Comparative Echocardiographic Evaluation of Right Pulmonary Artery Dimensions and Right Pulmonary Artery Distensibility Index in Dogs with Heartworm Disease
Simple Summary
Abstract
1. Introduction
2. Materials and Methods
- Animals
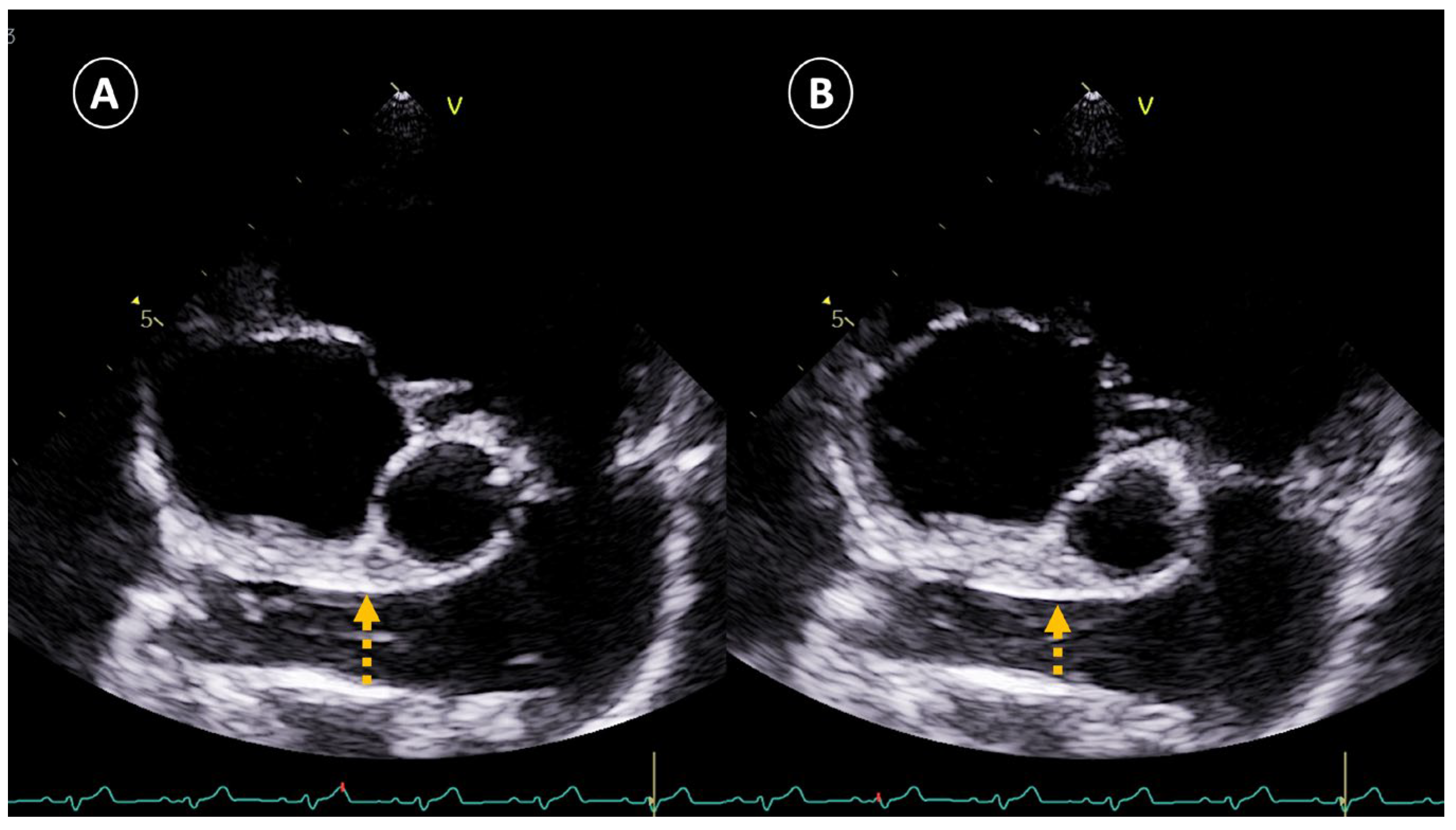
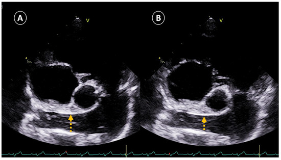
- Echocardiography
- Statistical analysis
- Ethical statement
3. Results
4. Discussion
5. Conclusions
Author Contributions
Funding
Institutional Review Board Statement
Informed Consent Statement
Data Availability Statement
Acknowledgments
Conflicts of Interest
References
- Reinero, C.; Visser, L.C.; Kellihan, H.B.; Masseau, I.; Rozanski, E.; Clercx, C.; Williams, K.; Abbott, J.; Borgarelli, M.; Scansen, B.A. ACVIM consensus statement guidelines for the diagnosis, classification, treatment, and monitoring of pulmonary hypertension in dogs. J. Vet. Intern. Med. 2020, 34, 549–573. [Google Scholar] [CrossRef]
- Pajas, A.M.G.; Acorda, J.A. Echocardiographic, electrocardiographic and thoracic radiographic findings in dogs with dirofilariasis. Philipp. J. Vet. Med. 2018, 55, 71–84. [Google Scholar]
- Simón, F.; Siles-Lucas, M.; Morchón, R.; González-Miguel, J.; Mellado, I.; Carretón, E.; Montoya-Alonso, J.A. Human and Animal Dirofilariasis: The Emergence of a Zoonotic Mosaic. J. Clin. Microbiol. 2012, 25, 507–544. [Google Scholar] [CrossRef]
- Falcon-Cordon, Y.; Montoya-Alonso, J.A.; Caro-Vadillo, A.; Matos-Rivero, J.I.; Carreton, E. Persistence of pulmonary endarteritis in canine heartworm infection 10 months after the eradication of adult parasites of Dirofilaria immitis. Vet. Parasitol. 2019, 273, 1–4. [Google Scholar] [CrossRef] [PubMed]
- Maerz, I. Clinical and diagnostic imaging findings in 37 rescued dogs with heartworm disease in Germany. Vet. Parasitol. 2020, 283, 109156. [Google Scholar] [CrossRef] [PubMed]
- Serrano-Parreño, B.; Carretón, E.; Caro-Vadillo, A.; Falcon-Cordon, Y.; Falcon-Cordon, S.; Montoya-Alonso, J.A. Evaluation of pulmonary hypertension and clinical status in dogs with heartworm by right pulmonary artery distensibility index and other echocardiographic parameters. Parasit. Vectors 2017, 10, 106. [Google Scholar] [CrossRef]
- Romano, A.E.; Saunders, A.B.; Gordon, S.G.; Wesselowsky, S. Intracardiac heartworms in dogs: Clinical and echocardiographic characteristics in 72 cases. J. Vet. Intern. Med. 2021, 35, 88–97. [Google Scholar] [CrossRef] [PubMed]
- Venco, L.; Mihaylovab, L.; Boon, J.A. Right Pulmonary Artery Distensibility Index (RPAD Index). A field study of an echocardiographic method to detect early development of pulmonary hypertension and its severity even in the absence of regurgitant jets for Doppler evaluation in heartworm-infected dogs. Vet. Parasitol. 2014, 206, 60–66. [Google Scholar]
- Serrano-Parreño, B.; Carretón, E.; Caro-Vadillo, A.; Falcón-Cordón, S.; Falcón-Cordón, Y.; Montoya-Alonso, J.A. Pulmonary hypertension in dogs with heartworm before and after the adulticide protocol recommended by the American Heartworm Society. Vet. Parasitol. 2017, 236, 34–37. [Google Scholar] [CrossRef]
- Basile, A.; Napoli, E.; Brianti, E.; Venco, L. Right Pulmonary Artery Distensibility Index in Heartworm Infected Dogs: Are the Different Methods Leading to Same Results? Animals 2023, 13, 418. [Google Scholar] [CrossRef]
- Visser, L.C.; Im, M.K.; Johnson, L.R.; Stern, J.A. Diagnostic value of right pulmonary artery distensibility index in dogs with pulmonary hypertension: Comparison with Doppler echocardiographic estimates of pulmonary arterial pressure. J. Vet. Intern. Med. 2016, 30, 543–552. [Google Scholar] [CrossRef]
- Yuchi, Y.; Suzuki, R.; Saito, T.; Yasumura, Y.; Teshima, T.; Matsumoto, H.; Koyama, H. Echocardiographic characteristics of dogs with pulmonary hypertension secondary to respiratory diseases. J. Vet. Intern. Med. 2023, 37, 1656–1666. [Google Scholar] [CrossRef] [PubMed]
- Nijhawan, D.; Chawla, R.; Saxena, M.; Dixi, S.; Sharma, V. To Assess the Clinical Value of the RPAD Index in Dogs with Varying Degrees of Pulmonary Hypertension. Asian J. Med. Res. 2019, 8, AN17–AN19. [Google Scholar] [CrossRef]
- Basava, R.K.; Ansar-Kamran, C.; Ramesh, P.T.; Upendra, H.A.; Rao, S.; Mahesh, V. Importance of Right Pulmonary Artery Distensibility Index in the Diagnosis and Management of Pulmonary Arterial Hypertension Secondary to Canine Dilated Cardiomyopathy. Indian J. Anim. Res. 2022, 1, 1–5. [Google Scholar]
- Matos, J.I.; Caro-Vadillo, A.; Falcón-Cordón, Y.; García-Rodríguez, S.N.; Costa-Rodríguez, N.; Carretón, E.; Montoya-Alonso, J.A. Echocardiographic Assessment of the Pulmonary Vein to Pulmonary Artery Ratio in Canine Heartworm Disease. Animals 2023, 13, 703. [Google Scholar] [CrossRef] [PubMed]
- Montoya-Alonso, J.A.; Morchón, R.; García-Rodríguez, S.N.; Falcón-Cordón, Y.; Costa-Rodríguez, N.; Matos, J.I.; Escolar, I.R.; Carretón, E. Expansion of canine heartworm in Spain. Animals 2022, 12, 1268. [Google Scholar] [CrossRef]
- Grosso, G.; Tognetti, R.; Domenech, O.; Marchesotti, F.; Patata, V.; Vezzosi, T. Echocardiographic reference intervals of the dimensions of the main pulmonary artery and the right pulmonary artery: A prospective study in 269 healthy dogs. J. Vet. Cardiol. 2023, 50, 29–38. [Google Scholar] [CrossRef]
- Venco, L.; Genchi, C.; Vigevani-Colson, P.; Kramer, L. Relative utility of echocardiography, radiography, serologic testing and microfilariae counts to predict adult worm burden in dogs naturally infected with heartworms. In Recent Advances in Heartworm Disease. Symposium’01; American Heartworm Society: Batavia, IL, USA, 2004; pp. 24–111. [Google Scholar]
- Malhotra, R.; Dhakal, B.P.; Eisman, A.S.; Pappagianopoulos, P.P.; Dress, A.; Weiner, R.B.; Baggish, A.L.; Semigran, M.J.; Lewis, G.D. Pulmonary Vascular Distensibility Predicts Pulmonary Hypertension Severity, Exercise Capacity, and Survival in Heart Failure. Circ. Heart Fail. 2016, 9, 10. [Google Scholar] [CrossRef]
- Ferraro, A.; Hartnack, S.; Schwarzwald, C.C. Diagnostic value of two-dimensional echocardiographic measurements of the pulmonary artery diameter and the pulmonary artery distensibility index to detect pulmonary hypertension in horses. J. Vet. Cardiol. 2023, 49, 52–66. [Google Scholar] [CrossRef]
- Lyssens, A.; Lekane, M.; Gommeren, K.; Merveille, A.C. Focused Cardiac Ultrasound to Detect Pre-capillary Pulmonary Hypertension. Front. Vet. Sci. 2022, 9, 83–91. [Google Scholar] [CrossRef]
- Birettoni, F.; Caivano, D.; Patata, V.; Moïse, N.S.; Guglielmini, C.; Rishniw, M.; Porciello, F. Canine pulmonary vein-to-pulmonary artery ratio: Echocardiographic technique and reference intervals. J. Vet. Cardiol. 2016, 18, 326–335. [Google Scholar] [CrossRef] [PubMed]
- Vezzosi, T.; Marchesotti, F.; Tognetti, R.; Venco, L.; Domenech, O. Comparison of two echocardiographic views for evaluating the right pulmonary artery distensibility index in dogs. J. Vet. Intern. Med. 2015, 29, 426. [Google Scholar]
- Oleynikov, D.; Yi, M. Echocardiographic Pulmonary to Left Atrial Ratio in Dogs (ePLAR): A Differential Marker of Pre- and Postcapillary Pulmonary Hypertension. Am. J. Anim. Vet. Sci. 2022, 17, 42–52. [Google Scholar] [CrossRef]
- Roels, E.; Merveille, A.C.; Moyse, E.; Gomart, S.; Clercx, C.; Mc Entee, K. Diagnostic value of the pulmonary veinto-right pulmonary artery ratio in dogs with pulmonary hypertension of precapillary origin. J. Vet. Cardiol. 2019, 24, 85–94. [Google Scholar] [CrossRef]
- Chan, I.P.; Weng, M.C.; Hsueh, T.; Lin, Y.C.; Lin, S.L. Prognostic value of right pulmonary artery distensibility in dogs with pulmonary hypertension. J. Vet. Sci. 2019, 20, e34. [Google Scholar] [CrossRef] [PubMed]
- Venco, L.; Bertazzolo, W.; Giordano, G.; Paltrinieri, S. Evaluation of C-reactive protein as a clinical biomarker in naturally heartworm-infected dogs: A field study. J. Vet. Parasitol. 2014, 206, 48–54. [Google Scholar] [CrossRef]
- Dillon, R.A.; Brawner, W.R.; Hanrahan, L. Influence of number of parasites and exercise on the severity of heartworm disease in dogs. In Proceedings of the Heartworm Symposium ’95; American Heartworm Society: Vatavia, IL, USA, 1995; pp. 113–116. [Google Scholar]




| RPADVisser (n = 248) | RPADVenco (n = 248) | |||||||
|---|---|---|---|---|---|---|---|---|
| Parameter | Group A (n = 71) | Group B (n = 100) | Group C (n = 77) | p-Value (Cohen’s d or Cramer’s V Value) | Group A (n = 71) | Group B (n = 92) | Group C (n = 85) | p-Value (Cohen’s d or Cramer’s V Value) |
| Age (years) | 8.32 ± 3.78 | 8.24 ± 3.78 | 8.07 ± 3.78 | 0.176 | 8.32 ± 3.78 | 8.08 ± 2.94 | 8.06 ± 3.58 | 0.234 |
| Body weight (kg) | 16.60 ± 10.17 | 16.60 ± 10.17 | 16.22 ± 10.29 | 0.106 | 16.60 ± 10.17 | 16.56 ± 9.72 | 16.31 ± 10.20 | 0.232 |
| Female: number (%) | 39 (54.9%) | 56 (56%) | 39 (50.6%) | 0.222 | 39 (54.9%) | 51 (55.4%) | 42 (49.4%) | 0.199 |
| Mongrel: number (%) | 21 (29.6%) | 51 (51%) | 40 (51.9%) | 0.268 | 21 (29.6%) | 48 (52.2%) | 43 (50.6%) | 0.119 |
| Respiratory symptoms: number (%) | 0 (0%) | 35 (35%) | 64(83.1%) | 0.000 (0.66) | 0 (0%) | 28 (30.4%) | 71 (83.5%) | 0.000 (0.69) |
| R-CHF: number (%) | 0 (0%) | 0 (0%) | 30 (39%) | 0.000 (0.54) | 0 (0%) | 0 (0%) | 30 (35.3%) | 0.000 (0.50) |
| High parasite burden: number (%) | 0 (0%) | 29 (29%) | 57 (74%) | 0.000 (1.23) | 0 (0%) | 25 (27.2%) | 61 (71.8%) | 0.000 (1.16) |
| RPADmin (mm) | 5.07 ± 1.82 | 5.14 ± 1.94 | 11.64 ± 1.84 | 0.000 (1.27) | 3.77 ± 1.37 | 3.86 ± 1.43 | 10.14 ± 1.46 | 0.000 (1.56) |
| RPADmax (mm) | 8.64 ± 3.15 | 8.86 ± 3.22 | 15.07 ± 3.19 | 0.000 (1.31) | 7.11 ± 2.36 | 7.02 ± 2.31 | 13.71 ± 2.41 | 0.000 (1.22) |
| RPADmin:Ao | 0.41 ± 0.22 | 0.38 ± 0.27 | 0.69 ± 0.24 | 0.000 (1.12) | 0.35 ± 0.31 | 0.30 ± 0.38 | 0.61 ± 0.36 | 0.000 (1.13) |
| RPADmax:Ao | 0.70 ± 0.16 | 0.67 ± 0.21 | 0.91 ± 0.18 | 0.000 (1.05) | 0.51 ± 0.22 | 0.54 ± 0.27 | 0.82 ± 0.25 | 0.000 (1.10) |
| RPADVenco (%) | Total | ||||
|---|---|---|---|---|---|
| No PH | Yes PH | ||||
| RPADVisser (%) | No PH | Count | 160 | 11 | 171 |
| % of total | 64.5% | 4.4% | 69.0% | ||
| Yes PH | Count | 3 | 74 | 77 | |
| % of total | 1.2% | 29.8% | 31.0% | ||
| Total | Count | 163 | 85 | 248 | |
| % of total | 65.7% | 34.3% | 100.0% | ||
| Presence PH RPADVenco (<30%) | |||||
|---|---|---|---|---|---|
| No | Yes | ||||
| Presence PH RPADVisser | Presence PH RPADVisser | ||||
| No | Yes | No | Yes | ||
| RPADVenco (%) | Valid N | 160 | 3 | 11 | 74 |
| Mean | 41.15 | 31.68 | 27.60 | 19.02 | |
| Standard deviation | 6.04 | 1.75 | 1.20 | 6.45 | |
| Median | 40.00 | 31.55 | 27.80 | 20.30 | |
| 25th percentile | 37.01 | 30.00 | 27.00 | 14.51 | |
| 75th percentile | 44.47 | 33.50 | 28.50 | 24.44 | |
| RPADVisser (%) | Valid N | 160 | 3 | 11 | 74 |
| Mean | 41.66 | 27.80 | 32.60 | 20.37 | |
| Standard deviation | 6.39 | 0.28 | 1.51 | 6.56 | |
| Median | 40.28 | 27.75 | 33.10 | 23.05 | |
| 25th percentile | 37.60 | 27.55 | 31.44 | 14.50 | |
| 75th percentile | 44.08 | 28.11 | 33.33 | 25.50 | |
| Method | Event | AUC | CI 95% | Cut-Off | Sen | Sp | YOUDEN Index (Sen + Sp − 1) |
|---|---|---|---|---|---|---|---|
| RPADVisser (%) | RPADVenco < 30% | 0.989 | (0.981, 1.000) | ≤27.70 | 0.948 | 0.971 | 0.919 |
| RPADVenco (%) | RPADVisser < 30% | 0.994 | (0.988, 1.000) | ≤31.83 | 0.918 | 0.969 | 0.887 |
Disclaimer/Publisher’s Note: The statements, opinions and data contained in all publications are solely those of the individual author(s) and contributor(s) and not of MDPI and/or the editor(s). MDPI and/or the editor(s) disclaim responsibility for any injury to people or property resulting from any ideas, methods, instructions or products referred to in the content. |
© 2025 by the authors. Licensee MDPI, Basel, Switzerland. This article is an open access article distributed under the terms and conditions of the Creative Commons Attribution (CC BY) license (https://creativecommons.org/licenses/by/4.0/).
Share and Cite
Matos, J.I.; Caro-Vadillo, A.; Mohr-Peraza, E.; García-Rodríguez, S.N.; Montoya-Alonso, J.A.; Carretón, E. Comparative Echocardiographic Evaluation of Right Pulmonary Artery Dimensions and Right Pulmonary Artery Distensibility Index in Dogs with Heartworm Disease. Vet. Sci. 2025, 12, 246. https://doi.org/10.3390/vetsci12030246
Matos JI, Caro-Vadillo A, Mohr-Peraza E, García-Rodríguez SN, Montoya-Alonso JA, Carretón E. Comparative Echocardiographic Evaluation of Right Pulmonary Artery Dimensions and Right Pulmonary Artery Distensibility Index in Dogs with Heartworm Disease. Veterinary Sciences. 2025; 12(3):246. https://doi.org/10.3390/vetsci12030246
Chicago/Turabian StyleMatos, Jorge Isidoro, Alicia Caro-Vadillo, Eva Mohr-Peraza, Sara Nieves García-Rodríguez, José Alberto Montoya-Alonso, and Elena Carretón. 2025. "Comparative Echocardiographic Evaluation of Right Pulmonary Artery Dimensions and Right Pulmonary Artery Distensibility Index in Dogs with Heartworm Disease" Veterinary Sciences 12, no. 3: 246. https://doi.org/10.3390/vetsci12030246
APA StyleMatos, J. I., Caro-Vadillo, A., Mohr-Peraza, E., García-Rodríguez, S. N., Montoya-Alonso, J. A., & Carretón, E. (2025). Comparative Echocardiographic Evaluation of Right Pulmonary Artery Dimensions and Right Pulmonary Artery Distensibility Index in Dogs with Heartworm Disease. Veterinary Sciences, 12(3), 246. https://doi.org/10.3390/vetsci12030246

