Targeting the P10 Peptide in Maturing Dendritic Cells via the DEC205 Receptor In Vivo: A New Therapeutic Strategy against Paracoccidioidomycosis
Abstract
1. Introduction
2. Methods
2.1. Animals and Ethics Statement
2.2. P. brasiliensis Strains and Mouse Infection
2.3. Plasmid Generation
2.4. Expression of Recombinant Fusion Antibodies
2.5. Antibody Viability Assay
2.6. Immunizations
2.7. Analysis of T CD4+ IFN-γ Producing Cells in Animals Immunized with Hybrid Antibodies (ELISPOT)
2.8. Therapy Protocol
2.9. Cytokines Measurements
2.10. Colony-Forming Unit (CFU) and Histopathology Assays
3. Results
3.1. Hybrid Antibody αDEC/P10 Binds Specifically to a DEC205+ DC
3.2. Evaluation of the Specific Response by IFN-γ-Producing Cells after Immunization with the Chimeric Antibody αDEC/P10
3.3. Cytokine Production in Organs after Treatment by Using Chimeric Antibodies in Animals Infected with P. brasiliensis
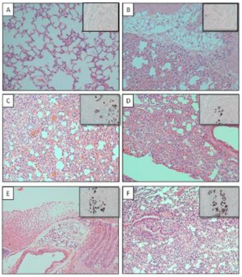
3.4. Fungal Load Reduction in ANIMALS Treated with Chimeric αDEC/P10 Antibody
4. Discussion
Author Contributions
Funding
Institutional Review Board Statement
Informed Consent Statement
Data Availability Statement
Acknowledgments
Conflicts of Interest
References
- Mahnke, K.; Ring, S.; Enk, A.H. Antibody Targeting of “Steady-State” Dendritic Cells Induces Tolerance Mediated by Regulatory T Cells. Front. Immunol. 2016, 7, 63. [Google Scholar] [CrossRef]
- Khader, S.A.; Partida-Sanchez, S.; Bell, G.; Jelley-Gibbs, D.M.; Swain, S.; Pearl, J.E.; Ghilardi, N.; Desauvage, F.J.; Lund, F.E.; Cooper, A.M. Interleukin 12p40 is required for dendritic cell migration and T cell priming after Mycobacterium tuberculosis infection. J. Exp. Med. 2006, 203, 1805–1815. [Google Scholar] [CrossRef]
- Moll, H.; Berberich, C. Dendritic cell-based vaccination strategies: Induction of protective immunity against leishmaniasis. Immunobiology 2001, 204, 659–666. [Google Scholar] [CrossRef]
- Hawiger, D.; Inaba, K.; Dorsett, Y.; Guo, M.; Mahnke, K.; Rivera, M.; Ravetch, J.V.; Steinman, R.M.; Nussenzweig, M.C. Dendritic cells induce peripheral T cell unresponsiveness under steady state conditions in vivo. J. Exp. Med. 2001, 194, 769–779. [Google Scholar] [CrossRef] [PubMed]
- Bonifaz, L.; Bonnyay, D.; Mahnke, K.; Rivera, M.; Nussenzweig, M.C.; Steinman, R.M. Efficient targeting of protein antigen to the dendritic cell receptor DEC-205 in the steady state leads to antigen presentation on major histocompatibility complex class I products and peripheral CD8+ T cell tolerance. J. Exp. Med. 2002, 196, 1627–1638. [Google Scholar] [CrossRef]
- Boscardin, S.B.; Hafalla, J.C.; Masilamani, R.F.; Kamphorst, A.O.; Zebroski, H.A.; Rai, U.; Morrot, A.; Zavala, F.; Steinman, R.M.; Nussenzweig, R.S.; et al. Antigen targeting to dendritic cells elicits long-lived T cell help for antibody responses. J. Exp. Med. 2006, 203, 599–606. [Google Scholar] [CrossRef] [PubMed]
- Trumpfheller, C.; Finke, J.S.; Lopez, C.B.; Moran, T.M.; Moltedo, B.; Soares, H.; Huang, Y.; Schlesinger, S.J.; Park, C.G.; Nussenzweig, M.C.; et al. Intensified and protective CD4+ T cell immunity in mice with anti-dendritic cell HIV gag fusion antibody vaccine. J. Exp. Med. 2006, 203, 607–617. [Google Scholar] [CrossRef]
- Bonifaz, L.C.; Bonnyay, D.P.; Charalambous, A.; Darguste, D.I.; Fujii, S.; Soares, H.; Brimnes, M.K.; Moltedo, B.; Moran, T.M.; Steinman, R.M. In vivo targeting of antigens to maturing dendritic cells via the DEC-205 receptor improves T cell vaccination. J. Exp. Med. 2004, 199, 815–824. [Google Scholar] [CrossRef] [PubMed]
- Trumpfheller, C.; Caskey, M.; Nchinda, G.; Longhi, M.P.; Mizenina, O.; Huang, Y.; Schlesinger, S.J.; Colonna, M.; Steinman, R.M. The microbial mimic poly IC induces durable and protective CD4+ T cell immunity together with a dendritic cell targeted vaccine. Proc. Natl. Acad. Sci. USA 2008, 105, 2574–2579. [Google Scholar] [CrossRef]
- Colombo, A.L.; Tobon, A.; Restrepo, A.; Queiroz-Telles, F.; Nucci, M. Epidemiology of endemic systemic fungal infections in Latin America. Med. Mycol. 2011, 49, 785–798. [Google Scholar] [CrossRef]
- Turissini, D.A.; Gomez, O.M.; Teixeira, M.M.; McEwen, J.G.; Matute, D.R. Species boundaries in the human pathogen Paracoccidioides. Fungal. Genet. Biol. 2017, 106, 9–25. [Google Scholar] [CrossRef]
- Restrepo, A.; McEwen, J.G.; Castaneda, E. The habitat of Paracoccidioides brasiliensis: How far from solving the riddle? Med. Mycol. 2001, 39, 233–241. [Google Scholar] [CrossRef]
- Felipe, M.S.; Torres, F.A.; Maranhao, A.Q.; Silva-Pereira, I.; Pocas-Fonseca, M.J.; Campos, E.G.; Moraes, L.M.; Arraes, F.B.; Carvalho, M.J.; Andrade, R.V.; et al. Functional genome of the human pathogenic fungus Paracoccidioides brasiliensis. FEMS Immunol. Med. Microbiol. 2005, 45, 369–381. [Google Scholar] [CrossRef]
- Bocca, A.L.; Amaral, A.C.; Teixeira, M.M.; Sato, P.K.; Shikanai-Yasuda, M.A.; Soares Felipe, M.S. Paracoccidioidomycosis: Eco-epidemiology, taxonomy and clinical and therapeutic issues. Fut. Microbiol. 2013, 8, 1177–1191. [Google Scholar] [CrossRef]
- Puccia, R.; Travassos, L.R. 43-kilodalton glycoprotein from Paracoccidioides brasiliensis: Immunochemical reactions with sera from patients with paracoccidioidomycosis, histoplasmosis, or Jorge Lobo’s disease. J. Clin. Microbiol. 1991, 29, 1610–1615. [Google Scholar] [CrossRef] [PubMed]
- Taborda, C.P.; Juliano, M.A.; Puccia, R.; Franco, M.; Travassos, L.R. Mapping of the T-cell epitope in the major 43-kilodalton glycoprotein of Paracoccidioides brasiliensis which induces a Th-1 response protective against fungal infection in BALB/c mice. Infect. Immun. 1998, 66, 786–793. [Google Scholar] [CrossRef] [PubMed]
- Marques, A.F.; da Silva, M.B.; Juliano, M.A.; Travassos, L.R.; Taborda, C.P. Peptide immunization as an adjuvant to chemotherapy in mice challenged intratracheally with virulent yeast cells of Paracoccidioides brasiliensis. Antimicrob. Agents Chemother. 2006, 50, 2814–2819. [Google Scholar] [CrossRef]
- Marques, A.F.; da Silva, M.B.; Juliano, M.A.; Munhoz, J.E.; Travassos, L.R.; Taborda, C.P. Additive effect of P10 immunization and chemotherapy in anergic mice challenged intratracheally with virulent yeasts of Paracoccidioides brasiliensis. Microbes Infect. 2008, 10, 1251–1258. [Google Scholar] [CrossRef] [PubMed]
- Amaral, A.C.; Marques, A.F.; Munoz, J.E.; Bocca, A.L.; Simioni, A.R.; Tedesco, A.C.; Morais, P.C.; Travassos, L.R.; Taborda, C.P.; Felipe, M.S. Poly(lactic acid-glycolic acid) nanoparticles markedly improve immunological protection provided by peptide P10 against murine paracoccidioidomycosis. Br. J. Pharmacol. 2010, 159, 1126–1132. [Google Scholar] [CrossRef]
- Braga, C.J.; Rittner, G.M.; Munoz Henao, J.E.; Teixeira, A.F.; Massis, L.M.; Sbrogio-Almeida, M.E.; Taborda, C.P.; Travassos, L.R.; Ferreira, L.C. Paracoccidioides brasiliensis vaccine formulations based on the gp43-derived P10 sequence and the Salmonella enterica FliC flagellin. Infect. Immun. 2009, 77, 1700–1707. [Google Scholar] [CrossRef] [PubMed]
- Rittner, G.M.; Munoz, J.E.; Marques, A.F.; Nosanchuk, J.D.; Taborda, C.P.; Travassos, L.R. Therapeutic DNA vaccine encoding peptide P10 against experimental paracoccidioidomycosis. PLoS Negl. Trop. Dis. 2012, 6, e1519. [Google Scholar] [CrossRef]
- de Amorim, J.; Magalhaes, A.; Munoz, J.E.; Rittner, G.M.; Nosanchuk, J.D.; Travassos, L.R.; Taborda, C.P. DNA vaccine encoding peptide P10 against experimental paracoccidioidomycosis induces long-term protection in presence of regulatory T cells. Microbes Infect. 2013, 15, 181–191. [Google Scholar] [CrossRef]
- Vremec, D.; Shortman, K. Dendritic cell subtypes in mouse lymphoid organs: Cross-correlation of surface markers, changes with incubation, and differences among thymus, spleen, and lymph nodes. J. Immunol. 1997, 159, 565–573. [Google Scholar] [CrossRef]
- Matos, I.; Mizenina, O.; Lubkin, A.; Steinman, R.M.; Idoyaga, J. Targeting Leishmania major Antigens to Dendritic Cells In Vivo Induces Protective Immunity. PLoS ONE 2013, 8, e67453. [Google Scholar] [CrossRef]
- Do, Y.; Koh, H.; Park, C.G.; Dudziak, D.; Seo, P.; Mehandru, S.; Choi, J.H.; Cheong, C.; Park, S.; Perlin, D.S.; et al. Targeting of LcrV virulence protein from Yersinia pestis to dendritic cells protects mice against pneumonic plague. Eur. J. Immunol. 2010, 40, 2791–2796. [Google Scholar] [CrossRef]
- Dudziak, D.; Kamphorst, A.O.; Heidkamp, G.F.; Buchholz, V.R.; Trumpfheller, C.; Yamazaki, S.; Cheong, C.; Liu, K.; Lee, H.W.; Park, C.G.; et al. Differential antigen processing by dendritic cell subsets in vivo. Science 2007, 315, 107–111. [Google Scholar] [CrossRef] [PubMed]
- Henriques, H.R.; Rampazo, E.V.; Goncalves, A.J.; Vicentin, E.C.; Amorim, J.H.; Panatieri, R.H.; Amorim, K.N.; Yamamoto, M.M.; Ferreira, L.C.; Alves, A.M.; et al. Targeting the non-structural protein 1 from dengue virus to a dendritic cell population confers protective immunity to lethal virus challenge. PLoS Negl. Trop. Dis. 2013, 7, e2330. [Google Scholar] [CrossRef] [PubMed]
- Boussif, O.; Lezoualc’h, F.; Zanta, M.A.; Mergny, M.D.; Scherman, D.; Demeneix, B.; Behr, J.P. A versatile vector for gene and oligonucleotide transfer into cells in culture and in vivo: Polyethylenimine. Proc. Natl. Acad. Sci. USA 1995, 92, 7297–7301. [Google Scholar] [CrossRef] [PubMed]
- Fortes, M.R.; Miot, H.A.; Kurokawa, C.S.; Marques, M.E.; Marques, S.A. Immunology of paracoccidioidomycosis. An. Bras. Dermatol. 2011, 86, 516–524. [Google Scholar] [CrossRef]
- Araujo, M.V.; Santos Junior, S.R.D.; Nosanchuk, J.D.; Taborda, C.P. Therapeutic Vaccination with Cationic Liposomes Formulated with Dioctadecyldimethylammonium and Trehalose Dibehenate (CAF01) and Peptide P10 Is Protective in Mice Infected with Paracoccidioides brasiliensis. J. Fungi 2020, 6, 347. [Google Scholar] [CrossRef]
- Kischkel, B.; Rossi, S.A.; Santos, S.R.; Nosanchuk, J.D.; Travassos, L.R.; Taborda, C.P. Therapies and Vaccines Based on Nanoparticles for the Treatment of Systemic Fungal Infections. Front. Cell. Infect. Microbiol. 2020, 10, 463. [Google Scholar] [CrossRef] [PubMed]
- Silva, L.B.R.; Taira, C.L.; Cleare, L.G.; Martins, M.; Junqueira, M.; Nosanchuk, J.D.; Taborda, C.P. Identification of Potentially Therapeutic Immunogenic Peptides From Paracoccidioides lutzii Species. Front. Immunol. 2021, 12, 670992. [Google Scholar] [CrossRef]
- Travassos, L.R.; Taborda, C.P. New advances in the development of a vaccine against paracoccidioidomycosis. Front. Microbiol. 2012, 3, 212. [Google Scholar] [CrossRef]
- Valentim, F.O.; Tsutsui, G.M.; Abbade, L.P.F.; Marques, S.A. Disseminated paracoccidioidomycosis in a liver transplant patient. An. Bras. Dermatol. 2021, 96, 346–348. [Google Scholar] [CrossRef] [PubMed]
- Arruda, C.; Valente-Ferreira, R.C.; Pina, A.; Kashino, S.S.; Fazioli, R.A.; Vaz, C.A.; Franco, M.F.; Keller, A.C.; Calich, V.L. Dual role of interleukin-4 (IL-4) in pulmonary paracoccidioidomycosis: Endogenous IL-4 can induce protection or exacerbation of disease depending on the host genetic pattern. Infect. Immun. 2004, 72, 3932–3940. [Google Scholar] [CrossRef]
- Banchereau, J.; Briere, F.; Caux, C.; Davoust, J.; Lebecque, S.; Liu, Y.J.; Pulendran, B.; Palucka, K. Immunobiology of dendritic cells. Annu. Rev. Immunol. 2000, 18, 767–811. [Google Scholar] [CrossRef] [PubMed]
- Silva, L.B.R.; Dias, L.S.; Rittner, G.M.G.; Munoz, J.E.; Souza, A.C.O.; Nosanchuk, J.D.; Travassos, L.R.; Taborda, C.P. Dendritic Cells Primed with Paracoccidioides brasiliensis Peptide P10 Are Therapeutic in Immunosuppressed Mice with Paracoccidioidomycosis. Front. Microbiol. 2017, 8, 1057. [Google Scholar] [CrossRef]
- Dhodapkar, M.V.; Sznol, M.; Zhao, B.; Wang, D.; Carvajal, R.D.; Keohan, M.L.; Chuang, E.; Sanborn, R.E.; Lutzky, J.; Powderly, J.; et al. Induction of antigen-specific immunity with a vaccine targeting NY-ESO-1 to the dendritic cell receptor DEC-205. Sci. Transl. Med. 2014, 6, 232ra251. [Google Scholar] [CrossRef]





Disclaimer/Publisher’s Note: The statements, opinions and data contained in all publications are solely those of the individual author(s) and contributor(s) and not of MDPI and/or the editor(s). MDPI and/or the editor(s) disclaim responsibility for any injury to people or property resulting from any ideas, methods, instructions or products referred to in the content. |
© 2023 by the authors. Licensee MDPI, Basel, Switzerland. This article is an open access article distributed under the terms and conditions of the Creative Commons Attribution (CC BY) license (https://creativecommons.org/licenses/by/4.0/).
Share and Cite
Santos, S.S.; Rampazo, E.; Taborda, C.P.; Nosanchuk, J.D.; Boscardin, S.B.; Almeida, S.R. Targeting the P10 Peptide in Maturing Dendritic Cells via the DEC205 Receptor In Vivo: A New Therapeutic Strategy against Paracoccidioidomycosis. J. Fungi 2023, 9, 548. https://doi.org/10.3390/jof9050548
Santos SS, Rampazo E, Taborda CP, Nosanchuk JD, Boscardin SB, Almeida SR. Targeting the P10 Peptide in Maturing Dendritic Cells via the DEC205 Receptor In Vivo: A New Therapeutic Strategy against Paracoccidioidomycosis. Journal of Fungi. 2023; 9(5):548. https://doi.org/10.3390/jof9050548
Chicago/Turabian StyleSantos, Suelen S., Eline Rampazo, Carlos P. Taborda, Joshua D. Nosanchuk, Silvia B. Boscardin, and Sandro R. Almeida. 2023. "Targeting the P10 Peptide in Maturing Dendritic Cells via the DEC205 Receptor In Vivo: A New Therapeutic Strategy against Paracoccidioidomycosis" Journal of Fungi 9, no. 5: 548. https://doi.org/10.3390/jof9050548
APA StyleSantos, S. S., Rampazo, E., Taborda, C. P., Nosanchuk, J. D., Boscardin, S. B., & Almeida, S. R. (2023). Targeting the P10 Peptide in Maturing Dendritic Cells via the DEC205 Receptor In Vivo: A New Therapeutic Strategy against Paracoccidioidomycosis. Journal of Fungi, 9(5), 548. https://doi.org/10.3390/jof9050548

