Next Issue
Volume 13, February
Previous Issue
Volume 12, December
 
 

Vet. Sci., Volume 13, Issue 1 (January 2026) – 111 articles

  • Issues are regarded as officially published after their release is announced to the table of contents alert mailing list.
  • You may sign up for e-mail alerts to receive table of contents of newly released issues.
  • PDF is the official format for papers published in both, html and pdf forms. To view the papers in pdf format, click on the "PDF Full-text" link, and use the free Adobe Reader to open them.
Cover Story (view full-size image):
Order results
Result details
Section
Select all
Export citation of selected articles as:
6 pages, 298 KB  
Brief Report
Cystinuria in an Australian Cattle Dog Family—A Seemingly Androgen-Associated Autosomal Dominant Trait
by Alexandra Kehl, Maria Brockmann, Sabine Helmes, Andrea Hildebrand, Sabine Döll, Elisabeth Mueller and Urs Giger
Vet. Sci. 2026, 13(1), 111; https://doi.org/10.3390/vetsci13010111 - 22 Jan 2026
Viewed by 249
Abstract
In Australian Cattle Dogs (AUCDs), cystinuria was reported to be an autosomal dominant trait caused by a 6 bp deletion in the SLC3A1 gene (type II-A). Here we report an androgen association in this breed. A family of 11 adult AUCDs (five intact [...] Read more.
In Australian Cattle Dogs (AUCDs), cystinuria was reported to be an autosomal dominant trait caused by a 6 bp deletion in the SLC3A1 gene (type II-A). Here we report an androgen association in this breed. A family of 11 adult AUCDs (five intact and one neutered male and five females) was genotyped for the SLC3A1 c.1095_1100del variant, and urine was examined for concentrations of cystine, ornithine, lysine, and arginine (COLA). Among this family, three males and five females tested heterozygous for the mutation, while all other AUCDs were homozygous for the wild-type allele. The two heterozygous intact males had severe COLA-uria, which decreased markedly after castration. Neither the third heterozygous male with a history of cystine calculi but already castrated nor the five heterozygous females exhibited increased COLA-uria. Heterozygosity for the 6 bp deletion in the SLC3A1 gene was associated with cystinuria in intact male AUCDs, but not in females. Castration of the heterozygous males reduced the cystinuria. Either the type II-A cystinuria in the AUCDs is an androgen-associated dominant trait, or this family also has another type III (androgen-dependent) cystinuria. Larger surveys are needed to further define the type(s) of cystinuria and effects of castration in AUCDs. Full article
Show Figures

Figure 1

10 pages, 3617 KB  
Brief Report
Rapid Detection of Peste Des Petits Ruminants via Multienzyme Isothermal and Lateral Flow Dipstick Combination Assay Based on N Gene
by Jiamin Zhou, Jiao Xu, Jiani Li, Jiarong Yu, Yingli Wang and Jingyue Bao
Vet. Sci. 2026, 13(1), 110; https://doi.org/10.3390/vetsci13010110 - 22 Jan 2026
Viewed by 74
Abstract
In this study, a multienzyme isothermal and lateral flow dipstick combination assay for PPRV detection was established, the designed primers and probes targeting the N gene were screened and optimized, and analytical sensitivity, specificity, and repeatability of developed method were systematically evaluated. The [...] Read more.
In this study, a multienzyme isothermal and lateral flow dipstick combination assay for PPRV detection was established, the designed primers and probes targeting the N gene were screened and optimized, and analytical sensitivity, specificity, and repeatability of developed method were systematically evaluated. The experimental results demonstrated that this method is easy to operate, can complete detection within 30 min at 42 °C, and is capable of detecting all lineages of peste des petits ruminants virus (PPRV) without cross-reactivity with other viruses. The limit of detection could reach 10 copies/μL. Repeatability validation showed that the coefficients of variation (CV) for both intra-assay and inter-assay experiments were below 3.0%. The positive detection rate for clinical samples could reach 100%. The test results are visually interpretable via fluorescence and lateral flow strips. In conclusion, this method exhibits high analytical sensitivity, specificity, and excellent repeatability, enabling rapid diagnosis of peste des petits ruminants (PPR). Full article
(This article belongs to the Special Issue Prevention and Control of Infectious Diseases in Small Ruminants)
Show Figures

Figure 1

20 pages, 2032 KB  
Article
Comparative Histology of the Cornea and Palisades of Vogt in Various Non-Human Primates
by Joanna Klećkowska-Nawrot, Aleksander Chrószcz, Abit Aktaş, Wojciech Paszta, Karolina Goździewska-Harłajczuk and Dominik Poradowski
Vet. Sci. 2026, 13(1), 109; https://doi.org/10.3390/vetsci13010109 - 22 Jan 2026
Viewed by 93
Abstract
The cornea is essential for proper ocular function, yet its histological structure varies considerably among animal species. Of particular importance are the palisades of Vogt in the limbal region, as they serve as a niche for limbal epithelial stem cells involved in corneal [...] Read more.
The cornea is essential for proper ocular function, yet its histological structure varies considerably among animal species. Of particular importance are the palisades of Vogt in the limbal region, as they serve as a niche for limbal epithelial stem cells involved in corneal epithelial regeneration. This study was conducted on 73 eyeballs collected from 18 species of non-human primates originating from the Wrocław Zoological Garden (Poland). Eyeballs were fixed, processed, and embedded in paraffin. Four-micrometer sections were stained with Mayer’s H&E and PAS. Microscopically, the cornea showed either a four-layered pattern (anterior corneal epithelium, corneal stroma, Descemet’s membrane, posterior corneal epithelium) or a five-layered pattern when Bowman’s layer was present. A four-layered cornea occurred in the ring-tailed lemur, gray mouse lemur, Guianan squirrel monkey, Angolan colobus, and L’Hoest’s monkey, while the remaining species showed a five-layered structure with Bowman’s layer. The anterior corneal epithelium varied between species in thickness and number of cell layers (central region: 2–3 to 10–15 layers; 11.81 ± 0.43 µm to 44.23 ± 0.69 µm; peripheral region: 4–5 to 9–11 layers; 8.63 ± 2.57 µm to 42.45 ± 8.61 µm). Bowman’s layer ranged from 1.18 ± 0.01 µm to 3.22 ± 0.05 µm. The corneal stroma thickness differed markedly (237.96 ± 9.64 µm to 1438.29 ± 16.38 µm), as did Descemet’s membrane (4.92 ± 0.20 µm to 43.45 ± 0.49 µm), along with PAS reaction intensity. In the limbus, palisades of Vogt ranged from weakly to clearly developed; well-defined crypt-like structures were observed in the red-bellied lemur, red ruffed lemur, black-and-white ruffed lemur, Guianan squirrel monkey, L’Hoest’s monkey, Celebes crested macaque, and yellow baboon. The limbal epithelium also varied in thickness (5–6 to 15–17 cell layers). These results confirm distinct species-specific differences in corneal and limbal morphology that may reflect ecological conditions and functional adaptation. The presented data provides a comparative reference for veterinary ophthalmology and for studies on corneal epithelial regeneration involving limbal stem cells. Full article
(This article belongs to the Special Issue Vision in Focus: Advances in Veterinary Ophthalmology)
Show Figures

Figure 1

26 pages, 2989 KB  
Article
Effects of Licorice Stem and Leaf Semi-Dry Silage Instead of Alfalfa Hay on In Vitro Rumen Fermentation Characteristics and Dynamic Changes of Rumen Microbial Community in Holstein Cows
by Limin Tang, Haonan Liu, Qifeng Gao, Yuliang Sun, Xinyu Xu, Wenghao Li, Dong Lu, Lingfeng Kong, Shudong Liu and Tao Jiang
Vet. Sci. 2026, 13(1), 108; https://doi.org/10.3390/vetsci13010108 - 22 Jan 2026
Viewed by 83
Abstract
This experiment aimed to investigate the effects of replacing alfalfa hay with Glycyrrhiza stem and leaf silage (moisture content: 45%) on rumen in vitro fermentation parameters, nutrient digestibility, and dynamic changes of microbial community composition. In vitro fermentation was conducted with 0% (control [...] Read more.
This experiment aimed to investigate the effects of replacing alfalfa hay with Glycyrrhiza stem and leaf silage (moisture content: 45%) on rumen in vitro fermentation parameters, nutrient digestibility, and dynamic changes of microbial community composition. In vitro fermentation was conducted with 0% (control group G0A100), 50% (G50A50), and 100% (G100A0) alfalfa hay replaced by semi-dry silage of Glycyrrhiza stems and leaves with 45% moisture content for 72 h. Cumulative gas production (GP), fermentation parameters, microbial community composition at different time points, and post-fermentation nutrient digestibility were determined, with comprehensive evaluation by principal component analysis (PCA) and gray relational analysis (GRA). Results showed that GP of G50A50 and G100A0 was significantly higher than G0A100 at 3 h (p < 0.05), and that of G50A50 was significantly higher than the other two groups at 24 h (p < 0.05). pH of G50A50 was significantly lower than the other two groups at 3 h (p < 0.05). In vitro dry matter digestibility (IVDMD) at 24 h and 72 h, in vitro neutral detergent fiber digestibility (IVNDFD) at 12 h, and in vitro acid detergent fiber digestibility (IVADFD) at 12, 24 and 72 h of G0A100 and G50A50 were significantly higher than G100A0 (p < 0.05). PCA comprehensive scores ranked as G0A100 (0.170) > G50A50 (0.141) > G100A0 (−0.311). GRA comprehensive scores ranked as G50A50 (0.792) > G0A100 (0.756) > G100A0 (0.681). LEfSe analysis indicated distinct microbial biomarkers at 72 h, and KEGG functional profiles were highly consistent among groups. Under the experimental conditions, 50% Glycyrrhiza stem and leaf silage is recommended to replace alfalfa hay in dairy cow diets. Full article
Show Figures

Figure 1

16 pages, 6700 KB  
Article
Transcriptomic Analysis Provides Molecular Insights into Skin Development in Dezhou Donkey Foals
by Tong Li, Honglei Qu, Liyuan Wang, Qiugang Ma, Changfa Wang, Muhammad Zahoor Khan and Wenqiong Chai
Vet. Sci. 2026, 13(1), 107; https://doi.org/10.3390/vetsci13010107 - 21 Jan 2026
Viewed by 129
Abstract
Skin development undergoes significant molecular changes during early life stages in mammals. This study investigated transcriptomic differences in skin tissues between newborn (Y0) and one-year-old (Y1) Dezhou donkey foals using RNA-sequencing technology. Skin samples were collected from 13 Dezhou donkeys (7 newborns and [...] Read more.
Skin development undergoes significant molecular changes during early life stages in mammals. This study investigated transcriptomic differences in skin tissues between newborn (Y0) and one-year-old (Y1) Dezhou donkey foals using RNA-sequencing technology. Skin samples were collected from 13 Dezhou donkeys (7 newborns and 6 one-year-olds) and subjected to transcriptome analysis using the Illumina NovaSeq 6000 platform. A total of 133.66 Gb of clean data was obtained, yielding 252,342 transcripts and 204,683 unigenes. Differential expression analysis revealed 9878 significantly differentially expressed genes (DEGs) between age groups, with 4252 up-regulated and 5626 down-regulated genes in Y1 compared to Y0. Functional enrichment analysis identified key pathways, including ECM–receptor interaction, PI3K-Akt signaling, WNT signaling, and TGF-β signaling pathways. Notable findings included up-regulation of keratin genes (KRT1) and WNT family genes (WNT3, WNT4, WNT5, WNT6, WNT7, WNT10) in one-year-old foals, while collagen genes (COL1A, COL4A, COL5AS) and TGF-β signaling components (TGFB2, TGFB3, BMP5) were down-regulated. These results suggest that skin maturation involves enhanced barrier function, hair follicle development, and reduced collagen synthesis rates, providing insights into mammalian skin development mechanisms and potential applications in veterinary medicine and comparative biology. Full article
(This article belongs to the Special Issue Advancements in Livestock Histology and Morphology)
Show Figures

Figure 1

10 pages, 1247 KB  
Article
Dermatosis Associated with Feeding Low-Quality Food (Generic Food Dermatosis): A Case Series
by Alejandro Blanco, Melisa López, Laura Kantor, Adriana Duchene and Lluís Ferrer
Vet. Sci. 2026, 13(1), 106; https://doi.org/10.3390/vetsci13010106 - 21 Jan 2026
Viewed by 169
Abstract
Severe crusting dermatosis affecting the mucocutaneous junctions, pressure points, and trunk of dogs fed low-quality dry food was first reported in the United States in the 1980s. Since then, only a few cases have been documented. Twenty-two adult dogs owned by private individuals [...] Read more.
Severe crusting dermatosis affecting the mucocutaneous junctions, pressure points, and trunk of dogs fed low-quality dry food was first reported in the United States in the 1980s. Since then, only a few cases have been documented. Twenty-two adult dogs owned by private individuals were evaluated. All dogs exhibited thick crusts forming plaques and marked scaling on the face—particularly around the lips, nasal bridge, and eyelids—as well as on the paw pads, dorsal digits, abdomen, and dorsum. Pruritus ranged from moderate to severe, and all dogs showed varying degrees of lethargy and reduced activity. Each dog was fed a low-quality commercial diet. A presumptive diagnosis of dermatosis associated with poor-quality food was made. Skin biopsies from nine dogs revealed similar histopathologic changes, characterized by epidermal hyperplasia, severe parakeratotic hyperkeratosis with spongiosis, and exocytosis of lymphocytes and neutrophils. The skin lesions resolved within 15–30 days after switching to a high-quality diet. This case series highlights that dermatosis associated with low-quality food should remain in the differential diagnosis for dogs presenting with symmetric crusted and scaly lesions on the face, mucocutaneous junctions, and paws, particularly when nutritional deficiencies are suspected. Full article
(This article belongs to the Section Nutritional and Metabolic Diseases in Veterinary Medicine)
Show Figures

Figure 1

20 pages, 3293 KB  
Article
Multi-Omics Analysis Provides Insights into the Key Regulatory Pathways of Energy Metabolism in GIFT Under Salinity Stress
by Yumeng Zhang, Binglin Chen, Dayu Li, Zhiying Zou, Jinglin Zhu, Jie Yu, Hong Yang and Wei Xiao
Vet. Sci. 2026, 13(1), 105; https://doi.org/10.3390/vetsci13010105 - 21 Jan 2026
Viewed by 106
Abstract
Salinity stress represents a critical environmental constraint that significantly limits the development of tilapia aquaculture in brackish water environments. Its substantial impacts on fundamental physiological processes in fish, particularly osmotic balance, energy metabolism, and antioxidant defense mechanisms, have become a major scientific concern [...] Read more.
Salinity stress represents a critical environmental constraint that significantly limits the development of tilapia aquaculture in brackish water environments. Its substantial impacts on fundamental physiological processes in fish, particularly osmotic balance, energy metabolism, and antioxidant defense mechanisms, have become a major scientific concern in aquaculture research. To systematically elucidate the molecular mechanisms underlying the response of genetically improved farmed tilapia (Oreochromis niloticus) to salinity stress and to test the hypothesis that it adapts through metabolic reprogramming for energy reallocation under such conditions, this study employed an integrated transcriptomic and metabolomic approach. Through a rigorously controlled experimental design with freshwater (0‰) as the control group and brackish water (24‰) as the experimental group, we conducted a comprehensive analysis of dynamic changes in gene expression profiles and metabolite spectra in the liver tissues of experimental fish. The study yielded the following key findings: First, salinity stress significantly suppressed growth performance indicators, including body weight and length, while simultaneously inducing extensive transcriptomic restructuring and profound metabolic remodeling in liver tissue. A total of 1529 differentially expressed genes (including 399 up-regulated and 1130 down-regulated genes) and 127 significantly differential metabolites were identified. Second, the organism achieved strategic reallocation of energy resources through coordinated suppression of multiple energy-consuming anabolic pathways, particularly steroid biosynthesis and fatty acid metabolism, with the remarkable down-regulation of Fasn, a key gene in the fatty acid synthesis pathway, being especially prominent. Energy-sensing and metabolic homeostasis regulatory networks played a central coordinating role in this process, guiding the organism through metabolic reprogramming by regulating downstream metabolic nodes. From a multi-omics integrative perspective, this study provides in-depth insights into the sophisticated metabolic remodeling and energy allocation strategies employed by GIFT to cope with salinity stress. These findings, particularly the suppression of fatty acid biosynthesis and the reprogramming of glycolysis/gluconeogenesis pathways, not only elucidate the molecular mechanisms by which teleosts achieve environmental adaptation through energy reallocation, but also provide actionable molecular targets for the selective breeding of salinity-resilient tilapia strains. Full article
(This article belongs to the Section Veterinary Physiology, Pharmacology, and Toxicology)
Show Figures

Figure 1

18 pages, 981 KB  
Article
A Sustainable Strategy for Gastrointestinal Nematode Control in Sheep
by Lorella Giuliotti, Maria Novella Benvenuti, Angelo Gazzano, Valentina Gazzano, Giorgia Romeo and Fabio Macchioni
Vet. Sci. 2026, 13(1), 104; https://doi.org/10.3390/vetsci13010104 - 21 Jan 2026
Viewed by 112
Abstract
Gastrointestinal nematodes (GIN) represent a major constraint to sheep production, and sustainable alternatives to routine anthelmintic use are increasingly required. This study compared two parasite control strategies in Zerasca sheep: routine albendazole treatment administered twice yearly (T) and a long-term non-chemical approach based [...] Read more.
Gastrointestinal nematodes (GIN) represent a major constraint to sheep production, and sustainable alternatives to routine anthelmintic use are increasingly required. This study compared two parasite control strategies in Zerasca sheep: routine albendazole treatment administered twice yearly (T) and a long-term non-chemical approach based on rotational grazing (relocation to a new pasture when grass height fell below 10 cm) combined with quarterly veterinary monitoring (NT). Twenty-four adult ewes (n = 12 per group) were monitored over an eight-month period. Mean faecal egg counts (EPG) differed significantly between groups (T: 210 ± 78; NT: 529 ± 89; p = 0.0007). In group T, EPG values decreased markedly 7 days after treatment but increased again by 150 days, resulting in no persistent differences between groups over time. Despite higher parasite burdens, NT sheep showed significantly higher body condition scores compared with treated animals (3.00 ± 0.61 vs. 2.51 ± 0.53; p = 0.0014). Haematological parameters were largely comparable between groups, although mild reductions in RBC, HGB, and HCT were observed in both. Treated sheep exhibited higher AST activity (p < 0.0001) and transient increases in ALT and BUN following treatment. Hair cortisol concentrations did not differ significantly between groups. Overall, these findings suggest that a non-chemical parasite management strategy, when combined with controlled grazing and veterinary monitoring, may maintain acceptable parasite levels while supporting body condition and stable welfare indicators, potentially reducing reliance on routine anthelmintic treatments. Full article
(This article belongs to the Section Veterinary Microbiology, Parasitology and Immunology)
Show Figures

Figure 1

17 pages, 5352 KB  
Article
Characterization of Enterococcus faecium Based on Multi-Omics Approaches: Genomic, Transcriptomic, and Phenotypic Analyses
by Jiayan Huang, Haoyu Fan, Yurui Wang, Xiao Yue, Zixuan Li, Zhanchun Bai, Da Qiong, Zhuoma Gesang and Sizhu Suolang
Vet. Sci. 2026, 13(1), 103; https://doi.org/10.3390/vetsci13010103 - 21 Jan 2026
Viewed by 113
Abstract
Animal-derived E. faecium poses a public health risk due to its capacity to acquire antimicrobial resistance (AMR) and virulence genes. However, the pathogenicity and cross-host transmission potential of strains originating from unique environments, such as the Qinghai–Tibet Plateau, remain poorly understood. In this [...] Read more.
Animal-derived E. faecium poses a public health risk due to its capacity to acquire antimicrobial resistance (AMR) and virulence genes. However, the pathogenicity and cross-host transmission potential of strains originating from unique environments, such as the Qinghai–Tibet Plateau, remain poorly understood. In this study, a strain of E. faecium was isolated from yak feces. We constructed a phylogenetic tree and identified AMR and virulence genes via whole-genome sequencing. Antimicrobial susceptibility testing was performed to determine its resistance phenotype. An in vivo mouse infection model was established to assess pathogenicity, and transcriptomic analysis was utilized to investigate the host’s molecular response mechanisms in infected intestinal tissue. The results indicated that this yak-derived strain is closely related to human clinical isolates, suggesting a risk of cross-host transmission. The strain harbored the AMR genes AAC(6′)-Ii, msrC, and eatAv and exhibited resistance to penicillin, kanamycin, erythromycin, and clindamycin. The strain harbored key virulence genes, such as bopD, Acm, and ClpP. Infection with this strain caused characteristic inflammatory damage in mouse intestinal tissue, as revealed by histopathological examination, including epithelial necrosis, vascular congestion, and inflammatory cell infiltration. Transcriptomics further delineated a complete “Recognition–Response–Damage” signaling axis: pathogen recognition through Toll-like receptors and NOD-like receptors activates the NF-κB and MAPK signaling pathways. This activation is accompanied by significant upregulation of various inflammatory factors and recruits immune cells via chemokine signaling, ultimately leading to tissue damage. Our findings provide insights into the pathogenic pathway of this strain from genetic determinants to phenotypic manifestations, providing a theoretical foundation for assessing the public health risk posed by animal-derived E. faecium and for developing targeted intervention strategies. Full article
(This article belongs to the Section Veterinary Food Safety and Zoonosis)
Show Figures

Figure 1

12 pages, 1175 KB  
Article
Whole Blood Viscosity and Its Associations with Age, Hematologic Indices, and Serum Biochemical Variables in Clinically Healthy Beagle Dogs and Korean Shorthair Cats
by Jinseok Son, Ji-Hyun Park, Seongjun Kim, Chae-Yeon Hong, Chang-Hwan Moon, Yong-ho Choe, Tae-sung Hwang, Jaemin Kim, Sung-Lim Lee and Dongbin Lee
Vet. Sci. 2026, 13(1), 102; https://doi.org/10.3390/vetsci13010102 - 20 Jan 2026
Viewed by 1295
Abstract
This study investigated whether Whole blood viscosity (WBV) varies with age in clinically healthy Beagle dogs and Korean Shorthair cats and examined the hematologic and biochemical variables associated with WBV. WBV was measured across multiple shear rates using a scanning capillary viscometry; complete [...] Read more.
This study investigated whether Whole blood viscosity (WBV) varies with age in clinically healthy Beagle dogs and Korean Shorthair cats and examined the hematologic and biochemical variables associated with WBV. WBV was measured across multiple shear rates using a scanning capillary viscometry; complete blood count (CBC) and serum chemistry profiles were also evaluated. Both species demonstrated characteristic shear-thinning behavior. WBV showed a strong association with red blood cell count (RBC), hematocrit (HCT), and hemoglobin (Hb) in both species, with additional association with serum proteins and cholesterol in dogs. No significant relationship between WBV and age was identified at any shear rate, and principal component analysis (PCA) revealed no age-related clustering in the viscosity profiles. These findings indicated that WBV does not exhibit meaningful age-dependent trends in healthy companion animals. This suggests that, in a clinical setting, deviations in normal WBV are more likely to influence underlying physiological or pathological factors than normal aging. Full article
(This article belongs to the Section Veterinary Physiology, Pharmacology, and Toxicology)
Show Figures

Graphical abstract

9 pages, 1597 KB  
Brief Report
Unveiling Intestinal Emphysema in Pigs: Morphological Insights and Pathogenetic Implications
by Alfonso Rosamilia, Simona Baghini, Chiara Guarnieri, Anastasia Romano, Umberto Tosi, Giuseppe Marruchella and Attilio Corradi
Vet. Sci. 2026, 13(1), 101; https://doi.org/10.3390/vetsci13010101 - 20 Jan 2026
Viewed by 180
Abstract
Intestinal emphysema is a rare pathological condition observed in humans and animals, characterized by the presence of multiple gas-filled cysts within the intestinal wall. In pigs, it is occasionally observed at slaughter, without affecting carcass suitability for human consumption or impairing farm profitability. [...] Read more.
Intestinal emphysema is a rare pathological condition observed in humans and animals, characterized by the presence of multiple gas-filled cysts within the intestinal wall. In pigs, it is occasionally observed at slaughter, without affecting carcass suitability for human consumption or impairing farm profitability. Despite investigations, the etiology and pathogenesis of intestinal emphysema remain poorly understood. Therefore, this study aimed to provide further morphological insights into porcine intestinal emphysema through histopathological, histochemical and immunohistochemical methods. A total of ten slaughtered heavy pigs were examined, showing gross lesions consistent with intestinal emphysema. Gaseous cysts were predominantly located in the submucosal and mesenteric layers, at least partially lined by lymphatic endothelial cells. The cysts were separated by fibrous connective septa and were almost invariably associated with granulomas, consisting of epithelioid macrophages and multinucleated giant cells. Overall, the immunohistochemical patterns of porcine intestinal emphysema overlap with those described in humans and support the hypothesis that lesions likely originate within the lymphatic vessels. Full article
(This article belongs to the Section Anatomy, Histology and Pathology)
Show Figures

Figure 1

15 pages, 1270 KB  
Review
Capillaria hepatica—A Neglected Zoonotic Parasite
by Juntao Liu, Ruoyan Liu, Jingfei Huang, Qing Liu, Jiarun Cui and Huimei Yu
Vet. Sci. 2026, 13(1), 100; https://doi.org/10.3390/vetsci13010100 - 20 Jan 2026
Viewed by 394
Abstract
As an important zoonotic parasite, Capillaria hepatica poses a threat to human health that cannot be ignored due to its association with high mortality and serious damage to the liver, although there are relatively few human infections. The infection rate of Capillaria hepatica [...] Read more.
As an important zoonotic parasite, Capillaria hepatica poses a threat to human health that cannot be ignored due to its association with high mortality and serious damage to the liver, although there are relatively few human infections. The infection rate of Capillaria hepatica in rodents is very high, which poses a great threat to the health of rodents, and Rattus norvegicus has been found to be the main group carrying Capillaria hepatica. Capillaria hepatica’s unique biological characteristics, including its morphological features and complex life history, determine the specificity of its infection and pathogenicity. In terms of epidemiology, Capillaria hepatica has a worldwide distribution, a wide variety of hosts (mainly rodents), and various transmission routes, all of which increase the difficulty of its prevention and control. Children are more likely to be infected by it, and there is little gender difference among the infected population. Although there are a variety of diagnostic methods for hepatic capillariasis, all of them have certain limitations. In addition, due to its non-specific clinical manifestations, early accurate diagnosis of hepatic capillariasis is still a challenge. This article reviews the biological characteristics and pathogenic mechanism of Capillaria hepatica, the epidemiology of human infection, the epidemiology of animal infection, and the diagnosis and treatment of hepatic capillariasis, so as to provide a useful reference for related research and clinical practice. Full article
Show Figures

Figure 1

20 pages, 2572 KB  
Article
Single-Nucleotide Polymorphisms in Calpastatin (CAST) and Micro-Calpain (CAPN1) Genes Influencing Meat Tenderness in Crossbred Beef Cattle in Thailand
by Thanathip Thaloengsakdadech, Supawit Triwutanon, Preeda Lertwatcharasarakul, Nitipong Homwong and Theera Rukkwamsuk
Vet. Sci. 2026, 13(1), 99; https://doi.org/10.3390/vetsci13010099 - 19 Jan 2026
Viewed by 156
Abstract
This study investigated single-nucleotide polymorphisms (SNPs) within the CAPN1 316, CAPN1 4751, and CAST 2959 markers using high-resolution melting (HRM) analysis to predict meat tenderness in crossbred beef cattle. Tenderness was assessed using the Warner–Bratzler shear force (WBSF) test, with results expressed in [...] Read more.
This study investigated single-nucleotide polymorphisms (SNPs) within the CAPN1 316, CAPN1 4751, and CAST 2959 markers using high-resolution melting (HRM) analysis to predict meat tenderness in crossbred beef cattle. Tenderness was assessed using the Warner–Bratzler shear force (WBSF) test, with results expressed in grams (g), representing the force required to shear muscle fibers. Significant differences in phenotypic data were observed among the genotypic groups. The finding showed that polymorphisms at CAPN1 316, CAPN1 4751, and CAST 2959 exert interactive effects on meat quality traits. Notably, the TT genotype at CAPN1 4751 increased the adjusted WBSF (aWBSF) by approximately 792 g, indicating that TT was an unfavorable variant for tenderness. These results support the use of marker-assisted selection strategies in which the TT genotype is managed to minimize its frequency while other relevant markers are concurrently monitored, thereby enhancing genetic progress in meat tenderness across commercial cattle populations. This study demonstrated that CAPN1 4751 could serve as an effective marker for genetic selection in crossbred beef cattle and confirmed the efficiency of HRM analysis as a molecular tool for SNP genotyping. In conclusion, the findings provided an alternative approach for SNP detection in livestock breeding programs and represented an important step toward improving meat quality, meeting consumer expectations, and supporting the long-term sustainability of Thailand’s beef industry. The results highlighted the polygenic nature of meat tenderness and emphasized the importance of integrating multiple SNP markers to accurately assess the genetic potential for meat quality traits in cattle. Full article
(This article belongs to the Section Veterinary Physiology, Pharmacology, and Toxicology)
Show Figures

Figure 1

17 pages, 3569 KB  
Article
Complete Neutralization of Tetanus Neurotoxin by Alpaca-Derived Trivalent Nanobodies Aimed at Veterinary Medical Applications
by Chiyomi Sakamoto, Chie Shitada, Norihiko Kiyose, Nobuo Miyazaki, Sena Kamesawa, Hiroshi Morioka, Kazunori Morokuma, Kazuhiko Tomokiyo and Motohide Takahashi
Vet. Sci. 2026, 13(1), 98; https://doi.org/10.3390/vetsci13010098 - 19 Jan 2026
Viewed by 146
Abstract
Tetanus is a zoonotic disease posing significant threats to both humans and animals, particularly horses, sheep, and ruminants. Current antitoxin therapies rely on animal-derived immunoglobulins, presenting challenges including animal welfare concerns, pathogen contamination risks, and manufacturing complexity. Alpaca-derived nanobodies (VHH) are promising alternatives [...] Read more.
Tetanus is a zoonotic disease posing significant threats to both humans and animals, particularly horses, sheep, and ruminants. Current antitoxin therapies rely on animal-derived immunoglobulins, presenting challenges including animal welfare concerns, pathogen contamination risks, and manufacturing complexity. Alpaca-derived nanobodies (VHH) are promising alternatives owing to their high antigen-binding affinity, thermostability, and potential for microbial production. We developed highly active trivalent VHH antibodies (tVHH) that target multiple epitopes of tetanus neurotoxin (TeNT). Following alpaca immunization with tetanus toxoid, 41 VHH clones were isolated using phage display. Six VHH clones were selected through in vivo neutralization assays, from which three clones of VHH (8, 11, 36) were selected to construct tVHH-8/11/36 and tVHH-8/36/11. Using an improved 21-day mouse neutralization assay, tVHH-8/11/36 demonstrated exceptional neutralizing activity of approximately 1580 IU/mg against 4000 LD50 of toxin, substantially exceeding current human and veterinary anti-tetanus immunoglobulin preparations. Surface plasmon resonance and ELISA confirmed that each VHH recognizes different TeNT domains, producing synergistic neutralizing effects through multimerization. Since antitoxin therapy challenges are common to both animals and humans, this tVHH technology supports One Health by providing a unified therapeutic platform applicable across species through sustainable microbial production. Full article
(This article belongs to the Section Veterinary Microbiology, Parasitology and Immunology)
Show Figures

Figure 1

24 pages, 2570 KB  
Article
Low-Dosage Rumen Unprotected Creatine Precursor During the Transition Period in Single-Bearing Ewes Impacts Dynamic Changes in Muscle and Adipose Mass, Uterine Involution, and Fetal Programming Outcomes
by Larissa Fernandes Baia Cesar, Alfredo José Herrera Conde, Camila Muniz Cavalcanti, Bruna Vitória de Freitas Alves, Marta da Costa Sousa, Jhennyfe Nobre de Sena, Yohana Huicho Miguel, Fernando Felipe da Silva Pereira, Louhanna Pinheiro Rodrigues Teixeira, Juliana Paula Martins Alves, César Carneiro Linhares Fernandes, Aníbal Coutinho do Rêgo, Dárcio Ítalo Alves Teixeira and Davide Rondina
Vet. Sci. 2026, 13(1), 97; https://doi.org/10.3390/vetsci13010097 - 19 Jan 2026
Viewed by 147
Abstract
Little is known about the reproductive impacts of the GAA, creatine precursor, in ruminants. This study aimed to evaluate the effects of GAA supply during the transition period in ewes with single pregnancies on their uterine involution. Sixteen ewes with single pregnancy were [...] Read more.
Little is known about the reproductive impacts of the GAA, creatine precursor, in ruminants. This study aimed to evaluate the effects of GAA supply during the transition period in ewes with single pregnancies on their uterine involution. Sixteen ewes with single pregnancy were allocated to two groups: one receiving a basal diet (WGAA, n = 8) and another receiving a basal diet supplemented daily with 0.6 g/kg DM diet of GAA (RUGAA, n = 8) from 100 days of gestation to 35 days postpartum (PP). The RUGAA group showed increased feed intake after delivery and modified diet selectivity. Also, at parturition, a smaller cotyledonary surface area and lower offspring weight at birth were observed. During PP, RUGAA exhibit a slight reduction in the loin depth and backfat thickness, and higher peripheral glutathione peroxidase level. Also in PP, RUGAA expressed a greater rate of uterine lumen shrinkage, more efficient mammary parenchyma growth and a higher relative lambs growth rate. We concluded that supplementation with 0.6 g of GAA in ewes with single pregnancies improved postpartum uterine involution, but also altered the mother-fetus communication system, affecting the birth weight of the offspring. Therefore, we believe further studies are necessary to efficiently align creatine demand with the distinct physiological events that occur during gestation and the postpartum period. Full article
Show Figures

Figure 1

23 pages, 869 KB  
Article
Evaluation of 1cp-LSD for Enhancing Welfare in Shelter Dogs: A Randomized Blind Trial with Ethological Intervention
by Elisa Hernández-Álvarez, Cristina Canino-Quijada, Sira Roiz, Octavio P. Luzardo and Luis Alberto Henríquez-Hernández
Vet. Sci. 2026, 13(1), 96; https://doi.org/10.3390/vetsci13010096 - 19 Jan 2026
Viewed by 213
Abstract
Shelter environments frequently expose dogs to chronic stress and anxiety, which can compromise their welfare and reduce their chances of adoption. Recent interest in psychedelic-assisted approaches has suggested potential therapeutic applications in veterinary behavioral medicine, although empirical evidence remains scarce. This study aimed [...] Read more.
Shelter environments frequently expose dogs to chronic stress and anxiety, which can compromise their welfare and reduce their chances of adoption. Recent interest in psychedelic-assisted approaches has suggested potential therapeutic applications in veterinary behavioral medicine, although empirical evidence remains scarce. This study aimed to evaluate the combined effects of low-dose 1-cyclopropionyl lysergic acid diethylamide (1cp-LSD), a legal lysergamide prodrug of LSD in several countries, and ethological intervention (EI) on the behavior and welfare of shelter dogs. Twenty dogs were randomly assigned to four groups: pharmacological intervention, ethological intervention, combined treatment, or control. The ethological sessions were conducted by veterinary behaviorists, and pharmacological treatment consisted of 10 µg of 1cp-LSD administered orally for three weeks. Blinded evaluators assessed animals using validated anxiety and welfare scales, including a treatment expectation scale, before, during and after the intervention. Results showed that the combined condition consistently outperformed single interventions, significantly enhancing sociability, calmness, and positive emotional reactivity. Importantly, these improvements persisted for three weeks following treatment cessation, indicating sustained benefits beyond the active intervention phase. These findings provide preliminary evidence for the potential of integrating low doses of psychedelics with behavioral therapy in shelter settings. Future studies with larger cohorts and refined pharmacokinetic data are required to confirm safety, elucidate mechanisms, and optimize protocols for clinical application in veterinary practice. Full article
Show Figures

Graphical abstract

21 pages, 2633 KB  
Article
Viral Encephalopathy and Retinopathy in Dusky Groupers (Epinephelus marginatus, Lowe 1834) from Two Marine Protected Areas of the Northern Mediterranean Sea
by Enrico Volpe, Luciana Mandrioli, Riccardo Napolitano, Manuel Garcia Hartmann, Lorenzo Merotto, Albert Girons, Francesca Errani, Barbara Brunetti, Fabrizio Capoccioni and Sara Ciulli
Vet. Sci. 2026, 13(1), 95; https://doi.org/10.3390/vetsci13010095 - 18 Jan 2026
Viewed by 374
Abstract
Betanodavirus infection poses a significant threat to marine fish species in the Mediterranean, affecting both aquaculture and wild populations. Despite increasing evidence of viral circulation in farmed and wild fish, data on natural outbreaks in wild groupers remain limited. This study investigated mortality [...] Read more.
Betanodavirus infection poses a significant threat to marine fish species in the Mediterranean, affecting both aquaculture and wild populations. Despite increasing evidence of viral circulation in farmed and wild fish, data on natural outbreaks in wild groupers remain limited. This study investigated mortality episodes in wild dusky groupers (Epinephelus marginatus) within two marine protected areas (MPAs): Portofino MPA (Liguria, Italy) and Larvotto MPA (Principality of Monaco) during 2018–2019. Pathological examinations and virological diagnostics confirmed that the causative agents were betanodavirus strains belonging to the RGNNV genotype. Phylogenetic analyses revealed high genetic similarity among viral strains detected at geographically distant sites and across host species, suggesting potential regional connectivity mediated by mobile vectors or environmental transport. Seawater temperature analysis indicated that extreme and prolonged high-water temperatures were prodromal and coincided with observed outbreaks, supporting a role for thermal stress in triggering outbreak onsets. These findings highlight the susceptibility of wild dusky grouper populations to betanodavirus and underscore the interplay between host behavior, environmental conditions, and pathogen dynamics. The study emphasizes the importance of integrated health surveillance strategies within and around MPAs to monitor fish health and environmental parameters, thereby conserving wild fish populations and biodiversity. Full article
(This article belongs to the Section Veterinary Microbiology, Parasitology and Immunology)
Show Figures

Figure 1

24 pages, 10421 KB  
Article
CYPOR Variability as a Biomarker of Environmental Conditions in Bream (Abramis brama), Roach (Rutilus rutilus), Perch (Perca flavescens), and Pike-Perch (Sander lucioperca) from Lake Ladoga
by Vladimir Ponamarev, Olga Popova, Elena Semenova, Evgeny Mikhailov and Alexey Romanov
Vet. Sci. 2026, 13(1), 94; https://doi.org/10.3390/vetsci13010094 - 18 Jan 2026
Viewed by 167
Abstract
The fish liver, as the main detoxification organ, is highly susceptible to xenobiotic exposure, often resulting in various hepatopathies. The cytochrome P450 system plays a central role in xenobiotic metabolism, with cytochrome P450 reductase (CYPOR) supplying the electrons required for CYP enzyme activity. [...] Read more.
The fish liver, as the main detoxification organ, is highly susceptible to xenobiotic exposure, often resulting in various hepatopathies. The cytochrome P450 system plays a central role in xenobiotic metabolism, with cytochrome P450 reductase (CYPOR) supplying the electrons required for CYP enzyme activity. This study aimed to evaluate the relationship between the ecological state of a reservoir and fish health, including CYPOR levels, through hematological, bacteriological, and histological analyses. Samples of water and fish were collected from 12 littoral sites of Lake Ladoga. A total of 1360 specimens of fish from carp (Cyprinidae) and perch (Percidae) families were examined. For histological examination and CYPOR level determination, we selected 40 specimens using a blind randomization method. This sample size was sufficient for statistical analyses. Hematological smears were stained with azure eosin; bacteriological cultures were grown on multiple media; liver samples were stained with hematoxylin and eosin and Sudan III. CYPOR levels in liver homogenates were measured by ELISA-test. Physical and hydrochemical analyses indicated a high pollution level in the littoral zones. Isolated bacterial species were non-pathogenic but exhibited broad antibiotic resistance. Hematological evaluation revealed erythrocyte vacuolization and anisocytosis. Histological analysis showed marked fatty degeneration in hepatocytes, indicating toxic damage. CYPOR concentrations ranged from 0.3–0.4 ng/mL in healthy fish to 5–6 ng/mL in exposed specimens, showing strong correlation between environmental influence and enzyme activity. These findings demonstrate the potential of CYPOR as a sensitive biomarker for biomonitoring programs. The integrated methodological approach provides a model for assessing aquatic ecosystem health and identifying zones requiring priority remediation. Full article
(This article belongs to the Section Anatomy, Histology and Pathology)
Show Figures

Figure 1

12 pages, 620 KB  
Article
Serum Lactate Dehydrogenase as a Biomarker of Disease Burden and Chemotherapy Response in Canine High-Grade Multicentric Lymphoma
by Rafael Costa Bitencourt, Marina Franc Garcia, Adilson Paulo Marchioni Cabral, Tatiana Geraissate Gorenstein, Jéssika Cristina Chagas Lesbon, Letícia Abrahão Anai, Heidge Fukumasu, Rodrigo dos Santos Horta, Andrigo Barboza de Nardi and Aureo Evangelista Santana
Vet. Sci. 2026, 13(1), 93; https://doi.org/10.3390/vetsci13010093 - 17 Jan 2026
Viewed by 279
Abstract
Serum lactate dehydrogenase (LDH) is a recognized prognostic biomarker in human lymphomas, yet its clinical significance in canine lymphoma remains insufficiently characterized. This study aimed to quantify serum LDH levels in healthy dogs and dogs with high-grade multicentric lymphoma (ML) (predominantly B-cell) and [...] Read more.
Serum lactate dehydrogenase (LDH) is a recognized prognostic biomarker in human lymphomas, yet its clinical significance in canine lymphoma remains insufficiently characterized. This study aimed to quantify serum LDH levels in healthy dogs and dogs with high-grade multicentric lymphoma (ML) (predominantly B-cell) and to investigate correlations between LDH levels and established clinical and laboratory prognostic indicators. Twenty-seven dogs were prospectively enrolled: healthy controls (G1, n = 7) and dogs with high-grade ML (G2, n = 20). Immunophenotyping was performed by immunohistochemistry (CD3/CD79a). LDH concentrations were measured at diagnosis (T0) and after six weeks of CHOP-based induction chemotherapy (T1). Statistical analyses included Kruskal–Wallis, Wilcoxon signed-rank, Pearson’s correlation, and mixed-effects models. Dogs with high-grade ML exhibited significantly elevated LDH levels compared to controls (median 545.5 U/L, range: 288.2–2816 U/L vs. 143 U/L, range: 66–272; p < 0.001). Dogs with thrombocytopenia had higher baseline LDH (median 746 U/L, range: 612–921; p = 0.006) and greater reductions following chemotherapy (median −1011.7 U/L, range: −159 to −2064; p = 0.004). LDH levels declined significantly after treatment (overall median reduction 50.7%; post-chemotherapy range: 60.4–752 U/L; n = 15; p = 0.013), with normalization achieved in 77.8% of dogs with complete response versus 16.7% with partial or progressive disease (p = 0.02). We confirmed that serum LDH is significantly elevated in dogs with high-grade ML and declines following effective chemotherapy, supporting its utility as a dynamic biomarker of tumor burden and treatment response. Thrombocytopenic dogs may represent a biologically distinct subset warranting further investigation. Full article
(This article belongs to the Section Veterinary Internal Medicine)
Show Figures

Figure 1

18 pages, 1011 KB  
Article
Effects of Glycerol Fatty Acid Esters on Growth Performance, Methane Emissions, and Rumen Microbial Flora of Dabieshan Beef Cattle
by Junjie Nie, Xinye Li, Yongchang Luo, Hongxian Li, Yong Zhu, Chao Chen and Jinling Hua
Vet. Sci. 2026, 13(1), 92; https://doi.org/10.3390/vetsci13010092 - 16 Jan 2026
Viewed by 255
Abstract
Glycerol fatty acid esters (GFAEs) exhibit potential applications in ruminant production, including enhancing animal performance, improving nutrient utilization, and modulating rumen function. However, studies on indigenous Dabieshan beef cattle are lacking. This study aimed to evaluate GFAE’s effects on their performance, meat quality, [...] Read more.
Glycerol fatty acid esters (GFAEs) exhibit potential applications in ruminant production, including enhancing animal performance, improving nutrient utilization, and modulating rumen function. However, studies on indigenous Dabieshan beef cattle are lacking. This study aimed to evaluate GFAE’s effects on their performance, meat quality, and rumen function. Thirty 2-year-old cattle (294.73 ± 3.21 kg; mean ± SD), were randomly divided into three groups (n = 10): on a dry matter (DM) basis, CON (basal diet), 0.05 GFAE (basal + 0.05% GFAE), 0.1 GFAE (basal + 0.1% GFAE), fed for 60 days. The crude protein (CP) digestibility of the 0.05 GFAE group showed a significant 4.55% increase compared with the CON group, while that of the 0.1 GFAE group was significantly elevated by 2.76% relative to the CON group. For key meat quality indices of Dabieshan beef cattle, compared with the CON group, the 0.05 GFAE and 0.1 GFAE groups showed increases in L value by 10.14% and 7.11%, respectively (p = 0.042); decreases in shear force by 5.24% and 1.48%, respectively (p = 0.024); and increases in ether extract(EE) content by 10.91% and 2.33%, respectively (p = 0.019). Compared with the CON group, the 0.05 GFAE and 0.1 GFAE groups showed significant alterations in key serum biochemical indices of Dabieshan beef cattle: TP (total protein) levels elevated significantly by 6.44% and 13.04%, respectively (p = 0.010); total antioxidant capacity (T-AOC) increased significantly by 33.96% and 46.23%, respectively (p = 0.001); UREA concentrations decreased significantly, by 22.67% and 33.53%, respectively (p = 0.002); superoxide dismutase (SOD) activity rose significantly, by 7.30% and 7.99%, respectively (p = 0.020); and malondialdehyde (MDA) content declined significantly, by 20.25% and 28.03%, respectively (p = 0.040). Relative to the CON group, dietary supplementation with GFAE significantly increased ruminal butyrate concentrations, with the 0.05 GFAE and 0.1 GFAE supplemented groups exhibiting respective increments of 17.38% and 18.03% (p = 0.025). Both Groups 0.05 GFAE and 0.1 GFAE reduced CH4 emissions (p = 0.005) and elevated Prevotella abundance (p = 0.001). The study findings revealed that dietary supplementation with GFAE at concentrations of 0.05% and 0.1% of dry matter resulted in substantial decreases in daily methane emissions, representing respective reductions of 6.91% and 11.63% compared to the control group (p = 0.005). At the species level of the rumen microbial community, the relative abundance of the genus Prevotella_sp. was significantly elevated by 60.52% and 38.48% in the 0.05 GFAE and 0.1 GFAE groups, respectively, when contrasted with the CON group (p = 0.001). Collectively, these results demonstrate that the inclusion of dietary 0.05% GFAE supplementation conferred multifaceted benefits to Dabieshan beef cattle, thereby highlighting its potential as a viable strategy to enhance the sustainability of beef cattle production systems. Full article
Show Figures

Figure 1

17 pages, 2078 KB  
Article
Serological Findings in Pigs Vaccinated Against Actinobacillus pleuropneumoniae and the Porcine Reproductive and Respiratory Syndrome Virus
by Julian Bregen, Nicole de Buhr, Katrin Strutzberg-Minder, Marta C. Bonilla, Rabea Imker, Birte Wegner, Fritjof Freise and Isabel Hennig-Pauka
Vet. Sci. 2026, 13(1), 91; https://doi.org/10.3390/vetsci13010091 - 15 Jan 2026
Viewed by 245
Abstract
The reasons for disease outbreaks caused by Actinobacillus pleuropneumoniae (APP) in vaccinated pigs are often unknown and remain a challenge for farmers and veterinarians. One hypothesis for APP vaccine failure is the timing of APP vaccination during field or vaccine-induced viremia with Porcine [...] Read more.
The reasons for disease outbreaks caused by Actinobacillus pleuropneumoniae (APP) in vaccinated pigs are often unknown and remain a challenge for farmers and veterinarians. One hypothesis for APP vaccine failure is the timing of APP vaccination during field or vaccine-induced viremia with Porcine Reproductive and Respiratory Syndrome Virus (PRRSV), which may negatively affect the immune response to APP vaccination. In this study, fattening pigs were vaccinated with a modified live vaccine (MLV) against PRRSV either at the beginning of the fattening period (group G1) or six weeks later (group G2). All pigs were vaccinated against APP five days after the start of fattening, which coincided with MLV-PRRSV viremia in G1. Within both G1 and G2, four subgroups of pigs (n = 10) were vaccinated with three different APP vaccines or remained unvaccinated to assess serological responses to various APP antigens. MLV-PRRSV viremia had no significant effect on APP-ApxII (p = 0.127), APP-LPS (p = 0.120), or opsonophagocytic antibody responses on day 40 of fattening. Lung lesion scores at slaughter were significantly higher (p = 0.004) in pigs from G2 (1.82 ± 2.38) compared with those from G1 (0.65 ± 0.88). All APP vaccines elicited presumably protective opsonophagocytic antibodies. In conclusion, no effects of MLV-PRRSV viremia on serological responses following APP vaccination were observed. Full article
Show Figures

Figure 1

16 pages, 1946 KB  
Article
Indirect ELISA Using Multi-Antigenic Dominants of VP1, VP2, and VP3 Recombinant Protein to Detect Antibodies Against Senecavirus A in Pigs
by Zenglin Wang, Dexin Li, Yufang Li, Yunjing Zhang, Junhua Deng, Liying Hao, Kegong Tian and Xiangdong Li
Vet. Sci. 2026, 13(1), 90; https://doi.org/10.3390/vetsci13010090 - 15 Jan 2026
Viewed by 184
Abstract
Senecavirus A (SVA) is an emerging pathogen that poses a significant threat to the global swine industry. With the advent of SVA vaccines, there is a growing need to develop serological diagnostic methods for evaluating vaccine-induced immunity. This study successfully established an indirect [...] Read more.
Senecavirus A (SVA) is an emerging pathogen that poses a significant threat to the global swine industry. With the advent of SVA vaccines, there is a growing need to develop serological diagnostic methods for evaluating vaccine-induced immunity. This study successfully established an indirect enzyme-linked immunosorbent assay (iELISA) through heterologous expression of a novel VP2-VP3-VP1 tandem recombinant protein in Escherichia coli (E. coli), which was constructed by integrating B-cell epitopes from VP1, VP2, and VP3. Comparative analysis using indirect ELISA revealed that the tandem recombinant VP2-VP3-VP1 protein and VP2 exhibited superior immunoreactivity. Consequently, the iELISAs for the tandem protein and VP2 were selected for further validation. Following optimization, the cut-off for the rVP2-VP3-VP1 iELISA was set at a sample-to-positive (S/P) ratio ≥ 0.60, while that for the rVP2 iELISA was set at ≥0.53. Analysis of kinetic sera from inactivated vaccine-immunized pigs showed that the rVP2-VP3-VP1 iELISA detected seroconversion synchronously with neutralizing antibodies, earlier than anti-VP2 antibodies. Finally, a serological survey for SVA was conducted in parts of mainland China from 2023 to 2024, with the rVP2-VP3-VP1 iELISA revealing an overall seroprevalence of 20.8%. These results indicate that the established detection method can be effectively used to evaluate SVA immunity and for epidemic surveillance. Full article
Show Figures

Figure 1

11 pages, 550 KB  
Article
Serum Growth Differentiation Factor 8 (Myostatin) Concentrations in Cats with Early-Stage Chronic Kidney Disease
by Kerrigan Fleming and William H. Whitehouse
Vet. Sci. 2026, 13(1), 89; https://doi.org/10.3390/vetsci13010089 - 15 Jan 2026
Viewed by 194
Abstract
Weight loss occurs with chronic kidney disease (CKD) and is present in the early stages. Growth differentiation factor 8 (GDF8), also known as myostatin, is a negative regulator of muscle growth, and circulating GDF8 concentrations are increased in people with CKD. The objective [...] Read more.
Weight loss occurs with chronic kidney disease (CKD) and is present in the early stages. Growth differentiation factor 8 (GDF8), also known as myostatin, is a negative regulator of muscle growth, and circulating GDF8 concentrations are increased in people with CKD. The objective of this study was to evaluate if serum GDF8 concentrations in cats with early CKD are increased compared to healthy cats. Associations of GDF8 with age, sex, body weight, body condition score (BCS), muscle condition score (MCS), and selected renal parameters were also examined. Serum GDF8 in healthy (n = 10), International Renal Interest Society (IRIS) stage 1 CKD (n = 5), and IRIS stage 2 CKD (n = 10) cats was quantified using a commercially available sandwich ELISA. GDF8 was not different amongst healthy cats (2137 ± 740 pg/mL) and cats with IRIS stage 1 (1785 ± 530 pg/mL) and IRIS stage 2 (1961 ± 638 pg/mL; p = 0.608) CKD. GDF8 was moderately correlated with MCS (rs = 0.517, 95% CI 0.006–0.814, p = 0.049) and inversely correlated with age (r = −0.429, 95% CI −0.705 to −0.041, p = 0.032), but no association was found with the selected renal parameters, body weight, or BCS. Full article
(This article belongs to the Section Veterinary Internal Medicine)
Show Figures

Figure 1

20 pages, 3268 KB  
Article
Portable Electronic Olfactometer for Non-Invasive Screening of Canine Ehrlichiosis: A Proof-of-Concept Study Using Machine Learning
by Silvana Valentina Durán Cotrina, Cristhian Manuel Durán Acevedo and Jeniffer Katerine Carrillo Gómez
Vet. Sci. 2026, 13(1), 88; https://doi.org/10.3390/vetsci13010088 - 15 Jan 2026
Viewed by 261
Abstract
Canine ehrlichiosis, caused by Ehrlichia canis, represents a relevant challenge in veterinary medicine, particularly in resource-limited settings where access to laboratory-based diagnostics may be constrained. This pilot and exploratory study aimed to evaluate the feasibility of a portable electronic olfactometer as a [...] Read more.
Canine ehrlichiosis, caused by Ehrlichia canis, represents a relevant challenge in veterinary medicine, particularly in resource-limited settings where access to laboratory-based diagnostics may be constrained. This pilot and exploratory study aimed to evaluate the feasibility of a portable electronic olfactometer as a non-invasive screening approach, based on the analysis of volatile organic compounds (VOCs) present in breath, saliva, and hair samples from dogs. Signals were acquired using an array of eight metal-oxide (MOX) gas sensors (MQ and TGS series). After preprocessing, principal component analysis (PCA) was applied for dimensionality reduction, and the resulting features were analyzed using supervised machine-learning classifiers, including AdaBoost, support vector machines (SVM), k-nearest neighbors (k-NN), and Random Forests (RF). A total of 38 dogs (19 PCR-confirmed infected cases and 19 controls) were analyzed, generating 114 samples evenly distributed across the three biological matrices. Among the evaluated models, SVM showed the most consistent performance, particularly for saliva samples, achieving an accuracy, sensitivity, and precision of 94.7% (AUC = 0.964). In contrast, breath and hair samples showed lower discriminative performance. Given the limited sample size and the exploratory nature of the study, these results should be interpreted as preliminary; nevertheless, they suggest that electronic olfactometry may represent a complementary, low-cost, non-invasive screening tool for future research on canine ehrlichiosis, rather than a standalone diagnostic method. Full article
Show Figures

Graphical abstract

14 pages, 382 KB  
Article
Grape Pomace as a Replacement for Soybean Hulls in Corn Silage-Based Diets for Dairy Cows
by António J. M. Fonseca and Ana R. J. Cabrita
Vet. Sci. 2026, 13(1), 87; https://doi.org/10.3390/vetsci13010087 - 15 Jan 2026
Viewed by 212
Abstract
This study evaluated the effects of replacing soybean hulls with dried grape pomace (DGP) on feed intake, milk production and composition, and rumen N degradability in dairy cows. A 3 × 3 Latin square design was used with three rumen-fistulated Holstein cows, three [...] Read more.
This study evaluated the effects of replacing soybean hulls with dried grape pomace (DGP) on feed intake, milk production and composition, and rumen N degradability in dairy cows. A 3 × 3 Latin square design was used with three rumen-fistulated Holstein cows, three corn silage-based diets containing 0%, 3%, or 6% of DGP, and three 23-day periods. Measurements were taken from days 15 to 21, with in situ incubations of two protein sources during the last 2 days. At trial end, cows continued on experimental diets to determine the degradability of soybean hulls and DGP. Compared to soybean hulls, DGP presented higher fiber content and lower in situ rumen dry matter and N degradability. Condensed tannin disappearance from DGP increased over time, reaching almost 50% after 48 h. Diet did not affect feed intake, milk production, and composition, except for milk urea N and ruminal total short-chain fatty acids concentration, which showed a quadratic response, suggesting both imbalances between fermentable energy and rumen degradable protein and potential effects of DGP bioactive compounds on rumen function. The N degradation rate of rapeseed meal was unaffected, but soybean meal degradability tended to increase with higher DGP inclusion. This was also detected when combining protein sources across diets. Although DGP influenced rumen function, further research integrating omics and detailed microbiota profiling is needed. Overall, despite its low energy content and rumen degradability, DGP comprises a sustainable feed resource for high-producing animals, supporting circular economy approaches and mitigating the environmental impacts of grape pomace disposal. Full article
(This article belongs to the Section Nutritional and Metabolic Diseases in Veterinary Medicine)
Show Figures

Figure 1

18 pages, 1239 KB  
Article
Serological Insights into Infectious Agents Circulating in Lithuanian Goats
by Patricija Klibavičė, Tomas Kupčinskas, Saulius Petkevičius, Jūratė Buitkuvienė and Algirdas Šalomskas
Vet. Sci. 2026, 13(1), 86; https://doi.org/10.3390/vetsci13010086 - 15 Jan 2026
Viewed by 282
Abstract
Pathogens such as Toxoplasma gondii, lentiviruses (e.g., CAE), Hypoderma spp., Neospora caninum, Mycoplasma spp., and pestiviruses are important for goat farming in Lithuania; however, data on their prevalence remain limited. To address this gap, a multi-pathogen study was conducted between 2021 [...] Read more.
Pathogens such as Toxoplasma gondii, lentiviruses (e.g., CAE), Hypoderma spp., Neospora caninum, Mycoplasma spp., and pestiviruses are important for goat farming in Lithuania; however, data on their prevalence remain limited. To address this gap, a multi-pathogen study was conducted between 2021 and 2024 using selected ELISA kits (ID.vet, Innovative Diagnostics, France). A total of 380 blood samples were collected from 30 goat herds across different regions of Lithuania; the sample size varied depending on the pathogen. Serum samples were tested for antibodies, and seroprevalence was calculated for each pathogen. The highest seroprevalence was detected for T. gondii (38.9%, 143/368) and CAE virus (19.5%, 74/380). Antibodies to Mycoplasma spp. (0.3%, 1/368), Hypoderma spp. (3.8%, 7/184), and N. caninum (0.5%, 2/368) were detected only sporadically, while no antibodies to Border disease virus or Q fever were identified. Mixed infections were found in 7.6% of samples. Chi-square analysis showed that co-infections with toxoplasmosis and CAE occurred more frequently than expected (χ2 = 19.05, p < 0.001). Herd size was significantly associated only with CAE seroprevalence (χ2 = 7.913, df = 1, p < 0.05). Overall, toxoplasmosis and CAE were identified as the most epidemiologically relevant infections in the Lithuanian goat population. Full article
(This article belongs to the Section Veterinary Microbiology, Parasitology and Immunology)
Show Figures

Figure 1

12 pages, 1280 KB  
Article
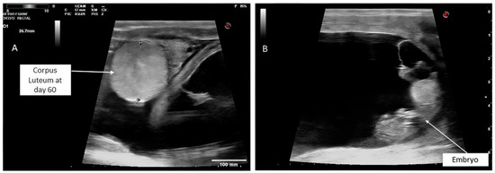
Administration of Human Chorionic Gonadotropin Combined with Phenylbutazone at the Time of Embryo Transfer Synergistically Improves Pregnancy Rates in Dromedary Camels
by Mahmoud Moussa, Salahaddin Ahmed, Mohamed Elbaz and Kamaal Pasha
Vet. Sci. 2026, 13(1), 85; https://doi.org/10.3390/vetsci13010085 - 15 Jan 2026
Viewed by 230
Abstract
Effective luteal support is crucial for successful pregnancy following embryo transfer in dromedary camels, highlighting the importance of maintaining adequate luteal function. This study compared three luteal support protocols for pregnancy rates after embryo transfer (ET) in dromedary camels. Recipients with a single [...] Read more.
Effective luteal support is crucial for successful pregnancy following embryo transfer in dromedary camels, highlighting the importance of maintaining adequate luteal function. This study compared three luteal support protocols for pregnancy rates after embryo transfer (ET) in dromedary camels. Recipients with a single ovarian follicle (14~16 mm) were assigned into: (1) untreated control, (2) Phenylbutazone (PBZ) at 3.7 mg/kg IV prior to ET, or (3) human chorionic gonadotropin (hCG) 2000 IU plus 3.7 mg/kg IV PBZ prior to ET. Recipients that showed ovarian inactivity were treated with an injection of 1800 IU of equine chorionic gonadotropin (eCG) after progesterone (P4) priming. Pregnancy was assessed on days 10 (P4 assay) and 60 (transrectal ultrasonography) post-ET. Pregnancy rates on day 10 were higher in the hCG + PBZ (73.3%) and eCG (68.0%) groups than in the PBZ (44.0%) and control (35.0%) groups (p < 0.05). By day 60, the hCG + PBZ group exhibited the highest pregnancy maintenance rate (81.8%) and the lowest embryonic loss rate (18.2%), compared with eCG (53.0%; 47.0%), PBZ (54.5%; 45.5%), and control (57.1%; 42.9%) groups, respectively (p < 0.05). However, there was no significant difference among the eCG, PBZ, and control groups in embryonic loss rates. In conclusion, hCG synergizes with PBZ to enhance corpus luteum function, uterine receptivity, and pregnancy maintenance more effectively than PBZ or eCG. Full article
(This article belongs to the Special Issue Advances in Animal Reproductive Biology and Technologies)
Show Figures

Figure 1

12 pages, 3284 KB  
Article
Genome-Wide Association Study of Body Mass Index in a Commercial Landrace × Yorkshire Crossbred Pig Population
by Long Jin, Chunyan Bai, Jinghan Chen, Chengyue Feng, Fengyi Dong, Xiaoran Zhang, Junwen Fei, Yu He, Wuyang Liu, Changyi Chen, Boxing Sun, Dali Wang and Hao Sun
Vet. Sci. 2026, 13(1), 84; https://doi.org/10.3390/vetsci13010084 - 14 Jan 2026
Viewed by 429
Abstract
The Body Mass Index (BMI), integrating body weight and length, is a widely used metric for obesity assessment in humans. As pigs serve as crucial biomedical models, the application of BMI in swine and its genetic basis remain poorly explored. This study aimed [...] Read more.
The Body Mass Index (BMI), integrating body weight and length, is a widely used metric for obesity assessment in humans. As pigs serve as crucial biomedical models, the application of BMI in swine and its genetic basis remain poorly explored. This study aimed to investigate the genetic architecture of pig BMI and compare two carcass-based BMI metrics (BMI-S and BMI-O) for breeding applicability. A total of 439 Landrace × Yorkshire crossbred pigs were genotyped with a 50 K SNP chip; heritability was estimated via a mixed linear model, and genome-wide association study (GWAS) was performed using the BLINK model. BMI-S and BMI-O exhibited moderate-to-high heritability of 0.55 and 0.47, respectively, with 17 genome-wide significant SNPs detected—including the top associated SNP rs81382440 on chromosome 4 and rs80898583 on chromosome 7. Key candidate genes (GPHN, ADAM33, KCNH8, PDCD4) and 5 SNP-trait associations validated in PigQTLdb were linked to lipid/energy metabolism and muscle development. Carcass-based BMI improved phenotypic accuracy, and our findings provide core genetic markers and a theoretical basis for molecular breeding of pig body conformation and lipid deposition traits. Full article
Show Figures

Figure 1

19 pages, 7628 KB  
Article
Preliminary Study on the Development of a Transmission Model for Canine Distemper Virus in Wildlife Populations Using Heat Mapping and the Basic Reproduction Number
by Bryan Andrew Lazarus, Muhammad Farris Mohd Sadali, Farina Mustaffa Kamal, Khor Kuan Hua, Ridhwan Abdul Wahab, Mohd Arifin Kaderi, Mohd Lutfi Abdullah, Tengku Rinalfi Putra Tengku Azizan and Hafandi Ahmad
Vet. Sci. 2026, 13(1), 83; https://doi.org/10.3390/vetsci13010083 - 14 Jan 2026
Viewed by 230
Abstract
Canine Distemper Virus (CDV) is a highly contagious disease that affects a wide range of wildlife species, posing a serious threat to biodiversity and conservation efforts. Despite its ecological significance, the transmission dynamics of CDV in wildlife remain poorly understood, especially in tropical [...] Read more.
Canine Distemper Virus (CDV) is a highly contagious disease that affects a wide range of wildlife species, posing a serious threat to biodiversity and conservation efforts. Despite its ecological significance, the transmission dynamics of CDV in wildlife remain poorly understood, especially in tropical ecosystems. One of the main challenges in studying CDV transmission is the lack of reliable epidemiological data and the difficulty in capturing and monitoring wild animals for surveillance purposes. Thus, this study aims to develop a model to estimate the potential transmission of CDV in wildlife populations using spatial heat mapping and the basic reproduction number (R0) as key indicators. A combination of field observation records, environmental data, and reported CDV cases were used to generate predictive heat maps and simulate disease spread across susceptible wildlife hosts. Results showed that certain environmental factors and animal density hotspots significantly contribute to higher transmission potential of CDV. Preliminary results suggest that high-risk zones can be identified based on overlapping wildlife movement corridors and human interface areas. This modeling approach offers a valuable tool to guide targeted monitoring, early detection and conservation strategies against CDV outbreaks in wildlife. Full article
Show Figures

Figure 1

17 pages, 2465 KB  
Article
Comparative Effects of Raw Milk and Milk Replacer Feeding on Gut Microbiota Diversity and Function in Cryptosporidium parvum-Infected Neonatal Dairy Calves on a Japanese Farm
by Momoko Yachida, Megumi Itoh and Yasuhiro Morita
Vet. Sci. 2026, 13(1), 82; https://doi.org/10.3390/vetsci13010082 - 14 Jan 2026
Viewed by 272
Abstract
Neonatal diarrhea is a major health concern in the livestock industry, and Cryptosporidium parvum is a key pathogen responsible for this condition in calves. Milk management and gut microbiome regulation may play important roles in preventing cryptosporidiosis symptoms. This study analyzed the gut [...] Read more.
Neonatal diarrhea is a major health concern in the livestock industry, and Cryptosporidium parvum is a key pathogen responsible for this condition in calves. Milk management and gut microbiome regulation may play important roles in preventing cryptosporidiosis symptoms. This study analyzed the gut microbiota of neonatal calves fed raw milk (BM) or milk replacer (MR) using a total of 58 fecal samples collected on the same farm in 2022 and 2024. In milk replacer-fed calves, alpha diversity was significantly higher in C. parvum-positive (P) calves without diarrhea (N) (PN, n = 5) than in C. parvum-positive calves with diarrhea(D) (PD, n = 18) (Shannon p = 0.0358; Chao1 p = 0.0598). Beta diversity also differed between PN and PD (PERMANOVA, R2 = 0.1763, p = 0.0092). Predicted microbial taxa such as Faecalibacterium (ALDEx2, effect size = 2.31, p = 0.00003) and Butyricicoccus (effect size = 1.31, p = 0.0041) were enriched in PN calves in MR. Comparison between milk types (BM vs. MR) further showed higher species richness in PN calves in MR than in those (n = 5) in BM(Chao1, p = 0.0088), along with significant differences in beta diversity (R2 = 0.4112, p = 0.0069). These findings suggest that microbial diversity and the presence of specific taxa may be associated with reduced diarrheal symptoms. Predicted metabolic pathway profiling using a computational functional profiling approach showed the distinct metabolic pathways, including amino acid, carbohydrate, lipid, and vitamin biosynthesis, were enriched in healthier calves in both groups. These results suggest certain functional features of the microbiome could be associated with anti-inflammatory activity and short-chain fatty acid production, potentially mitigating diarrheal symptoms. Full article
Show Figures

Figure 1

Previous Issue
Next Issue
Back to TopTop