Epicardial Fat Volume Assessed by MRI in Adolescents: Associations with Obesity and Cardiovascular Risk Factors
Abstract
1. Introduction
2. Methods
2.1. Study Design and Subjects
2.2. Procedures
2.2.1. Anthropometric Measurements
2.2.2. Blood Pressure Measurements
2.2.3. Analytical Procedures
2.2.4. Body Composition Assessment
2.2.5. Magnetic Resonance Data Acquisition
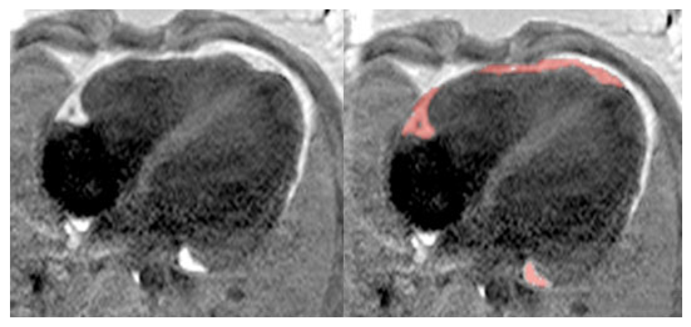
2.2.6. Magnetic Resonance Data Analysis
2.3. Statistical Analysis
3. Results
4. Discussion
4.1. Increased EAT Volume in Obese Adolescents
4.2. EAT Correlates with Central Adiposity Parameters
4.3. EAT Correlates with Cardiovascular Risk Factors
4.4. Study Strength and Limitations
5. Conclusions
5.1. Perspectives
5.1.1. Competency in Medical Knowledge
5.1.2. Translational Outlook
Supplementary Materials
Author Contributions
Funding
Institutional Review Board Statement
Informed Consent Statement
Data Availability Statement
Acknowledgments
Conflicts of Interest
Abbreviations
| BMI | body mass index |
| BP | blood pressure |
| DXA | dual-energy X-ray absorptiometry |
| EAT | epicardial adipose tissue |
| HDL-C | high-density lipoprotein cholesterol |
| HOMA-IR | homeostatic model assessment for insulin resistance |
| MRI | magnetic resonance imaging |
| MS | metabolic syndrome |
| PSIR | phase-sensitive inversion recovery |
| VAAT | visceral abdominal adipose tissue |
References
- Freedman, D.S.; Dietz, W.H.; Srinivasan, S.R.; Berenson, G.S. The relation of overweight to cardiovascular risk factors among children and adolescents: The Bogalusa Heart Study. Pediatrics 1999, 103 Pt 1, 1175–1182. [Google Scholar] [CrossRef]
- Maggio, A.B.; Martin, X.E.; Saunders Gasser, C.; Gal-Duding, C.; Beghetti, M.; Farpour-Lambert, N.J.; Chamay-Weber, C. Medical and non-medical complications among children and adolescents with excessive body weight. BMC Pediatr. 2014, 14, 232. [Google Scholar] [CrossRef] [PubMed]
- Hampl, S.E.; Hassink, S.G.; Skinner, A.C.; Armstrong, S.C.; Barlow, S.E.; Bolling, C.F.; Avila Edwards, K.C.; Eneli, I.; Hamre, R.; Joseph, M.M.; et al. Clinical Practice Guideline for the Evaluation and Treatment of Children and Adolescents With Obesity. Pediatrics 2023, 151, e2022060640. [Google Scholar] [CrossRef] [PubMed]
- Kelly, A.S.; Barlow, S.E.; Rao, G.; Inge, T.H.; Hayman, L.L.; Steinberger, J.; Urbina, E.M.; Ewing, L.J.; Daniels, S.R.; American Heart Association Atherosclerosis, Hypertension; et al. Severe obesity in children and adolescents: Identification, associated health risks, and treatment approaches: A scientific statement from the American Heart Association. Circulation 2013, 128, 1689–1712. [Google Scholar] [CrossRef]
- Perone, F.; Spadafora, L.; Pratesi, A.; Nicolaio, G.; Pala, B.; Franco, G.; Ruzzolini, M.; Ambrosetti, M. Obesity and cardiovascular disease: Risk assessment, physical activity, and management of complications. Int. J. Cardiol. Cardiovasc. Risk Prev. 2024, 23, 200331. [Google Scholar] [CrossRef] [PubMed]
- Yusuf, S.; Hawken, S.; Ounpuu, S.; Bautista, L.; Franzosi, M.G.; Commerford, P.; Lang, C.C.; Rumboldt, Z.; Onen, C.L.; Lisheng, L.; et al. Obesity and the risk of myocardial infarction in 27,000 participants from 52 countries: A case-control study. Lancet 2005, 366, 1640–1649. [Google Scholar] [CrossRef] [PubMed]
- Rexrode, K.M.; Carey, V.J.; Hennekens, C.H.; Walters, E.E.; Colditz, G.A.; Stampfer, M.J.; Willett, W.C.; Manson, J.E. Abdominal adiposity and coronary heart disease in women. JAMA 1998, 280, 1843–1848. [Google Scholar] [CrossRef]
- Carr, D.B.; Utzschneider, K.M.; Hull, R.L.; Kodama, K.; Retzlaff, B.M.; Brunzell, J.D.; Shofer, J.B.; Fish, B.E.; Knopp, R.H.; Kahn, S.E. Intra-abdominal fat is a major determinant of the National Cholesterol Education Program Adult Treatment Panel III criteria for the metabolic syndrome. Diabetes 2004, 53, 2087–2094. [Google Scholar] [CrossRef]
- Owens, S.; Gutin, B.; Ferguson, M.; Allison, J.; Karp, W.; Le, N.A. Visceral adipose tissue and cardiovascular risk factors in obese children. J. Pediatr. 1998, 133, 41–45. [Google Scholar] [CrossRef] [PubMed]
- Iacobellis, G.; Ribaudo, M.C.; Assael, F.; Vecci, E.; Tiberti, C.; Zappaterreno, A.; Di Mario, U.; Leonetti, F. Echocardiographic epicardial adipose tissue is related to anthropometric and clinical parameters of metabolic syndrome: A new indicator of cardiovascular risk. J. Clin. Endocrinol. Metab. 2003, 88, 5163–5168. [Google Scholar] [CrossRef]
- Hartiala, O.; Magnussen, C.G.; Bucci, M.; Kajander, S.; Knuuti, J.; Ukkonen, H.; Saraste, A.; Rinta-Kiikka, I.; Kainulainen, S.; Kahonen, M.; et al. Coronary heart disease risk factors, coronary artery calcification and epicardial fat volume in the Young Finns Study. Eur. Heart J. Cardiovasc. Imaging 2015, 16, 1256–1263. [Google Scholar] [CrossRef] [PubMed]
- Spearman, J.V.; Renker, M.; Schoepf, U.J.; Krazinski, A.W.; Herbert, T.L.; De Cecco, C.N.; Nietert, P.J.; Meinel, F.G. Prognostic value of epicardial fat volume measurements by computed tomography: A systematic review of the literature. Eur. Radiol. 2015, 25, 3372–3381. [Google Scholar] [CrossRef]
- Iacobellis, G. Local and systemic effects of the multifaceted epicardial adipose tissue depot. Nat. Rev. Endocrinol. 2015, 11, 363–371. [Google Scholar] [CrossRef]
- Maggio, A.B.; Mueller, P.; Wacker, J.; Viallon, M.; Belli, D.C.; Beghetti, M.; Farpour-Lambert, N.J.; McLin, V.A. Increased pancreatic fat fraction is present in obese adolescents with metabolic syndrome. J. Pediatr. Gastroenterol. Nutr. 2012, 54, 720–726. [Google Scholar] [CrossRef] [PubMed]
- Neeland, I.J.; Ross, R.; Despres, J.P.; Matsuzawa, Y.; Yamashita, S.; Shai, I.; Seidell, J.; Magni, P.; Santos, R.D.; Arsenault, B.; et al. Visceral and ectopic fat, atherosclerosis, and cardiometabolic disease: A position statement. Lancet Diabetes Endocrinol. 2019, 7, 715–725. [Google Scholar] [CrossRef] [PubMed]
- Mazurek, T.; Zhang, L.; Zalewski, A.; Mannion, J.D.; Diehl, J.T.; Arafat, H.; Sarov-Blat, L.; O’Brien, S.; Keiper, E.A.; Johnson, A.G.; et al. Human epicardial adipose tissue is a source of inflammatory mediators. Circulation 2003, 108, 2460–2466. [Google Scholar] [CrossRef]
- Malavazos, A.E.; Ermetici, F.; Coman, C.; Corsi, M.M.; Morricone, L.; Ambrosi, B. Influence of epicardial adipose tissue and adipocytokine levels on cardiac abnormalities in visceral obesity. Int. J. Cardiol. 2007, 121, 132–134. [Google Scholar] [CrossRef] [PubMed]
- Aldiss, P.; Davies, G.; Woods, R.; Budge, H.; Sacks, H.S.; Symonds, M.E. ‘Browning’ the cardiac and peri-vascular adipose tissues to modulate cardiovascular risk. Int. J. Cardiol. 2016, 228, 265–274. [Google Scholar] [CrossRef]
- Iacobellis, G.; Assael, F.; Ribaudo, M.C.; Zappaterreno, A.; Alessi, G.; Di Mario, U.; Leonetti, F. Epicardial fat from echocardiography: A new method for visceral adipose tissue prediction. Obes. Res. 2003, 11, 304–310. [Google Scholar] [CrossRef]
- Homsi, R.; Kuetting, D.; Sprinkart, A.; Steinfeld, N.; Meier-Schroers, M.; Luetkens, J.; Nadal, J.; Dabir, D.; Fischer, S.; Gieseke, J.; et al. Interrelations of Epicardial Fat Volume, Left Ventricular T1-Relaxation Times and Myocardial Strain in Hypertensive Patients: A Cardiac Magnetic Resonance Study. J. Thorac. Imaging 2017, 32, 169–175. [Google Scholar] [CrossRef]
- Nakanishi, K.; Fukuda, S.; Tanaka, A.; Otsuka, K.; Taguchi, H.; Shimada, K. Relationships Between Periventricular Epicardial Adipose Tissue Accumulation, Coronary Microcirculation, and Left Ventricular Diastolic Dysfunction. Can. J. Cardiol. 2017, 33, 1489–1497. [Google Scholar] [CrossRef] [PubMed]
- Mahabadi, A.A.; Massaro, J.M.; Rosito, G.A.; Levy, D.; Murabito, J.M.; Wolf, P.A.; O’Donnell, C.J.; Fox, C.S.; Hoffmann, U. Association of pericardial fat, intrathoracic fat, and visceral abdominal fat with cardiovascular disease burden: The Framingham Heart Study. Eur. Heart J. 2009, 30, 850–856. [Google Scholar] [CrossRef] [PubMed]
- Mahabadi, A.A.; Lehmann, N.; Kalsch, H.; Robens, T.; Bauer, M.; Dykun, I.; Budde, T.; Moebus, S.; Jockel, K.H.; Erbel, R.; et al. Association of epicardial adipose tissue with progression of coronary artery calcification is more pronounced in the early phase of atherosclerosis: Results from the Heinz Nixdorf recall study. JACC Cardiovasc. Imaging 2014, 7, 909–916. [Google Scholar] [CrossRef] [PubMed]
- Iacobellis, G.; Pellicelli, A.M.; Sharma, A.M.; Grisorio, B.; Barbarini, G.; Barbaro, G. Relation of subepicardial adipose tissue to carotid intima-media thickness in patients with human immunodeficiency virus. Am. J. Cardiol. 2007, 99, 1470–1472. [Google Scholar] [CrossRef]
- Mazur, A.; Ostanski, M.; Telega, G.; Malecka-Tendera, E. Is epicardial fat tissue a marker of metabolic syndrome in obese children? Atherosclerosis 2010, 211, 596–600. [Google Scholar] [CrossRef]
- Abaci, A.; Tascilar, M.E.; Saritas, T.; Yozgat, Y.; Yesilkaya, E.; Kilic, A.; Okutan, V.; Lenk, M.K. Threshold value of subepicardial adipose tissue to detect insulin resistance in obese children. Int. J. Obes. 2009, 33, 440–446. [Google Scholar] [CrossRef]
- Cabrera-Rego, J.O.; Iacobellis, G.; Castillo-Herrera, J.A.; Valiente-Mustelier, J.; Gandarilla-Sarmientos, J.C.; Marin-Julia, S.M.; Navarrete-Cabrera, J. Epicardial fat thickness correlates with carotid intima-media thickness, arterial stiffness, and cardiac geometry in children and adolescents. Pediatr. Cardiol. 2014, 35, 450–456. [Google Scholar] [CrossRef]
- Akyol, B.; Boyraz, M.; Aysoy, C. Relationship of epicardial adipose tissue thickness with early indicators of atherosclerosis and cardiac functional changes in obese adolescents with metabolic syndrome. J. Clin. Res. Pediatr. Endocrinol. 2013, 5, 156–163. [Google Scholar] [CrossRef] [PubMed]
- Manco, M.; Morandi, A.; Marigliano, M.; Rigotti, F.; Manfredi, R.; Maffeis, C. Epicardial fat, abdominal adiposity and insulin resistance in obese pre-pubertal and early pubertal children. Atherosclerosis 2013, 226, 490–495. [Google Scholar] [CrossRef]
- Barbaro, G.; Piedimonte, A.; Podagrosi, M.; Mercurio, R.; Mosca, A.; D’Avanzo, M.; Vania, A. Epicardial adipose tissue and signs of metabolic syndrome in children. Eat. Weight. Disord. 2016, 21, 269–276. [Google Scholar] [CrossRef]
- Alp, H.; Eklioglu, B.S.; Atabek, M.E.; Karaarslan, S.; Baysal, T.; Altin, H.; Karatas, Z.; Sap, F. Evaluation of epicardial adipose tissue, carotid intima-media thickness and ventricular functions in obese children and adolescents. J. Pediatr. Endocrinol. Metab. 2014, 27, 827–835. [Google Scholar] [CrossRef] [PubMed]
- Schusterova, I.; Leenen, F.H.; Jurko, A.; Sabol, F.; Takacova, J. Epicardial adipose tissue and cardiometabolic risk factors in overweight and obese children and adolescents. Pediatr. Obes. 2014, 9, 63–70. [Google Scholar] [CrossRef] [PubMed]
- Fluchter, S.; Haghi, D.; Dinter, D.; Heberlein, W.; Kuhl, H.P.; Neff, W.; Sueselbeck, T.; Borggrefe, M.; Papavassiliu, T. Volumetric assessment of epicardial adipose tissue with cardiovascular magnetic resonance imaging. Obesity 2007, 15, 870–878. [Google Scholar] [CrossRef] [PubMed]
- Nerlekar, N.; Baey, Y.W.; Brown, A.J.; Muthalaly, R.G.; Dey, D.; Tamarappoo, B.; Cameron, J.D.; Marwick, T.H.; Wong, D.T. Poor Correlation, Reproducibility, and Agreement Between Volumetric Versus Linear Epicardial Adipose Tissue Measurement: A 3D Computed Tomography Versus 2D Echocardiography Comparison. JACC Cardiovasc. Imaging 2018, 11, 1035–1036. [Google Scholar] [CrossRef]
- de Onis, M.; Onyango, A.W.; Borghi, E.; Siyam, A.; Nishida, C.; Siekmann, J. Development of a WHO growth reference for school-aged children and adolescents. Bull. World Health Organ. 2007, 85, 660–667. [Google Scholar] [CrossRef]
- National High Blood Pressure Education Program Working Group on High Blood Pressure in Children and Adolescents. The fourth report on the diagnosis, evaluation, and treatment of high blood pressure in children and adolescents. Pediatrics 2004, 114 (Suppl. 2), 555–576. [Google Scholar] [CrossRef]
- Jolliffe, C.J.; Janssen, I. Development of age-specific adolescent metabolic syndrome criteria that are linked to the Adult Treatment Panel III and International Diabetes Federation criteria. J. Am. Coll. Cardiol. 2007, 49, 891–898. [Google Scholar] [CrossRef]
- Farpour-Lambert, N.J.; Aggoun, Y.; Marchand, L.M.; Martin, X.E.; Herrmann, F.R.; Beghetti, M. Physical activity reduces systemic blood pressure and improves early markers of atherosclerosis in pre-pubertal obese children. J. Am. Coll. Cardiol. 2009, 54, 2396–2406. [Google Scholar] [CrossRef]
- Setser, R.M.; Chung, Y.C.; Weaver, J.A.; Stillman, A.E.; Simonetti, O.P.; White, R.D. Effect of inversion time on delayed-enhancement magnetic resonance imaging with and without phase-sensitive reconstruction. J. Magn. Reson. Imaging 2005, 21, 650–655. [Google Scholar] [CrossRef]
- Viallon, M.; Jacquier, A.; Rotaru, C.; Delattre, B.M.; Mewton, N.; Vincent, F.; Croisille, P. Head-to-head comparison of eight late gadolinium-enhanced cardiac MR (LGE CMR) sequences at 1.5 tesla: From bench to bedside. J. Magn. Reson. Imaging 2011, 34, 1374–1387. [Google Scholar] [CrossRef]
- Nelson, A.J.; Worthley, M.I.; Psaltis, P.J.; Carbone, A.; Dundon, B.K.; Duncan, R.F.; Piantadosi, C.; Lau, D.H.; Sanders, P.; Wittert, G.A.; et al. Validation of cardiovascular magnetic resonance assessment of pericardial adipose tissue volume. J. Cardiovasc. Magn. Reson. 2009, 11, 15. [Google Scholar] [CrossRef] [PubMed]
- Homsi, R.; Meier-Schroers, M.; Gieseke, J.; Dabir, D.; Luetkens, J.A.; Kuetting, D.L.; Naehle, C.P.; Marx, C.; Schild, H.H.; Thomas, D.K.; et al. 3D-Dixon MRI based volumetry of peri- and epicardial fat. Int. J. Cardiovasc. Imaging 2016, 32, 291–299. [Google Scholar] [CrossRef] [PubMed]
- Eren, E.; Koca, B.; Ture, M.; Guzel, B. Epicardial adiposity in children with obesity and metabolic syndrome. Iran. J. Pediatr. 2014, 24, 411–417. [Google Scholar] [PubMed]
- Reiner, L.; Mazzoleni, A.; Rodriguez, F.L. Statistical analysis of the epicardial fat weight in human hearts. AMA Arch. Pathol. 1955, 60, 369–373. [Google Scholar] [PubMed]
- Corradi, D.; Maestri, R.; Callegari, S.; Pastori, P.; Goldoni, M.; Luong, T.V.; Bordi, C. The ventricular epicardial fat is related to the myocardial mass in normal, ischemic and hypertrophic hearts. Cardiovasc. Pathol. 2004, 13, 313–316. [Google Scholar] [CrossRef] [PubMed]
- Rabkin, S.W. Epicardial fat: Properties, function and relationship to obesity. Obes. Rev. 2007, 8, 253–261. [Google Scholar] [CrossRef] [PubMed]
- Marchington, J.M.; Mattacks, C.A.; Pond, C.M. Adipose tissue in the mammalian heart and pericardium: Structure, foetal development and biochemical properties. Comp. Biochem. Physiol. B 1989, 94, 225–232. [Google Scholar] [CrossRef]
- Sacks, H.S.; Fain, J.N.; Bahouth, S.W.; Ojha, S.; Frontini, A.; Budge, H.; Cinti, S.; Symonds, M.E. Adult epicardial fat exhibits beige features. J. Clin. Endocrinol. Metab. 2013, 98, E1448–E1455. [Google Scholar] [CrossRef]
- Cheung, L.; Gertow, J.; Werngren, O.; Folkersen, L.; Petrovic, N.; Nedergaard, J.; Franco-Cereceda, A.; Eriksson, P.; Fisher, R.M. Human mediastinal adipose tissue displays certain characteristics of brown fat. Nutr. Diabetes 2013, 3, e66. [Google Scholar] [CrossRef]
- Nakamura, K.; Fuster, J.J.; Walsh, K. Adipokines: A link between obesity and cardiovascular disease. J. Cardiol. 2014, 63, 250–259. [Google Scholar] [CrossRef]
- Hyvonen, M.T.; Spalding, K.L. Maintenance of white adipose tissue in man. Int. J. Biochem. Cell Biol. 2014, 56, 123–132. [Google Scholar] [CrossRef] [PubMed]
- Wajchenberg, B.L. Subcutaneous and visceral adipose tissue: Their relation to the metabolic syndrome. Endocr. Rev. 2000, 21, 697–738. [Google Scholar] [CrossRef] [PubMed]
- Iacobellis, G.; Corradi, D.; Sharma, A.M. Epicardial adipose tissue: Anatomic, biomolecular and clinical relationships with the heart. Nat. Clin. Pract. Cardiovasc. Med. 2005, 2, 536–543. [Google Scholar] [CrossRef] [PubMed]
- Packer, M. Epicardial Adipose Tissue May Mediate Deleterious Effects of Obesity and Inflammation on the Myocardium. J. Am. Coll. Cardiol. 2018, 71, 2360–2372. [Google Scholar] [CrossRef] [PubMed]
- Mahabadi, A.A.; Berg, M.H.; Lehmann, N.; Kalsch, H.; Bauer, M.; Kara, K.; Dragano, N.; Moebus, S.; Jockel, K.H.; Erbel, R.; et al. Association of epicardial fat with cardiovascular risk factors and incident myocardial infarction in the general population: The Heinz Nixdorf Recall Study. J. Am. Coll. Cardiol. 2013, 61, 1388–1395. [Google Scholar] [CrossRef]
- Reyes, Y.; Paoli, M.; Camacho, N.; Molina, Y.; Santiago, J.; Lima-Martinez, M.M. Epicardial adipose tissue thickness in children and adolescents with cardiometabolic risk factors. Endocrinol. Nutr. 2016, 63, 70–78. [Google Scholar] [CrossRef]
- Reilly, M.P.; Rader, D.J. The metabolic syndrome: More than the sum of its parts? Circulation 2003, 108, 1546–1551. [Google Scholar] [CrossRef]




| Parameters | Obese Subjects (n = 24) | Lean Subjects (n = 24) | p Value |
|---|---|---|---|
| Female/male, n | 12/12 | 13/11 | 0.773 |
| Age, yrs | 13.9 (1.2) | 13.3 (1.7) | 0.158 |
| Height, cm | 163.3 (7.3) | 161.7 (11.0) | 0.550 |
| Body weight, kg | 81.4 (17.5) | 49.7 (9.5) | <0.0005 |
| BMI, kg·m−2 * | 28.3 (26.6–33.1) | 18.6 (17.6–19.8) | <0.0005 |
| BMI z-score | 2.6 (0.7) | 0.0 (0.7) | <0.0005 |
| Waist circumference, cm | 96.2 (14.1) | 67.6 (4.2) | <0.0005 |
| Office SBP, mmHg | 117.4 (10.6) | 110.1 (9.5) | 0.016 |
| Office DBP, mmHg | 66.7 (7.9) | 66.5 (7.6) | 0.926 |
| Total cholesterol, mmol·L−1 | 4.0 (0.8) | 4.2 (0.8) | 0.491 |
| LDL cholesterol, mmol·L−1 | 2.4 (0.5) | 2.3 (0.7) | 0.682 |
| HDL cholesterol, mmol·L−1 | 1.1 (0.3) | 1.5 (0.2) | <0.0005 |
| Triglycerides, mmol·L−1 | 1.0 (0.7) | 0.7 (0.4) | 0.021 |
| Fasting insulin, mU·L−1 | 13.8 (6.6) | 7.6 (3.9) | <0.0005 |
| HOMA-IR | 2.8 (1.4) | 1.7 (0.9) | 0.001 |
| Parameters | Obese Subjects (n = 24) | Lean Subjects (n = 24) | p Value |
|---|---|---|---|
| EAT volume, cm3 | 49.6 (18.0) | 17.6 (6.7) | <0.0005 |
| EAT/height, cm2 | 0.30 (0.10) | 0.11 (0.04) | <0.0005 |
| VAAT, % (MRI) | 12.8 (4.6) | 4.7 (1.8) | <0.0005 |
| SCAT, % (MRI) | 38.4 (7.9) | 13.8 (4.9) | <0.0005 |
| Whole body fat, % (DXA) | 44.5 (6.9) | 20.6 (7.6) | <0.0005 |
| Total abdominal fat, % (DXA) | 50.4 (7.9) | 20.4 (8.8) | <0.0005 |
| Fat-free mass, kg (DXA) | 43.3 (8.4) | 37.8 (8.0) | 0.025 |
| EAT Volume | ||||
|---|---|---|---|---|
| All Subjects (n = 48) | Obese Subjects (n = 24) | |||
| r | p Value | r | p Value | |
| BMI z-score | 0.790 | <0.0005 | 0.434 | 0.034 |
| Waist circumference | 0.827 | <0.0005 | 0.537 | 0.007 |
| Whole body fat (DXA) | 0.792 | <0.0005 | 0.297 | 0.159 |
| Total abdominal fat (DXA) | 0.836 | <0.0005 | 0.460 | 0.024 |
| VAAT (MRI) | 0.759 | <0.0005 | 0.375 | 0.071 |
| SCAT (MRI) | 0.834 | <0.0005 | 0.431 | 0.035 |
| Office SBP | 0.334 | 0.020 | 0.037 | 0.863 |
| Office DBP | 0.164 | 0.264 | 0.260 | 0.220 |
| Fasting insulin | 0.583 | <0.0005 | 0.295 | 0.162 |
| HOMA-IR | 0.536 | <0.0005 | 0.270 | 0.203 |
| Triglycerides | 0.534 | <0.0005 | 0.485 | 0.016 |
| HDL cholesterol | −0.477 | 0.001 | −0.201 | 0.346 |
Disclaimer/Publisher’s Note: The statements, opinions and data contained in all publications are solely those of the individual author(s) and contributor(s) and not of MDPI and/or the editor(s). MDPI and/or the editor(s) disclaim responsibility for any injury to people or property resulting from any ideas, methods, instructions or products referred to in the content. |
© 2024 by the authors. Licensee MDPI, Basel, Switzerland. This article is an open access article distributed under the terms and conditions of the Creative Commons Attribution (CC BY) license (https://creativecommons.org/licenses/by/4.0/).
Share and Cite
Wacker, J.; Farpour-Lambert, N.J.; Viallon, M.; Didier, D.; Beghetti, M.; Maggio, A.B.R. Epicardial Fat Volume Assessed by MRI in Adolescents: Associations with Obesity and Cardiovascular Risk Factors. J. Cardiovasc. Dev. Dis. 2024, 11, 383. https://doi.org/10.3390/jcdd11120383
Wacker J, Farpour-Lambert NJ, Viallon M, Didier D, Beghetti M, Maggio ABR. Epicardial Fat Volume Assessed by MRI in Adolescents: Associations with Obesity and Cardiovascular Risk Factors. Journal of Cardiovascular Development and Disease. 2024; 11(12):383. https://doi.org/10.3390/jcdd11120383
Chicago/Turabian StyleWacker, Julie, Nathalie J. Farpour-Lambert, Magalie Viallon, Dominique Didier, Maurice Beghetti, and Albane B. R. Maggio. 2024. "Epicardial Fat Volume Assessed by MRI in Adolescents: Associations with Obesity and Cardiovascular Risk Factors" Journal of Cardiovascular Development and Disease 11, no. 12: 383. https://doi.org/10.3390/jcdd11120383
APA StyleWacker, J., Farpour-Lambert, N. J., Viallon, M., Didier, D., Beghetti, M., & Maggio, A. B. R. (2024). Epicardial Fat Volume Assessed by MRI in Adolescents: Associations with Obesity and Cardiovascular Risk Factors. Journal of Cardiovascular Development and Disease, 11(12), 383. https://doi.org/10.3390/jcdd11120383

