The SCCmec Types and Antimicrobial Resistance among Methicillin-Resistant Staphylococcus Species Isolated from Dogs with Superficial Pyoderma
Abstract
1. Introduction
2. Materials and Methods
2.1. Data and Sample Collection
2.2. Bacterial Isolation and Identification
2.3. Antimicrobial Susceptibility Testing
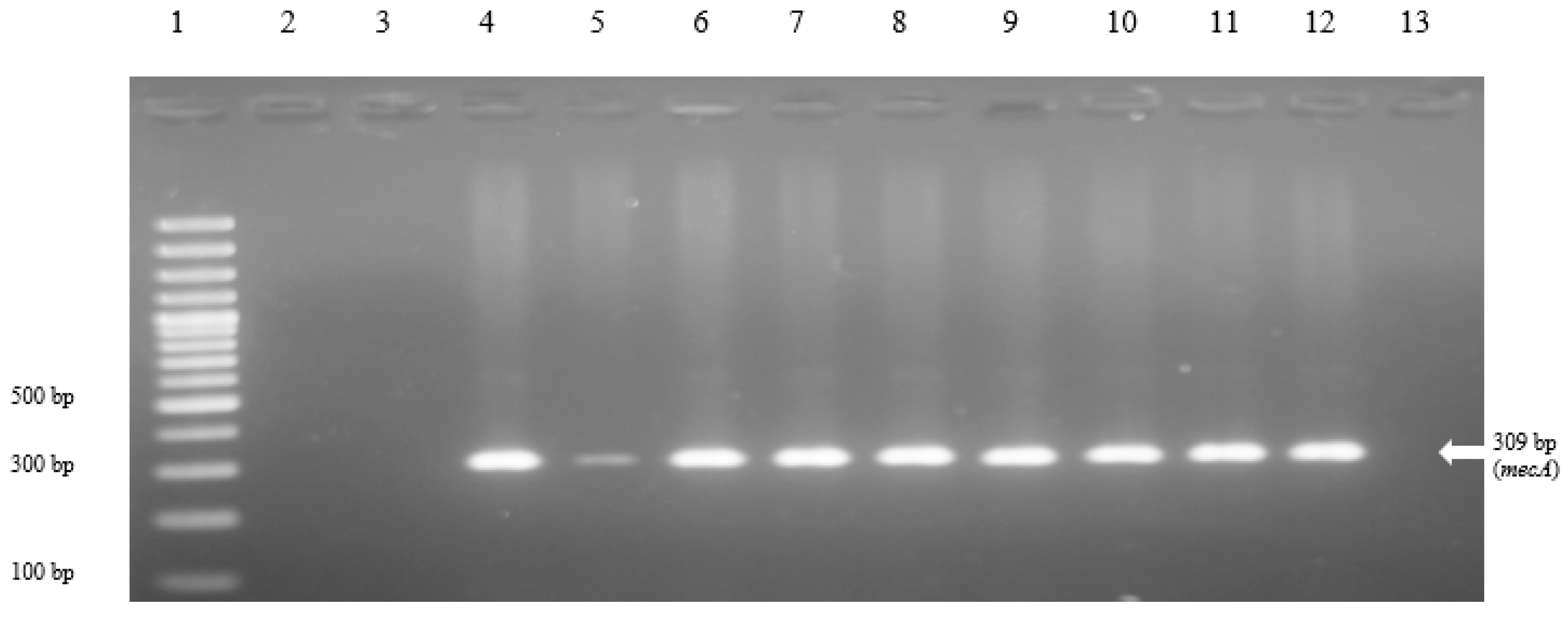
2.4. PCR Detection of mecA Gene
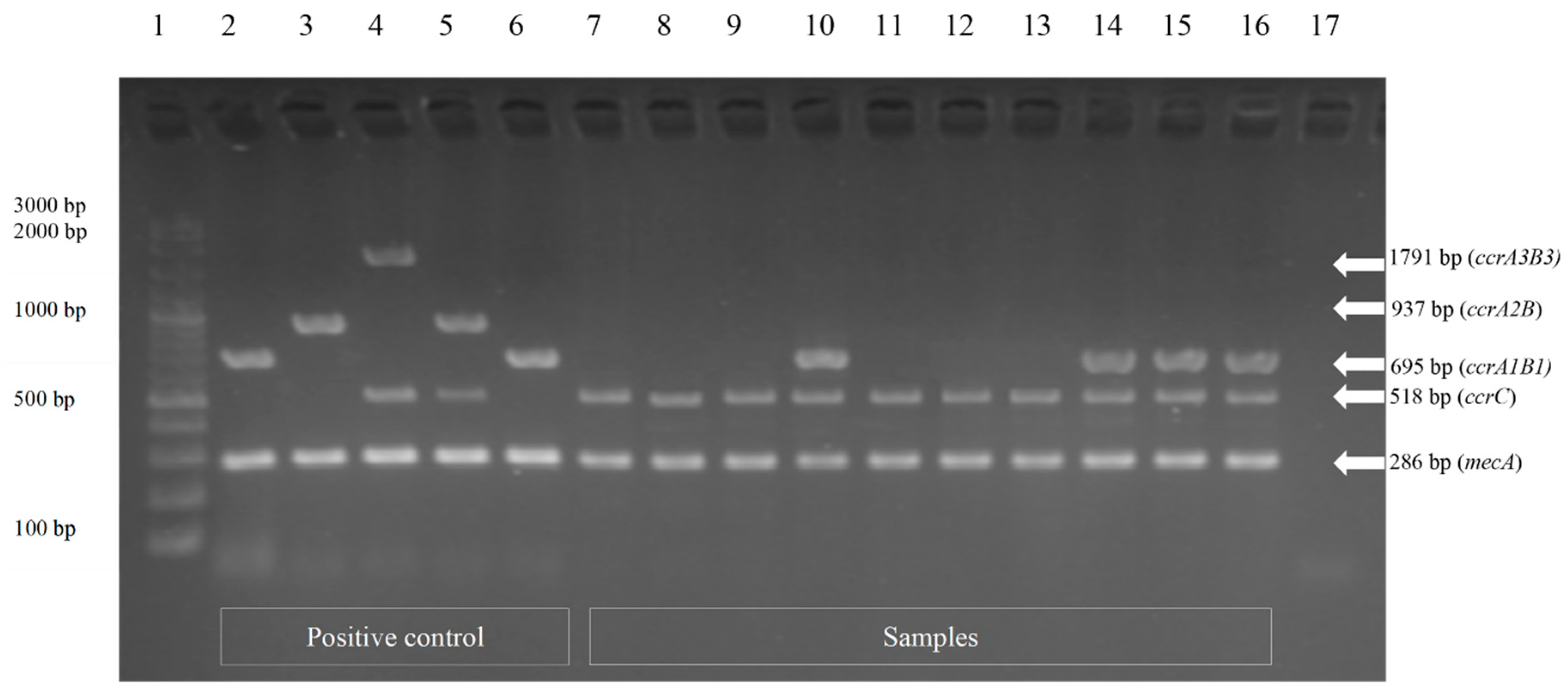
2.5. SCCmec Typing
2.6. Statistical Analysis
3. Results
3.1. Staphylococcal Infections in Dogs with Superficial Pyoderma
3.2. Antimicrobial Susceptibility Testing Results
3.3. SCCmec Types of Methicillin-Resistant Staphylococcal Isolates
4. Discussion
5. Conclusions
Supplementary Materials
Author Contributions
Funding
Institutional Review Board Statement
Informed Consent Statement
Data Availability Statement
Acknowledgments
Conflicts of Interest
References
- Pomba, C.; Rantala, M.; Greko, C.; Baptiste, K.E.; Catry, B.; van Duijkeren, E.; Mateus, A.; Moreno, M.A.; Pyörälä, S.; Ružauskas, M.; et al. Public health risk of antimicrobial resistance transfer from companion animals. J. Antimicrob. Chemother. 2017, 72, 957–968. [Google Scholar] [CrossRef] [PubMed]
- Couto, N.; Monchique, C.; Belas, A.; Marques, C.; Gama, L.T.; Pomba, C. Trends and molecular mechanisms of antimicrobial resistance in clinical staphylococci isolated from companion animals over a 16 year period. J. Antimicrob. Chemother. 2016, 71, 1479–1487. [Google Scholar] [CrossRef] [PubMed]
- Wu, M.T.; Burnham, C.A.; Westblade, L.F.; Dien Bard, J.; Lawhon, S.D.; Wallace, M.A.; Stanley, T.; Burd, E.; Hindler, J.; Humphries, R.M. Evaluation of oxacillin and cefoxitin disk and MIC Breakpoints for prediction of methicillin resistance in human and veterinary isolates of Staphylococcus intermedius group. J. Clin. Microbiol. 2016, 54, 535–542. [Google Scholar] [CrossRef] [PubMed]
- Wilson, A.P.; Smyth, D.; Moore, G.; Singleton, J.; Jackson, R.; Gant, V.; Jeanes, A.; Shaw, S.; James, E.; Cooper, B.; et al. The impact of enhanced cleaning within the intensive care unit on contamination of the near-patient environment with hospital pathogens: A randomized crossover study in critical care units in two hospitals. Crit. Care Med. 2011, 39, 651–658. [Google Scholar] [CrossRef] [PubMed]
- Igbinosa, E.O.; Beshiru, A.; Akporehe, L.U.; Ogofure, A.G. Detection of methicillin-resistant staphylococci isolated from food producing animals: A public health implication. Vet. Sci. 2016, 3, 14. [Google Scholar] [CrossRef] [PubMed]
- IWG-SCC. Classification of staphylococcal cassette chromosome mec (SCCmec): Guidelines for reporting novel SCCmec elements. Antimicrob. Agents Chemother. 2009, 53, 4961–4967. [Google Scholar] [CrossRef] [PubMed]
- Turlej, A.; Hryniewicz, W.; Empel, J. Staphylococcal cassette chromosome mec (Sccmec) classification and typing methods: An overview. Pol. J. Microbiol. 2011, 60, 95–103. [Google Scholar] [CrossRef]
- Baig, S.; Johannesen, T.B.; Overballe-Petersen, S.; Larsen, J.; Larsen, A.R.; Stegger, M. Novel SCCmec type XIII (9A) identified in an ST152 methicillin-resistant Staphylococcus aureus. Infect. Genet. Evol. 2018, 61, 74–76. [Google Scholar] [CrossRef]
- Deurenberg, R.H.; Stobberingh, E.E. The evolution of Staphylococcus aureus. Infect. Genet. Evol. 2008, 8, 747–763. [Google Scholar] [CrossRef]
- Chanchaithong, P.; Perreten, V.; Schwendener, S.; Tribuddharat, C.; Chongthaleong, A.; Niyomtham, W.; Prapasarakul, N. Strain typing and antimicrobial susceptibility of methicillin-resistant coagulase-positive staphylococcal species in dogs and people associated with dogs in Thailand. J. Appl. Microbiol. 2014, 117, 572–586. [Google Scholar] [CrossRef]
- Van Duijkeren, E.; Catry, B.; Greko, C.; Moreno, M.A.; Pomba, M.C.; Pyörälä, S.; Ruzauskas, M.; Sanders, P.; Threlfall, E.J.; Torren-Edo, J.; et al. Review on methicillin-resistant Staphylococcus pseudintermedius. J. Antimicrob. Chemother. 2011, 66, 2705–2714. [Google Scholar] [CrossRef] [PubMed]
- Baron, E.J.; Peterson, L.R.; Finegold, S.M. Baily & Scotts Diagnostic Microbiology, 9th ed.; Mosby-Yearbook, Inc.: Missouri, MO, USA, 1994; pp. 321–330. ISBN 0-8016-6987-1. [Google Scholar]
- CLSI. Performance Standards for Antimicrobial Susceptibility Testing. CLSI Supplement M100, 30th ed.; Clinical and Laboratory Standards Institute: Wayne, PA, USA, 2020. [Google Scholar]
- Alipour, F.; Ahmadi, M.; Javadi, S. Evaluation of different methods to detect methicillin resistance in Staphylococcus aureus (MRSA). J. Infect. Public Health 2014, 7, 186–191. [Google Scholar] [CrossRef] [PubMed]
- Kondo, Y.; Ito, T.; Ma, X.X.; Watanabe, S.; Kreiswirth, B.N.; Etienne, J.; Hiramatsu, K. Combination of multiplex PCRs for staphylococcal cassette chromosome mec type assignment: Rapid identification system for mec, ccr, and major differences in junkyard regions. Antimicrob. Agents Chemother. 2007, 51, 264–274. [Google Scholar] [CrossRef]
- RCoreTeam. R: A Language and Environment for Statistical Computing. Available online: https://www.R-project.org/ (accessed on 11 February 2021).
- Loeffler, A.; Lloyd, D.H. What has changed in canine pyoderma? A narrative review. Vet. J. 2018, 235, 73–82. [Google Scholar] [CrossRef] [PubMed]
- Köck, R.; Ballhausen, B.; Bischoff, M.; Cuny, C.; Eckmanns, T.; Fetsch, A.; Harmsen, D.; Goerge, T.; Oberheitmann, B.; Schwarz, S.; et al. The impact of zoonotic MRSA colonization and infection in Germany. Berl. Munch. Tierarztl. Wochenschr. 2014, 127, 384–398. [Google Scholar] [PubMed]
- Catry, B.; Van Duijkeren, E.; Pomba, M.C.; Greko, C.; Moreno, M.A.; Pyörälä, S.; Ruzauskas, M.; Sanders, P.; Threlfall, E.J.; Ungemach, F.; et al. Reflection paper on MRSA in food-producing and companion animals: Epidemiology and control options for human and animal health. Epidemiol. Infect. 2010, 138, 626–644. [Google Scholar] [CrossRef] [PubMed]
- Bramble, M.; Morris, D.; Tolomeo, P.; Lautenbach, E. Potential role of pet animals in household transmission of methicillin-resistant Staphylococcus aureus: A narrative review. Vector Borne Zoonotic Dis. 2011, 11, 617–620. [Google Scholar] [CrossRef]
- Kaspar, U.; von Lützau, A.; Schlattmann, A.; Roesler, U.; Köck, R.; Becker, K. Zoonotic multidrug-resistant microorganisms among small companion animals in Germany. PLoS ONE 2018, 13, e0208364. [Google Scholar] [CrossRef]
- Ishihara, K.; Saito, M.; Shimokubo, N.; Muramatsu, Y.; Maetani, S.; Tamura, Y. Methicillin-resistant Staphylococcus aureus carriage among veterinary staff and dogs in private veterinary clinics in Hokkaido, Japan. Microbiol. Immunol. 2014, 58, 149–154. [Google Scholar] [CrossRef]
- Menandro, M.L.; Dotto, G.; Mondin, A.; Martini, M.; Ceglie, L.; Pasotto, D. Prevalence and characterization of methicillin-resistant Staphylococcus pseudintermedius from symptomatic companion animals in Northern Italy: Clonal diversity and novel sequence types. Comp. Immunol. Microbiol. Infect. Dis. 2019, 66, 101331. [Google Scholar] [CrossRef]
- González-Domínguez, M.S.; Carvajal, H.D.; Calle-Echeverri, D.A.; Chinchilla-Cárdenas, D. Molecular Detection and Characterization of the mecA and nuc genes from staphylococcus species (S. aureus, S. pseudintermedius, and S. schleiferi) isolated from dogs suffering superficial pyoderma and their antimicrobial resistance profiles. Front. Vet. Sci. 2020, 7, 376. [Google Scholar] [CrossRef]
- Sasaki, T.; Tsubakishita, S.; Tanaka, Y.; Sakusabe, A.; Ohtsuka, M.; Hirotaki, S.; Kawakami, T.; Fukata, T.; Hiramatsu, K. Multiplex-PCR method for species identification of coagulase-positive staphylococci. J. Clin. Microbiol. 2010, 48, 765. [Google Scholar] [CrossRef]
- Perreten, V.; Kania, S.A.; Bemis, D. Staphylococcus ursi sp. nov., a new member of the ‘Staphylococcus intermedius group’ isolated from healthy black bears. Int. J. Syst. Evol. Microbiol. 2020, 70, 4637–4645. [Google Scholar] [CrossRef]
- Murray, A.K.; Lee, J.; Bendall, R.; Zhang, L.; Sunde, M.; Schau Slettemeås, J.; Gaze, W.; Page, A.J.; Vos, M. Staphylococcus cornubiensis sp. nov., a member of the Staphylococcus intermedius Group (SIG). Int. J. Syst. Evol. Microbiol. 2018, 68, 3404–3408. [Google Scholar] [CrossRef]
- Aires-de-Sousa, M. Methicillin-resistant Staphylococcus aureus among animals: Current overview. Clin. Microbiol. Infect. 2017, 23, 373–380. [Google Scholar] [CrossRef] [PubMed]
- Loncaric, I.; Lepuschitz, S.; Ruppitsch, W.; Trstan, A.; Andreadis, T.; Bouchlis, N.; Marbach, H.; Schauer, B.; Szostak, M.P.; Feßler, A.T.; et al. Increased genetic diversity of methicillin-resistant Staphylococcus aureus (MRSA) isolated from companion animals. Vet. Microbiol. 2019, 235, 118–126. [Google Scholar] [CrossRef]
- Worthing, K.A.; Brown, J.; Gerber, L.; Trott, D.J.; Abraham, S.; Norris, J.M. Methicillin-resistant staphylococci amongst veterinary personnel, personnel-owned pets, patients and the hospital environment of two small animal veterinary hospitals. Vet. Microbiol. 2018, 223, 79–85. [Google Scholar] [CrossRef]
- Van Balem, J.C.; Landers, T.; Nutt, E.; Dent, A.; Hoet, A.E. Molecular epidemiological analysis to assess the influence of pet-ownership in the biodiversity of Staphylococcus aureus and MRSA in dog- and non-dog-owning healthy households. Epidemiol. Infect. 2017, 145, 1135–1147. [Google Scholar] [CrossRef]
- Bender, J.B.; Schiffman, E.; Hiber, L.; Gerads, L.; Olsen, K. Recovery of staphylococci from computer keyboards in a veterinary medical centre and the effect of routine cleaning. Vet. Rec. 2012, 170, 414. [Google Scholar] [CrossRef]
- Joffe, D.; Goulding, F.; Langelier, K.; Magyar, G.; McCurdy, L.; Milstein, M.; Nielsen, K.; Villemaire, S. Prevalence of methicillin-resistant staphylococci in canine pyoderma cases in primary care veterinary practices in Canada: A preliminary study. Can. Vet. J. 2015, 56, 1084–1086. [Google Scholar]
- Nakaminami, H.; Okamura, Y.; Tanaka, S.; Wajima, T.; Murayama, N.; Noguchi, N. Prevalence of antimicrobial-resistant staphylococci in nares and affected sites of pet dogs with superficial pyoderma. J. Vet. Med. Sci. 2021, 83, 214–219. [Google Scholar] [CrossRef]
- Ference, E.H.; Danielian, A.; Kim, H.W.; Yoo, F.; Kuan, E.C.; Suh, J.D. Zoonotic Staphylococcus pseudintermedius sinonasal infections: Risk factors and resistance patterns. Int. Forum Allergy Rhinol. 2019, 9, 724–729. [Google Scholar] [CrossRef]
- Hillier, A.; Lloyd, D.H.; Weese, J.S.; Blondeau, J.M.; Boothe, D.; Breitschwerdt, E.; Guardabassi, L.; Papich, M.G.; Rankin, S.; Turnidge, J.D.; et al. Guidelines for the diagnosis and antimicrobial therapy of canine superficial bacterial folliculitis (antimicrobial guidelines working group of the international society for companion animal infectious diseases). Vet. Dermatol. 2014, 25, 163-e143. [Google Scholar] [CrossRef] [PubMed]
- Feng, Y.; Tian, W.; Lin, D.; Luo, Q.; Zhou, Y.; Yang, T.; Deng, Y.; Liu, Y.H.; Liu, J.H. Prevalence and characterization of methicillin-resistant Staphylococcus pseudintermedius in pets from South China. Vet. Microbiol. 2012, 160, 517–524. [Google Scholar] [CrossRef]
- Kern, A.; Perreten, V. Clinical and molecular features of methicillin-resistant, coagulase-negative staphylococci of pets and horses. J. Antimicrob. Chemother. 2013, 68, 1256–1266. [Google Scholar] [CrossRef] [PubMed]
- Park, Y.K.; Paik, Y.H.; Yoon, J.W.; Fox, L.K.; Hwang, S.Y.; Park, Y.H. Dissimilarity of ccrAB gene sequences between methicillin-resistant Staphylococcus epidermidis and methicillin-resistant Staphylococcus aureus among bovine isolates in Korea. J. Vet. Sci. 2013, 14, 299–305. [Google Scholar] [CrossRef]
- Youn, J.-H.; Koo, H.C.; Ahn, K.J.; Lim, S.-K.; Park, Y.H. Determination of staphylococcal exotoxins, SCCmec types, and genetic relatedness of Staphylococcus intermedius group isolates from veterinary staff, companion animals, and hospital environments in Korea. J. Vet. Sci. 2011, 12, 221–226. [Google Scholar] [CrossRef] [PubMed]



| Antimicrobial Agent | Antimicrobial Susceptibility n (%) | ||
|---|---|---|---|
| Susceptible | Intermediate | Resistant | |
| Penicillin | 19 (33.93%) | 0 (0%) | 37 (66.07%) |
| Ampicillin | 21 (37.50%) | 0 (0%) | 35 (62.50%) |
| Cefoxitin | 44 (78.57%) | 0 (0%) | 12 (21.43%) |
| Amoxicillin/clavulanate | 43 (76.79%) | 0 (0%) | 13 (23.21%) |
| Cefazolin | 43 (76.79%) | 0 (0%) | 13 (23.21%) |
| Cefpodoxime | 43 (76.79%) | 0 (0%) | 13 (23.21%) |
| Amikacin | 38 (67.86%) | 15 (26.79%) | 3 (5.36%) |
| Gentamicin | 39 (69.64%) | 14 (25%) | 3 (5.36%) |
| Doxycycline | 52 (92.86%) | 4 (7.14%) | 0 (0%) |
| Ciprofloxacin | 44 (78.57%) | 0 (0%) | 12 (21.43%) |
| Chloramphenicol | 46 (82.14%) | 2 (3.57%) | 8 (14.29%) |
| Clindamycin | 38 (67.86%) | 6 (10.71%) | 12 (21.43%) |
| Erythromycin | 37 (66.07%) | 5 (8.93%) | 14 (25%) |
| Linezolid | 56 (100%) | 0 (0%) | 0 (0%) |
| Rifampin | 56 (100%) | 0 (0%) | 0 (0%) |
| Trimethoprim/Sulfamethoxazole | 38 (67.86%) | 7 (12.50%) | 17 (30.36%) |
| NO. | Isolate ID | Bacteria | Oxacillin MIC (µg/mL) | Cefoxitin (30 µg) Disk Diffusion Test | mecA Gene | ccr Gene Complex | mec Gene Complex | SCCmec Typing |
|---|---|---|---|---|---|---|---|---|
| 1 | CMU 3 | S. pseudintermedius/S. intermedius | >4, Resistant | NA | Positive | C | C2 | V |
| 2 | CMU 27 | S. pseudintermedius/S. intermedius | >4, Resistant | NA | Positive | C | C2 | V |
| 3 | CMU 29 | S. pseudintermedius/S. intermedius | >4, Resistant | NA | Positive | C | C2 | V |
| 4 | CMU 33 | Staphylococcus lentus | 0.5, Resistant | Resistant | Positive | C | C2 | V |
| 5 | CMU 42 | Staphylococcus arlettae | 1, Resistant | Resistant | Positive | C | C2 | V |
| 6 | CMU 52 | S. pseudintermedius/S. intermedius | >4, Resistant | NA | Positive | A1B1, C | C2 | Non-typeable |
| 7 | CMU 61 | Staphylococcus xylosus | 0.5, Resistant | Resistant | Positive | C | C2 | V |
| 8 | CMU 62 | S. pseudintermedius/S. intermedius | 1, Resistant | NA | Positive | A1B1, C | C2 | Non-typeable |
| 9 | CMU 64 | Staphylococcus aureus | >4, Resistant | Resistant | Positive | C | C2 | V |
| 10 | CMU 68 | S. pseudintermedius/S. intermedius | 1, Resistant | NA | Positive | A1B1, C | C2 | Non-typeable |
| 11 | CMU 71 | S. pseudintermedius/S. intermedius | >4, Resistant | NA | Positive | C | C2 | V |
| 12 | CMU 88 | S. pseudintermedius/S. intermedius | >4, Resistant | NA | Positive | A1B1, C | C | Non-typeable |
Publisher’s Note: MDPI stays neutral with regard to jurisdictional claims in published maps and institutional affiliations. |
© 2021 by the authors. Licensee MDPI, Basel, Switzerland. This article is an open access article distributed under the terms and conditions of the Creative Commons Attribution (CC BY) license (https://creativecommons.org/licenses/by/4.0/).
Share and Cite
Chanayat, Y.; Akatvipat, A.; Bender, J.B.; Punyapornwithaya, V.; Meeyam, T.; Anukool, U.; Pichpol, D. The SCCmec Types and Antimicrobial Resistance among Methicillin-Resistant Staphylococcus Species Isolated from Dogs with Superficial Pyoderma. Vet. Sci. 2021, 8, 85. https://doi.org/10.3390/vetsci8050085
Chanayat Y, Akatvipat A, Bender JB, Punyapornwithaya V, Meeyam T, Anukool U, Pichpol D. The SCCmec Types and Antimicrobial Resistance among Methicillin-Resistant Staphylococcus Species Isolated from Dogs with Superficial Pyoderma. Veterinary Sciences. 2021; 8(5):85. https://doi.org/10.3390/vetsci8050085
Chicago/Turabian StyleChanayat, Yuttana, Areerath Akatvipat, Jeff B. Bender, Veerasak Punyapornwithaya, Tongkorn Meeyam, Usanee Anukool, and Duangporn Pichpol. 2021. "The SCCmec Types and Antimicrobial Resistance among Methicillin-Resistant Staphylococcus Species Isolated from Dogs with Superficial Pyoderma" Veterinary Sciences 8, no. 5: 85. https://doi.org/10.3390/vetsci8050085
APA StyleChanayat, Y., Akatvipat, A., Bender, J. B., Punyapornwithaya, V., Meeyam, T., Anukool, U., & Pichpol, D. (2021). The SCCmec Types and Antimicrobial Resistance among Methicillin-Resistant Staphylococcus Species Isolated from Dogs with Superficial Pyoderma. Veterinary Sciences, 8(5), 85. https://doi.org/10.3390/vetsci8050085

