Association Between Cytological and Histopathological Diagnoses of Neoplastic and Non-Neoplastic Lesions in Oral Cavity from Dogs and Cats: An Observational Retrospective Study of 103 Cases
Simple Summary
Abstract
1. Introduction
2. Materials and Methods
3. Results
3.1. Population Characteristics
3.2. Oral Lesions—Location
3.3. Oral Lesions—Diagnosis
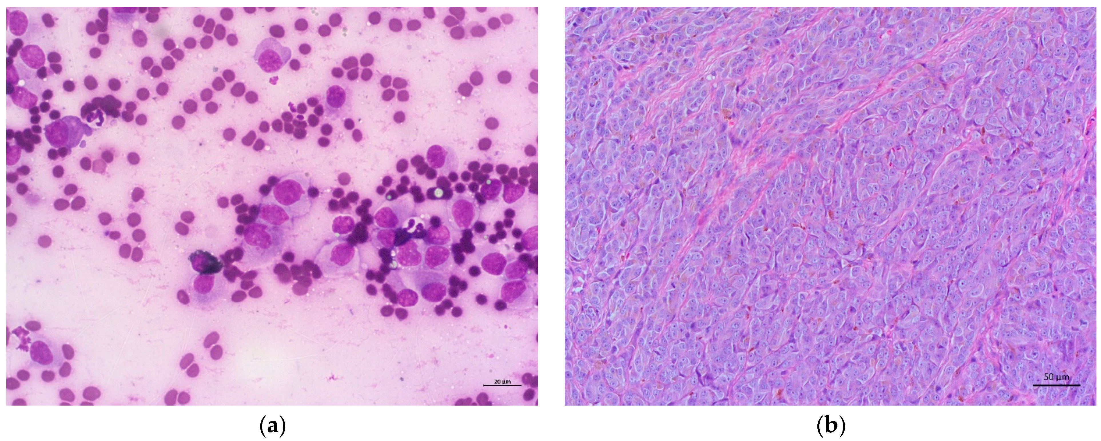
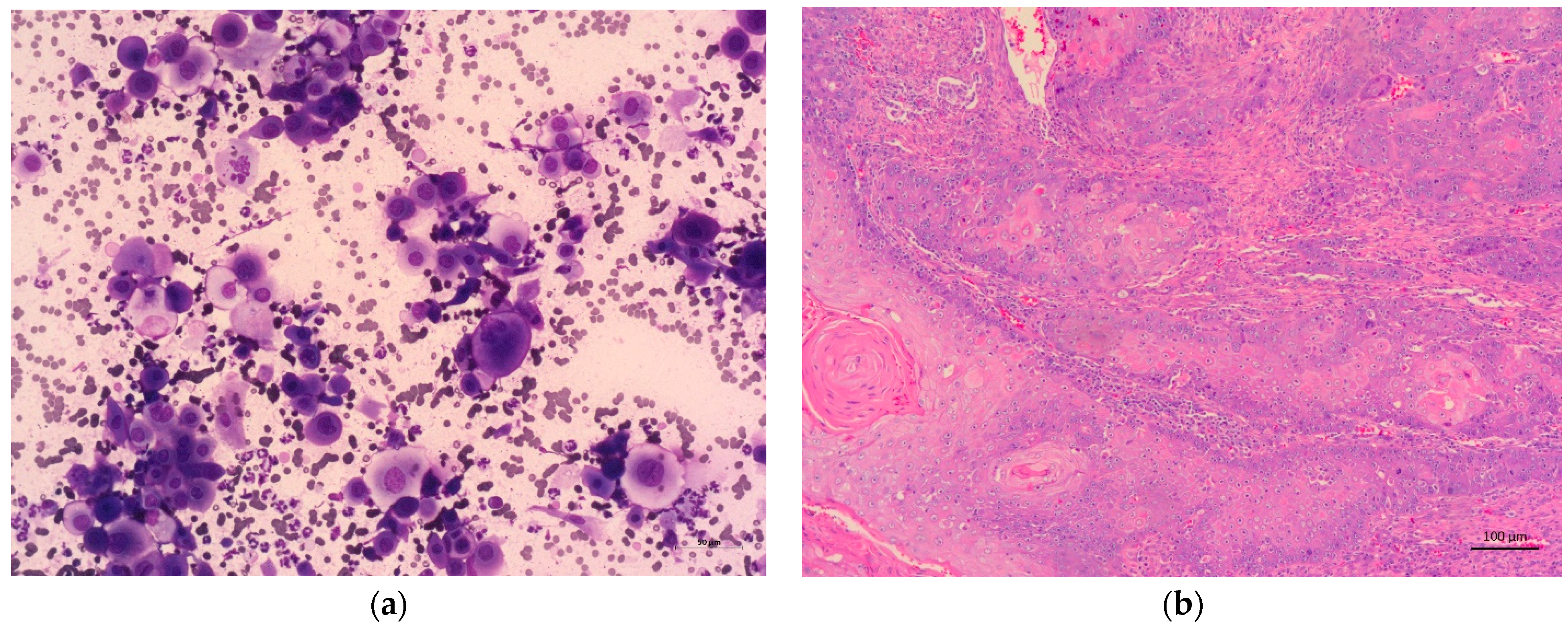
3.4. Level of Agreement and Diagnostic Accuracy
4. Discussion
5. Conclusions
Supplementary Materials
Author Contributions
Funding
Institutional Review Board Statement
Informed Consent Statement
Data Availability Statement
Acknowledgments
Conflicts of Interest
References
- Ghisleni, G.; Roccabianca, P.; Ceruti, R.; Stefanello, D.; Bertazzolo, W.; Bonfanti, U.; Caniatti, M. Correlation between fine-needle aspiration cytology and histopathology in the evaluation of cutaneous and subcutaneous masses from dogs and cats. Vet. Clin. Pathol. 2006, 35, 24–30. [Google Scholar] [CrossRef] [PubMed]
 - Bonfanti, U.; Bertazzolo, W.; Gracis, M.; Roccabianca, P.; Romanelli, G.; Palermo, G.; Zini, E. Diagnostic value of cytological analysis of tumours and tumour-like lesions of the oral cavity in dogs and cats: A prospective study on 114 cases. Vet. J. 2015, 205, 322–327. [Google Scholar] [CrossRef] [PubMed]
 - Sharkey, L.C.; Dial, S.M.; Matz, M.E. Maximizing the diagnostic value of cytology in small animal practice. Vet. Clin. N. Am. Small Anim. Pract. 2007, 37, 351–372. [Google Scholar] [CrossRef] [PubMed]
 - Christopher, M.M.; Hotz, C.S.; Shelly, S.M.; Pion, P.D. Use of cytology as a diagnostic method in veterinary practice and assessment of communication between veterinary practitioners and veterinary clinical pathologists. J. Am. Vet. Med. Assoc. 2008, 232, 747–754. [Google Scholar] [CrossRef] [PubMed]
 - Eich, C.S.; Whitehair, J.G.; Moroff, S.D.; Heeb, L.A. The accuracy of intraoperative cytopathological diagnosis compared with conventional histopathological diagnosis. J. Am. Anim. Hosp. Assoc. 2000, 36, 16–18. [Google Scholar] [CrossRef]
 - Pavel, G.; Malancus, R.N.; Condrea, M. Fine Needle Aspiration Cytology (FNAC) of Neoplasms in Dogs and Cats, with Emphasis on Differential Diagnosis—A Retrospective Study. Bull. Univ. Agric. Sci. Vet. Med. Cluj-Napoca. Vet. Med. 2016, 73, 116–126. [Google Scholar] [CrossRef]
 - Dey, P.; Mallik, M.K.; Gupta, S.K.; Vasishta, R.K. Role of fine needle aspiration cytology in the diagnosis of soft tissue tumours and tumour-like lesions. Cytopathology 2004, 15, 32–37. [Google Scholar] [CrossRef]
 - Baker, R.; Lumsden, J.H. Cytopathology techniques and interpretation. In Color Atlas of Cytology of the Dog and Cat; Baker, R., Lumsden, J.H., Eds.; Mosby: St. Louis, MO, USA, 2000; pp. 7–16. [Google Scholar]
 - Meinkoth, J.H.; Cowell, R.L. Sample collection and preparation in cytology: Increasing diagnostic yield. Vet. Clin. N. Am. Small Anim. Pract. 2002, 32, 1187–1207. [Google Scholar] [CrossRef]
 - Sapierzyński, R.; Micuń, J. Lymphadenomegaly in dogs--cytological study. Pol. J. Vet. Sci. 2009, 12, 263–268. [Google Scholar]
 - Sapierzyński, R.; Czopowicz, M.; Ostrzeszewicz, M. Factors affecting the diagnostic utility of canine and feline cytological samples. J. Small Anim. Pract. 2017, 58, 73–78. [Google Scholar] [CrossRef]
 - Huber, D.; Ristevski, T.; Kurilj, A.; Maurić, M.; Zagradišnik, L.; Hohšteter, M.; Šoštarić-Zuckermann, I. Prevalence of pathological lesions diagnosed by cytology in cats, with association of diagnosis to age, breed and gender. Vet. Arh. 2021, 91, 169–177. [Google Scholar] [CrossRef]
 - Spodnick, G.J.; Page, R.L. Canine and feline oropharyngeal neoplasms. In Kirk’s Current Veterinary Therapy, 8th ed.; WB Saunders: Philadelphia, PA, USA, 1995; pp. 691–695. [Google Scholar]
 - Goldschmidt, M.H.; Hendrick, M.J. Tumours of the skin and soft tissues. In Tumours in Domestic Animals, 4th ed.; Blackwell Publishing: Ames, IA, USA, 2002; pp. 45–83. [Google Scholar]
 - Delgado, L.; Brilhante-Simões, P.; Prada, J.; Monteiro, L. Oral Pathology in Portuguese Dogs: An Eight-Year Biopsy-Based Retrospective Study. J. Vet. Dent. 2023, 40, 28–37. [Google Scholar] [CrossRef] [PubMed]
 - Melrose, R.J.; Handlers, J.P.; Kerpel, S.; Summerlin, D.J.; Tomich, C.J. The use of biopsy in dental practice. The position of the American Academy of Oral and Maxillofacial Pathology. Gen. Dent. 2007, 55, 457–461; quiz 462–453, 488. [Google Scholar] [PubMed]
 - Cray, M.; Selmic, L.E.; Ruple, A. Demographics of dogs and cats with oral tumors presenting to teaching hospitals: 1996–2017. J. Vet. Sci. 2020, 21, e70. [Google Scholar] [CrossRef]
 - Smith, S.H.; Goldschmidt, M.H.; McManus, P.M. A comparative review of melanocytic neoplasms. Vet. Pathol. 2002, 39, 651–678. [Google Scholar] [CrossRef]
 - Bradley, R.L.; MacEwen, E.G.; Loar, A.S. Mandibular resection for removal of oral tumors in 30 dogs and 6 cats. J. Am. Vet. Med. Assoc. 1984, 184, 460–463. [Google Scholar]
 - Vail, D.M.; Thamm, D.H.; Liptak, J.M. Withrow and MacEwen’s Small Animal Clinical Oncology-E-Book; Elsevier Health Sciences: St. Louis, MO, USA, 2019. [Google Scholar]
 - Cohen, M.; Bohling, M.W.; Wright, J.C.; Welles, E.A.; Spano, J.S. Evaluation of sensitivity and specificity of cytologic examination: 269 cases (1999–2000). J. Am. Vet. Med. Assoc. 2003, 222, 964–967. [Google Scholar] [CrossRef]
 - Ku, C.K.; Kass, P.H.; Christopher, M.M. Cytologic-histologic concordance in the diagnosis of neoplasia in canine and feline lymph nodes: A retrospective study of 367 cases. Vet. Comp. Oncol. 2017, 15, 1206–1217. [Google Scholar] [CrossRef]
 - Chalita, M.C.; Matera, J.M.; Alves, M.T.; Longatto Filho, A. Nonaspiration fine needle cytology and its histologic correlation in canine skin and soft tissue tumors. Anal. Quant. Cytol. Histol. 2001, 23, 395–399. [Google Scholar]
 - Ovejero Braun, A.; Hauser, B. [Correlation between cytopathology and histopathology of the skin, lymph node and spleen in 500 dogs and cats]. Schweiz. Arch. Tierheilkd. 2007, 149, 249–257. [Google Scholar] [CrossRef]
 - Rae, C.A.; Jacobs, R.M.; Couto, C.G. A comparison between the cytological and histological characteristics in thirteen canine and feline thymomas. Can. Vet. J. 1989, 30, 497–500. [Google Scholar] [PubMed]
 - Griffiths, G.L.; Lumsden, J.H.; Valli, V.E. Fine needle aspiration cytology and histologic correlation in canine tumors. Vet. Clin. Pathol. 1984, 13, 13–17. [Google Scholar] [CrossRef] [PubMed]
 - Allen, S.W.; Prasse, K.W.; Mahaffey, E.A. Cytologic differentiation of benign from malignant canine mammary tumors. Vet. Pathol. 1986, 23, 649–655. [Google Scholar] [CrossRef] [PubMed]
 - Simeonov, R.; Stoikov, D. Study on the correlation between the cytological and histological tests in the diagnostics of canine spontaneous mammary neoplasms. Bulg. J. Vet. Med. 2006, 9, 211–219. [Google Scholar]
 - Simon, D.; Schoenrock, D.; Nolte, I.; Baumgärtner, W.; Barron, R.; Mischke, R. Cytologic examination of fine-needle aspirates from mammary gland tumors in the dog: Diagnostic accuracy with comparison to histopathology and association with postoperative outcome. Vet. Clin. Pathol. 2009, 38, 521–528. [Google Scholar] [CrossRef]
 - Sontas, B.H.; Yüzbaşıoğlu Öztürk, G.; Toydemir, T.F.; Arun, S.S.; Ekici, H. Fine-needle aspiration biopsy of canine mammary gland tumours: A comparison between cytology and histopathology. Reprod. Domest. Anim. 2012, 47, 125–130. [Google Scholar] [CrossRef]
 - Sabattini, S.; Renzi, A.; Buracco, P.; Defourny, S.; Garnier-Moiroux, M.; Capitani, O.; Bettini, G. Comparative Assessment of the Accuracy of Cytological and Histologic Biopsies in the Diagnosis of Canine Bone Lesions. J. Vet. Intern. Med. 2017, 31, 864–871. [Google Scholar] [CrossRef]
 - Bertazzolo, W.; Dell’Orco, M.; Bonfanti, U.; Ghisleni, G.; Caniatti, M.; Masserdotti, C.; Antoniazzi, E.; Crippa, L.; Roccabianca, P. Canine angiosarcoma: Cytologic, histologic, and immunohistochemical correlations. Vet. Clin. Pathol. 2005, 34, 28–34. [Google Scholar] [CrossRef]
 - Khan, N.; Afroz, N.; Haider, A.; Hassan, M.J.; Hashmi, S.H.; Hasan, S.A. Role of fine needle aspiration, imprint and scrape cytology in the evaluation of intraoral lesions. J. Cytol. 2013, 30, 263–269. [Google Scholar] [CrossRef]
 - Fontes, K.B.; Cunha, K.S.; Rodrigues, F.R.; Silva, L.E.; Dias, E.P. Concordance between cytopathology and incisional biopsy in the diagnosis of oral squamous cell carcinoma. Braz. Oral Res. 2013, 27, 122–127. [Google Scholar] [CrossRef]
 - Singh, S.; Garg, N.; Gupta, S.; Marwah, N.; Kalra, R.; Singh, V.; Sen, R. Fine needle aspiration cytology in lesions of oral and maxillofacial region: Diagnostic pitfalls. J. Cytol. 2011, 28, 93–97. [Google Scholar] [CrossRef] [PubMed]
 - Singhal, N.; Khurana, U.; Handa, U.; Punia, R.P.; Mohan, H.; Dass, A.; Gupta, V. Intraoral and Oropharyngeal Lesions: Role of Fine Needle Aspiration Cytology in the Diagnosis. Indian J. Otolaryngol. Head Neck Surg. 2015, 67, 381–387. [Google Scholar] [CrossRef] [PubMed][Green Version]
 - Sousa, M.C.; Alves, M.G.; Souza, L.A.; Brandão, A.A.; Almeida, J.D.; Cabral, L.A. Correlation of clinical, cytological and histological findings in oral squamous cell carcinomas. Oncol. Lett. 2014, 8, 799–802. [Google Scholar] [CrossRef] [PubMed][Green Version]
 - von Elm, E.; Altman, D.G.; Egger, M.; Pocock, S.J.; Gøtzsche, P.C.; Vandenbroucke, J.P. The Strengthening the Reporting of Observational Studies in Epidemiology (STROBE) Statement: Guidelines for reporting observational studies. Int. J. Surg. 2014, 12, 1495–1499. [Google Scholar] [CrossRef] [PubMed]
 - Head, K.W. Histological Classification of Tumors of the Alimentary System of Domestic Animals, 2nd ed.; Armed Forces Institute of Pathology: Washington, DC, USA, 2003; 257p. [Google Scholar]
 - Bonfanti, U.; Bertazzolo, W.; Bottero, E.; De Lorenzi, D.; Marconato, L.; Masserdotti, C.; Zatelli, A.; Zini, E. Diagnostic value of cytologic examination of gastrointestinal tract tumors in dogs and cats: 83 cases (2001–2004). J. Am. Vet. Med. Assoc. 2006, 229, 1130–1133. [Google Scholar] [CrossRef]
 - Mehrotra, R.; Singh, M.K.; Pandya, S.; Singh, M. The use of an oral brush biopsy without computer-assisted analysis in the evaluation of oral lesions: A study of 94 patients. Oral Surg. Oral Med. Oral Pathol. Oral Radiol. Endod. 2008, 106, 246–253. [Google Scholar] [CrossRef]
 - Bonfanti, U.; Bussadori, C.; Zatelli, A.; De Lorenzi, D.; Masserdotti, C.; Bertazzolo, W.; Faverzani, S.; Ghisleni, G.; Capobianco, R.; Caniatti, M. Percutaneous fine-needle biopsy of deep thoracic and abdominal masses in dogs and cats. J. Small Anim. Pract. 2004, 45, 191–198. [Google Scholar] [CrossRef]
 - Bernreuter, D.C. Oropharynx and Tonsils. In Cowell and Tyler’s Diagnostic Cytology and Hematology of the Dog and Cat, 5th ed.; Mosby: St. Louis, MO, USA, 2020; pp. 131–140. [Google Scholar]
 - Meinkoth, J.H.; Cowell, R.L.; Tyler, R.D.; Morton, R.J. Sample Collection and Preparation. In Cowell and Tyler’s Diagnostic Cytology and Hematology of the Dog and Cat, 5th ed.; Mosby: St. Louis, MO, USA, 2020; pp. 1–17. [Google Scholar]
 - Meyer, D.J. The Acquisition and Management of Cytology Specimens. In Canine and Feline Cytology: A Color Atlas and Interpretation Guide, 3rd ed.; Raskin, R.E., Meyer, D.J., Eds.; Saunders: St. Louis, MO, USA, 2016; pp. 1–15. [Google Scholar]
 - DeBerry, J.D.; Norris, C.R.; Samii, V.F.; Griffey, S.M.; Almy, F.S. Correlation between fine-needle aspiration cytopathology and histopathology of the lung in dogs and cats. J. Am. Anim. Hosp. Assoc. 2002, 38, 327–336. [Google Scholar] [CrossRef]
 - Vos, J.H.; van den Ingh, T.S.; van Mil, F.N. Non-exfoliative canine cytology: The value of fine needle aspiration and scraping cytology. Vet. Q. 1989, 11, 222–231. [Google Scholar] [CrossRef]
 




| Location | Dogs | Cats | Total | 
|---|---|---|---|
| n (%) | n (%) | n (%) | |
| Gingiva | 17 (24.3) | 5 (15.2) | 22 (21.4) | 
| Mouth not otherwise specified (MNOS) | 15 (21.4) | 7 (21.2) | 22 (21.4) | 
| Lips | 17 (24.3) | 3 (9.1) | 20 (19.4) | 
| Tongue | 2 (2.9) | 9 (27.3) | 11 (10.7) | 
| Palate | 5 (7.1) | 2 (6.1) | 7 (6.8) | 
| Jaw | 4 (5.7) | 2 (6.1) | 6 (5.8) | 
| Submandibular lymph nodes | 4 (5.7) | 0 (0) | 4 (3.9) | 
| Maxilla | 2 (2.9) | 1 (3.0) | 3 (2.9) | 
| Salivary glands | 2 (2.9) | 1 (3.0) | 3 (2.9) | 
| Oropharynx | 1 (1.4) | 1 (3.0) | 2 (1.9) | 
| Tonsils | 1 (1.4) | 1 (3.0) | 2 (1.9) | 
| Dental | 0 (0.0) | 1 (3.0) | 1 (1.0) | 
| Total | 70 (100) | 33 (100) | 103 (100) | 
| Total Count | Gingiva n (%)  | Lip n (%)  | MNOS * n (%)  | Tongue n (%)  | Total n (%)  | 
|---|---|---|---|---|---|
| Disagreement | 5 (38.5) | 3 (23.1) | 3 (23.1) | 2 (15.4) | 13 (100) | 
| Agreement | 12 (23.1) | 15 (28.8) | 17 (32.7) | 8 (15.4) | 52 (100) | 
| Partial Agreement | 5 (50.0) | 2 (20.0) | 2 (20.0) | 1 (10.0) | 10 (100) | 
| Count Total%  | Neoplastic Histopathology n (%)  | Non-Neoplastic Histopathology n (%)  | Total n (%)  | 
|---|---|---|---|
| Neoplastic cytology  | 66 (64.0) | 1 (1.0) | 67 (65.0) | 
| Non-neoplastic cytology  | 12 (11.7) | 24 (23.3) | 36 (35.0) | 
| Total n (%)  | 78 (75.7) | 25 (24.3) | 103 (100) | 
| Concordance | Neoplastic n (%)  | Non-Neoplastic n (%)  | Total n (%)  | |
|---|---|---|---|---|
| Global Concordance  | Agreement | 50 (64.1) | 17 (68.0) | 67 (65.0) | 
| Partial Agreement | 14 (17.9) | 5 (20.0) | 19 (18.5) | |
| Disagreement | 14 (17.9) | 3 (12.0) | 17 (16.5) | |
| Total Concordance | 78 (75.7) | 25 (24.3) | 103 (100) | |
| Dogs | Agreement | 39 (66.1) | 8 (72.7) | 47 (67.2) | 
| Partial Agreement | 10 (16.9) | 2 (18.1) | 12 (17.1) | |
| Disagreement | 10 (16.9) | 1 (9.1) | 11 (15.7) | |
| Total Dogs | 59 (84.3) | 11 (15.6) | 70 (100) | |
| Cats | Agreement | 11 (57.9) | 9 (64.3) | 20 (60.6) | 
| Partial Agreement | 4 (21.1) | 3 (21.4) | 7 (21.2) | |
| Disagreement | 4 (21.1) | 2 (14.3) | 6 (18.2) | |
| Total Cats | 19 (57.6) | 14 (42.4) | 33 (100) | |
| Total Dogs/Cats | 78 (75.7) | 25 (24.3) | 103 (100) | 
| Neoplastic Lesions | Number of Cases n (%) | Agreement | Partial Agreement | Disagreement | |
|---|---|---|---|---|---|
| Number of Cases  n  | Cytological Diagnosis | ||||
| Melanoma | 15 (19.2) | 10 | 4 | 1 | Abscess | 
| Squamous cell carcinoma | 18 (23.1) | 13 | 4 | 1 | Benign hair follicle tumor | 
| Lymphoma | 8 (10.3) | 6 | 0 | 2 | Reactive lymph node hyperplasia Chronic granulomatous inflammation  | 
| Fibrosarcoma | 7 (9.0) | 7 | 0 | 0 | - | 
| Peripheral odontogenic fibroma | 6 (7.7) | 3 | 0 | 3 | Pyogranulomatous inflammation Discrete cell tumors Septic suppurative inflammation  | 
| Salivary gland adenocarcinoma | 5 (6.4) | 1 | 1 | 3 | Abscess (2) Pyogranulomatous inflammation  | 
| Mast cell tumor | 4 (5.1) | 3 | 0 | 1 | Hematoma | 
| Undifferentiated Malignancy | 6 (7.7) | 3 | 1 | 2 | Septic suppurative inflammation Bacterial stomatitis  | 
| Osteosarcoma | 1 (1.3) | 1 | 0 | 0 | - | 
| Chondrosarcoma | 1 (1.3) | 1 | 0 | 0 | - | 
| Histiocytic sarcoma | 1 (1.3) | 1 | 0 | 0 | - | 
| Hepatoid gland epithelioma | 1 (1.3) | 0 | 1 | 0 | - | 
| Sebaceous epithelioma | 1 (1.3) | 0 | 1 | 0 | - | 
| Histiocytoma | 1 (1.3) | 0 | 0 | 1 | Lymphoplasmacytic inflammation | 
| Papilloma | 1 (1.3) | 0 | 1 | 0 | - | 
| Trichoblastoma | 1 (1.3) | 1 | 0 | 0 | - | 
| Apocrine gland carcinoma | 1 (1.3) | 0 | 1 | 0 | - | 
| Total | 78 (100) | 50 | 14 | 14 | |
| Non-Neoplastic Lesions | Number of Cases n (%)  | Agreement | Partial Agreement | Disagreement | |
|---|---|---|---|---|---|
| Number of Cases n | Cytological Diagnosis | ||||
| Granulation tissue-type hemangiomas | 3 (12.0) | 1 | 1 | 1 | Abscess | 
| Lymphoplasmacytic stomatitis | 3 (12.0) | 0 | 2 | 1 | Suppurative inflammation with dysplastic epithelial cells | 
| Suppurative inflammation | 2 (8.0) | 2 | 0 | 0 | - | 
| Sialoadenitis | 2 (8.0) | 2 | 0 | 0 | - | 
| Ulcerative stomatitis | 2 (8.0) | 2 | 0 | 0 | - | 
| Pyogranulomatous inflammation | 2 (8.0) | 2 | 0 | 0 | - | 
| Abscess | 1 (4.0) | 1 | 0 | 0 | - | 
| Eosinophilic ulcerative stomatitis | 1 (4.0) | 1 | 0 | 0 | - | 
| Granulomatous gingivitis | 1 (4.0) | 1 | 0 | 0 | - | 
| Lymphoplasmacytic gingivitis | 1 (4.0) | 1 | 0 | 0 | - | 
| Eosinophilic granuloma | 1 (4.0) | 0 | 1 | 0 | - | 
| Granulomatous inflammation | 1 (4.0) | 1 | 0 | 0 | - | 
| Lymphoplasmacytic glossitis | 1 (4.0) | 0 | 1 | 0 | - | 
| Granulomatous lymphadenitis | 1 (4.0) | 0 | 0 | 1 | Reactive lymph node hyperplasia | 
| Leishmania granuloma | 1 (4.0) | 1 | 0 | 0 | - | 
| Mucocutaneous pyoderma | 1 (4.0) | 1 | 0 | 0 | - | 
| Osteomyelitis | 1 (4.0) | 1 | 0 | 0 | - | 
| Total | 25 (100) | 17 | 5 | 3 | - | 
| Studies | Species | Location | Number of Cases | Sensitivity | Specificity | Accuracy | 
|---|---|---|---|---|---|---|
| Current study | Dogs and cats | Oral | 103 | 84.6% | 96.0% | 87.4% | 
| Bonfanti et al., 2015 | Dogs | Oral | 96 | FNA (100%); FNI (98%); IS (91.1%)  | FNA (75%); FNI (100%); IS (100%)  | FNA (98.2%); FNI (98.1%); IS (91.8%) | 
| Cats | FNA (94.7%); FNI (94.4%); IS (94.1%) | FNA (100%); FNI (100%); IS (100%) | FNA (95.6%); FNI (95.6%); IS (95.8%) | |||
| Khan et al., 2013 | Human | Oral | 199 | 93.2% | 96.8% | 94.9% | 
| Singhal et al., 2015 | Human | Oral | 50 | 90% | 97.5% | 94.1% | 
| Simon et al., 2009 | Dogs | Mammary | 50 | 88% | 96% | 93% | 
| Allen et al., 1986 | Dogs | Mammary | 91 | Cytologist 1 (25%); Cytologist 2 (17%) | Cytologist 1 (62%); Cytologist 2 (49%) | Cytologist 1 (79%); Cytologist 2 (76%) | 
| Sontas et al., 2011 | Dogs | Mammary | 90 | 96.2% | 100% | 96.5% | 
| Ku et al., 2016  | Dogs | Lymph nodes  | 367 | 73.3% | 89.5% | 80.2% | 
| Cats | 39% | 100% | 64.7% | |||
| Ghisleni et al., 2006 | Dogs and cats | Skin masses | 243 | 89.3% | 97.9% | - | 
| Chalita et al., 2001 | Dogs | Skin and soft tissue | 85 | 89% | 100% | 97% | 
| Cohen et al., 2003 | Dogs, cats, horses, ferrets, llamas, rats, and mice | Multiple | 269 | 63.2% | 82.5% | - | 
| Vos et al., 1989  | Dogs | Multiple, including oral | 322 | 95.6% | 65.4% | 83.9% | 
| Bonfanti et al., 2004 | Dogs and cats | Deep thoracic and abdominal masses | 132 | 87.8% | 100% | 89.4% | 
| Eich et al., 2000  | Dogs, cats, and exotic animals | Masses of various organ systems | 100 | 89% | 100% | 87% | 
| Deberry et al., 2002 | Dogs and cats | Lung | 28 | 77% | 100% | 82% | 
| Sabattini et al., 2017 | Dogs | Bone | 68 | 83.3% | 80% | 83% | 
Disclaimer/Publisher’s Note: The statements, opinions and data contained in all publications are solely those of the individual author(s) and contributor(s) and not of MDPI and/or the editor(s). MDPI and/or the editor(s) disclaim responsibility for any injury to people or property resulting from any ideas, methods, instructions or products referred to in the content.  | 
© 2025 by the authors. Licensee MDPI, Basel, Switzerland. This article is an open access article distributed under the terms and conditions of the Creative Commons Attribution (CC BY) license (https://creativecommons.org/licenses/by/4.0/).
Share and Cite
Brilhante-Simões, P.; Delgado, L.; Martins, Â.; Silva, A.; Monteiro, L.; Marcos, R.; Prada, J. Association Between Cytological and Histopathological Diagnoses of Neoplastic and Non-Neoplastic Lesions in Oral Cavity from Dogs and Cats: An Observational Retrospective Study of 103 Cases. Vet. Sci. 2025, 12, 75. https://doi.org/10.3390/vetsci12020075
Brilhante-Simões P, Delgado L, Martins Â, Silva A, Monteiro L, Marcos R, Prada J. Association Between Cytological and Histopathological Diagnoses of Neoplastic and Non-Neoplastic Lesions in Oral Cavity from Dogs and Cats: An Observational Retrospective Study of 103 Cases. Veterinary Sciences. 2025; 12(2):75. https://doi.org/10.3390/vetsci12020075
Chicago/Turabian StyleBrilhante-Simões, Paula, Leonor Delgado, Ângela Martins, Augusto Silva, Luís Monteiro, Ricardo Marcos, and Justina Prada. 2025. "Association Between Cytological and Histopathological Diagnoses of Neoplastic and Non-Neoplastic Lesions in Oral Cavity from Dogs and Cats: An Observational Retrospective Study of 103 Cases" Veterinary Sciences 12, no. 2: 75. https://doi.org/10.3390/vetsci12020075
APA StyleBrilhante-Simões, P., Delgado, L., Martins, Â., Silva, A., Monteiro, L., Marcos, R., & Prada, J. (2025). Association Between Cytological and Histopathological Diagnoses of Neoplastic and Non-Neoplastic Lesions in Oral Cavity from Dogs and Cats: An Observational Retrospective Study of 103 Cases. Veterinary Sciences, 12(2), 75. https://doi.org/10.3390/vetsci12020075
        
