Bioprosthetic Aortic Valve Degeneration After TAVR and SAVR: Incidence, Diagnosis, Predictors, and Management
Abstract
1. Introduction
2. Prevalence of Bioprosthetic Aortic Valve Replacement
3. Pathophysiology of Degeneration
4. Risk Factors for Bioprosthetic Valve Degeneration
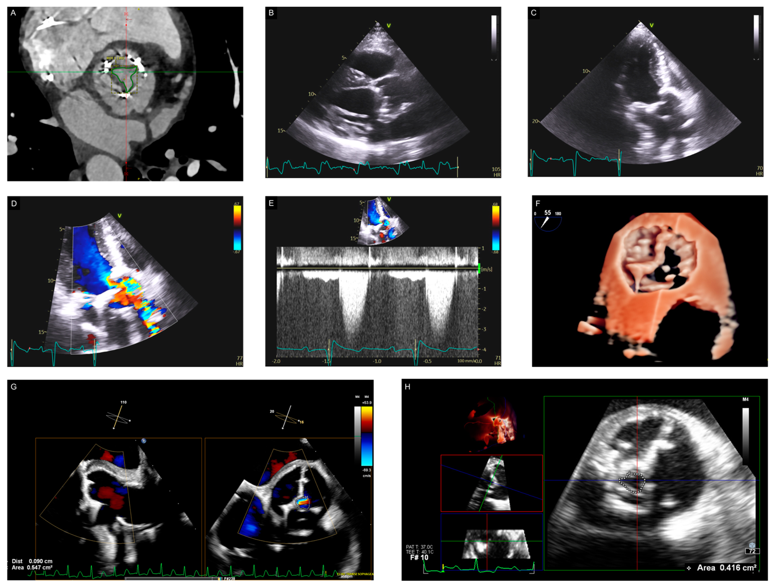
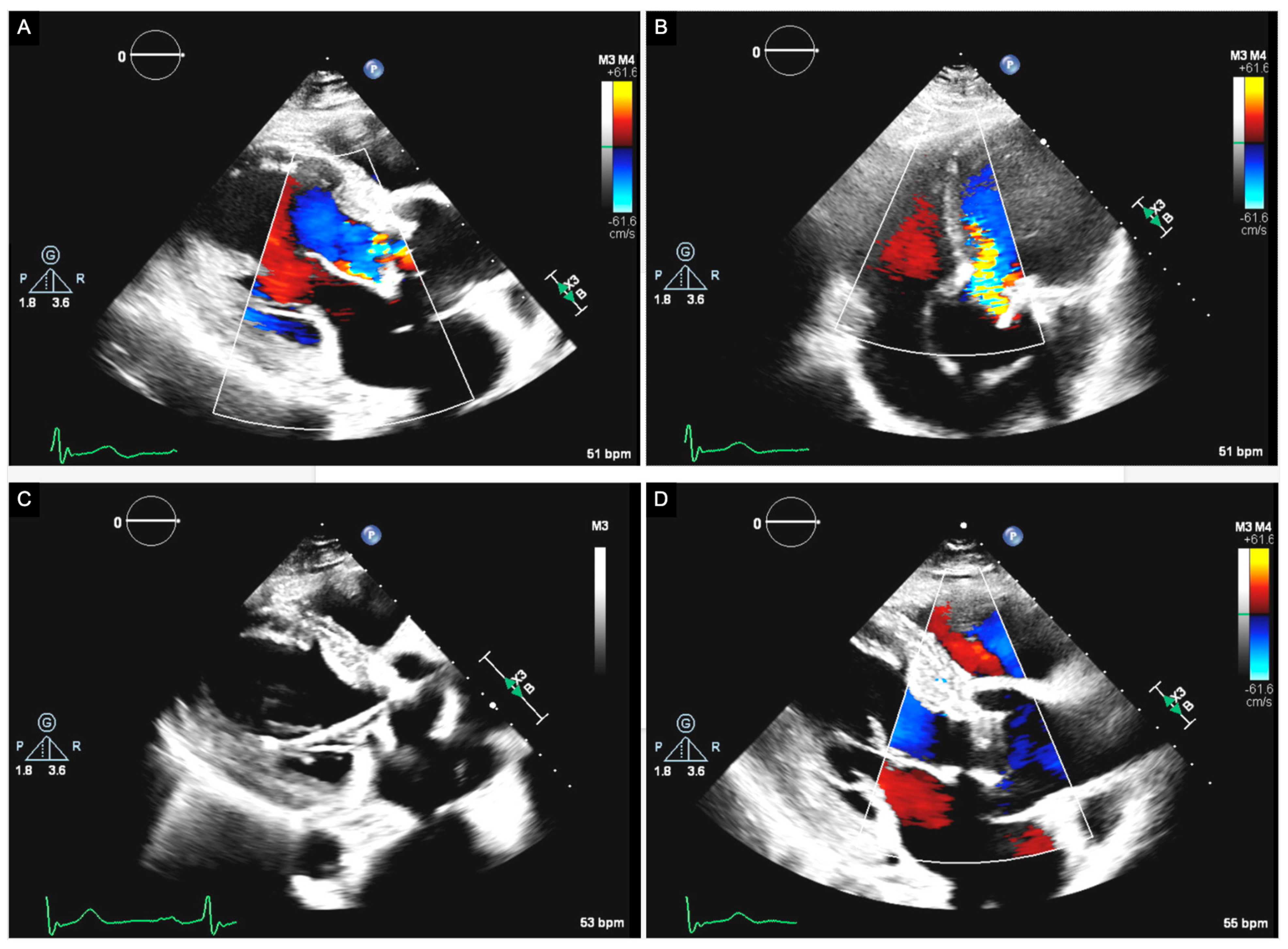
5. Challenges in Screening and Diagnosis
6. Bioprosthetic Valve Degeneration Following TAVR and SAVR
7. Management of Bioprosthetic Aortic Valve Degeneration
8. Conclusions
Author Contributions
Funding
Conflicts of Interest
References
- Baumgartner, H.; Falk, V.; Bax, J.J.; De Bonis, M.; Hamm, C.; Holm, P.J.; Iung, B.; Lancellotti, P.; Lansac, E.; Rodriguez Munoz, D.; et al. 2017 ESC/EACTS Guidelines for the management of valvular heart disease. Eur. Heart J. 2017, 38, 2739–2791. [Google Scholar] [CrossRef] [PubMed]
- Nishimura, R.A.; Otto, C.M.; Bonow, R.O.; Carabello, B.A.; Erwin, J.P., 3rd; Fleisher, L.A.; Jneid, H.; Mack, M.J.; McLeod, C.J.; O’Gara, P.T.; et al. 2017 AHA/ACC Focused Update of the 2014 AHA/ACC Guideline for the Management of Patients With Valvular Heart Disease: A Report of the American College of Cardiology/American Heart Association Task Force on Clinical Practice Guidelines. Circulation 2017, 135, e1159–e1195. [Google Scholar] [CrossRef] [PubMed]
- Kostyunin, A.E.; Yuzhalin, A.E.; Rezvova, M.A.; Ovcharenko, E.A.; Glushkova, T.V.; Kutikhin, A.G. Degeneration of Bioprosthetic Heart Valves: Update 2020. J. Am. Heart Assoc. 2020, 9, e018506. [Google Scholar] [CrossRef] [PubMed]
- Leontyev, S.; Borger, M.A.; Davierwala, P.; Walther, T.; Lehmann, S.; Kempfert, J.; Mohr, F.W. Redo aortic valve surgery: Early and late outcomes. Ann. Thorac. Surg. 2011, 91, 1120–1126. [Google Scholar] [CrossRef]
- Cartlidge, T.R.G.; Doris, M.K.; Sellers, S.L.; Pawade, T.A.; White, A.C.; Pessotto, R.; Kwiecinski, J.; Fletcher, A.; Alcaide, C.; Lucatelli, C.; et al. Detection and Prediction of Bioprosthetic Aortic Valve Degeneration. J. Am. Coll. Cardiol. 2019, 73, 1107–1119. [Google Scholar] [CrossRef]
- Rodriguez-Gabella, T.; Voisine, P.; Puri, R.; Pibarot, P.; Rodes-Cabau, J. Aortic Bioprosthetic Valve Durability: Incidence, Mechanisms, Predictors, and Management of Surgical and Transcatheter Valve Degeneration. J. Am. Coll. Cardiol. 2017, 70, 1013–1028. [Google Scholar] [CrossRef] [PubMed]
- Nollert, G.; Miksch, J.; Kreuzer, E.; Reichart, B. Risk factors for atherosclerosis and the degeneration of pericardial valves after aortic valve replacement. J. Thorac. Cardiovasc. Surg. 2003, 126, 965–968. [Google Scholar] [CrossRef] [PubMed]
- Le Tourneau, T.; Marechaux, S.; Vincentelli, A.; Ennezat, P.V.; Modine, T.; Polge, A.-S.; Fayad, G.; Prat, A.; Warembourg, H.; Deklunder, G. Cardiovascular risk factors as predictors of early and late survival after bioprosthetic valve replacement for aortic stenosis. J. Heart Valve Dis. 2007, 16, 483–488. [Google Scholar]
- Shrivastava, S.; Shrivastava, S.; Mumtaz, K.; Mostafa, J.A. Evolving Indications of Transcatheter Aortic Valve Replacement Compared to Surgical Valve Replacement: A Review of the Current Literature. Cureus 2022, 14, e23364. [Google Scholar] [CrossRef] [PubMed]
- De Sciscio, P.; Brubert, J.; De Sciscio, M.; Serrani, M.; Stasiak, J.; Moggridge, G.D. Quantifying the Shift Toward Transcatheter Aortic Valve Replacement in Low-Risk Patients: A Meta-Analysis. Circ. Cardiovasc. Qual. Outcomes 2017, 10, e003287. [Google Scholar] [CrossRef] [PubMed]
- Nitsche, C.; Kammerlander, A.A.; Knechtelsdorfer, K.; Kraiger, J.A.; Goliasch, G.; Dona, C.; Schachner, L.; Öztürk, B.; Binder, C.; Duca, F.; et al. Determinants of Bioprosthetic Aortic Valve Degeneration. JACC Cardiovasc. Imaging 2020, 13, 345–353. [Google Scholar] [CrossRef] [PubMed]
- Carroll, J.D.; Mack, M.J.; Vemulapalli, S.; Herrmann, H.C.; Gleason, T.G.; Hanzel, G.; Deeb, G.M.; Thourani, V.H.; Cohen, D.J.; Desai, N.; et al. STS-ACC TVT Registry of Transcatheter Aortic Valve Replacement. Ann. Thorac. Surg. 2021, 111, 701–722. [Google Scholar] [CrossRef] [PubMed]
- Mack, M.J.; Leon, M.B.; Thourani, V.H.; Pibarot, P.; Hahn, R.T.; Genereux, P.; Kodali, S.K.; Kapadia, S.R.; Cohen, D.J.; Pocock, S.J.; et al. Transcatheter Aortic-Valve Replacement in Low-Risk Patients at Five Years. N. Engl. J. Med. 2023, 389, 1949–1960. [Google Scholar] [CrossRef] [PubMed]
- Salaun, E.; Clavel, M.A.; Rodes-Cabau, J.; Pibarot, P. Bioprosthetic aortic valve durability in the era of transcatheter aortic valve implantation. Heart 2018, 104, 1323–1332. [Google Scholar] [CrossRef] [PubMed]
- Côté, N.; Pibarot, P.; Clavel, M.-A. Incidence, risk factors, clinical impact, and management of bioprosthesis structural valve degeneration. Curr. Opin. Cardiol. 2017, 32, 123–129. [Google Scholar] [CrossRef] [PubMed]
- Ruel, M.; Kulik, A.; Rubens, F.D.; Bédard, P.; Masters, R.G.; Pipe, A.L.; Mesana, T.G. Late incidence and determinants of reoperation in patients with prosthetic heart valves. Eur. J. Cardio-Thorac. Surg. 2004, 25, 364–370. [Google Scholar] [CrossRef] [PubMed]
- David, T.E.; Feindel, C.M.; Bos, J.; Ivanov, J.; Armstrong, S. Aortic valve replacement with Toronto SPV bioprosthesis: Optimal patient survival but suboptimal valve durability. J. Thorac. Cardiovasc. Surg. 2008, 135, 19–24. [Google Scholar] [CrossRef] [PubMed]
- David, T.E.; Ivanov, J.; Armstrong, S.; Feindel, C.M.; Cohen, G. Late results of heart valve replacement with the Hancock II bioprosthesis. J. Thorac. Cardiovasc. Surg. 2001, 121, 268–277. [Google Scholar] [CrossRef] [PubMed]
- Poirer, N.C.; Pelletier, L.C.; Pellerin, M.; Carrier, M. 15-year experience with the Carpentier-Edwards pericardial bioprosthesis. Ann. Thorac. Surg. 1998, 66, S57–S61. [Google Scholar] [CrossRef] [PubMed]
- Johnston, D.R.; Soltesz, E.G.; Vakil, N.; Rajeswaran, J.; Roselli, E.E.; Sabik, J.F., 3rd; Smedira, N.G.; Svensson, L.G.; Lytle, B.W.; Blackstone, E.H. Long-term durability of bioprosthetic aortic valves: Implications from 12,569 implants. Ann. Thorac. Surg. 2015, 99, 1239–1247. [Google Scholar] [CrossRef] [PubMed]
- Bourguignon, T.; Bouquiaux-Stablo, A.-L.; Candolfi, P.; Mirza, A.; Loardi, C.; May, M.-A.; El-Khoury, R.; Marchand, M.; Aupart, M. Very Long-Term Outcomes of the Carpentier-Edwards Perimount Valve in Aortic Position. Ann. Thorac. Surg. 2015, 99, 831–837. [Google Scholar] [CrossRef] [PubMed]
- David, T.E.; Armstrong, S.; Maganti, M. Hancock II bioprosthesis for aortic valve replacement: The gold standard of bioprosthetic valves durability? Ann. Thorac. Surg. 2010, 90, 775–781. [Google Scholar] [CrossRef]
- Stacchino, C.; Bona, G.; Bonetti, F.; Rinaldi, S.; Della Ciana, L.; Grignani, A. Detoxification process for glutaraldehyde-treated bovine pericardium: Biological, chemical and mechanical characterization. J. Heart Valve Dis. 1998, 7, 190–194. [Google Scholar]
- Lorusso, R.; Gelsomino, S.; Lucà, F.; De Cicco, G.; Billè, G.; Carella, R.; Villa, E.; Troise, G.; Viganò, M.; Banfi, C.; et al. Type 2 Diabetes Mellitus Is Associated With Faster Degeneration of Bioprosthetic Valve. Circulation 2012, 125, 604–614. [Google Scholar] [CrossRef] [PubMed]
- Mahjoub, H.; Mathieu, P.; Larose, E.; Dahou, A.; Senechal, M.; Dumesnil, J.G.; Despres, J.P.; Pibarot, P. Determinants of aortic bioprosthetic valve calcification assessed by multidetector CT. Heart 2015, 101, 472–477. [Google Scholar] [CrossRef] [PubMed]
- Mahjoub, H.; Mathieu, P.; Senechal, M.; Larose, E.; Dumesnil, J.; Despres, J.P.; Pibarot, P. ApoB/ApoA-I ratio is associated with increased risk of bioprosthetic valve degeneration. J. Am. Coll. Cardiol. 2013, 61, 752–761. [Google Scholar] [CrossRef]
- Velho, T.R.; Pereira, R.M.; Fernandes, F.; Guerra, N.C.; Ferreira, R.; Nobre, A. Bioprosthetic Aortic Valve Degeneration: A Review from a Basic Science Perspective. Braz. J. Cardiovasc. Surg. 2022, 37, 239–250. [Google Scholar] [CrossRef] [PubMed]
- Salaun, E.; Cote, N.; Clavel, M.A.; Pibarot, P. Biomarkers of aortic bioprosthetic valve structural degeneration. Curr. Opin. Cardiol. 2019, 34, 132–139. [Google Scholar] [CrossRef] [PubMed]
- Capodanno, D.; Petronio, A.S.; Prendergast, B.; Eltchaninoff, H.; Vahanian, A.; Modine, T.; Lancellotti, P.; Sondergaard, L.; Ludman, P.F.; Tamburino, C.; et al. Standardized definitions of structural deterioration and valve failure in assessing long-term durability of transcatheter and surgical aortic bioprosthetic valves: A consensus statement from the European Association of Percutaneous Cardiovascular Interventions (EAPCI) endorsed by the European Society of Cardiology (ESC) and the European Association for Cardio-Thoracic Surgery (EACTS). Eur. Heart J. 2017, 38, 3382–3390. [Google Scholar] [CrossRef] [PubMed]
- Dvir, D.; Bourguignon, T.; Otto, C.M.; Hahn, R.T.; Rosenhek, R.; Webb, J.G.; Treede, H.; Sarano, M.E.; Feldman, T.; Wijeysundera, H.C.; et al. Standardized Definition of Structural Valve Degeneration for Surgical and Transcatheter Bioprosthetic Aortic Valves. Circulation 2018, 137, 388–399. [Google Scholar] [CrossRef] [PubMed]
- Simionescu, D.T. Prevention of calcification in bioprosthetic heart valves: Challenges and perspectives. Expert. Opin. Biol. Ther. 2004, 4, 1971–1985. [Google Scholar] [CrossRef] [PubMed]
- Human, P.; Bezuidenhout, D.; Aikawa, E.; Zilla, P. Residual Bioprosthetic Valve Immunogenicity: Forgotten, Not Lost. Front. Cardiovasc. Med. 2021, 8, 760635. [Google Scholar] [CrossRef] [PubMed]
- Williams, D.F.; Bezuidenhout, D.; de Villiers, J.; Human, P.; Zilla, P. Long-Term Stability and Biocompatibility of Pericardial Bioprosthetic Heart Valves. Front. Cardiovasc. Med. 2021, 8, 728577. [Google Scholar] [CrossRef] [PubMed]
- Dahm, M.; Husmann, M.; Eckhard, M.; Prufer, D.; Groh, E.; Oelert, H. Relevance of immunologic reactions for tissue failure of bioprosthetic heart valves. Ann. Thorac. Surg. 1995, 60, S348–S352. [Google Scholar] [CrossRef] [PubMed]
- Pibarot, P.; Dumesnil, J.G. Prosthetic Heart Valves. Circulation 2009, 119, 1034–1048. [Google Scholar] [CrossRef] [PubMed]
- Christian, A.J.; Lin, H.; Alferiev, I.S.; Connolly, J.M.; Ferrari, G.; Hazen, S.L.; Ischiropoulos, H.; Levy, R.J. The susceptibility of bioprosthetic heart valve leaflets to oxidation. Biomaterials 2014, 35, 2097–2102. [Google Scholar] [CrossRef] [PubMed]
- Lee, S.; Levy, R.J.; Christian, A.J.; Hazen, S.L.; Frick, N.E.; Lai, E.K.; Grau, J.B.; Bavaria, J.E.; Ferrari, G. Calcification and Oxidative Modifications Are Associated With Progressive Bioprosthetic Heart Valve Dysfunction. J. Am. Heart Assoc. 2017, 6, e005648. [Google Scholar] [CrossRef]
- Bian, W.; Wang, Z.; Sun, C.; Zhang, D.M. Pathogenesis and Molecular Immune Mechanism of Calcified Aortic Valve Disease. Front. Cardiovasc. Med. 2021, 8, 765419. [Google Scholar] [CrossRef] [PubMed]
- Casos, K.; Llatjos, R.; Blasco-Lucas, A.; Kuguel, S.G.; Sbraga, F.; Galli, C.; Padler-Karavani, V.; Le Tourneau, T.; Vadori, M.; Perota, A.; et al. Differential Immune Response to Bioprosthetic Heart Valve Tissues in the alpha1,3Galactosyltransferase-Knockout Mouse Model. Bioengineering 2023, 10, 833. [Google Scholar] [CrossRef]
- Puri, R.; Auffret, V.; Rodes-Cabau, J. Bioprosthetic Valve Thrombosis. J. Am. Coll. Cardiol. 2017, 69, 2193–2211. [Google Scholar] [CrossRef] [PubMed]
- Makkar, R.R.; Fontana, G.; Jilaihawi, H.; Chakravarty, T.; Kofoed, K.F.; De Backer, O.; Asch, F.M.; Ruiz, C.E.; Olsen, N.T.; Trento, A.; et al. Possible Subclinical Leaflet Thrombosis in Bioprosthetic Aortic Valves. N. Engl. J. Med. 2015, 373, 2015–2024. [Google Scholar] [CrossRef] [PubMed]
- Chakravarty, T.; Søndergaard, L.; Friedman, J.; De Backer, O.; Berman, D.; Kofoed, K.F.; Jilaihawi, H.; Shiota, T.; Abramowitz, Y.; Jørgensen, T.H.; et al. Subclinical leaflet thrombosis in surgical and transcatheter bioprosthetic aortic valves: An observational study. Lancet 2017, 389, 2383–2392. [Google Scholar] [CrossRef] [PubMed]
- Ochi, A.; Cheng, K.; Zhao, B.; Hardikar, A.A.; Negishi, K. Patient Risk Factors for Bioprosthetic Aortic Valve Degeneration: A Systematic Review and Meta-Analysis. Heart Lung Circ. 2020, 29, 668–678. [Google Scholar] [CrossRef]
- Ruge, H.; Erlebach, M.; Lieberknecht, E.; Lange, R. Successful treatment of a paravalvular leak with balloon cracking and valve-in-valve TAVR. Catheter. Cardiovasc. Interv. 2020, 95, 859–862. [Google Scholar] [CrossRef]
- Paradis, J.M.; Del Trigo, M.; Puri, R.; Rodes-Cabau, J. Transcatheter Valve-in-Valve and Valve-in-Ring for Treating Aortic and Mitral Surgical Prosthetic Dysfunction. J. Am. Coll. Cardiol. 2015, 66, 2019–2037. [Google Scholar] [CrossRef] [PubMed]
- Forcillo, J.; Pellerin, M.; Perrault, L.P.; Cartier, R.; Bouchard, D.; Demers, P.; Carrier, M. Carpentier-Edwards Pericardial Valve in the Aortic Position: 25-Years Experience. Ann. Thorac. Surg. 2013, 96, 486–493. [Google Scholar] [CrossRef]
- Banbury, M.K.; Cosgrove, D.M., III; White, J.A.; Blackstone, E.H.; Frater, R.W.M.; Okies, J.E. Age and valve size effect on the long-term durability of the Carpentier-Edwards aortic pericardial bioprosthesis. Ann. Thorac. Surg. 2001, 72, 753–757. [Google Scholar] [CrossRef] [PubMed]
- Jamieson, W.R.E.; Burr, L.H.; Miyagishima, R.T.; Germann, E.; MacNab, J.S.; Stanford, E.; Chan, F.; Janusz, M.T.; Ling, H. Carpentier-Edwards supra-annular aortic porcine bioprosthesis: Clinical performance over 20 years. J. Thorac. Cardiovasc. Surg. 2005, 130, 994–1000. [Google Scholar] [CrossRef] [PubMed]
- Repossini, A.; Fischlein, T.; Santarpino, G.; Schäfer, C.; Claus, B.; Passaretti, B.; Di Bacco, L.; Giroletti, L.; Bisleri, G.; Muneretto, C.; et al. Pericardial Stentless Valve for Aortic Valve Replacement: Long-Term Results. Ann. Thorac. Surg. 2016, 102, 1956–1965. [Google Scholar] [CrossRef] [PubMed]
- Fleisher, L.A.; Fleischmann, K.E.; Auerbach, A.D.; Barnason, S.A.; Beckman, J.A.; Bozkurt, B.; Davila-Roman, V.G.; Gerhard-Herman, M.D.; Holly, T.A.; Kane, G.C.; et al. 2014 ACC/AHA Guideline on Perioperative Cardiovascular Evaluation and Management of Patients Undergoing Noncardiac Surgery. Circulation 2014, 130, e278–e333. [Google Scholar] [CrossRef] [PubMed]
- Vahanian, A.; Baumgartner, H.; Bax, J.; Butchart, E.; Dion, R.; Filippatos, G.; Flachskampf, F.; Hall, R.; Iung, B.; Kasprzak, J.; et al. Guidelines on the management of valvular heart disease: The Task Force on the Management of Valvular Heart Disease of the European Society of Cardiology. Eur. Heart J. 2007, 28, 230–268. [Google Scholar] [CrossRef] [PubMed]
- Shetty, R.; Pibarot, P.; Audet, A.; Janvier, R.; Dagenais, F.; Perron, J.; Couture, C.; Voisine, P.; Després, J.; Mathieu, P. Lipid-mediated inflammation and degeneration of bioprosthetic heart valves. Eur. J. Clin. Investig. 2009, 39, 471–480. [Google Scholar] [CrossRef]
- Farina, J.M.; Chao, C.J.; Pereyra, M.; Roarke, M.; Said, E.F.; Barry, T.; Alsidawi, S.; Sell-Dottin, K.; Sweeney, J.P.; Fortuin, D.F.; et al. Role of lipoprotein(a) concentrations in bioprosthetic aortic valve degeneration. Heart 2024, 110, 299–305. [Google Scholar] [CrossRef] [PubMed]
- Sénage, T.; Le Tourneau, T.; Foucher, Y.; Pattier, S.; Cueff, C.; Michel, M.; Serfaty, J.-M.; Mugniot, A.; Périgaud, C.; Carton, H.F.; et al. Early Structural Valve Deterioration of Mitroflow Aortic Bioprosthesis. Circulation 2014, 130, 2012–2020. [Google Scholar] [CrossRef] [PubMed]
- Velders, B.J.J.; Vriesendorp, M.D.; Asch, F.M.; Reardon, M.J.; Dagenais, F.; Moront, M.G.; Sabik Iii, J.F.; Groenwold, R.H.H.; Klautz, R.J.M. Current definitions of hemodynamic structural valve deterioration after bioprosthetic aortic valve replacement lack consistency. JTCVS Open 2024, 19, 68–90. [Google Scholar] [CrossRef] [PubMed]
- Nishimura, R.A.; Otto, C.M.; Bonow, R.O.; Carabello, B.A.; Erwin, J.P.; Guyton, R.A.; O’Gara, P.T.; Ruiz, C.E.; Skubas, N.J.; Sorajja, P.; et al. 2014 AHA/ACC Guideline for the Management of Patients With Valvular Heart Disease: A Report of the American College of Cardiology/American Heart Association Task Force on Practice Guidelines. J. Am. Coll. Cardiol. 2014, 63, e57–e185. [Google Scholar] [CrossRef]
- Lancellotti, P.; Pibarot, P.; Chambers, J.; Edvardsen, T.; Delgado, V.; Dulgheru, R.; Pepi, M.; Cosyns, B.; Dweck, M.R.; Garbi, M.; et al. Recommendations for the imaging assessment of prosthetic heart valves: A report from the European Association of Cardiovascular Imaging endorsed by the Chinese Society of Echocardiography, the Inter-American Society of Echocardiography, and the Brazilian Department of Cardiovascular Imaging. Eur. Heart J. Cardiovasc. Imaging 2016, 17, 589–590. [Google Scholar] [CrossRef] [PubMed]
- Otto, C.M.; Nishimura, R.A.; Bonow, R.O.; Carabello, B.A.; Erwin, J.P.; Gentile, F.; Jneid, H.; Krieger, E.V.; Mack, M.; McLeod, C.; et al. 2020 ACC/AHA Guideline for the Management of Patients With Valvular Heart Disease: A Report of the American College of Cardiology/American Heart Association Joint Committee on Clinical Practice Guidelines. Circulation 2021, 143, e72–e227. [Google Scholar] [CrossRef]
- Mirsadraee, S.; Sellers, S.; Duncan, A.; Hamadanchi, A.; Gorog, D.A. Bioprosthetic valve thrombosis and degeneration following transcatheter aortic valve implantation (TAVI). Clin. Radiol. 2021, 76, 73.e39–73.e47. [Google Scholar] [CrossRef]
- Andrews, J.P.M.; Cartlidge, T.R.; Dweck, M.R.; Moss, A.J. Cardiac CT in prosthetic aortic valve complications. Br. J. Radiol. 2019, 92, 20180237. [Google Scholar] [CrossRef] [PubMed]
- Sellers, S.L.; Blanke, P.; Leipsic, J.A. Bioprosthetic Heart Valve Degeneration and Dysfunction: Focus on Mechanisms and Multidisciplinary Imaging Considerations. Radiol. Cardiothorac. Imaging 2019, 1, e190004. [Google Scholar] [CrossRef] [PubMed]
- Shellock, F.G. Prosthetic heart valves and annuloplasty rings: Assessment of magnetic field interactions, heating, and artifacts at 1.5 Tesla. J. Cardiovasc. Magn. Reson. 2001, 3, 317–324. [Google Scholar] [CrossRef] [PubMed]
- Saeedi, M.; Thomas, A.; Shellock, F.G. Evaluation of MRI issues at 3-Tesla for a transcatheter aortic valve replacement (TAVR) bioprosthesis. Magn. Reson. Imaging 2015, 33, 497–501. [Google Scholar] [CrossRef] [PubMed]
- Shellock, F.G. Biomedical implants and devices: Assessment of magnetic field interactions with a 3.0-Tesla MR system. J. Magn. Reson. Imaging 2002, 16, 721–732. [Google Scholar] [CrossRef]
- Maragiannis, D.; Jackson, M.S.; Flores-Arredondo, J.H.; Autry, K.; Schutt, R.C.; Alvarez, P.A.; Zoghbi, W.A.; Shah, D.J.; Little, S.H. Functional Assessment of Bioprosthetic Aortic Valves by CMR. JACC Cardiovasc. Imaging 2016, 9, 785–793. [Google Scholar] [CrossRef]
- Kadri, A.N.; Hanzel, G.; Elmariah, S.; Shannon, F.; Al-Azizi, K.; Boura, J.; Mack, M.; Abbas, A.E. Invasive versus echocardiographic gradients in degenerated surgical aortic valve prostheses: A multicenter study. JTCVS Open 2021, 7, 51–60. [Google Scholar] [CrossRef] [PubMed]
- Cribier, A.; Eltchaninoff, H.; Bash, A.; Borenstein, N.; Tron, C.; Bauer, F.; Derumeaux, G.; Anselme, F.; Laborde, F.; Leon, M.B. Percutaneous transcatheter implantation of an aortic valve prosthesis for calcific aortic stenosis: First human case description. Circulation 2002, 106, 3006–3008. [Google Scholar] [CrossRef] [PubMed]
- Desai, P.V.; Goel, S.S.; Kleiman, N.S.; Reardon, M.J. Transcatheter Aortic Valve Implantation: Long-Term Outcomes and Durability. Methodist. Debakey Cardiovasc. J. 2023, 19, 15–25. [Google Scholar] [CrossRef] [PubMed]
- Saad, M.; Seoudy, H.; Frank, D. Challenging Anatomies for TAVR-Bicuspid and Beyond. Front. Cardiovasc. Med. 2021, 8, 654554. [Google Scholar] [CrossRef] [PubMed]
- Pibarot, P.; Ternacle, J.; Jaber, W.A.; Salaun, E.; Dahou, A.; Asch, F.M.; Weissman, N.J.; Rodriguez, L.; Xu, K.; Annabi, M.S.; et al. Structural Deterioration of Transcatheter Versus Surgical Aortic Valve Bioprostheses in the PARTNER-2 Trial. J. Am. Coll. Cardiol. 2020, 76, 1830–1843. [Google Scholar] [CrossRef] [PubMed]
- Dweck, M.R.; Jones, C.; Joshi, N.V.; Fletcher, A.M.; Richardson, H.; White, A.; Marsden, M.; Pessotto, R.; Clark, J.C.; Wallace, W.A.; et al. Assessment of valvular calcification and inflammation by positron emission tomography in patients with aortic stenosis. Circulation 2012, 125, 76–86. [Google Scholar] [CrossRef] [PubMed]
- Dweck, M.R.; Jenkins, W.S.; Vesey, A.T.; Pringle, M.A.; Chin, C.W.; Malley, T.S.; Cowie, W.J.; Tsampasian, V.; Richardson, H.; Fletcher, A.; et al. 18F-sodium fluoride uptake is a marker of active calcification and disease progression in patients with aortic stenosis. Circ. Cardiovasc. Imaging 2014, 7, 371–378. [Google Scholar] [CrossRef] [PubMed]
- Kwiecinski, J.; Tzolos, E.; Cartlidge, T.R.G.; Fletcher, A.; Doris, M.K.; Bing, R.; Tarkin, J.M.; Seidman, M.A.; Gulsin, G.S.; Cruden, N.L.; et al. Native Aortic Valve Disease Progression and Bioprosthetic Valve Degeneration in Patients With Transcatheter Aortic Valve Implantation. Circulation 2021, 144, 1396–1408. [Google Scholar] [CrossRef] [PubMed]
- Thyregod, H.G.H.; Jørgensen, T.H.; Ihlemann, N.; Steinbrüchel, D.A.; Nissen, H.; Kjeldsen, B.J.; Petursson, P.; De Backer, O.; Olsen, P.S.; Søndergaard, L. Transcatheter or surgical aortic valve implantation: 10-year outcomes of the NOTION trial. Eur. Heart J. 2024, 45, 1116–1124. [Google Scholar] [CrossRef] [PubMed]
- Schmoker, J. Bioprosthetic valve durability: The proof is in the pudding. J. Thorac. Cardiovasc. Surg. 2015, 149, 346–347. [Google Scholar] [CrossRef] [PubMed][Green Version]
- Yousef, S.; Serna-Gallegos, D.; Iyanna, N.; Kliner, D.; Brown, J.A.; Toma, C.; Makani, A.; West, D.; Wang, Y.; Thoma, F.W.; et al. Valve-in-valve transcatheter aortic valve replacement versus isolated redo surgical aortic valve replacement. J. Thorac. Cardiovasc. Surg. 2023, 10, 833. [Google Scholar] [CrossRef] [PubMed]
- Cizmic, A.; Kuhn, E.; Eghbalzadeh, K.; Weber, C.; Rahmanian, P.B.; Adam, M.; Mauri, V.; Rudolph, T.; Baldus, S.; Wahlers, T. Valve-in-Valve TAVR versus Redo Surgical Aortic Valve Replacement: Early Outcomes. Thorac. Cardiovasc. Surg. 2023, 71, 94–100. [Google Scholar] [CrossRef]
- Gatta, F.; Haqzad, Y.; Gradinariu, G.; Malvindi, P.G.; Khalid, Z.; Suelo-Calanao, R.L.; Moawad, N.; Bashir, A.; Rogers, L.J.; Lloyd, C.; et al. Redo aortic valve replacement versus valve-in-valve trans-catheter aortic valve implantation: A UK propensity-matched analysis. Monaldi Arch. Chest Dis. 2023, 94. [Google Scholar] [CrossRef]
- Erlebach, M.; Wottke, M.; Deutsch, M.A.; Krane, M.; Piazza, N.; Lange, R.; Bleiziffer, S. Redo aortic valve surgery versus transcatheter valve-in-valve implantation for failing surgical bioprosthetic valves: Consecutive patients in a single-center setting. J. Thorac. Dis. 2015, 7, 1494–1500. [Google Scholar] [CrossRef]
- Giordano, V.; Kar, A.; Flapan, A.; Uren, N.; Prasad, S.; Pessotto, R. Alternative treatment option for high risk surgical candidates after previous cardiac surgery: The Scottish National TAVI Programme experience. J. Cardiothorac. Surg. 2015, 10, A236. [Google Scholar] [CrossRef]
- Papadopoulos, N.; Schiller, N.; Fichtlscherer, S.; Lehmann, R.; Weber, C.F.; Moritz, A.; Doss, M.; Zierer, A. Propensity matched analysis of longterm outcomes following transcatheter based aortic valve implantation versus classic aortic valve replacement in patients with previous cardiac surgery. J. Cardiothorac. Surg. 2014, 9, 99. [Google Scholar] [CrossRef] [PubMed]
- Malik, A.H.; Yandrapalli, S.; Zaid, S.; Shetty, S.S.; Aronow, W.S.; Ahmad, H.; Tang, G.H.L. Valve-in-Valve Transcatheter Implantation Versus Redo Surgical Aortic Valve Replacement. Am. J. Cardiol. 2020, 125, 1378–1384. [Google Scholar] [CrossRef] [PubMed]
- Takagi, H.; Mitta, S.; Ando, T. Meta-analysis of Valve-in-Valve Transcatheter versus Redo Surgical Aortic Valve Replacement. Thorac. Cardiovasc. Surg. 2019, 67, 243–250. [Google Scholar] [CrossRef] [PubMed]
- Sa, M.; Van den Eynde, J.; Simonato, M.; Cavalcanti, L.R.P.; Doulamis, I.P.; Weixler, V.; Kampaktsis, P.N.; Gallo, M.; Laforgia, P.L.; Zhigalov, K.; et al. Valve-in-Valve Transcatheter Aortic Valve Replacement Versus Redo Surgical Aortic Valve Replacement: An Updated Meta-Analysis. JACC Cardiovasc. Interv. 2021, 14, 211–220. [Google Scholar] [CrossRef] [PubMed]
- Ahmed, A.; Levy, K.H. Valve-in-valve transcatheter aortic valve replacement versus redo surgical aortic valve replacement: A systematic review and meta-analysis. J. Card. Surg. 2021, 36, 2486–2495. [Google Scholar] [CrossRef] [PubMed]
- Sa, M.P.; Van den Eynde, J.; Simonato, M.; Hirji, S.; Erten, O.; Jacquemyn, X.; Tasoudis, P.; Dokollari, A.; Sicouri, S.; Weymann, A.; et al. Late outcomes of valve-in-valve transcatheter aortic valve implantation versus re-replacement: Meta-analysis of reconstructed time-to-event data. Int. J. Cardiol. 2023, 370, 112–121. [Google Scholar] [CrossRef]
- Heng, E.E.; Krishnan, A.; Kim, J.L.; Garrison, A.C.; Alnasir, D.; Shudo, Y.; Boyd, J.H.; Lee, A.M.; Hiesinger, W.; Woo, Y.J.; et al. Surgical explantation of transcatheter heart valves: A single institution experience. JTCVS Struct. Endovasc. 2024, 3, 100027. [Google Scholar] [CrossRef]



Disclaimer/Publisher’s Note: The statements, opinions and data contained in all publications are solely those of the individual author(s) and contributor(s) and not of MDPI and/or the editor(s). MDPI and/or the editor(s) disclaim responsibility for any injury to people or property resulting from any ideas, methods, instructions or products referred to in the content. |
© 2024 by the authors. Licensee MDPI, Basel, Switzerland. This article is an open access article distributed under the terms and conditions of the Creative Commons Attribution (CC BY) license (https://creativecommons.org/licenses/by/4.0/).
Share and Cite
Bismee, N.N.; Javadi, N.; Khedr, A.; Omar, F.; Awad, K.; Abbas, M.T.; Scalia, I.G.; Pereyra, M.; Bcharah, G.; Farina, J.M.; et al. Bioprosthetic Aortic Valve Degeneration After TAVR and SAVR: Incidence, Diagnosis, Predictors, and Management. J. Cardiovasc. Dev. Dis. 2024, 11, 384. https://doi.org/10.3390/jcdd11120384
Bismee NN, Javadi N, Khedr A, Omar F, Awad K, Abbas MT, Scalia IG, Pereyra M, Bcharah G, Farina JM, et al. Bioprosthetic Aortic Valve Degeneration After TAVR and SAVR: Incidence, Diagnosis, Predictors, and Management. Journal of Cardiovascular Development and Disease. 2024; 11(12):384. https://doi.org/10.3390/jcdd11120384
Chicago/Turabian StyleBismee, Nadera N., Niloofar Javadi, Ahmed Khedr, Fatma Omar, Kamal Awad, Mohammed Tiseer Abbas, Isabel G. Scalia, Milagros Pereyra, George Bcharah, Juan M. Farina, and et al. 2024. "Bioprosthetic Aortic Valve Degeneration After TAVR and SAVR: Incidence, Diagnosis, Predictors, and Management" Journal of Cardiovascular Development and Disease 11, no. 12: 384. https://doi.org/10.3390/jcdd11120384
APA StyleBismee, N. N., Javadi, N., Khedr, A., Omar, F., Awad, K., Abbas, M. T., Scalia, I. G., Pereyra, M., Bcharah, G., Farina, J. M., Ayoub, C., Sell-Dottin, K. A., & Arsanjani, R. (2024). Bioprosthetic Aortic Valve Degeneration After TAVR and SAVR: Incidence, Diagnosis, Predictors, and Management. Journal of Cardiovascular Development and Disease, 11(12), 384. https://doi.org/10.3390/jcdd11120384

