The Effects of Ultrasonic Pretreatment and Enzymatic Modification on the Structure, Functional Properties, and In Vitro Digestion of Whey Protein Isolate
Abstract
1. Introduction
2. Materials and Methods
2.1. Materials
2.2. Preparation of Modified WPI
2.3. SDS-PAGE Analysis
2.4. Determination of Free Amino Group Content
2.5. Determination of Sulfhydryl (SH) Group Content
2.6. CD Spectra Analysis
2.7. FTIR Spectroscopy Analysis
2.8. Fluorescence Spectroscopy Analysis
2.9. DSC
2.10. Microscopic Morphology Analysis
2.11. Determination of Particle Size and Zeta Potential
2.12. Determination of Emulsification Properties
2.13. Determination of Surface Hydrophobicity
2.14. Determination of Solubility
2.15. Determination of Gelation Properties
2.16. In Vitro Digestion Analysis
2.17. Statistical Analysis
3. Results and Discussion
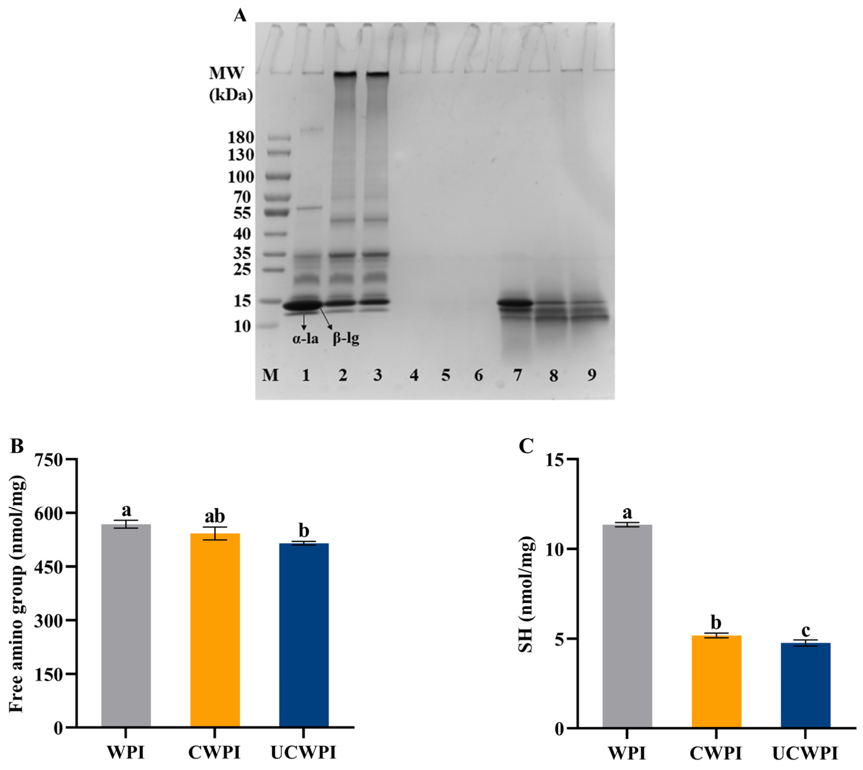
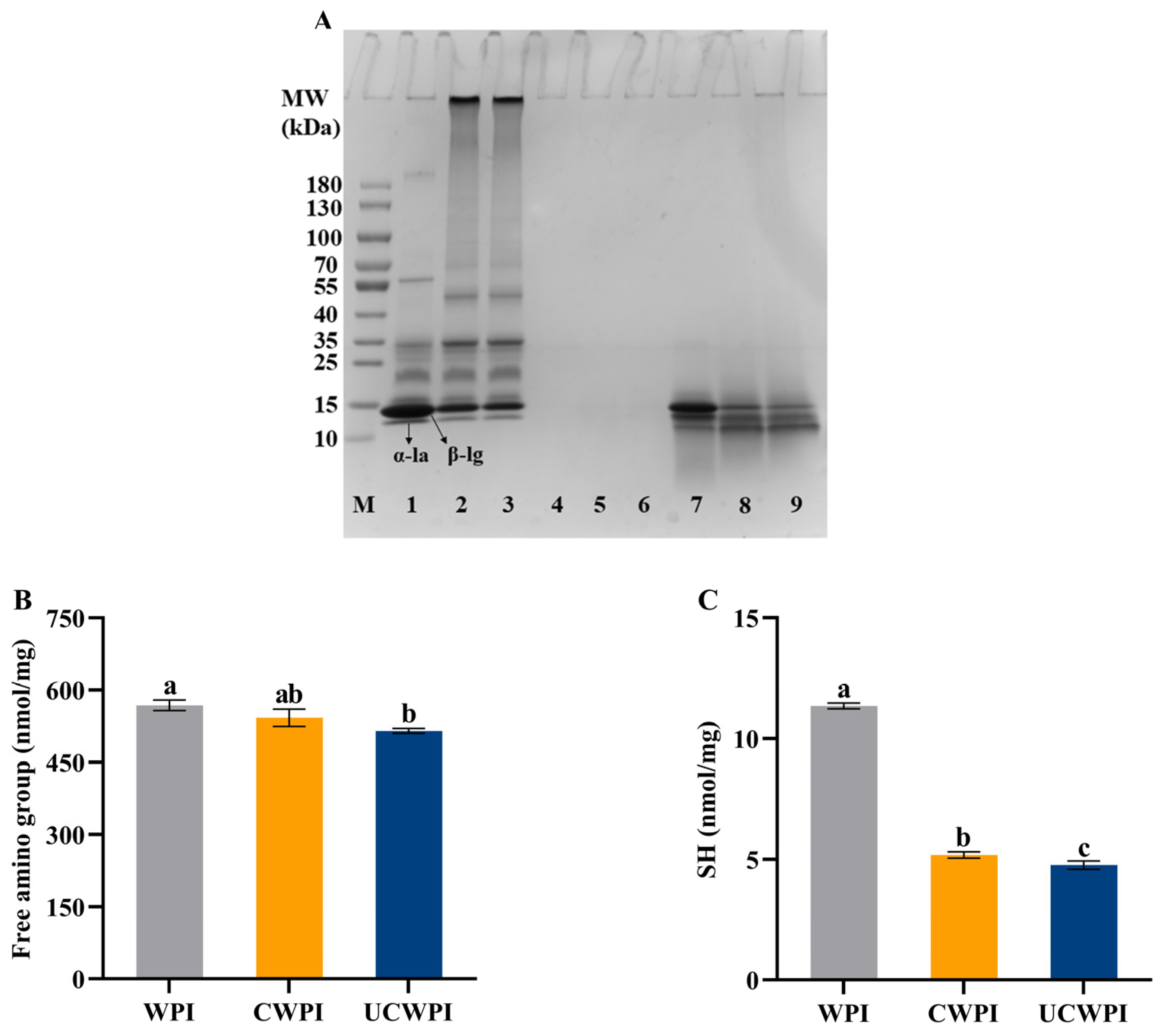
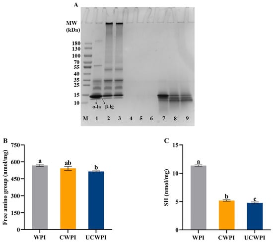
3.1. SDS-PAGE
3.2. Free Amino Group Content
3.3. SH Group Content
3.4. CD Spectra
3.5. FTIR Spectroscopy
3.6. Fluorescence Spectroscopy
3.7. Thermal Stability
3.8. Microscopic Morphology
3.9. Particle Size and Zeta Potential Measurements
3.10. Emulsification Properties
3.11. Surface Hydrophobicity
3.12. Solubility
3.13. Gelation Properties
3.14. In Vitro Digestion
4. Conclusions
Author Contributions
Funding
Institutional Review Board Statement
Informed Consent Statement
Data Availability Statement
Acknowledgments
Conflicts of Interest
References
- Meng, Y.; Li, C. Conformational changes and functional properties of whey protein isolate-polyphenol complexes formed by non-covalent interaction. Food Chem. 2021, 364, 129622. [Google Scholar] [CrossRef] [PubMed]
- Patel, S. Emerging trends in nutraceutical applications of whey protein and its derivatives. J. Food Sci. Technol. 2015, 52, 6847–6858. [Google Scholar] [CrossRef]
- Li, D.; Jiang, Y.; Shi, J. Fabrication and characterization of novel TGase-mediated glycosylated whey protein isolate nanoparticles for curcumin delivery. Food Chem. 2024, 461, 140957. [Google Scholar] [CrossRef]
- Tao, X.; Chen, C.; Li, Y.; Qin, X.; Zhang, H.; Hu, Y.; Liu, Z.; Guo, X.; Liu, G. Improving the antioxidant activity, in vitro digestibility and reducing the allergenicity of whey protein isolate by glycosylation with short-chain inulin and interaction with cyanidin-3-glucoside. Food Hydrocoll. 2023, 139, 108586. [Google Scholar] [CrossRef]
- Li, D.; Jiang, Y.; Shi, J. Novel Pickering emulsion stabilized by glycosylated whey protein isolate: Characterization, stability, and curcumin bioaccessibility. Food Chem. X 2024, 21, 101186. [Google Scholar] [CrossRef] [PubMed]
- Abbas Syed, Q.; Hassan, A.; Sharif, S.; Ishaq, A.; Saeed, F.; Afzaal, M.; Hussain, M.; Anjum, F.M. Structural and functional properties of milk proteins as affected by heating, high pressure, Gamma and ultraviolet irradiation: A review. Int. J. Food Prop. 2021, 24, 871–884. [Google Scholar] [CrossRef]
- Zhang, G.-y.; Sun, C.; Song, J.-r.; Jin, W.-y.; Tang, Y.; Zhou, D.-y.; Song, L. Glycation of whey protein isolate and stachyose modulates their in vitro digestibility: Promising prebiotics as functional ingredients. Food Biosci. 2023, 52, 102379. [Google Scholar] [CrossRef]
- Zhang, L.; Xiao, Q.; Wang, Y.; Hu, J.; Xiong, H.; Zhao, Q. Effects of sequential enzymatic hydrolysis and transglutaminase crosslinking on functional, rheological, and structural properties of whey protein isolate. LWT 2022, 153, 112415. [Google Scholar] [CrossRef]
- Jayachandran, B.; Parvin, T.N.; Alam, M.M.; Chanda, K.; Mm, B. Insights on Chemical Crosslinking Strategies for Proteins. Molecules 2022, 27, 8124. [Google Scholar] [CrossRef]
- Maddock, R.M.A.; Pollard, G.J.; Moreau, N.G.; Perry, J.J.; Race, P.R. Enzyme-catalysed polymer cross-linking: Biocatalytic tools for chemical biology, materials science and beyond. Biopolymers 2020, 111, e23390. [Google Scholar] [CrossRef]
- Sulaiman, N.S.; Sintang, M.D.; Zaini, H.M.; Munsu, E.; Matanjun, P.; Pindi, W. Applications of protein crosslinking in food products. Int. Food Res. J. 2022, 29, 723–739. [Google Scholar] [CrossRef]
- Han, Y.-P.; Zhao, X.-H. Properties of bovine gelatin cross-linked by a mixture of two oxidases (horseradish peroxidase and glucose oxidase) and glucose. CyTA J. Food 2016, 14, 457–464. [Google Scholar] [CrossRef]
- Jiang, P.; Zhao, X.-H. Gelation and In Vitro Digestibility of Soybean Protein Isolate Treated by a Ternary System Containing Horseradish Peroxidase, Glucose Oxidase, and Glucose. Int. J. Food Prop. 2014, 17, 2284–2297. [Google Scholar] [CrossRef]
- Velazquez-Dominguez, A.; Hiolle, M.; Abdallah, M.; Delaplace, G.; Peixoto, P.P.S. Transglutaminase cross-linking on dairy proteins: Functionalities, patents, and commercial uses. Int. Dairy J. 2023, 143, 105688. [Google Scholar] [CrossRef]
- Zhang, X.; Chen, Y.; Hu, Y.; Jin, J.; Shen, H.l.; Udenigwe, C.C. Transglutaminase mediated cross-linking of peanut and buckwheat proteins under dual-frequency ultrasound field: Functional attributes study. Food Phys. 2024, 1, 100019. [Google Scholar] [CrossRef]
- Bilawal, A.; Wang, X.; Oh, K.-C.; Qayum, A.; Gantumur, M.-A.; Jiang, Z.; Hou, J. Combination of microwave heating and transglutaminase cross-linking enhances the stability of limonene emulsion carried by whey protein isolate. Food Biosci. 2022, 47, 101684. [Google Scholar] [CrossRef]
- Wang, C.; Li, T.; Ma, L.; Li, T.; Yu, H.; Hou, J.; Jiang, Z. Consequences of superfine grinding treatment on structure, physicochemical and rheological properties of transglutaminase-crosslinked whey protein isolate. Food Chem. 2020, 309, 125757. [Google Scholar] [CrossRef]
- Zhang, T.; Zhao, Y.; Tian, X.; Liu, J.; Ye, H.; Shen, X. Effect of ultrasound pretreatment on structural, physicochemical, rheological and gelation properties of transglutaminase cross-linked whey protein soluble aggregates. Ultrason. Sonochem. 2021, 74, 105553. [Google Scholar] [CrossRef] [PubMed]
- Gharibzahedi, S.M.T.; Altintas, Z. Ultrasound-assisted alcoholic extraction of lesser mealworm larvae oil: Process optimization, physicochemical characteristics, and energy consumption. Antioxidants 2022, 11, 1943. [Google Scholar] [CrossRef]
- Li, A.; Guo, Z.; Wang, Z.; Yang, Q.; Wen, L.; Xiang, X.; Kan, J. Effect of multiple-frequency ultrasound-assisted transglutaminase dual modification on the structural, functional characteristics and application of Qingke protein. Ultrason. Sonochem. 2023, 94, 106317. [Google Scholar] [CrossRef]
- Zhang, P.; Bao, Z.-y.; Wang, H.; Tu, Z.-c.; Sha, X.-m.; Hu, Y.-m. Ultrasonic pretreatment improved the physicochemical properties and riboflavin delivery ability of transglutaminase-catalyzed soy protein isolate gel. Food Hydrocoll. 2022, 131, 107782. [Google Scholar] [CrossRef]
- Cheng, J.; Dudu, O.E.; Zhang, J.; Wang, Y.; Meng, L.; Wei, W.; Li, X.; Yan, T. Impact of binding interaction modes between whey protein concentrate and quercetin on protein structural and functional characteristics. Food Hydrocoll. 2023, 142, 108787. [Google Scholar] [CrossRef]
- Jiang, Z.; Gao, Y.; Li, J.; Wang, K.; Ma, C.; Sun, D.; Hussain, M.A.; Qayum, A.; Hou, J. Consecutive pH-shift and ultrasound treatment modify the physicochemical properties of whey protein isolate. Int. Dairy J. 2022, 127, 105211. [Google Scholar] [CrossRef]
- Gantumur, M.-A.; Hussain, M.; Li, J.; Hui, M.; Bai, X.; Sukhbaatar, N.; Li, J.; Chen, W.; Hou, J.; Jiang, Z. Modification of fermented whey protein concentrates: Impact of sequential ultrasound and TGase cross-linking. Food Res. Int. 2023, 163, 112158. [Google Scholar] [CrossRef]
- Brodkorb, A.; Egger, L.; Alminger, M.; Alvito, P.; Assunção, R.; Ballance, S.; Bohn, T.; Bourlieu-Lacanal, C.; Boutrou, R.; Carrière, F.; et al. INFOGEST static in vitro simulation of gastrointestinal food digestion. Nat. Protoc. 2019, 14, 991–1014. [Google Scholar] [CrossRef]
- Chang, C.-H.; Zhao, X.-H. In vitro digestibility and rheological properties of caseinates treated by an oxidative system containing horseradish peroxidase, glucose oxidase and glucose. Int. Dairy J. 2012, 27, 47–52. [Google Scholar] [CrossRef]
- Zhang, W.; Zhao, P.; Li, J.; Wang, X.; Hou, J.; Jiang, Z. Effects of ultrasound synergized with microwave on structure and functional properties of transglutaminase-crosslinked whey protein isolate. Ultrason. Sonochem. 2022, 83, 105935. [Google Scholar] [CrossRef]
- Poojary, M.M.; Lund, M.N. Chemical Stability of Proteins in Foods: Oxidation and the Maillard Reaction. Annu. Rev. Food Sci. Technol. 2022, 13, 35–58. [Google Scholar] [CrossRef]
- Li, J.; Fu, J.; Ma, Y.; He, Y.; Fu, R.; Qayum, A.; Jiang, Z.; Wang, L. Low temperature extrusion promotes transglutaminase cross-linking of whey protein isolate and enhances its emulsifying properties and water holding capacity. Food Hydrocoll. 2022, 125, 107410. [Google Scholar] [CrossRef]
- Yu, X.-X.; Wang, X.-H.; Zhang, S.-A.; Zhang, Y.-H.; Zhang, H.-L.; Yin, Y.-Q. Study on potential antigenicity and functional properties of whey protein treated by high hydrostatic pressure based on structural analysis. Food Res. Int. 2023, 173, 113218. [Google Scholar] [CrossRef]
- Ahammed, S.; Liu, F.; Wu, J.; Khin, M.N.; Yokoyama, W.H.; Zhong, F. Effect of transglutaminase crosslinking on solubility property and mechanical strength of gelatin-zein composite films. Food Hydrocoll. 2021, 116, 106649. [Google Scholar] [CrossRef]
- Guo, Z.; Huang, Z.; Guo, Y.; Li, B.; Yu, W.; Zhou, L.; Jiang, L.; Teng, F.; Wang, Z. Effects of high-pressure homogenization on structural and emulsifying properties of thermally soluble aggregated kidney bean (Phaseolus vulgaris L.) proteins. Food Hydrocoll. 2021, 119, 106835. [Google Scholar] [CrossRef]
- Liu, F.; Sun, C.; Yang, W.; Yuan, F.; Gao, Y. Structural characterization and functional evaluation of lactoferrin–polyphenol conjugates formed by free-radical graft copolymerization. RSC Adv. 2015, 5, 15641–15651. [Google Scholar] [CrossRef]
- Gharibzahedi, S.M.T.; Smith, B. The functional modification of legume proteins by ultrasonication: A review. Trends Food Sci. Technol. 2020, 98, 107–116. [Google Scholar] [CrossRef]
- Li, R.; Chang, C.H.; Ma, D.D.; Zhao, X.H. Property changes of caseinate in response to its dityrosine formation induced by horseradish peroxidase, glucose oxidase and d-glucose. J. Sci. Food Agric. 2020, 100, 5136–5144. [Google Scholar] [CrossRef]
- Fan, J.-X.; Guo, X.-N.; Zhu, K.-X. Impact of laccase-induced protein cross-linking on the in vitro starch digestion of black highland barley noodles. Food Hydrocoll. 2022, 124, 107298. [Google Scholar] [CrossRef]
- Kadar, E.; Batalha, Í.L.; Fisher, A.; Roque, A.C.A. The interaction of polymer-coated magnetic nanoparticles with seawater. Sci. Total Environ. 2014, 487, 771–777. [Google Scholar] [CrossRef]
- Du, X.; Li, H.; Pan, N.; Wan, W.; Sun, F.; Xia, X.; Shao, M.; Wang, C. Effectiveness of ice structuring protein on the myofibrillar protein from mirror carp (Cyprinus carpio L.) during cryopreservation: Reduction of aggregation and improvement of emulsifying properties. Int. J. Refrig. 2022, 133, 1–8. [Google Scholar] [CrossRef]
- Zhao, C.; Wang, F.; Yang, X.; Mao, Y.; Qi, Q.; Zheng, M.; Xu, X.; Cao, Y.; Wu, Y.; Liu, J. Synergistic influence of ultrasound and dietary fiber addition on transglutaminase-induced peanut protein gel and its application for encapsulation of lutein. Food Hydrocoll. 2023, 137, 108374. [Google Scholar] [CrossRef]
- Shi, R.; Ma, C.; Li, J.; Wang, K.; Qayum, A.; Wang, C.; Li, A.; Jiang, Z. Characterization of TGase-induced whey protein isolate: Impact of HPHP pretreatment. J. Food Eng. 2020, 282, 110025. [Google Scholar] [CrossRef]
- Zhao, Y.; Xue, S.; Zhang, X.; Zhang, T.; Shen, X. Improved gel properties of whey protein-stabilized emulsions by ultrasound and enzymatic cross-linking. Gels 2021, 7, 135. [Google Scholar] [CrossRef] [PubMed]
- Cui, Q.; Wang, G.; Gao, D.; Wang, L.; Zhang, A.; Wang, X.; Xu, N.; Jiang, L. Improving the gel properties of transgenic microbial transglutaminase cross-linked soybean-whey mixed protein by ultrasonic pretreatment. Process Biochem. 2020, 91, 104–112. [Google Scholar] [CrossRef]
- Li, X.; Bai, H.; Wu, Y.; Cheng, W.; Wu, Y.; Wu, Z.; Yang, A.; Tong, P.; Chen, H. Structural analysis and allergenicity assessment of an enzymatically cross-linked bovine α-lactalbumin polymer. Food Funct. 2020, 11, 628–639. [Google Scholar] [CrossRef] [PubMed]
- Glusac, J.; Isaschar-Ovdat, S.; Fishman, A. Transglutaminase modifies the physical stability and digestibility of chickpea protein-stabilized oil-in-water emulsions. Food Chem. 2020, 315, 126301. [Google Scholar] [CrossRef]
- Yuan, D.; Zhou, F.; Shen, P.; Zhang, Y.; Lin, L.; Zhao, M. Self-assembled soy protein nanoparticles by partial enzymatic hydrolysis for pH-driven encapsulation and delivery of hydrophobic cargo curcumin. Food Hydrocoll. 2021, 120, 106759. [Google Scholar] [CrossRef]
- Colosimo, R.; Mulet-Cabero, A.-I.; Warren, F.J.; Edwards, C.H.; Finnigan, T.J.A.; Wilde, P.J. Mycoprotein ingredient structure reduces lipolysis and binds bile salts during simulated gastrointestinal digestion. Food Funct. 2020, 11, 10896–10906. [Google Scholar] [CrossRef]









Disclaimer/Publisher’s Note: The statements, opinions and data contained in all publications are solely those of the individual author(s) and contributor(s) and not of MDPI and/or the editor(s). MDPI and/or the editor(s) disclaim responsibility for any injury to people or property resulting from any ideas, methods, instructions or products referred to in the content. |
© 2025 by the authors. Licensee MDPI, Basel, Switzerland. This article is an open access article distributed under the terms and conditions of the Creative Commons Attribution (CC BY) license (https://creativecommons.org/licenses/by/4.0/).
Share and Cite
Yue, Y.; Jiang, Y.; Shi, J. The Effects of Ultrasonic Pretreatment and Enzymatic Modification on the Structure, Functional Properties, and In Vitro Digestion of Whey Protein Isolate. Foods 2025, 14, 1445. https://doi.org/10.3390/foods14091445
Yue Y, Jiang Y, Shi J. The Effects of Ultrasonic Pretreatment and Enzymatic Modification on the Structure, Functional Properties, and In Vitro Digestion of Whey Protein Isolate. Foods. 2025; 14(9):1445. https://doi.org/10.3390/foods14091445
Chicago/Turabian StyleYue, Yingying, Yujun Jiang, and Jia Shi. 2025. "The Effects of Ultrasonic Pretreatment and Enzymatic Modification on the Structure, Functional Properties, and In Vitro Digestion of Whey Protein Isolate" Foods 14, no. 9: 1445. https://doi.org/10.3390/foods14091445
APA StyleYue, Y., Jiang, Y., & Shi, J. (2025). The Effects of Ultrasonic Pretreatment and Enzymatic Modification on the Structure, Functional Properties, and In Vitro Digestion of Whey Protein Isolate. Foods, 14(9), 1445. https://doi.org/10.3390/foods14091445

