Previous Issue
Volume 11, November
 
 

J. Fungi, Volume 11, Issue 12 (December 2025) – 19 articles

  • Issues are regarded as officially published after their release is announced to the table of contents alert mailing list.
  • You may sign up for e-mail alerts to receive table of contents of newly released issues.
  • PDF is the official format for papers published in both, html and pdf forms. To view the papers in pdf format, click on the "PDF Full-text" link, and use the free Adobe Reader to open them.
Order results
Result details
Section
Select all
Export citation of selected articles as:
23 pages, 1606 KB  
Article
Fusarium Species Associated with Spikes and Grains of Cereal Crops in the Volga Region: Virulence and Toxin-Producing Potential
by Inna B. Chastukhina, Egor A. Ryazanov, Sergey N. Ponomarev, Irina O. Ivanova, Svetlana Y. Pavlova, Ildar T. Sakhabutdinov, Elena V. Osipova, Mira L. Ponomareva and Vladimir Y. Gorshkov
J. Fungi 2025, 11(12), 841; https://doi.org/10.3390/jof11120841 (registering DOI) - 27 Nov 2025
Abstract
Fusarium head blight (FHB) is a major threat to cereal crops, causing yield losses and mycotoxin contamination. This study investigated Fusarium species associated with spikes and grains of cereals in the Volga region, focusing on species diversity, virulence, and mycotoxin production. F. sporotrichioides [...] Read more.
Fusarium head blight (FHB) is a major threat to cereal crops, causing yield losses and mycotoxin contamination. This study investigated Fusarium species associated with spikes and grains of cereals in the Volga region, focusing on species diversity, virulence, and mycotoxin production. F. sporotrichioides, F. avenaceum, and F. poae were the most prevalent species isolated from wheat, rye, barley, triticale, and stored grains in the Volga region. Individual strains of F. culmorum and F. graminearum were also identified. High intraspecific variability in virulence was observed for the first time within F. sporotrichioides and F. poae species, and highly virulent strains were identified for the first time within these species. Not only symptomatic but also asymptomatic (weakly expressed) infections caused by F. sporotrichioides were shown to be associated with the accumulation of high levels of T-2 toxin in the grains of infected plants. F. sporotrichioides strains were first demonstrated to exhibit intraspecific variability in zearalenone-producing potential. A F. graminearum strain possessing the nivalenol chemotype was first identified in Russia. The study highlights the diversity of the regional FHB pathocomplex and the risks it poses to grain safety. Full article
(This article belongs to the Special Issue Pathogenic Fungal–Plant Interactions)
36 pages, 1863 KB  
Review
Silent Saboteurs: Decoding Mycotoxins—From Chemistry and Prevalence to Health Risks, Detection, Management and Emerging Frontiers
by Kasun M. Thambugala, Dilakshini Dayananda, Samawansha Tennakoon, Hiruni Harischandra, Pamoda Jayatunga, Nissanka de Silva, Asanthi Dhanusha, Sahan Madusanka, Dinushani A. Daranagama, Madhusha Gonapaladeniya, Sukanya Haituk and Ratchadawan Cheewangkoon
J. Fungi 2025, 11(12), 840; https://doi.org/10.3390/jof11120840 (registering DOI) - 27 Nov 2025
Abstract
Mycotoxins, toxic secondary metabolites produced by filamentous fungi, pose significant threats to global food safety, public health, and agricultural sustainability. This review summarizes the classification, biosynthesis, chemistry, and mechanisms of action of these compounds, and highlights their global prevalence and the serious health [...] Read more.
Mycotoxins, toxic secondary metabolites produced by filamentous fungi, pose significant threats to global food safety, public health, and agricultural sustainability. This review summarizes the classification, biosynthesis, chemistry, and mechanisms of action of these compounds, and highlights their global prevalence and the serious health consequences of both acute and chronic exposure. Despite decades of research, substantial gaps remain in effective surveillance, prevention, and risk management. Traditional control and detection strategies, although valuable, are often limited by their sensitivity, high costs, and inadequate field applicability. Addressing these gaps, this review emphasizes the potential of emerging technologies, particularly the integration of artificial intelligence (AI) and machine learning (ML) with advanced sensing platforms, to revolutionize mycotoxin detection. These innovations offer enhanced precision, real-time monitoring, and predictive modelling capabilities, paving the way for proactive food safety systems. By critically evaluating current knowledge and exploring future-oriented solutions, this review highlights the urgent need for interdisciplinary approaches that integrate molecular insights, biotechnological advancements, and digital technologies. Finally, we emphasize that adopting these novel strategies is essential to overcoming the silent yet profound global impact of mycotoxins. Full article
(This article belongs to the Section Fungal Cell Biology, Metabolism and Physiology)
Show Figures

Figure 1

23 pages, 2593 KB  
Article
MAPK Pathways Coordinate Stress Adaptation by Mobilizing Specialized Gene Modules in Entomopathogenic Fungus Beauveria bassiana
by Shuaishuai Huang, Hailing Fan, Chenhua Zhu, Meixian Li, Leilei Liu, Mengdi Bai, Yonghong Zhou and Yongjun Zhang
J. Fungi 2025, 11(12), 839; https://doi.org/10.3390/jof11120839 (registering DOI) - 27 Nov 2025
Abstract
Mitogen-activated protein kinase (MAPK) cascades are critical for fungal development, stress adaptation. and virulence. However, their dynamic and stress-specific regulatory networks in entomopathogenic fungi remain largely unresolved. This study systematically investigates the roles of all three key MAPKs—BbHog1, BbSlt2, and BbMpk1—in insect pathogenic [...] Read more.
Mitogen-activated protein kinase (MAPK) cascades are critical for fungal development, stress adaptation. and virulence. However, their dynamic and stress-specific regulatory networks in entomopathogenic fungi remain largely unresolved. This study systematically investigates the roles of all three key MAPKs—BbHog1, BbSlt2, and BbMpk1—in insect pathogenic fungus Beauveria bassiana. A combination of detailed phenotypic profiling of deletion mutants (ΔBbHog1, ΔBbSlt2, and ΔBbMpk1) and time-course transcriptomics (RNA-seq at 0, 0.5, and 12 h) under osmotic, cell-wall, oxidative, and thermal stress conditions was employed, followed by weighted gene co-expression network analysis (WGCNA). This approach delineated twelve stress-responsive gene modules regulated by those MAPKs that were highly associated with fungal stress adaptation, including membrane repair, redox balance, cell-wall remodeling, and core metabolism. Functional analyses showed that Hog1 orchestrates osmoadaptation through coordinated control of osmolyte metabolism, glycolytic flux, and cell-wall remodeling; Slt2 protects against thermal damage by sustaining membrane integrity, ergosterol homeostasis, and redox balance; and Mpk1 directs oxidative stress responses by tuning mitochondrial activity, metabolic suppression, and detoxification pathways. In summary, this work outlines a concise, systems-level framework of MAPK-mediated stress regulation in B. bassiana, providing mechanistic insight into fungal environmental resilience and identifying molecular targets for the engineering of robust biocontrol strains. Full article
(This article belongs to the Collection Entomopathogenic and Nematophagous Fungi)
Show Figures

Graphical abstract

18 pages, 3565 KB  
Article
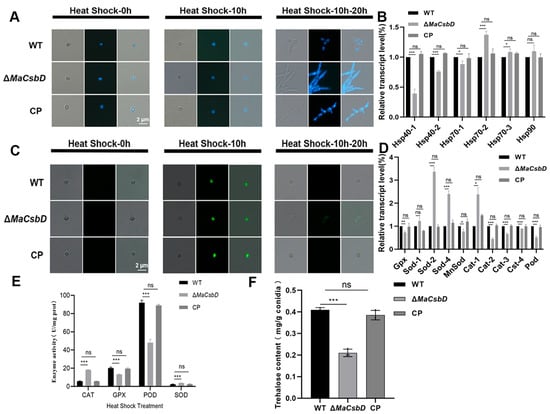
MaCsbD Mediates Thermotolerance and UV-B Resistance in Metarhizium acridum by Regulating DNA Repair, Antioxidant Defense, and Protective Metabolites
by Xinyu Li, Ke Li and Yuxian Xia
J. Fungi 2025, 11(12), 838; https://doi.org/10.3390/jof11120838 (registering DOI) - 27 Nov 2025
Abstract
Although CsbD-like proteins have been studied extensively in bacteria, their functions in eukaryotes remain largely uncharacterized. Our study investigated the CsbD homolog MaCsbD in the entomopathogenic fungus Metarhizium acridum and uncovered its importance for coping with environmental stress. Loss of MaCsbD resulted in [...] Read more.
Although CsbD-like proteins have been studied extensively in bacteria, their functions in eukaryotes remain largely uncharacterized. Our study investigated the CsbD homolog MaCsbD in the entomopathogenic fungus Metarhizium acridum and uncovered its importance for coping with environmental stress. Loss of MaCsbD resulted in delayed conidial germination, reduced conidial yield, and heightened sensitivity to UV-B irradiation and heat shock. The mechanism analysis revealed that the absence of MaCsbD led to a decline in DNA repair capacity, a weakening of the antioxidant defense mechanism, and a reduction in the induction of heat shock proteins. The determination of the accumulation levels of protective metabolites, melanin, and trehalose in the conidia showed that their contents were significantly decreased. Phylogenetic analysis further revealed that CsbD-like domains are conserved across fungi, suggesting an evolutionary role in stress adaptation. Virulence against locusts was unchanged, indicating that MaCsbD primarily supports abiotic stress tolerance rather than pathogenicity. MaCsbD is therefore required for robust fungal stress responses and identifies a potential target for improving the field performance of fungal biocontrol strains. Full article
(This article belongs to the Section Fungal Cell Biology, Metabolism and Physiology)
Show Figures

Figure 1

19 pages, 4298 KB  
Article
Deciphering the Role of Reshaped Fungal Microbiome in Cadmium Accumulation in Rice Grains
by Weijun Gong, Minghui Chen, Yibin Lai, Dian Yang, Marcos Antônio Soares, Surendra Kumar Gond and Haiyan Li
J. Fungi 2025, 11(12), 837; https://doi.org/10.3390/jof11120837 (registering DOI) - 27 Nov 2025
Abstract
Rice cadmium (Cd) contamination is a serious threat to global food security and human health. Plant-associated microbiomes are known to affect Cd accumulation in plants. However, the response of the rice microbiome to Cd contamination and its role in modulating grain Cd accumulation [...] Read more.
Rice cadmium (Cd) contamination is a serious threat to global food security and human health. Plant-associated microbiomes are known to affect Cd accumulation in plants. However, the response of the rice microbiome to Cd contamination and its role in modulating grain Cd accumulation remain poorly understood. In the present study, the responses of the rhizospheric fungi (RF) community and seed endophytic fungi (SEF) community to the soil physiochemical properties of rice from moderately (MC) and severely (SC1 and SC2) Cd-contaminated paddies were investigated. Moreover, the effects of soil physiochemical properties, RF community and SEF community on grain Cd accumulation were analyzed through correlation analysis. The results showed that the Cd concentration in rice grains from SC2 exceeded the food safety standard of China and was higher than that of SC1 and MC. The Cd concentration in rice grains was positively correlated with the soil-available Cd concentration, while being negatively correlated with the available nutrient elements and pH value of soil. In addition, it was found that the diversity of RF increased with the soil-available Cd concentration, while the diversity and richness of SEF decreased with the soil-available Cd concentration. Moreover, the RF community was influenced by soil physiochemical properties. The Spearman correlation analysis showed that the soil-available Cd was positively correlated with RF Sebacina, Clonostachys, Acremonium, Talaromyces and Fusarium, and most of them were related to grain Cd concentration, while unclassified SEF Pleosporales and Xylariales were associated with grain Cd concentration. These results suggested that Cd stress triggered a niche-specific response of the rice fungal microbiome. The fungi related to soil Cd availability and rice grain Cd accumulation may have a great potential application in food safety production in Cd-contaminated soil. Full article
(This article belongs to the Special Issue Fungal Diversity in Various Environments, 4th Edition)
Show Figures

Figure 1

14 pages, 1287 KB  
Systematic Review
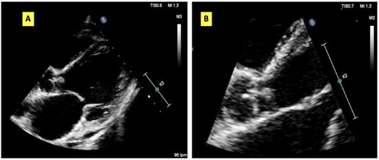
Aspergillus Endocarditis in Native Valves in Non-Traditional Hosts: A Systematic Review of a Case in a Patient with CREST Syndrome and Advanced Liver Cirrhosis
by Leticia Espinosa-del-Barrio, Elia Gómez G. de la Pedrosa, Noelia Álvarez-Díaz, Javier Guzmán Martínez, María Dolores Corbacho Loarte, Rosa Escudero Sánchez, Pilar Martín-Dávila, Jesús Fortún Abete, Javier Cobo Reinoso, Vicente Pintado García and Francesca Gioia
J. Fungi 2025, 11(12), 836; https://doi.org/10.3390/jof11120836 - 26 Nov 2025
Abstract
Background: Aspergillus endocarditis is a rare but life-threatening form of infective endocarditis that typically occurs in patients with a history of cardiac surgery, prosthetic valve implantation, or profound immunosuppression. Native valve involvement in non-traditional hosts remains exceptionally rare and is diagnostically challenging. [...] Read more.
Background: Aspergillus endocarditis is a rare but life-threatening form of infective endocarditis that typically occurs in patients with a history of cardiac surgery, prosthetic valve implantation, or profound immunosuppression. Native valve involvement in non-traditional hosts remains exceptionally rare and is diagnostically challenging. Case presentation: We describe a 56-year-old woman with CREST syndrome and advanced liver disease awaiting transplantation who developed native aortic valve endocarditis. Blood cultures and serum biomarkers (galactomannan and β-d-glucan) were also negative. Transthoracic echocardiography revealed vegetation on the aortic valve. Valve replacement was performed, and Aspergillus fumigatus was isolated from two valve cultures. Liposomal amphotericin B was initiated; however, the patient died of multiorgan failure two weeks later. Systematic review: To contextualise this case, we conducted a systematic review of the literature following the PRISMA guidelines. We included microbiologically confirmed cases of native valve Aspergillus endocarditis based on valve or embolic tissue analysis. Forty-three studies met the inclusion criteria, comprising 45 patients in total. Data were independently extracted by two reviewers and narratively synthesised due to clinical heterogeneity. Conclusions: This case illustrates the diagnostic and therapeutic challenges of native-valve Aspergillus endocarditis in patients without classical risk factors for the disease. Early imaging and a high index of suspicion are crucial for diagnosis. Combined surgical and antifungal therapy remains the cornerstone of management, although the mortality rate remains high. Full article
(This article belongs to the Section Fungal Pathogenesis and Disease Control)
Show Figures

Figure 1

18 pages, 4984 KB  
Article
Molecular Identification and Pathogenicity of Fusarium Fungi Causing Potato Dry Rot in Shanxi Province, China
by Jiaru Guo, Yupei Shi, Xi Chen, Peibing Du, Yingli Zhao and Liang Wang
J. Fungi 2025, 11(12), 835; https://doi.org/10.3390/jof11120835 - 25 Nov 2025
Abstract
In the present study, 70 representative strains of potato dry-rot pathogen fungi were collected and isolated from three potato-growing areas in Northern Shanxi Province to determine their distribution and composition. The aim was to determine their distribution and composition by investigating their genetic [...] Read more.
In the present study, 70 representative strains of potato dry-rot pathogen fungi were collected and isolated from three potato-growing areas in Northern Shanxi Province to determine their distribution and composition. The aim was to determine their distribution and composition by investigating their genetic structure through morphological characterization and phylogenetic tree construction using three DNA fragments (TEF1, RPB1, and RPB2). The results showed that potato dry rot disease in Northern Shanxi Province, is caused by five pathogenic species: Fusarium sambucinum, F. solani, F.oxysporum, F. acuminatum, and F. dimerum, among which F. sambucinum is the dominant species, accounting for 87.14% of all the strains, and distributed primarily in various potato-growing areas in the region. This study is the first to show that F. dimerum is a component of the pathogenic complex causing potato dry rot and is distributed primarily in the basin and hilly regions with relative frequencies of 3.45% and 13.04%, respectively. Fusarium acuminatum is distributed only in the plateau regions with a relative frequency of 5.56%. Full article
(This article belongs to the Section Fungal Evolution, Biodiversity and Systematics)
Show Figures

Figure 1

34 pages, 9872 KB  
Article
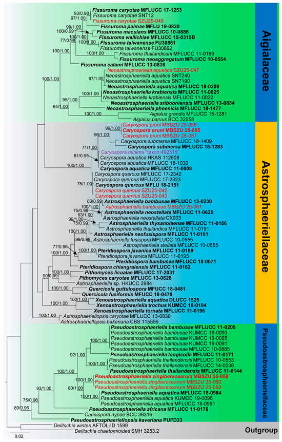
Global Diversity, Host Associations, and New Insights into Aigialaceae, Astrosphaeriellaceae, and Pseudoastrosphaeriellaceae
by Danushka S. Tennakoon, Nimali I. de Silva, Ning Xie and Sinang Hongsanan
J. Fungi 2025, 11(12), 834; https://doi.org/10.3390/jof11120834 - 25 Nov 2025
Abstract
During a survey of plant litter-associated microfungi in Guangdong and Jiangxi Provinces, China, several specimens that have carbonaceous ascomata were collected. Morphological characteristics combined with multi-gene (LSU, SSU, and tef1-α) phylogeny revealed that they belong to the Aigialaceae, Astrosphaeriellaceae, and Pseudoastrosphaeriellaceae families. [...] Read more.
During a survey of plant litter-associated microfungi in Guangdong and Jiangxi Provinces, China, several specimens that have carbonaceous ascomata were collected. Morphological characteristics combined with multi-gene (LSU, SSU, and tef1-α) phylogeny revealed that they belong to the Aigialaceae, Astrosphaeriellaceae, and Pseudoastrosphaeriellaceae families. Phylogenetic analyses were conducted using Maximum Likelihood (ML) and Bayesian Inference (BI) approaches. Caryospora pruni and Pseudoastrosphaeriella zingiberacearum are introduced as new species, and Astrosphaeriella bambusae, C. quercus, Fissuroma caryotae, and Neoastrosphaeriella aquatica are introduced as new host records. In addition, Caryospora minima is synonymized under C. aquatica based on close morphological and phylogenetic relationships. All the newly introduced species fit well with their respective generic concepts and can be distinguished from closely related species in their morphology and DNA molecular data. The new host records also provide similar morphological characteristics to their respective type species, and multi-gene phylogeny analyses also offer evidence for their placements. In addition, we compiled the geographical distribution and host associations of species in Aigialaceae, Astrosphaeriellaceae, and Pseudoastrosphaeriellaceae. This provides a database for future studies to understand the ecological interactions and geographical variations. Full article
(This article belongs to the Special Issue Ascomycota: Diversity, Taxonomy and Phylogeny, 3rd Edition)
Show Figures

Figure 1

12 pages, 2053 KB  
Article
Effects of Insect Cuticular Compounds on Appressorium Formation and Metabolic Activity in Beauveria bassiana
by Jiarui Chen, Huaxin Cai, Canxia Wu, Dongxu Wang, Jingyang Ni, Songqing Wu and Yinghua Tong
J. Fungi 2025, 11(12), 833; https://doi.org/10.3390/jof11120833 - 25 Nov 2025
Abstract
The rate of appressoria formation following conidial germination in Beauveria bassiana is closely associated with its pathogenicity. This study investigated the effects of insect cuticular compounds on the formation and metabolism in B. bassiana through the addition of insect cuticle analogues. Results indicate [...] Read more.
The rate of appressoria formation following conidial germination in Beauveria bassiana is closely associated with its pathogenicity. This study investigated the effects of insect cuticular compounds on the formation and metabolism in B. bassiana through the addition of insect cuticle analogues. Results indicate that both the fatty acid compound carnitine C3:0 and the organic acid compound Thiamine Pyrophosphate (TPP) exert dose-dependent bell-shaped effects on B. bassiana spore germination and appressorium formation at different concentrations. Both low and high concentrations inhibit spore germination and appendage formation. At a concentration of 0.10 mg/mL, spore germination and appendage formation rates peaked at all time points, being significantly higher than the control (p ≤ 0.05). Compounds in the benzene and its derivatives class, such as enilconazole and disulfide bis(2-hydroxy-3-methylpropan-2-yl) (DSBA), significantly reduced spore germination and appressorium formation in B. bassiana (p ≤ 0.05), with stronger inhibition becoming more pronounced at higher concentrations. In contrast, amino acids and their metabolites (e.g., glycylmethionine) and glycerophospholipid compounds like 1,2-Dioleoyl-sn-Glycero-3-Phosphocholine (DOPC) had no significant effects on spore germination or appressorium formation at any tested concentration (p > 0.05). LC-MS analysis revealed that the insect cuticular fatty acyl compound carnitine C3:0 broadly modulated the secondary metabolism of B. bassiana. Following appressorium formation, 146 metabolites with significant changes in abundance were identified. Before appressorium formation, carnitine C3:0 promoted the activation of B. bassiana signaling pathways, such as Rap1, and stimulated antibiotic biosynthesis (penicillin and cephalosporin), thereby suppressing competing microorganisms and facilitating initial attachment. After appressorium formation, carnitine C3:0 activated pathways related to metabolite synthesis (e.g., arginine and nucleotides biosynthesis) and population regulation (ferroptosis), thereby enhancing appressorium function and structural stability. Thus, carnitine C3:0 enhances B. bassiana’s ability to establish infection sites before appressorium formation through antibiotic clearance and signal activation, and maintain infection structures after formation via metabolic reinforcement and population regulation. This study lays a theoretical foundation for further investigations into B. bassiana infection mechanisms, pathogenicity, and the role of its conidiophores. Full article
Show Figures

Figure 1

14 pages, 6839 KB  
Article
Unraveling the Fungal Community Dynamics in Heat-Tolerant Coral Turbinaria sp. During Bleaching in South China Sea
by Xinye Chen, Xinyu Liao, Li Mo, Xumeng Ren, Yaozu Li, Qili Hou, Simon Wing-Fai Mok, Riming Huang, Jijia Sun and Xiaoyong Zhang
J. Fungi 2025, 11(12), 832; https://doi.org/10.3390/jof11120832 - 25 Nov 2025
Abstract
Coral bleaching is a multifactorial stress response in which the breakdown of symbiosis with algal and bacterial partners has been well characterized, but the role of fungal communities remains largely unexplored. Here, we tracked the temporal dynamics of coral-associated fungi in Turbinaria sp. [...] Read more.
Coral bleaching is a multifactorial stress response in which the breakdown of symbiosis with algal and bacterial partners has been well characterized, but the role of fungal communities remains largely unexplored. Here, we tracked the temporal dynamics of coral-associated fungi in Turbinaria sp. across three defined bleaching stages under natural thermal stress. In total, 161 genera from six phyla were detected. From the unbleached to partly bleached stage, fungal Simpson diversity declined, whereas observed richness slightly increased; putative pathogenic genera (e.g., Apiotrichum, Curvularia, Exserohilum, and Schizophyllum) rose sharply (39.44%→69.04%), whereas parasitic fungi decreased (33.01%→11.72%). From the partly to fully bleached stage, diversity rebounded. Co-occurrence networks became more complex initially (nodes 86→98; edges 454→809; average degree 10.56→16.51) but then collapsed below baseline (nodes 98→65; edges 809→196; average degree 16.51→6.03), indicating stress-driven restructuring. The proportion of positive correlations declined steadily (98.68%→93.82%→77.55%), suggesting a shift toward more competitive and unstable community structures under stress. Our findings demonstrate that fungal communities actively respond to thermal stress and exhibit distinct compositional and ecological shifts during bleaching, pointing to their overlooked but potentially significant role in coral health and deterioration. This study highlights the need to integrate fungal dynamics into the broader understanding of holobiont responses to coral bleaching. Full article
Show Figures

Figure 1

17 pages, 11260 KB  
Article
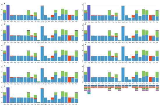
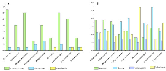
Unveiling the Unique Mitogenome Structure of Phylloporus: Implications for Phylogeny and Evolution in Boletaceae
by Jie-Yu Huang, Zhen Zhang, Ming-Wei Mao, Kuan Zhao and Shan Yang
J. Fungi 2025, 11(12), 831; https://doi.org/10.3390/jof11120831 - 25 Nov 2025
Viewed by 47
Abstract
The genus Phylloporus (Boletaceae, Boletales) is a group of ectomycorrhizal fungi, distinguished from other members of Boletaceae by its unique lamellate hymenophore. Although some molecular data exist for this genus, its mitogenomic characteristics remain poorly understood. In our study, we sequenced, assembled, and [...] Read more.
The genus Phylloporus (Boletaceae, Boletales) is a group of ectomycorrhizal fungi, distinguished from other members of Boletaceae by its unique lamellate hymenophore. Although some molecular data exist for this genus, its mitogenomic characteristics remain poorly understood. In our study, we sequenced, assembled, and annotated the complete mitogenomes of eight species representing seven major subclades of Boletaceae collected in Jiangxi Province, China, with a focus on four Phylloporus species. We found that Phylloporus mitogenomes are circular, ranging in size from 35,117 bp to 38,908 bp, and contain 14–15 core protein-coding genes (PCGs), 24–28 tRNA genes, and 2 rRNA genes. Our comparative analysis revealed that Phylloporus species share many features, such as gene content, gene length, tRNA repertoire, and gene order, while Boletaceae as a whole shows a lot of diversity. Codon usage patterns are quite similar across the family. The Ka/Ks ratios of most 15 core PCGs were less than 1, suggesting these genes have been preserved through purifying selection over time. By using Bayesian inference (BI) and maximum likelihood (ML) methods and combining 28 other mitotic genomes in the NCBI database, our phylogenetic analysis produced highly consistent and well-supported trees (BPP ≥ 0.98, BS ≥ 71). It is noted that this family is divided into seven subfamilies, which is consistent with previous taxonomic studies. Altogether, our findings shed light on the unique features of Phylloporus and its connections to other members of Boletaceae. These findings not only provide valuable insights into the taxonomy, phylogeny, genetic diversity, and resource conservation of Boletaceae but also serve as a valuable genomic resource for future research. Full article
Show Figures

Figure 1

24 pages, 5396 KB  
Article
Unveiling the Hidden Diversity of Termitomyces (Lyophyllaceae, Agaricales) in Northern Thailand: Identification of Five New Species and the First Report of Termitomyces acriumbonatus
by Soumitra Paloi, Jaturong Kumla, Wiphawanee Phonrob, Barsha Pratiher Paloi and Nakarin Suwannarach
J. Fungi 2025, 11(12), 830; https://doi.org/10.3390/jof11120830 - 24 Nov 2025
Viewed by 102
Abstract
Members of the genus Termitomyces frequently grow in association with termites. During the monsoon season of 2022 and 2023, a total number of 13 Termitomyces samples were collected from the Chiang Mai University campus, Thailand. The objective of this study was to identify [...] Read more.
Members of the genus Termitomyces frequently grow in association with termites. During the monsoon season of 2022 and 2023, a total number of 13 Termitomyces samples were collected from the Chiang Mai University campus, Thailand. The objective of this study was to identify the collected samples. Based on morphological and molecular investigations, six distinct species were identified from the collected specimens. Five species (T. griseobulbus, T. griseobrunneus, T. planiperforatorius, T. pseudoheimii, and T. salmonicolor) are described herein as new to science, while one species (T. acriumbonatus) represents a new record for Thailand. The multi-gene phylogenetic analysis of the large subunit (nrLSU) of nuclear ribosomal DNA, the small subunit of mitochondrial DNA (mtSSU), and the nuclear internal transcribed spacer (nrITS) sequences confirmed that all six species belong to the genus Termitomyces. Full morphological descriptions, colour photographs, illustrations, and comparisons with phylogenetically and morphologically related species are provided. Full article
Show Figures

Figure 1

14 pages, 3838 KB  
Article
Co-Culture of Monascus purpureus and Aspergillus niger Isolated from Wuyi Hongqu to Enhance Monascus Pigments Production While Inhibiting Citrinin Production
by Qin Yu, Xi Yuan and Fusheng Chen
J. Fungi 2025, 11(12), 829; https://doi.org/10.3390/jof11120829 - 24 Nov 2025
Viewed by 125
Abstract
Wuyi Hongqu (WYH), also called black-skin-red-koji, which has been utilizing as a fermentation starter for more than one thousand years in China, is a symbiotic combination of Monascus spp. and Aspergillus niger formed through long-term application and domestication. In this study, the strains [...] Read more.
Wuyi Hongqu (WYH), also called black-skin-red-koji, which has been utilizing as a fermentation starter for more than one thousand years in China, is a symbiotic combination of Monascus spp. and Aspergillus niger formed through long-term application and domestication. In this study, the strains of Monascus purpureus and A. niger isolated from WYH samples were used to investigate their mutual influence, especially the effects on three main secondary metabolites from M. purpureus, Monascus pigments (MPs), monacolin K (MK), and citrinin (CIT), using a double-sided Petri dish (DSPD). The results showed that co-cultivation of M. purpureus and A. niger strains was favorable to increase the MPs production while inhibiting the CIT production by M. purpureus, especially when M. purpureus strains (M1-1 or M9) were co-cultivated with certain A. niger strains (An1-2 or An9), respectively, and both Monascus strains hardly produced detectable CIT. The expression levels of CIT-related genes in M. purpureus M1-1 or M9 were greatly restricted when co-cultivated with A. niger An1-2 or An9 confirmed by RT-qPCR. This study provides important insights into the selection of WYH production strains and the effects of fungal interactions. Full article
(This article belongs to the Special Issue Monascus spp. and Their Relative Products)
Show Figures

Figure 1

20 pages, 2888 KB  
Article
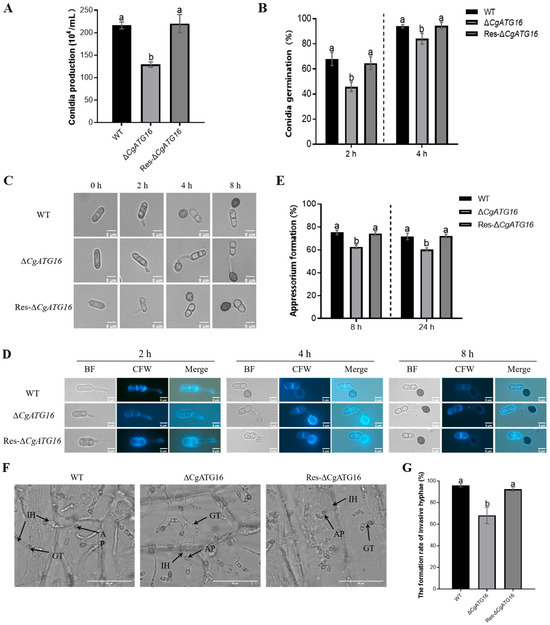
The CgATG16 Was Involved in Growth, Development and Virulence Through Autophagy Modulation in the Rubber Tree Anthracnose Fungus Colletotrichum gloeosporioides
by Haoran Cheng, Zhirui Huang, Jiajia Xie, Erxiu He, Qiannan Wang, Bang An, Chaozu He and Hongli Luo
J. Fungi 2025, 11(12), 828; https://doi.org/10.3390/jof11120828 - 23 Nov 2025
Viewed by 253
Abstract
Colletotrichum gloeosporioides causes rubber tree anthracnose and leads to serious loss in natural rubber production. Autophagy is a highly conserved process to maintain nutrient recycling and plays important roles in growth, development and pathogenicity in plant pathogenic fungi. The process of autophagy is [...] Read more.
Colletotrichum gloeosporioides causes rubber tree anthracnose and leads to serious loss in natural rubber production. Autophagy is a highly conserved process to maintain nutrient recycling and plays important roles in growth, development and pathogenicity in plant pathogenic fungi. The process of autophagy is modulated by a series of autophagy-related (ATG) genes. ATG16 is a subunit of the ATG12-ATG5-ATG16 complex which functions in a manner analogous to an E3-like enzyme which is essential for autophagosome formation. However, the function of the ATG16 homolog in C. gloeosporioides remains unknown. In this study, the ATG16 homolog of C. gloeosporioides was identified and named as CgATG16. The expression level of CgATG16 was particularly higher in conidium, germination, appressorium, and the early stage of infection, and significantly induced by nutritional deficiency. Absence of CgATG16 led to slower colony growth, decreased conidia production and germination rate, longer germ tube cells, lower appressorium formation rate and impaired pathogenicity to rubber tree leaves. Absence of CgATG16 resulted in lower melanin content with decreased expression of polyketide synthase gene CgPKS1 and scytalone dehydratase gene CgSCD1. Moreover, absence of CgATG16 also led to the universal autophagy marker ATG8-GFP failing to enter into the vacuoles in mycelium and during appressorium development with a significantly reduced autophagosome number. Both rapamycin and cyclic adenosine monophosphate (cAMP) partially restored the appressorium formation ability in CgATG16 knockout mutant. Absence of CgATG16 increased the activity of target of rapamycin (TOR) kinase and decreased the content of cAMP. These data suggest that CgATG16 contributes to the pathogenicity of C. gloeosporioides to the rubber tree by regulating the mycelium growth, melanin synthesis and the formation of invasion structure, and this process is related to autophagy mediated by TOR and cAMP signaling. Full article
(This article belongs to the Section Fungal Cell Biology, Metabolism and Physiology)
Show Figures

Figure 1

15 pages, 2944 KB  
Article
Identification, Subcellular Localization, and Infection-Related Expression of a Novel Haloacid Dehalogenase Gene (VmHAD) from Valsa mali Vm1
by Shuwu Zhang, Xingxu Chen, Cizhong Duan, Jia Liu, Fei Tao and Bingliang Xu
J. Fungi 2025, 11(12), 827; https://doi.org/10.3390/jof11120827 - 23 Nov 2025
Viewed by 262
Abstract
The haloacid dehalogenase (HAD) superfamily represents a large group of enzymes across diverse taxa. However, the characteristics and functional roles of HAD members in the destructive apple canker pathogen, Valsa mali strain Vm1 (Vm1), remain poorly understood, particularly regarding their expression during infection. [...] Read more.
The haloacid dehalogenase (HAD) superfamily represents a large group of enzymes across diverse taxa. However, the characteristics and functional roles of HAD members in the destructive apple canker pathogen, Valsa mali strain Vm1 (Vm1), remain poorly understood, particularly regarding their expression during infection. In this study, the full-length cDNA sequence of the VmHAD gene from Vm1 was cloned using rapid amplification of cDNA ends (RACE) technology, and its bioinformatic properties, subcellular localization, and expression patterns during infection were characterized. The VmHAD cDNA was 1044 bp in length, containing a complete open reading frame (ORF) of 798 bp that encodes a 265 amino acid protein with a conserved HAD-like domain. Phylogenetic analysis revealed that VmHAD shares the highest similarity with the (S)-2-haloacid dehalogenase (accession no. KUI70710.1) from Cytospora mali 03-8, belonging to the L-2-haloacid dehalogenase family within the HAD hydrolase superfamily. Subcellular localization analysis using a transient expression system in Nicotiana benthamiana indicated that VmHAD is distributed in both the nucleus and cytoplasm. Expression profiling demonstrated that VmHAD was significantly upregulated during the infection of detached apple branches by Vm1, with relative expression levels increasing 3.13-, 4.25-, and 3.98-fold at 3, 5, and 7 days post-inoculation, respectively, compared with day 1, whereas no expression was detected in the uninoculated control. These findings identify VmHAD as a novel HAD family member in Vm1 and suggest that it plays a potential role in the infection process and pathogenicity. This work provides new insights into the molecular mechanisms underlying V. mali pathogenicity and contributes to the development of effective strategies for disease management. Full article
(This article belongs to the Special Issue Control of Postharvest Fungal Diseases, 2nd Edition)
Show Figures

Figure 1

34 pages, 16050 KB  
Article
A Comprehensive Characterisation of Mycelium-Based Biomaterials Developed from Panus ciliatus and P. subfasciatus (Panaceae, Polyporales)
by Sabin Khyaju, Kevin D. Hyde, Kitiphong Khongphinitbunjong, Sitthi Duangphet, Worawoot Aiduang and Thatsanee Luangharn
J. Fungi 2025, 11(12), 826; https://doi.org/10.3390/jof11120826 - 22 Nov 2025
Viewed by 377
Abstract
Mushroom mycelium-based biomaterials (MMBs) are sustainable materials derived from fungal species and lignocellulosic substrates. In this study, fresh specimens of Panus ciliatus and P. subfasciatus collected from mixed deciduous forests in Chiang Rai Province, Thailand, were identified through a combination of morphological characteristics [...] Read more.
Mushroom mycelium-based biomaterials (MMBs) are sustainable materials derived from fungal species and lignocellulosic substrates. In this study, fresh specimens of Panus ciliatus and P. subfasciatus collected from mixed deciduous forests in Chiang Rai Province, Thailand, were identified through a combination of morphological characteristics and phylogenetic analyses based on the ITS region. Panus ciliatus is reported as a new geographical record from Thailand. This is the first comprehensive study on MMB samples developed using mycelia of these species and rubber sawdust for their physical, mechanical, hydrodynamic, and chemical properties. Additional analyses included FTIR spectroscopy, thermogravimetric analysis, flammability testing, and soil burial degradability. Based on the material properties and successfully developed prototypes, the MMBs are potential in packaging, indoor uses, construction, and insulation purposes, as an alternative to conventional synthetic materials. Notably, Ashby chart of mechanical properties showed the MMB could substitute foam. Thermogravimetric analysis of MMB showed thermal stability with weight loss approximately 50–60% at 293–298 °C. Soil burial of MMB for 90 days shows cumulative weight loss exceeding 60% proving biodegradable. Additionally, a new approach for mycelial viability maintenance is described and verified, addressing the problem to maintain vigorous mycelium. Full article
Show Figures

Figure 1

17 pages, 2760 KB  
Article
Analysis of Microbial Community Structure and Cultivation Performance Assessment in Tremella fuciformis Liquid Inoculum
by Hui Lin, Qi Xiong, Wenxuan Huang, Xinghua Dai, Yingxi Yang, Wenlin Huang, Shufang Lai, Shujing Sun and Liaoyuan Zhang
J. Fungi 2025, 11(12), 825; https://doi.org/10.3390/jof11120825 - 22 Nov 2025
Viewed by 195
Abstract
Liquid inoculum is widely adopted in the mushroom industry, yet preparing Tremella fuciformis liquid inoculum remains challenging due to its complex microbial community and dimorphic growth. This study aimed to establish a reliable protocol for T. fuciformis liquid inoculum and assess its practical [...] Read more.
Liquid inoculum is widely adopted in the mushroom industry, yet preparing Tremella fuciformis liquid inoculum remains challenging due to its complex microbial community and dimorphic growth. This study aimed to establish a reliable protocol for T. fuciformis liquid inoculum and assess its practical application. Initially, liquefied spawn was produced by liquefying solid spawn. The application of standard liquefied spawn increased fruiting body yield by 8.2% (502.4 g/kg dry substrate) compared to solid spawn, but exhibited substantial batch-to-batch variation due to unstable microbial communities and low Tremellomycetes abundance. To address these limitations, liquid spawn was developed via pre-culture of pure T. fuciformis and Annulohypoxylon stygium mycelia. Cultivation tests demonstrated significantly enhanced performance with 608.2 g of fruiting bodies, which represented 11.1% improvement compared to solid spawn. Moreover, consistent yields could be observed across multiple batches. This stability was attributed to stable microbial community structure and the dominance of Tremellomycetes (abundance > 50%) in the fungal community. These results confirm the cultivation performance of T. fuciformis liquid spawn, highlighting its potential as an effective alternative to solid spawn for T. fuciformis industrial production. Full article
(This article belongs to the Special Issue Research Progress on Edible Fungi)
Show Figures

Figure 1

22 pages, 3305 KB  
Article
Improvement of Biocontrol Efficiency of Hanseniaspora thailandica Induced by Alginate Oligosaccharide Against Banana Anthracnose Caused by Colletotrichum musae
by Yinfeng Wu, Xiaojie Chen, Xiaoting Lai, Xiaomin Ren, Jianqu Hong and Fen Yan
J. Fungi 2025, 11(12), 824; https://doi.org/10.3390/jof11120824 - 21 Nov 2025
Viewed by 373
Abstract
Banana anthracnose, caused by Colletotrichum musae, causes substantial postharvest losses worldwide, yet effective biocontrol remains limited. Although Hanseniaspora thailandica shows potential, its direct application provides inadequate control. This study demonstrates that alginate oligosaccharide (AOS) potently enhances the biocontrol efficacy of H. thailandica [...] Read more.
Banana anthracnose, caused by Colletotrichum musae, causes substantial postharvest losses worldwide, yet effective biocontrol remains limited. Although Hanseniaspora thailandica shows potential, its direct application provides inadequate control. This study demonstrates that alginate oligosaccharide (AOS) potently enhances the biocontrol efficacy of H. thailandica Lg 3 against this disease. Through in vivo fruit assays, H. thailandica Lg 3 that was cultured in AOS-supplemented medium significantly elevated key defense enzymes, specifically ployphenol oxidase (PPO), peroxidase (POD), chitinase (CHI) and β-1,3-glucanase (GLU) in bananas, and enhanced yeast biofilm formation. This led to higher yeast populations in banana wounds and effective suppression of C. musae expansion. Furthermore, AOS boosted the activity of critical antioxidant enzymes (CAT, SOD, GPX) in H. thailandica Lg 3 under in vivo conditions. RNA-seq analysis of H. thailandica Lg 3 revealed corresponding alterations in glutathione metabolism and oxidative phosphorylation pathways following the addition of 10 mg/L AOS to the medium. The 10 mg/L AOS concentration proved most effective, robustly enhancing biocontrol efficacy. Our findings identify AOS-induced H. thailandica Lg 3 as a practical, ready-to-test biocontrol strategy that could be developed into a commercial formulation to reduce chemical fungicide dependence in postharvest banana protection. Full article
Show Figures

Figure 1

23 pages, 1375 KB  
Review
Integrated Pest Management of Sclerotinia Stem Rot in Soybean: Current Strategies and Future Prospects
by Vivek Hemant Khambhati and Zhi-Yuan Chen
J. Fungi 2025, 11(12), 823; https://doi.org/10.3390/jof11120823 - 21 Nov 2025
Viewed by 433
Abstract
Sclerotinia sclerotiorum (Lib.) de Bary, the causal agent of Sclerotinia stem rot (SSR) or white mold, is a soil-borne hemibiotrophic fungus that causes substantial soybean yield losses worldwide. This pathogen infects over 400 plant species and persists in soil for extended periods through [...] Read more.
Sclerotinia sclerotiorum (Lib.) de Bary, the causal agent of Sclerotinia stem rot (SSR) or white mold, is a soil-borne hemibiotrophic fungus that causes substantial soybean yield losses worldwide. This pathogen infects over 400 plant species and persists in soil for extended periods through melanized sclerotia, which can survive under extreme environmental conditions. The wide host range, environmental adaptability, and longevity of sclerotia make SSR a persistent challenge in soybean production. No single management tactic provides reliable control, which underscores the importance of integrated pest management (IPM). Cultural practices such as crop rotation with non-hosts, optimized row spacing, adjusted seeding rates, and targeted irrigation are fundamental to reducing inoculum and modifying canopy microclimates to slow infection. Although genetic resistance remains partial, the deployment of cultivars with stable performance across environments contributes to disease suppression, particularly when combined with fungicide applications. However, fungicide efficacy is inconsistent and limited due to environmental concerns and potential resistance. Advances in disease modeling have improved the timing and precision of chemical control, while biological control agents and RNA interference approaches offer promising future options. This review synthesizes current IPM strategies for SSR and explores emerging alternatives to support sustainable soybean production. Full article
(This article belongs to the Special Issue Integrated Management of Plant Fungal Diseases)
Show Figures

Figure 1

Previous Issue
Back to TopTop