Evaluation of a 3D-Printed Reduction Guide for Minimally Invasive Plate Osteosynthesis of Short Oblique Radial Diaphyseal Fracture in Dogs: A Cadaveric Study
Abstract
Simple Summary
Abstract
1. Introduction
2. Materials and Methods
2.1. Cadaveric Specimens
2.2. Data Collection
2.3. Production of 3DRGs
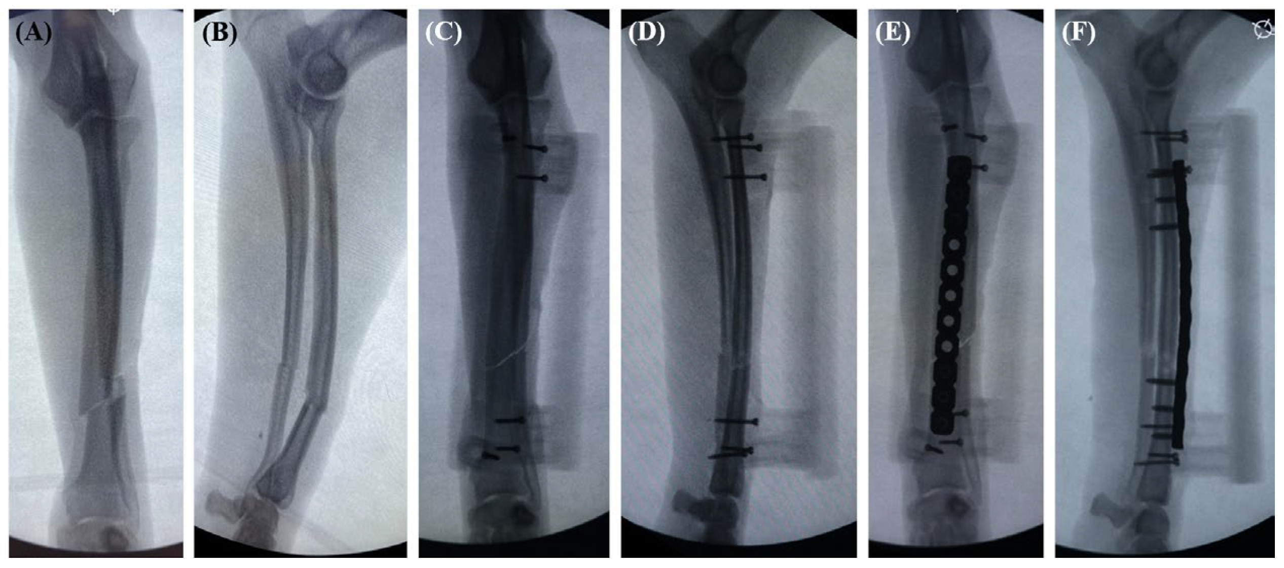
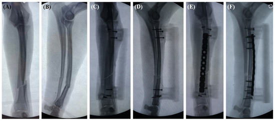
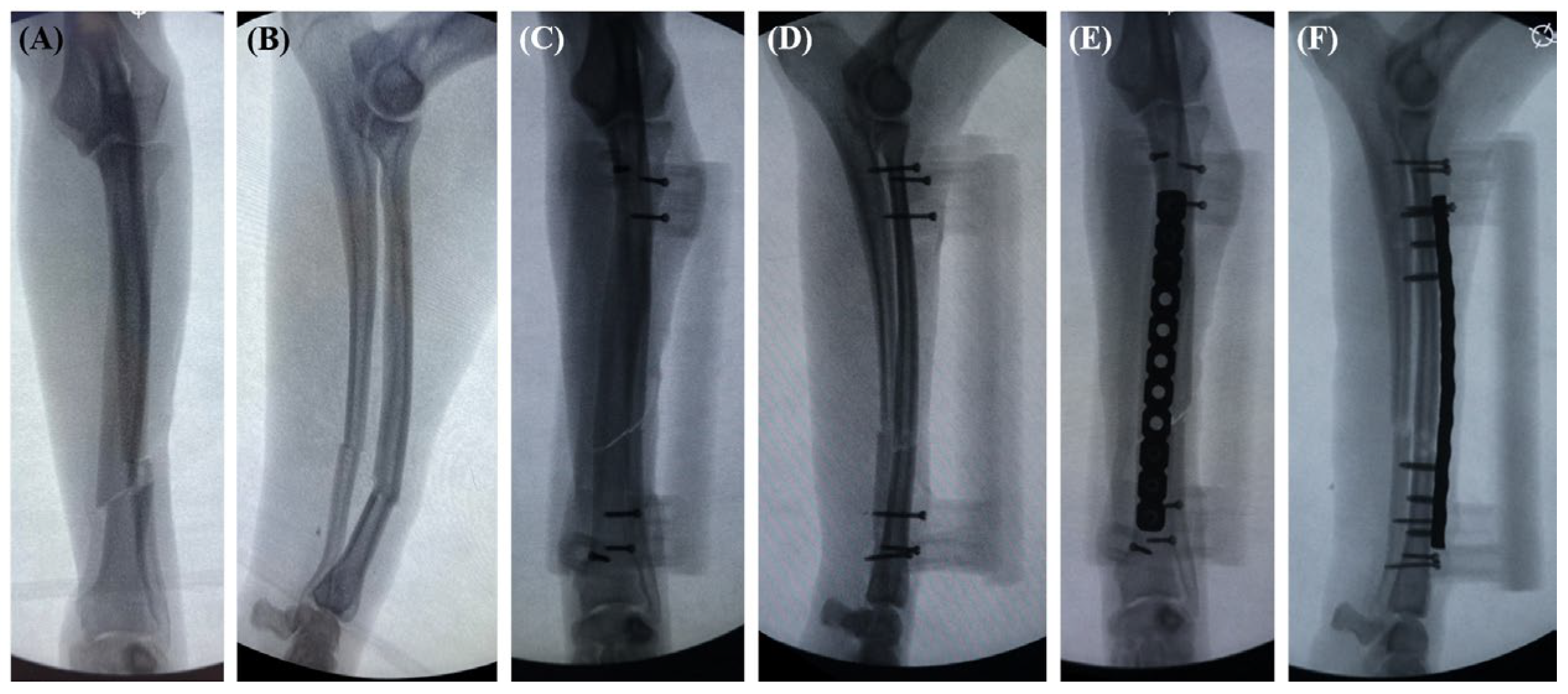
2.4. Surgical Procedure
2.5. Statistical Analysis
3. Results
3.1. Differences in Sagittal Angulation before and after Surgery of Each Radius
3.2. Differences in Sagittal Joint Reference Line Angulation before and after Surgery of Each Radius
3.3. Fracture Gap of Each Radius
3.4. Craniocaudal Translation of Each Radius
3.5. Differences in Frontal Angulation before and after Surgery of Each Radius
3.6. Differences in Frontal Joint Reference Line Angulation before and after Surgery of Each Radius
3.7. Mediolateral Translation of Each Radius
3.8. Surgical Time
4. Discussion
5. Conclusions
Author Contributions
Funding
Institutional Review Board Statement
Informed Consent Statement
Data Availability Statement
Conflicts of Interest
References
- Woods, S.; Perry, K.L. Fractures of the radius and ulna. Companion Anim. Med. 2017, 22, 670–680. [Google Scholar] [CrossRef]
- Pozzi, A.; Hudson, C.C.; Gauthier, C.M.; Lewis, D.D. Retrospective comparison of minimally invasive plate osteosynthesis and open reduction and internal fixation of radius-ulna fractures in dogs. Vet. Surg. 2013, 42, 19–27. [Google Scholar] [CrossRef] [PubMed]
- Hudson, C.C.; Lewis, D.D.; Pozzi, A. Minimally invasive plate osteosynthesis: Radius and ulna. Vet. Clin. N. Am. Small Anim. Pract. 2020, 50, 135–153. [Google Scholar] [CrossRef] [PubMed]
- Pozzi, A.; Risselada, M.; Winter, M.D. Assessment of fracture healing after minimally invasive plate osteosynthesis or open reduction and internal fixation of coexisting radius and ulna fractures in dogs via ultrasonography and radiography. J. Am. Vet. Med. 2012, 241, 744–753. [Google Scholar] [CrossRef] [PubMed]
- Hudson, C.; Pozzi, A.; Lewis, D. Minimally invasive plate osteosynthesis: Applications and techniques in dogs and cats. Vet. Comp. Orthop. Traumatol. 2009, 22, 175–182. [Google Scholar] [CrossRef]
- Pozzi, A.; Lewis, D.D.; Scheuermann, L.M.; Castelli, E.; Longo, F. A review of minimally invasive fracture stabilization in dogs and cats. Vet. Surg. 2021, 50, O5–O16. [Google Scholar] [CrossRef]
- Oxley, B. A 3-dimensional-printed patient-specific guide system for minimally invasive plate osteosynthesis of a comminuted mid-diaphyseal humeral fracture in a cat. Vet. Surg. 2018, 47, 445–453. [Google Scholar] [CrossRef]
- Lynch, A.C.; Davies, J.A. Percutaneous tibial fracture reduction using computed tomography imaging, computer modelling and 3D printed alignment constructs: A cadaveric study. Vet. Comp. Orthop. Traumatol. 2019, 32, 139–148. [Google Scholar] [CrossRef]
- Gilbert, E.D.; Lewis, D.D.; Townsend, S.; Kim, S.E. Comparison of two external fixator systems for fracture reduction during minimally invasive plate osteosynthesis in simulated antebrachial fractures. Vet. Surg. 2017, 46, 971–980. [Google Scholar] [CrossRef]
- Lederer, X.J.; Lewis, D.D. Comparison of cranial versus medial minimally invasive plate osteosynthesis applications for the stabilization of simulated radius and ulna fractures in dog cadavers. Open Vet. J. 2023, 13, 501–509. [Google Scholar] [CrossRef]
- Walenkamp, M.; de Muinck Keizer, R.; Dobbe, J.; Streekstra, G.; Goslings, J.; Kloen, P.; Strackee, S.D.; Schep, N.W.L. Computer-assisted 3D planned corrective osteotomies in eight malunited radius fractures. Strateg. Trauma Limb Reconstr. 2015, 10, 109–116. [Google Scholar] [CrossRef] [PubMed][Green Version]
- Pozzi, A.; Lewis, D. Surgical approaches for minimally invasive plate osteosynthesis in dogs. Vet. Comp. Orthop. Traumatol. 2009, 22, 316–320. [Google Scholar] [CrossRef] [PubMed]
- Schmierer, P.; Pozzi, A. Minimally Invasive Plate Osteosynthesis. In Locking Plates in Veterinary Orthopedic; Barnhart, M.D., Maritato, K.C., Eds.; Wiley: Hoboken, NJ, USA, 2019; pp. 41–50. [Google Scholar]
- Witsberger, T.; Hulse, D.; Kerwin, S.; Saunders, W. Minimally invasive application of a radial plate following placement of an ulnar rod in treating antebrachial fractures. Vet. Comp. Orthop. Traumatol. 2010, 23, 459–467. [Google Scholar] [CrossRef] [PubMed]
- Roh, Y.H.; Cho, C.W.; Ryu, C.H.; Lee, J.H.; Jeong, S.M.; Lee, H.B. Comparison between novice and experienced surgeons performing corrective osteotomy with patient-specific guides in dogs based on resulting position accuracy. Vet. Sci. 2021, 8, 40. [Google Scholar] [CrossRef] [PubMed]
- Hamilton-Bennett, S.E.; Oxley, B.; Behr, S. Accuracy of a patient-specific 3D printed drill guide for placement of cervical transpedicular screws. Vet. Surg. 2018, 47, 236–242. [Google Scholar] [CrossRef] [PubMed]
- Carwardine, D.R.; Gosling, M.J.; Burton, N.J.; O’Malley, F.L.; Parsons, K.J. Three-dimensional-printed patient-specific osteotomy guides, repositioning guides and titanium plates for acute correction of antebrachial limb deformities in dogs. Vet. Comp. Orthop. Traumatol. 2021, 34, 043–052. [Google Scholar] [CrossRef] [PubMed]
- Beer, P.; Park, B.H.; Steffen, F.; Smolders, D.L.A.; Pozzi, A.; Knell, S.C. Influence of a customized three-dimensionally printed drill guide on the accuracy of pedicle screw placement in lumbosacral vertebrae: An ex vivo study. Vet. Surg. 2020, 49, 977–988. [Google Scholar] [CrossRef] [PubMed]
- Sun, L.; Liu, H.; Xu, C.; Yan, B.; Yue, H.; Wang, P. 3D printed navigation template-guided minimally invasive percutaneous plate osteosynthesis for distal femoral fracture: A retrospective cohort study. Injury 2020, 51, 436–442. [Google Scholar] [CrossRef]
- Piras, L.; Cappellari, F.; Peirone, B.; Ferretti, A. Treatment of fractures of the distal radius and ulna in toy breed dogs with circular external skeletal fixation: A retrospective study. Vet. Comp. Orthop. Traumatol. 2011, 24, 228–235. [Google Scholar] [CrossRef]
- Fox, D.B.; Tomlinson, J.L.; Cook, J.L.; Breshears, L.M. Principles of uniapical and biapical radial deformity correction using dome osteotomies and the center of rotation of angulation methodology in dogs. Vet. Surg. 2006, 35, 67–77. [Google Scholar] [CrossRef]
- Parent, R.D.A.; Benamou, J.; Gatineau, M.; Clerfond, P.; Planté, J. Open reduction and cranial bone plate fixation of fractures involving the distal aspect of the radius and ulna in miniature-and toy-breed dogs: 102 cases (2008–2015). J. Am. Vet. Med. 2017, 250, 1419–1426. [Google Scholar] [CrossRef]
- Baroncelli, A.B.; Peirone, B.; Winter, M.; Reese, D.; Pozzi, A. Retrospective comparison between minimally invasive plate osteosynthesis and open plating for tibial fractures in dogs. Vet. Comp. Orthop. Traumatol. 2012, 25, 410–417. [Google Scholar] [CrossRef] [PubMed]
- Vroemen, J.; Dobbe, J.; Jonges, R.; Strackee, S.; Streekstra, G. Three-dimensional assessment of bilateral symmetry of the radius and ulna for planning corrective surgeries. J. Hand Surg. Am. 2012, 37, 982–988. [Google Scholar] [CrossRef] [PubMed]
- Ziran, B.H.; Belangero, W.; Livani, B.; Pesantez, R. Percutaneous plating of the humerus with locked plating: Technique and case report. J. Trauma. Acute Care Surg. 2007, 63, 205–210. [Google Scholar] [CrossRef] [PubMed]
- Henckel, J.; Holme, T.J.; Radford, W.; Skinner, J.A.; Hart, A.J. 3D-printed patient-specific guides for hip arthroplasty. JAAOS-J. Am. Acad. Orthop. Surg. 2018, 26, e342–e348. [Google Scholar] [CrossRef] [PubMed]
- Mariani, C.L.; Zlotnick, J.A.; Harrysson, O.; Marcellin-Little, D.J.; Malinak, K.; Gavitt, A.; Guevar, J. Accuracy of three-dimensionally printed animal-specific drill guides for implant placement in canine thoracic vertebrae: A cadaveric study. Vet. Surg. 2021, 50, 294–302. [Google Scholar] [CrossRef] [PubMed]
- Johnson, M.D.; Lewis, D.D.; Sutton, W.A.; Scheuermann, L.M.; De Armond, C.C.; Kim, S.E.; Biedrzycki, A.H. Efficacy of two reduction methods in conjunction with 3-D–printed patient-specific pin guides for aligning simulated comminuted tibial fractures in cadaveric dogs. Am. J. Vet. Res. 2022, 83, 9. [Google Scholar] [CrossRef]
- McCarthy, D.A.; Granger, L.A.; Aulakh, K.S.; Gines, J.A. Accuracy of a drilling with a custom 3D printed guide or free-hand technique in canine experimental sacroiliac luxations. Vet. Surg. 2022, 51, 182–190. [Google Scholar] [CrossRef]
- Roytman, G.R.; Ramji, A.F.; Beitler, B.; Yoo, B.; Leslie, M.P.; Baumgaertner, M.; Wiznia, D.H. Accuracy of guide wire placement for femoral neck stabilization using 3D printed drill guides. 3D Print. Med. 2022, 8, 19. [Google Scholar] [CrossRef]





| Outcome Measures | Group A | Group B | Group C | p-Value |
|---|---|---|---|---|
| Sagittal angulation (Mean difference, degree) | 2.50 ± 1.24 | 1.55 ± 1.10 | 1.86 ± 1.37 | 0.328 |
| Sagittal JRL angulation (Mean difference, degree) | 2.85 ± 0.72 | 2.28 ± 0.67 | 2.73 ± 0.87 | 0.280 |
| Craniocaudal translation (mm) | 0.28 ± 0.21 | 0.38 ± 0.18 | 0.42 ± 0.23 | 0.387 |
| Fracture gap (mm) | 0.63 ± 0.20 | 0.55 ± 0.19 | 0.75 ± 0.32 | 0.487 |
| Frontal angulation (Mean difference, degree) | 1.21 ± 1.12 | 0.85 ± 0.62 | 2.35 ± 1.26 | 0.033 |
| Frontal JRL angulation (Mean difference, degree) | 1.20 ± 0.64 | 1.11 ± 0.33 | 1.94 ± 0.58 | 0.037 |
| Mediolateral translation (mm) | 0.68 ± 0.50 | 0.25 ± 0.11 | 0.80 ± 0.37 | 0.023 |
| Surgical time (min) | 98.62 ± 12.99 | 115.87 ± 12.73 | 117.75 ± 15.00 | 0.039 |
| Outcome Measures | Group A–B (p Values) | Group A–C (p Values) | Group B–C (p Values) |
|---|---|---|---|
| Frontal angulation (Mean difference, degree) | 0.712 | 0.059 | 0.012 * |
| Frontal JRL angulation (Mean difference, degree) | 0.472 | 0.120 | 0.039 * |
| Mediolateral translation (mm) | 0.111 | 0.673 | 0.030 * |
| Surgical time(minutes) | 0.031 * | 0.027 * | 0.958 |
Disclaimer/Publisher’s Note: The statements, opinions and data contained in all publications are solely those of the individual author(s) and contributor(s) and not of MDPI and/or the editor(s). MDPI and/or the editor(s) disclaim responsibility for any injury to people or property resulting from any ideas, methods, instructions or products referred to in the content. |
© 2024 by the authors. Licensee MDPI, Basel, Switzerland. This article is an open access article distributed under the terms and conditions of the Creative Commons Attribution (CC BY) license (https://creativecommons.org/licenses/by/4.0/).
Share and Cite
Lee, S.; Yi, K.; Kim, N.; Heo, S. Evaluation of a 3D-Printed Reduction Guide for Minimally Invasive Plate Osteosynthesis of Short Oblique Radial Diaphyseal Fracture in Dogs: A Cadaveric Study. Vet. Sci. 2024, 11, 145. https://doi.org/10.3390/vetsci11040145
Lee S, Yi K, Kim N, Heo S. Evaluation of a 3D-Printed Reduction Guide for Minimally Invasive Plate Osteosynthesis of Short Oblique Radial Diaphyseal Fracture in Dogs: A Cadaveric Study. Veterinary Sciences. 2024; 11(4):145. https://doi.org/10.3390/vetsci11040145
Chicago/Turabian StyleLee, Seungyeol, Kangwoo Yi, Namsoo Kim, and Suyoung Heo. 2024. "Evaluation of a 3D-Printed Reduction Guide for Minimally Invasive Plate Osteosynthesis of Short Oblique Radial Diaphyseal Fracture in Dogs: A Cadaveric Study" Veterinary Sciences 11, no. 4: 145. https://doi.org/10.3390/vetsci11040145
APA StyleLee, S., Yi, K., Kim, N., & Heo, S. (2024). Evaluation of a 3D-Printed Reduction Guide for Minimally Invasive Plate Osteosynthesis of Short Oblique Radial Diaphyseal Fracture in Dogs: A Cadaveric Study. Veterinary Sciences, 11(4), 145. https://doi.org/10.3390/vetsci11040145

