Resistance to Echinocandins Complicates a Case of Candida albicans Bloodstream Infection: A Case Report
Abstract
1. Background
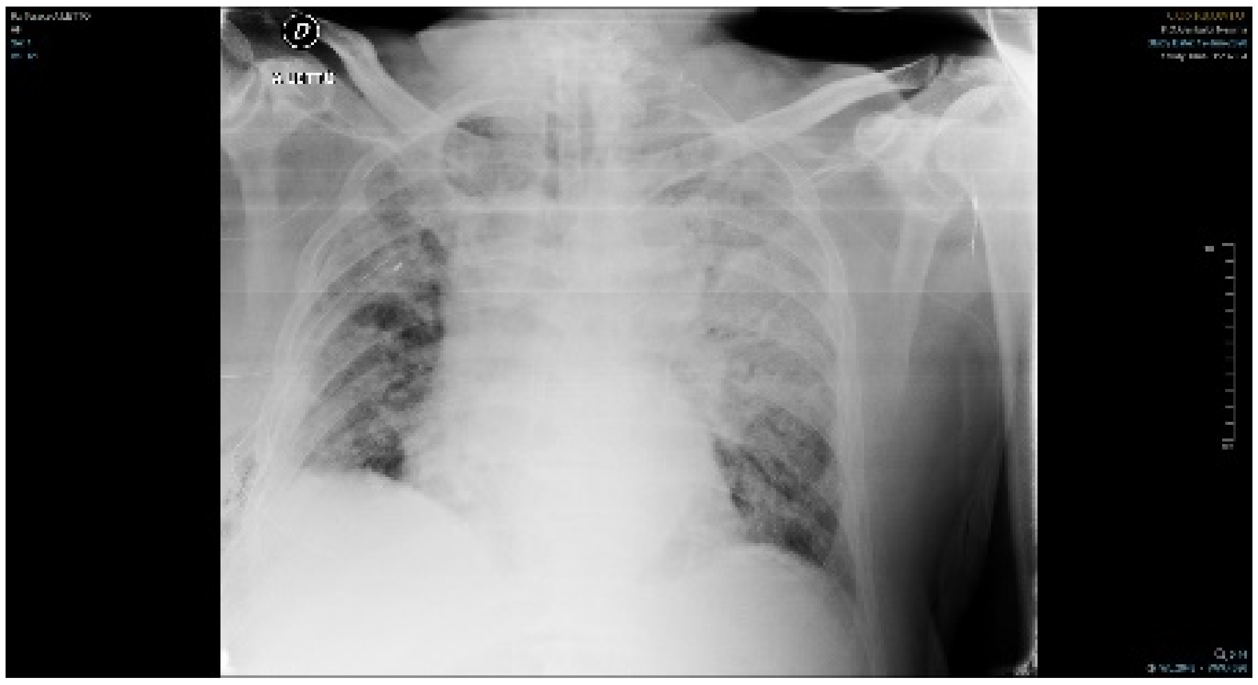
2. Case Report and Results
3. Discussion
Author Contributions
Funding
Institutional Review Board Statement
Informed Consent Statement
Data Availability Statement
Conflicts of Interest
References
- Lohse, M.B.; Gulati, M.; Johnson, A.D.; Nobile, C.J. Development and regulation of single- and multi-species Candida albicans biofilms. Nat. Rev. Microbiol. 2018, 16, 19–31. [Google Scholar] [CrossRef] [PubMed]
- Pfaller, M.A.; Diekema, D.J.; Turnidge, J.D.; Castanheira, M.; Jones, R.N. Twenty years of the SENTRY antifungal surveillance program: Results for Candida species from 1997–2016. Open Forum Infect. Dis. 2019, 6, S79–S94. [Google Scholar] [CrossRef]
- Arastehfar, A.; Yazdanpanah, S.; Bakhtiari, M.; Fang, W.; Pan, W.; Mahmoudi, S.; Pakshir, K.; Daneshnia, F.; Boekhout, T.; Ilkit, M.; et al. Epidemiology of candidemia in Shiraz, southern Iran: A prospective multicenter study (2016–2018). Med. Mycol. 2021, 59, 422–430. [Google Scholar] [CrossRef] [PubMed]
- Cornely, O.A.; Bassetti, M.; Calandra, T.; Garbino, J.; Kullberg, B.J.; Lortholary, O.; Meersseman, W.; Akova, M.; Arendrup, M.C.; Arikan-Akdagli, S.; et al. ESCMID* guideline for the diagnosis and management of Candida diseases 2012: Non-neutropenic adult patients. Clin. Microbiol. Infect. 2012, 18, 19–37. [Google Scholar] [CrossRef] [PubMed]
- Ullmann, A.J.; Akova, M.; Herbrecht, R.; Viscoli, C.; Arendrup, M.C.; Arikan-Akdagli, S.; Bassetti, M.; Bille, J.; Calandra, T.; Castagnola, E.; et al. ESCMID* guideline for the diagnosis and management of Candida diseases 2012: Adults with haematological malignancies and after haematopoietic stem cell transplantation (HCT). Clin. Microbiol. Infect. 2012, 18, 53–67. [Google Scholar] [CrossRef]
- Alexander, B.D.; Johnson, M.D.; Pfeiffer, C.D.; Jimenez-Ortigosa, C.; Catania, J.; Booker, R.; Castanheira, M.; Messer, S.A.; Perlin, D.S.; Pfaller, M.A. Increasing echinocandin resistance in Candida glabrata: Clinical failure correlates with presence of FKS mutations and elevated minimum inhibitory concentrations. Clin. Infect. Dis. 2013, 56, 1724–1732. [Google Scholar] [CrossRef]
- Pfaller, M.A.; Messer, S.A.; Hollis, R.J.; Boyken, L.; Tendolkar, S.; Kroeger, J.; Diekema, D.J. Variation in susceptibility of bloodstream isolates of Candida glabrata to fluconazole according to patient age and geographic location in the United States in 2001 to 2007. J. Clin. Microbiol. 2009, 47, 3185–3190. [Google Scholar] [CrossRef]
- Spettel, K.; Barousch, W.; Makristathis, A.; Zeller, I.; Nehr, M.; Selitsch, B.; Lackner, M.; Rath, P.M.; Steinmann, J.; Willinger, B. Analysis of antifungal resistance genes in Candida albicans and Candida glabrata using next generation sequencing. PLoS ONE 2019, 14, e0210397. [Google Scholar] [CrossRef]
- Perlin, D.S. Echinocandin resistance in candida. Clin. Infect. Dis. 2015, 61, S612–S617. [Google Scholar] [CrossRef]
- Castanheira, M.; Woosley, L.N.; Diekema, D.J.; Messer, S.A.; Jones, R.N.; Pfaller, M.A. Low prevalence of fks1 hot spot 1 mutations in a worldwide collection of Candida strains. Antimicrob. Agents Chemother. 2010, 54, 2655–2659. [Google Scholar] [CrossRef]
- Pappas, P.G.; Kauffman, C.A.; Andes, D.R.; Clancy, C.J.; Marr, K.A.; Ostrosky-Zeichner, L.; Reboli, A.C.; Schuster, M.G.; Vazquez, J.A.; Walsh, T.J.; et al. Clinical practice guideline for the management of candidiasis: 2016 Update by the infectious diseases society of America. Clin. Infect. Dis. 2016, 62, e1–e50. [Google Scholar] [CrossRef]
- Clinical and Laboratory Standards Institute. Reference Method for Broth Dilution Antifungal Susceptibility Testing of Yeasts; Approved Standard CLSI Document M27-A3; Clinical and Laboratory Standards Institute: Wayne, PA, USA, 2008. [Google Scholar]
- Clinical and Laboratory Standards Institute. Epidemiological Cutoff Values for Antifungal Susceptibility Testing; CLSI Supplement M59; Clinical and Laboratory Standards Institute: Wayne, PA, USA, 2018. [Google Scholar]
- Ellsworth, M.; Ostrosky-Zeichner, L. Isavuconazole: Mechanism of action, clinical efficacy, and resistance. J. Fungi 2020, 29, 324. [Google Scholar]
- Howard, S.J.; Lass-Flörl, C.; Cuenca-Estrella, M.; Gomez-Lopez, A.; Arendrup, M.C. Determination of isavuconazole susceptibility of Aspergillus and Candida species by the EUCAST method. Antimicrob. Agents Chemother. 2013, 57, 5426–5431. [Google Scholar] [CrossRef]
- Trovato, L.; Scalia, G.; Palermo, C.I.; Costanzo, C.M.; Oliveri, S. Evaluation of isavuconazole MIC strips for susceptibility testing of Aspergillus and Scedosporium species. Med. Mycol. 2019, 1, 429–433. [Google Scholar] [CrossRef]
- European Committee on Antimicrobial Susceptibility Testing. Breakpoint Tables for Interpretation of Mics for Antifungal Agents. Version 10.0. Available online: https://www.eucast.org/astoffungi/clinicalbreakpointsforantifungals/ (accessed on 4 February 2020).
- Kritikos, A.; Neofytos, D.; Khanna, N.; Schreiber, P.W.; Boggian, K.; Bille, J.; Schrenzel, J.; Mühlethaler, K.; Zbinden, R.; Bruderer, T.; et al. Accuracy of sensititre yeast one echinocandins epidemiological cut-off values for identification of fks mutant candida albicans and candida glabrata: A ten year national survey of the fungal infection network of Switzerland (FUNGINOS). Clin. Microbiol. Infect. 2018, 24, 1214.e1. [Google Scholar] [CrossRef]
- Musso, N.; Costantino, A.; La Spina, S.; Finocchiaro, A.; Andronico, F.; Stracquadanio, S.; Liotta, L.; Visalli, R.; Emmanuele, G. mNew SARS-CoV-2 Infection detected in an Italian pet cat by RT-qPCR from deep pharyngeal swab. Pathogens 2020, 11, 746. [Google Scholar]
- Gagliano, M.; Marchiani, C.; Bandini, G.; Bernardi, P.; Palagano, N.; Cioni, E.; Finocchi, M.; Bellando, S.; Moggi, A. A rare case of Candida glabrata spondylodiscitis: Case report and literature review. Int. J. Infect. Dis. 2018, 68, 31–35. [Google Scholar] [CrossRef]
- Costa-de-Oliveira, S.; Rodrigues, A.G. Candida albicans antifungal resistance and tolerance in bloodstream infections: The triad yeast-host-antifungal. Microorganisms 2020, 22, 154. [Google Scholar] [CrossRef]
- Suwunnakorn, S.; Wakabayashi, H.; Kordalewska, M.; Perlin, D.S.; Rustchenko, E. FKS2 and FKS3 genes of opportunistic human pathogen candida albicans influence echinocandin susceptibility. Antimicrob. Agents Chemother. 2018, 62, e02299. [Google Scholar] [CrossRef]
- Perlin, D.S. Echinocandin resistance, susceptibility testing and prophylaxis: Implications for patient management. Drugs 2014, 14, 1573–1585. [Google Scholar] [CrossRef]
- Posteraro, B.; Torelli, R.; Vella, A.; Leone, P.M.; De Angelis, G.; De Carolis, E.; Ventura, G.; Sanguinetti, M.; Fantoni, M. Pan-echinocandin-resistant Candida glabrata bloodstream infection complicating COVID-19: A fatal case report. J. Fungi 2020, 6, 163. [Google Scholar] [CrossRef] [PubMed]
- Shields, R.K.; Nguyen, M.H.; Press, E.G.; Cumbie, R.; Driscoll, E.; Pasculle, A.W.; Cornelius, J. Rate of FKS mutations among consecutive candida isolates causing bloodstream infection. Antimicrob. Agents Chemother. 2015, 59, 7465–7470. [Google Scholar] [CrossRef] [PubMed]
- Shields, R.K.; Kline, E.G.; Healey, K.R.; Kordalewska, M.; Perlin, D.S.; Nguyen, M.H.; Cornelius, J. Spontaneous Mutational Frequency and FKS Mutation Rates Vary by Echinocandin Agent against Candida glabrata. Antimicrob. Agents Chemother. 2019, 21, e01692. [Google Scholar] [CrossRef] [PubMed]
- Beyda, N.D.; John, J.; Kilic, A.; Alam, M.J.; Lasco, T.M.; Garey, K.W. FKS mutant Candida glabrata: Risk factors and outcomes in patients with candidemia. Clin. Infect. Dis. 2014, 59, 819–825. [Google Scholar] [CrossRef]
- Shields, R.K.; Nguyen, M.H.; Press, E.G.; Clancy, C.J. Abdominal candidiasis is a hidden reservoir of echinocandin resistance. Antimicrob. Agents Chemother. 2014, 58, 7601–7605. [Google Scholar] [CrossRef]
- Healey, K.R.; Nagasaki, Y.; Zimmerman, M.; Kordalewska, M.; Park, S.; Zhao, Y.; Perlin, D.S. The gastrointestinal tract is a major source of echinocandin drug resistance in a murine model of Candida glabrata colonization and systemic dissemination. Antimicrob. Agents Chemother. 2017, 61, e01412–e01417. [Google Scholar] [CrossRef]
- Espinel-Ingroff, A.; Alvarez-Fernandez, M.; Cantón, E.; Carver, P.L.; Chen, S.C.; Eschenauer, G.; Getsinger, D.L.; Gonzalez, G.M.; Govender, N.P.; Grancini, A.; et al. Multicenter study of epidemiological cutoff values and detection of resistance in Candida spp. to anidulafungin, caspofungin, and micafungin using the Sensititre YeastOne colorimetric method. Antimicrob. Agents Chemother. 2015, 59, 6725–6732. [Google Scholar] [CrossRef]


| Isolate | Day | MIC (mg/L) for Antifungal Agents | MIC Strip (mg/L) | FKS Hotspot Mutations | |||||||||
|---|---|---|---|---|---|---|---|---|---|---|---|---|---|
| AMB | AND | CAS | MFG | FCT | ITC | VRC | POS | FLZ | ISA | FKS1 HS1 | FKS1 HS2 | ||
| C. albicans | 8 | 0.5 | 0.015 | 0.03 | 0.008 | <0.06 | 0.06 | <0.008 | 0.03 | 0.25 | 0.5 | Wild type | Wild type |
| C. albicans | 33 | 0.5 | 0.015 | 0.03 | 0.008 | 0.008 | 0.06 | <0.008 | 0.03 | 0.25 | 0.5 | Wild type | Wild type |
| C. albicans | 42 | 0.5 | 1 | 8 | 4 | 0.008 | 0.06 | <0.008 | 0.03 | 0.25 | 0.5 | S645P | - |
Publisher’s Note: MDPI stays neutral with regard to jurisdictional claims in published maps and institutional affiliations. |
© 2021 by the authors. Licensee MDPI, Basel, Switzerland. This article is an open access article distributed under the terms and conditions of the Creative Commons Attribution (CC BY) license (https://creativecommons.org/licenses/by/4.0/).
Share and Cite
Trovato, L.; Bongiorno, D.; Calvo, M.; Migliorisi, G.; Boraccino, A.; Musso, N.; Oliveri, S.; Stefani, S.; Scalia, G. Resistance to Echinocandins Complicates a Case of Candida albicans Bloodstream Infection: A Case Report. J. Fungi 2021, 7, 405. https://doi.org/10.3390/jof7060405
Trovato L, Bongiorno D, Calvo M, Migliorisi G, Boraccino A, Musso N, Oliveri S, Stefani S, Scalia G. Resistance to Echinocandins Complicates a Case of Candida albicans Bloodstream Infection: A Case Report. Journal of Fungi. 2021; 7(6):405. https://doi.org/10.3390/jof7060405
Chicago/Turabian StyleTrovato, Laura, Dafne Bongiorno, Maddalena Calvo, Giuseppe Migliorisi, Albino Boraccino, Nicolò Musso, Salvatore Oliveri, Stefania Stefani, and Guido Scalia. 2021. "Resistance to Echinocandins Complicates a Case of Candida albicans Bloodstream Infection: A Case Report" Journal of Fungi 7, no. 6: 405. https://doi.org/10.3390/jof7060405
APA StyleTrovato, L., Bongiorno, D., Calvo, M., Migliorisi, G., Boraccino, A., Musso, N., Oliveri, S., Stefani, S., & Scalia, G. (2021). Resistance to Echinocandins Complicates a Case of Candida albicans Bloodstream Infection: A Case Report. Journal of Fungi, 7(6), 405. https://doi.org/10.3390/jof7060405

