The Influence of Protein Components on Quinoa Protein–Xanthan Gum Complex Gels at Different pH Levels
Abstract
1. Introduction
2. Results and Discussion
2.1. Effect of Protein Composition on Gel Structure at Different pH
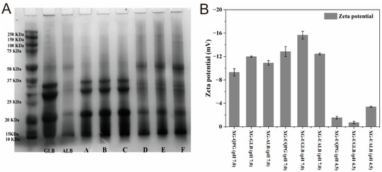
2.1.1. SDS-PAGE
2.1.2. Zeta Potential
2.1.3. FTIR
2.1.4. Total Sulfhydryl and Disulfide Bonds
2.1.5. SEM
2.2. Effect of Protein Composition on the Gel’s Rheological Properties at Different pH Levels
2.3. Effect of Protein Composition on the Gel’s Texture Properties at Different pH Levels
2.4. Effect of Protein Composition on the Functional Properties of Gels
2.4.1. WHC and OHC
2.4.2. EAI and ESI
3. Conclusions
4. Materials and Methods
4.1. Materials and Chemicals
4.2. Extraction of Protein
4.3. Ultrasonic Treatment of Protein
4.4. Preparation of Gels
4.5. Sodium Dodecyl Sulfate-Polyacrylamide Gel Electrophoresis (SDS-PAGE)
4.6. Zeta Potential
4.7. Fourier Transform Infrared Spectroscope (FTIR)
4.8. Total Sulfhydryl and Disulfide Bonds
4.9. Scanning Electron Microscope (SEM)
4.10. Texture Property
4.11. Rheological Property
4.12. Water Holding Capacity (WHC) and Oil Holding Capacity (OHC)
4.13. Emulsifying Ability Index (EAI) and Emulsifying Stability Index (ESI)
4.14. Statistical Analysis
Author Contributions
Funding
Institutional Review Board Statement
Informed Consent Statement
Data Availability Statement
Conflicts of Interest
References
- Van de Vondel, J.; Lambrecht, M.A.; Housmans, J.A.J.; Rousseau, F.; Schymkowitz, J.; Delcour, J.A. Impact of hydrothermal treatment on denaturation and aggregation of water-extractable quinoa (Chenopodium quinoa Willd.) protein. Food Hydrocoll. 2021, 115, 106611. [Google Scholar] [CrossRef]
- Hou, Y.; Wu, G. Nutritionally Essential Amino Acids. Adv. Nutr. 2018, 9, 849–851. [Google Scholar] [CrossRef] [PubMed]
- Bravi, E.; Sileoni, V.; Marconi, O. Quinoa (Chenopodium Quinoa Willd.) as Functional Ingredient for the Formulation of Gluten-Free Shortbreads. Foods 2024, 13, 377. [Google Scholar] [CrossRef] [PubMed]
- Van de Vondel, J.; Lambrecht, M.A.; Delcour, J.A. Osborne extractability and chromatographic separation of protein from quinoa (Chenopodium quinoa Willd.) wholemeal. LWT 2020, 126, 109321. [Google Scholar] [CrossRef]
- Dakhili, S.; Abdolalizadeh, L.; Hosseini, S.M.; Shojaee-Aliabadi, S.; Mirmoghtadaie, L. Quinoa protein: Composition, structure and functional properties. Food Chem. 2019, 299, 125161. [Google Scholar] [CrossRef]
- Li, B.; Xie, Y.; Guo, Q. Thermal acid hydrolysis modulates the solubility of quinoa protein: The formation of different types of protein aggregates. Food Hydrocoll. 2024, 151, 109825. [Google Scholar] [CrossRef]
- Çakir, E.; Foegeding, E.A. Combining protein micro-phase separation and protein-polysaccharide segregative phase separation to produce gel structures. Food Hydrocoll. 2011, 25, 1538–1546. [Google Scholar] [CrossRef]
- Gentile, L. Protein-polysaccharide interactions and aggregates in food formulations. Curr. Opin. Colloid. In. 2020, 48, 18–27. [Google Scholar] [CrossRef]
- Nsengiyumva, E.M.; Alexandridis, P. Xanthan gum in aqueous solutions: Fundamentals and applications. Int. J. Biol. Macromol. 2022, 216, 583–604. [Google Scholar] [CrossRef]
- García-Ochoa, F.; Santos, V.E.; Casas, J.A.; Gómez, E. Xanthan gum: Production, recovery, and properties. Biotechnol. Adv. 2000, 18, 549–579. [Google Scholar] [CrossRef]
- Yu, J.; Wang, X.Y.; Li, D.; Wang, L.; Wang, Y. Development of soy protein isolate emulsion gels as extrusion-based 3d food printing inks: Effect of polysaccharides incorporation. Food Hydrocoll. 2022, 131, 107824. [Google Scholar] [CrossRef]
- Xu, Q.; Zhang, X.; Zuo, Z.; Zhang, M.; Li, T.; Wang, L. The preparation and characterization of quinoa protein gels and application in eggless bread. Foods 2024, 13, 1271. [Google Scholar] [CrossRef] [PubMed]
- Li, M.; Yang, R.; Feng, X.; Fan, X.; Liu, Y.; Xu, X. Effects of low-frequency and high-intensity ultrasonic treatment combined with curdlan gels on the thermal gelling properties and structural properties of soy protein isolate. Food Hydrocoll. 2022, 127, 127506. [Google Scholar] [CrossRef]
- Liang, P.; Chen, S.; Fang, X.; Wu, J. Recent advance in modification strategies and applications of soy protein gel properties. Compr. Rev. Food Sci. Food Saf. 2024, 23, 13276. [Google Scholar] [CrossRef]
- Shaghaghian, S.; McClements, D.J.; Khalesi, M.; Garcia-Vaquero, M.; Mirzapour-Kouhdasht, A. Digestibility and bioavailability of plant-based proteins intended for use in meat analogues: A review. Treed Food Sci. Tech. 2022, 129, 646–656. [Google Scholar] [CrossRef]
- Hinderink, E.B.A.; Boire, A.; Renard, D.; Riaublanc, A.; Sagis, L.M.C.; Schroen, K.; Berton-Carabin, C.C. Combining plant and dairy proteins in food colloid design. Cocis 2021, 56, 101507. [Google Scholar] [CrossRef]
- Wang, R.-X.; Li, Y.-Q.; Sun, G.-J.; Wang, C.-Y.; Liang, Y.; Hua, D.-L.; Mo, H.-Z. The improvement and mechanism of gelation properties of mung bean protein treated by ultrasound. LWT 2023, 182, 114811. [Google Scholar] [CrossRef]
- Tang, Q.; Roos, Y.H.; Vahedikia, N.; Miao, S. Evaluation on pH-dependent thermal gelation performance of chickpea, pea protein, and casein micelles. Food Hydrocoll. 2024, 149, 109618. [Google Scholar] [CrossRef]
- Liu, S.; Xie, Y.; Li, B.; Li, S.; Yu, W.; Ye, A.; Guo, Q. Structural Properties of Quinoa Protein Isolate: Impact of Neutral to High Alkaline Extraction pH. Foods 2023, 12, 2589. [Google Scholar] [CrossRef]
- Nicolai, T.; Chassenieux, C. Heat-induced gelation of plant globulins. Curr. Opin. Food Sci. 2019, 27, 18–22. [Google Scholar] [CrossRef]
- Brückner-Gühmann, M.; Banovic, M.; Drusch, S. Towards an increased plant protein intake: Rheological properties, sensory perception and consumer acceptability of lactic acid fermented, oat-based gels. Food Hydrocoll. 2019, 96, 201–208. [Google Scholar] [CrossRef]
- Wu, C.; Hua, Y.; Chen, Y.; Kong, X.; Zhang, C. Effect of temperature, ionic strength and 11S ratio on the rheological properties of heat-induced soy protein gels in relation to network proteins content and aggregates size. Food Hydrocoll. 2017, 66, 389–395. [Google Scholar] [CrossRef]
- Xue, H.; Liu, H.; Wu, N.; Zhang, G.; Tu, Y.; Zhao, Y. Improving the gel properties of duck egg white by synergetic phosphorylation/ultrasound: Gel properties, crystalline structures, and protein structure. Ultrason. Sonochem. 2022, 89, 106149. [Google Scholar] [CrossRef] [PubMed]
- Zhang, X.; Zuo, Z.; Ma, W.; Yu, P.; Li, T.; Wang, L. Assemble behavior of ultrasound-induced quinoa protein nanoparticles and their roles on rheological properties and stability of high internal phase emulsions. Food Hydrocoll. 2021, 117, 106748. [Google Scholar] [CrossRef]
- Day, L. Proteins from land plants-Potential resources for human nutrition and food security. Treed Food Sci. Tech. 2013, 32, 25–42. [Google Scholar] [CrossRef]
- Chen, N.; Zhao, M.; Chassenieux, C.; Nicolai, T. Structure of self-assembled native soy globulin in aqueous solution as a function of the concentration and the pH. Food Hydrocolls. 2016, 56, 417–424. [Google Scholar] [CrossRef]
- Klost, M.; Drusch, S. Structure formation and rheological properties of pea protein-based gels. Food Hydrocoll. 2019, 94, 622–630. [Google Scholar] [CrossRef]
- Al-Ali, H.A.; Shah, U.; Hackett, M.J.; Gulzar, M.; Johnson, S.K. Technological strategies to improve gelation properties of legume proteins with the focus on lupin. Innov. Food Sci. Emerg. 2021, 18, 102634. [Google Scholar] [CrossRef]
- Berghout, J.A.M.; Venema, P.; Boom, R.M.; van der Goot, A.J. Comparing functional properties of concentrated protein isolates with freeze-dried protein isolates from lupin seeds. Food Hydrocoll. 2015, 51, 346–354. [Google Scholar] [CrossRef]
- Renkema, J.M.S.; Knabben, J.H.M.; van Vliet, T. Gel formation by β-conglycinin and glycinin and their mixtures. Food Hydrocoll. 2001, 15, 407–414. [Google Scholar] [CrossRef]
- Yaron, A.; Cohen, E.; Arad, S.M. Stabilization of aloe vera gel by interaction with sulfated polysaccharides from red microalgae and with xanthan gum. J. Agric. Food Chem. 1992, 40, 1316–1320. [Google Scholar] [CrossRef]
- Lakemond, C.M.M.; de Jongh, H.H.J.; Paques, M.; van Vliet, T.; Gruppen, H.; Voragen, A.G.J. Gelation of soy glycinin; influence of pH and ionic strength on network structure in relation to protein conformation. Food Hydrocoll. 2003, 17, 365–377. [Google Scholar] [CrossRef]
- Mezzenga, R.; Fischer, P. The self-assembly, aggregation and phase transitions of food protein systems in one, two and three dimensions. Rep. Prog. Phys. 2013, 76, 046601. [Google Scholar] [CrossRef] [PubMed]
- Zuo, Z.; Geng, Z.; Zhang, X.; Ma, T.; Liu, H.; Wang, L. Ultrasonic treatment influences the compactness of quinoa protein microstructure and improves the structural integrity of quinoa protein at the interfaces of high internal phase emulsion. Food Res. Int. 2023, 168, 112713. [Google Scholar] [CrossRef] [PubMed]
- Abugoch, L.E.; Romero, N.; Tapia, C.A.; Silva, J.; Rivera, M. Study of some physicochemical and functional properties of quinoa (Chenopodium quinoa Willd.) protein isolates. J. Agric. Food Chem. 2008, 56, 4745–4750. [Google Scholar] [CrossRef]
- Cao, H.; Huang, Q.; Wang, C.; Guan, X.; Huang, K.; Zhang, Y. Effect of compositional interaction on in vitro digestion of starch during the milling process of quinoa. Food Chem. 2022, 403, 134372. [Google Scholar] [CrossRef]
- Beveridge, T.; Toma, S.J.; Nakai, S. Determination of SH- and SS-groups in some food proteins using Ellman’S reagent. Food Sci. 1974, 39, 49–51. [Google Scholar] [CrossRef]
- Zhang, P.; Bao, Z.; Wang, H.; Tu, Z.; Sha, X.; Hu, Y. Ultrasonic pretreatment improved the physicochemical properties and riboflavin delivery ability of transglutaminase-catalyzed soy protein isolate gel. Food Hydrocoll. 2022, 131, 107782. [Google Scholar] [CrossRef]
- Tabilo-Munizaga, G.; Barbosa-Cánovas, G.V. Rheology for the food industry. J. Food Eng. 2005, 67, 147–156. [Google Scholar] [CrossRef]




| Total Sulfhydryl Group | Free Sulfhydryl | Disulfide Bond | |
|---|---|---|---|
| (µmol/g) | (µmol/g) | (µmol/g) | |
| XG-QPG (pH 7.0) | 124.63 ± 2.81 e | 48.30 ± 0.60 d | 38.17 ± 1.70 f |
| XG-GG (pH 7.0) | 1257.01 ± 14.96 c | 84.10 ± 3.39 c | 586.46 ± 9.18 b |
| XG-AG (pH 7.0) | 930.51 ± 23.56 d | 144.11 ± 2.72 b | 393.20 ± 13.14 d |
| XG-UQPG (pH7.0) | 386.97 ± 17.16 f | 31.95 ± 0.30 de | 177.51 ± 8.43 e |
| XG-UGG (pH 7.0) | 1669.13 ± 47.15 a | 10.59 ± 0.69 e | 829.27 ± 23.23 a |
| XG-UAG (pH 7.0) | 970.97 ± 17.26 d | 19.78± 3.88 ef | 475.59 ± 10.57 c |
| XG-UQPG (pH 4.5) | 112.05 ± 0.36 e | 43.66 ± 6.47 d | 34.20 ± 3.42 f |
| XG-UGG (pH 4.5) | 1332.90 ± 12.42 b | 151.20 ± 4.74 b | 590.85 ± 3.84 b |
| XG-UAG (pH 4.5) | 943.41 ± 16.17 d | 229.41 ± 13.48 a | 357.00 ± 14.82 d |
| Samples | Hardness | Springiness | Chewiness | Resilience |
|---|---|---|---|---|
| gf | gf | |||
| XG-QPG (pH 7.0) | 17.61 ± 0.76 d | 0.48 ± 0.01 d | 5.33 ± 0.53 d | 0.035 ± 0.000 de |
| XG-GG (pH 7.0) | 20.23 ± 0.89 d | 0.50 ± 0.01 d | 8.56 ± 1.10 c | 0.039 ± 0.001 d |
| XG-AG (pH 7.0) | 15.66 ± 0.45 d | 0.39 ± 0.01 e | 4.98 ± 0.24 c | 0.034 ± 0.001 de |
| XG-UQPG (pH 7.0) | 20.88 ± 1.94 d | 0.54 ± 0.02 c | 7.44 ± 0.34 c | 0.037 ± 0.002 d |
| XG-UGG (pH 7.0) | 38.07 ± 1.14 b | 0.56 ± 0.01 c | 15.48 ± 0.85 c | 0.061 ± 0.003 c |
| XG-UAG (pH 7.0) | 17.77 ± 1.03 d | 0.41 ± 0.01 e | 3.63 ± 0.31 c | 0.032 ± 0.001 e |
| XG-UQPG (pH 4.5) | 130.68 ± 11.7 a | 0.62 ± 0.02 b | 58.68 ± 8.63 a | 0.111 ± 0.003 a |
| XG-UGG (pH 4.5) | 133.44 ± 3.16 a | 0.66 ± 0.01 a | 41.34 ± 1.17 b | 0.113 ± 0.002 a |
| XG-UAG (pH 4.5) | 28.61 ± 1.45 c | 0.40 ± 0.01 e | 5.80 ± 0.75 c | 0.075 ± 0.002 b |
| WHC | OHC | |
|---|---|---|
| % | % | |
| XG-QPG (pH 7.0) | 80.38 ± 0.39 d | 95.05 ± 0.13 b |
| XG-GG (pH 7.0) | 81.46 ± 0.60 cd | 97.64 ± 0.61 ab |
| XG-AG (pH 7.0) | 81.05 ± 0.12 d | 97.25 ± 0.40 ab |
| XG-UQPG (pH 7.0) | 90.48 ± 0.37 b | 98.98 ± 0.03 a |
| XG-UGG (pH 7.0) | 97.70 ± 0.76 a | 99.26 ± 0.54 a |
| XG-UAG (pH 7.0) | 81.80 ± 0.43 cd | 97.95 ± 1.12 ab |
| XG-UQPG (pH 4.5) | 83.70 ± 1.55 c | 96.68 ± 1.11 ab |
| XG-UGG (pH 4.5) | 89.64 ± 1.12 b | 98.38 ± 1.55 a |
| XG-UAG (pH 4.5) | 71.29 ± 0.17 e | 97.89 ± 0.53 ab |
| Emulsifying Property m2/g | Emulsion Stability min | |
|---|---|---|
| XG-QPG (pH 7.0) | 19.65 ± 0.01 f | 24.76 ± 1.90 d |
| XG-GG (pH 7.0) | 93.96 ± 0.61 b | 20.61 ± 2.73 de |
| XG-AG (pH 7.0) | 90.28 ± 0.61 bc | 51.72 ± 2.72 bc |
| XG-UQPG (pH 7.0) | 88.28 ± 1.22 c | 80.05 ± 3.34 a |
| XG-UGG (pH 7.0) | 110.24 ± 3.38 a | 48.51 ± 1.49 c |
| XG-UAG (pH 7.0) | 90.89 ± 0.61 bc | 81.45 ± 4.02 a |
| XG-UQPG (pH 4.5) | 40.47 ± 1.53 e | 59.32 ± 2.27 b |
| XG-UGG (pH 4.5) | 81.99 ± 2.15 d | 13.69 ± 0.29 e |
| XG-UAG (pH 4.5) | 81.68 ± 0.61 d | 14.95 ± 0.17 e |
Disclaimer/Publisher’s Note: The statements, opinions and data contained in all publications are solely those of the individual author(s) and contributor(s) and not of MDPI and/or the editor(s). MDPI and/or the editor(s) disclaim responsibility for any injury to people or property resulting from any ideas, methods, instructions or products referred to in the content. |
© 2024 by the authors. Licensee MDPI, Basel, Switzerland. This article is an open access article distributed under the terms and conditions of the Creative Commons Attribution (CC BY) license (https://creativecommons.org/licenses/by/4.0/).
Share and Cite
Zhang, X.; Ding, Y.; Zhou, J.; Xu, Q.; Li, T.; Wang, L. The Influence of Protein Components on Quinoa Protein–Xanthan Gum Complex Gels at Different pH Levels. Gels 2024, 10, 840. https://doi.org/10.3390/gels10120840
Zhang X, Ding Y, Zhou J, Xu Q, Li T, Wang L. The Influence of Protein Components on Quinoa Protein–Xanthan Gum Complex Gels at Different pH Levels. Gels. 2024; 10(12):840. https://doi.org/10.3390/gels10120840
Chicago/Turabian StyleZhang, Xinxia, Yafeng Ding, Jiangtao Zhou, Qianqian Xu, Ting Li, and Li Wang. 2024. "The Influence of Protein Components on Quinoa Protein–Xanthan Gum Complex Gels at Different pH Levels" Gels 10, no. 12: 840. https://doi.org/10.3390/gels10120840
APA StyleZhang, X., Ding, Y., Zhou, J., Xu, Q., Li, T., & Wang, L. (2024). The Influence of Protein Components on Quinoa Protein–Xanthan Gum Complex Gels at Different pH Levels. Gels, 10(12), 840. https://doi.org/10.3390/gels10120840

