Anticancer Activity of Moringa peregrina (Forssk.) Fiori.: A Native Plant in Traditional Herbal Medicine of the United Arab Emirates
Abstract
:1. Introduction
2. Materials and Methods
2.1. Plant Material and Preparation of Crude Extracts
2.2. Cell Culture and Cell Proliferation Assay
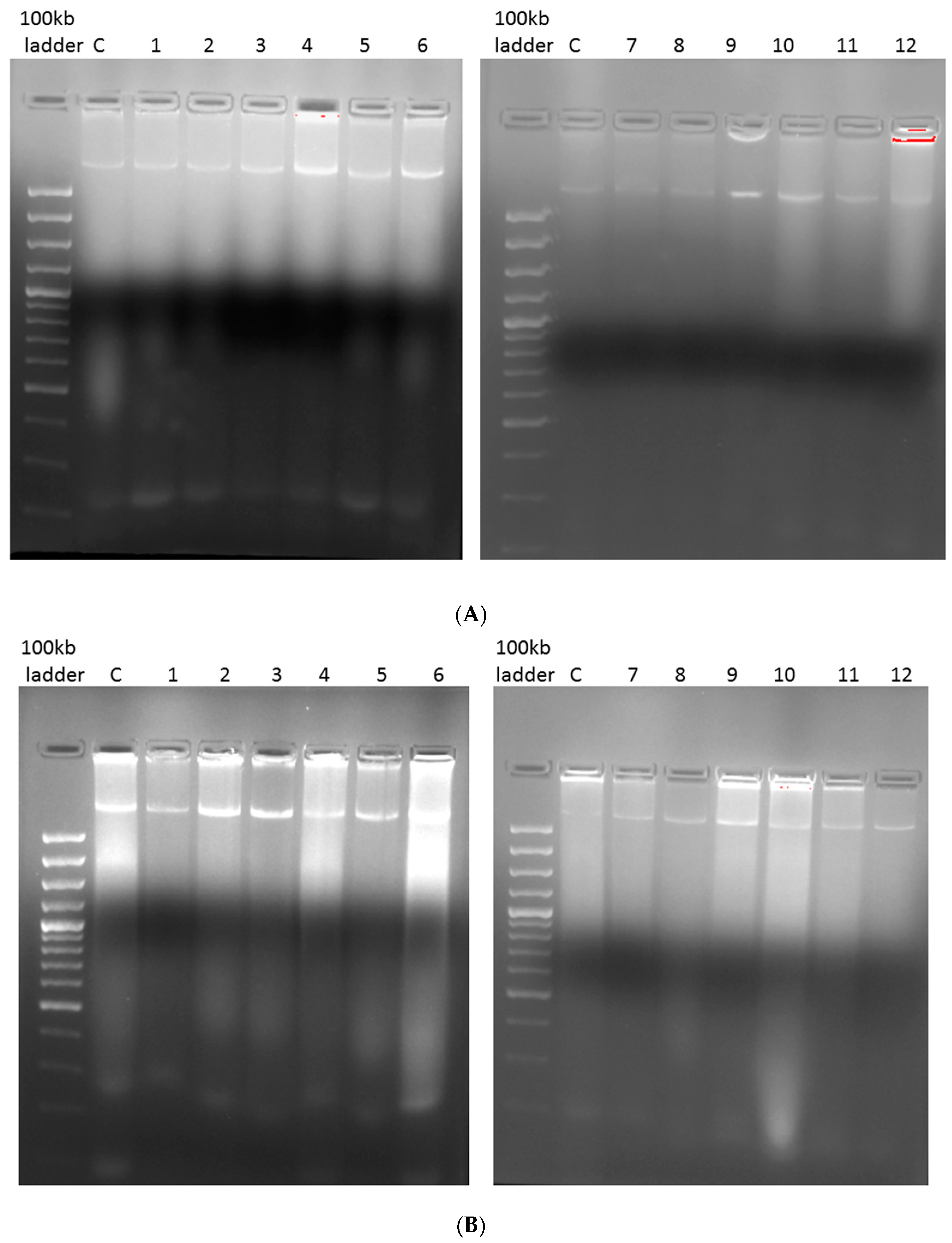
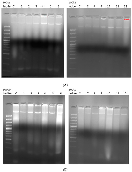
2.3. DNA Fragmentation Assay
2.4. PARP (Poly(ADP-ribulose) Polymerase) Cleavage Assay
2.5. Statistical Analysis
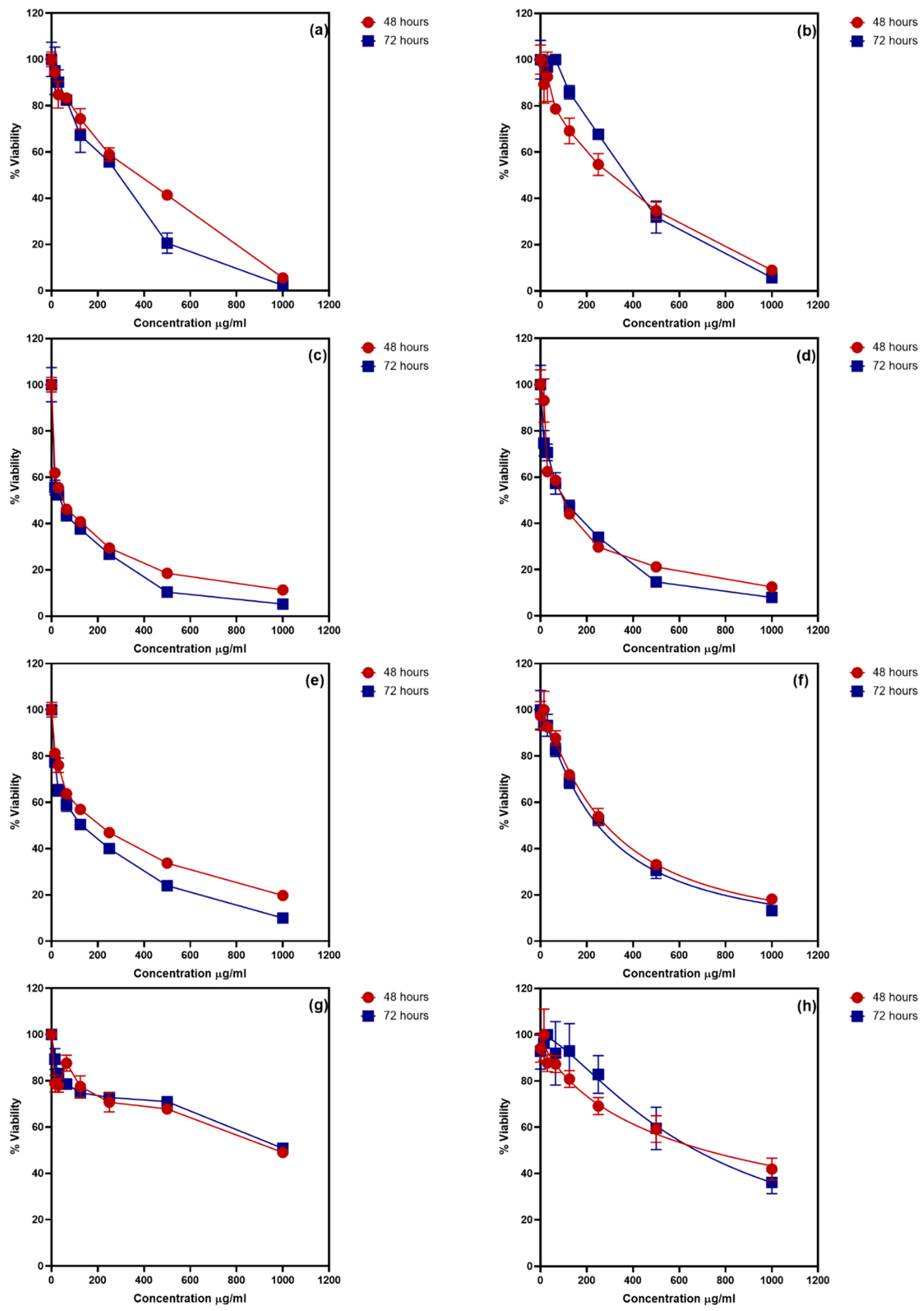
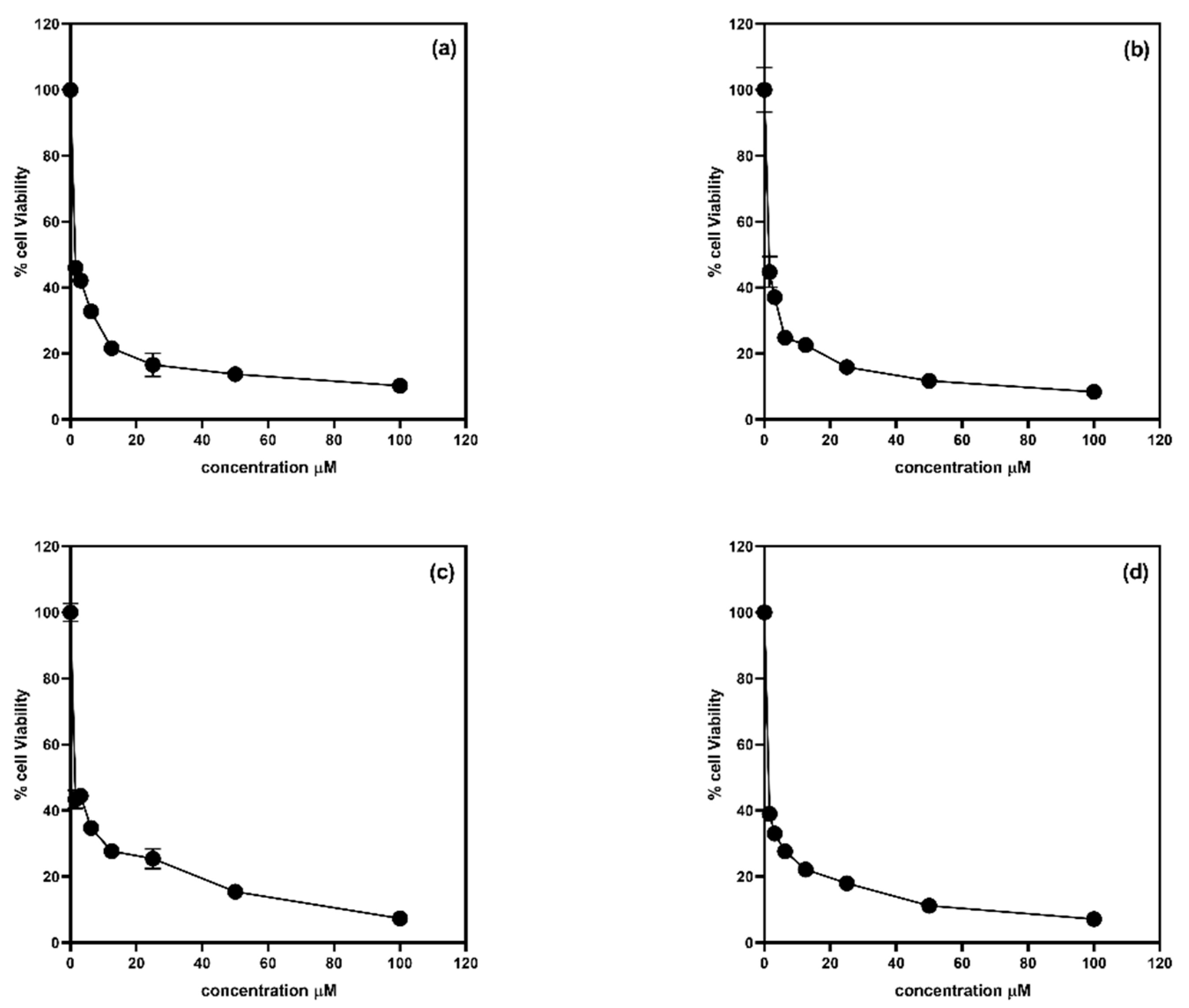
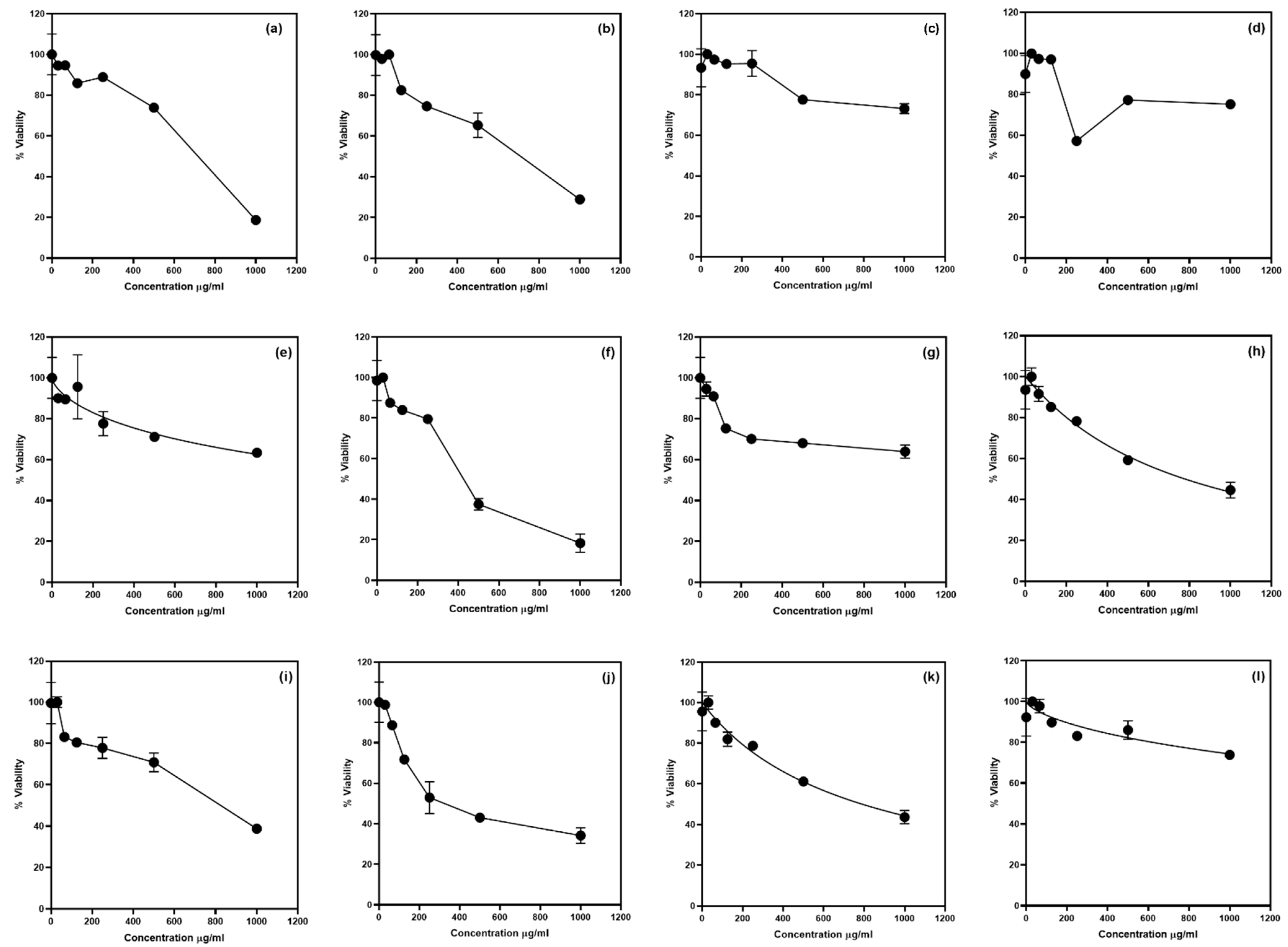
3. Results and Discussion
Author Contributions
Funding
Institutional Review Board Statement
Informed Consent Statement
Data Availability Statement
Acknowledgments
Conflicts of Interest
References
- Bray, F.; Ferlay, J.; Soerjomataram, I.; Siegel, R.L.; Torre, L.A.; Jemal, A. Global cancer statistics 2018: Globocan estimates of incidence and mortality worldwide for 36 cancers in 185 countries. CA Cancer J. Clin. 2018, 68, 394–424. [Google Scholar] [CrossRef] [PubMed] [Green Version]
- WHO. Global cancer data. In International Agency for Research on Cancer World Health Organization; WHO: Geneva, Switzerland, 2018; p. 263. [Google Scholar]
- Mentella, M.C.; Scaldaferri, F.; Ricci, C.; Gasbarrini, A.; Miggiano, G.A.D. Cancer and Mediterranean diet: A review. Nutrients 2019, 11, 2059. [Google Scholar] [CrossRef] [PubMed] [Green Version]
- Pinto da Silva, L.; Magalhães, C.M.; Núñez-Montenegro, A.; Ferreira, P.J.; Duarte, D.; Rodríguez-Borges, J.E.; Vale, N.; Esteves da Silva, J.C. Study of the combination of self-activating photodynamic therapy and chemotherapy for cancer treatment. Biomolecules 2019, 9, 384. [Google Scholar] [CrossRef] [PubMed] [Green Version]
- Singh, S.; Sharma, B.; Kanwar, S.S.; Kumar, A. Lead phytochemicals for anticancer drug development. Front. Plant Sci. 2016, 7, 1667. [Google Scholar] [CrossRef] [Green Version]
- Adnan, M.; Siddiqui, A.J.; Hamadou, W.S.; Snoussi, M.; Badraoui, R.; Ashraf, S.A.; Jamal, A.; Awadelkareem, A.M.; Sachidanandan, M.; Hadi, S.; et al. Deciphering the Molecular Mechanism Responsible for Efficiently Inhibiting Metastasis of Human Non-Small Cell Lung and Colorectal Cancer Cells Targeting the Matrix Metalloproteinases by Selaginella repanda. Plants 2021, 10, 979. [Google Scholar] [CrossRef]
- Tewari, D.; Rawat, P.; Singh, P.K. Adverse drug reactions of anticancer drugs derived from natural sources. Food Chem. Toxicol. 2019, 123, 522–535. [Google Scholar] [CrossRef]
- Taylor, P.G.; Cesari, I.M.; Arsenak, M.; Ballen, D.; Abad, M.J.; Fernández, A.; Milano, B.; Ruiz, M.-C.; Williams, B.; Michelangeli, F. Evaluation of Venezuelan medicinal plant extracts for antitumor and antiprotease activities. Pharm. Biol. 2006, 44, 349–362. [Google Scholar] [CrossRef]
- Yaglioglu, A.S.; Eser, F. Screening of some Juniperus extracts for the phenolic compounds and their antiproliferative activities. S. Afr. J. Bot. 2017, 113, 29–33. [Google Scholar] [CrossRef]
- Xia, J.; Yang, C.; Wang, Y.; Yang, Y.; Yu, J. Antioxidant and antiproliferative activities of the leaf extracts from Trapa bispinosa and active components. S. Afr. J. Bot. 2017, 113, 377–381. [Google Scholar] [CrossRef]
- Almoulah, N.F.; Voynikov, Y.; Gevrenova, R.; Schohn, H.; Tzanova, T.; Yagi, S.; Thomas, J.; Mignard, B.; Ahmed, A.A.A.; El Siddig, M.A.; et al. Antibacterial, antiproliferative and antioxidant activity of leaf extracts of selected Solanaceae species. S. Afr. J. Bot. 2017, 112, 368–374. [Google Scholar] [CrossRef]
- Zhu, H.; Lv, G.; Qu, Q.; Xu, J.; Zhang, L.; Zhu, Y. Thunder god vine extract exerts antiproliferative effects on growth of human colon cancer cells and inhibits colon cancer growth in xenograft mice models. S. Afr. J. Bot. 2018, 115, 18–23. [Google Scholar] [CrossRef]
- Nugraha, A.S.; Pratoko, D.K.; Damayanti, Y.D.; Lestari, N.D.; Laksono, T.A.; Addy, H.S.; Untari, L.F.; Kusumawardani, B.; Wangchuk, P. Antibacterial and anticancer activities of nine lichens of Indonesian Java Island. J. Biol. Active Prod. Nat. 2019, 9, 39–46. [Google Scholar] [CrossRef]
- Abdul, W.; Hajrah, N.; Sabir, J.; Al-Garni, S.; Sabir, M.; Kabli, S.; Saini, K.; Bora, R. Therapeutic role of Ricinus communis L. and its bioactive compounds in disease prevention and treatment. Asian Pac. J. Trop. Med. 2018, 11, 177. [Google Scholar] [CrossRef]
- Adnan, M.; Siddiqui, A.J.; Hamadou, W.S.; Patel, M.; Ashraf, S.A.; Jamal, A.; Awadelkareem, A.M.; Sachidanandan, M.; Snoussi, M.; De Feo, V. Phytochemistry, Bioactivities, Pharmacokinetics and Toxicity Prediction of Selaginella repanda with Its Anticancer Potential against Human Lung, Breast and Colorectal Carcinoma Cell Lines. Molecules 2021, 26, 768. [Google Scholar] [CrossRef] [PubMed]
- Cragg, G.M.; Pezzuto, J.M. Natural Products as a Vital Source for the Discovery of Cancer Chemotherapeutic and Chemopreventive Agents. Med. Princ. Pract. 2016, 25 (Suppl. 2), 41–59. [Google Scholar] [CrossRef] [PubMed]
- Zunica, E.R.; Yang, S.; Coulter, A.; White, C.; Kirwan, J.P.; Gilmore, L.A. Moringa oleifera seed extract concomitantly supplemented with chemotherapy worsens tumor progression in mice with triple negative breast cancer and obesity. Nutrients 2021, 13, 2923. [Google Scholar] [CrossRef]
- Buakaew, W.; Sranujit, R.P.; Noysang, C.; Sangouam, S.; Suphrom, N.; Thongsri, Y.; Usuwanthim, K. Evaluation of mouthwash containing Citrus hystrix DC., Moringa oleifera Lam. and Azadirachta indica A. Juss. leaf extracts on dental plaque and gingivitis. Plants 2021, 10, 1153. [Google Scholar] [CrossRef]
- Al-Asmari, A.K.; Albalawi, S.M.; Athar, M.T.; Khan, A.Q.; Al-Shahrani, H.; Islam, M. Moringa oleifera as an anti-cancer agent against breast and colorectal cancer cell lines. PLoS ONE 2015, 10, e0135814. [Google Scholar] [CrossRef]
- Bhadresha, K.P.; Jain, N.K.; Rawal, R.M. Assessing the protective effect of Moringa oleifera extract against bone metastasis: An in vitro simulated digestion approach. Nutr. Cancer 2021, 1–14. [Google Scholar] [CrossRef]
- Dzuvor, C.K.; Pan, S.; Amanze, C.; Amuzu, P.; Asakiya, C.; Kubi, F. Bioactive components from Moringa oleifera seeds: Production, functionalities and applications—A critical review. Crit. Rev. Biotechnol. 2021, 1–23. [Google Scholar] [CrossRef]
- Watanabe, S.; Okoshi, H.; Yamabe, S.; Shimada, M. Moringa oleifera Lam. in diabetes mellitus: A systematic review and meta-analysis. Molecules 2021, 26, 3513. [Google Scholar] [CrossRef]
- Wangcharoen, W.; Gomolanee, S. Antioxidant capacity and total phenolic content of Moringa oleifera grown in Chiang Mai, Thailand. Thai J. Agri. Sci. 2011, 44, 118–124. [Google Scholar]
- Bellostas, N.; Sørensen, J.C.; Nikiema, A.; Sørensen, H.; Pasternak, D.; Kumar, S. Glucosinolates in leaves of Moringa species grown and disseminated in Niger. Afr. J. Agric. Res. 2010, 5, 1338–1340. [Google Scholar]
- Robiansyah, I.; Hajar, A.S.; Al-kordy, M.A.; Ramadan, A. Current status of economically important plant Moringa peregrina (Forrsk.) Fiori in Saudi Arabia: A review. Int. J. Theor. Appl. Sci. 2014, 6, 79–86. [Google Scholar]
- Abd El-Wahab, R. Reproduction Ecology of Wild Trees and Shrubs in Southern Sinai, Egypt. Master’s Thesis, Botany Department, Faculty of Science, Suez Canal University, Ismailia, Egypt, 1995. [Google Scholar]
- Senthilkumar, A.; Karuvantevida, N.; Rastrelli, L.; Kurup, S.S.; Jaleel, A. Traditional uses, pharmacological efficacy, and phytochemistry of Moringa peregrina (Forssk.) Fiori.—A review. Front. Pharm. 2018, 9, 465. [Google Scholar] [CrossRef] [PubMed] [Green Version]
- Senthilkumar, A.; Thangamani, A.; Karthishwaran, K.; Jaleel, A. Essential oil from the seeds of Moringa peregrina: Chemical composition and antioxidant potential. S. Afr. J. Bot. 2020, 129, 100–105. [Google Scholar] [CrossRef]
- Alrayes, L.M.H.; Al Khateeb, W.M.H.; Shatnawi, M.A.M. Clonal propagation and antibacterial activity of Moringa peregrina (Forssk) fiori plant. J. Adv. Biotechnol. 2016, 6, 787–797. [Google Scholar] [CrossRef] [Green Version]
- Saleh, N.M.; Mabrouk, M.I.; Salem-Bekhit, M.M.; Hafez, E.H. Challenge of Moringa peregrina Forssk as an antimicrobial agent against multi-drug-resistant Salmonella sp. Biotechnol. Biotechnol. Equip. 2017, 31, 380–386. [Google Scholar] [CrossRef] [Green Version]
- Azim, S.A.A.; Abdelrahem, M.T.; Said, M.M.; Khattab, A. Protective effect of Moringa peregrina leaves extract on acetaminophen -induced liver toxicity in albino rats. Afr. J. Tradit. Complement. Altern. Med. 2017, 14, 206–216. [Google Scholar] [CrossRef] [PubMed] [Green Version]
- Lalas, S.; Gortzi, O.; Athanasiadis, V.; Tsaknis, J.; Chinou, I. Determination of antimicrobial activity and resistance to oxidation of Moringa peregrina seed oil. Molecules 2012, 17, 2330–2334. [Google Scholar] [CrossRef]
- Ghazanfar, S.A.; Al-Al-Sabahi, A.M. Medicinal plants of Northern and Central Oman (Arabia). Econ. Bot. 1993, 47, 89–98. [Google Scholar] [CrossRef]
- Nawash, O.S.; Ahmad Al-S, H. The most important medicinal plants in Wadi Araba desert in South West Jordan: A review article. Adv. Env. Biol. 2011, 418–426. [Google Scholar]
- Al-Khatani, H. Moringa peregrina (Al-yassar of Al-ban) seeds oil from northwest Saudi Arabia. J. King Saud Univ. Agri. Sci. 1995, 7, 31–45. [Google Scholar]
- Elbatran, S.A.; Abdel-Salam, O.M.; Abdelshfeek, K.A.; Nazif, N.M.; Ismail, S.I.; Hammouda, F.M. Phytochemical and pharmacological investigations on Moringa peregrina (Forssk) Fiori. Nat. Prod. Sci. 2005, 11, 199–206. [Google Scholar]
- Marwah, R.G.; Fatope, M.O.; Al Mahrooqi, R.; Varma, G.B.; Al Abadi, H.; Al-Burtamani, S.K.S. Antioxidant capacity of some edible and wound healing plants in Oman. Food Chem. 2007, 101, 465–470. [Google Scholar] [CrossRef]
- El-Alfy, T.S.; Ezzat, S.M.; Hegazy, A.K.; Amer, A.M.; Kamel, G.M. Isolation of biologically active constituents from Moringa peregrina (Forssk.) Fiori. (family: Moringaceae) growing in Egypt. Pharm. Mag. 2011, 7, 109. [Google Scholar]
- Koheil, M.A.; Hussein, M.A.; Othman, S.M.; El-Haddad, A. In-vivo antioxidant activity of Moringa peregrina against STZ–induced oxidative stress in type 2 diabetic rats. Mol. Clin. Pharmacol. 2013, 4, 65–75. [Google Scholar]
- Tahany, M.A.; Hegazy, A.K.; Sayed, A.M.; Kabiel, H.F.; El-Alfy, T.; El-Komy, S.M. Study on combined antimicrobial activity of some biologically active constituents from wild Moringa peregrina Forssk. J. Yeast Fungal Res. 2010, 1, 15–24. [Google Scholar]
- Elsayed, E.A.; Sharaf-Eldin, M.A.; El-Enshasy, H.A.; Wadaan, M. In vitro assessment of anticancer properties of Moringa peregrina essential seed oil on different cell lines. Pak. J. Zool. 2016, 48, 853–859. [Google Scholar]
- Del Peso, L.; Maribel, G.G.; Carmen, P.; Román, H.; Gabriel, N. Interleukin-3-induced phosphorylation of BAD through the protein kinase Akt. Science 1997, 278, 687–689. [Google Scholar] [CrossRef]
- Kizhakkayil, J.; Faisal, T.; Shahanas, C.; Abdulkader, H.; Mahendra, P.; Sehamuddin, G. Modulation of curcumin-induced Akt phosphorylation and apoptosis by PI3K inhibitor in MCF-7 cells. Biochem. Biophys. Res. Commun. 2010, 394, 476–481. [Google Scholar] [CrossRef]
- Corrie, P.G. Cytotoxic chemotherapy: Clinical aspects. Medicine 2008, 36, 24–28. [Google Scholar] [CrossRef]
- Suman, S.; Pandey, A.; Chandna, S. An improved non-enzymatic “DNA ladder assay” for more sensitive and early detection of apoptosis. Cytotechnology 2012, 64, 9–14. [Google Scholar] [CrossRef] [Green Version]
- Dai, J.; Mumper, R.J. Plant phenolics: Extraction, analysis and their antioxidant and anticancer properties. Molecules 2010, 15, 7313–7352. [Google Scholar] [CrossRef]
- Charoensin, S. Antioxidant and anticancer activities of Moringa oleifera leaves. J. Med. Plants Res. 2014, 8, 318–325. [Google Scholar]
- Cassiem, W.; de Kock, M. The anti-proliferative effect of apricot and peach kernel extracts on human colon cancer cells in vitro. BMC Comp. Alter. Med. 2019, 19, 32. [Google Scholar] [CrossRef] [PubMed] [Green Version]
- Elsayed, E.A.; Sharaf-Eldin, M.A.; Wadaan, M. In vitro evaluation of cytotoxic activities of essential oil from Moringa oleifera seeds on HeLa, HepG2, MCF-7, Caco-2 and L929 cell lines. Asian Pac. J. Cancer Prev. 2015, 16, 4671–4675. [Google Scholar] [CrossRef] [Green Version]
- Heo, B.-G.; Park, Y.-J.; Park, Y.-S.; Bae, J.-S.; Cho, J.-Y.; Park, K.; Jastrzebski, Z.; Gorinstein, S. Anticancer and antioxidant effects of extracts from different parts of indigo plant. Ind. Crop. Prod. 2014, 56, 9–16. [Google Scholar] [CrossRef]
- Ye, F.; Xui, L.; Yi, J.; Zhang, W.; Zhang, D.Y. Anticancer activity of Scutellaria baicalensis and its potential mechanism. J. Alter. Compl. Med. 2002, 8, 567–572. [Google Scholar] [CrossRef] [PubMed]
- Abd-Rabou, A.A.; Abdalla, A.M.; Ali, N.A.; Zoheir, K.M. Moringa oleifera root induces cancer apoptosis more effectively than leave nanocomposites and its free counterpart. Asian Pac. J. Cancer Prev. 2017, 18, 2141. [Google Scholar] [PubMed]
- Tan, W.; Lu, J.; Huang, M.; Li, Y.; Chen, M.; Wu, G.; Gong, J.; Zhong, Z.; Xu, Z.; Dang, Y.; et al. Anti-cancer natural products isolated from Chinese medicinal herbs. Chinese Med. 2011, 6, 27. [Google Scholar] [CrossRef] [PubMed] [Green Version]
- Gobeil, S.; Boucher, C.; Nadeau, D.; Poirier, G.G. Characterization of the necrotic cleavage of poly(ADP-ribose) polymerase (PARP-1): Implication of lysosomal proteases. Cell Death Differ. 2001, 8, 588–594. [Google Scholar] [CrossRef] [PubMed] [Green Version]
- Liang, Y.; Yi, L.; Xue-feng, M.; Dan, H.; Yu-hui, Z.; Yong, S.; Shan-shan, S.; Tim, F.; Hai-yan, L.; Jun, F.; et al. Triclabendazole Induces Pyroptosis by Activating Caspase-3 to Cleave GSDME in Breast Cancer Cells. Front. Pharmacol. 2021, 12, 1600. [Google Scholar] [CrossRef]








| Plant Parts | Name of the Extract | Yield (%) |
|---|---|---|
| Tubers | Hexane | 0.63 |
| Chloroform | 0.40 | |
| Acetone | 0.49 | |
| Methanol | 5.62 | |
| Leaves | Hexane | 4.89 |
| Chloroform | 5.36 | |
| Acetone | 1.43 | |
| Methanol | 11.79 | |
| Stem | Hexane | 2.07 |
| Chloroform | 0.48 | |
| Acetone | 2.22 | |
| Methanol | 13.0 |
| Plant Parts | Name of the Extract | IC50 (µg/mL) | |||
|---|---|---|---|---|---|
| MCF-7 | Caco-2 | ||||
| 48 h | 72 h | 48 h | 72 h | ||
| Tubers | Hexane | 188.6 | 164.3 | 367.4 | 256.5 |
| Chloroform | 426.4 | 326.5 | 1076 | 734.6 | |
| Acetone | 807.8 | 167.4 | 924.6 | 295 | |
| Methanol | 360.8 | 237.6 | 630.9 | 214.1 | |
| Leaves | Hexane | 766.7 | 592.5 | 1950 | 894.2 |
| Chloroform | 220 | 86.58 | 500.9 | 72.9 | |
| Acetone | 501.1 | 230.4 | 525.2 | 304.4 | |
| Methanol | 1068 | 242.8 | 743.1 | 344.3 | |
| Stem | Hexane | 291.2 | 221.8 | 251.4 | 342.6 |
| Chloroform | 45.53 | 33.32 | 93.75 | 87.76 | |
| Acetone | 171.5 | 101.7 | 283.5 | 248.5 | |
| Methanol | 1993 | 1912 | 714.5 | 673.5 | |
Publisher’s Note: MDPI stays neutral with regard to jurisdictional claims in published maps and institutional affiliations. |
© 2021 by the authors. Licensee MDPI, Basel, Switzerland. This article is an open access article distributed under the terms and conditions of the Creative Commons Attribution (CC BY) license (https://creativecommons.org/licenses/by/4.0/).
Share and Cite
Al Kaabi, S.K.S.; Senthilkumar, A.; Kizhakkayil, J.; Alyafei, M.A.M.; Kurup, S.S.; Al Dhaheri, A.S.; Jaleel, A. Anticancer Activity of Moringa peregrina (Forssk.) Fiori.: A Native Plant in Traditional Herbal Medicine of the United Arab Emirates. Horticulturae 2022, 8, 37. https://doi.org/10.3390/horticulturae8010037
Al Kaabi SKS, Senthilkumar A, Kizhakkayil J, Alyafei MAM, Kurup SS, Al Dhaheri AS, Jaleel A. Anticancer Activity of Moringa peregrina (Forssk.) Fiori.: A Native Plant in Traditional Herbal Medicine of the United Arab Emirates. Horticulturae. 2022; 8(1):37. https://doi.org/10.3390/horticulturae8010037
Chicago/Turabian StyleAl Kaabi, Salama Khamis Sultan, Annadurai Senthilkumar, Jaleel Kizhakkayil, Mohammed Abdul Muhsen Alyafei, Shyam Sreedhara Kurup, Ayesha S. Al Dhaheri, and Abdul Jaleel. 2022. "Anticancer Activity of Moringa peregrina (Forssk.) Fiori.: A Native Plant in Traditional Herbal Medicine of the United Arab Emirates" Horticulturae 8, no. 1: 37. https://doi.org/10.3390/horticulturae8010037
APA StyleAl Kaabi, S. K. S., Senthilkumar, A., Kizhakkayil, J., Alyafei, M. A. M., Kurup, S. S., Al Dhaheri, A. S., & Jaleel, A. (2022). Anticancer Activity of Moringa peregrina (Forssk.) Fiori.: A Native Plant in Traditional Herbal Medicine of the United Arab Emirates. Horticulturae, 8(1), 37. https://doi.org/10.3390/horticulturae8010037

