A Rare Case of Recurrent Generalized Peritonitis Caused by Spontaneous Urinary Bladder Rupture after Radiotherapy: A Case Report and Literature Review
Abstract
1. Introduction
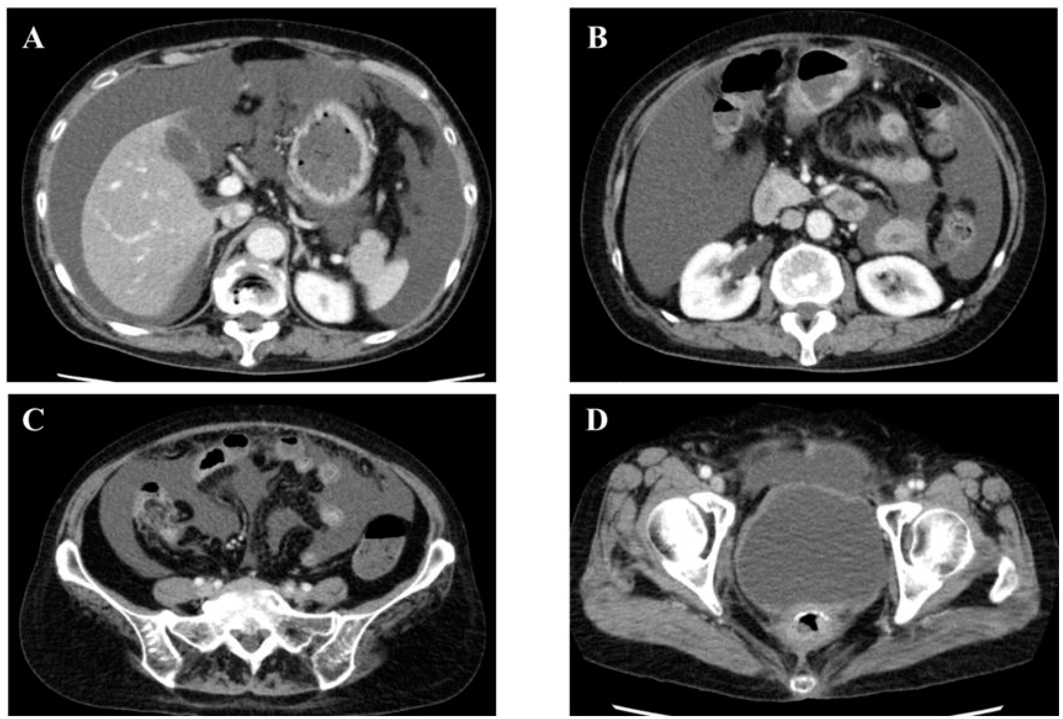
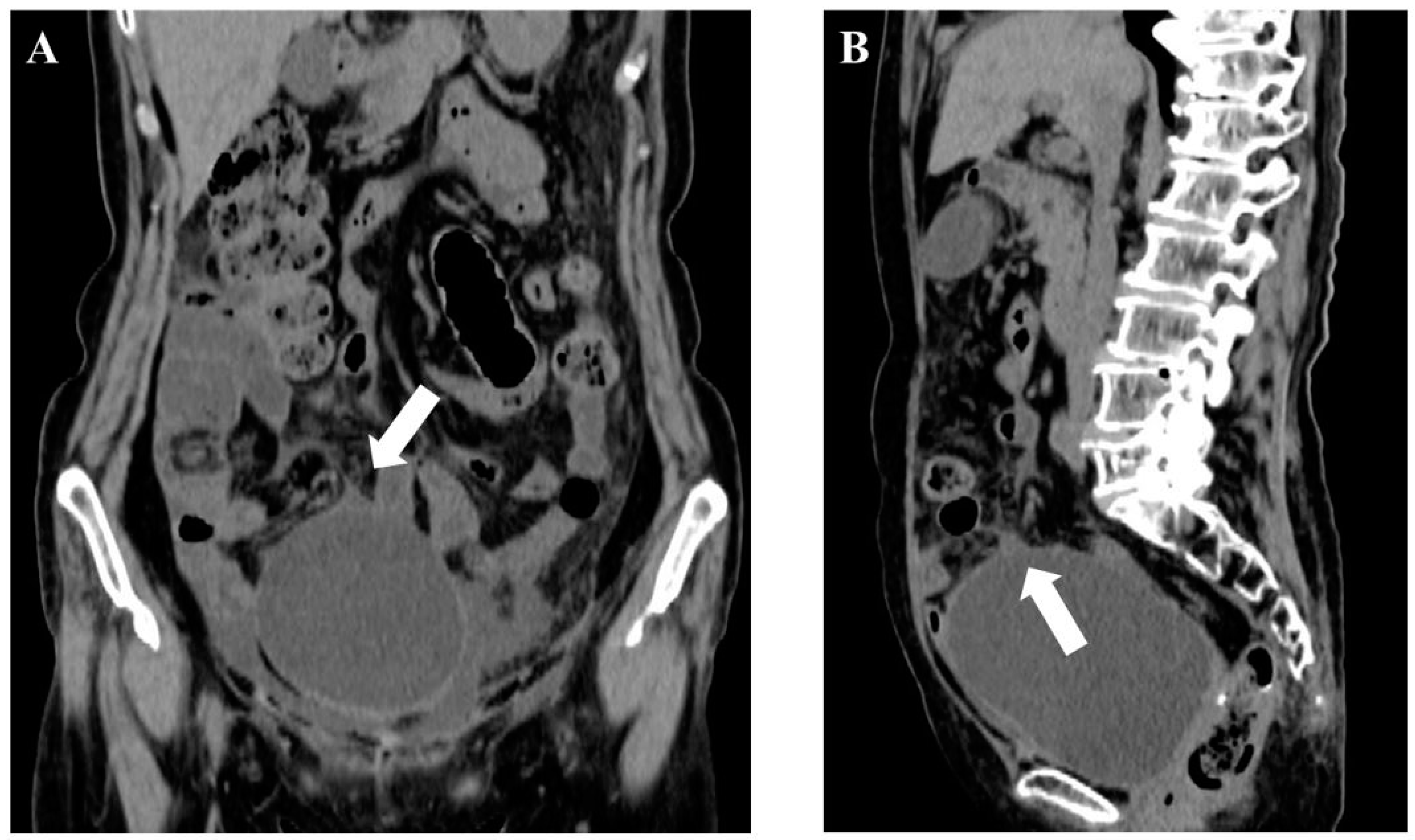
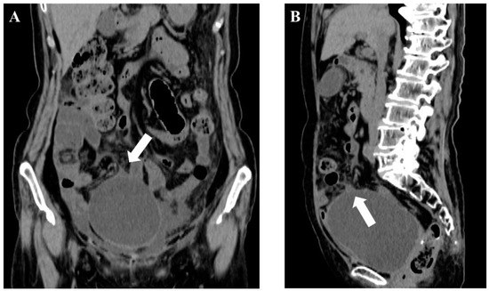
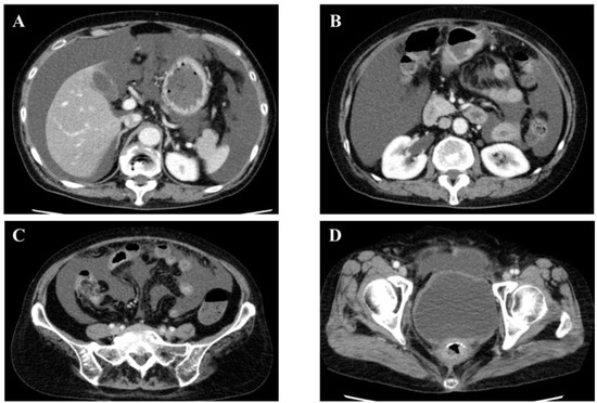
2. Case Report
3. Discussion
4. Conclusions
Author Contributions
Funding
Institutional Review Board Statement
Informed Consent Statement
Acknowledgments
Conflicts of Interest
Abbreviations
| ADA | adenosine deaminase |
| BUN | blood urea nitrogen |
| CA19-9 | carbohydrate antigen 19-9 |
| CEA | carcinoembryonic antigen |
| CT | computed tomography |
| Cre | creatinine |
| CRP | C-reactive protein |
| SBR | spontaneous urinary bladder rupture |
| WBC | white blood cells |
References
- Spalding, D.R.C.; Williamson, R.C.N. Peritonitis. Br. J. Hosp. Med. 2008, 69, M12–M15. [Google Scholar] [CrossRef]
- Han, E.C.; Ryoo, S.-B.; Park, B.K.; Park, J.W.; Lee, S.Y.; Oh, H.-K.; Ha, H.-K.; Choe, E.K.; Moon, S.H.; Jeong, S.-Y.; et al. Surgical outcomes and prognostic factors of emergency surgery for colonic perforation: Would fecal contamination increase morbidity and mortality? Int. J. Color. Dis. 2015, 30, 1495–1504. [Google Scholar] [CrossRef]
- Guerra, F.; Coletta, D. Fitz-Hugh-Curtis Syndrome. N. Engl. J. Med. 2019, 381, e38. [Google Scholar] [CrossRef] [PubMed]
- Sort, P.; Navasa, M.; Arroyo, V.; Aldeguer, X.; Planas, R.; Ruiz-Del-Arbol, L.; Castells, L.; Vargas, V.; Soriano, G.; Guevara, M.; et al. Effect of Intravenous Albumin on Renal Impairment and Mortality in Patients with Cirrhosis and Spontaneous Bacterial Peritonitis. N. Engl. J. Med. 1999, 341, 403–409. [Google Scholar] [CrossRef]
- Runyon, B.A.; Hoefs, J.C. Spontaneous vs secondary bacterial peritonitis. Differentiation by response of ascitic fluid neutrophil count to antimicrobial therapy. Arch. Intern. Med. 1986, 146, 1563–1565. [Google Scholar] [CrossRef] [PubMed]
- Filippone, A.; Cianci, R.; Pizzi, A.D.; Esposito, G.; Pulsone, P.; Tavoletta, A.; Timpani, M.; Cotroneo, A.R. CT findings in acute peritonitis: A pattern-based approach. Diagn. Interv. Radiol. 2015, 21, 435–440. [Google Scholar] [CrossRef]
- Dever, J.B.; Sheikh, M.Y. Review article: Spontaneous bacterial peritonitis—Bacteriology, diagnosis, treatment, risk factors and prevention. Aliment. Pharmacol. Ther. 2015, 41, 1116–1131. [Google Scholar] [CrossRef]
- Coccolini, F.; Fugazzola, P.; Sartelli, M.; Cicuttin, E.; Sibilla, M.G.; Leandro, G.; Angelis, G.L.D.; Gaiani, F.; Di Mario, F.; Tomasoni, M.; et al. Conservative treatment of acute appendicitis. Acta Biomed. 2018, 89, 119–134. [Google Scholar] [CrossRef]
- Bosscha, K.; van Vroonhoven, T.J.; van der Werken, C. Surgical management of severe secondary peritonitis. Br. J. Surg. 1999, 86, 1371–1377. [Google Scholar] [CrossRef] [PubMed]
- Nakamura, F.; Yui, R.; Muratsu, A.; Sakuramoto, K.; Muroya, T.; Ikegawa, H.; Kuwagata, Y. Study of the prognostic factor of the colon perforation case with the pan-peritonitis that needed emergency surgery: A single-center observational study. Acute Med. Surg. 2019, 6, 379–384. [Google Scholar] [CrossRef] [PubMed]
- Ross, J.T.; Matthay, A.M.; Harris, H.W. Secondary peritonitis: Principles of diagnosis and intervention. BMJ 2018, 361, k1407. [Google Scholar] [CrossRef]
- Facciorusso, A.; Antonino, M.; Orsitto, E.; Sacco, R. Primary and secondary prophylaxis of spontaneous bacterial peritonitis: Current state of the art. Expert Rev. Gastroenterol. Hepatol. 2019, 13, 751–759. [Google Scholar] [CrossRef] [PubMed]
- Desnond, D.; Woolfenden, A.; Evans, M. The importance of urodynamic investigation following spontaneous rupture of the bladder. J. Urol. 1982, 129, 140–142. [Google Scholar] [CrossRef]
- Schraut, H.; Huffman, J.; Bagley, H. Acute abdominal pain caused by spontaneous perforation of the urinary bladder. Surg. Gynecol. Obstet. 1983, 156, 589–592. [Google Scholar]
- Ramcharan, K.; Poon-King, T.M.; Indar, R. Spontaneous intraperitoneal rupture of a neurogenic bladder; the importance of ascitic fluid urea and electrolytes in diagnosis. Postgrad. Med. J. 1987, 63, 999–1000. [Google Scholar] [CrossRef] [PubMed]
- Haddad, S.; Wachtel, L. Spontaneous intraperitoneal rupture of the bladder. Urol. Int. 1987, 42, 467–469. [Google Scholar] [CrossRef]
- Richardson, J.R.; Leadlbetter, G.W. Nonoperative treatment of the ruptured bladder. J. Urol. 1975, 114, 213–216. [Google Scholar] [CrossRef]
- Marshall, J.C.; Innes, M. Intensive care unit management of intra-abdominal infection. Crit. Care Med. 2003, 31, 2228–2237. [Google Scholar] [CrossRef]
- Marx, R.E. A new concept in the treatment of osteoradionecrosis. J. Oral Maxillofac. Surg. 1983, 41, 351–357. [Google Scholar] [CrossRef]
- Lobo, N.; Kulkarni, M.; Hughes, S.; Nair, R.; Khan, M.S.; Thurairaja, R. Urologic Complications Following Pelvic Radiotherapy. Urol. 2018, 122, 1–9. [Google Scholar] [CrossRef]
- Fujikawa, K.; Miyamoto, T.; Ihara, Y.; Matsui, Y.; Takeuchi, H. High Incidence of Severe Urologic Complications Following Radiotherapy for Cervical Cancer in Japanese Women. Gynecol. Oncol. 2001, 80, 21–23. [Google Scholar] [CrossRef] [PubMed]
- Suresh, U.R.; Smith, V.J.; Lupton, E.W.; Haboubi, N.Y. Radiation disease of the urinary tract: Histological features of 18 cases. J. Clin. Pathol. 1993, 46, 228–231. [Google Scholar] [CrossRef]
- Requarth, W. Indications for operation for abdominal trauma. Surgery 1959, 46, 461–468. [Google Scholar] [PubMed]
- Fishman, J.; Shabsigh, R.; Kaplan, L. Lower urinary tract dysfunction after radical hysterectomy for carcinoma of cervix. Urology 1986, 28, 462–468. [Google Scholar] [CrossRef]
- Hagiwara, N.; Nishida, Y.; Fujimoto, Y.; Isogai, K.; Fujihiro, S.; Deguchi, T. Recurrent spontaneous bladder rupture cured by conservative therapy: A case re-port. Hinyokika Kiyo 2002, 48, 367–370. [Google Scholar] [PubMed]
- Welp, A.; Fields, E.C.; Randall, L.; Brown, F.K.; Sullivan, S.A. Acute extraperitoneal spontaneous bladder rupture in cervical cancer patient undergoing chemoradiation: A case report and review of the literature. Gynecol. Oncol. Rep. 2020, 34, 100656. [Google Scholar] [CrossRef]
- Amano, T.; Miwa, S.; Takashima, H.; Takemae, K. Four cases of spontaneous rupture of the urinary bladder. Hinyokika Kiyo. Acta Urol. Jpn. 2002, 48, 243–245. [Google Scholar]
- Kaneko, T.; Nozawa, T.; Owari, Y.; Unoura, A.; Maeda, K.; Kajikawa, T.; Tamada, H.; Ujiie, T.; Okamoto, T.; Takata, K. Recurrent spontaneous rupture of the urinary bladder: A case report. Hinyokika Kiyo. Acta Urol. Jpn. 2000, 46, 137–139. [Google Scholar]
- Kato, A.; Yoshida, K.-I.; Tsuru, N.; Ushiyama, T.; Suzuki, K.; Ozono, S.; Hishida, A. Spontaneous Rupture of the Urinary Bladder Presenting as Oliguric Acute Renal Failure. Intern. Med. 2006, 45, 815–818. [Google Scholar] [CrossRef][Green Version]
- Shin, J.Y.; Yoon, S.M.; Choi, H.J.; Lee, S.N.; Kim, H.B.; Joo, W.C.; Song, J.H.; Kim, M.-J.; Lee, S.W. A Case of Post-radiotherapy Urethral Stricture with Spontaneous Bladder Rupture, Mimicking Obstructive Uropathy due to Cancer Metastasis. Electrolytes Blood Press. 2014, 12, 26–29. [Google Scholar] [CrossRef][Green Version]
- Tabaru, A.; Endou, M.; Miura, Y.; Otsuki, M. Generalized Peritonitis Caused by Spontaneous Intraperitoneal Rupture of the Urinary Bladder. Intern. Med. 1996, 35, 880–882. [Google Scholar] [CrossRef] [PubMed][Green Version]
- Kawakami, M.; Igawa, Y.; Inoue, H.; Koizumi, K.; Nishizawa, O. Rupture of urachal diverticulum in radiation cystitis and neurogenic bladder dysfunc-tion after radical hysterectomy. Int. J. Urol. 2004, 11, 919921. [Google Scholar] [CrossRef]
- Matsumura, M.; Ando, N.; Kumabe, A.; Dhaliwal, G. Pseudo-renal failure: Bladder rupture with urinary ascites. BMJ Case Rep. 2015, 2015, 2015212671. [Google Scholar] [CrossRef]
- Evans, R.; Reece, W.; Smith, V. Idiopathic rupture of the bladder. J. Urol. 1976, 116, 565–567. [Google Scholar] [CrossRef]
- Sekido, N.; Hinotsu, S.; Kawai, K.; Akaza, H.; Koiso, K. A case of urinary ascites probably caused by spontaneous bladder rupture. Jpn. J. Urol. 1995, 86, 1177–1180. [Google Scholar] [CrossRef] [PubMed]
- Suzuki, T.; Usami, A.; Shinoda, M.; Takashi, H.; Murayama, M.; Uchiyama, I.; Endo, S.; Tsuji, H.; Ando, T.; Goto, H. Spontaneous bladder rupture occurred 17 years after radiation treatment for cervical cancer: A case report. Nihon Shokakibyo Gakkai zasshi = Jpn. J. Gastro-Enterol. 2011, 108, 1437–1440. [Google Scholar]
- Wheeler, M.H. Recurrent spontaneous rupture of the urinary bladder. BJS 2005, 59, 983–984. [Google Scholar] [CrossRef] [PubMed]
- Rhodes, A.A.; Evans, L.E.; Alhazzani, W.; Levy, M.M.; Antonelli, M.; Ferrer, R.; Kumar, A.; Sevransky, J.E.; Sprung, C.L.; Nunnally, M.E.; et al. Surviving Sepsis Campaign: International Guidelines for Management of Sepsis and Septic Shock: 2016. Crit. Care Med. 2017, 43, 304–377. [Google Scholar] [CrossRef]
- Singer, M.; Deutschman, C.S.; Seymour, C.W.; Shankar-Hari, M.; Annane, D.; Bauer, M.; Bellomo, R.; Bernard, G.R.; Chiche, J.-D.; Coopersmith, C.M.; et al. The third international consensus definitions for sepsis and septic shock. JAMA 2016, 315, 801–810. [Google Scholar] [CrossRef]
- Vincent, J.L.; Moreno, R.; Takala, J.; Willatts, S.; De Mendonca, A.; Bruining, H.; Reinhart, C.K.; Suter, P.M.; Thijs, L.G. The SOFA score to describe organ dysfunction/failure. On behalf of the working group on sepsis-related problems of the European Society of intensive care medicine. Intensive Care Med. 1996, 22, 707–710. [Google Scholar] [CrossRef]
- Lameire, N.; Biesen, W.V.; Vanholder, R. Acute renal failure. Lancet 2005, 365, 417–430. [Google Scholar] [CrossRef]
- Yasuda, H.; Kato, A.; Fujigaki, Y.; Hishida, A.; Shizuoka Kidney Disease Study Group. Incidence and clinical outcomes of acute kidney injury requiring renal replacement thera-py in Japan. Ther. Apher. Dial. 2010, 14, 541–546. [Google Scholar] [CrossRef]
- Davenport, A.; Goldsmith, H.J. Ruptured bladder presenting as acute renal failure. Br. J. Hosp. Med. 1989, 41, 579–580. [Google Scholar]
- Shah, P.M.; Kim, K.-H.; Ramirez-Schon, G.; Reynolds, B.M. Elevated Blood Urea Nitrogen: An Aid to the Diagnosis of Intraperitoneal Rupture of the Bladder. J. Urol. 1979, 122, 741–743. [Google Scholar] [CrossRef]
- Ueda, T.; Ukimura, S.; Sato, N.; Mizutani, Y.; Nakao, M.; Miki, T. A case of spontaneous rupture of the urinary bladder followed by pneumomediastinum. Hinyokika Kiyo Acta Urol. Jpn. 2002, 48, 363–365. [Google Scholar]
- Takemura, H.; Baba, K.; Yajima, M.; Yamakawa, K.; Nishida, S.; Iwamoto, T. A case of recurrent spontaneous vesical rupture subsequent to irradiation for uterine cancer. Hinyokika Kiyo Acta Urol. Jpn. 2000, 46, 269–271. [Google Scholar]
- Basiri, A.; Radfar, M.H. Conservative management of early bladder rupture after postoperative radiotherapy for prostate can-cer. Urol. J. 2008, 5, 269–271. [Google Scholar] [PubMed]
- Nishimura, T.; Suzuki, K.; Iijima, M.; Nozue, M.; Imai, M.; Suzuki, S.; Sakahara, H.; Ohta, N.; Kasami, M. Spontaneous rupture of bladder diverticulum after postoperative radiotherapy for carcinoma of the uterine cervix: A case report. Radiat. Med. 2001, 18, 261–265. [Google Scholar]
- Ishii, T.; Kadowaki, T.; Sugiyama, T. Intraperitoneal spontaneous rupture of the bladder subsequent to irradiation of the uterus: A case report. Hinyokika Kiyo. Acta Urol. Jpn. 1988, 34, 2185–2188. [Google Scholar]
- Okumura, A.; Morii, A.; Takagawa, K.; Kitamura, H. Three Cases of Transurethral Resection of the bladder tumor (turbt), performed for bladder tumor on the anterior wall, with bladder rupture occurring after discharge. Jpn. J. Urol. 2019, 110, 22–27. [Google Scholar] [CrossRef]
- Snauwaert, C.; Geerts, A.; Colle, I.; Van Vlierberghe, H. Ascites: Not always the usual suspects. Acta Gastro-Enterol. Belg. 2012, 75, 45–48. [Google Scholar]
- Kurizaki, Y.; Ishizuka, O. Spontaneous rupture of the urinary bladder in a woman with radiation cystitis: A case report. Hinyokika Kiyo Acta Urol. Jpn. 1997, 43, 513–515. [Google Scholar]
- Ketata, S.; Boularie, J.L.; Al-Ahdab, N.; Bargain, A.; Damamme, A. Spontaneous intraperitoneal perforation of the bladder: A late complication of radia-tion therapy for prostate cancer. Clin. Genitourin. Cancer 2007, 5, 287–290. [Google Scholar] [CrossRef] [PubMed]
- Addar, M.; Stuart, G.; Nation, J.; Shumsky, A. Spontaneous Rupture of the Urinary Bladder: A Late Complication of Radiotherapy—Case Report and Review of the Literature. Gynecol. Oncol. 1996, 62, 314–316. [Google Scholar] [CrossRef] [PubMed]
- Hansen, H.J.; Eldrup, J. Spontaneous Rupture of the Urinary Bladder—A Late Complication to Radiotherapy. Scand. J. Urol. Nephrol. 1989, 23, 309–310. [Google Scholar] [CrossRef] [PubMed]
- Labanaris, A.P.; Zugor, V.; Nützel, R.; Kuhn, R. Spontaneous Rupture of the Urinary Bladder 10 Years after Curative Radiotherapy. Sci. World J. 2008, 8, 405–408. [Google Scholar] [CrossRef]



| No. | Age | Gender | Treatment for SBR | Prognosis | Years after Radiotherapy | Presence or Absence of Fistula | Diagnosis | Reference No. |
|---|---|---|---|---|---|---|---|---|
| 1 | 44 | female | conservative therapy | alive | 10 years | presence | cystoscopy | [25] |
| 2 | 27 | female | conservative therapy | alive | within 1 year | presence | cystography | [26] |
| 3 | 53 | female | surgery | alive | 4 years | presence | cystography | [27] |
| 4 | 65 | female | surgery | alive | 7 years | presence | cystography | [27] |
| 5 | 54 | female | conservative therapy | alive | 3 years | presence | cystoscopy | [27] |
| 6 | 67 | female | surgery | alive | 21 years | presence | cystography | [28] |
| 7 | 64 | female | conservative therapy | alive | 7 years | presence | cystoscopy | [29] |
| 8 | 55 | female | surgery | alive | 13 years | presence | cystography | [30] |
| 9 | 74 | female | surgery | alive | 11 years | presence | cystography | [31] |
| 10 | 61 | female | surgery | alive | within 1 year | presence | CT | [32] |
| 11 | 68 | female | conservative therapy | alive | 13 years | absence | cystoscopy | [35] |
| 12 | 67 | male | surgery | alive | within 1 year | absence | cystography | [36] |
| 13 | 68 | female | conservative therapy | alive | 22 years | absence | cystography | [45] |
| 14 | 65 | male | conservative therapy | alive | 2 years | absence | cystoscopy | [46] |
| 15 | n,a. | female | n.a. | alive | 3 years | absence | cystography | [47] |
| 16 | 62 | female | conservative therapy | alive | 17 years | absence | cystography | [48] |
| 17 | 54 | female | conservative therapy | alive | 16 years | absence | cystoscopy | [49] |
| 18 | 82 | male | surgery | alive | within 1 year | absence | CT | [50] |
| 19 | 44 | female | surgery | alive | 5 years | absence | CT | [51] |
| 20 | 79 | female | surgery | alive | 11 years | absence | CT | [52] |
| 21 | n.a. | male | conservative therapy | alive | 17 years | n.a. | n.a. | [53] |
| 22 | n.a. | female | conservative therapy | alive | 15 years | n.a. | n.a. | [54] |
| 23 | n.a. | male | conservative therapy | alive | 18 years | n.a. | n.a. | [55] |
| 24 | 27 | female | n.a. | alive | 10 years | n.a. | n.a. | [56] |
| 25 | 65 | female | conservative therapy | alive | 21 years | absence | CT and cystoscopy | our case |
Publisher’s Note: MDPI stays neutral with regard to jurisdictional claims in published maps and institutional affiliations. |
© 2021 by the authors. Licensee MDPI, Basel, Switzerland. This article is an open access article distributed under the terms and conditions of the Creative Commons Attribution (CC BY) license (https://creativecommons.org/licenses/by/4.0/).
Share and Cite
Watanabe, Y.; Yamazaki, S.; Yokoyama, H.; Yakubo, S.; Osaki, A.; Takaku, K.; Sato, M.; Waguri, N.; Terai, S. A Rare Case of Recurrent Generalized Peritonitis Caused by Spontaneous Urinary Bladder Rupture after Radiotherapy: A Case Report and Literature Review. Medicines 2021, 8, 67. https://doi.org/10.3390/medicines8110067
Watanabe Y, Yamazaki S, Yokoyama H, Yakubo S, Osaki A, Takaku K, Sato M, Waguri N, Terai S. A Rare Case of Recurrent Generalized Peritonitis Caused by Spontaneous Urinary Bladder Rupture after Radiotherapy: A Case Report and Literature Review. Medicines. 2021; 8(11):67. https://doi.org/10.3390/medicines8110067
Chicago/Turabian StyleWatanabe, Yusuke, Shun Yamazaki, Hanako Yokoyama, Shunta Yakubo, Akihiko Osaki, Kenichi Takaku, Munehiro Sato, Nobuo Waguri, and Shuji Terai. 2021. "A Rare Case of Recurrent Generalized Peritonitis Caused by Spontaneous Urinary Bladder Rupture after Radiotherapy: A Case Report and Literature Review" Medicines 8, no. 11: 67. https://doi.org/10.3390/medicines8110067
APA StyleWatanabe, Y., Yamazaki, S., Yokoyama, H., Yakubo, S., Osaki, A., Takaku, K., Sato, M., Waguri, N., & Terai, S. (2021). A Rare Case of Recurrent Generalized Peritonitis Caused by Spontaneous Urinary Bladder Rupture after Radiotherapy: A Case Report and Literature Review. Medicines, 8(11), 67. https://doi.org/10.3390/medicines8110067

