Environmental Screening of Fonsecaea Agents of Chromoblastomycosis Using Rolling Circle Amplification
Abstract
1. Introduction
2. Materials and Methods
2.1. Study Area and Samples
2.2. Padlock Probes
2.2.1. DNA Extraction of Environmental Samples
2.2.2. DNA Amplification
2.2.3. Ligation of Padlock Probes
2.2.4. Rolling Circle Amplification Reaction
2.2.5. Specificity and Detection Limit of RCA Padlock Probes In Vitro and In Vivo
2.3. Isolation and Molecular Identification
2.3.1. Isolation
2.3.2. Molecular Identification
3. Results
4. Discussion
5. Conclusions
Supplementary Materials
Author Contributions
Funding
Acknowledgments
Conflicts of Interest
References
- Deng, S.; Tsui, C.K.M.; van den Ende, A.H.G.G.; Yang, L.; Najafzadeh, M.J.; Badali, H.; Li, R.; Hagen, F.; Meis, J.F.; Sun, J.; et al. Global spread of human chromoblastomycosis is driven by recombinant Cladophialophora carrionii and predominantly clonal Fonsecaea species. PLoS Negl. Trop. Dis. 2015, 9, e0004004. [Google Scholar] [CrossRef] [PubMed]
- Nascimento, M.M.F.; Vicente, V.A.; Bittencourt, J.V.M.; Gelinski, J.M.L.; Prenafa-Boldúe, F.; Romero-Guizae, M.; Fornari, G.; Gomes, R.R.; Santos, G.D.; Van Den Ende, A.H.G.; et al. Diversity of opportunistic black fungi on babassu coconut shells, a rich source of esters and hydrocarbons. Fungal Biol. 2017, 121, 488–500. [Google Scholar] [CrossRef] [PubMed]
- Teixeira, M.M.; Moreno, L.F.; Stielow, B.J.; Muszewska, A.; Hainaut, M.; Gonzaga, L.; Abouelleil, A.; Patané, J.S.L.; Priest, M.; Souza, R.; et al. Exploring the genomic diversity of black yeasts and relatives (Chaetothyriales, Ascomycota). Stud. Mycol. 2017, 86, 1–28. [Google Scholar] [CrossRef] [PubMed]
- Vicente, V.A.; Ribeiro, O.; Najafzadeh, M.J.; Sun, J.; Guerra, R.S.; Miesch, S.; Ostrensky, A.; Meis, J.F.; Klaassen, C.H.; de Hoog, G.S.; et al. Black yeast-like fungi associated with lethargic crab disease (LCD) in the mangrove-land crab, Ucides cordatus (Ocypodidae). Vet. Microbiol. 2012, 158, 109–122. [Google Scholar] [CrossRef]
- Seyedmousavi, S.; Netea, G.M.; Mouton, J.W.; Melchers, W.J.G.; Verweij, P.E.; de Hoog, G.S. Black yeasts and their filamentous relatives: Principles of pathogenesis and host defense. Clin. Microbiol. Rev. 2014, 27, 527–542. [Google Scholar] [CrossRef]
- Queiroz-Telles, F.; de Hoog, G.S.; Santos, D.C.; Salgado, C.G.; Vicente, V.A.; Bonifaz, A.; Roilides, E.; Xi, L.; Azevedo, A.M.P.; Silva, M.B.; et al. Cromoblastomycosis: A neglected global disease. Clin. Microbiol. Rev. 2017, 30, 233–276. [Google Scholar] [CrossRef]
- Queiroz-Telles, F. Chromoblastomycosis, a neglected tropical disease. Rev. Inst. Med. Trop. São Paulo 2015, 57, 46–50. [Google Scholar] [CrossRef]
- Esterre, P.; Andriantsimahavandy, A.; Ramarcel, E.R.; Pecarrere, J.L. Forty years of chromoblastomycosis in Madagascar: A review. Am. J. Trop. Med. Hyg. 1996, 55, 45–47. [Google Scholar] [CrossRef]
- Silva, J.P.; de Souza, W.; Rozental, S. Chromoblastomycosis: A retrospective study of 325 cases on Amazonic Region (Brazil). Mycopathologia 1999, 143, 171–175. [Google Scholar] [CrossRef] [PubMed]
- Pérez-Blanco, M.; Hernández Valles, R.; García-Humbría, L.; Yegres, F. Chromoblastomycosis in children and adolescents in the endemic area of the Falcón State, Venezuela. Med. Mycol. 2006, 44, 467–471. [Google Scholar] [CrossRef]
- Vicente, V.A.; Najafzadeh, M.J.; Sun, J.; Romes, R.R.; Robl, D.; Marques, S.G.; Azevedo, C.M.P.S.; de Hoog, G.S. Environmental siblings of black agents of human chromoblastomycosis. Fungal Divers. 2013, 65, 47–63. [Google Scholar] [CrossRef]
- Gomes, R.R.; Vicente, V.A.; Azevedo, C.M.P.S.; Salgado, C.G.; Silva, M.B.; Queiroz-Telles, F.; Marques, S.G.; Santos, D.W.C.L.; Andrade, T.S.; Takagi, E.H.; et al. Molecular epidemiology of agents of human chromoblastomycosis in Brazil with the description of two novel species. PLoS Negl. Trop. Dis. 2016, 11, e0005315. [Google Scholar] [CrossRef]
- Salgado, C.G.; Silva, J.P.; Diniz, J.A.P.; Silva, M.B.; Costa, P.F.; Teixeira, C.; Salgado, U.I. Isolation of Fonsecaea pedrosoi from thorns of Mimosa pudica, a probable natural source of chromoblastomycosis. Rev. Inst. Med. Trop. Sao Paulo 2004, 46, 33–36. [Google Scholar] [CrossRef][Green Version]
- Sudhadham, M.; de Hoog, G.S.; Menken, S.B.J.; van den Ende, A.H.G.G.; Sihanonth, P. Rapid screening for genotypes as possible markers of virulence in the neurotropic black yeast Exophiala dermatitidis using PCR-RFLP. J. Microbiol. Methods 2010, 80, 138–142. [Google Scholar] [CrossRef]
- De Hoog, G.S.; Nishikaku, A.S.; Fernandez-Zeppenfeldt, G.; Padín-González, C.; Burger, E.; Badali, H.; Richard-Yegres, N.; van den Ende, A.H.G.G. Molecular analysis and pathogenicity of the Cladophialophora carrionii complex, with the description of a novel species. Stud. Mycol. 2007, 58, 219–234. [Google Scholar] [CrossRef]
- Vicente, V.A.; Attili-Agelis, D.; Pie, M.R.; Queiroz-Telles, F.; Cruz, M.; Najafzadeh, M.J.; de Hoog, G.S.; Zhao, J.; Pizzirani-Kleiner, A. Environmental isolation of black yeast-like fungi involved in human infection. Stud. Mycol. 2008, 61, 137–144. [Google Scholar] [CrossRef]
- Vicente, V.A.; Weiss, V.A.; Bombassaro, A.; Moreno, L.F.; Costa, F.F.; Raittz, R.T.; Leão, A.C.; Gomes, R.R.; Bocca, A.L.; Fornari, G.; et al. Comparative genomics of sibling species of Fonsecaea associated with human chromoblastomycosis. Front. Microbiol. 2017, 8, 1924. [Google Scholar] [CrossRef]
- Sun, J.; Najafzadh, M.J.; Vicente, V.A.; Xi, L.; de Hoog, G.S. Rapid detection of pathogenic fungi using loop-mediated isothermal amplification, exemplified by Fonsecaea agents of chromoblastomycosis. J. Microbiol. Methods 2010, 80, 19–24. [Google Scholar] [CrossRef]
- Van Elsas, J.D.; Boersma, F.G.H. A review of molecular methods to study the microbiota of soil and the mycosphere. Eur. J. Soil Biol. 2011, 47, 77–87. [Google Scholar] [CrossRef]
- Najafzadeh, M.J.; Dolatabadi, S.; Saradeghi Keisari, M.; Naseri, A.; Feng, P.; de Hoog, G.S. Detection and identification of opportunistic Exophiala species using the rolling circle amplification of ribosomal internal transcribed spacers. J. Microbiol. Methods 2013, 94, 338–342. [Google Scholar] [CrossRef]
- Irinyi, L.; Lackner, M.; de Hoog, G.S.; Meyer, W. DNA barcoding of fungi causing infections in humans and animals. Fungal Biol. 2016, 120, 125–136. [Google Scholar] [CrossRef]
- Tsui, C.K.M.; Woodhall, J.; Chen, W.; Levesque, C.A.; Lau, A.; Schoens, C.D.; Bachiens, C.; Najafzadeh, M.J.; de Hoog, G.S. Molecular techniques for pathogen identification and fungus detection in the environment. IMA Fungus 2011, 2, 177–189. [Google Scholar] [CrossRef] [PubMed]
- Nilson, M.; Malmgren, H.; Samiotaki, M.; Kwiatkowski, M.; Chowdhary, B.P.; Landegren, U. Padlock probes: Circularizing oligonucleotides for localized DNA detection. Science 1994, 265, 2085–2088. [Google Scholar] [CrossRef]
- Atkins, S.D.; Clarck, I.M. Fungal molecular diagnostics: A mini review. J. Appl. Genet. 2004, 45, 3–15. [Google Scholar] [PubMed]
- Najafzadeh, M.J.; Sun, J.; Vicente, V.A.; de Hoog, G.S. Rapid detection and identification of fungal pathogens by rolling circle amplification (RCA) using Fonsecaea as a model. Mycoses 2011, 54, 577–582. [Google Scholar] [CrossRef]
- Marques, S.G.; Silva, C.M.P.; Saldanha, P.C.; Rezende, M.A.; Vicente, V.A.; Queiroz-Telles, F.; Costa, J.M.L. Isolation of Fonsecaeae from the shell of the babassu coconut (Orbygnia phalerata Martius) in the Amazon region of Maranhão Brazil. Jpn. J. Med Mycol. 2006, 47, 305–311. [Google Scholar] [CrossRef][Green Version]
- Silva, C.M.; Da Rocha, R.M.; Moreno, J.S.; Silva, R.R.; Marques, S.G.; Costa, J.M. The coconut babaçu (Orbignya phalerata martins) as a probable risk of human infection by the agent of chromoblastomycosis in the State of Maranhão. Rev. Soc. Bras. Med. Trop. 1995, 28, 49–52. [Google Scholar] [CrossRef] [PubMed][Green Version]
- Ferreira, M.E.; Grattapaglia, D. Introdução ao Uso de Marcadores Moleculares em Análise Genética, 3rd ed.; Embrapa Recursos genéticos e Biotecnologia: Brasília, Brazil, 1998. [Google Scholar]
- White, T.J.; Bruns, T.; Lee, S.; Taylor, J.W. Amplification and direct sequencing of fungal ribosomal RNA genes for phylogenetics. In PCR Protocols: A Guide to the Methods and Applications; Innis, M.A., Gelfand, D.H., Sninsky, J.J., White, T.J., Eds.; Academic Press: New York, NY, USA, 1990; pp. 315–322. [Google Scholar]
- Iwatsu, T.; Miyaji, M.; Okamoto, S. Isolation of Phialophora verrucosa and Fonsecaea pedrosoi from nature in Japan. Mycopathologia 1981, 75, 149–158. [Google Scholar] [CrossRef]
- Rodrigues, A.M.; Najafzadeh, M.J.; de Hoog, G.S.; De Camargo, Z.P. Rapid identification of emerging human-pathogenic Sporothrix species with rolling circle amplification. Front. Microbiol. 2015, 6, 1385. [Google Scholar] [CrossRef]
- Davari, M.; van Diepeningen, A.D.; Badai-Ahari, A.; Arzanlou, M.; Najafzadeh, M.J.; Van Der Lee, T.A.J.; de Hoog, G.S. Rapid identification of Fusarium graminearum species complex using Rolling Circle Amplification (RCA). J. Microbiol. Methods 2012, 89, 63–70. [Google Scholar] [CrossRef]
- Furuie, J.L.; Sun, J.; Do Nascimento, M.F.; Gomes, R.R.; Waculicz-Andrade, C.E.; Sessegolo, G.C.; Rodrigues, A.M.; Galvão-Dias, M.A.; De Camargo, Z.P.; Queiroz-Telles, F.; et al. Molecular identification of Histoplasma capsulatum using rolling circle amplification. Mycoses 2016, 59, 12–19. [Google Scholar] [CrossRef] [PubMed]
- Vicente, V.A.; Attili-Agelis, D.; Queiroz-Telles, F.; Pizzirani-Kleiner, A.A. Isolation of herpotrichiellacious fungi from the environment. Braz. J. Microbiol. 2001, 32, 47–51. [Google Scholar] [CrossRef]
- Lima, B.J.F.D.S.; Voidaleski, M.F.; Gomes, R.R.; Fornari, G.; Barbosa Soares, J.M.; Bombassaro, A.; Schneider, G.X.; Soley, B.D.S.; Azevedo, C.D.M.P.E.S.D.; Menezes, C.; et al. Selective isolation of agents of chromoblastomycosis from insect-associated environmental sources. Fungal Biol. 2020, 124, 194–204. [Google Scholar] [CrossRef] [PubMed]
- Heidrich, D.; González, G.M.; Paganic, D.M.; Ramírez-Castrillónc, M.; Scrofernekera, M.L. Chromoblastomycosis caused by Rhinocladiella similis: Case report. Med. Mycol. Case Rep. 2017, 16, 25–27. [Google Scholar] [CrossRef]
- Agarwal, R.; Singh, G.; Ghosh, A.; Verma, K.K.; Pandey, M.; Xess, I. Chromoblastomycosis in India: Review of 169 cases. PLoS Negl. Trop. Dis. 2017, 11, e0005534. [Google Scholar] [CrossRef]
- Fornari, G.; Gomes, R.R.; Degenhardt-Goldbach, J.; Lima, B.J.S.; Voidaleski, M.F.; Santos, S.S.; Almeida, S.R.; Muro, M.D.; Bonna, C.; Scola, R.H.; et al. A Model for Trans-Kingdom Pathogenicity in Fonsecaea Agents of Human Chromoblastomycosis. Front. Microbiol. 2018, 9, 2211. [Google Scholar] [CrossRef]
- Satow, M.M.; Attili-Angelis, D.; de Hoog, G.S.; Angelis, D.F.; Vicente, V.A. Selective factors involved in oil flotation isolation of black yeasts from the environment. Stud. Mycol. 2008, 61, 157–163. [Google Scholar] [CrossRef]
- Guerra, R.S.; Nascimento, M.M.F.; Miesch, S.; Najafzadeh, M.J.; Ribeiro, R.O.; Ostrensky, A.; de Hoog, G.S.; Vicente, V.A.; Boeger, W.A. Black Yeast Biota in the Mangrove, in Search of the Origin of the Lethargic Crab Disease (LCD). Mycopathologia 2013, 75, 421–430. [Google Scholar] [CrossRef]
- Arantes, T.D.; Theodoro, R.C.; Macoris, S.A.G.; Bagagli, E. Detection of Paracoccidioides spp. in environmental aerosol samples. Med. Mycol. 2013, 51, 83–92. [Google Scholar] [CrossRef] [PubMed]
- Norkaew, T.; Ohno, H.; Sriburee, P.; Tanabe, K.; Tharavichitkul, P.; Takarn, P.; Puengchan, T.; Bumrungsri, S.; Miyazake, Y. Detection of environmental sources of Histoplasma capsulatum in Chiang Mai, Thailand, by Nested PCR. Mycopathologia 2013, 6, 395–402. [Google Scholar] [CrossRef]




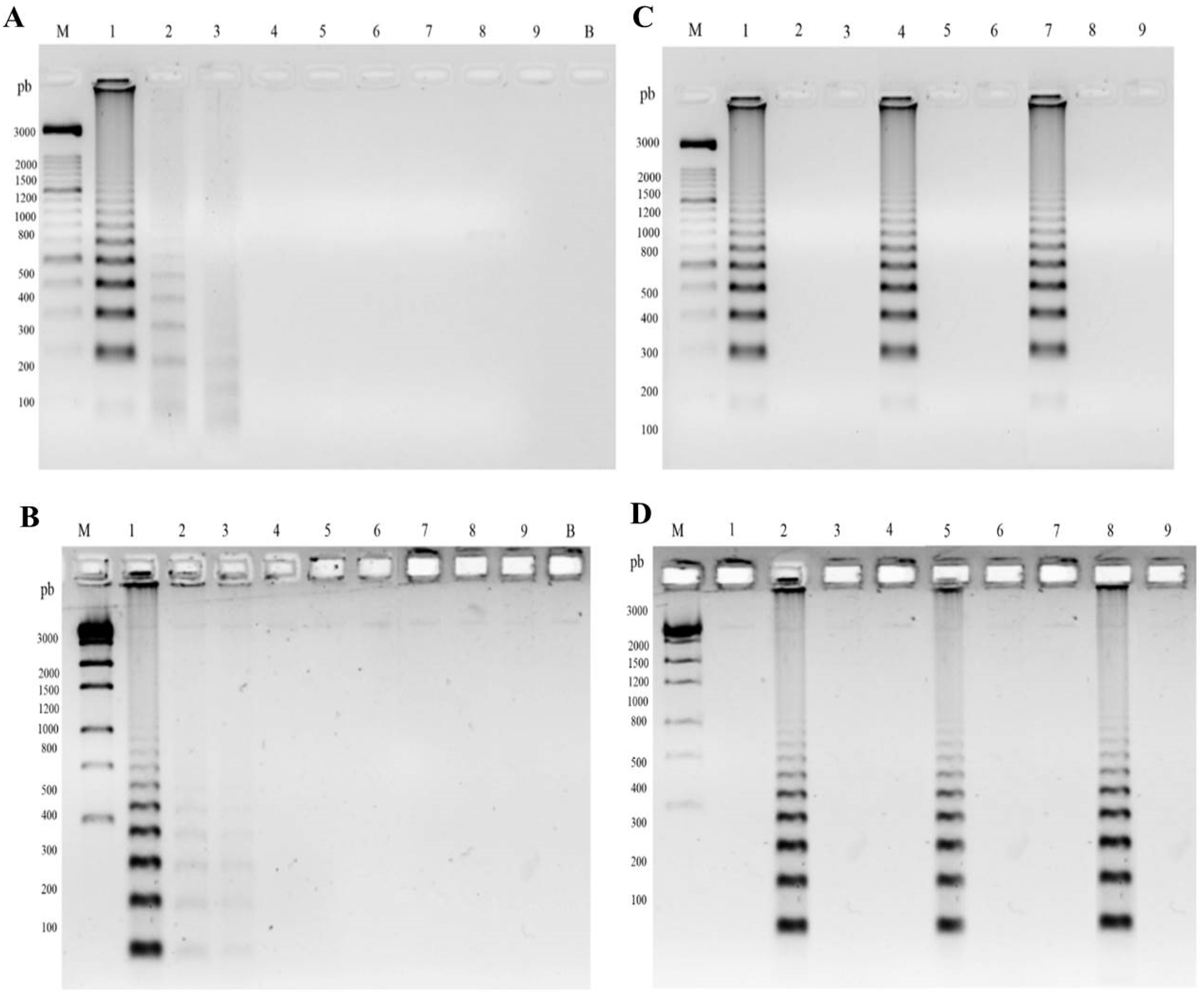
| DNA Test | Species | Collection Number | Source/Geography | Padlock Probe | |
|---|---|---|---|---|---|
| FOP | FOM | ||||
| Fungal DNA | F. pedrosoi | CBS271.37 T | Chromoblastomycosis, South America | (+) | (−) |
| F. monophora | CBS269.37 T | Chromoblastomycosis, South America | (−) | (+) | |
| F. erecta | CBS125763 T | Spine of Japecanga plant, Brazil, Bacabeira | (−) | (−) | |
| F. nubica | CBS125.198 T | Chromoblastomycosis, Cameroon | (−) | (−) | |
| F. pugnacious | CMRP1343 T | Chromoblastomycosis, South America | (−) | (−) | |
| C. albicans | CMRP816 | Human, Brazil | (−) | (−) | |
| P. citrinum | CMRP1538 | Metal, Tucuruí, Brazil | (−) | (−) | |
| A. nidulans | CMRP2338 | - | (−) | (−) | |
| Environmental test DNA samples | M. pudica | Plant in vitro | (−) | (−) | |
| M. pudica with F. pedrosoi | CBS271.37 T | Plant in vitro (20 ng/µL) with 0.5 ng/µL of F. pedrosoi | (+) | (−) | |
| M. pudica with F. monophora | CBS269.37 T | Plant in vitro (20 ng/µL) with 0.5 ng/µL of F. monophora | (−) | (+) | |
| M. pudica with F. erecta | CBS125763 T | Plant in vitro (20 ng/µL) with 0.5 ng/µL of F. erecta | (−) | (−) | |
| B. gasipaes with F. pedrosoi | CBS271.37 T | Plant inoculated with 105 spores of F. pedrosoi | (+) | (−) | |
| B. gasipaes with F. monophora | CBS269.37 T | Plant inoculated with 105 spores of F. monophora | (−) | (+) | |
| B. gasipaes with F. erecta | CBS125763 T | Plant inoculated with 105 spores of F. erecta | (−) | (−) | |
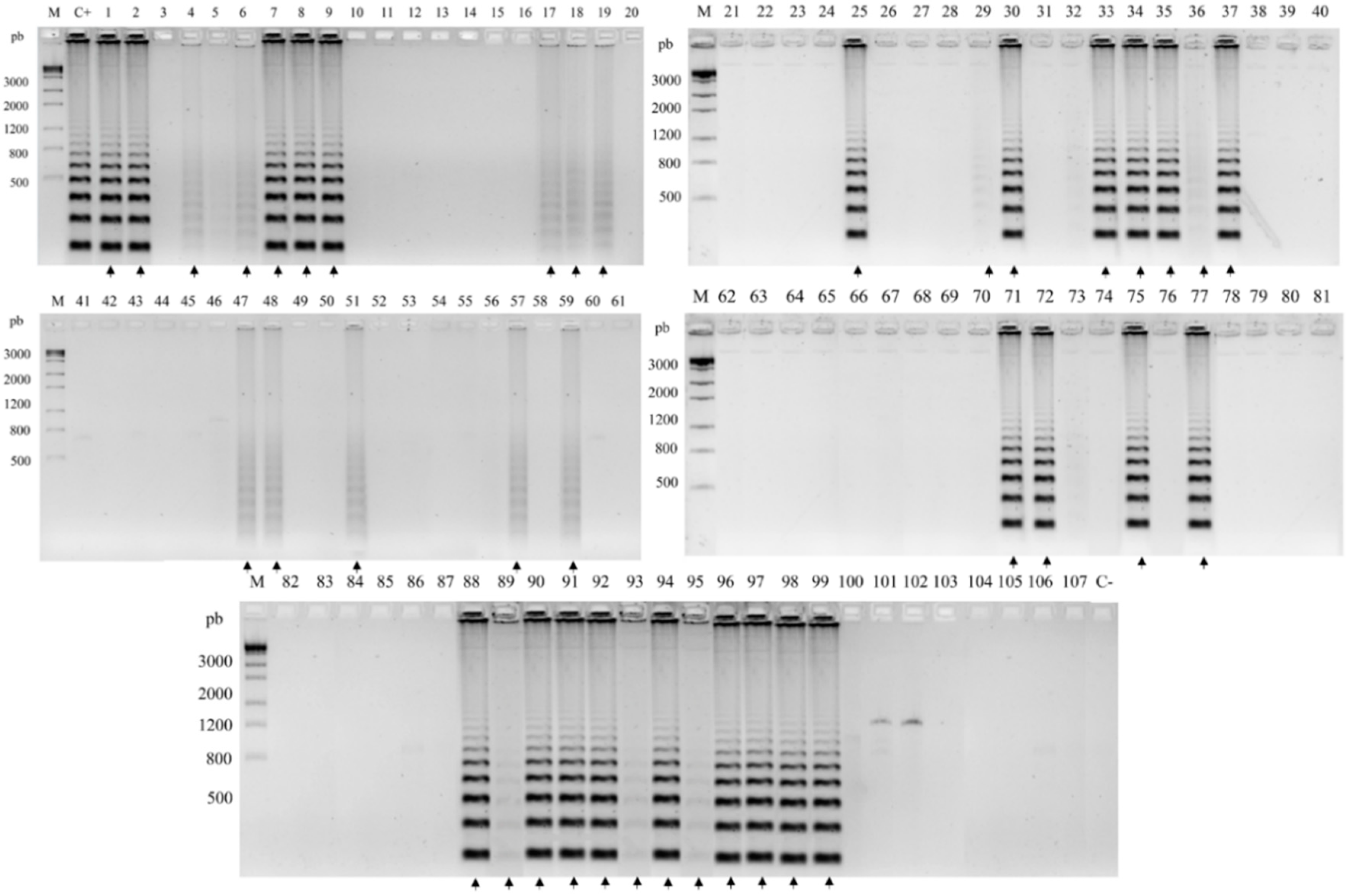
| Positive Sample | Substrate | Padlock Probe Positive | N. Isolates | CMRP | Molecular ID. | GenBank Accession |
|---|---|---|---|---|---|---|
| 1 | Decomposing Material | FOP; FOM | 4 | CMRP2566 | Melanoctona tectonae | MT075634 |
| CMRP2821 | Melanoctona tectonae | MT075635 | ||||
| CMRP2840 | Cladosporium sp. | MT075636 | ||||
| CMRP2863 | Cyphellophora sp. | MT075637 | ||||
| 2 | Decomposing Material | FOP; FOM | 2 | CMRP2617 | Strelitziana sp. | MT080291 |
| CMRP2859 | Cyphellophora ambigua | MT075638 | ||||
| 4 | Decomposing Material | FOM | 5 | CMRP2619 | Cladosporium sp. | MT075639 |
| CMRP2594 | Cladosporium sp. | MT075640 | ||||
| CMRP2598 | Mycosphaerellaceae | MT080292 | ||||
| CMRP2826 | Exophiala alcalophila | MT075641 | ||||
| CMRP2822 | Exophiala spinifera | MT075642 | ||||
| 6 | Leaf, A. vulgare | FOM | 2 | CMRP2601 | Hyalocladosporiella cannae | MT075643 |
| CMRP2850 | Exophiala spinifera | MT075644 | ||||
| 7 | Leaf, S. paniculatum | FOP; FOM | 14 | CMRP2560 | Hyalocladosporiella cannae | MT075645 |
| CMRP2848 | Hyalocladosporiella cannae | MT075646 | ||||
| CMRP2564 | Hyalocladosporiella cannae | MT075647 | ||||
| CMRP2567 | Hyalocladosporiella cannae | MT075648 | ||||
| CMRP2557 | Hyalocladosporiella cannae | MT075649 | ||||
| CMRP2589 | Nigrograna obliqua | MT075650 | ||||
| CMRP2591 | Hyalocladosporiella cannae | MT075651 | ||||
| CMRP2609 | Hyalocladosporiella cannae | MT075652 | ||||
| CMRP2615 | Hyalocladosporiella cannae | MT075653 | ||||
| CMRP2851 | Hyalocladosporiella cannae | MT075654 | ||||
| CMRP2852 | Hyalocladosporiella cannae | MT075655 | ||||
| CMRP3098 | Hyalocladosporiella cannae | MT075656 | ||||
| CMRP3094 | Hyalocladosporiella cannae | MT075657 | ||||
| CMRP2867 | Hyalocladosporiella cannae | MT075658 | ||||
| 8 | Leaf, S. dulcis | FOM | 1 | CMRP2868 | Hyalocladosporiella cannae | MT075659 |
| 17 | Stalk, S. paniculatum | FOM | 11 | CMRP2562 | Chaetothyriales | MT080293 |
| CMRP2569 | Cyphellophora sp. | MT075660 | ||||
| CMRP2620 | Cladosporium sp. | MT075661 | ||||
| CMRP2568 | Hyalocladosporiella cannae | MT075662 | ||||
| CMRP2586 | Hyalocladosporiella cannae | MT075663 | ||||
| CMRP2622 | Mycosphaerellaceae | MT080294 | ||||
| CMRP2614 | Hyalocladosporiella cannae | MT075664 | ||||
| CMRP2828 | Strelitziana sp. | MT080295 | ||||
| CMRP2837 | Cyphellophora oxyspora | MT075665 | ||||
| CMRP2839 | Teratosphaeria sp. | MT080296 | ||||
| CMRP3086 | Chaetothyriales | MT080297 | ||||
| 35 | Stalk, A. vulgare | FOM | 1 | CMRP2624 | Strelitziana sp. | MT080298 |
| 47 | Leaf, S. dulcis | FOM | 1 | CMRP3082 | Mycosphaerellaceae | MT080299 |
| 51 | Stalk, S. dulcis | FOM | 6 | CMRP3116 | Cladosporium sp. | MT075666 |
| CMRP3114 | Ochroconis sp. | MT075667 | ||||
| CMRP3113 | Cladosporium sp. | MT075668 | ||||
| CMRP3001 | Pyriculariaceae | MT080300 | ||||
| CMRP3074 | Chaetothyriales | MT080301 | ||||
| CMRP2985 | Mycosphaerellaceae | MT080302 | ||||
| 57 | Decomposing Material | FOM | 6 | CMRP2986 | Mycosphaerellaceae | MT080303 |
| CMRP2998 | Fonsecaea brasiliensis | MT075669 | ||||
| CMRP3104 | Mycosphaerellaceae | MT080304 | ||||
| CMRP3085 | Mycosphaerellaceae | MT080305 | ||||
| CMRP3107 | Mycosphaerellaceae | MT080306 | ||||
| CMRP3088 | Chaetothyriales | MT080307 | ||||
| 59 | Decomposing Material | FOM | 8 | CMRP2855 | Chaetothyriales | MT080308 |
| CMRP2856 | Chaetothyriales | MT080309 | ||||
| CMRP2865 | Chaetothyriales | MT080310 | ||||
| CMRP2869 | Chaetothyriales | MT080311 | ||||
| CMRP2874 | Chaetothyriales | MT080312 | ||||
| CMRP3002 | Chaetothyriales | MT080313 | ||||
| CMRP3109 | Fonsecaea brasiliensis | MT075670 | ||||
| CMRP2582 | Cladosporium sp. | MT075671 | ||||
| 71 | Soil | FOM | 1 | CMRP2561 | Exophiala spinifera | MT075672 |
| 72 | Soil | FOM | 5 | CMRP2580 | Mycosphaerellaceae | MT080314 |
| CMRP2602 | Exophiala spinifera | MT075673 | ||||
| CMRP2605 | Exophiala spinifera | MT075674 | ||||
| CMRP2610 | Trichomeriaceae | MT080315 | ||||
| CMRP3117 | Cyphellophora oxyspora | MT075675 | ||||
| Total | 67 | |||||
Publisher’s Note: MDPI stays neutral with regard to jurisdictional claims in published maps and institutional affiliations. |
© 2020 by the authors. Licensee MDPI, Basel, Switzerland. This article is an open access article distributed under the terms and conditions of the Creative Commons Attribution (CC BY) license (http://creativecommons.org/licenses/by/4.0/).
Share and Cite
Voidaleski, M.F.; Gomes, R.R.; Azevedo, C.d.M.P.e.S.d.; Lima, B.J.F.d.S.; Costa, F.d.F.; Bombassaro, A.; Fornari, G.; Cristina Lopes da Silva, I.; Andrade, L.V.; Lustosa, B.P.R.; et al. Environmental Screening of Fonsecaea Agents of Chromoblastomycosis Using Rolling Circle Amplification. J. Fungi 2020, 6, 290. https://doi.org/10.3390/jof6040290
Voidaleski MF, Gomes RR, Azevedo CdMPeSd, Lima BJFdS, Costa FdF, Bombassaro A, Fornari G, Cristina Lopes da Silva I, Andrade LV, Lustosa BPR, et al. Environmental Screening of Fonsecaea Agents of Chromoblastomycosis Using Rolling Circle Amplification. Journal of Fungi. 2020; 6(4):290. https://doi.org/10.3390/jof6040290
Chicago/Turabian StyleVoidaleski, Morgana Ferreira, Renata Rodrigues Gomes, Conceição de Maria Pedrozo e Silva de Azevedo, Bruna Jacomel Favoreto de Souza Lima, Flávia de Fátima Costa, Amanda Bombassaro, Gheniffer Fornari, Isabelle Cristina Lopes da Silva, Lucas Vicente Andrade, Bruno Paulo Rodrigues Lustosa, and et al. 2020. "Environmental Screening of Fonsecaea Agents of Chromoblastomycosis Using Rolling Circle Amplification" Journal of Fungi 6, no. 4: 290. https://doi.org/10.3390/jof6040290
APA StyleVoidaleski, M. F., Gomes, R. R., Azevedo, C. d. M. P. e. S. d., Lima, B. J. F. d. S., Costa, F. d. F., Bombassaro, A., Fornari, G., Cristina Lopes da Silva, I., Andrade, L. V., Lustosa, B. P. R., Najafzadeh, M. J., de Hoog, G. S., & Vicente, V. A. (2020). Environmental Screening of Fonsecaea Agents of Chromoblastomycosis Using Rolling Circle Amplification. Journal of Fungi, 6(4), 290. https://doi.org/10.3390/jof6040290

