“My Bitch Is Empty!” An Overview of the Reasons for Pregnancy Loss in Dogs
Simple Summary
Abstract
1. Introduction
2. Reasons for Pregnancy Losses in the Bitch
- Endocrine disorders;
- Infectious causes:- Bacterial causes;
- Protozoal causes;
- Viral causes;
 
- Uterine pathology;
- Exogenous drugs;
- Age;
- Congenital defects and genetic disorders;
- Other conditions.
2.1. Endocrine Disorders
2.1.1. Hypoluteoidism
2.1.2. Gestational Diabetes
- Feeding a diet low in simple carbohydrates helps maintain stable blood glucose levels. Feeding the dog with small, more frequent meals helps keep blood sugar levels steady. Specific veterinary-prescribed therapeutic diets designed for diabetic dogs can also be used;
- Most dogs with gestational diabetes require insulin administration. Insulin dosage depends on blood glucose levels; therefore, regular monitoring is essential to adjust insulin doses appropriately and avoid hypoglycemia. Frequent monitoring is crucial throughout pregnancy as hormone levels fluctuate and insulin needs may change;
- In cases where diabetes is complicated with ketoacidosis, medical management should include fluid therapy, correction of acidosis, restoration of renal function, and delivery of insulin to its tissue receptors.
2.1.3. Hypothyroidism
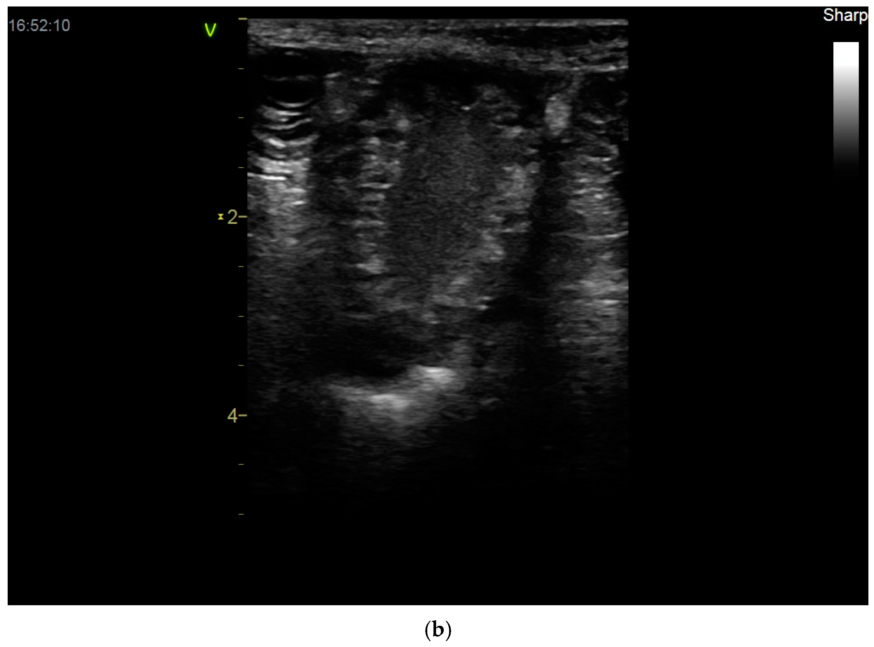
2.2. Infectious Causes
2.2.1. Bacterial Causes
Canine brucellosis
Campylobacter jejuni
Salmonella spp.
Escherichia coli
Streptococci
Listeria monocytogenes
Leptospirosis
Mycoplasma
2.2.2. Protozoal Causes
Toxoplasma gondii
Neospora caninum
Leishmaniasis (Leishmania infantum)
2.2.3. Viral Causes
Canine Parvovirus Type 1
Canine Herpesvirus 1α
Canine Distemper Virus
Canine Adenovirus
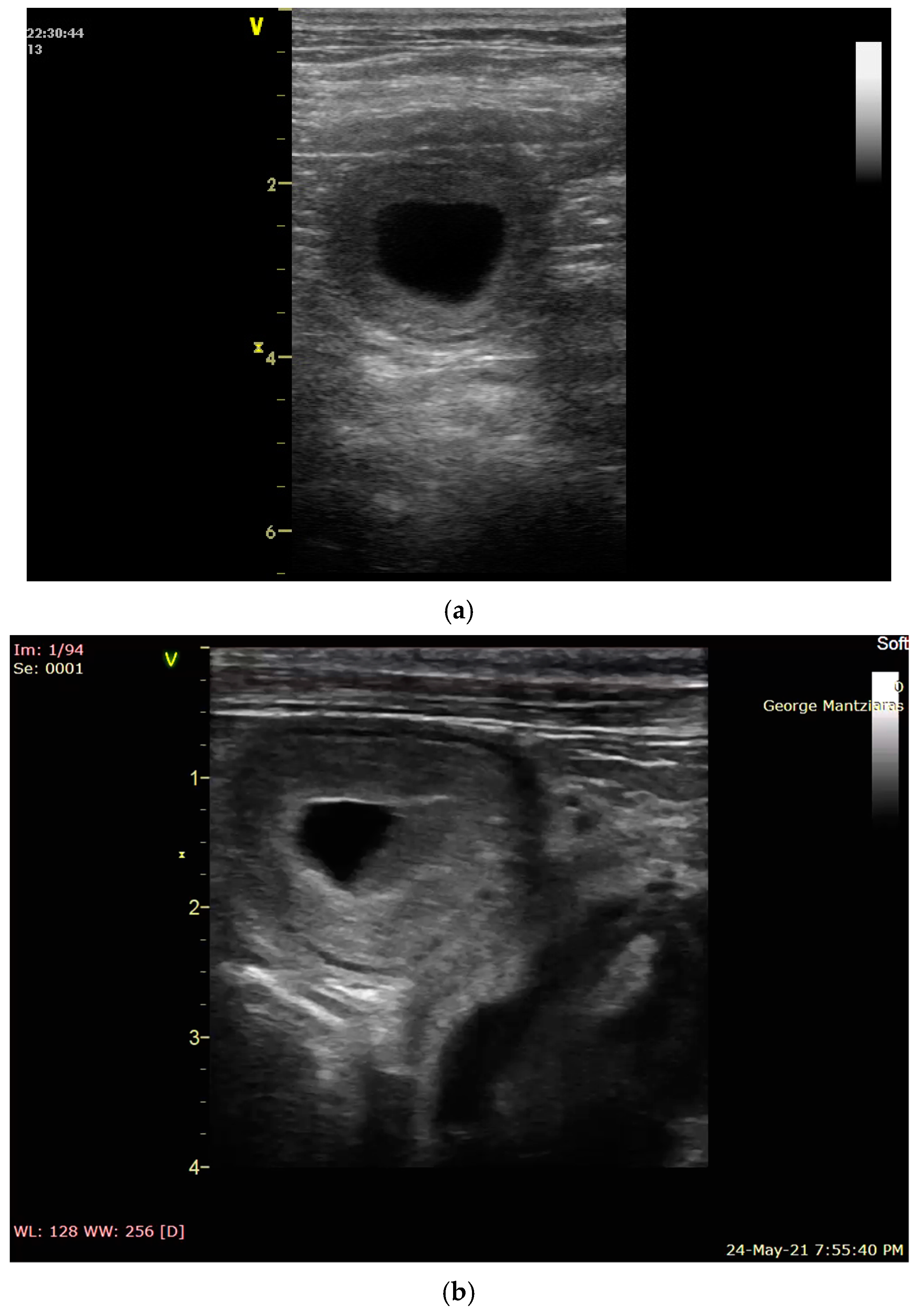
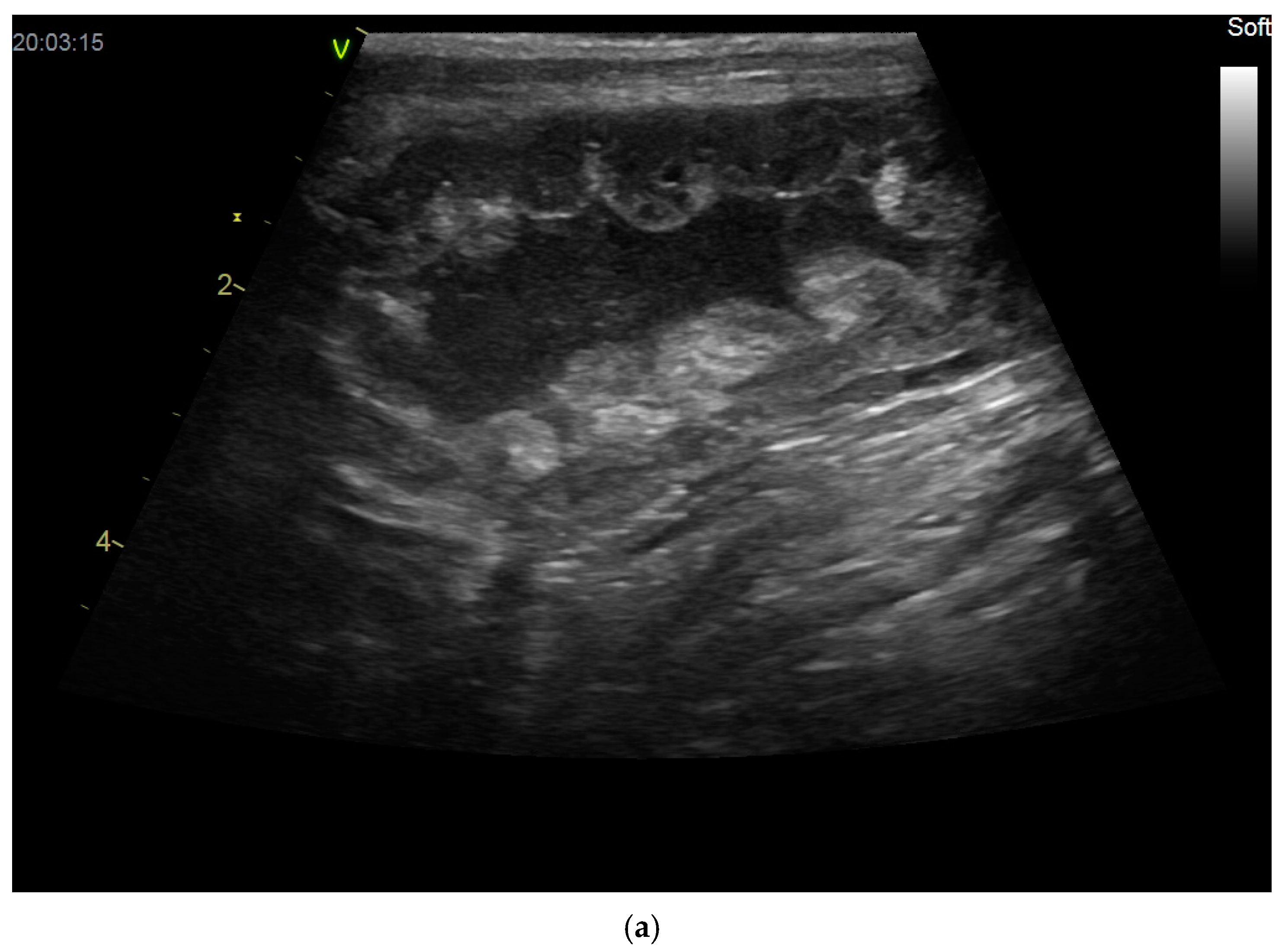
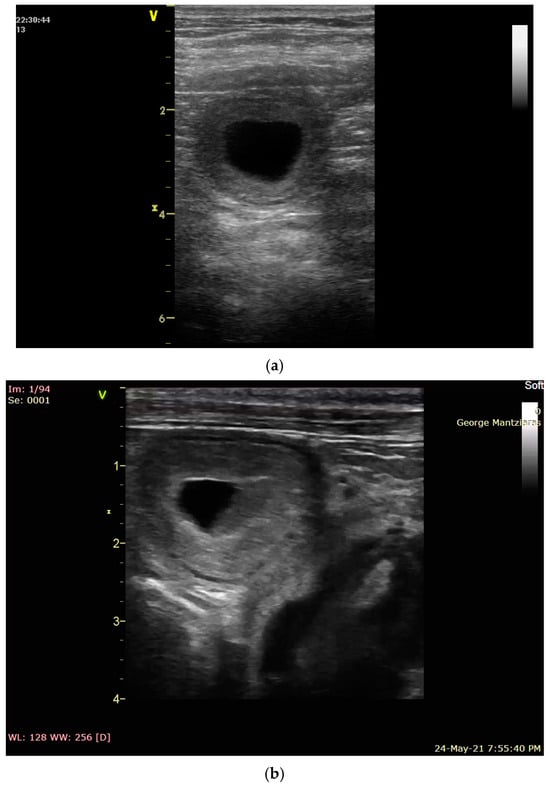
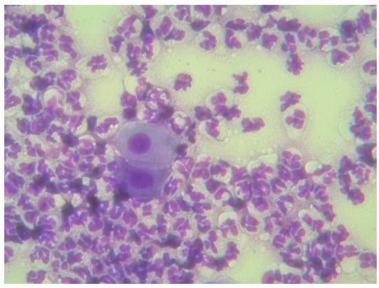
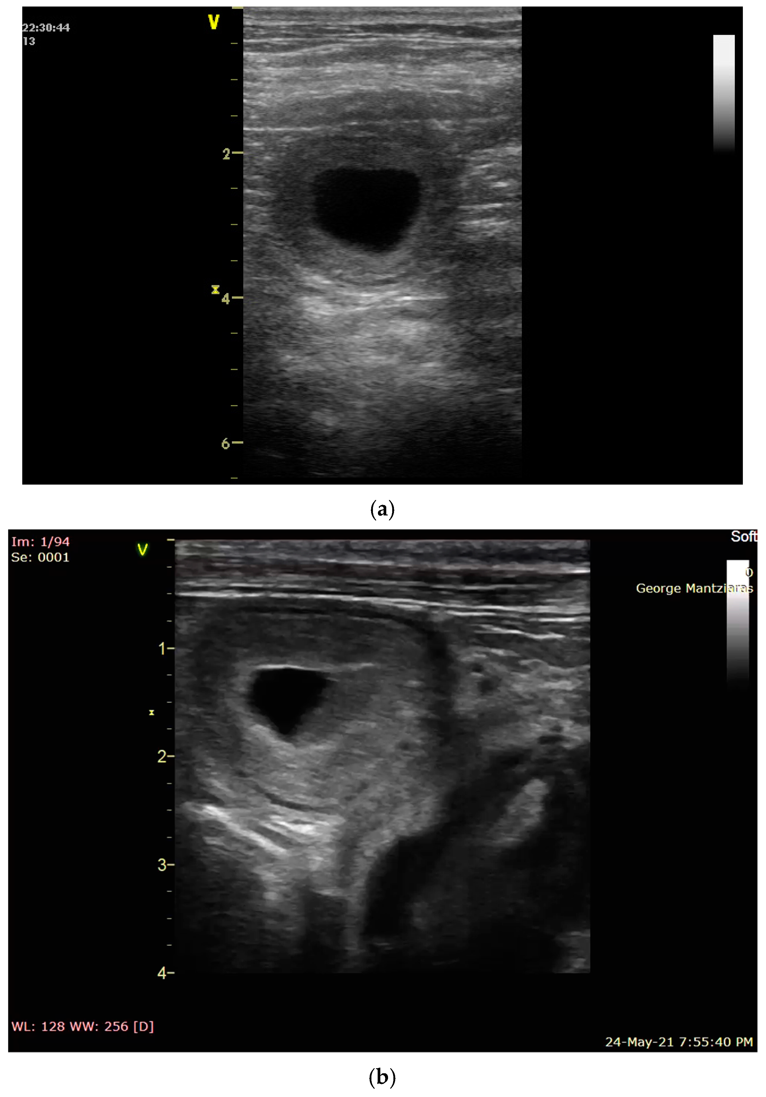
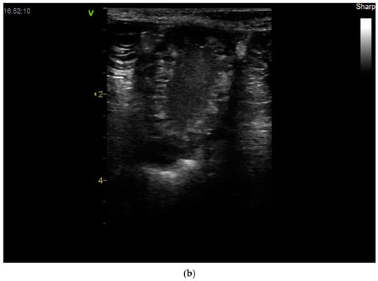
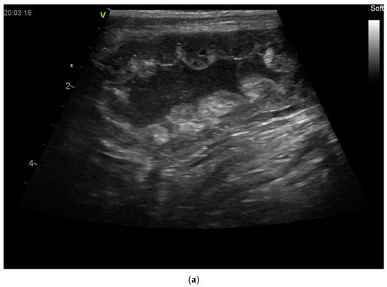
2.3. Uterine Pathology
2.4. Exogenous Drugs
2.5. Age
2.6. Congenital Defects and Genetic Disorders
2.7. Other Conditions
3. Conclusions
Author Contributions
Funding
Institutional Review Board Statement
Informed Consent Statement
Data Availability Statement
Conflicts of Interest
References
- Phemister, R.D. Nonneurogenic reproductive failure in the bitch. Vet. Clin. N. Am. 1974, 4, 573–586. [Google Scholar] [CrossRef] [PubMed]
- Pretzer, S.D. Canine embryonic and fetal development: A review. Theriogenology 2008, 70, 300–303. [Google Scholar] [CrossRef] [PubMed]
- Johnston, S.D.; Raksil, S. Fetal loss in the dog and cat. Vet. Clin. N. Am. Small Anim. Pract. 1987, 17, 535–554. [Google Scholar] [CrossRef]
- Yeager, A.; Mohammed, H.; Meyers-Wallen, V.; Vannerson, L.; Concannon, P. Ultrasonographic appearance of the uterus, placenta, fetus, and fetal membranes throughout accurately timed pregnancy in beagles. Am. J. Vet. Res. 1992, 53, 342–351. [Google Scholar] [CrossRef]
- England, G.C.W.; Allen, W.E. Studies on canine pregnancy using B-mode ultrasound: Diagnosis of early pregnancy and the number of conceptuses. J. Small Anim. Pract. 1990, 31, 321–323. [Google Scholar] [CrossRef]
- England, G.C.W. Ultrasound evaluation of pregnancy and spontaneous embryonic resorption in the bitch. J. Small Anim. Pract. 1992, 33, 430–436. [Google Scholar] [CrossRef]
- Beccaglia, M.; Alonge, S.; Trovo, C.; Luvoni, G.C. Determination of gestational time and prediction of parturition in dogs and cats: An update. Reprod. Domest. Anim. 2016, 51 (Suppl. S1), 12–17. [Google Scholar] [CrossRef]
- Lopate, C. Ultrasonography for the evaluation of pregnancy in the female canine. Reprod. Domest. Anim. 2023, 58 (Suppl. S2), 144–162. [Google Scholar] [CrossRef] [PubMed]
- Verstegen, J.; Dhaliwal, G.; Verstegen-Onclin, K. Canine and feline pregnancy loss due to viral and non-infectious causes: A review. Theriogenology 2008, 70, 304–319. [Google Scholar] [CrossRef]
- England, G.C.; Moxon, R.; Freeman, S.L. Delayed uterine fluid clearance and reduced uterine perfusion in bitches with endometrial hyperplasia and clinical management with postmating antibiotic. Theriogenology 2012, 78, 1611–1617. [Google Scholar] [CrossRef]
- Lamm, C.G.; Njaa, B.L. Clinical approach to abortion, stillbirth, and neonatal death in dogs and cats. Vet. Clin. N. Am. Small Anim. Pract. 2012, 42, 501–513. [Google Scholar] [CrossRef]
- Fontbonne, A. Causes of pregnancy arrest in the canine species. Reprod. Domest. Anim. 2023, 58 (Suppl. S2), 72–83. [Google Scholar] [CrossRef]
- England, G.C.W. Ultrasonographic assessment of abnormal pregnancy. Vet. Clin. N. Am. 1998, 25, 849–868. [Google Scholar] [CrossRef]
- Johnston, S.; Root-Kustritz, M.; Olson, P. Canine pregnancy. In Canine and Feline Theriogenology; Johnston, S., Root-Kustritz, M., Olson, P., Eds.; WB Saunders: Philadelphia, PA, USA, 2001; pp. 66–104. [Google Scholar]
- Lascialfari, P.; Tesi, M.; Manetti, C.; Fanelli, D.; Rota, A. Embryonic resorption rates at canine pregnancy diagnoses: A retrospective evaluation. Theriogenology 2023, 206, 71–77. [Google Scholar] [CrossRef]
- England, G.C.W.; Russo, M. Ultrasonographic characteristics of early pregnancy failure in bitches. Theriogenology 2006, 66, 1694–1698. [Google Scholar] [CrossRef]
- Ortega-Pacheco, A.; Rodriguez-Buenfil, J.C.; Segura-Correa, J.C.; Montes de Oca Gonzalez, A.R.; Jimenez-Coello, M. Prevalence of fetal resorption in stray dogs in Yucatan, Mexico. J. Small Anim. Pract. 2006, 47, 266–269. [Google Scholar] [CrossRef] [PubMed]
- Totton, S.C.; Wandeler, A.I.; Gartley, C.J.; Kachhawaha, S.; Suman, M.; Ribble, C.S.; Rosatte, R.C.; McEwen, S.A. Assessing reproductive patterns and disorders in free-ranging dogs in Jodhpur, India to optimize a population control program. Theriogenology 2010, 74, 1115–1120. [Google Scholar] [CrossRef]
- Tsutsui, T. Effects of ovariectomy and progesterone treatment on the maintenance of pregnancy in bitches. Jpn. J. Vet. Sci. 1983, 45, 47–51. [Google Scholar] [CrossRef]
- Okkens, A.C.; Dieleman, S.J.; Bevers, M.M.; Willemse, A.H. Evidence for the non-involvement of the uterus in the lifespan of the corpus luteum in the cyclic dog. Vet. Q. 1985, 7, 169–173. [Google Scholar] [CrossRef]
- Verstegen-Onclin, K.; Verstegen, J. Endocrinology of pregnancy in the dog: A review. Theriogenology 2008, 70, 291–299. [Google Scholar] [CrossRef] [PubMed]
- Johnson, C.A. High-risk pregnancy and hypoluteoidism in the bitch. Theriogenology 2008, 70, 1424–1430. [Google Scholar] [CrossRef] [PubMed]
- Thuróczy, J.; Müller, L.; Kollár, E.; Balogh, L. Thyroxin and Progesterone Concentrations in Pregnant, Nonpregnant Bitches, and Bitches during Abortion. Theriogenology 2016, 85, 1186–1191. [Google Scholar] [CrossRef] [PubMed]
- Concannon, P.W.; Hansel, W. Prostaglandin F2 Induced Luteolysis, Hypothermia, and Abortions in Beagle Bitches. Prostaglandins 1977, 13, 533–542. [Google Scholar] [CrossRef]
- Kowalewski, M.P. Endocrine and Molecular Control of Luteal and Placental Function in Dogs: A Review. Reprod. Domest. Anim. 2012, 47 (Suppl. S6), 19–24. [Google Scholar] [CrossRef]
- Gunzel-Apel, A.R.; Zabel, S.; Bunck, C.F.; Dieleman, S.J.; Einspanier, A.; Hoppen, H.O. Concentrations of progesterone, prolactin and relaxin in the luteal phase and pregnancy in normal and short-cycling German Shepherd dogs. Theriogenology 2006, 66, 1431–1435. [Google Scholar] [CrossRef]
- Rosset, E.; Mazereaux, C.; Buff, S. Retrospective study of hypoluteoidism cases in the bitch. In Proceedings of the 2010 EVSSAR Congress, Luvain La Neuve, Belgium, 14–15 May 2010. [Google Scholar]
- Concannon, P.; Tsutsui, T.; Schille, V. Embryo development, hormonal requirements and maternal responses during canine pregnancy. J. Reprod. Fertil. 2001, 57, 169–179. [Google Scholar]
- Gutierrez Rufo, J.; Gazzano, A.; Mariti, C. Prolactin in Female Domestic Dogs: A Mini-Review. Mathews J. Vet. Sci. 2017, 2, 6. [Google Scholar]
- Krachudel, J.; Bondzio, A.; Einspanier, R.; Einspanier, A.; Gottschalk, J.; Kuechenmeister, U.; Muennich, A. Luteal Insufficiency in Bitches as a Consequence of an Autoimmune Response against Progesterone? Theriogenology 2013, 79, 1278–1283. [Google Scholar] [CrossRef]
- Hinderer, J.; Lüdeke, J.; Riege, L.; Haimerl, P.; Bartel, A.; Kohn, B.; Weber, C.; Müller, E.; Arlt, S.P. Progesterone Concentrations during Canine Pregnancy. Animals 2021, 11, 3369. [Google Scholar] [CrossRef] [PubMed]
- Görlinger, S.; Galac, S.; Kooistra, H.S.; Okkens, A.C. Hypoluteoidism in a bitch. Theriogenology 2005, 64, 213–219. [Google Scholar] [CrossRef]
- Tibold, A.; Thuróczy, J. Progesterone, Oestradiol, FSH and LH Concentrations in Serum of Progesterone-Treated Pregnant Bitches with Suspected Luteal Insufficiency. Reprod. Domest. Anim. 2009, 44 (Suppl. S2), 129–132. [Google Scholar] [CrossRef] [PubMed]
- Kustritz, M.V. Use of Supplemental Progesterone in Management of Canine Pregnancy. In Recent Advances in Small Animal Reproduction; Concannon, P.W., England, G., Verstegen, J., III, Linde Forsberg, C., Eds.; International Veterinary Information Service: Ithaca, NY, USA, 2001. [Google Scholar]
- Kustritz Root, M.V. Pregnancy Diagnosis and Abnormalities of Pregnancy in the Dog. Theriogenology 2005, 64, 755–765. [Google Scholar] [CrossRef]
- Estill, C.T. Vet Med Today: Theriogenology Question of the Month. J. Am. Vet. Med. Assoc. 1998, 222, 817–818. [Google Scholar] [CrossRef]
- Egyptien, S.; Somville, M.; Deleuze, S. Progesterone supplementation during canine pregnancy: Friend or foe? In Proceedings of the 2024 EVSSAR Congress, Barcelona, Spain, 27–29 June 2024; p. 74. [Google Scholar]
- Harte, C.; Henry, M.T.; Murphy, K.D.; Mitchell, T.H. Progestogens and Cushing’s syndrome. Ir. J. Med. Sci. 1997, 166, 109–111. [Google Scholar] [CrossRef] [PubMed]
- Norman, E.J.; Wolsky, K.J.; MacKay, G.A. Pregnancy-Related Diabetes Mellitus in Two Dogs. N. Z. Vet. J. 2006, 54, 360–364. [Google Scholar] [CrossRef]
- Fall, T.; Johansson Kreuger, S.; Juberget, A.; Bergström, A.; Hedhammar, Å. Gestational Diabetes Mellitus in 13 Dogs. J. Vet. Intern. Med. 2008, 22, 1296–1300. [Google Scholar] [CrossRef] [PubMed]
- Armenise, A.; Pastorelli, G.; Palmisano, A.; Sontas, H.B.; Romagnoli, S. Gestational Diabetes Mellitus with Diabetic Ketoacidosis in a Yorkshire Terrier Bitch. J. Am. Anim. Hosp. Assoc. 2011, 47, 285–289. [Google Scholar] [CrossRef]
- Yoon, W.; Suh, S.; Hyun, C. Gestational Diabetes in a Yorkshire Terrier Dog. J. Vet. Clin. 2015, 32, 180–182. [Google Scholar] [CrossRef]
- Eigenmann, J.E.; Eigenmann, R.Y.; Rijnberk, A.; van der Gaag, I.; Zapf, J.; Froesch, E.R. Progesterone-Controlled Growth Hormone Overproduction and Naturally Occurring Canine Diabetes and Acromegaly. Acta Endocrinol. 1983, 104, 167–176. [Google Scholar] [CrossRef] [PubMed]
- Bhatti, S. Pituitary and Mammary Growth Hormone in Dogs. Ph.D. Thesis, Ghent University, Merelbeke, Belgium, 2006; pp. 175–201. [Google Scholar]
- Johnson, C.A. Glucose Homeostasis during Canine Pregnancy: Insulin Resistance, Ketosis, and Hypoglycemia. Theriogenology 2008, 70, 1418–1423. [Google Scholar] [CrossRef] [PubMed]
- McConachie, I. The Critically Ill Diabetic. In Handbook of ICU Therapy, 2nd ed.; McConachie, I., Ed.; Cambridge University Press: New York, NY, USA, 2006; pp. 392–400. [Google Scholar]
- Panciera, D.L. Fluid Therapy in Endocrine and Metabolic Disorders. In Fluid, Electrolyte and Acid-Base Disorders in Small Animal Practice, 3rd ed.; Di Bartola, S.P., Ed.; Saunders: Philadelphia, PA, USA, 2006; pp. 478–489. [Google Scholar]
- Chiasson, J.L.; Aris-Jilwan, N.; Bélanger, R.; Bertrand, S.; Beauregard, H.; Ekoé, J.-M.; Fournier, H.; Havrankova, J. Diagnosis and Treatment of Diabetic Ketoacidosis and the Hyperglycemic Hyperosmolar State. CMAJ 2003, 168, 859–866. [Google Scholar]
- Johnson, C.A.; Grace, J.A.; Probst, M.R. The Effect of Maternal Illness on Perinatal Health. Vet. Clin. N. Am. Small Anim. Pract. 1987, 17, 555–566. [Google Scholar] [CrossRef] [PubMed]
- Fontbonne, A.; Siliart, B.; Dadinand, F. Hormonal Findings in Dogs and Bitches Showing Reproductive Disorders. J. Reprod. Fertil. Suppl. 1992, 47, 553–554. [Google Scholar]
- Johnson, C.; Olivier, N.B.; Nachreiner, R.; Mullaney, T. Effect of 131I-Induced Hypothyroidism on Indices of Reproductive Function in Adult Male Dogs. J. Vet. Intern. Med. 1999, 13, 104–110. [Google Scholar] [CrossRef] [PubMed]
- Johnson, C.A. Reproductive Manifestations of Thyroid Disease. Vet. Clin. N. Am. Small Anim. Pract. 1994, 24, 509–514. [Google Scholar] [CrossRef]
- Johnson, C.A. Thyroid Issues in Reproduction. Clin. Tech. Small Anim. Pract. 2002, 17, 129–132. [Google Scholar] [CrossRef]
- Nesbitt, T.; Izzo, G.J.; Peterson, L.; Wilkins, R.J. Canine Hypothyroidism: A Retrospective Study of 108 Cases. J. Am. Vet. Med. Assoc. 1980, 177, 1117–1122. [Google Scholar] [PubMed]
- Panciera, D.L.; Purswell, B.J.; Kolster, K.A.; Werre, S.R.; Trout, S.W. Reproductive Effects of Prolonged Experimentally Induced Hypothyroidism in Bitches. J. Vet. Intern. Med. 2012, 26, 326–333. [Google Scholar] [CrossRef]
- Panciera, D.L.; Purswell, B.J.; Kolster, K.A. Effect of Short-Term Hypothyroidism on Reproduction in the Bitch. Theriogenology 2007, 68, 316–321. [Google Scholar] [CrossRef]
- Poppe, K.; Glinoer, D. Thyroid Autoimmunity and Hypothyroidism before and during Pregnancy. Hum. Reprod. Update 2003, 9, 149–161. [Google Scholar] [CrossRef]
- Meyers-Wallen, V.N. Clinical Approach to Infertile Male Dogs with Sperm in the Ejaculate. Vet. Clin. N. Am. Small Anim. Pract. 1991, 21, 609–633. [Google Scholar] [CrossRef] [PubMed]
- Beale, K.M.; Bloomberg, M.S.; van Gilder, J.; Wolfson, B.B.; Keisling, K. Correlation of Racing and Reproductive Performance in Greyhounds with Response to Thyroid Function Testing. J. Am. Anim. Hosp. Assoc. 1992, 28, 263–269. [Google Scholar]
- Segalini, V.; Hericher, T.; Grellet, A.; Rosenberg, D.; Garnier, F.; Fontbonne, A. Thyroid Function and Infertility in the Dog: A Survey in Five Breeds. Reprod. Domest. Anim. 2009, 44 (Suppl. S2), 211–213. [Google Scholar] [CrossRef]
- Young, E.J. Human Brucellosis. Rev. Infect. Dis. 1983, 5, 821–842. [Google Scholar] [CrossRef]
- Wanke, M.M. Canine Brucellosis. Anim. Reprod. Sci. 2004, 82–83, 195–207. [Google Scholar] [CrossRef] [PubMed]
- Hollett, R.B. Canine Brucellosis: Outbreaks and Compliance. Theriogenology 2006, 66, 575–587. [Google Scholar] [CrossRef] [PubMed]
- Brower, A.; Okwumabua, O.; Massengill, C.; Muenks, Q.; Vanderloo, P.; Duster, M.; Homb, K.; Kurth, K. Investigation of the Spread of Brucella canis via the U.S. Interstate Dog Trade. Int. J. Infect. Dis. 2007, 11, 454–458. [Google Scholar] [CrossRef][Green Version]
- Holst, B.S.; Löfqvist, K.; Ernholm, L.; Eld, K.; Cedersmyg, M.; Hallgren, G. The First Case of Brucella canis in Sweden: Background, Case Report and Recommendations from a Northern European Perspective. Acta Vet. Scand. 2012, 54, 18. [Google Scholar] [CrossRef] [PubMed]
- Lucero, N.E.; Ayala, S.M.; Escobar, G.I.; Jacob, N.R. Brucella Isolated in Humans and Animals in Latin America from 1968 to 2006. Epidemiol. Infect. 2008, 136, 496–503. [Google Scholar] [CrossRef] [PubMed]
- Santos, R.L.; Souza, T.D.; Mol, J.P.S.; Eckstein, C.; Paíxão, T.A. Canine Brucellosis: An Update. Front. Vet. Sci. 2021, 8, 594291. [Google Scholar] [CrossRef] [PubMed]
- Makloski, C.L. Canine Brucellosis Management. Vet. Clin. N. Am. Small Anim. Pract. 2011, 41, 1209–1219. [Google Scholar] [CrossRef] [PubMed]
- Souza, T.D.; Carvalho, T.F.; Mol, J.P.S.; Lopes, J.V.M.; Silva, M.F.; Paixão, T.A.; Santos, R.L. Tissue Distribution and Cell Tropism of Brucella canis in Naturally Infected Canine Foetuses and Neonates. Sci. Rep. 2018, 8, 7203. [Google Scholar] [CrossRef]
- Gyuranecz, M.; Szeredi, L.; Rónai, Z.; Dénes, B.; Dencso, L.; Dán, Á.; Pálmai, N.; Hauser, Z.; Lami, E.; Makrai, L.; et al. Detection of Brucella canis-Induced Reproductive Diseases in a Kennel. J. Vet. Diagn. Investig. 2011, 23, 143–147. [Google Scholar] [CrossRef] [PubMed]
- Carmichael, L.E.; Kenney, R.M. Canine Abortion Caused by Brucella canis. J. Am. Vet. Med. Assoc. 1968, 152, 605–616. [Google Scholar] [PubMed]
- Carvalho Neta, A.V.; Mol, J.P.; Xavier, M.N.; Paixão, T.A.; Lage, A.P.; Santos, R.L. Pathogenesis of Bovine Brucellosis. Vet. J. 2010, 184, 146–155. [Google Scholar] [CrossRef]
- Poester, F.P.; Samartino, L.E.; Santos, R.L. Pathogenesis and Pathobiology of Brucellosis in Livestock. Rev. Sci. Tech. 2013, 32, 105–115. [Google Scholar] [CrossRef]
- Moore, J.A.; Gupta, B.N. Epizootiology, Diagnosis, and Control of Brucella canis. J. Am. Vet. Med. Assoc. 1970, 156, 1737–1740. [Google Scholar]
- Olsen, S.C.; Palmer, M.V. Advancement of Knowledge of Brucella Over the Past 50 Years. Vet. Pathol. 2014, 51, 1076–1089. [Google Scholar] [CrossRef] [PubMed]
- George, L.W.; Duncan, J.R.; Carmichael, L.E. Semen Examination in Dogs with Canine Brucellosis. Am. J. Vet. Res. 1979, 40, 1589–1595. [Google Scholar]
- Anderson, G.I.; Binnington, A.G. Discospondylitis and Orchitis Associated with High Brucella Titre in a Dog. Can. Vet. J. 1983, 24, 249–252. [Google Scholar] [PubMed]
- Kerwin, S.C.; Lewis, D.D.; Hribernik, T.N.; Partington, B.; Hosgood, G.; Eilts, B.E. Diskospondylitis Associated with Brucella canis Infection in Dogs: 14 Cases (1980–1991). J. Am. Vet. Med. Assoc. 1992, 201, 1253–1257. [Google Scholar] [CrossRef] [PubMed]
- Ledbetter, E.C.; Landry, M.P.; Stokol, T.; Kern, T.J.; Messick, J.B. Brucella canis Endophthalmitis in 3 Dogs: Clinical Features, Diagnosis, and Treatment. Vet. Ophthalmol. 2009, 12, 183–191. [Google Scholar] [CrossRef]
- Bricker, B.J. PCR as a Diagnostic Tool for Brucellosis. Vet. Microbiol. 2002, 90, 435–446. [Google Scholar] [CrossRef]
- George, L.W.; Carmichael, L.E. A Plate Agglutination Test for the Rapid Diagnosis of Canine Brucellosis. Am. J. Vet. Res. 1974, 35, 905–909. [Google Scholar]
- Badakhsh, F.; Carmichael, L.; Douglass, J. Improved Rapid Slide Agglutination Test for Presumptive Diagnosis of Canine Brucellosis. J. Clin. Microbiol. 1982, 15, 286–289. [Google Scholar] [CrossRef]
- Lucero, N.E.; Escobar, G.I.; Ayala, S.M.; Lopez, G. Sensitivity and Specificity of an Indirect Enzyme-Linked Immunoassay for the Diagnosis of Brucella canis Infection in Dogs. J. Med. Microbiol. 2002, 51, 656–660. [Google Scholar] [CrossRef]
- de Oliveira, M.Z.; Vale, V.; Keid, L.; Freire, S.M.; Meyer, R.; Portela, R.W.; Barrouin-Melo, S.M. Validation of an ELISA Method for the Serological Diagnosis of Canine Brucellosis Due to Brucella canis. Res. Vet. Sci. 2011, 90, 425–431. [Google Scholar] [CrossRef] [PubMed]
- Wanke, M.; Cairó, F.; Rossano, M.; Laiño, M.; Baldi, P.C.; Monachesi, N.E.; Comercio, E.; Vivot, M. Preliminary Study of an Immunochromatography Test for Serological Diagnosis of Canine Brucellosis. Reprod. Domest. Anim. 2012, 47, 370–372. [Google Scholar] [CrossRef] [PubMed]
- Barkha, S.; Kumar, S.D.; Kumar, S.D. Immunochemical Characterization of Antigens of Brucella canis and Their Use in Seroprevalence Study of Canine Brucellosis. Asian Pac. J. Trop. Med. 2011, 4, 857–861. [Google Scholar] [CrossRef] [PubMed]
- Cosford, K.L. Brucella canis: An Update on Research and Clinical Management. Can. Vet. J. 2018, 59, 74–81. [Google Scholar]
- Mateu-de-Antonio, E.M.; Martín, M. In Vitro Efficacy of Several Antimicrobial Combinations Against Brucella canis and Brucella melitensis Strains Isolated from Dogs. Vet. Microbiol. 1995, 45, 1–10. [Google Scholar] [CrossRef]
- Zoha, S.J.; Walsh, R. Effect of a Two-Stage Antibiotic Treatment Regimen on Dogs Naturally Infected with Brucella canis. J. Am. Vet. Med. Assoc. 1982, 180, 1474–1475. [Google Scholar]
- Bulgin, M.S.; Ward, A.C.; Sriranganathan, N.; Saras, P. Abortion in the Dog Due to Campylobacter Species. Am. J. Vet. Res. 1984, 45, 555–556. [Google Scholar]
- Odendaal, M.W.; de Cramer, K.G.; van der Walt, M.L.; Botha, A.D.; Pieterson, P.M. First Isolation of Campylobacter jejuni from the Vaginal Discharge of Three Bitches after Abortion in South Africa. Onderstepoort J. Vet. Res. 1994, 61, 193–195. [Google Scholar] [PubMed]
- Sahin, O.; Burrough, E.R.; Pavlovic, N.; Frana, T.S.; Madson, D.M.; Zhang, Q. Campylobacter jejuni as a Cause of Canine Abortions in the United States. J. Vet. Diagn. Investig. 2014, 26, 699–704. [Google Scholar] [CrossRef] [PubMed]
- Davies, R.H.; Lawes, J.R.; Wales, A.D. Raw Diets for Dogs and Cats: A Review, with Particular Reference to Microbiological Hazards. J. Small Anim. Pract. 2019, 60, 329–339. [Google Scholar] [CrossRef] [PubMed]
- Graham, E.M.; Taylor, D.J. Bacterial Reproductive Pathogens of Cats and Dogs. Vet. Clin. N. Am. Small Anim. Pract. 2012, 42, 561–582, vii. [Google Scholar] [CrossRef] [PubMed]
- Chaban, B.; Musil, K.M.; Himsworth, C.G.; Hill, J.E. Development of CPN-Based Real-Time Quantitative PCR Assays for the Detection of 14 Campylobacter Species and Application to Screening of Canine Fecal Samples. Appl. Environ. Microbiol. 2009, 75, 3055–3061. [Google Scholar] [CrossRef]
- Dróżdż, M.; Małaszczuk, M.; Paluch, E.; Pawlak, A. Zoonotic Potential and Prevalence of Salmonella Serovars Isolated from Pets. Infect. Ecol. Epidemiol. 2021, 11, 1975530. [Google Scholar] [CrossRef] [PubMed]
- Redwood, D.W.; Bell, D.A. Salmonella Panama: Isolation from Aborted and Newborn Canine Fetuses. Vet. Rec. 1983, 112, 362. [Google Scholar] [CrossRef] [PubMed]
- Ahmed, A.; Ellis, C.; Kelleman, A. Pregnancy and Spontaneous Partial Abortion Associated with Salmonella in a Dog. Clin. Theriogenol. 2023, 15, 1–6. [Google Scholar] [CrossRef]
- Allen-Durrance, A.; Mazzaccari, K.M.; Woliver, C.L. Bacteremia and Late-Term Abortion Secondary to Salmonellosis in a Dog. J. Am. Anim. Hosp. Assoc. 2022, 58, 262–264. [Google Scholar] [CrossRef]
- Caldow, G.L.; Graham, M.M. Abortion in Foxhounds and a Ewe Flock Associated with Salmonella montevideo Infection. Vet. Rec. 1998, 142, 138–139. [Google Scholar] [CrossRef]
- Cobb, M.A.; Stavisky, J. Salmonella Infections in Dogs and Cats. In Salmonella in Domestic Animals, 2nd ed.; Barrow, P.A., Methner, U., Eds.; CAB International: Loughborough, UK, 2013; pp. 318–336. [Google Scholar]
- Leps, A.S.; Klein, B.; Schneider, M.; Meyer, C.; Šoba, A.; Simon, C.; Dyachenko, V.; Siesenop, U.; Verspohl, J.; Goericke-Pesch, S. The Canine Vaginal Flora: A Large-Cohort Retrospective Study. Vet. Sci. 2024, 11, 55. [Google Scholar] [CrossRef] [PubMed] [PubMed Central]
- Bjurstrom, L. Aerobic Bacteria Occurring in the Vagina of Bitches with Reproductive Disorders. Acta Vet. Scand. 1993, 34, 29–34. [Google Scholar] [CrossRef]
- Hagman, R. Pyometra in Small Animals 2.0. Vet. Clin. N. Am. Small Anim. Pract. 2022, 52, 631–657. [Google Scholar] [CrossRef] [PubMed]
- Linde, C. Partial Abortion Associated with Genital Escherichia coli Infection in a Bitch. Vet. Rec. 1983, 112, 454–455. [Google Scholar] [CrossRef] [PubMed]
- Penzhorn, B.L. Necrosis and Abscessation of Placental Sites in a Pekingese Bitch. J. S. Afr. Vet. Assoc. 1985, 56, 135–136. [Google Scholar] [PubMed]
- Allen, W.E.; Dagnall, G.J.R. Some Observations on the Aerobic Bacterial Flora of the Genital Tract of the Dog and Bitch. J. Small Anim. Pract. 1982, 23, 325–335. [Google Scholar] [CrossRef]
- Bjurstrom, L.; Linde-Forsberg, C. Long-Term Study of Aerobic Bacteria of the Genital Tract in Breeding Bitches. Am. J. Vet. Res. 1992, 53, 665–669. [Google Scholar] [CrossRef]
- Golinska, E.; Sowińska, N.; Tomusiak-Plebanek, A.; Szydło, M.; Witka, N.; Lenarczyk, J.; Strus, M. The Vaginal Microflora Changes in Various Stages of the Estrous Cycle of Healthy Female Dogs and the Ones with Genital Tract Infections. BMC Vet. Res. 2021, 17, 8. [Google Scholar] [CrossRef]
- Groppetti, D.; Pecile, A.; Barbero, C.; Martino, P.A. Vaginal Bacterial Flora and Cytology in Proestrous Bitches: Role on Fertility. Theriogenology 2012, 77, 1549–1556. [Google Scholar] [CrossRef]
- Mantovani, A.; Restani, R.; Sciarra, D.; Simonella, P. Streptococcus L Infection in the Dog. J. Small Anim. Pract. 1961, 2, 185–194. [Google Scholar] [CrossRef]
- Miller, C.W.; Prescott, J.F.; Mathews, K.A.; Betschel, S.D.; Yager, J.A.; Guru, V.; DeWinter, L.; Low, D.E. Streptococcal Toxic Shock Syndrome in Dogs. J. Am. Vet. Med. Assoc. 1996, 209, 1421–1426. [Google Scholar] [CrossRef]
- DeWinter, L.M.; Prescott, J.F. Relatedness of Streptococcus canis from Canine Streptococcal Toxic Shock Syndrome and Necrotizing Fasciitis. Can. J. Vet. Res. 1999, 63, 90–95. [Google Scholar]
- Lamm, C.G.; Ferguson, A.C.; Lehenbauer, T.W.; Love, B.C. Streptococcal Infection in Dogs: A Retrospective Study of 393 Cases. Vet. Pathol. 2010, 47, 387–395. [Google Scholar] [CrossRef] [PubMed]
- Low, J.C.; Donachie, W. A Review of Listeria monocytogenes and Listeriosis. Vet. J. 1997, 153, 9–29. [Google Scholar] [CrossRef]
- Fenwick, B.; Osburn, B.I. Listeriosis in Animals. Vet. Clin. N. Am. Food Anim. Pract. 1986, 2, 373–381. [Google Scholar]
- Guillet, C.; Join-Lambert, O.; Le Monnier, A.; Leclercq, A.; Mechaï, F.; Mamzer-Bruneel, M.-F.; Bielecka, M.K.; Scortti, M.; Disson, O.; Berche, P.; et al. Human Listeriosis Caused by Listeria ivanovii. Emerg. Infect. Dis. 2012, 16, 136–138. [Google Scholar] [CrossRef]
- Sturgess, C.P. Listerial Abortion in the Bitch, Editorial Comment. Vet. Rec. 1989, 124, 177. [Google Scholar] [CrossRef]
- Pretzer, S.D. Leptospirosis and Reproductive Disease. In Veterinary Reproduction and Obstetrics, 10th ed.; Elsevier: Amsterdam, The Netherlands, 2008. [Google Scholar]
- Ellis, W.A. Leptospirosis. J. Small Anim. Pract. 1986, 27, 683–692. [Google Scholar] [CrossRef]
- Goldstein, R.E. Canine Leptospirosis. Vet. Clin. N. Am. Small Anim. Pract. 2010, 40, 1091–1101. [Google Scholar] [CrossRef] [PubMed]
- Langston, C.E.; Heuter, K.J. Leptospirosis: A Re-emerging Zoonotic Disease. Vet. Clin. N. Am. Small Anim. Pract. 2003, 33, 791–807. [Google Scholar] [CrossRef] [PubMed]
- Schuller, S.; Francey, T.; Hartmann, K.; Hugonnard, M.; Kohn, B.; Nally, J.E.; Sykes, J. European Consensus Statement on Leptospirosis in Dogs and Cats. J. Small Anim. Pract. 2015, 56, 159–179. [Google Scholar] [CrossRef]
- Doig, P.A.; Ruhunke, H.L.; Bosu, W.T.K. The Genital Mycoplasma and Ureaplasma of Healthy and Diseased Dogs. Can. J. Comp. Med. 1981, 45, 223–234. [Google Scholar]
- Feldman, E.C.; Nelson, R.W. Periparturient Diseases. In Canine and Feline Endocrinology and Reproduction; Kersey, R., Ed.; WB Saunders, Co.: Philadelphia, PA, USA, 2004; pp. 808–834. [Google Scholar]
- Lein, D.H. Canine Mycoplasma, Ureaplasma, and Bacterial Infertility. Curr. Vet. Ther. Small Anim. Pract. 1986, 9, 1240–1243. [Google Scholar]
- Holzmann, A.; Laber, G.; Walzl, H. Experimentally Induced Mycoplasmal Infection in the Genital Tract of the Female Dog. Theriogenology 1979, 12, 355–370. [Google Scholar] [CrossRef]
- L’Abee-Lund, T.M.; Heiene, R.; Friis, N.F.; Ahrens, P.; Sørum, H. Mycoplasma canis and Urogenital Disease in Dogs in Norway. Vet. Rec. 2003, 153, 231–235. [Google Scholar] [CrossRef]
- Furthner, E.; Maenhoudt, C.; Boucher, C.; Fontbonne, A. Embryonic Resorptions and Neonatal Mortality in a Canine Kennel with Identification of Uterine Mycoplasma. Reprod. Domest. Anim. 2018, 53 (Suppl. S2), 100–215. [Google Scholar]
- Tamiozzo, P.J. Mycoplasma maculosum and Mycoplasma spumans Associated with Fertility Disorders in Dogs from a Bernese Mountain Dog Kennel. Rev. Argent. Microbiol. 2022, 54, 39–42. [Google Scholar] [CrossRef]
- Post, K. Embryo and Fetal Loss in the Canine: A Review. In Theriogenology Handbook; Society for Theriogenology: Hastings, NE, USA, 1995; pp. 1–120. [Google Scholar]
- Spergser, J. Mycoplasma in Dogs: Significance, Diagnosis and Treatment. In Proceedings of the 21th EVSSAR Congress; Schäfer-Somi, S., Mantziaras, G., Arlt, S., Eds.; European Veterinary Society for Small Animal Reproduction: Venice, Italy, 2018; pp. 75–77. [Google Scholar]
- Chalker, V.J. Canine Mycoplasmas. Res. Vet. Sci. 2005, 79, 1–8. [Google Scholar] [CrossRef] [PubMed]
- Johnston, S.D.; Kustritz, M.V.R.; Olson, P.N.S. Disorders of the Canine Testes and Epididymis. In Canine and Feline Theriogenology; Kersey, R., Ed.; WB Saunders, Co.: Philadelphia, PA, USA, 2001; pp. 312–332. [Google Scholar]
- Chamberlain, D.M.; Doctor, F.L.; Cole, C.R. Toxoplamosis. II. Intrauterine Infection in Dogs, Premature Birth and Presence of Organisms in Milk. Proc. Soc. Exp. Biol. Med. 1953, 82, 198–200. [Google Scholar] [CrossRef]
- Dubey, J.P.; Lindsay, D.S. Transplacental Neospora caninum Infection in Dogs. Am. J. Vet. Res. 1989, 50, 1578–1579. [Google Scholar] [PubMed]
- Dubey, J.P.; Koestner, A.; Piper, R.C. Repeated Transplacental Transmission of Neospora caninum in Dogs. J. Am. Vet. Med. Assoc. 1990, 197, 857–860. [Google Scholar] [CrossRef]
- Barber, J.S.; Trees, A.J. Naturally Occurring Vertical Transmission of Neospora caninum in Dogs. Int. J. Parasitol. 1998, 28, 57–64. [Google Scholar] [CrossRef] [PubMed]
- Barber, J.S.; Gasser, R.B.; Ellis, J.; Reichel, M.P.; McMillan, D.; Trees, A.J. Prevalence of Antibodies to Neospora caninum in Different Canid Populations. J. Parasitol. 1998, 84, 636–640. [Google Scholar] [CrossRef]
- Dubey, J.P. Neospora caninum and Neosporosis in Animals. Korean J. Parasitol. 1999, 37, 101–105. [Google Scholar]
- Dubey, J.P.; Lindsay, D.S. A Review of Neospora caninum and Neosporosis. Vet. Parasitol. 1996, 67, 1–59. [Google Scholar] [CrossRef]
- Dubey, J.P.; Rosypal, A.C.; Pierce, V.; Scheinberg, S.N.; Lindsay, D.S. Placentitis Associated with Leishmaniasis in a Dog. J. Am. Vet. Med. Assoc. 2005, 227, 1266–1269. [Google Scholar] [CrossRef] [PubMed]
- Miró, G.; Cardoso, L.; Pennisi, M.G.; Oliva, G.; Baneth, G. Canine Leishmaniosis—New Concepts and Insights on an Expanding Zoonosis: Part Two. Trends Parasitol. 2013, 29, 543–559. [Google Scholar] [CrossRef] [PubMed]
- Maia, C.; Campino, L. Canine Leishmaniasis: An Overview of the Current Status and Strategies for Control. Vet. Parasitol. 2011, 181, 89–93. [Google Scholar]
- Solano-Gallego, L.; Miró, G.; Koutinas, A.; Cardoso, L.; Pennisi, M.G.; Ferrer, L.; Bourdeau, P.; Oliva, G.; Baneth, G. LeishVet Guidelines for the Practical Management of Canine Leishmaniosis. Parasitol. 2011, 4, 86. [Google Scholar] [CrossRef]
- Binn, L.N.; Lazar, E.C.; Eddy, G.A. Recovery and Characterization of a Minute Virus of Canines. Infect. Immun. 1970, 1, 503–508. [Google Scholar] [CrossRef] [PubMed]
- Manteufel, J.; Truyen, U. Parvovirus Infections in Animals. Vet. Microbiol. 2008, 153, 17–19. [Google Scholar]
- Decaro, N.; Buonavoglia, C. Canine Parvovirus Type 1 and Its Role in Canine Health. Vet. Microbiol. 2012, 155, 1–12. [Google Scholar] [CrossRef] [PubMed]
- Harrison, G. Parvoviral Myocarditis in Puppies. Vet. Clin. N. Am. Small Anim. Pract. 1992, 22, 1279–1290. [Google Scholar]
- Carmichael, L.E.; Schlafer, D.H. Clinical and Pathological Features of CPV-1 Infection. Vet. Pathol. 1994, 31, 41–49. [Google Scholar]
- Eminaga, S.; Martinez, N.; Fraga, M.; Tebar, M.; Ferrer, D.; Addie, D.; Cerón, J.J.; Martínez-Subiela, S. CPV-1 Infection in Young Puppies. J. Small Anim. Pract. 2011, 52, 405–410. [Google Scholar]
- Manteufel, J.; Truyen, U. Animal Bocaviruses: A Brief Review. Intervirology 2008, 51, 328–334. [Google Scholar] [CrossRef] [PubMed]
- Carmichael, L.E.; Schlafer, D.H.; Hashimoto, A. Canine Parvovirus Type-1 and Reproductive Failure. J. Vet. Med. 1991, 38, 37–42. [Google Scholar]
- Decaro, N.; Carmichael, L.E.; Buonavoglia, C. Viral Reproductive Pathogens of Dogs and Cats. Vet. Clin. N. Am. Small Anim. Pract. 2012, 42, 583–598. [Google Scholar] [CrossRef]
- Truyen, U.; Evermann, J.F. CPV-1 and Abortion in Dogs: Case Reports and Literature Review. Vet. Rec. 1996, 138, 521–523. [Google Scholar]
- Mochizuki, M.; Hashimoto, M.; Matsui, O. Immunofluorescence and PCR as Diagnostic Tools for CPV-1. Jpn. J. Vet. Sci. 2002, 64, 401–405. [Google Scholar]
- Decaro, N.; Martella, V.; Elia, G. Diagnostic Techniques in CPV-1 Detection. J. Clin. Microbiol. 2008, 46, 2500–2503. [Google Scholar]
- Squires, E.L. Vaccination Strategies in Breeding Animals. In Veterinary Reproduction and Obstetrics, 11th ed.; Elsevier: Amsterdam, The Netherlands, 2024. [Google Scholar]
- Carmichael, L.E.; Squire, A.; Krook, L. Clinical and Pathological Features of a Fatal Viral Disease of Newborn Pups. Am. J. Vet. Res. 1965, 26, 803–814. [Google Scholar]
- Decaro, N.; Martella, V.; Buonavoglia, C. Canine Adenoviruses and Herpesvirus. Vet. Clin. N. Am. Small Anim. Pract. 2008, 38, 799–814. [Google Scholar] [CrossRef] [PubMed]
- Carmichael, L.E. Herpesvirus Canis: Aspects of Pathogenesis and Immune Response. J. Am. Vet. Med. Assoc. 1970, 156, 1714–1721. [Google Scholar]
- Poste, G.; King, N. Isolation of a Herpesvirus from the Canine Genital Tract: Association with Infertility, Abortion, and Stillbirths. Vet. Rec. 1971, 88, 229–233. [Google Scholar] [CrossRef]
- Hashimoto, A.; Hirai, K.; Okada, K. Pathology of the Placenta and Newborn Pups with Suspected Intrauterine Infection of Canine Herpesvirus. Am. J. Vet. Res. 1979, 40, 1236–1240. [Google Scholar] [PubMed]
- Nauwynck, H. Canine Herpes Virus 1-Infections in Dogs: Truth and Lies. In Proceedings of the 7th EVSSAR Congress; Rijsselaere, T., Luvoni, G.C., Bogaerts, P., Eds.; European Veterinary Society for Small Animal Reproduction: Louvain-La-Neuve, Belgium, 2010; pp. 47–49. [Google Scholar]
- Decaro, N.; Amorisco, F.; Desario, C. Development and Validation of a Real-Time PCR Assay for Specific and Sensitive Detection of Canid Herpesvirus 1. J. Virol. Methods 2010, 169, 176–180. [Google Scholar] [CrossRef] [PubMed]
- Mir, F.; Fontaine, E.; Albaric, O.; Greer, M.; Vannier, F.; Schlafer, D.H.; Fontbonne, A. Findings in Uterine Biopsies Obtained by Laparotomy from Bitches with Unexplained Infertility or Pregnancy Loss: An Observational Study. Theriogenology 2013, 79, 312–322. [Google Scholar] [CrossRef]
- Poulet, H.; Guigal, P.M.; Soulier, M.; Leroy, V.; Fayet, G.; Minke, J.; Chappuis, G. Protection of Puppies against Canine Herpesvirus by Vaccination of the Dams. Vet. Rec. 2001, 148, 691–695. [Google Scholar] [CrossRef]
- Krakowka, S.; Hoover, E.A.; Koestner, A.; Ketring, K. Experimental and Naturally Occurring Transplacental Transmission of Canine Distemper Virus. Am. J. Vet. Res. 1977, 38, 919–922. [Google Scholar]
- Verstegen, J. The Effects of Canine Distemper Virus on Maternal and Fetal Health. J. Vet. Intern. Med. 2008, 22, 293–298. [Google Scholar]
- Fontbonne, A. Reproductive Impacts of Canine Distemper Virus. Vet. Clin. N. Am. Small Anim. Pract. 2023, 53, 605–621. [Google Scholar]
- Martella, V.; Elia, G.; Buonavoglia, C. Canine Distemper Virus. Vet. Clin. N. Am. Small Anim. Pract. 2008, 38, 787–797, vii–viii. [Google Scholar] [CrossRef]
- Squires, R.A.; Crawford, C.; Marcondes, M.; Whitley, N. 2024 Guidelines for the Vaccination of Dogs and Cats–Compiled by the Vaccination Guidelines Group (VGG) of the World Small Animal Veterinary Association (WSAVA). J. Small Anim. Pract. 2024, 65, 277–316. [Google Scholar] [CrossRef]
- Verstegen, J. Canine Adenovirus and Reproductive Complications. J. Vet. Intern. Med. 2008, 22, 299–305. [Google Scholar]
- Fontbonne, A. Impact of Canine Adenovirus on Reproductive Health. Vet. Clin. N. Am. Small Anim. Pract. 2023, 53, 591–604. [Google Scholar]
- Almes, J.; Little, P. Fluorescent Antibody and PCR Methods for the Diagnosis of Canine Adenovirus Infections. J. Vet. Diagn. Investig. 2010, 22, 724–729. [Google Scholar]
- Schlafer, D. Diseases of the Canine Uterus. Reprod. Domest. Anim. 2012, 47, 318–322. [Google Scholar] [CrossRef] [PubMed]
- Hagman, R. Clinical and Molecular Characteristics of Pyometra in Female Dogs. Reprod. Domest. Anim. 2012, 47, 323–325. [Google Scholar] [CrossRef] [PubMed]
- Hagman, R. Diagnostic and Prognostic Markers for Uterine Diseases in Dogs. Reprod. Domest. Anim. 2014, 49, 16–20. [Google Scholar] [CrossRef]
- Hagman, R. Pyometra in Small Animals. Vet. Clin. N. Am. Small Anim. Pract. 2018, 48, 639–661. [Google Scholar] [CrossRef]
- Bigliardi, E.; Parmigiani, E.; Cavirani, S.; Luppi, A.; Bonati, L.; Corradi, A. Ultrasonography and Cystic Hyperplasia-Pyometra Complex in the Bitch. Reprod. Domest. Anim. 2004, 39, 136–140. [Google Scholar] [CrossRef] [PubMed]
- Woźna-Wysocka, M.; Rybska, M.; Błaszak, B.; Nowicki, M.; Dzięgiel, P. Morphological Changes in Bitches Endometrium Affected by Cystic Endometrial Hyperplasia-Pyometra Complex—The Value of Histopathological Examination. BMC Vet. Res. 2021, 17, 174. [Google Scholar] [CrossRef] [PubMed]
- Quartuccio, M.; Liotta, L.; Cristarella, S.; Lanteri, G.; Ieni, A.; D’Arrigo, T.; De Majo, M. Contrast-Enhanced Ultrasound in Cystic Endometrial Hyperplasia–Pyometra Complex in the Bitch: A Preliminary Study. Animals 2020, 10, 1368. [Google Scholar] [CrossRef] [PubMed]
- Schlafer, D.H.; Gifford, A.T. Cystic Endometrial Hyperplasia, Pseudo-Placentational Endometrial Hyperplasia, and Other Cystic Conditions of the Canine and Feline Uterus. Theriogenology 2008, 70, 349–358. [Google Scholar] [CrossRef] [PubMed]
- Gifford, A.T.; Scarlett, J.M.; Schlafer, D.H. Histopathologic Findings in Uterine Biopsy Samples from Subfertile Bitches: 399 Cases (1990–2005). J. Am. Vet. Med. Assoc. 2014, 244, 180–186. [Google Scholar] [CrossRef]
- Younis, M.; Mohammed, F.F.; Ragab, R.S.; Gohar, H.M. Ultrasonography and Pathological Evaluation of Cystic Endometrial Hyperplasia Pyometra Complex in Bitches and Queens with Related Ovarian Alterations. Glob. Vet. 2014, 13, 60–67. [Google Scholar]
- Christensen, B.; Schlafer, D.; Agnew, D.; Wang, C.; Kozlowski, C.; Asa, C. Diagnostic Value of Transcervical Endometrial Biopsies in Domestic Dogs Compared with Full-Thickness Uterine Sections. Reprod. Domest. Anim. 2012, 47, 342–346. [Google Scholar] [CrossRef]
- Günzel-Apel, A.R.; Wilke, M.; Aupperle, H.; Schoon, H.A. Development of a Technique for Transcervical Collection of Uterine Tissue in Bitches. J. Reprod. Fertil. Suppl. 2001, 57, 61–65. [Google Scholar]
- Groppetti, D.; Pecile, A.; Arrighi, S.; Di Giancamillo, A.; Cremonesi, F. Endometrial Cytology and Computerized Morphometric Analysis of Epithelial Nuclei: A Useful Tool for Reproductive Diagnosis in the Bitch. Theriogenology 2010, 73, 927–941. [Google Scholar] [CrossRef]
- Fontaine, E.; Levy, X.; Grellet, A.; Luc, A.; Bernex, F.; Boulouis, H.J.; Fontbonne, A. Diagnosis of Endometritis in the Bitch: A New Approach. Reprod. Domest. Anim. 2009, 44 (Suppl. S2), 196–199. [Google Scholar] [CrossRef]
- Papich, M.G. Effects of Drugs on Pregnancy. In Current Veterinary Therapy X; Kirk, R.W., Ed.; WB Saunders: Philadelphia, PA, USA, 1989; pp. 1293–1296. [Google Scholar]
- Wiebe, V.J.; Howard, J.P. Pharmacologic Advances in Canine and Feline Reproduction. Top. Companion Anim. Med. 2009, 24, 71–99. [Google Scholar] [CrossRef] [PubMed] [PubMed Central]
- Blythe, S.A.; England, G.C.W. Effect of Age upon Reproductive Efficiency in the Bitch. J. Reprod. Fertil. Suppl. 1993, 47, 549. [Google Scholar]
- Chastant-Maillard, S.; Guillemot, C.; Feugier, A.; Mariani, C.; Grellet, A.; Mila, H. Reproductive Performance and Pre-Weaning Mortality: Preliminary Analysis of 27,221 Purebred Female Dogs and 204,537 Puppies in France. Reprod. Domest. Anim. 2017, 52 (Suppl. S2), 158–162. [Google Scholar] [CrossRef] [PubMed]
- Gavrilovic, B.B.; Andersson, K.; Linde-Forsberg, C. Reproductive patterns in the domestic dog—A retrospective study of the Drever breed. Theriogenology 2008, 70, 783–794. [Google Scholar] [CrossRef] [PubMed]
- Baalbergen, T.; de Gier, J.; van Steenbeek, F.G. Ovulation timing in the bitch: Conception rate and influencing factors in 1401 estrus cycles. PhD Thesis, Utrecht University, Utrecht, The Netherlands, 2021. [Google Scholar]
- Uchańska, O.; Ochota, M.; Eberhardt, M.; Niżański, W. Dead or Alive? A Review of Perinatal Factors That Determine Canine Neonatal Viability. Animals 2022, 12, 1402. [Google Scholar] [CrossRef]
- Berepubo, N.A.; Long, S.E. A study of the relationship between chromosome anomalies and reproductive wastage in domestic animals. Theriogenology 1983, 20, 177–190. [Google Scholar] [CrossRef]
- Romagnoli, S. When Pregnancy Is Jeopardized—Causes and Therapeutical Options. In Proceedings of the 18th EVSSAR Congress; Schäfer-Somi, S., Podhajsky, E., Günzel-Apel, A.-R., Hagman, R., Eds.; European Veterinary Society for Small Animal Reproduction: Hannover, Germany, 2015; pp. 67–73. [Google Scholar]
- Tal, S.; Bar-Gal, G.K.; Arlt, S.P. Evaluation of Short-Term Safety of Ultrasound-Guided Foetal Fluid Sampling in the Dog (Canis lupus familiaris). Vet. Rec. 2021, 188, e31. [Google Scholar] [CrossRef] [PubMed]
- Tal, S.; Sutton, G.; Arlt, S.; Bar-Gal, G.K. Analysis of Biochemical Parameters in Canine Fetal Fluids during the Second Half of Pregnancy. Theriogenology 2022, 189, 31–41. [Google Scholar] [CrossRef]






| Disclaimer/Publisher’s Note: The statements, opinions and data contained in all publications are solely those of the individual author(s) and contributor(s) and not of MDPI and/or the editor(s). MDPI and/or the editor(s) disclaim responsibility for any injury to people or property resulting from any ideas, methods, instructions or products referred to in the content. | 
© 2025 by the authors. Licensee MDPI, Basel, Switzerland. This article is an open access article distributed under the terms and conditions of the Creative Commons Attribution (CC BY) license (https://creativecommons.org/licenses/by/4.0/).
Share and Cite
Mantziaras, G.; Zakosek Pipan, M. “My Bitch Is Empty!” An Overview of the Reasons for Pregnancy Loss in Dogs. Vet. Sci. 2025, 12, 127. https://doi.org/10.3390/vetsci12020127
Mantziaras G, Zakosek Pipan M. “My Bitch Is Empty!” An Overview of the Reasons for Pregnancy Loss in Dogs. Veterinary Sciences. 2025; 12(2):127. https://doi.org/10.3390/vetsci12020127
Chicago/Turabian StyleMantziaras, George, and Maja Zakosek Pipan. 2025. "“My Bitch Is Empty!” An Overview of the Reasons for Pregnancy Loss in Dogs" Veterinary Sciences 12, no. 2: 127. https://doi.org/10.3390/vetsci12020127
APA StyleMantziaras, G., & Zakosek Pipan, M. (2025). “My Bitch Is Empty!” An Overview of the Reasons for Pregnancy Loss in Dogs. Veterinary Sciences, 12(2), 127. https://doi.org/10.3390/vetsci12020127
 
        



