Balloon Dilatation in the Management of Congenital Obstructive Lesions of the Heart: Review of Author’s Experiences and Observations—Part I
Abstract
1. Introduction
2. Indications for Balloon Dilatation Procedures
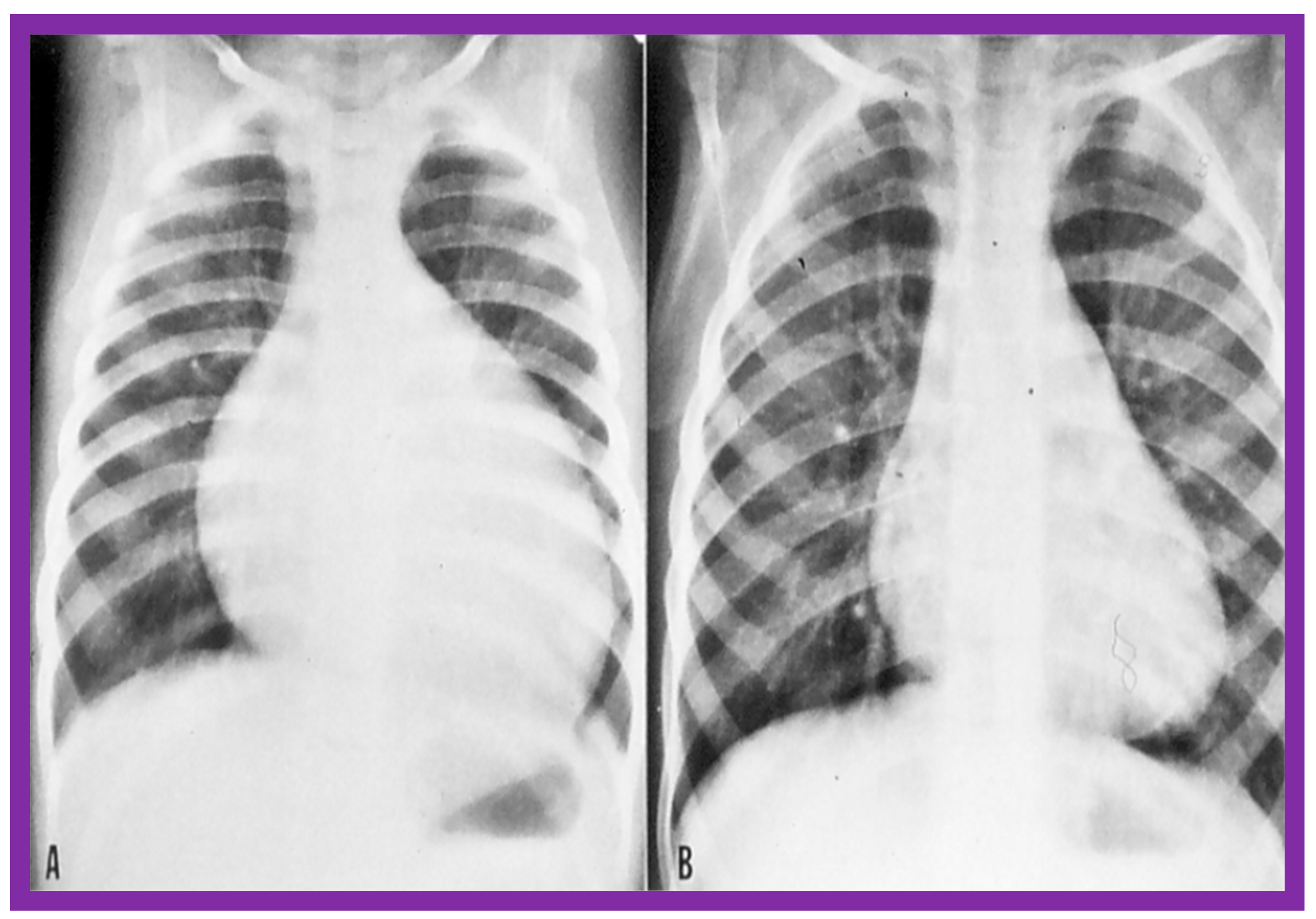
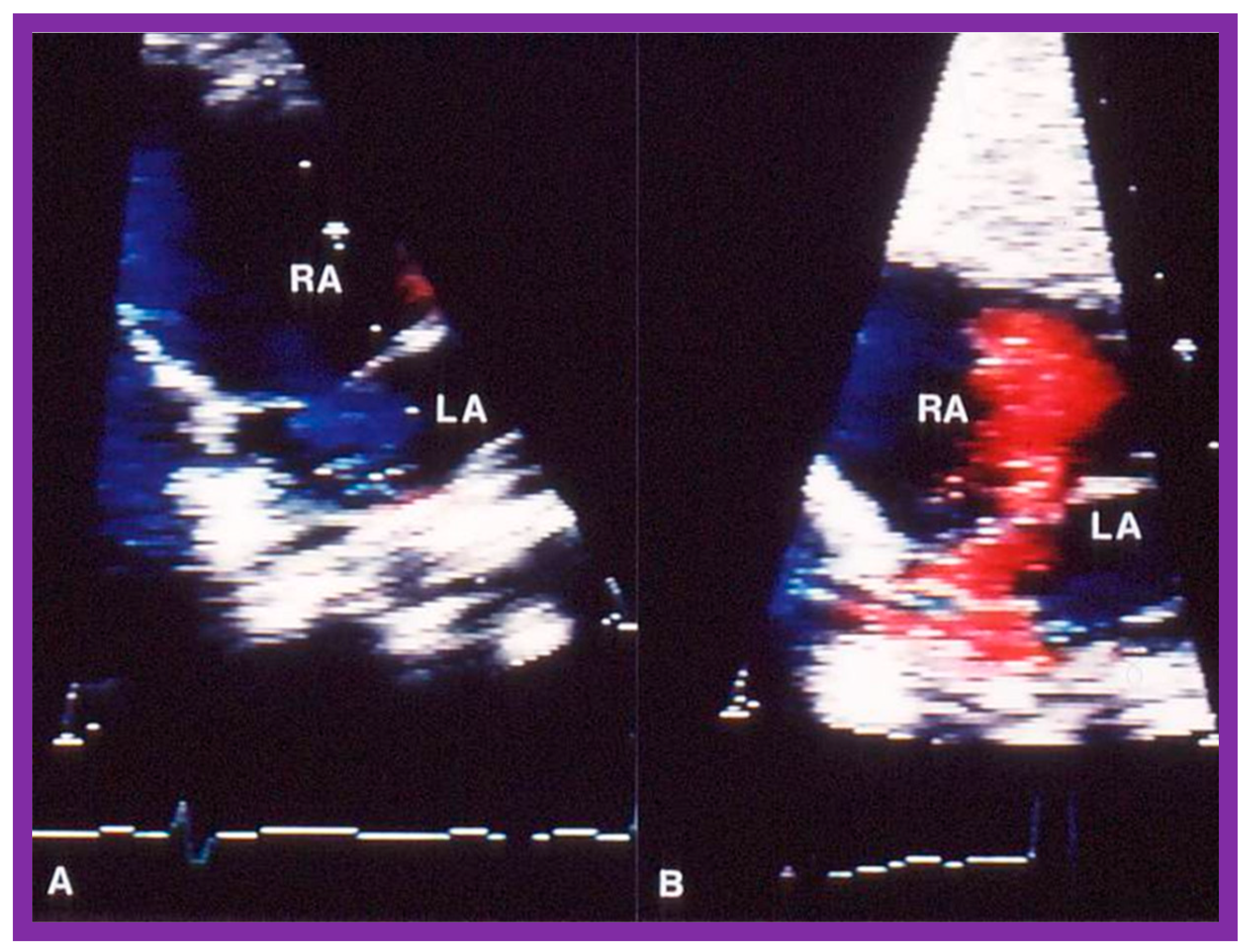
2.1. Pulmonary Stenosis
2.2. Aortic Stenosis
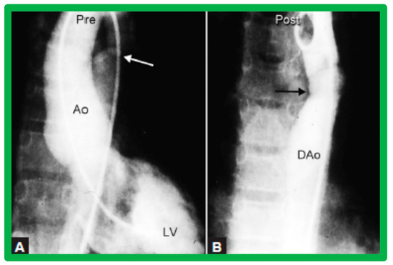
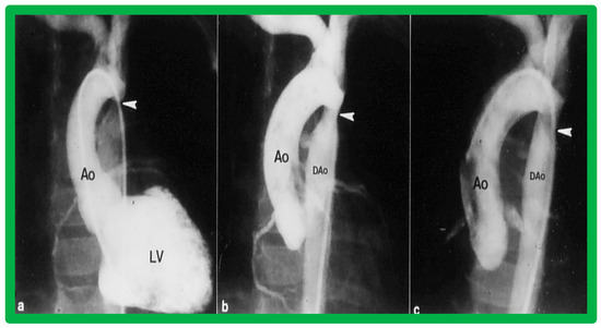
2.3. Aortic Coarctation, Native
2.4. Aortic Coarctation, Postsurgical
3. Techniques of Balloon Dilatation
3.1. Pulmonary Stenosis
Pulmonary Stenosis in the Fetus
3.2. Aortic Stenosis
Aortic Stenosis in the Fetus
3.3. Aortic Coarctation, Native
3.4. Aortic Coarctation, Postsurgical
4. Immediate Results
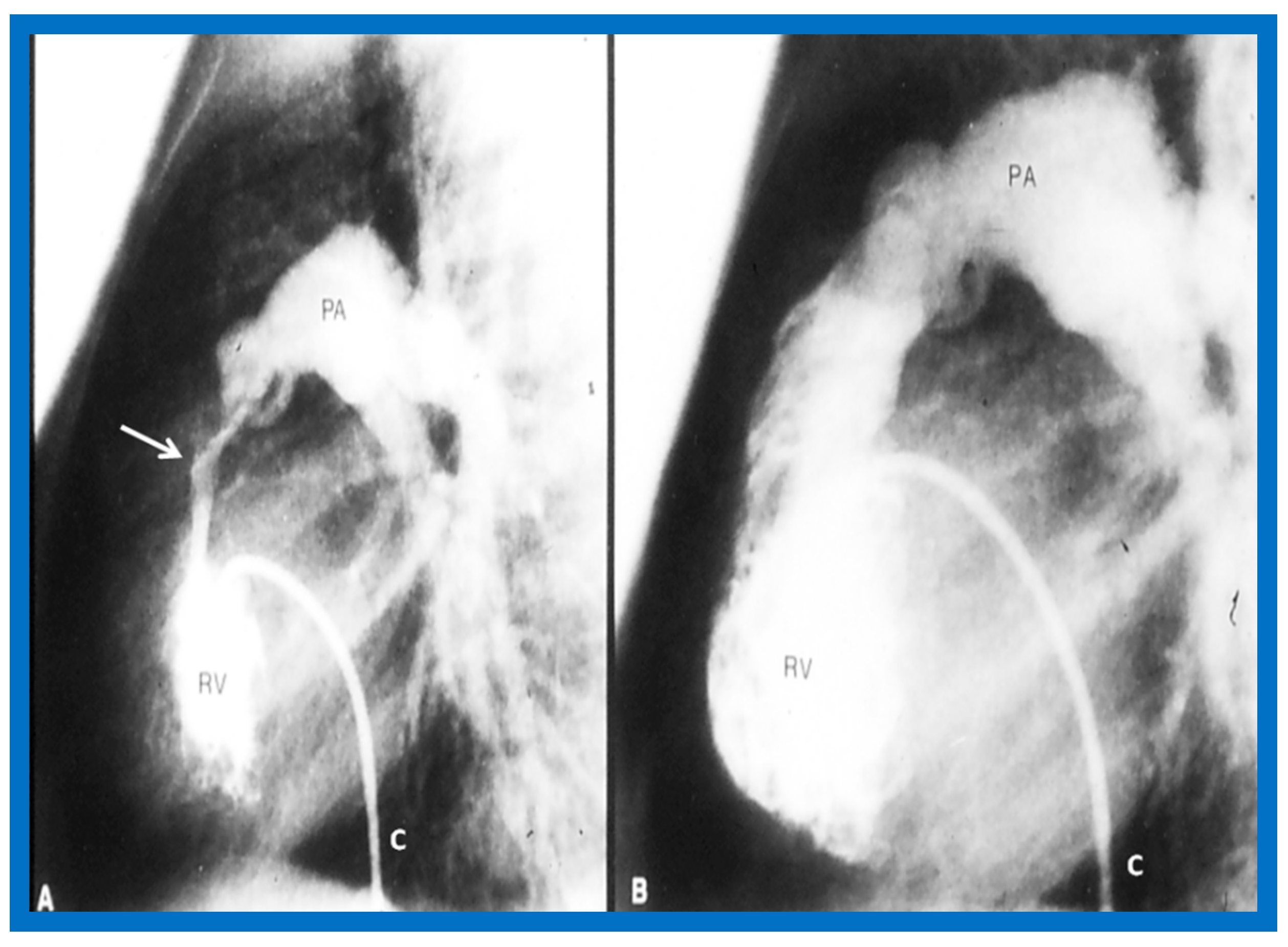
4.1. Pulmonary Stenosis
Pulmonary Stenosis in the Fetus
4.2. Aortic Stenosis
Aortic Stenosis in the Fetus
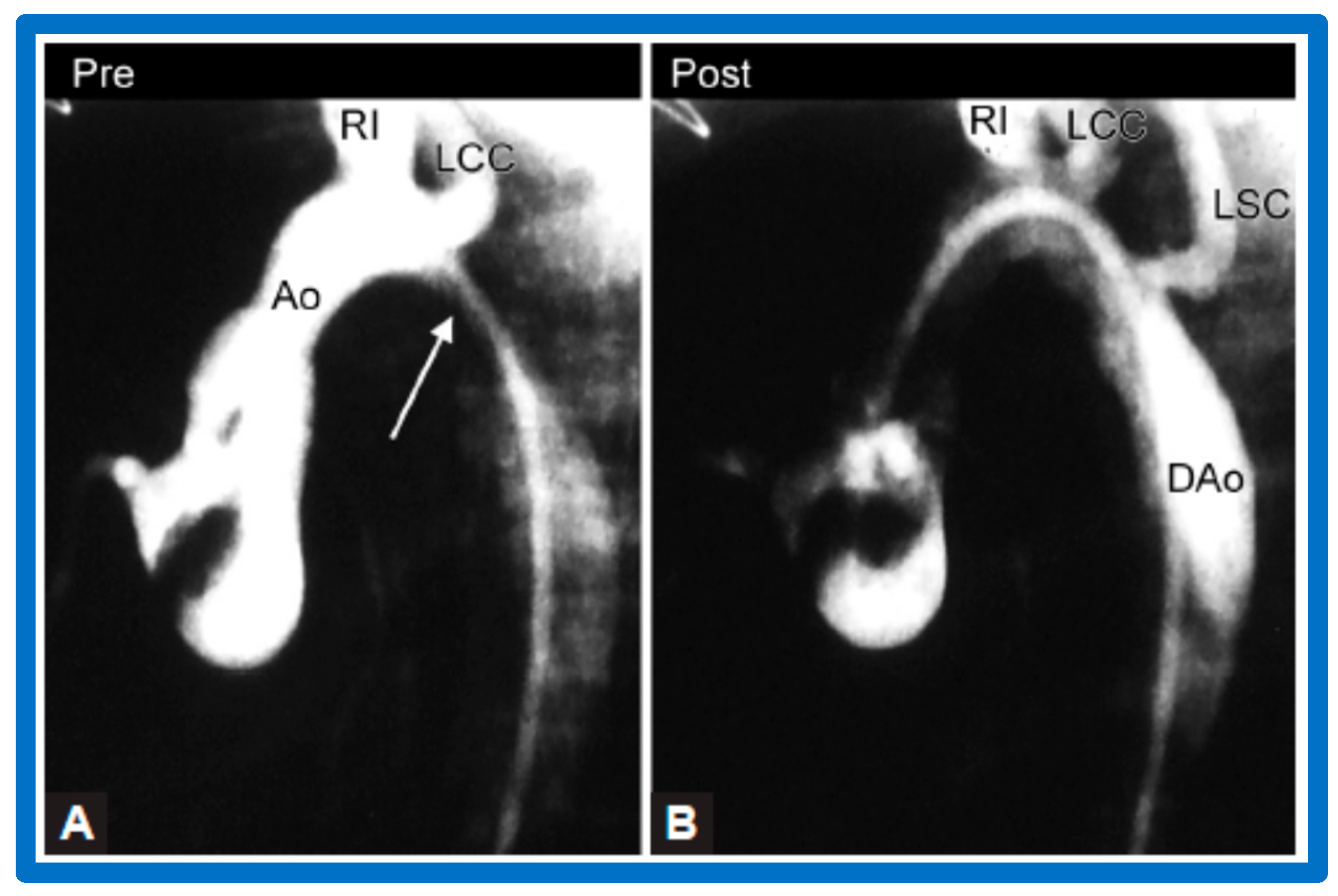
4.3. Aortic Coarctation–Native
Revisit BA in the Neonate and Young Infant
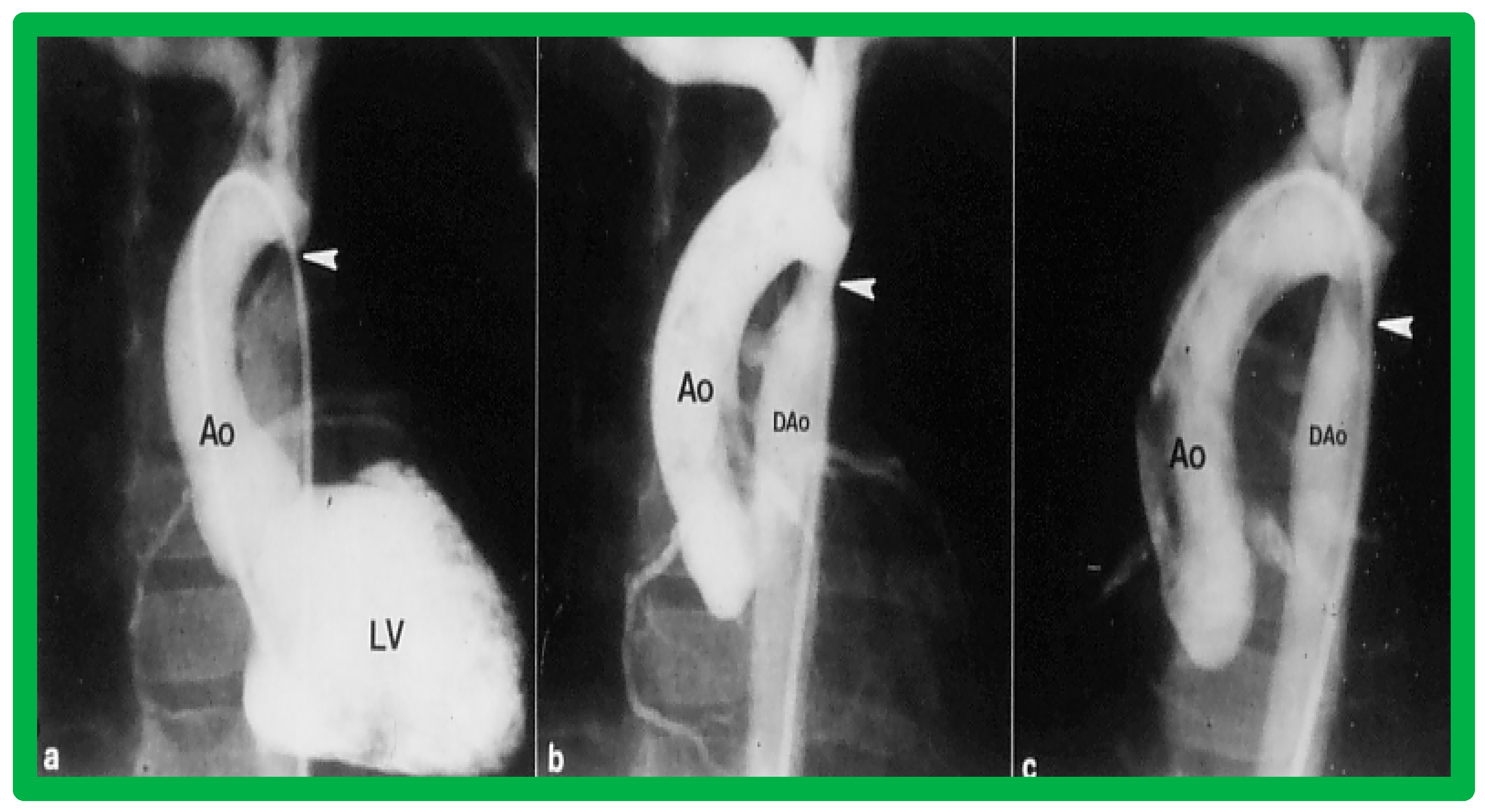
4.4. Aortic Coarctation, Postsurgical
5. Short-Term Results
5.1. Pulmonary Stenosis
5.1.1. Causes of Restenosis
5.1.2. Feasibility of Repeat BPV to Address Recurrence of PS
5.2. Aortic Stenosis
5.2.1. Causes of Restenosis
5.2.2. Feasibility of Repeat BAV to Address Recurrence of AS
5.3. Aortic Coarctation–Native
5.3.1. Causes of Restenosis
5.3.2. Feasibility of Repeat BA to Address Recurrence of AC
5.4. Aortic Coarctation, Postsurgical
6. Long-Term Results
6.1. Pulmonary Stenosis
6.1.1. Residual Gradients
6.1.2. Ventricular Dimensions
6.1.3. Re-Interventions and Actuarial Event-Free Rates
6.1.4. Development of Pulmonary Insufficiency
6.1.5. Summary of Long-Term Results
6.2. Aortic Stenosis
6.2.1. Residual Gradients
6.2.2. Ventricular Dimensions and Function
6.2.3. Re-Interventions and Actuarial Event-Free Rates
6.2.4. Development of Aortic Insufficiency
6.2.5. Summary of Long-Term Results
6.3. Aortic Coarctation–Native
6.4. Aortic Coarctation, Postsurgical
7. Epilogue
8. Summary and Conclusions
Funding
Institutional Review Board Statement
Informed Consent Statement
Data Availability Statement
Conflicts of Interest
References
- Dotter, C.T.; Judkins, M.P. Transluminal treatment of arteriosclerotic obstruction: Description of a new technique and a preliminary report of its application. Circulation 1964, 30, 654–670. [Google Scholar] [CrossRef] [PubMed]
- Grüntzig, A. Die perkutane rekanalisation chronischer arterieller-verschisse (Dotter-Prinzip) mit einem doppellumigen dilatations-katheter. Rofo 1976, 124, 80–86. [Google Scholar] [CrossRef] [PubMed]
- Grüntzig, A.R.; Kuhlmann, V.; Vetter, W.; Lutolf, V.; Meier, B.; Siegenthaler, W. Treatment of renovascular hypertension with percutaneous transluminal dilatation of a renal artery stenosis. Lancet 1978, 1, 801–802. [Google Scholar] [CrossRef] [PubMed]
- Grüntzig, A.; Schneider, H.J. The percutaneous dilatation of chronic coronary stenoses--experiments and morphology. Schweiz. Med. Wochenschr. 1977, 107, 1588. (In German) [Google Scholar]
- Grüntzig, A.R. Perkutane Dilatation von Coronarstenosen-Beschereibung eines neuen Katheter-systems. Klin. Wochenschr. 1976, 54, 543–545. [Google Scholar] [CrossRef]
- Grüntzig, A.R. Transluminal dilatation of coronary artery stenosis. Lancet 1978, 1, 263. [Google Scholar] [CrossRef]
- Sos, T.; Sniderman, K.W.; Rettek-Sos, B.; Strupp, A.; Alonso, D.R. Percutaneous transluminal dilatation of coarctation of the thoracic aorta-postmortem. Lancet 1979, 2, 970–971. [Google Scholar] [CrossRef]
- Singer, M.I.; Rowen, M.; Dorsey, T.J. Transluminal aortic balloon angioplasty for coarctation of the aorta in the newborn. Am. Heart J. 1982, 103, 131–132. [Google Scholar] [CrossRef]
- Sperling, D.R.; Dorsey, T.J.; Rowen, M.; Gazzaniga, A.B. Percutaneous transluminal angioplasty of congenital coarctation of the aorta. Am. J. Cardiol. 1983, 51, 562–564. [Google Scholar] [CrossRef]
- Kan, J.S.; White, R.J., Jr.; Mitchell, S.E.; Gardner, T.J. Percutaneous balloon valvuloplasty: A new method for treating congenital pulmonary valve stenosis. N. Engl. J. Med. 1982, 397, 540–542. [Google Scholar] [CrossRef]
- Lababidi, Z. Aortic balloon valvuloplasty. Am. Heart J. 1983, 106, 751–752. [Google Scholar] [CrossRef] [PubMed]
- Lababidi, Z.; Wu, J.; Walls, J.T. Percutaneous balloon aortic valvuloplasty: Results in 23 patients. Am. J. Cardiol. 1984, 54, 194–197. [Google Scholar] [CrossRef] [PubMed]
- Rao, P.S. Surgery without thoracotomy: Transcatheter management of pediatric heart disease. Ind. J. Pediatr. 1984, 51, 703–714. [Google Scholar] [CrossRef] [PubMed]
- Rao, P.S.; Mardini, M.K. Pulmonary valvotomy without thoracotomy: The experience with percutaneous balloon pulmonary valvuloplasty. Ann. Saudi Med. 1985, 5, 149–155. [Google Scholar] [CrossRef]
- Rao, P.S.; Mardini, M.K.; Najjar, H.N. Relief of Coarctation of the aorta without thoracotomy: The experience with percutaneous balloon angioplasty. Ann. Saudi Med. 1986, 6, 193–203. [Google Scholar] [CrossRef]
- Rao, P.S. Transcatheter treatment of pulmonic stenosis and coarctation of the aorta: The experience with percutaneous balloon dilatation. Brit. Heart J. 1986, 56, 250–258. [Google Scholar] [CrossRef]
- Rao, P.S. Value of echo-Doppler studies in the evaluation of the results of balloon pulmonary valvuloplasty. J. Cardiol. Ultrason. 1986, 5, 309–314. [Google Scholar]
- Rao, P.S. Transcatheter management of heart disease in infants and children. Pediat. Rev. Comm. 1987, 1, 1–18. [Google Scholar]
- Rao, P.S. Balloon angioplasty for coarctation of the aorta in infancy. J. Pediat. 1987, 110, 713–718. [Google Scholar] [CrossRef]
- Rao, P.S.; Brais, M. Balloon pulmonary valvuloplasty for congenital cyanotic heart defects. Am. Heart J. 1988, 115, 1105–1110. [Google Scholar] [CrossRef]
- Rao, P.S. Transcatheter therapy of cardiac defects in infants and children. Ind. J. Pediatr. 1988, 44, 137–140. [Google Scholar] [CrossRef]
- Rao, P.S. Transcatheter treatment of heart disease in infancy and childhood. Wisconsin Med. J. 1988, 87, 28–30. [Google Scholar] [PubMed]
- Rao, P.S.; Solymar, L. Electrocardiographic changes following balloon dilatation of valvar pulmonic stenosis. J. Interv. Cardiol. 1988, 1, 189–197. [Google Scholar] [CrossRef]
- Rao, P.S. Value of echo-Doppler studies in the evaluation of the results of balloon angioplasty of aortic coarctation. J. Cardiovasc. Ultrason. 1988, 7, 215–220. [Google Scholar]
- Rao, P.S. Balloon pulmonary valvuloplasty: A review. Clin. Cardiol. 1989, 12, 55–74. [Google Scholar] [CrossRef]
- Rao, P.S. Medical progress: Balloon valvuloplasty and angioplasty in infants and children. J. Pediat. 1989, 114, 907–914. [Google Scholar] [CrossRef]
- Rao, P.S. Balloon angioplasty of aortic coarctation: A review. Clin. Cardiol. 1989, 12, 618–628. [Google Scholar] [CrossRef]
- Rao, P.S. Balloon dilatation in infants and children with cardiac defects. Cath. Cardiovasc. Diagn. 1989, 18, 136–149. [Google Scholar] [CrossRef]
- Rao, P.S. Balloon valvuloplasty and angioplasty for congenital and acquired heart defects in children. Bull. Saudi Heart Assoc. 1990, 2, 10–22. [Google Scholar]
- Rao, P.S. Balloon valvuloplasty in neonates and children. Saudi Heart Bull. 1990, 1, 55–70. [Google Scholar]
- Rao, P.S. Balloon aortic valvuloplasty: A review. Clinical. Cardiol. 1990, 13, 458–466. [Google Scholar] [CrossRef] [PubMed]
- Rao, P.S. Balloon angioplasty and valvuloplasty in infants, children and adolescents. In Current Problems in Cardiology; Yearbook Medical Publishers, Inc.: Chicago, IL, USA, 1989; Volume 14, pp. 417–500. [Google Scholar]
- Rao, P.S. Transcatheter Therapy in Pediatric Cardiology; Wiley-Liss, Inc.: New York, NY, USA, 1993. [Google Scholar]
- Rao, P.S. Current management of pulmonary stenosis and atresia with intact ventricular septum. In Heart Disease in Neonates and Children; Al Fagih, M.R., Ed.; The Medicine Group: Oxford, UK, 1985; pp. 109–120. [Google Scholar]
- Rao, P.S. Balloon valvuloplasty and angioplasty of stenotic lesions of the heart and great vessels in children. In Advances in Pediatrics; Barness, L.A., DeVivo, D.C., Morrow, G., III, Oski, F., Rudolph, A.M., Eds.; Year Book Medical Publishers, Inc.: Chicago, IL, USA, 1990; Volume 37, pp. 33–76. [Google Scholar]
- Rao, P.S. Percutaneous balloon valvuloplasty/angioplasty in congenital heart disease. In Percutaneous Valvuloplasty and Related Techniques; Bashore, T.M., Davidson, C.T., Eds.; Williams & Wilkins: Baltimore, MD, USA, 1990; pp. 251–277. [Google Scholar]
- Rao, P.S. Percutaneous balloon pulmonary valvuloplasty. In Percutaneous Balloon Valvuloplasty; Cheng, T., Ed.; Igaku-Shion Med Publishers: New York, NY, USA, 1992; pp. 365–420. [Google Scholar]
- Rao, P.S. Pulmonary valve in children. In Handbook of Cardiovascular Interventions; Bertrand, M., Serruys, P., Sigwart, U., Eds.; Churchill Livingstone: London, UK, 1996; pp. 273–310. [Google Scholar]
- Rao, P.S. Aortic coarctation. In Handbook of Cardiovascular Interventions; Bertrand, M., Serreys, P., Sigwart, U., Eds.; Churchill Livingston: London, UK, 1996; pp. 757–781. [Google Scholar]
- Rao, P.S. Influence of balloon size on the short-term and long-term results of balloon pulmonary valvuloplasty. Texas Heart Inst. J. 1987, 14, 57–61. [Google Scholar]
- Rao, P.S.; Fawzy, M.E.; Solymar, L.; Mardini, M.K. Long-term results of balloon pulmonary valvuloplasty. Am. Heart J. 1988, 115, 1291–1296. [Google Scholar] [CrossRef] [PubMed]
- Rao, P.S.; Thapar, M.K.; Wilson, A.D.; Levy, J.M.; Chopra, P.S. Intermediate-term follow-up results of balloon aortic valvuloplasty in infants and children with special reference to causes of restenosis. Am. J. Cardiol. 1989, 64, 1356–1360. [Google Scholar] [CrossRef]
- Rao, P.S.; Najjar, H.N.; Mardini, M.K.; Solymar, L.; Thapar, M.K. Balloon angioplasty for coarctation of the aorta: Immediate and long-term results. Am. Heart J. 1988, 115, 657–665. [Google Scholar] [CrossRef]
- Rao, P.S.; Thapar, M.K.; Galal, O.; Wilson, A.D. Follow-up results of balloon angioplasty of native coarctation in neonates and infants. Am. Heart J. 1990, 120, 1310–1314. [Google Scholar] [CrossRef]
- Rao, P.S.; Wilson, A.D.; Chopra, P.S. Immediate and follow-up results of balloon angioplasty of postoperative recoarctation in infants and children. Am. Heart J. 1990, 120, 1315–1320. [Google Scholar] [CrossRef]
- Rao, P.S.; Chopra, P.S. Role of balloon angioplasty in the treatment of aortic coarctation. Ann. Thorac. Surg. 1991, 52, 621–631. [Google Scholar] [CrossRef]
- Rao, P.S.; Galal, O.; Smith, P.A.; Wilson, A.D. Five-to-nine-year follow-up results of balloon angioplasty of native aortic coarctation in infants and children. J. Am. Coll. Cardiol. 1996, 27, 462–470. [Google Scholar] [CrossRef]
- Galal, O.; Rao, P.S.; Al-Fadley, F.; Wilson, A.D. Follow-up results of balloon aortic valvuloplasty in children with special reference to causes of late aortic insufficiency. Am. Heart J. 1997, 113, 418–427. [Google Scholar] [CrossRef]
- Siblini, G.; Rao, P.S.; Nouri, S.; Ferdman, B.; Jureidini, S.B.; Wilson, A.D. Long-term follow-up results of balloon angioplasty of postoperative aortic recoarctation. Am. J. Cardiol. 1998, 81, 61–67. [Google Scholar] [CrossRef] [PubMed]
- Rao, P.S.; Galal, O.; Patnana, M.; Buck, S.H.; Wilson, A.D. Results of three-to-ten-year follow-up of balloon dilatation of the pulmonary valve. Heart 1998, 80, 591–595. [Google Scholar] [CrossRef] [PubMed]
- Rao, P.S. Long-term follow-up results after balloon dilatation of pulmonic stenosis, aortic stenosis and coarctation of the aorta: A review. Prog. Cardiovasc. Dis. 1999, 42, 59–74. [Google Scholar] [CrossRef]
- Rao, P.S.; Wilson, A.D.; Chopra, P.S. Balloon dilatation for discrete subaortic stenosis: Immediate and intermediate-term results. J. Invasive Cardiol. 1990, 2, 65–71. [Google Scholar] [PubMed]
- Rao, P.S.; Levy, J.M.; Chopra, P.S. Balloon angioplasty of stenosed Blalock-Taussig anastomosis: Role of balloon on a wire in dilating occluded shunts. Am. Heart J. 1990, 120, 1173–1178. [Google Scholar] [CrossRef]
- Rao, P.S.; Wilson, A.D. Chylothorax, an unusual complication of baffle obstruction following mustard operation: Successful treatment with balloon angioplasty. Am. Heart J. 1992, 123, 244–248. [Google Scholar] [CrossRef]
- Rao, P.S.; Wilson, A.D.; Thapar, M.K.; Brais, M. Balloon pulmonary valvuloplasty in the management of cyanotic congenital heart defects. Cathet. Cardiovasc. Diagn. 1992, 25, 16–24. [Google Scholar] [CrossRef]
- Rao, P.S. Transcatheter management of cyanotic congenital heart defects: A review. Clin. Cardiol. 1992, 15, 483–496. [Google Scholar] [CrossRef]
- Rao, P.S. Balloon dilatation of supravalvar pulmonary stenosis after arterial switch procedure for complete transposition (Letter). Br. Heart J. 1992, 67, 204–205. [Google Scholar] [CrossRef]
- Rao, P.S. Balloon dilatation of stenotic bioprosthetic valves. In Transcatheter Therapy in Pediatric Cardiology; Rao, P.S., Ed.; Wiley-Liss, Inc.: New York, NY, USA, 1993; Chapter 14. [Google Scholar]
- Rao, P.S.; Thapar, M.K. Balloon dilatation of other congenital and acquired stenotic lesions of the cardiovascular system. In Transcatheter Therapy in Pediatric Cardiology; Rao, P.S., Ed.; Wiley-Liss, Inc.: New York, NY, USA, 1993; Chapter 15. [Google Scholar]
- Rao, P.S. Indications for balloon pulmonary valvuloplasty (Editorial). Am. Heart J. 1988, 116, 1661–1662. [Google Scholar] [CrossRef]
- Rao, P.S. Which aortic coarctations should we balloon-dilate? (Editorial). Am. Heart J. 1989, 117, 787–789. [Google Scholar] [CrossRef]
- Rao, P.S. Balloon pulmonary valvuloplasty for isolated pulmonic stenosis. In Transcatheter Therapy in Pediatric Cardiology; Rao, P.S., Ed.; Wiley-Liss, Inc.: New York, NY, USA, 1993; pp. 59–104. [Google Scholar]
- Rao, P.S. Balloon valvuloplasty for aortic stenosis. In Transcatheter Therapy in Pediatric Cardiology; Rao, P.S., Ed.; Wiley-Liss, Inc.: New York, NY, USA, 1993; pp. 104–127. [Google Scholar]
- Rao, P.S. Balloon angioplasty of native aortic coarctation. In Transcatheter Therapy in Pediatric Cardiology; Rao, P.S., Ed.; Wiley-Liss, Inc.: New York, NY, USA, 1993; pp. 153–196. [Google Scholar]
- Rao, P.S. Balloon Angioplasty of aortic recoarctation following previous surgery. In Transcatheter Therapy in Pediatric Cardiology; Rao, P.S., Ed.; Wiley-Liss, Inc.: New York, NY, USA, 1993; pp. 197–212. [Google Scholar]
- Rao, P.S. Percutaneous balloon pulmonary valvuloplasty: State of the art. Cath. Cardiovasc. Intervent. 2007, 69, 747–763. [Google Scholar] [CrossRef] [PubMed]
- Feltes, T.F.; Bacha, E.; Beekman, R.H., 3rd. American Heart Association Congenital Cardiac Defects Committee of the Council on Cardiovascular Disease in the Young; Council on Clinical Cardiology; Council on Cardiovascular Radiology and Intervention; American Heart Association. Indications for cardiac catheterization and intervention in pediatric cardiac disease: A scientific statement from the American Heart Association. Circulation 2011, 123, 2607–2652. [Google Scholar] [PubMed]
- Nugent, E.W.; Freedom, R.M.; Nora, J.J.; Ellison, R.C.; Rowe, R.D.; Nadas, A.S. Clinical course of pulmonic stenosis. Circulation 1977, 56 (Suppl. S1), I18–I47. [Google Scholar]
- Rao, P.S. Doppler ultrasound in the prediction of transvalvar pressure gradients in patients with valvar pulmonic stenosis. Int. J. Cardiol. 1987, 15, 195–203. [Google Scholar] [CrossRef] [PubMed]
- Berman, W., Jr.; Fripp, R.R.; Raiser, B.D.; Yabek, S.M. Significant pulmonary valve incompetence following oversize balloon pulmonary valvuloplasty in small infants: A long-term follow-up study. Cathet. Cardiovasc. Intervent. 1999, 8, 61–65. [Google Scholar] [CrossRef]
- Rao, P.S. Balloon pulmonary valvuloplasty (Letter). Cathet. Cardiovasc. Diagn. 1997, 40, 427–428. [Google Scholar] [CrossRef]
- Rao, P.S. Late pulmonary insufficiency after balloon dilatation of the pulmonary valve (Letter). Cathet. Cardiovasc. Intervent. 2000, 49, 118–119. [Google Scholar]
- Rao, P.S. Pulmonary valve stenosis. In Percutaneous Interventions in Congenital Heart Disease; Sievert, H., Qureshi, S.A., Wilson, N., Hijazi, Z., Eds.; Informa Health Care: Oxford, UK, 2007; pp. 185–195. [Google Scholar]
- Rao, P.S. Pulmonary valve disease: Pulmonary valve stenosis. In Interventions in Structural, Valvular and Congenital Heart Disease; Sievert, H., Qureshi, S.A., Wilson, N., Hijazi, Z., Eds.; CRC Press: Boca Raton, FL, USA, 2014; pp. 297–308, Chapter 31; ISBN 978-1-4822-1563-2. eBook ISBN: 978-1-4822-1564-9. [Google Scholar]
- Rao, P.S. Balloon valvuloplasty for pulmonary stenosis. In Cardiac Catheterization and Imaging (From Pediatrics to Geriatrics); Vijayalakshmi, I.B., Ed.; Jaypee Publications: New Delhi, India, 2015; pp. 149–174. [Google Scholar]
- Singh, G.K.; Marino, C.; Oliver, D.; Balfour, I.; Chen, S.; Jureidini, S.B.; Rao, P.S. Pressure gradients in outflow stenotic lesions: A simultaneous Doppler and catheter correlative study in pediatric patients. J. Am. Soc. Echocardiogr. 2000, 13, 455. [Google Scholar]
- Singh, G.K.; Mowers, K.L.; Marino, C.; Balzer, D.; Rao, P.S. Effect of pressure recovery on pressure gradients in congenital stenotic outflow lesions in pediatric patients-clinical implications of lesion severity and geometry: A simultaneous Doppler echocardiography and cardiac catheter correlative study. J. Am. Soc. Echocardiogr. 2020, 33, 207–217. [Google Scholar] [CrossRef]
- Rao, P.S. Balloon dilatation in infants and children with dysplastic pulmonary valves: Short-term and intermediate-term results. Am. Heart J. 1988, 116, 1168–1173. [Google Scholar] [CrossRef] [PubMed]
- Marantz, P.M.; Huhta, J.C.; Mullins, C.E.; Murphy, D.J., Jr.; Nihill, M.R.; Ludomirsky, A.; Yoon, G.Y. Results of balloon valvuloplasty in typical and dysplastic pulmonary valve stenosis: Doppler echocardiographic follow-up. J. Am. Coll. Cardiol. 1988, 12, 476–479. [Google Scholar] [CrossRef] [PubMed]
- Johnson, L.W.; Grossman, W.; Dalen, J.E.; Dexter, L. Pulmonary stenosis in the adult: Long-term follow-up results. N. Engl. J. Med. 1972, 287, 1159–1163. [Google Scholar] [CrossRef] [PubMed]
- Krabill, K.A.; Wang, Y.; Einzid, S.; Moller, J.H. Rest and exercise hemodynamics in pulmonary stenosis: Comparison of children and adults. Am. J. Cardiol. 1985, 36, 360–365. [Google Scholar] [CrossRef]
- Rao, P.S. Pulmonary valve disease. In Valvular Heart Disease, 3rd ed.; Alpert, J.S., Dalen, J.E., Rahimtoola, S., Eds.; Lippincott Raven: Philadelphia, PA, USA, 2000; pp. 339–376. [Google Scholar]
- Rao, P.S. Balloon aortic valvuloplasty. J. Intervent. Cardiol. 1998, 11, 319–329. [Google Scholar] [CrossRef]
- Agu, N.C.; Rao, P.S. Balloon aortic valvuloplasty. Pediatr. Therapeut. 2012, S5, 004. [Google Scholar] [CrossRef]
- McKay, R.G.; Safian, R.D.; Lock, J.E.; Mandell, V.S.; Thurer, R.L.; Schnitt, S.J.; Grossman, W. Balloon dilatation of calcific aortic stenosis in elderly patients: Postmortem, intraoperative, and percutaneous valvuloplasty studies. Circulation 1986, 74, 119–125. [Google Scholar] [CrossRef]
- Cribier, A.; Savin, T.; Saoudi, N.; Rocha, P.; Berland., J.; Letac, B. Percutaneous transluminal aortic valvuloplasty using a balloon catheter. A new therapeutic option in aortic stenosis in the elderly. Arch. Mal. Coeur. Vaiss. 1986, 79, 1678–1686. (In French) [Google Scholar]
- Drobinski, G.; Lechat, P.; Metzger, J.P.; Lepailleur, C.; Vacheron, A.; Grosgogeat, Y. Results of percutaneous catheter valvuloplasty for calcified aortic stenosis in the elderly. Eur. Heart J. 1987, 8, 322–328. [Google Scholar] [CrossRef]
- Isner, J.M.; Salem, D.N.; Desnoyers, M.R.; Hougen, T.J.; Mackey, W.C.; Pandian, N.G.; Eichhorn, E.J.; Konstam, M.A.; Levine, H.J. Treatment of calcific aortic stenosis by balloon valvuloplasty. Am. J. Cardiol. 1987, 59, 313–317. [Google Scholar] [CrossRef]
- Robicsek, F.; Harbold, N.B., Jr. Limited value of balloon dilatation in calcified aortic stenosis in adults: Direct observations during open heart surgery. Am. J. Cardiol. 1987, 60, 857–864. [Google Scholar] [CrossRef] [PubMed]
- Robicsek, F.; Harbold, N.B., Jr.; Daugherty, H.K.; Cook, J.W.; Selle, J.G.; Hess, P.J.; Gallagher, J.J. Balloon valvuloplasty in calcified aortic stenosis: A cause for caution and alarm. Ann. Thorac. Surg. 1988, 45, 515–525. [Google Scholar] [CrossRef] [PubMed]
- Leon, M.B.; Smith, C.R.; Mack, M.; Miller, D.C.; Moses, J.W.; Svensson, L.G.; Tuzcu, E.M.; Webb, J.G.; Fontana, G.P.; Makkar, R.R.; et al. Transcatheter aortic-valve implantation for aortic stenosis in patients who cannot undergo surgery. N. Engl. J. Med. 2010, 363, 1597–1607. [Google Scholar] [CrossRef] [PubMed]
- Mack, M.J.; Leon, M.B.; Thourani, V.H.; Makkar, R.; Kodali, S.K.; Russo, M.; Kapadia, S.R.; Malaisrie, S.C.; Cohen, D.J.; Pibarot, P.; et al. Transcatheter Aortic-Valve Replacement with a Balloon-Expandable Valve in Low-Risk Patients. N. Engl. J. Med. 2019, 380, 1695–1705. [Google Scholar] [CrossRef] [PubMed]
- Nishimura, R.A.; Otto, C.M.; Bonow, R.O.; Carabello, B.A.; Erwin, J.P., 3rd; Fleisher, L.A.; Jneid, H.; Mack, M.J.; McLeod, C.J.; O’Gara, P.T.; et al. 2017 AHA/ACC Focused Update of the 2014 AHA/ACC Guideline for the Management of Patients With Valvular Heart Disease: A Report of the American College of Cardiology/American Heart Association Task Force on Clinical Practice Guidelines. Circulation 2017, 135, e1159–e1195. [Google Scholar] [CrossRef]
- Rao, P.S. Percutaneous management of aortic coarctation. In Cardiac Catheterization and Imaging (From Pediatrics to Geriatrics); Vijayalakshmi, I.B., Ed.; Jaypee Publications: New Delhi, India, 2015; pp. 433–471. [Google Scholar]
- Liberthson, R.R.; Pennington, D.G.; Jacobs, M.L.; Daggett, W.M. Coarctation of the aorta: Review of 234 patients and clarification of management problems. Am. J. Cardiol. 1979, 43, 835–840. [Google Scholar] [CrossRef]
- Seiraf, P.A.; Warner, K.G.; Geggel, R.L.; Payne, D.D.; Cleveland, R.J. Repair of coarctation of the aorta during infancy minimizes the risk of late hypertension. Ann. Thorac. Surg. 1998, 66, 1378–1382. [Google Scholar] [CrossRef]
- Rao, P.S. Current status of balloon angioplasty for neonatal and infant aortic coarctation. Prog. Pediat. Cardiol. 2001, 14, 35–44. [Google Scholar]
- Rao, P.S.; Jureidini, S.B.; Balfour, I.C.; Singh, G.K.; Chen, S. Severe aortic coarctation in infants less than 3 months: Successful palliation by balloon angioplasty. J. Intervent. Cardiol. 2003, 15, 203–208. [Google Scholar]
- Rao, P.S. Balloon angioplasty for native aortic coarctation in neonates and infants. Cardiol. Today 2005, 9, 94–99. [Google Scholar]
- Rao, P.S. Role of interventional cardiology in neonates: Part II—Balloon angioplasty/valvuloplasty. Neonatol. Today 2007, 2, 1–12. [Google Scholar]
- Rao, P.S. Neonatal (and infant) coarctation of the aorta: Management challenges. Res. Rep. Neonatol. (Dovepress) 2020, 10, 11–22. [Google Scholar] [CrossRef]
- Redington, A.N.; Booth, P.; Shore, D.F.; Rigby, M.L. Primary balloon dilatation of coarctation of the aorta in neonates. Br. Heart J. 1990, 64, 277–281. [Google Scholar] [CrossRef]
- Rao, P.S. Should balloon angioplasty be used as a treatment of choice for native aortic coarctations? J. Invasive Cardiol. 1996, 8, 301–313. [Google Scholar] [PubMed]
- Rao, P.S.; Wilson, A.D.; Brazy, J. Transumbilical balloon coarctation angioplasty in a neonate with critical aortic coarctation. Am. Heart J. 1992, 124, 1622–1624. [Google Scholar] [CrossRef]
- Saluhuddin, N.; Wilson, A.D.; Rao, P.S. An unusual presentation of coarctation of the aorta in infancy: Role of balloon angioplasty in the critically ill infant. Am. Heart J. 1991, 122, 1772–1775. [Google Scholar] [CrossRef]
- Crowly, C.G.; Orsmond, G.S.; Feola, P.; McQuillan, L.; Shaddy, R.E. Long-term, randomized comparison of balloon angioplasty and surgery for native coarctation of the aorta in childhood. Circulation 2005, 111, 3453–3456. [Google Scholar] [CrossRef]
- Rao, P.S. Stents in the management of congenital heart disease in the pediatric and adult patients. Ind. Heart J. 2001, 53, 714–730. [Google Scholar]
- Rao, P.S. Coarctation of the aorta. Curr. Cardiol Rep. 2005, 7, 425–434. [Google Scholar] [CrossRef]
- Sahu, R.; Rao, P.S. Transcatheter stent therapy in children: An update. Pediatr. Therapeut. 2012, S5, 001. [Google Scholar] [CrossRef]
- Kan, J.S.; White, R.I.; Mitchell, S.E.; Farmlett, E.J.; Donahoo, J.S.; Gardner, T.J. Treatment of restenosis of coarctation by percutaneous transluminal angioplasty. Circulation 1983, 68, 1087–1094. [Google Scholar] [CrossRef]
- Hellenbrand, W.E.; Allen, H.D.; Golinko, R.J.; Hagler, D.J.; Lutin, W.; Kan, J. Balloon angioplasty of aortic recoarctation: Results of Valvuloplasty and Angioplasty of Congenital Anomalies Registry. Am. J. Cardiol. 1990, 65, 793–797. [Google Scholar] [CrossRef] [PubMed]
- Cerilli, J.; Lauridsen, P. Reoperation for coarctation of the aorta. Acta Chir. Scand. 1965, 129, 391–394. [Google Scholar] [PubMed]
- Williams, W.G.; Shindo, G.; Trusler, G.A.; Dische, M.R.; Olley, P.M. Results of repair of coarctation of the aorta during infancy. J. Thorac. Cardiovasc. Surg. 1980, 79, 603–608. [Google Scholar] [CrossRef] [PubMed]
- Beekman, R.H.; Rocchini, A.P.; Behrendt, D.M.; Rosenthal, A. Reoperation for coarctation of the aorta. Am. J. Cardiol. 1981, 48, 1108–1114. [Google Scholar] [CrossRef]
- Rao, P.S. Role of balloon pulmonary valvuloplasty in the management of pulmonary stenosis. J. Clin. Cardiol. Cardiovasc. Interv. 2021, 4. [Google Scholar] [CrossRef]
- Rao, P.S. Role of balloon aortic valvuloplasty in the management of aortic stenosis. J. Clin. Cardiol. Cardiovasc. Interv. 2021, 4. [Google Scholar] [CrossRef]
- Rao, P.S.; Fawzy, M.E. Double balloon technique for percutaneous balloon pulmonary valvuloplasty: Comparison with single balloon technique. J. Interv. Cardiol. 1988, 1, 257–262. [Google Scholar] [CrossRef]
- Narang, R.; Das, G.; Dev, V.; Kewal, G.; Anita, S.; Savitri, S. Effect of the balloon-annulus ratio on the intermediate and follow-up results of pulmonary balloon valvuloplasty. Cardiology 1997, 88, 271–276. [Google Scholar] [CrossRef]
- Alekyan, B.G.; Petrosyan, Y.S.; Coulson, J.D.; Danilov, Y.Y.; Vinokurov, A.V. Right subscapular artery catheterization for balloon valvuloplasty of critical aortic stenosis in infants. Am. J. Cardiol. 1995, 76, 1049–1052. [Google Scholar] [CrossRef]
- Austoni, P.; Figini, A.; Vigrati, G.; Donatelli, F. Emergency aortic balloon valvotomy in critical aortic stenosis of the neonates (Letter). Pediat. Cardiol. 1990, 11, 59–60. [Google Scholar] [CrossRef] [PubMed]
- Fischer, D.R.; Ettedgui, J.A.; Park, S.C.; Siewers, R.D.; del Nido, P.J. Carotid artery approach for balloon dilatation of aortic valve stenosis in the neonate: A preliminary report. J. Am. Coll. Cardiol. 1990, 15, 1633–1636. [Google Scholar] [CrossRef] [PubMed]
- Beekman, R.H.; Rocchini, A.P.; Andes, A. Balloon valvuloplasty for critical aortic stenosis in the newborn, influence of new catheter technology. J. Am. Coll. Cardiol. 1991, 17, 1172–1176. [Google Scholar] [CrossRef] [PubMed]
- Hausdorf, G.; Schneider, M.; Schrimer, K.R.; Schulze-Neick, I.; Lange, P.E. Anterograde balloon valvuloplasty of aortic stenosis in children. Am. J. Cardiol. 1993, 71, 560–562. [Google Scholar] [CrossRef]
- O’Laughlin, M.P.; Slack, M.C.; Grifka, R.; Mullins, C.E. Pro-grade double balloon dilatation of congenital aortic valve stenosis: A case report. Cathet. Cardiovasc. Diagn. 1993, 28, 134–136. [Google Scholar] [CrossRef]
- Rao, P.S.; Jureidini, S.B. Transumbilical venous anterograde, snare-assisted balloon aortic valvuloplasty in a neonate with critical aortic stenosis. Cathet. Cardiovasc. Diagn. 1998, 45, 144–148. [Google Scholar] [CrossRef]
- Rao, P.S. Anterograde transumbilical venous balloon aortic valvuloplasty (letter). Cath. Cardiovasc. Intervent. 2002, 56, 439. [Google Scholar] [CrossRef]
- Rao, P.S. Neonatal catheter interventions. In Cardiac Catheterization and Imaging (From Pediatrics to Geriatrics); Vijayalakshmi, I.B., Ed.; Jaypee Publications: New Delhi, India, 2015; pp. 388–432. [Google Scholar]
- Attia, I.M.; Lababidi, Z.A. Transumbilical balloon coarctation angioplasty. Am. Heart J. 1988, 116, 1623–1624. [Google Scholar] [CrossRef]
- Alyousef, S.; Khan, A.; Nihill, M.; Lababidi, Z.; Mullins, C. Perkutane transvenose antegrade balloon angioplastie bie aorten isthmusstenose. Herz 1988, 13, 36–40. [Google Scholar]
- Lo, R.N.S.; Leung, M.P.; Yauk, K.K.; Cheung, D.L. Transvenous antegrade balloon angioplasty for recoarctation of the aorta in an infant. Am. Heart J. 1989, 117, 1157–1158. [Google Scholar] [CrossRef]
- Rao, P.S. Coarctation of the aorta. In Secondary Forms of Hypertension, Seminars in Nephrology; Ram, C.V.S., Kurtzman, N.A., Eds.; WB Saunders: Philadelphia, PA, USA, 1995; Volume 15, pp. 81–105. [Google Scholar]
- Rao, P.S. Balloon angioplasty of native aortic coarctation. J. Am. Coll. Cardiol. 1992, 20, 756–757. [Google Scholar] [CrossRef] [PubMed]
- Rao, P.S. Technique of balloon valvuloplasty. In Transcatheter Therapy in Pediatric Cardiology; Rao, P.S., Ed.; Wiley-Liss: New York, NY, USA, 1993; pp. 29–44. [Google Scholar]
- Thapar, M.K.; Rao, P.S. Significance of infundibular obstruction following balloon valvuloplasty for valvar pulmonic stenosis. Am. Heart J. 1989, 118, 99–103. [Google Scholar] [CrossRef] [PubMed]
- Fontes, V.F.; Esteves, C.A.; Sousa, J.E.; Silva, M.V.; Bembom, M.C. Regression of infundibular hypertrophy after pulmonary valvotomy for pulmonic stenosis. Am. J. Cardiol. 1988, 62, 977–979. [Google Scholar] [CrossRef] [PubMed]
- Rao, P.S. Pulmonary stenosis. In Pediatric Cardiology: How It Has Evolved Over The Last 50 Years; Rao, P.S., Ed.; Cambridge Scholars Publishing: New Castle upon Tyne, UK, 2020; pp. 185–230. ISBN 13-9781527548886. [Google Scholar]
- Rao, P.S.; Seib, P.M.; Coarctation of the Aorta. Medscape Reference. Available online: www.emedicine.medscape.com/article/895502-overview (accessed on 16 May 2023).
- Doshi, A.R.; Rao, P.S. Coarctation of aorta-management options and decision making. Pediatr. Therapeut. 2012, S5, 006. [Google Scholar] [CrossRef]
- Bendaly, E.A.; Lane, K.A.; Breinholt, J.P. Balloon angioplasty of recoarctation of the neoaortic arch after the Norwood operation: Factors affecting outcome and recurrence. Catheter. Cardiovasc. Interv. 2013, 81, 97–102. [Google Scholar] [CrossRef] [PubMed]
- Cleuziou, J.; Kasnar-Samprec, J.; Hörer, J.; Eicken, A.; Lange, R.; Schreiber, C. Recoarctation after the Norwood I procedure for hypoplastic left heart syndrome: Incidence, risk factors, and treatment options. Ann. Thorac. Surg. 2013, 95, 935–940. [Google Scholar] [CrossRef] [PubMed]
- Shirali, G.S.; Cephus, C.E.; Kuhn, M.A.; Ogata, K.K.; Dussen, L.K.V.; Chinnock, R.E.; Mulla, N.F.; Johnston, J.K.; Bailey, L.L.; Gundry, S.R.; et al. Posttransplant recoarctation of the aorta: A twelve-year experience. J. Am. Coll. Cardiol. 1998, 32, 509–514. [Google Scholar] [CrossRef]
- Rao, P.S.; Thapar, M.K.; Kutayli, F. Causes of restenosis following balloon valvuloplasty for valvar pulmonic stenosis. Am. J. Cardiol. 1988, 62, 979–982. [Google Scholar] [CrossRef]
- Stranger, P.; Cassidy, S.C.; Girod, D.A.; Kan, J.S.; Lababidi, Z.; Shapiro, S.R. Balloon pulmonary valvuloplasty: Results of the Valvuloplasty and Angioplasty of Congenital Anomalies Registry. Am. J. Cardiol. 1990, 65, 775–783. [Google Scholar] [CrossRef]
- Rao, P.S.; Galal, O.; Wilson, A.D. Feasibility and effectiveness of repeat balloon dilatation of restenosed obstructions following previous balloon valvuloplasty/angioplasty. Am. Heart J. 1996, 132, 403–407. [Google Scholar]
- Rao, P.S.; Carey, P. Remodeling of the aorta following successful balloon coarctation angioplasty. J. Am. Coll. Cardiol. 1989, 14, 1312–1317. [Google Scholar] [PubMed]
- Rao, P.S.; Thapar, M.K.; Kutayli, F.; Carey, P. Causes of recoarctation following balloon angioplasty of unoperated aortic coarctation. J. Am. Coll. Cardiol. 1989, 13, 109–115. [Google Scholar] [CrossRef] [PubMed]
- Rao, P.S. Causes of restenosis following balloon angioplasty/ valvuloplasty: A review. Pediatr. Rev. Commun. 1990, 4, 157–172. [Google Scholar]
- Rao, P.S.; Koscik, R. Validation of risk factors in predicting recoarctation following initially successful balloon angioplasty for native aortic coarctation. Am. Heart J. 1995, 130, 116–121. [Google Scholar] [CrossRef]
- Kaplan, E.L.; Meier, P. Nonparametric estimation from incomplete observations. J. Am. Stat. Assoc. 1958, 53, 457–481. [Google Scholar] [CrossRef]
- Rao, P.S. Balloon aortic valvuloplasty (Editorial). Ind. Heart J. 2016, 68, 592–595. [Google Scholar] [CrossRef]
- National High Blood Pressure Education Program Working Group on High Blood Pressure in Children and Adolescents. The fourth report on the diagnosis, evaluation, and treatment of high blood pressure in children and adolescents. Pediatrics 2004, 114, 555–576. [Google Scholar] [CrossRef]
- Gutgesell, H.P.; Rembold, C.M. Growth of the human heart relative to body surface area. Am. J. Cardiol. 1990, 65, 662–668. [Google Scholar] [CrossRef]







































































Disclaimer/Publisher’s Note: The statements, opinions and data contained in all publications are solely those of the individual author(s) and contributor(s) and not of MDPI and/or the editor(s). MDPI and/or the editor(s) disclaim responsibility for any injury to people or property resulting from any ideas, methods, instructions or products referred to in the content. |
© 2023 by the author. Licensee MDPI, Basel, Switzerland. This article is an open access article distributed under the terms and conditions of the Creative Commons Attribution (CC BY) license (https://creativecommons.org/licenses/by/4.0/).
Share and Cite
Rao, P.S. Balloon Dilatation in the Management of Congenital Obstructive Lesions of the Heart: Review of Author’s Experiences and Observations—Part I. J. Cardiovasc. Dev. Dis. 2023, 10, 227. https://doi.org/10.3390/jcdd10060227
Rao PS. Balloon Dilatation in the Management of Congenital Obstructive Lesions of the Heart: Review of Author’s Experiences and Observations—Part I. Journal of Cardiovascular Development and Disease. 2023; 10(6):227. https://doi.org/10.3390/jcdd10060227
Chicago/Turabian StyleRao, P. Syamasundar. 2023. "Balloon Dilatation in the Management of Congenital Obstructive Lesions of the Heart: Review of Author’s Experiences and Observations—Part I" Journal of Cardiovascular Development and Disease 10, no. 6: 227. https://doi.org/10.3390/jcdd10060227
APA StyleRao, P. S. (2023). Balloon Dilatation in the Management of Congenital Obstructive Lesions of the Heart: Review of Author’s Experiences and Observations—Part I. Journal of Cardiovascular Development and Disease, 10(6), 227. https://doi.org/10.3390/jcdd10060227

