS (GH-Y) | −10.2 |
| Glycyrrhetinate-GSGGL (GH-G) | −10.2 |
| Glycyrrhetinate-MPDAHL (GH-M) | −9.4 |
| YYIVS | −7.9 |
| GSGGL | −6.2 |
| MPDAHL | −7.8 |
| Type of Interaction | BA-Y Res: Dist | BA-G Res: Dist | BA-M Res: Dist | GH-Y Res: Dist | GH-G Res: Dist | GH-M Res: Dist | YYIVS Res: Dist | GSGGL Res: Dist | MPDAHL Res: Dist |
|---|---|---|---|---|---|---|---|---|---|
| Hydrophobic | T54: 3.42 A° T54: 3.69 A° T54: 3.78 A° A56: 3.71 A° A56: 3.66 A° T59: 3.96 A° T59: 3.75 A° T75: 3.89 A° | T54: 3.50 A° T54: 3.67 A° T54: 3.86 A° T54: 3.70 A° T54: 3.96 A° A56: 3.68 A° A56: 3.87 A° T59: 3.53 A° | T54: 3.14 A° T54: 3.82 A° A56: 3.82 A° A56: 2.49 A° T59: 3.84 A° T59: 3.64 A° E61: 3.73 A° T75: 3.84 A° | T54: 3.68 A° T54: 3.49 A° A56: 3.59 A° A56: 3.53 A° T59: 3.85 A° T75: 3.62 A° | A56: 3.47 A° A56: 3.34 A° A56: 3.42 A° T59: 3.62 A° | T54: 3.9 A° A56: 3.7 A° | T54: 3.7 A° T54: 3.6 A° A56: 3.5 A° T59: 3.8 A° T59: 3.87 A° T59: 3.70 A° | T54: 3.96 A° A56: 3.9 A° A56: 3.57 A° | T54: 3.46 A° |
| H-bonds | T59: 2.33 A° T59: 2.49 A° T59: 2.35 A° E61:2.48 A° G73:2.95 A° V74:2.73 A° T75:2.09 A° T75:1.76 A° T75:2.26 A° T75:2.42 A° | T59: 2.10 A° T59: 2.62 A° T59: 2.53 A° T59: 2.22 A° G61: 2.22 A° G73: 3.72 A° V74: 2.84 A° T75: 2.63 A° | T59: 2.28 A° G61: 2.05 A° G61: 3.10 A° G73: 3.62 A° G73: 2.87 A° G73: 3.11 A° V74: 3.74 A° T75: 3.07 A° T75: 2.26 A° T75: 2.04 A° | T59: 3.63 A° E61: 1.99 A° E61: 2.37 A° T72: 2.51 A° T72: 2.66 A° T73: 2.97 A° T73 2.63 A° V74: 3.62 A° V74: 3.46 A° T75: 3.41 A° T75: 3.20 A° | T59: 2.27 A° T59: 2.12 A° T59: 3.37 A° E61: 2.03 A° G73: 2.83 A° V74: 2.63 A° T75: 2.41 A° T75: 2.12 A° T75: 2.39 A° T75: 2.25 A° | T59: 3.15 A° T59: 3.16 A° T59: 2.84 A° T59: 2.61 A° E61: 3.05 A° G73: 2.93 A° G73: 3.00 A° V74: 3.44 A° V74: 3.04 A° | T59: 2.45 A° E61: 2.75 A° E61: 3.21 A° G73: 3.37 A° G73: 3.37 A° G73: 2.11 A° T75: 2.11 A° T75: 3.26 A° | T59: 3.44 A° T59: 2.74 A° E61: 2.62 A° E61: 3.38 A° G73: 2.68 A° G73: 2.43 A° V74: 3.30 A° T75: 2.55 A° T75: 3.31 A° T75: 2.12 A° | T59: 3.33 A° E61: 3.05 A° E61: 2.28 A° G73: 2.27 A° V74: 2.69 A° T75: 2.69 A° T75: 2.46 A° |
| Nanoconjugate with ASyn | % Helix | % Antiparallel β-Sheets | % Parallel β-Sheets | % Turns | % Others (Disordered) |
|---|---|---|---|---|---|
| BA-Y | |||||
| 1 h | 22.2 | 62.3 | 0 | 5.7 | 9.7 |
| 24 h | 54.5 | 30.3 | 15.2 | 0 | 0 |
| 48 h | 0 | 17.1 | 0 | 19.5 | 63.4 |
| BA-M | |||||
| 1 h | 5.5 | 47.5 | 0 | 20.7 | 26.3 |
| 24 h | 9.3 | 16.8 | 17.3 | 12.4 | 44.1 |
| 48 h | 0 | 41.8 | 0 | 14.8 | 43.3 |
| BA-G | |||||
| 1 h | 0 | 45.1 | 0 | 17.9 | 36.9 |
| 24 h | 0 | 22.4 | 8 | 17.9 | 51.8 |
| 48 h | 0 | 42.0 | 0 | 15.1 | 42.9 |
| GH-Y | |||||
| 1 h | 0 | 46.3 | 0 | 15.2 | 38.5 |
| 24 h | 2.9 | 30.1 | 0 | 14.3 | 52.8 |
| 48 h | 20.8 | 19.1 | 25.0 | 10.7 | 24.4 |
| GH-M | |||||
| 1 h | 3.7 | 23.2 | 11.3 | 13.8 | 48.0 |
| 24 h | 9.1 | 23.2 | 0 | 15.5 | 52.2 |
| 48 h | 0 | 37.6 | 0 | 15.0 | 47.4 |
| GH-G | |||||
| 1 h | 0 | 41.7 | 0 | 15.8 | 42.5 |
| 24 h | 3.1 | 29.3 | 0 | 14.5 | 53.0 |
| 48 h | 25.6 | 31.8 | 17.0 | 0.6 | 24.9 |
| Unbound α-Syn | |||||
| 24 h | 0 | 69.5 | 0 | 10.4 | 20.1 |
Disclaimer/Publisher’s Note: The statements, opinions and data contained in all publications are solely those of the individual author(s) and contributor(s) and not of MDPI and/or the editor(s). MDPI and/or the editor(s) disclaim responsibility for any injury to people or property resulting from any ideas, methods, instructions or products referred to in the content. |
© 2025 by the authors. Licensee MDPI, Basel, Switzerland. This article is an open access article distributed under the terms and conditions of the Creative Commons Attribution (CC BY) license (https://creativecommons.org/licenses/by/4.0/).
Share and Cite
Banerjee, I.A.; Das, A.; Biggs, M.A.; Phan, C.A.N.; Cutter, L.R.; Ren, A.R. Design and Development of Natural-Product-Derived Nanoassemblies and Their Interactions with Alpha Synuclein. Biomimetics 2025, 10, 82. https://doi.org/10.3390/biomimetics10020082
Banerjee IA, Das A, Biggs MA, Phan CAN, Cutter LR, Ren AR. Design and Development of Natural-Product-Derived Nanoassemblies and Their Interactions with Alpha Synuclein. Biomimetics. 2025; 10(2):82. https://doi.org/10.3390/biomimetics10020082
Chicago/Turabian StyleBanerjee, Ipsita A., Amrita Das, Mary A. Biggs, Chau Anh N. Phan, Liana R. Cutter, and Alexandra R. Ren. 2025. "Design and Development of Natural-Product-Derived Nanoassemblies and Their Interactions with Alpha Synuclein" Biomimetics 10, no. 2: 82. https://doi.org/10.3390/biomimetics10020082
APA StyleBanerjee, I. A., Das, A., Biggs, M. A., Phan, C. A. N., Cutter, L. R., & Ren, A. R. (2025). Design and Development of Natural-Product-Derived Nanoassemblies and Their Interactions with Alpha Synuclein. Biomimetics, 10(2), 82. https://doi.org/10.3390/biomimetics10020082

