Establishment of a Real-Time Reverse Transcription Recombinase-Aided Isothermal Amplification (qRT-RAA) Assay for the Rapid Detection of Bovine Respiratory Syncytial Virus
Simple Summary
Abstract
1. Background
2. Materials and Methods
2.1. Virus and Clinical Samples
2.2. Main Reagents and Materials
2.3. Design and Screening of Primers and Probes
2.4. Optimization of RT-RAA Reaction Conditions and System
2.5. Standard Plasmid for qRT-RAA
2.6. Synthesizing RNA Standards by In Vitro Transcription
2.7. qRT-RAA Reactions
2.8. Specificity Test
2.9. Sensitivity Test
2.10. Repeatability Tests
2.11. Detection of Clinical Samples
3. Results
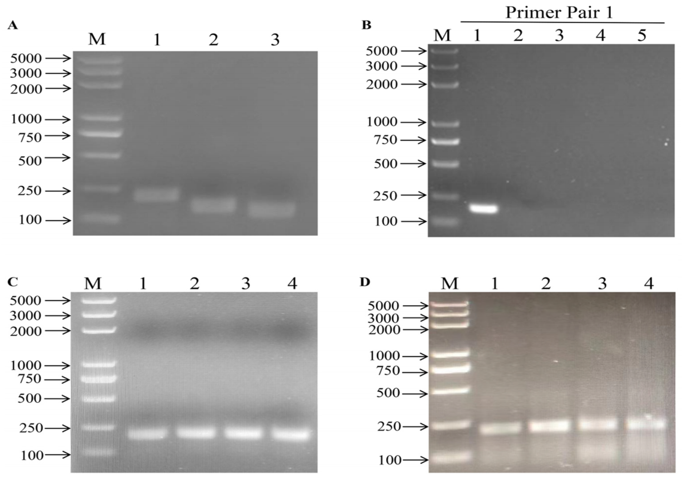
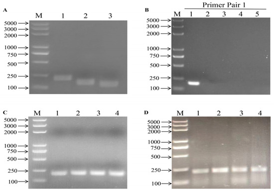
3.1. Screening Primers
3.2. Optimization of Reaction System
3.3. Specificity Analysis of qRT-RAA
3.4. Sensitivity Analysis of qRT-RAA
3.5. Repeatability Analysis of qRT-RAA
3.6. Evaluation of Samples Using RT-RAA and Conventional PCR
4. Discussion
5. Conclusions
Author Contributions
Funding
Institutional Review Board Statement
Informed Consent Statement
Data Availability Statement
Acknowledgments
Conflicts of Interest
Abbreviations
References
- Bai, H.; Shi, Q.; Wang, Y.; Wang, X. Research progress on detection methods of bovine respiratory syncytial virus. Chin. Vet. Sci. 2024, 54, 248–254. [Google Scholar]
- Liang, X.; Ning, P.; Li, X.; Bao, X.; Li, H.; Shi, Y.; Wang, X.; Guo, X.; Xu, L. Establishment and application of a one-step real-time fluorescence quantitative PCR assay for bovine respiratory syncytial virus. Anim. Husb. Vet. Med. 2024, 56, 94–98. [Google Scholar]
- Brodersen, B.W. Bovine respiratory syncytial virus. Vet. Clin. N. Am. Food Anim. Pract. 2010, 26, 323–333. [Google Scholar] [CrossRef]
- Giammarioli, M.; Mangili, P.; Nanni, A.; Pierini, I.; Petrini, S.; Pirani, S.; Gobbi, P.; De Mia, G.M. Highly pathogenic bovine respiratory syncytial virus variant in a dairy herd in Italy. Vet. Med. Sci. 2020, 6, 740–745. [Google Scholar] [CrossRef] [PubMed]
- Jia, S.; Yao, X.; Yang, Y.; Niu, C.; Zhao, Y.; Zhang, X.; Pan, R.; Jiang, X.; Xiaobo, S.; Qiao, X.; et al. Isolation, identification, and phylogenetic analysis of subgroup iii strain of bovine respiratory syncytial virus contributed to outbreak of acute respiratory disease among cattle in Northeast China. Virulence 2021, 12, 404–414. [Google Scholar] [CrossRef]
- Viuff, B.; Uttenthal, A.; Tegtmeier, C.; Alexandersen, S. Sites of replication of bovine respiratory syncytial virus in naturally infected calves as determined by in situ hybridization. Vet. Pathol. 1996, 33, 383–390. [Google Scholar] [CrossRef]
- Makoschey, B.; Berge, A.C. Review on bovine respiratory syncytial virus and bovine parainfluenza—Usual suspects in bovine respiratory disease—Anarrative review. BMC Vet. Res. 2021, 17, 261. [Google Scholar] [CrossRef]
- Borchers, A.T.; Chang, C.; Gershwin, M.E.; Gershwin, L.J. Respiratory syncytial virus—A comprehensive review. Clin. Rev. Allergy Immunol. 2013, 45, 331–379. [Google Scholar] [CrossRef]
- Bukreyev, A.; Whitehead, S.S.; Murphy, B.R.; Collins, P.L. Recombinant respiratory syncytial virus from which the entire sh gene has been deleted grows efficiently in cell culture and exhibits site-specific attenuation in the respiratory tract of the mouse. J. Virol. 1997, 71, 8973–8982. [Google Scholar] [CrossRef]
- Hazari, S.; Panda, H.K.; Kar, B.C.; Das, B.R. Comparative evaluation of indirect and sandwich elisa for the detection of antibodies to bovine respiratory syncytial virus (brsv) in dairy cattle. Comp. Immunol. Microbiol. Infect. Dis. 2002, 25, 59–68. [Google Scholar] [CrossRef]
- Boxus, M.; Letellier, C.; Kerkhofs, P. Real time rt-pcr for the detection and quantitation of bovine respiratory syncytial virus. J. Virol. Methods 2005, 125, 125–130. [Google Scholar] [CrossRef] [PubMed]
- Tu, F.; Yang, X.; Xu, S.; Chen, D.; Zhou, L.; Ge, X.; Han, J.; Zhang, Y.; Guo, X.; Yang, H. Development of a fluorescent probe-based real-time reverse transcription recombinase-aided amplification assay for the rapid detection of classical swine fever virus. Transbound. Emerg. Dis. 2021, 68, 2017–2027. [Google Scholar] [CrossRef] [PubMed]
- Li, Y.; Yu, Z.; Jiao, S.; Liu, Y.; Ni, H.; Wang, Y. Development of a recombinase-aided amplification assay for rapid and sensitive detection of porcine circovirus 3. J. Virol. Methods 2020, 282, 113904. [Google Scholar] [CrossRef] [PubMed]
- Wang, Y.; Nie, M.; Deng, H.; Lai, S.; Zhou, Y.; Sun, X.; Zhu, L.; Xu, Z. Establishment of a reverse transcription recombinase-aided amplification detection method for porcine group a rotavirus. Front. Vet. Sci. 2022, 9, 954657. [Google Scholar] [CrossRef]
- Mayers, J.; Sawyer, J. Development and evaluation of a multiplex enzyme-linked immunosorbent assay for the detection of antibodies to bovine respiratory diseases on the meso scale discovery platform. J. Vet. Diagn. Investig. 2012, 24, 725–729. [Google Scholar] [CrossRef]
- Horwood, P.F.; Mahony, T.J. Multiplex real-time rt-pcr detection of three viruses associated with the bovine respiratory disease complex. J. Virol. Methods 2011, 171, 360–363. [Google Scholar] [CrossRef]
- Xu, E.; Qi, M.; Xiang, Z.; Hu, C.; Chen, N.; Chen, J.; Chen, X.; Guo, A. Establishment of multiplex qPCR method for combined detection of seven pathogens in bovine respiratory disease syndrome. J. Huazhong Agric. Univ. 2023, 42, 38–47. [Google Scholar]
- Roberts, S.G. Invitro transcription to study wt1 function. Methods Mol. Biol. 2016, 1467, 137–154. [Google Scholar]
- Wang, Z.H.; Zhang, W.; Zhang, X.Z.; Yao, X.R.; Huang, W.; Jia, H.; Liu, X.L.; Hou, S.H.; Wang, X.J. Development of a real-time recombinase-aided amplification (rt-raa) molecular diagnosis assay for sensitive and rapid detection of toxoplasma gondii. Vet. Parasitol. 2021, 298, 109489. [Google Scholar] [CrossRef]
- Vilcek, S.; Elvander, M.; Ballagi-Pordany, A.; Belak, S. Development of nested pcr assays for detection of bovine respiratory syncytial virus in clinical samples. J. Clin. Microbiol. 1994, 32, 2225–2231. [Google Scholar] [CrossRef]
- Kirolos, A.; Christides, A.; Xian, S.; Reeves, R.; Nair, H.; Campbell, H. A landscape review of the published research output relating to respiratory syncytial virus (rsv) in north & central america and europe between 2011–2015. J. Glob. Health 2019, 9, 10425. [Google Scholar]
- Gershwin, L.J. Immunology of bovine respiratory syncytial virus infection of cattle. Comp. Immunol. Microbiol. Infect. Dis. 2012, 35, 253–257. [Google Scholar] [CrossRef] [PubMed]
- Guzman, E.; Taylor, G. Immunology of bovine respiratory syncytial virus in calves. Mol. Immunol. 2015, 66, 48–56. [Google Scholar] [CrossRef] [PubMed]
- Larsen, L.E. Bovine respiratory syncytial virus (brsv): A review. Acta Vet. Scand. 2000, 41, 1–24. [Google Scholar] [CrossRef]
- Thonur, L.; Maley, M.; Gilray, J.; Crook, T.; Laming, E.; Turnbull, D.; Nath, M.; Willoughby, K. One-step multiplex real time rt-pcr for the detection of bovine respiratory syncytial virus, bovine herpesvirus 1 and bovine parainfluenza virus 3. BMC Vet. Res. 2012, 8, 37. [Google Scholar] [CrossRef]
- Liu, Z.; Li, J.; Liu, Z.; Li, J.; Li, Z.; Wang, C.; Wang, J.; Guo, L. Development of a nanoparticle-assisted pcr assay for detection of bovine respiratory syncytial virus. BMC Vet. Res. 2019, 15, 110. [Google Scholar] [CrossRef]



| Primer | Nucleotide Sequence (5′-3′) | Amplification Product Size (bp) |
|---|---|---|
| BRSV F1 | TGTCAAGTAATGTTCAAATAGTYAGGCAAC | 208 bp |
| BRSV R1 | CAATACCACCCACGATCTGTCCTAGTTAAG | |
| BRSV F2 | ACTAGCAAAGTACTCGATCTAAAGAACTAT | 154 bp |
| BRSV R2 | TTACACTAAATTCTCTAGCAATTTCTAACA | |
| BRSV F3 | TGGTATTACCACACCCCTTAGTACATACATG | 131 bp |
| BRSV R3 | TCTGTTGCCTGACTATTTGAACATTACTTGA |
| Assay | RT-PCR | ||
|---|---|---|---|
| Positive | Negative | ||
| qRT-RAA | Positive | 7 | 0 |
| Negative | 0 | 90 | |
Disclaimer/Publisher’s Note: The statements, opinions and data contained in all publications are solely those of the individual author(s) and contributor(s) and not of MDPI and/or the editor(s). MDPI and/or the editor(s) disclaim responsibility for any injury to people or property resulting from any ideas, methods, instructions or products referred to in the content. |
© 2024 by the authors. Licensee MDPI, Basel, Switzerland. This article is an open access article distributed under the terms and conditions of the Creative Commons Attribution (CC BY) license (https://creativecommons.org/licenses/by/4.0/).
Share and Cite
Hou, G.; Zhu, S.; Li, H.; Li, C.; Liu, X.; Ren, C.; Zhu, X.; Shi, Q.; Zhang, Z. Establishment of a Real-Time Reverse Transcription Recombinase-Aided Isothermal Amplification (qRT-RAA) Assay for the Rapid Detection of Bovine Respiratory Syncytial Virus. Vet. Sci. 2024, 11, 589. https://doi.org/10.3390/vetsci11120589
Hou G, Zhu S, Li H, Li C, Liu X, Ren C, Zhu X, Shi Q, Zhang Z. Establishment of a Real-Time Reverse Transcription Recombinase-Aided Isothermal Amplification (qRT-RAA) Assay for the Rapid Detection of Bovine Respiratory Syncytial Virus. Veterinary Sciences. 2024; 11(12):589. https://doi.org/10.3390/vetsci11120589
Chicago/Turabian StyleHou, Guanxin, Siping Zhu, Hong Li, Chihuan Li, Xiaochen Liu, Chao Ren, Xintong Zhu, Qiumei Shi, and Zhiqiang Zhang. 2024. "Establishment of a Real-Time Reverse Transcription Recombinase-Aided Isothermal Amplification (qRT-RAA) Assay for the Rapid Detection of Bovine Respiratory Syncytial Virus" Veterinary Sciences 11, no. 12: 589. https://doi.org/10.3390/vetsci11120589
APA StyleHou, G., Zhu, S., Li, H., Li, C., Liu, X., Ren, C., Zhu, X., Shi, Q., & Zhang, Z. (2024). Establishment of a Real-Time Reverse Transcription Recombinase-Aided Isothermal Amplification (qRT-RAA) Assay for the Rapid Detection of Bovine Respiratory Syncytial Virus. Veterinary Sciences, 11(12), 589. https://doi.org/10.3390/vetsci11120589
