Resistance to Aflatoxin Accumulation in Maize Mediated by Host-Induced Silencing of the Aspergillus flavus Alkaline Protease (alk) Gene
Abstract
1. Introduction
2. Materials and Methods
2.1. Construction of Alk-RNAi Vector
2.2. Maize Transformation with Alk-RNA Interference Vector and Regeneration
2.3. Confirmation of Transformation and Target Gene Expression
2.4. Genotyping, Zygosity and Transgene Copy Number Assessment Using Real-Time and Droplet Digital PCR
2.5. Seed Increase of Selected Transgenic Lines by Self-Pollination and Generation of Crosses with Elite Maize Lines
2.6. Evaluation of Transgenic Maize Lines for Changes in Aflatoxin Resistance under Laboratory Assay and Field Inoculation Conditions
2.7. Aflatoxin Extraction and Quantification
2.8. Evaluation of Aspergillus flavus Biomass in Maize Kernels
2.9. Total RNA Isolation, Small RNA Library Construction, Sequencing and Bioinformatics the Detection of Alk-specific Small RNA
2.10. Statistical Analyses
3. Results
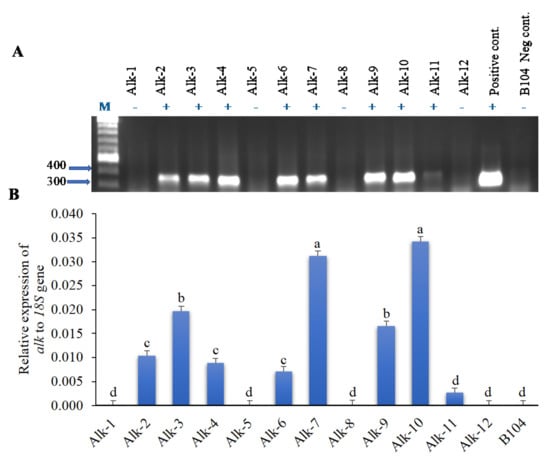
3.1. Construction and Transformation of HIGS Vector into Maize and Confirmation of alk Target Gene
3.2. Variation in Gene Copy Number and Zygosity
3.3. Aflatoxin Production in T3 kernels of Alk-3, Alk-4, Alk-7 and Alk-9 Events under Laboratory Kernel Screening Assay (KSA) Conditions
3.4. Phenotypic Assessment of Alk-RNAi Homozygous Transgenic and Null Control Plants
3.5. Aflatoxin Production of Alk-4 and Alk-9 Events at T4 to T6 Generations and Alk-3 and Alk-7 at T4 Generation under Field Inoculation Conditions
3.6. Reduced Aflatoxin Accumulation in Field Inoculated F1 Crosses between Homozygous T5 Generation of Alk-4 and T6 Generation of Alk-9 with Three Elite Inbred Lines
3.7. A. flavus Growth in Alk Lines and Null Controls
3.8. Small RNA Production in Alk-RNAi Homozygous Transgenic and Null Controls
4. Discussion
5. Conclusions
Supplementary Materials
Author Contributions
Funding
Institutional Review Board Statement
Informed Consent Statement
Data Availability Statement
Acknowledgments
Conflicts of Interest
References
- Geiser, D.M.; Timberlake, W.E.; Arnold, M.L. Loss of meiosis in Aspergillus. Mol. Biol. Evol. 1996, 13, 809–817. [Google Scholar] [CrossRef]
- Horn, B.W.; Gell, R.M.; Singh, R.; Sorensen, R.B.; Carbone, I. Sexual reproduction in Aspergillus flavus sclerotia: Acquisition of novel alleles from soil populations and uniparental mitochondrial inheritance. PLoS ONE 2016, 11, e0146169. [Google Scholar] [CrossRef] [PubMed]
- Moradi, S.; Azari, H.; Jafari Anarkooli, I.; Qasemi-Panahi, B.; Elhami, S.; Forouharmehr, A. Effect of aflatoxin B1 on BRCA1 and BRCA2 genes expression under in vitro cultured cell line of normal Human Mammary Epithelial Cells (HMEC). J. Police Med. 2015, 3, 211–220. [Google Scholar]
- Robens, J.; Richard, J. Aflatoxins in Animal and Human Health. Rev. Environ. Contam. Toxicol. 1992, 127, 69–94. [Google Scholar]
- Squire, R.A. Ranking Animal Carcinogens: A Proposed Regulatory Approach. Science 1981, 214, 877–880. [Google Scholar] [CrossRef]
- Mitchell, N.J.; Bowers, E.; Hurburgh, C.; Wu, F. Potential economic losses to the US corn industry from aflatoxin contamination. Food Addit. Contam: Part A 2016, 33, 540–550. [Google Scholar] [CrossRef] [PubMed]
- Mutegi, C.; Cotty, P.; Bandyopadhyay, R. Prevalence and mitigation of aflatoxins in Kenya (1960-to date). World Mycotoxin J. 2018, 11, 341–357. [Google Scholar] [CrossRef]
- Egal, S.; Hounsa, A.; Gong, Y.; Turner, P.; Wild, C.; Hall, A.; Hell, K.; Cardwell, K. Dietary exposure to aflatoxin from maize and groundnut in young children from Benin and Togo, West Africa. Int. J. Food Microbiol. 2005, 104, 215–224. [Google Scholar] [CrossRef] [PubMed]
- Gong, Y.Y.; Cardwell, K.; Hounsa, A.; Egal, S.; Turner, P.C.; Hall, A.J.; Wild, C.P. Dietary aflatoxin exposure and impaired growth in young children from Benin and Togo: Cross sectional study. BMJ Glob. Health 2002, 325, 20–21. [Google Scholar] [CrossRef]
- Castelino, J.M.; Routledge, M.N.; Wilson, S.; Dunne, D.W.; Mwatha, J.K.; Gachuhi, K.; Wild, C.P.; Gong, Y.Y. Aflatoxin exposure is inversely associated with IGF1 and IGFBP3 levels in vitro and in Kenyan school children. Mol. Nutr. Food Res. 2015, 59, 574–581. [Google Scholar] [CrossRef]
- Accinelli, C.; Abbas, H.K.; Little, N.S.; Kotowicz, J.K.; Shier, W.T. Biological control of aflatoxin production in corn using non-aflatoxigenic Aspergillus flavus administered as a bioplastic-based seed coating. Crop Prot. 2018, 107, 87–92. [Google Scholar] [CrossRef]
- Abbas, H.K.; Accinelli, C.; Shier, W.T. Biological control of aflatoxin contamination in US crops and the use of bioplastic formulations of Aspergillus flavus biocontrol strains to optimize application strategies. J. Agric. Food Chem. 2017, 65, 7081–7087. [Google Scholar] [CrossRef]
- Cotty, P.J.; Bhatnagar, D. Variability among atoxigenic Aspergillus flavus strains in ability to prevent aflatoxin contamination and production of aflatoxin biosynthetic pathway enzymes. Appl. Environ. Microbiol. 1994, 60, 2248–2251. [Google Scholar] [CrossRef]
- Medina, A.; Akbar, A.; Baazeem, A.; Rodriguez, A.; Magan, N. Climate change, food security and mycotoxins: Do we know enough? Fungal Biol. Rev. 2017, 31, 143–154. [Google Scholar] [CrossRef]
- Ojiambo, P.S.; Battilani, P.; Cary, J.W.; Blum, B.H.; Carbone, I. Cultural and genetic approaches to manage aflatoxin contamination: Recent insights provide opportunities for improved control. Phytopathology 2018, 108, 1024–1037. [Google Scholar] [CrossRef]
- Rose, L.E.; Overdijk, E.J.; van Damme, M. Small RNA molecules and their role in plant disease. Eur. J. Plant Pathol. 2019, 154, 115–128. [Google Scholar] [CrossRef]
- Xie, Z.; Johansen, L.K.; Gustafson, A.M.; Kasschau, K.D.; Lellis, A.D.; Zilberman, D.; Jacobsen, S.E.; Carrington, J.C. Genetic and functional diversification of small RNA pathways in plants. PLoS Biol. 2004, 2, e104. [Google Scholar] [CrossRef] [PubMed]
- Baulcombe, D. RNA silencing in plants. Nature 2004, 431, 356–363. [Google Scholar] [CrossRef]
- Brodersen, P.; Sakvarelidze-Achard, L.; Bruun-Rasmussen, M.; Dunoyer, P.; Yamamoto, Y.Y.; Sieburth, L.; Voinnet, O. Widespread translational inhibition by plant miRNAs and siRNAs. Science 2008, 320, 1185–1190. [Google Scholar] [CrossRef] [PubMed]
- Llave, C.; Xie, Z.; Kasschau, K.D.; Carrington, J.C. Cleavage of Scarecrow-like mRNA targets directed by a class of Arabidopsis miRNA. Science 2002, 297, 2053–2056. [Google Scholar] [CrossRef]
- Weiberg, A.; Jin, H. Small RNAs—The secret agents in the plant–pathogen interactions. Curr. Opin. Plant Biol. 2015, 26, 87–94. [Google Scholar] [CrossRef]
- Weiberg, A.; Wang, M.; Lin, F.-M.; Zhao, H.; Zhang, Z.; Kaloshian, I.; Huang, H.-D.; Jin, H. Fungal small RNAs suppress plant immunity by hijacking host RNA interference pathways. Science 2013, 342, 118–123. [Google Scholar] [CrossRef] [PubMed]
- Buck, A.H.; Coakley, G.; Simbari, F.; McSorley, H.J.; Quintana, J.F.; Le Bihan, T.; Kumar, S.; Abreu-Goodger, C.; Lear, M.; Harcus, Y. Exosomes secreted by nematode parasites transfer small RNAs to mammalian cells and modulate innate immunity. Nat. Commun. 2014, 5, 1–12. [Google Scholar] [CrossRef]
- Baulcombe, D.C. VIGS, HIGS and FIGS: Small RNA silencing in the interactions of viruses or filamentous organisms with their plant hosts. Curr. Opin. Plant Biol. 2015, 26, 141–146. [Google Scholar] [CrossRef]
- Cheng, W.; Song, X.S.; Li, H.P.; Cao, L.H.; Sun, K.; Qiu, X.L.; Xu, Y.B.; Yang, P.; Huang, T.; Zhang, J.B. Host-induced gene silencing of an essential chitin synthase gene confers durable resistance to Fusarium head blight and seedling blight in wheat. Plant Biotechnol. J. 2015, 13, 1335–1345. [Google Scholar] [CrossRef] [PubMed]
- Ghag, S.B.; Shekhawat, U.K.; Ganapathi, T.R. Host-induced post-transcriptional hairpin RNA-mediated gene silencing of vital fungal genes confers efficient resistance against Fusarium wilt in banana. Plant Biotechnol. J. 2014, 12, 541–553. [Google Scholar] [CrossRef] [PubMed]
- Govindarajulu, M.; Epstein, L.; Wroblewski, T.; Michelmore, R.W. Host-induced gene silencing inhibits the biotrophic pathogen causing downy mildew of lettuce. Plant Biotechnol. J. 2015, 13, 875–883. [Google Scholar] [CrossRef]
- Huang, G.; Allen, R.; Davis, E.L.; Baum, T.J.; Hussey, R.S. Engineering broad root-knot resistance in transgenic plants by RNAi silencing of a conserved and essential root-knot nematode parasitism gene. Proc. Natl. Acad. Sci. USA 2006, 103, 14302–14306. [Google Scholar] [CrossRef]
- Panwar, V.; Jordan, M.; McCallum, B.; Bakkeren, G. Host-induced silencing of essential genes in Puccinia triticina through transgenic expression of RNA i sequences reduces severity of leaf rust infection in wheat. Plant Biotechnol. J. 2018, 16, 1013–1023. [Google Scholar] [CrossRef]
- Wang, M.-B.; Abbott, D.C.; Upadhyaya, N.M.; Jacobsen, J.V.; Waterhouse, P.M. Agrobacterium tumefaciens-mediated transformation of an elite Australian barley cultivar with virus resistance and reporter genes. Funct. Plant Biol. 2001, 28, 149–156. [Google Scholar] [CrossRef]
- Masanga, J.O.; Matheka, J.M.; Omer, R.A.; Ommeh, S.C.; Monda, E.O.; Alakonya, A.E. Downregulation of transcription factor aflR in Aspergillus flavus confers reduction to aflatoxin accumulation in transgenic maize with alteration of host plant architecture. Plant Cell Rep. 2015, 34, 1379–1387. [Google Scholar] [CrossRef] [PubMed]
- Thakare, D.; Zhang, J.; Wing, R.A.; Cotty, P.J.; Schmidt, M.A. Aflatoxin-free transgenic maize using host-induced gene silencing. Sci. Adv. 2017, 3, e1602382. [Google Scholar] [CrossRef]
- Raruang, Y.; Omolehin, O.; Hu, D.; Wei, Q.; Han, Z.-Q.; Rajasekaran, K.; Cary, J.W.; Wang, K.; Chen, Z.-Y. Host Induced Gene Silencing Targeting Aspergillus flavus aflM Reduced Aflatoxin Contamination in Transgenic Maize under Field Conditions. Front. Microbiol. 2020, 11, 754. [Google Scholar] [CrossRef]
- Katz, M.E.; Ricea, R.N.; Cheetham, B.F. Isolation and characterization of an Aspergillus nidulans gene encoding an alkaline protease. Gene 1994, 150, 287–292. [Google Scholar] [CrossRef]
- Cheetham, B.F.; Katz, M.E. Analysis of two Aspergillus nidulans genes encoding extracellular proteases. Fungal Genet. Biol. 2000, 29, 201–210. [Google Scholar]
- Chen, Z.-Y.; Brown, R.L.; Cary, J.W.; Damann, K.E.; Cleveland, T.E. Characterization of an Aspergillus flavus alkaline protease and its role in the infection of maize kernels. Toxin Rev. 2009, 28, 187–197. [Google Scholar] [CrossRef]
- Chen, Z.-Y.; Brown, R.L.; Damann, K.E.; Cleveland, T.E. PR10 expression in maize and its effect on host resistance against Aspergillus flavus infection and aflatoxin production. Mol. Plant Pathol. 2010, 11, 69–81. [Google Scholar] [CrossRef]
- Frame, B.R.; Shou, H.; Chikwamba, R.K.; Zhang, Z.; Xiang, C.; Fonger, T.M.; Pegg, S.E.K.; Li, B.; Nettleton, D.S.; Pei, D. Agrobacterium tumefaciens-mediated transformation of maize embryos using a standard binary vector system. Plant Physiol. 2002, 129, 13–22. [Google Scholar] [CrossRef]
- Raji, J.A.; Frame, B.; Little, D.; Santoso, T.J.; Wang, K. Agrobacterium-and biolistic-mediated transformation of maize B104 inbred. In Maize: Methods and Protocols; Lagrimini, L.M., Ed.; Springer: New York, NY, USA, 2018; pp. 15–40. [Google Scholar]
- Doyle, J.J.; Doyle, J.L. Isolation of plant DNA from fresh tissue. Focus 1990, 12, 39–40. [Google Scholar]
- Hindson, B.J.; Ness, K.D.; Masquelier, D.A.; Belgrader, P.; Heredia, N.J.; Makarewicz, A.J.; Bright, I.J.; Lucero, M.Y.; Hiddessen, A.L.; Legler, T.C. High-throughput droplet digital PCR system for absolute quantitation of DNA copy number. Anal. Chem. 2011, 83, 8604–8610. [Google Scholar] [CrossRef]
- Głowacka, K.; Kromdijk, J.; Leonelli, L.; Niyogi, K.K.; Clemente, T.E.; Long, S.P. An evaluation of new and established methods to determine T-DNA copy number and homozygosity in transgenic plants. Plant Cell Environ. 2016, 39, 908–917. [Google Scholar] [CrossRef] [PubMed]
- Xu, X.; Peng, C.; Wang, X.; Chen, X.; Wang, Q.; Xu, J. Comparison of droplet digital PCR with quantitative real-time PCR for determination of zygosity in transgenic maize. Transgenic Res. 2016, 25, 855–864. [Google Scholar] [CrossRef]
- Collier, R.; Dasgupta, K.; Xing, Y.; Hernandez, B.; Shao, M.; Rohozinski, D.; Kovak, E.; Lin, J.; De Oliveira, M.; Stover, E. Accurate measurement of transgene copy number in crop plants using droplet digital PCR. Plant J. 2017, 90, 1014–1025. [Google Scholar] [CrossRef]
- Brown, R.; Cleveland, T.; Payne, G.; Woloshuk, C.; Campbell, K.; White, D. Determination of resistance to aflatoxin production in maize kernels and detection of fungal colonization using an Aspergillus flavus transformant expressing Escherichia coli β-glucuronidase. Phytopathology 1995, 85, 983–989. [Google Scholar] [CrossRef]
- Williams, W.P.; Alpe, M.N.; Windham, G.L.; Ozkan, S.; Mylroie, J.E. Comparison of two inoculation methods for evaluating maize for resistance to Aspergillus flavus infection and aflatoxin accumulation. Int. J. Agron. 2013, 2013, 6. [Google Scholar] [CrossRef]
- Sobolev, V.S.; Dorner, J.W. Cleanup procedure for determination of aflatoxins in major agricultural commodities by liquid chromatography. J. AOAC Int. 2002, 85, 642–645. [Google Scholar] [CrossRef]
- Sweany, R.R.; Damann Jr, K.E.; Kaller, M.D. Comparison of soil and corn kernel Aspergillus flavus populations: Evidence for niche specialization. Phytopathology 2011, 101, 952–959. [Google Scholar] [CrossRef] [PubMed]
- Joshua, H. Determination of aflatoxins by reversed-phase high-performance liquid chromatography with post-column in-line photochemical derivatization and fluorescence detection. J. Chromatogr. A 1993, 654, 247–254. [Google Scholar] [CrossRef]
- Martin, M. Cutadapt removes adapter sequences from high-throughput sequencing reads. EMBnet J. 2011, 17, 10–12. [Google Scholar] [CrossRef]
- Langmead, B.; Trapnell, C.; Pop, M.; Salzberg, S.L. Ultrafast and memory-efficient alignment of short DNA sequences to the human genome. Genome Biol. 2009, 10, R25. [Google Scholar] [CrossRef]
- R Core Team. R: A Language and Environment for Statistical Computing; R Foundation for Statistical Computing: Vienna, Austria, 2013; Available online: http://www.R-project.org/ (accessed on 19 October 2021).
- Saxton, A. A macro for converting mean separation output to letter groupings in Proc Mixed. In Proceedings of the 23rd SAS Users Group International, Nashville, TN, USA, 22–25 March 1998; pp. 1243–1246. [Google Scholar]
- Glass, N.L.; Donaldson, G.C. Development of primer sets designed for use with the PCR to amplify conserved genes from filamentous ascomycetes. Appl. Environ. Microbiol. 1995, 61, 1323–1330. [Google Scholar] [CrossRef]
- Dalakouras, A.; Wassenegger, M.; Dadami, E.; Ganopoulos, I.; Pappas, M.L.; Papadopoulou, K. Genetically modified organism-free RNA interference: Exogenous application of RNA molecules in plants. Plant Physiol. 2020, 182, 38–50. [Google Scholar] [CrossRef] [PubMed]
- Dalakouras, A.; Jarausch, W.; Buchholz, G.; Bassler, A.; Braun, M.; Manthey, T.; Krczal, G.; Wassenegger, M. Delivery of hairpin RNAs and small RNAs into woody and herbaceous plants by trunk injection and petiole absorption. Front. Plant Sci. 2018, 9, 1253. [Google Scholar] [CrossRef]
- McHale, M.; Eamens, A.L.; Finnegan, E.J.; Waterhouse, P.M. A 22-nt artificial micro RNA mediates widespread RNA silencing in Arabidopsis. Plant J. 2013, 76, 519–529. [Google Scholar] [CrossRef]
- Travella, S.; Ross, S.; Harden, J.; Everett, C.; Snape, J.; Harwood, W. A comparison of transgenic barley lines produced by particle bombardment and Agrobacterium-mediated techniques. Plant Cell Rep. 2005, 23, 780–789. [Google Scholar] [CrossRef] [PubMed]
- Clarke, J.L.; Spetz, C.; Haugslien, S.; Xing, S.; Dees, M.W.; Moe, R.; Blystad, D.-R. Agrobacterium tumefaciens-mediated transformation of poinsettia, Euphorbia pulcherrima, with virus-derived hairpin RNA constructs confers resistance to Poinsettia mosaic virus. Plant Cell Rep. 2008, 27, 1027–1038. [Google Scholar] [CrossRef][Green Version]
- Zhu, C.-X.; Liu, H.-M.; Song, Y.-Z.; Wen, F.-J. Genetic analysis of RNA-mediated virus resistance in transgenic tobacco. Acta Genet. Sin. 2005, 32, 94–103. [Google Scholar]
- Guo, X.; Li, H.; Zhang, J.; Zhu, X.; Wang, H. Evidence for RNA-mediated resistance to PVYn in tobacco plants transformed with the viral coat protein gene. Chin. J. Appl. Environ. Biol. 2003, 9, 372–376. [Google Scholar]
- Liu, H.; Zhu, C.; Zhu, X.; Guo, X.; Song, Y.; Wen, F. A link between PVYN CP gene-mediated virus resistance and transgene arrangement. J. Phytopathol. 2007, 155, 676–682. [Google Scholar] [CrossRef]
- Van den Boogaart, T.; Wen, F.; Davies, J.W.; Lomonossoff, G.P. Replicase-derived resistance against Pea early browning virus in Nicotiana benthamiana is an unstable resistance based upon posttranscriptional gene silencing. Mol. Plant Microbe Interact. 2001, 14, 196–203. [Google Scholar] [CrossRef] [PubMed]
- Windham, G.; Williams, W. Comparison of different inoculating methods to evaluate the pathogenicity and virulence of Aspergillus niger on two maize hybrids. Phytoparasitica 2012, 40, 305–310. [Google Scholar] [CrossRef]
- Windham, G.; Williams, W. A comparison of inoculation techniques for inducing aflatoxin contamination and Aspergillus flavus kernel infection on corn hybrids in the field. Phytoparasitica 2007, 35, 244. [Google Scholar] [CrossRef]
- Windham, G.L.; Williams, W.P.; Buckley, P.M.; Abbas, H.K. Inoculation techniques used to quantify aflatoxin resistance in corn. J. Toxicol. Toxin Rev. 2003, 22, 313–325. [Google Scholar] [CrossRef]






| Year | Lines | # of Seeds | # of Transplant | # of Transgenic | # of Plants Pollinated | # of Ears Inoculated $ | Total # of Ears Harvested |
|---|---|---|---|---|---|---|---|
| 2017 selfing (T3 to T4) | Alk-4 | 150 | 103 | 67 | 45 | 12 | 43 |
| Null-4 | 70 | 58 | N/A | 47 | 12 | 47 | |
| Alk-9 | 148 | 122 | 46 | 36 | 14 | 36 | |
| Null-9 | 70 | 58 | N/A | 45 | 10 | 39 | |
| B104-13 | 100 | 61 | N/A | 54 | 7 | 23 | |
| 2018 selfing (T4 to T5 and F1 crossing | Alk-4 | 240 | 180 | 180 | 95 | 23 | 73 |
| Null-4 | 200 | 190 | N/A | 61 | 15 | 61 | |
| Alk-9 | 120 | 80 | 80 | 77 | 26 | 73 | |
| Null-9 | 120 | 100 | N/A | 60 | 13 | 42 | |
| B104-9 | 100 | 87 | N/A | 57 | 14 | 44 | |
| LH195 | 206 | 169 | N/A | 33 * | 29 | 30 | |
| PHN46 | 197 | 174 | N/A | 37 * | 29 | 32 | |
| PHG39 | 210 | 180 | N/A | 31 * | 24 | 29 | |
| Alk-4 | 50 | ||||||
| Null-4 | 50 | ||||||
| 2019 selfing T5 to T6 (Alk-4, 9) and T3 to T4 (alk-3, 7) and crossing | Alk-4 | 75 | 52 | 52 | ≥40 | 15 | 35 |
| Null-4 | 75 | 55 | N/A | ≥40 | 15 | 35 | |
| Alk-9 | 75 | 45 | 45 | ≥40 | 15 | 36 | |
| Null-9 | 75 | 48 | N/A | ≥40 | 15 | 38 | |
| Alk-3 | 160 | 150 | 35 | 35 | 12 | 30 | |
| Null-3 | 70 | 60 | N/A | 59 | 12 | 57 | |
| Alk-7 | 160 | 150 | 37 | 37 | 15 | 31 | |
| Null-7 | 70 | 57 | N/A | 50 | 12 | 42 | |
| LH195 | 150 | 131 | N/A | 35 * | 25 | 33 | |
| PHN46 | 150 | 140 | N/A | 38 * | 32 | 35 | |
| PHG39 | 150 | 137 | N/A | 36 * | 24 | 32 | |
| Alk-9 | 60 | 54 | |||||
| Null-9 | 60 | 56 |
| Line | # of Seedlings | Seedlings Containing Transgene (O/E) * | Seedlings without Transgene (O/E) | X2 | # of Integration |
|---|---|---|---|---|---|
| Alk-3 | 100 | 74/75 | 26/25 | 0.05 | 1 |
| Alk-4 | 87 | 64/65 | 23/22 | 0.1 | 1 |
| Alk-7 | 96 | 77/72 | 19/24 | 1.4 | 1 |
| Alk-9 | 89 | 70/67 | 19/22 | 0.5 | 1 |
| Event | Alk Copy/µL | Adh1 Copy/µL | Alk/Adh1 | Copy Number * |
|---|---|---|---|---|
| Alk-3 (T0) | 330 | 302 | 1.09 | 1 (hemi) |
| Alk-4 (T0) | 563 | 603 | 0.93 | 1(hemi) |
| Alk-6 (T0) | 238 | 245 | 0.97 | 1 (hemi) |
| Alk-7 (T0) | 85.9 | 48.6 | 1.76 | 2 (hemi) |
| Alk-9 (T0) | 540 | 249 | 2.17 | 2 (hemi) |
| Alk-10 (T0) | 593 | 274 | 2.16 | 2 (hemi) |
| Alk-11 (T0) | 187 | 181 | 1.03 | 1 (hemi) |
| Alk-3 (T4) | 342 | 153.7 | 2.23 | 1 (homo) |
| Alk-4 (T4) | 529 | 290 | 1.82 | 1 (homo) |
| Alk-7 (T4) | 144.4 | 36.7 | 4.20 | 2 (homo) |
| Alk-9 (T4) | 256.8 | 54.9 | 4.68 | 2 (homo) |
| Line T4 Plants | Mean Plant Height (cm) | Days to Tasseling | Days to Silking | Mean Cob Length (cm) | Mean 100 Seed Weight (g) |
|---|---|---|---|---|---|
| Alk-3 (Transgenic) | 138.2ab | 69.0b | 72.0b | 13.5d | 23.4c * |
| Alk-3 (Null) | 136.8b | 68.1bc | 71.0bc | 13.1d | 21.5d * |
| Alk-4 (Transgenic) | 138.9ab | 67.0bc | 70.0c | 13.3cd | 22.1d * |
| Alk-4 (Null) | 140.2ab | 67.2bc | 68.2d | 13.7cd | 22.1d * |
| Alk-7 (Transgenic) | 137.9ab | 66.1cd | 68.9cd | 15.1a * | 24.1bc |
| Alk-7 (Null) | 141.2ab | 68.0bc | 71.0bc | 15.0a * | 25.4a |
| Alk-9 (Transgenic) | 132.3c * | 71.0a * | 74.0a * | 13.3d | 23.8c * |
| Alk-9 (Null) | 142.0a | 67.0c | 70.0c | 14.6bc | 24.3ab |
| B104 | 139.4ab | 68.0bc | 70.0c | 14.3bd | 24.8ab |
| ** Std. dev. | 2.9 | 1.5 | 1.7 | 0.7 | 1.3 |
| Tissue Type | Event | Total Read | Reads Aligned to A. flavus | Reads Aligned to Alk |
|---|---|---|---|---|
| Leaf | Alk-4 (Homo) | 36,025,471 | 13,699 | 9574 |
| B104 (Null) | 60,780,742 | 6238 | 7 | |
| kernels | Alk-4 (Homo) | 30,112,812 | 52,476 | 6606 |
| Alk-4 (Null) | 35,988,183 | 64,291 | 8 |
Publisher’s Note: MDPI stays neutral with regard to jurisdictional claims in published maps and institutional affiliations. |
© 2021 by the authors. Licensee MDPI, Basel, Switzerland. This article is an open access article distributed under the terms and conditions of the Creative Commons Attribution (CC BY) license (https://creativecommons.org/licenses/by/4.0/).
Share and Cite
Omolehin, O.; Raruang, Y.; Hu, D.; Han, Z.-Q.; Wei, Q.; Wang, K.; Rajasekaran, K.; Cary, J.W.; Chen, Z.-Y. Resistance to Aflatoxin Accumulation in Maize Mediated by Host-Induced Silencing of the Aspergillus flavus Alkaline Protease (alk) Gene. J. Fungi 2021, 7, 904. https://doi.org/10.3390/jof7110904
Omolehin O, Raruang Y, Hu D, Han Z-Q, Wei Q, Wang K, Rajasekaran K, Cary JW, Chen Z-Y. Resistance to Aflatoxin Accumulation in Maize Mediated by Host-Induced Silencing of the Aspergillus flavus Alkaline Protease (alk) Gene. Journal of Fungi. 2021; 7(11):904. https://doi.org/10.3390/jof7110904
Chicago/Turabian StyleOmolehin, Olanike, Yenjit Raruang, Dongfang Hu, Zhu-Qiang Han, Qijian Wei, Kan Wang, Kanniah Rajasekaran, Jeffrey W. Cary, and Zhi-Yuan Chen. 2021. "Resistance to Aflatoxin Accumulation in Maize Mediated by Host-Induced Silencing of the Aspergillus flavus Alkaline Protease (alk) Gene" Journal of Fungi 7, no. 11: 904. https://doi.org/10.3390/jof7110904
APA StyleOmolehin, O., Raruang, Y., Hu, D., Han, Z.-Q., Wei, Q., Wang, K., Rajasekaran, K., Cary, J. W., & Chen, Z.-Y. (2021). Resistance to Aflatoxin Accumulation in Maize Mediated by Host-Induced Silencing of the Aspergillus flavus Alkaline Protease (alk) Gene. Journal of Fungi, 7(11), 904. https://doi.org/10.3390/jof7110904

