Cardiovascular Sequelae of Bronchopulmonary Dysplasia in Preterm Neonates Born before 32 Weeks of Gestational Age: Impact of Associated Pulmonary and Systemic Hypertension
Abstract
1. Introduction
2. The Burden of BPD
3. Pulmonary Hypertension Secondary to BPD (BPD-PH):
3.1. Pathogenesis of BPD-Associated Pulmonary Hypertension
3.2. Risk Factors
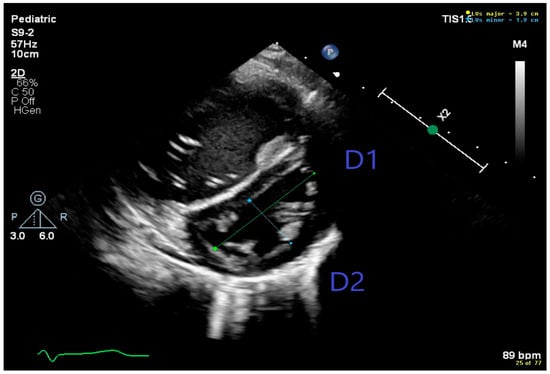
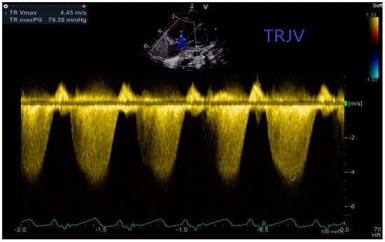
3.3. Diagnosis of Bronchopulmonary Dysplasia Associated Pulmonary Hypertension (BPD-PH)
4. When to Screen for PH?
4.1. Treatment of BPD-PH
4.2. Oxygen Therapy
4.3. Nutrition
4.4. Diuretics
4.5. Pharmacotherapy
5. Promising New Therapies for BPD-PH
5.1. Long-Term Respiratory Outcomes of BPD-PH
5.2. Long-Term Neurodevelopmental Outcomes of BPD-PH
5.3. Survival of BPD-PH Infants
5.4. Long-Term Cardiovascular Outcomes of BPD-PH
- BPD-PH infants have a high mortality rate (28–47%) during their initial hospitalisation and early infancy.
- It is associated with significant feeding problems such as aspiration, GER, nasogastric, and gastrostomy feeding.
- Respiratory problems include the need for home oxygen, tracheostomy, and frequent admissions during the first year of life due to asthma, bronchiolitis, pneumonia, and exacerbations of BPD.
- They are at risk of poorer ND outcomes resulting in lower cognitive, language, and motor scores. Most have a significantly delayed developmental quotient.
- Most infants show resolution of their PH with ongoing therapy; however, the cardio-respiratory sequelae persist in young adults who require long-term follow-up.
6. BPD-Ssociated Systemic Hypertension (BPD-sHTN)
6.1. Pathophysiology of BPD-sHTN
6.2. Prevalence of BPD-sHTN
6.3. Diagnostic Approach for Assessment of BPD-sHTN
6.4. Therapeutic Options for BPD-sHTN
6.5. Long-Term Outcomes of BPD-sHTN
- Approximately 40% of BPD infants develop BPD-sHTN.
- Standardised BP percentile charts are necessary for diagnosis and appropriate management.
- Infants with BPD-sHTN generally require longer respiratory support.
- ACE inhibitors and diuretics seem to improve cardiovascular indices.
- Medication therapy is required during the first year.
- ND outcomes may be similar to BPD infants without sHTN.
7. Conclusions
8. Directions for Future Research
Author Contributions
Funding
Acknowledgments
Conflicts of Interest
Abbreviations
| ACE | Angiotensin Converting Enzyme |
| ASD | Atrial Septal Defect |
| ANZNN | Australian New Zealand Neonatal Network |
| BSID-III | Bayley Scales of Infant and Toddler Development, Third Edition |
| BW | Birth Weight |
| BP | Blood Pressure |
| BNP | Brain Natriuretic Peptide |
| BPD | Broncho-Pulmonary Dysplasia |
| CT | Computed Tomography |
| cAMP | Cyclic Adenosine Monophosphate |
| cGMP | Cyclic Guanosine Monophosphate |
| ET-1 | Endothelin-1 |
| EMA | European Medicines Agency |
| EPPVDN | European Paediatric Pulmonary Vascular Disease Network |
| FDA | Food and Drug Administration |
| FGR | Foetal Growth Restriction |
| GER | Gastro-Oesophageal Reflux |
| GA | Gestational Age |
| iNO | Inhaled Nitric Oxide |
| IL-1 | Interleukin-1 |
| IL-1Ra | Interleukin-1 Receptor Antagonist |
| LA | Left Atrium |
| LV | Left Ventricle |
| LV sEI | Left Ventricular Systolic Eccentricity Index |
| MRI | Magnetic Resonance Imaging |
| NT-pro-BNP | N-Terminal Pro Brain Natriuretic Peptide |
| NICU | Neonatal Intensive Care Unit |
| ND | Neurodevelopmental |
| NO | Nitric Oxide |
| PDA | Patent Ductus Arteriosus |
| PPHNet | Pediatric Pulmonary Hypertension Network |
| PDE5 | Phosphodiesterase Type 5 |
| PMA | Post-Menstrual Age |
| PGI2 | Prostacyclin |
| PA | Pulmonary Artery |
| PH | Pulmonary Hypertension |
| PVS | Pulmonary Vein Stenosis |
| PVD | Pulmonary Vascular Disease |
| PVR | Pulmonary Vascular Resistance |
| RAS | Renin–Angiotensin System |
| RA | Right Atrium |
| RV | Right Ventricle |
| sHTN | Systemic Hypertension |
| TPV/RVET | Time To Peak Velocity/Right Ventricular Ejection Time Ratio |
| TAPSE | Tricuspid Annular Plane Systolic Excursion |
| TRJV- | Tricuspid Regurgitant Jet Velocity |
| VEGF | Vascular Endothelial Growth Factor |
| V/Q | Ventilation–Perfusion ratio |
References
- Mullassery, D.; Smith, N.P. Lung development. Semin. Pediatr. Surg. 2015, 24, 152–155. [Google Scholar] [CrossRef] [PubMed]
- Gien, J.; Kinsella, J.P. Pathogenesis and treatment of bronchopulmonary dysplasia. Curr. Opin. Pediatr. 2011, 23, 305–313. [Google Scholar] [CrossRef] [PubMed]
- Abman, S.H. Pulmonary Vascular Disease and Bronchopulmonary Dysplasia: Evaluation and Treatment of Pulmonary Hypertension. NeoReviews 2011, 12, e645–e651. [Google Scholar] [CrossRef]
- Berkenbosch, J.W.; Baribeau, J.; Perreault, T. Decreased synthesis and vasodilation to nitric oxide in piglets with hypoxia-induced pulmonary hypertension. Am. J. Physiol. Lung Cell Mol. Physiol. 2000, 278, L276–L283. [Google Scholar] [CrossRef]
- Fike, C.D.; Dikalova, A.; Kaplowitz, M.R.; Cunningham, G.; Summar, M.; Aschner, J.L. Rescue Treatment with L-Citrulline Inhibits Hypoxia-Induced Pulmonary Hypertension in Newborn Pigs. Am. J. Respir. Cell Mol. Biol. 2015, 53, 255–264. [Google Scholar] [CrossRef] [PubMed]
- Abman, S.H.; Warady, B.A.; Lum, G.M.; Koops, B.L. Systemic hypertension in infants with bronchopulmonary dysplasia. J. Pediatr. 1984, 104, 928–931. [Google Scholar] [CrossRef] [PubMed]
- Chow, S.S.W.; Creighton, P.; Holberton, J.R.; Chambers, G.M.; Lui, K. Report of the Australian and New Zealand Neonatal Network 2021 Sydney: ANZNN; 2023. Available online: https://anznn.net/annualreports (accessed on 25 March 2024).
- Jensen, E.A.; Dysart, K.; Gantz, M.G.; McDonald, S.; Bamat, N.A.; Keszler, M.; Kirpalani, H.; Laughon, M.M.; Poindexter, B.B.; Duncan, A.F.; et al. The Diagnosis of Bronchopulmonary Dysplasia in Very Preterm Infants. An Evidence-based Approach. Am. J. Respir. Crit. Care Med. 2019, 200, 751–759. [Google Scholar] [CrossRef] [PubMed]
- Jensen, E.A.; Schmidt, B. Epidemiology of bronchopulmonary dysplasia. Birth Defects Res. A Clin. Mol. Teratol. 2014, 100, 145–157. [Google Scholar] [CrossRef] [PubMed]
- Stoll, B.J.; Hansen, N.I.; Bell, E.F.; Walsh, M.C.; Carlo, W.A.; Shankaran, S.; Laptook, A.R.; Sánchez, P.J.; Van Meurs, K.P.; Wyckoff, M.; et al. Trends in Care Practices, Morbidity, and Mortality of Extremely Preterm Neonates, 1993–2012. JAMA 2015, 314, 1039–1051. [Google Scholar] [CrossRef] [PubMed]
- Bhat, R.; Salas, A.A.; Foster, C.; Carlo, W.A.; Ambalavanan, N. Prospective analysis of pulmonary hypertension in extremely low birth weight infants. Pediatrics 2012, 129, e682–e689. [Google Scholar] [CrossRef]
- Kim, D.H.; Kim, H.S.; Choi, C.W.; Kim, E.K.; Kim, B.I.; Choi, J.H. Risk factors for pulmonary artery hypertension in preterm infants with moderate or severe bronchopulmonary dysplasia. Neonatology 2012, 101, 40–46. [Google Scholar] [CrossRef] [PubMed]
- Ali, Z.; Schmidt, P.; Dodd, J.; Jeppesen, D.L. Predictors of bronchopulmonary dysplasia and pulmonary hypertension in newborn children. Dan. Med. J. 2013, 60, A4688. [Google Scholar] [PubMed]
- Arjaans, S.; Zwart, E.A.H.; Ploegstra, M.J.; Bos, A.F.; Kooi, E.M.W.; Hillege, H.L.; Berger, R.M.F. Identification of gaps in the current knowledge on pulmonary hypertension in extremely preterm infants: A systematic review and meta-analysis. Paediatr. Perinat. Epidemiol. 2018, 32, 258–267. [Google Scholar] [CrossRef]
- An, H.S.; Bae, E.J.; Kim, G.B.; Kwon, B.S.; Beak, J.S.; Kim, E.K.; Kim, H.S.; Choi, J.H.; Noh, C.I.; Yun, Y.S. Pulmonary hypertension in preterm infants with bronchopulmonary dysplasia. Korean Circ. J. 2010, 40, 131–136. [Google Scholar] [CrossRef] [PubMed]
- Khemani, E.; McElhinney, D.B.; Rhein, L.; Andrade, O.; Lacro, R.V.; Thomas, K.C.; Mullen, M.P. Pulmonary artery hypertension in formerly premature infants with bronchopulmonary dysplasia: Clinical features and outcomes in the surfactant era. Pediatrics 2007, 120, 1260–1269. [Google Scholar] [CrossRef]
- Abman, S.H.; Mullen, M.P.; Sleeper, L.A.; Austin, E.D.; Rosenzweig, E.B.; Kinsella, J.P.; Ivy, D.; Hopper, R.K.; Raj, J.U.; Fineman, J.; et al. Characterisation of paediatric pulmonary hypertensive vascular disease from the PPHNet Registry. Eur. Respir. J. 2022, 59, 2003337. [Google Scholar] [CrossRef]
- Al-Ghanem, G.; Shah, P.; Thomas, S.; Banfield, L.; El Helou, S.; Fusch, C.; Mukerji, A. Bronchopulmonary dysplasia and pulmonary hypertension: A meta-analysis. J. Perinatol. 2017, 37, 414–419. [Google Scholar] [CrossRef]
- Kunjunju, A.M.; Gopagondanahalli, K.R.; Chan, Y.; Sehgal, A. Bronchopulmonary dysplasia-associated pulmonary hypertension: Clues from placental pathology. J. Perinatol. 2017, 37, 1310–1314. [Google Scholar] [CrossRef] [PubMed]
- Mestan, K.K.; Check, J.; Minturn, L.; Yallapragada, S.; Farrow, K.N.; Liu, X.; Su, E.; Porta, N.; Gotteiner, N.; Ernst, L.M. Placental pathologic changes of maternal vascular underperfusion in bronchopulmonary dysplasia and pulmonary hypertension. Placenta 2014, 35, 570–574. [Google Scholar] [CrossRef]
- Yallapragada, S.G.; Mestan, K.K.; Palac, H.; Porta, N.; Gotteiner, N.; Hamvas, A.; Grobman, W.; Ernst, L.M. Placental Villous Vascularity Is Decreased in Premature Infants with Bronchopulmonary Dysplasia-Associated Pulmonary Hypertension. Pediatr. Dev. Pathol. 2016, 19, 101–107. [Google Scholar] [CrossRef]
- Mestan, K.K.; Gotteiner, N.; Porta, N.; Grobman, W.; Su, E.J.; Ernst, L.M. Cord Blood Biomarkers of Placental Maternal Vascular Underperfusion Predict Bronchopulmonary Dysplasia-Associated Pulmonary Hypertension. J. Pediatr. 2017, 185, 33–41. [Google Scholar] [CrossRef] [PubMed]
- Hislop, A.A. Airway and blood vessel interaction during lung development. J. Anat. 2002, 201, 325–334. [Google Scholar] [CrossRef]
- Madurga, A.; Mizíková, I.; Ruiz-Camp, J.; Morty, R.E. Recent advances in late lung development and the pathogenesis of bronchopulmonary dysplasia. Am. J. Physiol. Lung Cell Mol. Physiol. 2013, 305, L893–L905. [Google Scholar] [CrossRef]
- Vogel, E.R.; Britt, R.D., Jr.; Trinidad, M.C.; Faksh, A.; Martin, R.J.; MacFarlane, P.M.; Pabelick, C.M.; Prakash, Y.S. Perinatal oxygen in the developing lung. Can. J. Physiol. Pharmacol. 2015, 93, 119–127. [Google Scholar] [CrossRef] [PubMed]
- Benjamin, J.T.; Carver, B.J.; Plosa, E.J.; Yamamoto, Y.; Miller, J.D.; Liu, J.H.; van der Meer, R.; Blackwell, T.S.; Prince, L.S. NF-kappaB activation limits airway branching through inhibition of Sp1-mediated fibroblast growth factor-10 expression. J. Immunol. 2010, 185, 4896–4903. [Google Scholar] [CrossRef]
- De Paepe, M.E.; Greco, D.; Mao, Q. Angiogenesis-related gene expression profiling in ventilated preterm human lungs. Exp. Lung Res. 2010, 36, 399–410. [Google Scholar] [CrossRef]
- Budhiraja, R.; Tuder, R.M.; Hassoun, P.M. Endothelial dysfunction in pulmonary hypertension. Circulation 2004, 109, 159–165. [Google Scholar] [CrossRef]
- Baker, C.D.; Abman, S.H.; Mourani, P.M. Pulmonary Hypertension in Preterm Infants with Bronchopulmonary Dysplasia. Pediatr. Allergy Immunol. Pulmonol. 2014, 27, 8–16. [Google Scholar] [CrossRef]
- Hislop, A. Developmental biology of the pulmonary circulation. Paediatr. Respir. Rev. 2005, 6, 35–43. [Google Scholar] [CrossRef]
- Aaronson, P.I.; Robertson, T.P.; Knock, G.A.; Becker, S.; Lewis, T.H.; Snetkov, V.; Ward, J.P. Hypoxic pulmonary vasoconstriction: Mechanisms and controversies. J. Physiol. 2006, 570 Pt 1, 53–58. [Google Scholar] [CrossRef]
- Fenton, T.R.; Kim, J.H. A systematic review and meta-analysis to revise the Fenton growth chart for preterm infants. BMC Pediatr. 2013, 13, 59. [Google Scholar] [CrossRef] [PubMed]
- Sehgal, A.; Dassios, T.; Nold, M.F.; Nold-Petry, C.A.; Greenough, A. Fetal growth restriction and neonatal-pediatric lung diseases: Vascular mechanistic links and therapeutic directions. Paediatr. Respir. Rev. 2022, 44, 19–30. [Google Scholar] [CrossRef] [PubMed]
- Mourani, P.M.; Sontag, M.K.; Younoszai, A.; Miller, J.I.; Kinsella, J.P.; Baker, C.D.; Poindexter, B.B.; Ingram, D.A.; Abman, S.H. Early pulmonary vascular disease in preterm infants at risk for bronchopulmonary dysplasia. Am. J. Respir. Crit. Care Med. 2015, 191, 87–95. [Google Scholar] [CrossRef] [PubMed]
- Mourani, P.M.; Mandell, E.W.; Meier, M.; Younoszai, A.; Brinton, J.T.; Wagner, B.D.; Arjaans, S.; Poindexter, B.B.; Abman, S.H. Early Pulmonary Vascular Disease in Preterm Infants Is Associated with Late Respiratory Outcomes in Childhood. Am. J. Respir. Crit. Care Med. 2019, 199, 1020–1027. [Google Scholar] [CrossRef] [PubMed]
- Arjaans, S.; Fries, M.W.F.; Schoots, M.H.; Schilte, C.F.M.; Roofthooft, M.T.R.; Vrijlandt, E.; Bos, A.F.; Kooi, E.M.W.; Berger, R.M.F. Clinical Significance of Early Pulmonary Hypertension in Preterm Infants. J. Pediatr. 2022, 251, 74–81.e3. [Google Scholar] [CrossRef] [PubMed]
- Villamor, E.; van Westering-Kroon, E.; Gonzalez-Luis, G.E.; Bartoš, F.; Abman, S.H.; Huizing, M.J. Patent Ductus Arteriosus and Bronchopulmonary Dysplasia-Associated Pulmonary Hypertension: A Bayesian Meta-Analysis. JAMA Netw. Open 2023, 6, e2345299. [Google Scholar] [CrossRef] [PubMed]
- Vyas-Read, S.; Guglani, L.; Shankar, P.; Travers, C.; Kanaan, U. Atrial Septal Defects Accelerate Pulmonary Hypertension Diagnoses in Premature Infants. Front. Pediatr. 2018, 6, 342. [Google Scholar] [CrossRef] [PubMed]
- Choi, E.K.; Jung, Y.H.; Kim, H.S.; Shin, S.H.; Choi, C.W.; Kim, E.K.; Kim, B.I.; Choi, J.H. The Impact of Atrial Left-to-Right Shunt on Pulmonary Hypertension in Preterm Infants with Moderate or Severe Bronchopulmonary Dysplasia. Pediatr. Neonatol. 2015, 56, 317–323. [Google Scholar] [CrossRef] [PubMed]
- Jensen, E.A.; Whyte, R.K.; Schmidt, B.; Bassler, D.; Vain, N.E.; Roberts, R.S. Association between Intermittent Hypoxemia and Severe Bronchopulmonary Dysplasia in Preterm Infants. Am. J. Respir. Crit. Care Med. 2021, 204, 1192–1199. [Google Scholar] [CrossRef]
- Gentle, S.J.; Travers, C.P.; Nakhmani, A.; Indic, P.; Carlo, W.A.; Ambalavanan, N. Intermittent Hypoxemia and Bronchopulmonary Dysplasia with Pulmonary Hypertension in Preterm Infants. Am. J. Respir. Crit. Care Med. 2023, 207, 899–907. [Google Scholar] [CrossRef]
- Sehgal, A.; Malikiwi, A.; Paul, E.; Tan, K.; Menahem, S. Systemic arterial stiffness in infants with bronchopulmonary dysplasia: Potential cause of systemic hypertension. J. Perinatol. 2016, 36, 564–569. [Google Scholar] [CrossRef] [PubMed]
- Alagappan, A.; Malloy, M.H. Systemic hypertension in very low-birth weight infants with bronchopulmonary dysplasia: Incidence and risk factors. Am. J. Perinatol. 1998, 15, 3–8. [Google Scholar] [CrossRef] [PubMed]
- Anderson, A.H.; Warady, B.A.; Daily, D.K.; Johnson, J.A.; Thomas, M.K. Systemic hypertension in infants with severe bronchopulmonary dysplasia: Associated clinical factors. Am. J. Perinatol. 1993, 10, 190–193. [Google Scholar] [CrossRef] [PubMed]
- Sehgal, A.; Elsayed, K.; Nugent, M.; Varma, S. Sequelae associated with systemic hypertension in infants with severe bronchopulmonary dysplasia. J. Perinatol. 2022, 42, 775–780. [Google Scholar] [CrossRef] [PubMed]
- Mourani, P.M.; Ivy, D.D.; Rosenberg, A.A.; Fagan, T.E.; Abman, S.H. Left Ventricular Diastolic Dysfunction in Bronchopulmonary Dysplasia. J. Pediatr. 2008, 152, 291–293. [Google Scholar] [CrossRef] [PubMed]
- Sehgal, A.; Malikiwi, A.; Paul, E.; Tan, K.; Menahem, S. A new look at bronchopulmonary dysplasia: Postcapillary pathophysiology and cardiac dysfunction. Pulm. Circ. 2016, 6, 508–515. [Google Scholar] [CrossRef] [PubMed]
- Abman, S.H.; Hansmann, G.; Archer, S.L.; Ivy, D.D.; Adatia, I.; Chung, W.K.; Hanna, B.D.; Rosenzweig, E.B.; Raj, J.U.; Cornfield, D.; et al. Pediatric Pulmonary Hypertension: Guidelines From the American Heart Association and American Thoracic Society. Circulation 2015, 132, 2037–2099. [Google Scholar] [CrossRef] [PubMed]
- Krishnan, U.; Feinstein, J.A.; Adatia, I.; Austin, E.D.; Mullen, M.P.; Hopper, R.K.; Hanna, B.; Romer, L.; Keller, R.L.; Fineman, J.; et al. Evaluation and Management of Pulmonary Hypertension in Children with Bronchopulmonary Dysplasia. J. Pediatr. 2017, 188, 24–34.e1. [Google Scholar] [CrossRef] [PubMed]
- Hansmann, G.; Koestenberger, M.; Alastalo, T.P.; Apitz, C.; Austin, E.D.; Bonnet, D.; Budts, W.; D’Alto, M.; Gatzoulis, M.A.; Hasan, B.S.; et al. 2019 updated consensus statement on the diagnosis and treatment of pediatric pulmonary hypertension: The European Pediatric Pulmonary Vascular Disease Network (EPPVDN), endorsed by AEPC, ESPR and ISHLT. J. Heart Lung Transplant. 2019, 38, 879–901. [Google Scholar] [CrossRef]
- Revanna, G.K.; Kunjunju, A.; Sehgal, A. Bronchopulmonary dysplasia associated pulmonary hypertension: Making the best use of bedside echocardiography. Prog. Pediatr. Cardiol. 2017, 46, 39–43. [Google Scholar] [CrossRef]
- Kim, G.B. Pulmonary hypertension in infants with bronchopulmonary dysplasia. Korean J. Pediatr. 2010, 53, 688–693. [Google Scholar] [CrossRef] [PubMed]
- Mourani, P.M.; Sontag, M.K.; Younoszai, A.; Ivy, D.D.; Abman, S.H. Clinical utility of echocardiography for the diagnosis and management of pulmonary vascular disease in young children with chronic lung disease. Pediatrics 2008, 121, 317–325. [Google Scholar] [CrossRef] [PubMed]
- Lau, E.M.; Manes, A.; Celermajer, D.S.; Galiè, N. Early detection of pulmonary vascular disease in pulmonary arterial hypertension: Time to move forward. Eur. Heart J. 2011, 32, 2489–2498. [Google Scholar] [CrossRef] [PubMed]
- Parasuraman, S.; Walker, S.; Loudon, B.L.; Gollop, N.D.; Wilson, A.M.; Lowery, C.; Frenneaux, M.P. Assessment of pulmonary artery pressure by echocardiography-A comprehensive review. Int. J. Cardiol. Heart Vasc. 2016, 12, 45–51. [Google Scholar] [CrossRef] [PubMed]
- Howard, L.S.; Grapsa, J.; Dawson, D.; Bellamy, M.; Chambers, J.B.; Masani, N.D.; Nihoyannopoulos, P.; Simon, R.G.J. Echocardiographic assessment of pulmonary hypertension: Standard operating procedure. Eur. Respir. Rev. 2012, 21, 239–248. [Google Scholar] [CrossRef] [PubMed]
- Schweintzger, S.; Kurath-Koller, S.; Burmas, A.; Grangl, G.; Fandl, A.; Noessler, N.; Avian, A.; Gamillscheg, A.; Chouvarine, P.; Hansmann, G.; et al. Normal Echocardiographic Reference Values of the Right Ventricular to Left Ventricular Endsystolic Diameter Ratio and the Left Ventricular Endsystolic Eccentricity Index in Healthy Children and in Children With Pulmonary Hypertension. Front. Cardiovasc. Med. 2022, 9, 950765. [Google Scholar] [CrossRef] [PubMed]
- Nagiub, M.; Lee, S.; Guglani, L. Echocardiographic assessment of pulmonary hypertension in infants with bronchopulmonary dysplasia: Systematic review of literature and a proposed algorithm for assessment. Echocardiography 2015, 32, 819–833. [Google Scholar] [CrossRef] [PubMed]
- Swier, N.L.; Richards, B.; Cua, C.L.; Lynch, S.K.; Yin, H.; Nelin, L.D.; Smith, C.V.; Backes, C.H. Pulmonary Vein Stenosis in Neonates with Severe Bronchopulmonary Dysplasia. Am. J. Perinatol. 2016, 33, 671–677. [Google Scholar] [CrossRef]
- Cuna, A.; Kandasamy, J.; Sims, B. B-type natriuretic peptide and mortality in extremely low birth weight infants with pulmonary hypertension: A retrospective cohort analysis. BMC Pediatr. 2014, 14, 68. [Google Scholar] [CrossRef]
- Joseph, L.; Nir, A.; Hammerman, C.; Goldberg, S.; Ben Shalom, E.; Picard, E. N-terminal pro-B-type natriuretic peptide as a marker of bronchopulmonary dysplasia in premature infants. Am. J. Perinatol. 2010, 27, 381–386. [Google Scholar] [CrossRef]
- Kalra, V.K.; Aggarwal, S.; Arora, P.; Natarajan, G. B-type natriuretic peptide levels in preterm neonates with bronchopulmonary dysplasia: A marker of severity? Pediatr. Pulmonol. 2014, 49, 1106–1111. [Google Scholar] [CrossRef]
- Hansmann, G.; Sallmon, H.; Roehr, C.C.; Kourembanas, S.; Austin, E.D.; Koestenberger, M. Pulmonary hypertension in bronchopulmonary dysplasia. Pediatr. Res. 2021, 89, 446–455. [Google Scholar] [CrossRef]
- Abman, S.H.; Lakshminrusimha, S. Pulmonary Hypertension in Established Bronchopulmonary Dysplasia: Physiologic Approaches to Clinical Care. Clin. Perinatol. 2024, 51, 195–216. [Google Scholar] [CrossRef]
- Embleton, N.D.; Jennifer Moltu, S.; Lapillonne, A.; van den Akker, C.H.P.; Carnielli, V.; Fusch, C.; Gerasimidis, K.; van Goudoever, J.B.; Haiden, N.; Iacobelli, S.; et al. Enteral Nutrition in Preterm Infants (2022). J. Pediatr. Gastroenterol. Nutr. 2023, 76, 248–268. [Google Scholar] [CrossRef] [PubMed]
- Miller, A.N.; Curtiss, J.; Kielt, M.J. Nutritional Needs of the Infant with Bronchopulmonary Dysplasia. Neoreviews 2024, 25, e12–e24. [Google Scholar] [CrossRef] [PubMed]
- Zhu, F.; Ibarra Rios, D.; Joye, S.; Baczynski, M.; Rios, D.; Giesinger, R.E.; McNamara, P.J.; Jain, A. Cardiopulmonary physiological effects of diuretic therapy in preterm infants with chronic pulmonary hypertension. J. Perinatol. 2023, 43, 1288–1294. [Google Scholar] [CrossRef] [PubMed]
- Kinsella, J.P.; Cutter, G.R.; Walsh, W.F.; Gerstmann, D.R.; Bose, C.L.; Hart, C.; Sekar, K.C.; Auten, R.L.; Bhutani, V.K.; Gerdes, J.S.; et al. Early inhaled nitric oxide therapy in premature newborns with respiratory failure. N. Engl. J. Med. 2006, 355, 354–364. [Google Scholar] [CrossRef]
- Dweik, R.A. Pulmonary hypertension and the search for the selective pulmonary vasodilator. Lancet 2002, 360, 886–887. [Google Scholar] [CrossRef]
- Donohue, P.K.; Gilmore, M.M.; Cristofalo, E.; Wilson, R.F.; Weiner, J.Z.; Lau, B.D.; Robinson, K.A.; Allen, M.C. Inhaled Nitric Oxide in Preterm Infants: A Systematic Review. Pediatrics 2011, 127, e414–e422. [Google Scholar] [CrossRef]
- Samiee-Zafarghandy, S.; Smith, P.B.; van den Anker, J.N. Safety of sildenafil in infants. Pediatr. Crit. Care Med. 2014, 15, 362–368. [Google Scholar] [CrossRef]
- Ladha, F.; Bonnet, S.; Eaton, F.; Hashimoto, K.; Korbutt, G.; Thébaud, B. Sildenafil improves alveolar growth and pulmonary hypertension in hyperoxia-induced lung injury. Am. J. Respir. Crit. Care Med. 2005, 172, 750–756. [Google Scholar] [CrossRef] [PubMed]
- de Visser, Y.P.; Walther, F.J.; Laghmani El, H.; Boersma, H.; van der Laarse, A.; Wagenaar, G.T. Sildenafil attenuates pulmonary inflammation and fibrin deposition, mortality and right ventricular hypertrophy in neonatal hyperoxic lung injury. Respir. Res. 2009, 10, 30. [Google Scholar] [CrossRef] [PubMed]
- Wardle, A.J.; Tulloh, R.M.R. Paediatric pulmonary hypertension and sildenafil: Current practice and controversies. Arch. Dis. Child.-Educ. Pract. Ed. 2013, 98, 141. [Google Scholar] [CrossRef] [PubMed]
- Tan, K.; Krishnamurthy, M.B.; O’Heney, J.L.; Paul, E.; Sehgal, A. Sildenafil therapy in bronchopulmonary dysplasia-associated pulmonary hypertension: A retrospective study of efficacy and safety. Eur. J. Pediatr. 2015, 174, 1109–1115. [Google Scholar] [CrossRef] [PubMed]
- van der Graaf, M.; Rojer, L.A.; Helbing, W.; Reiss, I.; Etnel, J.R.G.; Bartelds, B. EXPRESS: Sildenafil for bronchopulmonary dysplasia and pulmonary hypertension: A meta-analysis. Pulm. Circ. 2019, 9, 2045894019837875. [Google Scholar] [CrossRef] [PubMed]
- Williamson, D.J.; Wallman, L.L.; Jones, R.; Keogh, A.M.; Scroope, F.; Penny, R.; Weber, C.; Macdonald, P.S. Hemodynamic effects of Bosentan, an endothelin receptor antagonist, in patients with pulmonary hypertension. Circulation 2000, 102, 411–418. [Google Scholar] [CrossRef] [PubMed]
- Barst, R.J.; Ivy, D.; Dingemanse, J.; Widlitz, A.; Schmitt, K.; Doran, A.; Bingaman, D.; Nguyen, N.; Gaitonde, M.; van Giersbergen, P.L. Pharmacokinetics, safety, and efficacy of bosentan in pediatric patients with pulmonary arterial hypertension. Clin. Pharmacol. Ther. 2003, 73, 372–382. [Google Scholar] [CrossRef] [PubMed]
- Rosenzweig, E.B.; Ivy, D.D.; Widlitz, A.; Doran, A.; Claussen, L.R.; Yung, D.; Abman, S.H.; Morganti, A.; Nguyen, N.; Barst, R.J. Effects of long-term bosentan in children with pulmonary arterial hypertension. J. Am. Coll. Cardiol. 2005, 46, 697–704. [Google Scholar] [CrossRef]
- Beghetti, M.; Haworth, S.G.; Bonnet, D.; Barst, R.J.; Acar, P.; Fraisse, A.; Ivy, D.D.; Jais, X.; Schulze-Neick, I.; Galiè, N.; et al. Pharmacokinetic and clinical profile of a novel formulation of bosentan in children with pulmonary arterial hypertension: The FUTURE-1 study. Br. J. Clin. Pharmacol. 2009, 68, 948–955. [Google Scholar] [CrossRef]
- Nakwan, N.; Choksuchat, D.; Saksawad, R.; Thammachote, P.; Nakwan, N. Successful treatment of persistent pulmonary hypertension of the newborn with bosentan. Acta Paediatr. 2009, 98, 1683–1685. [Google Scholar] [CrossRef]
- Mubarak, K.K. A review of prostaglandin analogs in the management of patients with pulmonary arterial hypertension. Respir. Med. 2010, 104, 9–21. [Google Scholar] [CrossRef]
- Rosenzweig, E.B.; Kerstein, D.; Barst, R.J. Long-term prostacyclin for pulmonary hypertension with associated congenital heart defects. Circulation 1999, 99, 1858–1865. [Google Scholar] [CrossRef] [PubMed]
- Barst, R.J.; Rubin, L.J.; Long, W.A.; McGoon, M.D.; Rich, S.; Badesch, D.B.; Groves, B.M.; Tapson, V.F.; Bourge, R.C.; Brundage, B.H.; et al. A comparison of continuous intravenous epoprostenol (prostacyclin) with conventional therapy for primary pulmonary hypertension. N. Engl. J. Med. 1996, 334, 296–301. [Google Scholar] [CrossRef]
- Zaidi, A.N.; Dettorre, M.D.; Ceneviva, G.D.; Thomas, N.J. Epoprostenol and home mechanical ventilation for pulmonary hypertension associated with chronic lung disease. Pediatr. Pulmonol. 2005, 40, 265–269. [Google Scholar] [CrossRef] [PubMed]
- Rugolotto, S.; Errico, G.; Beghini, R.; Ilic, S.; Richelli, C.; Padovani, E.M. Weaning of epoprostenol in a small infant receiving concomitant bosentan for severe pulmonary arterial hypertension secondary to bronchopulmonary dysplasia. Minerva Pediatr. 2006, 58, 491–494. [Google Scholar]
- Maarman, G.J. Natural Antioxidants as Potential Therapy, and a Promising Role for Melatonin Against Pulmonary Hypertension. Adv. Exp. Med. Biol. 2017, 967, 161–178. [Google Scholar]
- Hung, M.W.; Yeung, H.M.; Lau, C.F.; Poon, A.M.S.; Tipoe, G.L.; Fung, M.L. Melatonin Attenuates Pulmonary Hypertension in Chronically Hypoxic Rats. Int. J. Mol. Sci. 2017, 18, 1125. [Google Scholar] [CrossRef]
- Gonzaléz-Candia, A.; Candia, A.A.; Figueroa, E.G.; Feixes, E.; Gonzalez-Candia, C.; Aguilar, S.A.; Ebensperger, G.; Reyes, R.V.; Llanos, A.J.; Herrera, E.A. Melatonin long-lasting beneficial effects on pulmonary vascular reactivity and redox balance in chronic hypoxic ovine neonates. J. Pineal Res. 2020, 68, e12613. [Google Scholar] [CrossRef] [PubMed]
- Dinarello, C.A.; van der Meer, J.W. Treating inflammation by blocking interleukin-1 in humans. Semin. Immunol. 2013, 25, 469–484. [Google Scholar] [CrossRef]
- Bui, C.B.; Kolodziej, M.; Lamanna, E.; Elgass, K.; Sehgal, A.; Rudloff, I.; Schwenke, D.O.; Tsuchimochi, H.; Kroon, M.; Cho, S.X.; et al. Interleukin-1 Receptor Antagonist Protects Newborn Mice Against Pulmonary Hypertension. Front. Immunol. 2019, 10, 1480. [Google Scholar] [CrossRef]
- Nold, M.F.; Mangan, N.E.; Rudloff, I.; Cho, S.X.; Shariatian, N.; Samarasinghe, T.D.; Skuza, E.M.; Pedersen, J.; Veldman, A.; Berger, P.J.; et al. Interleukin-1 receptor antagonist prevents murine bronchopulmonary dysplasia induced by perinatal inflammation and hyperoxia. Proc. Natl. Acad. Sci. USA 2013, 110, 14384–14389. [Google Scholar] [CrossRef]
- Kelly, S.B.; Stojanovska, V.; Zahra, V.A.; Moxham, A.; Miller, S.L.; Moss, T.J.M.; Hooper, S.B.; Nold, M.F.; Nold-Petry, C.A.; Dean, J.M.; et al. Interleukin-1 blockade attenuates white matter inflammation and oligodendrocyte loss after progressive systemic lipopolysaccharide exposure in near-term fetal sheep. J. Neuroinflamm. 2021, 18, 189. [Google Scholar] [CrossRef]
- Solomonson, L.P.; Flam, B.R.; Pendleton, L.C.; Goodwin, B.L.; Eichler, D.C. The caveolar nitric oxide synthase/arginine regeneration system for NO production in endothelial cells. J. Exp. Biol. 2003, 206 Pt 12, 2083–2087. [Google Scholar] [CrossRef]
- Ananthakrishnan, M.; Barr, F.E.; Summar, M.L.; Smith, H.A.; Kaplowitz, M.; Cunningham, G.; Magarik, J.; Zhang, Y.; Fike, C.D. L-Citrulline ameliorates chronic hypoxia-induced pulmonary hypertension in newborn piglets. Am. J. Physiol. Lung Cell Mol. Physiol. 2009, 297, L506–L511. [Google Scholar] [CrossRef] [PubMed]
- Fike, C.D.; Avachat, C.; Birnbaum, A.K.; Aschner, J.L.; Sherwin, C.M. Pharmacokinetics of L-Citrulline in Neonates at Risk of Developing Bronchopulmonary Dysplasia-Associated Pulmonary Hypertension. Pediatr. Drugs 2023, 25, 87–96. [Google Scholar] [CrossRef]
- Altit, G.; Bhombal, S.; Hopper, R.K.; Tacy, T.A.; Feinstein, J. Death or resolution: The “natural history” of pulmonary hypertension in bronchopulmonary dysplasia. J. Perinatol. 2019, 39, 415–425. [Google Scholar] [CrossRef] [PubMed]
- Lagatta, J.M.; Hysinger, E.B.; Zaniletti, I.; Wymore, E.M.; Vyas-Read, S.; Yallapragada, S.; Nelin, L.D.; Truog, W.E.; Padula, M.A.; Porta, N.F.M.; et al. The Impact of Pulmonary Hypertension in Preterm Infants with Severe Bronchopulmonary Dysplasia through 1 Year. J. Pediatr. 2018, 203, 218–224.e3. [Google Scholar] [CrossRef]
- DeMauro, S.B. Neurodevelopmental outcomes of infants with bronchopulmonary dysplasia. Pediatr. Pulmonol. 2021, 56, 3509–3517. [Google Scholar] [CrossRef] [PubMed]
- Thomas, S.R.; Jain, S.K.; Murthy, P.; Joseph, C.J.; Soraisham, A.; Tang, S.; Dosani, A.; Lodha, A. Neurodevelopmental Outcomes of Preterm Infants Born < 29 Weeks with Bronchopulmonary Dysplasia-Associated Pulmonary Hypertension: A Multicenter Study. Am. J. Perinatol. 2023, 41, e2505–e2513. [Google Scholar]
- Kim, C.; Kim, S.; Kim, H.; Hwang, J.; Kim, S.H.; Yang, M.; Ahn, S.Y.; Sung, S.I.; Chang, Y.S. Long-term impact of late pulmonary hypertension requiring medication in extremely preterm infants with severe bronchopulmonary dysplasia. Sci. Rep. 2024, 14, 8705. [Google Scholar] [CrossRef]
- Nakanishi, H.; Uchiyama, A.; Kusuda, S. Impact of pulmonary hypertension on neurodevelopmental outcome in preterm infants with bronchopulmonary dysplasia: A cohort study. J. Perinatol. 2016, 36, 890–896. [Google Scholar] [CrossRef] [PubMed]
- Choi, E.K.; Shin, S.H.; Kim, E.K.; Kim, H.S. Developmental outcomes of preterm infants with bronchopulmonary dysplasia-associated pulmonary hypertension at 18–24 months of corrected age. BMC Pediatr. 2019, 19, 26. [Google Scholar] [CrossRef] [PubMed]
- del Cerro, M.J.; Sabaté Rotés, A.; Cartón, A.; Deiros, L.; Bret, M.; Cordeiro, M.; Verdú, C.; Barrios, M.I.; Albajara, L.; Gutierrez-Larraya, F. Pulmonary hypertension in bronchopulmonary dysplasia: Clinical findings, cardiovascular anomalies and outcomes. Pediatr. Pulmonol. 2014, 49, 49–59. [Google Scholar] [CrossRef] [PubMed]
- Arjaans, S.; Haarman, M.G.; Roofthooft, M.T.R.; Fries, M.W.F.; Kooi, E.M.W.; Bos, A.F.; Berger, R.M.F. Fate of pulmonary hypertension associated with bronchopulmonary dysplasia beyond 36 weeks postmenstrual age. Arch. Dis. Child. Fetal Neonatal Ed. 2021, 106, 45–50. [Google Scholar] [CrossRef] [PubMed]
- Zivanovic, S.; Pushparajah, K.; Calvert, S.; Marlow, N.; Razavi, R.; Peacock, J.L.; Greenough, A. Pulmonary Artery Pressures in School-Age Children Born Prematurely. J. Pediatr. 2017, 191, 42–49.e3. [Google Scholar] [CrossRef] [PubMed]
- Goss, K.N.; Beshish, A.G.; Barton, G.P.; Haraldsdottir, K.; Levin, T.S.; Tetri, L.H.; Battiola, T.J.; Mulchrone, A.M.; Pegelow, D.F.; Palta, M.; et al. Early Pulmonary Vascular Disease in Young Adults Born Preterm. Am. J. Respir. Crit. Care Med. 2018, 198, 1549–1558. [Google Scholar] [CrossRef] [PubMed]
- Mulchrone, A.; Bellofiore, A.; Douwes, J.M.; Duong, N.; Beshish, A.G.; Barton, G.P.; Francois, C.J.; Eldridge, M.W.; Goss, K.N.; Chesler, N.C. Impaired Right Ventricular-Vascular Coupling in Young Adults Born Preterm. Am. J. Respir. Crit. Care Med. 2020, 201, 615–618. [Google Scholar] [CrossRef] [PubMed]
- Lewandowski, A.J.; Raman, B.; Bertagnolli, M.; Mohamed, A.; Williamson, W.; Pelado, J.L.; McCance, A.; Lapidaire, W.; Neubauer, S.; Leeson, P. Association of Preterm Birth With Myocardial Fibrosis and Diastolic Dysfunction in Young Adulthood. J. Am. Coll. Cardiol. 2021, 78, 683–692. [Google Scholar] [CrossRef]
- Adelman, R.D. Neonatal hypertension. Pediatr. Clin. N. Am. 1978, 25, 99–110. [Google Scholar] [CrossRef]
- Georgieff, M.K.; Mills, M.M.; Gómez-Marín, O.; Sinaiko, A.R. Rate of change of blood pressure in premature and full term infants from birth to 4 months. Pediatr. Nephrol. 1996, 10, 152–155. [Google Scholar] [CrossRef]
- Zubrow, A.B.; Hulman, S.; Kushner, H.; Falkner, B. Determinants of blood pressure in infants admitted to neonatal intensive care units: A prospective multicenter study. Philadelphia Neonatal Blood Pressure Study Group. J. Perinatol. 1995, 15, 470–479. [Google Scholar] [PubMed]
- Dionne, J.M.; Abitbol, C.L.; Flynn, J.T. Hypertension in infancy: Diagnosis, management and outcome. Pediatr. Nephrol. 2012, 27, 17–32. [Google Scholar] [CrossRef]
- Giri, P.; Roth, P. Neonatal Hypertension. Pediatr. Rev. 2020, 41, 307–311. [Google Scholar] [CrossRef] [PubMed]
- Caplan, M.S.; Cohn, R.A.; Langman, C.B.; Conway, J.A.; Shkolnik, A.; Brouillette, R.T. Favorable outcome of neonatal aortic thrombosis and renovascular hypertension. J. Pediatr. 1989, 115, 291–295. [Google Scholar] [CrossRef] [PubMed]
- Seliem, W.A.; Falk, M.C.; Shadbolt, B.; Kent, A.L. Antenatal and postnatal risk factors for neonatal hypertension and infant follow-up. Pediatr. Nephrol. 2007, 22, 2081–2087. [Google Scholar] [CrossRef] [PubMed]
- Smets, K.; Vanhaesebrouck, P. Dexamethasone associated systemic hypertension in low birth weight babies with chronic lung disease. Eur. J. Pediatr. 1996, 155, 573–575. [Google Scholar] [CrossRef] [PubMed]
- Singh, H.P.; Hurley, R.M.; Myers, T.F. Neonatal hypertension. Incidence and risk factors. Am. J. Hypertens. 1992, 5, 51–55. [Google Scholar] [CrossRef] [PubMed]
- Jenkins, R.D.; Aziz, J.K.; Gievers, L.L.; Mooers, H.M.; Fino, N.; Rozansky, D.J. Characteristics of hypertension in premature infants with and without chronic lung disease: A long-term multi-center study. Pediatr. Nephrol. 2017, 32, 2115–2124. [Google Scholar] [CrossRef]
- Starr, M.C.; Wilson, A.C. Systemic Hypertension in Infants with Bronchopulmonary Dysplasia. Curr. Hypertens. Rep. 2022, 24, 193–203. [Google Scholar] [CrossRef]
- Avolio, A.; Jones, D.; Tafazzoli-Shadpour, M. Quantification of alterations in structure and function of elastin in the arterial media. Hypertension 1998, 32, 170–175. [Google Scholar] [CrossRef]
- Abman, S.H. Pulmonary hypertension in chronic lung disease of infancy: Pathogenesis, pathophysiology and treatment. In Chronic Lung Disease of Infancy; Bland, R.D.C.J., Ed.; Marcel Dekker: Boca Raton, FL, USA, 2000; pp. 619–668. [Google Scholar]
- Takenaka, T.; Mimura, T.; Kanno, Y.; Suzuki, H. Qualification of arterial stiffness as a risk factor to the progression of chronic kidney diseases. Am. J. Nephrol. 2005, 25, 417–424. [Google Scholar] [CrossRef] [PubMed]
- Price, R.J.; Skalak, T.C. Circumferential wall stress as a mechanism for arteriolar rarefaction and proliferation in a network model. Microvasc. Res. 1994, 47, 188–202. [Google Scholar] [CrossRef] [PubMed]
- Sehgal, A.; Alexander, B.T.; Morrison, J.L.; South, A.M. Fetal Growth Restriction and Hypertension in the Offspring: Mechanistic Links and Therapeutic Directions. J. Pediatr. 2020, 224, 115–123.e2. [Google Scholar] [CrossRef] [PubMed]
- Flahault, A.; Oliveira Fernandes, R.; De Meulemeester, J.; Ravizzoni Dartora, D.; Cloutier, A.; Gyger, G.; El-Jalbout, R.; Bigras, J.L.; Luu, T.M.; Nuyt, A.M. Arterial Structure and Stiffness Are Altered in Young Adults Born Preterm. Arter. Thromb. Vasc. Biol. 2020, 40, 2548–2556. [Google Scholar] [CrossRef] [PubMed]
- Lewandowski, A.J.; Augustine, D.; Lamata, P.; Davis, E.F.; Lazdam, M.; Francis, J.; McCormick, K.; Wilkinson, A.R.; Singhal, A.; Lucas, A.; et al. Preterm heart in adult life: Cardiovascular magnetic resonance reveals distinct differences in left ventricular mass, geometry, and function. Circulation 2013, 127, 197–206. [Google Scholar] [CrossRef] [PubMed]
- Bensley, J.G.; Stacy, V.K.; De Matteo, R.; Harding, R.; Black, M.J. Cardiac remodelling as a result of pre-term birth: Implications for future cardiovascular disease. Eur. Heart J. 2010, 31, 2058–2066. [Google Scholar] [CrossRef] [PubMed]
- Lewandowski, A.J.; Levy, P.T.; Bates, M.L.; McNamara, P.J.; Nuyt, A.M.; Goss, K.N. Impact of the Vulnerable Preterm Heart and Circulation on Adult Cardiovascular Disease Risk. Hypertension 2020, 76, 1028–1037. [Google Scholar] [CrossRef]
- Sahu, R.; Pannu, H.; Yu, R.; Shete, S.; Bricker, J.T.; Gupta-Malhotra, M. Systemic hypertension requiring treatment in the neonatal intensive care unit. J. Pediatr. 2013, 163, 84–88. [Google Scholar] [CrossRef] [PubMed]
- Reyes-Hernandez, M.E.; Bischoff, A.R.; Giesinger, R.E.; Rios, D.R.; Stanford, A.H.; McNamara, P.J. Echocardiography Assessment of Left Ventricular Function in Extremely Preterm Infants, Born at Less Than 28 Weeks’ Gestation, With Bronchopulmonary Dysplasia and Systemic Hypertension. J. Am. Soc. Echocardiogr. 2024, 37, 237–247. [Google Scholar] [CrossRef]
- Flynn, J.T.; Kaelber, D.C.; Baker-Smith, C.M.; Blowey, D.; Carroll, A.E.; Daniels, S.R.; de Ferranti, S.D.; Dionne, J.M.; Falkner, B.; Flinn, S.K.; et al. Clinical Practice Guideline for Screening and Management of High Blood Pressure in Children and Adolescents. Pediatrics 2017, 140, e20171904. [Google Scholar] [CrossRef]
- O’Shea, J.; Dempsey, E.M. A comparison of blood pressure measurements in newborns. Am. J. Perinatol. 2009, 26, 113–116. [Google Scholar] [CrossRef] [PubMed]
- Menahem, S.; Sehgal, A. Doctor please feel my pulses! An aid to diagnosis in the newborn. J. Paediatr. Child Health 2016, 52, 983–990. [Google Scholar] [CrossRef] [PubMed]
- Crossland, D.S.; Furness, J.C.; Abu-Harb, M.; Sadagopan, S.N.; Wren, C. Variability of four limb blood pressure in normal neonates. Arch. Dis. Child. Fetal Neonatal Ed. 2004, 89, F325–F327. [Google Scholar] [CrossRef] [PubMed]
- Rocchini, A.P.; Moorehead, C.; DeRemer, S.; Goodfriend, T.L.; Ball, D.L. Hyperinsulinemia and the aldosterone and pressor responses to angiotensin II. Hypertension 1990, 15, 861–866. [Google Scholar] [CrossRef] [PubMed]
- Linz, W.; Wiemer, G.; Gohlke, P.; Unger, T.; Schölkens, B.A. Contribution of kinins to the cardiovascular actions of angiotensin-converting enzyme inhibitors. Pharmacol. Rev. 1995, 47, 25–49. [Google Scholar] [PubMed]
- Schiffrin, E.L.; Deng, L.Y. Comparison of effects of angiotensin I-converting enzyme inhibition and beta-blockade for 2 years on function of small arteries from hypertensive patients. Hypertension 1995, 25, 699–703. [Google Scholar] [CrossRef]
- Gibbons, G.H. Endothelial function as a determinant of vascular function and structure: A new therapeutic target. Am. J. Cardiol. 1997, 79, 3–8. [Google Scholar] [CrossRef] [PubMed]
- Anderson, T.J.; Elstein, E.; Haber, H.; Charbonneau, F. Comparative study of ACE-inhibition, angiotensin II antagonism, and calcium channel blockade on flow-mediated vasodilation in patients with coronary disease (BANFF study). J. Am. Coll. Cardiol. 2000, 35, 60–66. [Google Scholar] [CrossRef]
- Fagard, R.H.; Celis, H.; Thijs, L.; Wouters, S. Regression of left ventricular mass by antihypertensive treatment: A meta-analysis of randomized comparative studies. Hypertension 2009, 54, 1084–1091. [Google Scholar] [CrossRef]
- Higashi, Y.; Sasaki, S.; Nakagawa, K.; Ueda, T.; Yoshimizu, A.; Kurisu, S.; Matsuura, H.; Kajiyama, G.; Oshima, T. A comparison of angiotensin-converting enzyme inhibitors, calcium antagonists, beta-blockers and diuretic agents on reactive hyperemia in patients with essential hypertension: A multicenter study. J. Am. Coll. Cardiol. 2000, 35, 284–291. [Google Scholar] [CrossRef]
- Neutel, J.M. Effect of the renin–angiotensin system on the vessel wall: Using ACE inhibition to improve endothelial function. J. Hum. Hypertens. 2004, 18, 599–606. [Google Scholar] [CrossRef] [PubMed]
- Chrysant, S.G. Vascular remodeling: The role of angiotensin-converting enzyme inhibitors. Am. Heart J. 1998, 135, S21–S30. [Google Scholar] [CrossRef] [PubMed]
- Martyn, C.N.; Greenwald, S.E. Impaired synthesis of elastin in walls of aorta and large conduit arteries during early development as an initiating event in pathogenesis of systemic hypertension. Lancet 1997, 350, 953–955. [Google Scholar] [CrossRef] [PubMed]
- Sehgal, A.; Krishnamurthy, M.B.; Clark, M.; Menahem, S. ACE inhibition for severe bronchopulmonary dysplasia—An approach based on physiology. Physiol. Rep. 2018, 6, e13821. [Google Scholar] [CrossRef] [PubMed]
- Stanford, A.H.; Reyes, M.; Rios, D.R.; Giesinger, R.E.; Jetton, J.G.; Bischoff, A.R.; McNamara, P.J. Safety, Feasibility, and Impact of Enalapril on Cardiorespiratory Physiology and Health in Preterm Infants with Systemic Hypertension and Left Ventricular Diastolic Dysfunction. J. Clin. Med. 2021, 10, 4519. [Google Scholar] [CrossRef]
- Altit, G.; Cayouette, F.; Dorval, V.; Lapointe, A. Systemic hypertension in preterm infants and neurodevelopmental outcomes. J. Perinatol. 2023, 43, 943–945. [Google Scholar] [CrossRef]




| Name | Dose | Side Effects |
|---|---|---|
| iNO (cGMP augmentation) | Initial dose of 10–20 PPM for acute PH crises and wean after stabilization to a dose of 3–5 PPM followed by a gradual reduction by 1 PPM before ceasing | Rebound PH after abrupt cessation. Can be minimised with gradual weaning and adding PDE5 inhibitor |
| Sildenafil (PDE-5 inhibitor) | Oral: 1 mg/kg 6–8 h; commence with a low dose (0.3–0.5 mg/kg/dose) and increase gradually to 1 mg/kg/dose as tolerated; Maximal dose of 10 mg q 8 h per EMA guidelines for infants | Hypotension, GER, irritability, bronchospasm, nasal stuffiness, fever |
| Bosentan (ET-1 antagonist) | Oral:1 mg/kg q 12 h as starting dose; may increase to 2 mg/kg q 12 h in 2–4 weeks, if tolerated and normal liver enzymes | Liver dysfunction especially during viral infections, hypotension, anaemia, oedema, and airway issues |
| Epoprostenol (cAMP augmentation) | Intravenous: commence at 1–2 ng/kg/min, titrate up slowly every 4–6 h to 20 ng/kg/min; Further increased if clinically indicated and no adverse effects | Hypotension, VQ mismatch, GI disturbances. Very short half-life with high risk for rebound PH with brief interruption of therapy Needs dedicated line |
| Name | Dose | Side Effects |
|---|---|---|
| Captopril (ACE inhibitor) | Oral: <3 m: 0.01–0.5 mg/kg/dose, TID Max 2 mg/kg/day >3 m: 0.15–3 mg/kg/dose Max 6 mg/kg/day | First-dose hypotension especially if receiving diuretics concomitantly Monitor electrolytes and renal function test |
| Enalapril (ACE inhibitor) | Oral: 0.08–0.6 mg/kg/day, OD or BID | Intravenous enalapril is not recommended as it may cause prolonged hypotension and oliguric acute renal failure. Monitor electrolytes and renal function test |
| Amlodipine (calcium channel blockers) | Oral: 0.05–0.3 mg/kg/dose, OD max 0.6 mg/kg/day | Mild reflex tachycardia |
| Propranolol (β-antagonists) | Oral: 0.5–1.0 mg/kg/dose, TID Max 8–10 mg/kg/day | Monitor heart rate, avoid use in BPD |
| Labetalol (α- and β-antagonists) | Oral: 0.5–1.0 mg/kg/dose, BID or TID Max 10 mg/kg/day | Heart failure |
| Clonidine (central α-agonist) | Oral: 5–10 mcg/kg/day, TID max 25 mcg/kg/day | May cause mild sedation |
| Hydrochlorothiazide (diuretic) | Oral: 1–3 mg/kg/dose, OD | Monitor electrolytes, beneficial in BPD |
| Spironolactone (diuretic) | Oral: 0.5–1.5 mg/kg/dose, BID | Monitor electrolytes, beneficial in BPD |
| Hydralazine (direct vasodilator) | Oral: 0.25–1.0 mg/kg/dose, TID or QID Max 7.5 mg/kg/day | Tachycardia and fluid retention |
Disclaimer/Publisher’s Note: The statements, opinions and data contained in all publications are solely those of the individual author(s) and contributor(s) and not of MDPI and/or the editor(s). MDPI and/or the editor(s) disclaim responsibility for any injury to people or property resulting from any ideas, methods, instructions or products referred to in the content. |
© 2024 by the authors. Licensee MDPI, Basel, Switzerland. This article is an open access article distributed under the terms and conditions of the Creative Commons Attribution (CC BY) license (https://creativecommons.org/licenses/by/4.0/).
Share and Cite
Pharande, P.; Sehgal, A.; Menahem, S. Cardiovascular Sequelae of Bronchopulmonary Dysplasia in Preterm Neonates Born before 32 Weeks of Gestational Age: Impact of Associated Pulmonary and Systemic Hypertension. J. Cardiovasc. Dev. Dis. 2024, 11, 233. https://doi.org/10.3390/jcdd11080233
Pharande P, Sehgal A, Menahem S. Cardiovascular Sequelae of Bronchopulmonary Dysplasia in Preterm Neonates Born before 32 Weeks of Gestational Age: Impact of Associated Pulmonary and Systemic Hypertension. Journal of Cardiovascular Development and Disease. 2024; 11(8):233. https://doi.org/10.3390/jcdd11080233
Chicago/Turabian StylePharande, Pramod, Arvind Sehgal, and Samuel Menahem. 2024. "Cardiovascular Sequelae of Bronchopulmonary Dysplasia in Preterm Neonates Born before 32 Weeks of Gestational Age: Impact of Associated Pulmonary and Systemic Hypertension" Journal of Cardiovascular Development and Disease 11, no. 8: 233. https://doi.org/10.3390/jcdd11080233
APA StylePharande, P., Sehgal, A., & Menahem, S. (2024). Cardiovascular Sequelae of Bronchopulmonary Dysplasia in Preterm Neonates Born before 32 Weeks of Gestational Age: Impact of Associated Pulmonary and Systemic Hypertension. Journal of Cardiovascular Development and Disease, 11(8), 233. https://doi.org/10.3390/jcdd11080233

