Papillary Muscles of the Left Ventricle: Integrating Electrical and Mechanical Dynamics
Abstract
1. Introduction
2. Anatomy
3. Ultrastructure of the Papillary Muscles
4. Physiology
5. Arrhythmia Originating from the Papillary Muscles
6. Mitral Valve and Papillary Muscles’ Synchrony
7. Mitral Valve Closure
7.1. Secondary Mitral Regurgitation
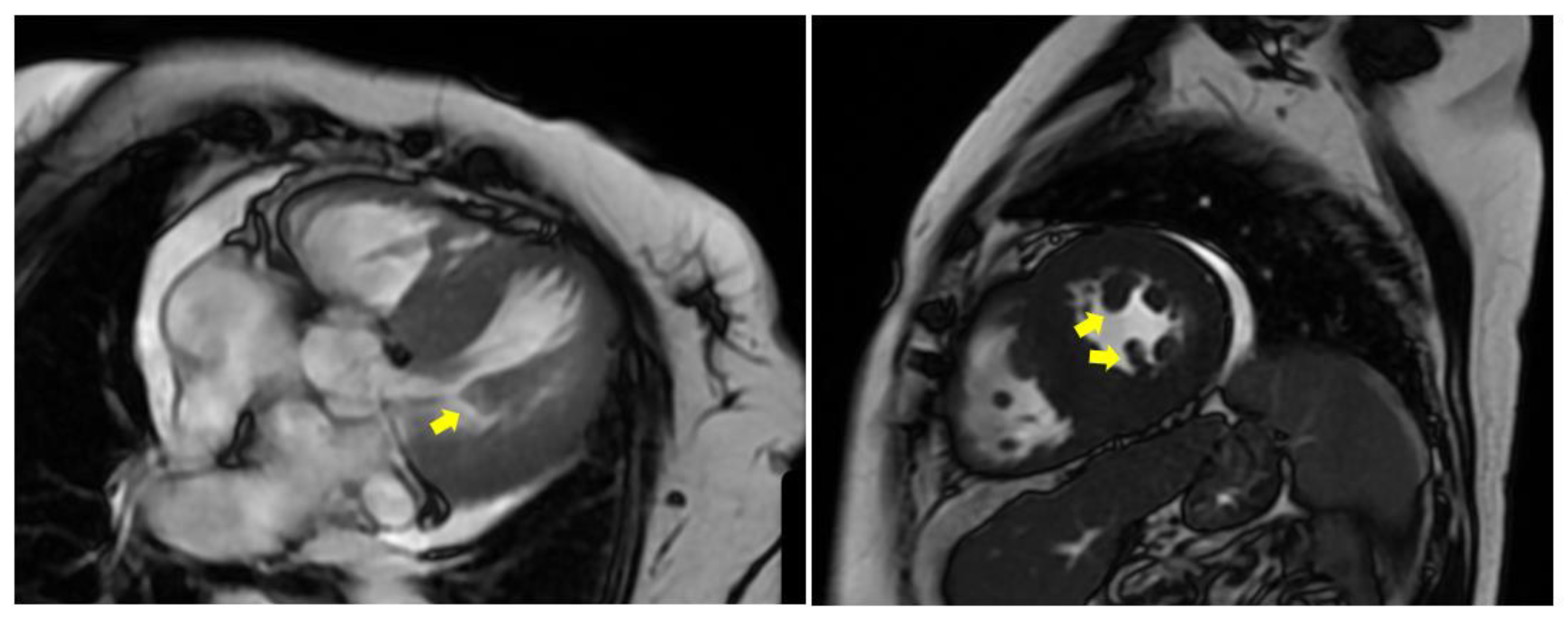
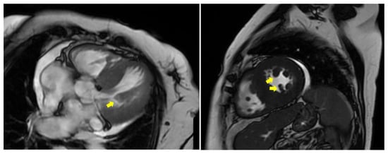
7.2. Hypertrophic (Obstructive) Cardiomyopathy
8. Conclusions
Author Contributions
Funding
Conflicts of Interest
References
- Clayton, M.P.R. Leonardo da Vinci: Anatomist, 2012nd ed.; Royal Collection Trust: London, UK, 2014; Volume 1, p. 260. [Google Scholar]
- Madu, E.C.; D’Cruz, I.A. The vital role of papillary muscles in mitral and ventricular function: Echocardiographic insights. Clin. Cardiol. 1997, 20, 93–98. [Google Scholar] [CrossRef] [PubMed]
- Naksuk, N.; Kapa, S.; Asirvatham, S.J. Spectrum of Ventricular Arrhythmias Arising from Papillary Muscle in the Structurally Normal Heart. Card. Electrophysiol. Clin. 2016, 8, 555–565. [Google Scholar] [CrossRef] [PubMed]
- Roberts, W.C.; Cohen, L.S. Left ventricular papillary muscles. Description of the normal and a survey of conditions causing them to be abnormal. Circulation 1972, 46, 138–154. [Google Scholar] [CrossRef] [PubMed]
- Saha, A.; Roy, S. Papillary muscles of left ventricle-Morphological variations and it’s clinical relevance. Indian Heart J. 2018, 70, 894–900. [Google Scholar] [CrossRef] [PubMed]
- Yamada, T.; Kay, G.N. Anatomical Consideration in Catheter Ablation of Idiopathic Ventricular Arrhythmias. Arrhythm. Electrophysiol. Rev. 2016, 5, 203–209. [Google Scholar] [CrossRef]
- Pathak, R.K.; King, K.; Abhilash, S.P.; Rangaswamy, V.V.; Raja, D.C. Electrophysiological Substrates in Papillary Muscle Arrhythmias—Implications for Catheter Ablation. Eur. J. Arrhythmia Electrophysiol. 2020, 6, 32–38. [Google Scholar] [CrossRef]
- Haissaguerre, M.; Vigmond, E.; Stuyvers, B.; Hocini, M.; Bernus, O. Ventricular arrhythmias and the His-Purkinje system. Nat. Rev. Cardiol. 2016, 13, 155–166. [Google Scholar] [CrossRef]
- Kenchaiah, S.; Benjamin, E.J.; Evans, J.C.; Aragam, J.; Vasan, R.S. Epidemiology of left ventricular false tendons: Clinical correlates in the Framingham Heart Study. J. Am. Soc. Echocardiogr. 2009, 22, 739–745. [Google Scholar] [CrossRef]
- Oosthoek, P.W.; Wenink, A.C.; Wisse, L.J.; Gittenberger-de Groot, A.C. Development of the papillary muscles of the mitral valve: Morphogenetic background of parachute-like asymmetric mitral valves and other mitral valve anomalies. J. Thorac. Cardiovasc. Surg. 1998, 116, 36–46. [Google Scholar] [CrossRef] [PubMed]
- Gunnal, S.A.; Wabale, R.N.; Farooqui, M.S. Morphological variations of papillary muscles in the mitral valve complex in human cadaveric hearts. Singapore Med. J. 2013, 54, 44–48. [Google Scholar] [CrossRef] [PubMed]
- Krawczyk-Ozog, A.; Holda, M.K.; Bolechala, F.; Siudak, Z.; Sorysz, D.; Dudek, D.; Klimek-Piotrowska, W. Anatomy of the mitral subvalvular apparatus. J. Thorac. Cardiovasc. Surg. 2018, 155, 2002–2010. [Google Scholar] [CrossRef]
- Loukas, M.; Louis, R.G., Jr.; Black, B.; Pham, D.; Fudalej, M.; Sharkees, M. False tendons: An endoscopic cadaveric approach. Clin. Anat. 2007, 20, 163–169. [Google Scholar] [CrossRef] [PubMed]
- Rivera, S.; Vecchio, N.; Ricapito, P. Anatomical Connections Between the Papillary Muscles and the Ventricular Myocardium: Correlation With QRS Variability of Ventricular Arrhythmias. Circ. Arrhythm. Electrophysiol. 2019, 12, e007004. [Google Scholar] [CrossRef] [PubMed]
- Syed, F.F.; Ackerman, M.J.; McLeod, C.J.; Kapa, S.; Mulpuru, S.K.; Sriram, C.S.; Cannon, B.C.; Asirvatham, S.J.; Noseworthy, P.A. Sites of Successful Ventricular Fibrillation Ablation in Bileaflet Mitral Valve Prolapse Syndrome. Circ. Arrhythm. Electrophysiol. 2016, 9, 5. [Google Scholar] [CrossRef]
- Hakacova, N.; Robinson, A.M.; Olson, C.W.; Selvester, R.H.; Wagner, G.S. The relationship between mitral papillary muscles positions and characteristics of the QRS complex. J. Electrocardiol. 2008, 41, 487–490. [Google Scholar] [CrossRef] [PubMed]
- Armour, J.A.; Randall, W.C. Electrical and mechanical activity of papillary muscle. Am. J. Physiol. 1970, 218, 1710–1717. [Google Scholar] [CrossRef]
- Sanfilippo, A.J.; Harrigan, P.; Popovic, A.D.; Weyman, A.E.; Levine, R.A. Papillary muscle traction in mitral valve prolapse: Quantitation by two-dimensional echocardiography. J. Am. Coll. Cardiol. 1992, 19, 564–571. [Google Scholar] [CrossRef] [PubMed]
- Gornick, C.C.; Tobler, H.G.; Pritzker, M.C.; Tuna, I.C.; Almquist, A.; Benditt, D.G. Electrophysiologic effects of papillary muscle traction in the intact heart. Circulation 1986, 73, 1013–1021. [Google Scholar] [CrossRef] [PubMed]
- Marzilli, M.; Sabbah, H.N.; Lee, T.; Stein, P.D. Role of the papillary muscle in opening and closure of the mitral valve. Am. J. Physiol. 1980, 238, H348–H354. [Google Scholar] [CrossRef] [PubMed]
- Marzilli, M.; Sabbah, H.N.; Goldstein, S.; Stein, P.D. Assessment of papillary muscle function in the intact heart. Circulation 1985, 71, 1017–1022. [Google Scholar] [CrossRef]
- Enriquez, A.; Briceno, D.; Tapias, C.; Shirai, Y.; Muser, D.; Liang, J.; Hayashi, T.; Santangeli, P.; Frankel, D.S.; Supple, G.E.; et al. Ischemic ventricular tachycardia from below the posteromedial papillary muscle, a particular entity: Substrate characterization and challenges for catheter ablation. Heart Rhythm. 2019, 16, 1174–1181. [Google Scholar] [CrossRef]
- Good, E.; Desjardins, B.; Jongnarangsin, K.; Oral, H.; Chugh, A.; Ebinger, M.; Pelosi, F.; Morady, F.; Bogun, F. Ventricular arrhythmias originating from a papillary muscle in patients without prior infarction: A comparison with fascicular arrhythmias. Heart Rhythm. 2008, 5, 1530–1537. [Google Scholar] [CrossRef] [PubMed]
- Morley, G.E.; Danik, S.B.; Bernstein, S.; Sun, Y.; Rosner, G.; Gutstein, D.E.; Fishman, G.I. Reduced intercellular coupling leads to paradoxical propagation across the Purkinje-ventricular junction and aberrant myocardial activation. Proc. Natl. Acad. Sci. USA 2005, 102, 4126–4129. [Google Scholar] [CrossRef] [PubMed]
- Pak, H.N.; Kim, Y.H.; Lim, H.E.; Chou, C.C.; Miyauchi, Y.; Fang, Y.H.; Sun, K.; Hwang, C.; Chen, P.S. Role of the posterior papillary muscle and purkinje potentials in the mechanism of ventricular fibrillation in open chest dogs and Swine: Effects of catheter ablation. J. Cardiovasc. Electrophysiol. 2006, 17, 777–783. [Google Scholar] [CrossRef]
- Santoro, F.; Luigi, D.I.B.; Hranitzky, P.; Sanchez, J.E.; Santangeli, P.; Perini, A.P.; Burkhardt, J.D.; Natale, A. Ventricular tachycardia originating from the septal papillary muscle of the right ventricle: Electrocardiographic and electrophysiological characteristics. J. Cardiovasc. Electrophysiol. 2015, 26, 145–150. [Google Scholar] [CrossRef]
- Van Herendael, H.; Zado, E.S.; Haqqani, H.; Tschabrunn, C.M.; Callans, D.J.; Frankel, D.S.; Lin, D.; Garcia, F.; Hutchinson, M.D.; Riley, M.; et al. Catheter ablation of ventricular fibrillation: Importance of left ventricular outflow tract and papillary muscle triggers. Heart Rhythm. 2014, 11, 566–573. [Google Scholar] [CrossRef] [PubMed]
- Enriquez, A.; Shirai, Y.; Huang, J.; Liang, J.; Briceno, D.; Hayashi, T.; Muser, D.; Fulton, B.; Han, Y.; Perez, A.; et al. Papillary muscle ventricular arrhythmias in patients with arrhythmic mitral valve prolapse: Electrophysiologic substrate and catheter ablation outcomes. J. Cardiovasc. Electrophysiol. 2019, 30, 827–835. [Google Scholar] [CrossRef]
- Muthukumar, L.; Jahangir, A.; Jan, M.F.; Perez Moreno, A.C.; Khandheria, B.K.; Tajik, A.J. Association Between Malignant Mitral Valve Prolapse and Sudden Cardiac Death: A Review. JAMA Cardiol. 2020, 5, 1053–1061. [Google Scholar] [CrossRef] [PubMed]
- Fulton, B.L.; Liang, J.J.; Enriquez, A.; Garcia, F.C.; Supple, G.E.; Riley, M.P.; Schaller, R.D.; Dixit, S.; Callans, D.J.; Marchlinski, F.E.; et al. Imaging characteristics of papillary muscle site of origin of ventricular arrhythmias in patients with mitral valve prolapse. J. Cardiovasc. Electrophysiol. 2018, 29, 146–153. [Google Scholar] [CrossRef] [PubMed]
- Perazzolo Marra, M.; Basso, C.; De Lazzari, M.; Rizzo, S.; Cipriani, A.; Giorgi, B.; Lacognata, C.; Rigato, I.; Migliore, F.; Pilichou, K.; et al. Morphofunctional Abnormalities of Mitral Annulus and Arrhythmic Mitral Valve Prolapse. Circ. Cardiovasc. Imaging 2016, 9, e005030. [Google Scholar] [CrossRef]
- Malagoli, A.; Albini, A.; Benfari, G.; Ilardi, F.; Lisi, M.; Mandoli, G.E.; Pastore, M.C.; Sperlongano, S.; Cameli, M.; D’Andrea, A.; et al. Arrhythmic mitral valve prolapse: A practical approach for asymptomatic patients. Eur. Heart J. Cardiovasc. Imaging 2023, 25, 293–301. [Google Scholar] [CrossRef] [PubMed]
- Basso, C.; Perazzolo Marra, M.; Rizzo, S.; De Lazzari, M.; Giorgi, B.; Cipriani, A.; Frigo, A.C.; Rigato, I.; Migliore, F.; Pilichou, K.; et al. Arrhythmic Mitral Valve Prolapse and Sudden Cardiac Death. Circulation 2015, 132, 556–566. [Google Scholar] [CrossRef] [PubMed]
- Nalliah, C.J.; Mahajan, R.; Elliott, A.D.; Haqqani, H.; Lau, D.H.; Vohra, J.K.; Morton, J.B.; Semsarian, C.; Marwick, T.; Kalman, J.M.; et al. Mitral valve prolapse and sudden cardiac death: A systematic review and meta-analysis. Heart 2019, 105, 144–151. [Google Scholar] [CrossRef]
- Hong, T.; Yang, M.; Zhong, L.; Lee, Y.H.; Vaidya, V.R.; Asirvatham, S.J.; Ackerman, M.J.; Pislaru, S.V.; Suri, R.M.; Slusser, J.P.; et al. Ventricular premature contraction associated with mitral valve prolapse. Int. J. Cardiol. 2016, 221, 1144–1149. [Google Scholar] [CrossRef]
- Nordhues, B.D.; Siontis, K.C.; Scott, C.G.; Nkomo, V.T.; Ackerman, M.J.; Asirvatham, S.J.; Noseworthy, P.A. Bileaflet Mitral Valve Prolapse and Risk of Ventricular Dysrhythmias and Death. J. Cardiovasc. Electrophysiol. 2016, 27, 463–468. [Google Scholar] [CrossRef] [PubMed]
- Dejgaard, L.A.; Skjolsvik, E.T.; Lie, O.H.; Ribe, M.; Stokke, M.K.; Hegbom, F.; Scheirlynck, E.S.; Gjertsen, E.; Andresen, K.; Helle-Valle, T.M.; et al. The Mitral Annulus Disjunction Arrhythmic Syndrome. J. Am. Coll. Cardiol. 2018, 72, 1600–1609. [Google Scholar] [CrossRef] [PubMed]
- Han, H.C.; Parsons, S.A.; Curl, C.L.; Teh, A.W.; Raaijmakers, A.J.A.; Koshy, A.N.; Leong, T.; Burrell, L.M.; O’Donnell, D.; Vohra, J.K.; et al. Systematic quantification of histologic ventricular fibrosis in isolated mitral valve prolapse and sudden cardiac death. Heart Rhythm. 2021, 18, 570–576. [Google Scholar] [CrossRef]
- Rizzo, S.; Perazzolo Marra, M.; De Gaspari, M.; Basso, C. The missing pieces in the puzzle of arrhythmic mitral valve prolapse: Papillary muscles, mitral annulus dysjunction, and myocardial scarring. Heart Rhythm. 2021, 18, 577–578. [Google Scholar] [CrossRef] [PubMed]
- Basso, C.; Iliceto, S.; Thiene, G.; Perazzolo Marra, M. Mitral Valve Prolapse, Ventricular Arrhythmias, and Sudden Death. Circulation 2019, 140, 952–964. [Google Scholar] [CrossRef]
- Cecere, A.; Cipriani, A.; De Lazzari, M.; Graziano, F.; Brunetti, G.; De Conti, G.; Motta, R.; Ravagnin, A.; Lorenzoni, G.; Gregori, D.; et al. Left ventricular fibrosis in arrhythmic mitral valve prolapse: Quantification and comparison of semi-automated techniques assessed by cardiac magnetic resonance. Int. J. Cardiovasc. Imaging 2024, 40, 275–285. [Google Scholar] [CrossRef] [PubMed]
- Miller, M.A.; Dukkipati, S.R.; Turagam, M.; Liao, S.L.; Adams, D.H.; Reddy, V.Y. Arrhythmic Mitral Valve Prolapse: JACC Review Topic of the Week. J. Am. Coll. Cardiol. 2018, 72, 2904–2914. [Google Scholar] [CrossRef] [PubMed]
- Sriram, C.S.; Syed, F.F.; Ferguson, M.E.; Johnson, J.N.; Enriquez-Sarano, M.; Cetta, F.; Cannon, B.C.; Asirvatham, S.J.; Ackerman, M.J. Malignant bileaflet mitral valve prolapse syndrome in patients with otherwise idiopathic out-of-hospital cardiac arrest. J. Am. Coll. Cardiol. 2013, 62, 222–230. [Google Scholar] [CrossRef] [PubMed]
- Dogan, M. Chapter 19—Electrophysiological changes during menstrual cycle. In Sex and Cardiac Electrophysiology; Malik, M., Ed.; Academic Press: Cambridge, MA, USA, 2020; pp. 223–229. [Google Scholar]
- Bazoukis, G.; Yeung, C.; Wui Hang Ho, R.; Varrias, D.; Papadatos, S.; Lee, S.; Ho Christien Li, K.; Sakellaropoulou, A.; Saplaouras, A.; Kitsoulis, P.; et al. Association of QT dispersion with mortality and arrhythmic events-A meta-analysis of observational studies. J. Arrhythm. 2020, 36, 105–115. [Google Scholar] [CrossRef] [PubMed]
- Briceno, D.F.; Santangeli, P.; Frankel, D.S.; Liang, J.J.; Shirai, Y.; Markman, T.; Enriquez, A.; Walsh, K.; Riley, M.P.; Nazarian, S.; et al. QRS morphology in lead V1 for the rapid localization of idiopathic ventricular arrhythmias originating from the left ventricular papillary muscles: A novel electrocardiographic criterion. Heart Rhythm. 2020, 17, 1711–1718. [Google Scholar] [CrossRef] [PubMed]
- Krummen, D.E.; Villongco, C.T.; Ho, G.; Schricker, A.A.; Field, M.E.; Sung, K.; Kacena, K.A.; Martinson, M.S.; Hoffmayer, K.S.; Hsu, J.C.; et al. Forward-Solution Noninvasive Computational Arrhythmia Mapping: The VMAP Study. Circ. Arrhythm. Electrophysiol. 2022, 15, e010857. [Google Scholar] [CrossRef] [PubMed]
- Dar, T.; Yarlagadda, B.; Parikh, V.; Reddy, Y.M.; Sheldon, S.H. Intramural anterolateral mitral annular idiopathic ventricular tachycardia successfully ablated from the atrium. Heart Rhythm Case Rep. 2019, 5, 384–387. [Google Scholar] [CrossRef] [PubMed]
- Yamada, T.; Doppalapudi, H.; McElderry, H.T.; Okada, T.; Murakami, Y.; Inden, Y.; Yoshida, Y.; Yoshida, N.; Murohara, T.; Epstein, A.E.; et al. Electrocardiographic and electrophysiological characteristics in idiopathic ventricular arrhythmias originating from the papillary muscles in the left ventricle: Relevance for catheter ablation. Circ. Arrhythm. Electrophysiol. 2010, 3, 324–331. [Google Scholar] [CrossRef] [PubMed]
- Enriquez, A.; Supple, G.E.; Marchlinski, F.E.; Garcia, F.C. How to map and ablate papillary muscle ventricular arrhythmias. Heart Rhythm. 2017, 14, 1721–1728. [Google Scholar] [CrossRef]
- Lin, A.N.; Shirai, Y.; Liang, J.J.; Chen, S.; Kochar, A.; Hyman, M.C.; Santangeli, P.; Schaller, R.D.; Frankel, D.S.; Arkles, J.S.; et al. Strategies for Catheter Ablation of Left Ventricular Papillary Muscle Arrhythmias: An Institutional Experience. JACC Clin. Electrophysiol. 2020, 6, 1381–1392. [Google Scholar] [CrossRef] [PubMed]
- Huntrakul, A.; Yokokawa, M.; Kovacs, B.; Ghannam, M.; Liang, J.J.; Cochet, H.; Latchamsetty, R.; Jongnarangsin, K.; Morady, F.; Bogun, F. Pleomorphism of premature ventricular complexes originating from papillary muscles and their myocardial connections. Heart Rhythm. 2024, 21, 36–44. [Google Scholar] [CrossRef]
- Ruttley, M.S.; Adams, D.F.; Cohn, P.F.; Abrams, H.L. Shape and volume changes during “isovolumetric relaxation” in normal and asynergic ventricles. Circulation 1974, 50, 306–316. [Google Scholar] [CrossRef] [PubMed][Green Version]
- Jensen, M.O.; Jensen, H.; Levine, R.A.; Yoganathan, A.P.; Andersen, N.T.; Nygaard, H.; Hasenkam, J.M.; Nielsen, S.L. Saddle-shaped mitral valve annuloplasty rings improve leaflet coaptation geometry. J. Thorac. Cardiovasc. Surg. 2011, 142, 697–703. [Google Scholar] [CrossRef][Green Version]
- Karvounis, H.I.; Dalamaga, E.G.; Papadopoulos, C.E.; Karamitsos, T.D.; Vassilikos, V.; Paraskevaidis, S.; Styliadis, I.H.; Parharidis, G.E.; Louridas, G.E. Improved papillary muscle function attenuates functional mitral regurgitation in patients with dilated cardiomyopathy after cardiac resynchronization therapy. J. Am. Soc. Echocardiogr. 2006, 19, 1150–1157. [Google Scholar] [CrossRef] [PubMed]
- Uemura, T.; Otsuji, Y.; Nakashiki, K.; Yoshifuku, S.; Maki, Y.; Yu, B.; Mizukami, N.; Kuwahara, E.; Hamasaki, S.; Biro, S.; et al. Papillary muscle dysfunction attenuates ischemic mitral regurgitation in patients with localized basal inferior left ventricular remodeling: Insights from tissue Doppler strain imaging. J. Am. Coll. Cardiol. 2005, 46, 113–119. [Google Scholar] [CrossRef] [PubMed]
- Levine, R.A.; Schwammenthal, E. Ischemic mitral regurgitation on the threshold of a solution: From paradoxes to unifying concepts. Circulation 2005, 112, 745–758. [Google Scholar] [CrossRef] [PubMed]
- Kanzaki, H.; Bazaz, R.; Schwartzman, D.; Dohi, K.; Sade, L.E.; Gorcsan, J., 3rd. A mechanism for immediate reduction in mitral regurgitation after cardiac resynchronization therapy: Insights from mechanical activation strain mapping. J. Am. Coll. Cardiol. 2004, 44, 1619–1625. [Google Scholar] [CrossRef] [PubMed]
- Messas, E.; Guerrero, J.L.; Handschumacher, M.D.; Chow, C.M.; Sullivan, S.; Schwammenthal, E.; Levine, R.A. Paradoxic decrease in ischemic mitral regurgitation with papillary muscle dysfunction: Insights from three-dimensional and contrast echocardiography with strain rate measurement. Circulation 2001, 104, 1952–1957. [Google Scholar] [CrossRef] [PubMed][Green Version]
- Uhm, J.S.; Youn, J.C.; Lee, H.J.; Park, J.; Park, J.K.; Shim, C.Y.; Hong, G.R.; Joung, B.; Pak, H.N.; Lee, M.H. Accessory papillary muscles and papillary muscle hypertrophy are associated with sudden cardiac arrest of unknown cause. Int. J. Cardiol. 2015, 197, 285–291. [Google Scholar] [CrossRef]
- Alsaud, A.; Shrestha, S.; Kadiyala, M.; Raina, S. Papillary muscle hypertrophy masquerading stemi. J. Am. Coll. Cardiol. 2020, 75, 2547. [Google Scholar] [CrossRef]
- Rowin, E.J.; Maron, B.J.; Lesser, J.R.; Rastegar, H.; Maron, M.S. Papillary muscle insertion directly into the anterior mitral leaflet in hypertrophic cardiomyopathy, its identification and cause of outflow obstruction by cardiac magnetic resonance imaging, and its surgical management. Am. J. Cardiol. 2013, 111, 1677–1679. [Google Scholar] [CrossRef] [PubMed]
- Harrigan, C.J.; Appelbaum, E.; Maron, B.J.; Buros, J.L.; Gibson, C.M.; Lesser, J.R.; Udelson, J.E.; Manning, W.J.; Maron, M.S. Significance of papillary muscle abnormalities identified by cardiovascular magnetic resonance in hypertrophic cardiomyopathy. Am. J. Cardiol. 2008, 101, 668–673. [Google Scholar] [CrossRef] [PubMed]
- Ommen, S.R.; Ho, C.Y.; Asif, I.M.; Balaji, S.; Burke, M.A.; Day, S.M.; Dearani, J.A.; Epps, K.C.; Evanovich, L.; Ferrari, V.A.; et al. 2024 AHA/ACC/AMSSM/HRS/PACES/SCMR Guideline for the Management of Hypertrophic Cardiomyopathy. J. Am. Coll. Cardiol. 2024, 83, 2324–2405. [Google Scholar] [CrossRef] [PubMed]
- Sung, K.T.; Yun, C.H.; Hou, C.J.; Hung, C.L. Solitary accessory and papillary muscle hypertrophy manifested as dynamic mid-wall obstruction and symptomatic heart failure: Diagnostic feasibility by multi-modality imaging. BMC Cardiovasc. Disord. 2014, 14, 34. [Google Scholar] [CrossRef] [PubMed]
- Sakellaropoulos, S.; Svab, S.; Mohammed, M.; Dimitra, L.; Mitsis, A. The Role of Mitral Valve in Hypertrophic Obstructive Cardiomyopathy: An Updated Review. Curr. Probl. Cardiol. 2021, 46, 100641. [Google Scholar] [CrossRef] [PubMed]
- Nomura, N.; Tani, T.; Konda, T.; Kim, K.; Kitai, T.; Nomoto, N.; Suganuma, N.; Nakamura, H.; Sumida, T.; Fujii, Y.; et al. Significance of isolated papillary muscle hypertrophy: A comparison of left ventricular hypertrophy diagnosed using electrocardiography vs echocardiography. Echocardiography 2018, 35, 292–300. [Google Scholar] [CrossRef]
- Levine, R.A.; Hagege, A.A.; Judge, D.P.; Padala, M.; Dal-Bianco, J.P.; Aikawa, E.; Beaudoin, J.; Bischoff, J.; Bouatia-Naji, N.; Bruneval, P.; et al. Mitral valve disease--morphology and mechanisms. Nat. Rev. Cardiol. 2015, 12, 689–710. [Google Scholar] [CrossRef]
- Cresti, A.; Aquaro, G.D.; Picotti, A.; Kocabay, G.; Todiere, G. Morphological and Tissue Alterations in One Papillary Muscle: An Early Sign of Hypertrophic Cardiomyopathy? Int. Cardiovasc. Res. J. 2016, 10, e9818. [Google Scholar]
- Roslan, A. Papillary muscle free strain-promising parameter to predict sudden cardiac death in hypertrophic cardiomyopathy? Echocardiography 2024, 41, e15925. [Google Scholar] [CrossRef]
- Zhu, X.; Shi, Y.; Lian, J.; Shen, H.; Li, L.; Wu, H.; Tian, Y.; Liu, P. Left atrial and left ventricular strain in feature-tracking cardiac magnetic resonance for predicting patients at high risk of sudden cardiac death in hypertrophic cardiomyopathy. Quant. Imaging Med. Surg. 2024, 14, 3544–3556. [Google Scholar] [CrossRef]
- Koyuncu, A.; Yildiz, C.; Oflar, E.; Mavi, B.; Ertugrul, A.S.; Ocal, L.; Gursoy, M.O.; Kahveci, G. Evaluation of the prognostic value of papillary muscle-free strain in patients with hypertrophic cardiomyopathy. Echocardiography 2024, 41, e15882. [Google Scholar] [CrossRef] [PubMed]
- Sherrid, M.V.; Adams, D.H. The Mitral Valve in Hypertrophic Cardiomyopathy: Other Side of the Outflow Tract. J. Am. Coll. Cardiol. 2020, 76, 2248–2251. [Google Scholar] [CrossRef] [PubMed]
- Bazhutina, A.; Balakina-Vikulova, N.A.; Kursanov, A.; Solovyova, O.; Panfilov, A.; Katsnelson, L.B. Mathematical modelling of the mechano-electric coupling in the human cardiomyocyte electrically connected with fibroblasts. Prog. Biophys. Mol. Biol. 2021, 159, 46–57. [Google Scholar] [CrossRef]
- Gao, X.; Engel, T.; Carlson, B.E.; Wakatsuki, T. Computational modeling for cardiac safety pharmacology analysis: Contribution of fibroblasts. J. Pharmacol. Toxicol. Methods 2017, 87, 68–73. [Google Scholar] [CrossRef] [PubMed]
- Boluyt, M.O.; Bing, O.H.; Lakatta, E.G. The ageing spontaneously hypertensive rat as a model of the transition from stable compensated hypertrophy to heart failure. Eur. Heart J. 1995, 16 (Suppl. N), 19–30. [Google Scholar] [CrossRef] [PubMed]
- Mittal, S.R. Isolated Hypertrophy of the Left Ventricular Papillary Muscles. J. Indian Acad. Echocardiogr. Cardiovasc. Imaging 2018, 2, 137–138. [Google Scholar] [CrossRef]
- Ferreira, C.; Delgado, C.; Vázquez, M.; Trinidad, C.; Vilar, M. Isolated papillary muscle hypertrophy: A gap in our knowledge of hypertrophic cardiomyopathy? Rev. Port. De Cardiol. 2014, 33, 379.e371–379.e375. [Google Scholar] [CrossRef]






Disclaimer/Publisher’s Note: The statements, opinions and data contained in all publications are solely those of the individual author(s) and contributor(s) and not of MDPI and/or the editor(s). MDPI and/or the editor(s) disclaim responsibility for any injury to people or property resulting from any ideas, methods, instructions or products referred to in the content. |
© 2024 by the authors. Licensee MDPI, Basel, Switzerland. This article is an open access article distributed under the terms and conditions of the Creative Commons Attribution (CC BY) license (https://creativecommons.org/licenses/by/4.0/).
Share and Cite
Eötvös, C.A.; Avram, T.; Lazar, R.D.; Zehan, I.G.; Moldovan, M.P.; Schiop-Tentea, P.; Coseriu, G.; Sarb, A.; Gusetu, G.; Buzdugan, E.; et al. Papillary Muscles of the Left Ventricle: Integrating Electrical and Mechanical Dynamics. J. Cardiovasc. Dev. Dis. 2025, 12, 14. https://doi.org/10.3390/jcdd12010014
Eötvös CA, Avram T, Lazar RD, Zehan IG, Moldovan MP, Schiop-Tentea P, Coseriu G, Sarb A, Gusetu G, Buzdugan E, et al. Papillary Muscles of the Left Ventricle: Integrating Electrical and Mechanical Dynamics. Journal of Cardiovascular Development and Disease. 2025; 12(1):14. https://doi.org/10.3390/jcdd12010014
Chicago/Turabian StyleEötvös, Csilla Andrea, Teodora Avram, Roxana Daiana Lazar, Iulia Georgiana Zehan, Madalina Patricia Moldovan, Patricia Schiop-Tentea, Giorgia Coseriu, Adriana Sarb, Gabriel Gusetu, Elena Buzdugan, and et al. 2025. "Papillary Muscles of the Left Ventricle: Integrating Electrical and Mechanical Dynamics" Journal of Cardiovascular Development and Disease 12, no. 1: 14. https://doi.org/10.3390/jcdd12010014
APA StyleEötvös, C. A., Avram, T., Lazar, R. D., Zehan, I. G., Moldovan, M. P., Schiop-Tentea, P., Coseriu, G., Sarb, A., Gusetu, G., Buzdugan, E., Chiorescu, R., Mocan-Hognogi, D., Pop, S., Heist, E. K., & Blendea, D. (2025). Papillary Muscles of the Left Ventricle: Integrating Electrical and Mechanical Dynamics. Journal of Cardiovascular Development and Disease, 12(1), 14. https://doi.org/10.3390/jcdd12010014

