Immunoglobulin Y-Based Lateral Flow Immunoassay Strip Test for Detecting Ciprofloxacin Antibiotic in Raw Pork Samples
Abstract
1. Introduction
2. Materials and Methods
2.1. Chemicals and Materials
2.2. Preparation of Antigen for Control Line
2.3. Production of IgY pAb Against Ciprofloxacin
2.4. Gold Nanoparticles Solution
2.5. Preparation of AuNPs-Labeled IgY pAb
2.6. Preparation of Immunochromatographic Strip
2.7. Sample Pretreatment
2.8. Sensitivity
3. Results
3.1. Characterization of Immunogen and Coating Antigen (Hapten Density)
3.2. Activity of IgY Polyclonal Antibody by Indirect Competitive ELISA
3.3. Characterization of AuNPs and AuNPs-Labeled IgY pAb
3.4. Optimization of LFIA Strip
3.4.1. The Labeling pH Value
3.4.2. Concentration of Coating Antigen or Test Line (T-Line) and IgY Antibody
3.4.3. Concentration of Secondary Antibody or Control Line (C-Line)
3.4.4. Buffer Solution of LFIA Strip
3.4.5. Enhancement of Buffer Solution for T-Line
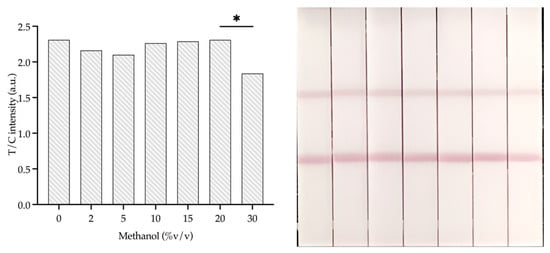
3.4.6. Methanol Effect
3.4.7. Specificity and Sensitivity
3.4.8. Matrix Effect
3.4.9. Comparison of the Multiplex LFIA Strip Test
4. Discussion
5. Conclusions
Author Contributions
Funding
Institutional Review Board Statement
Informed Consent Statement
Data Availability Statement
Acknowledgments
Conflicts of Interest
Abbreviations
| LFIA | lateral flow immunoassay |
| AuNPs | gold nanoparticle |
| Cip | ciprofloxacin |
| pAb | polyclonal antibody |
| mAb | monoclonal antibody |
| T line | test line |
| C line | control line |
| IC50 | half-maximal inhibitory concentration |
| IC10 | inhibitory concentration at 10% |
| IC90 | inhibitory concentration at 90%. |
References
- Khan, G.J.; Khan, R.A.; Majeed, I.; Siddiqui, F.A.; Khan, S. Ciprofloxacin: The frequent use in poultry and its consequences on human health. Prof. Med. J. 2015, 22, 001–005. [Google Scholar] [CrossRef]
- Roy, D.; Kafle, A.; Laskar, S.; Roy, R. Ciprofloxacin Residue in Marketed Pork of North-East India. J. Pharm. Pharmacol. 2019, 7, 119–123. [Google Scholar] [CrossRef]
- Omotoso, A.; Omojola, A. Fluoroquinolone residues in raw meat from open markets in Ibadan, Southwest, Nigeria. Int. J. Health Anim. Sci. Food Saf. 2015, 32-40, 32–40. [Google Scholar] [CrossRef]
- Dokuta, S.; Yadoung, S.; Hongjaisee, S.; Khamnoi, P.; Manochomphu, S.; Chuttong, B.; Hongsibsong, S. Seasonal Determination of Antibiotic-Resistant Microorganisms and Ciprofloxacin Residues in Pork and Chicken Meats Collected from Fresh Markets in Chiang Mai, Northern Thailand. Foods 2025, 14, 174. [Google Scholar] [CrossRef]
- Humphrey, T.J.; Jørgensen, F.; Frost, J.A.; Wadda, H.; Domingue, G.; Elviss, N.C.; Griggs, D.J.; Piddock, L.J. Prevalence and subtypes of ciprofloxacin-resistant Campylobacter spp. in commercial poultry flocks before, during, and after treatment with fluoroquinolones. Antimicrob. Agents Chemother. 2005, 49, 690–698. [Google Scholar] [CrossRef] [PubMed]
- Suryoprabowo, S.; Nasyiruddin, R.L.; Wang, Z.; Hendriko, A.; Tristanto, N.A. A comprehensive review on the pretreatment and detection methods of fluoroquinolones in food and environment. J. Food Compos. Anal. 2025, 140, 107179. [Google Scholar] [CrossRef]
- Zhang, B.; Lang, Y.; Guo, B.; Cao, Z.; Cheng, J.; Cai, D.; Shentu, X.; Yu, X. Indirect Competitive Enzyme-Linked Immunosorbent Assay Based on Broad-Spectrum Antibody for Simultaneous Determination of Thirteen Fluoroquinolone Antibiotics in Rana catesbeianus. Foods 2023, 12, 2530. [Google Scholar] [CrossRef]
- Zhu, Y.; Li, L.; Wang, Z.; Chen, Y.; Zhao, Z.; Zhu, L.; Wu, X.; Wan, Y.; He, F.; Shen, J. Development of an Immunochromatography Strip for the Rapid Detection of 12 Fluoroquinolones in Chicken Muscle and Liver. J. Agric. Food Chem. 2008, 56, 5469–5474. [Google Scholar] [CrossRef] [PubMed]
- Karachaliou, C.E.; Vassilakopoulou, V.; Livaniou, E. IgY technology: Methods for developing and evaluating avian immunoglobulins for the in vitro detection of biomolecules. World J. Methodol. 2021, 11, 243–262. [Google Scholar] [CrossRef]
- Hongsibsong, S.; Wipasa, J.; Pattarawarapan, M.; Chantara, S.; Stuetz, W.; Nosten, F.; Prapamontol, T. Development and Application of an Indirect Competitive Enzyme-Linked Immunosorbent Assay for the Detection of p, p′-DDE in Human Milk and Comparison of the Results against GC-ECD. J. Agric. Food Chem. 2012, 60, 16–22. [Google Scholar] [CrossRef][Green Version]
- Yadoung, S.; Ishimatsu, R.; Xu, Z.-L.; Sringarm, K.; Pata, S.; Thongkham, M.; Chantara, S.; Pattarawarapan, M.; Hongsibsong, S. Development of IgY-based indirect competitive ELISA for the detection of fluoroquinolone residues in chicken and pork samples. Antibiotics 2022, 11, 1512. [Google Scholar] [CrossRef]
- Li, Y.; Xie, H.; Wang, J.; Li, X.; Xiao, Z.; Xu, Z.; Lei, H.; Shen, X. Lateral Flow Immunochromatography Assay for Detection of Furosemide in Slimming Health Foods. Foods 2021, 10, 2041. [Google Scholar] [CrossRef]
- Liu, Z.; Hua, Q.; Wang, J.; Liang, Z.; Li, J.; Wu, J.; Shen, X.; Lei, H.; Li, X. A smartphone-based dual detection mode device integrated with two lateral flow immunoassays for multiplex mycotoxins in cereals. Biosens. Bioelectron. 2020, 158, 112178. [Google Scholar] [CrossRef] [PubMed]
- Arslanbaş, E. Determination of Some Antibiotic Residues by HPLC Method in Chicken Meats Prepared for Consumption. Erciyes Üniversitesi Vet. Fakültesi Derg. 2018, 15, 247–252. [Google Scholar] [CrossRef][Green Version]
- Fields, R. The rapid determination of amino groups with TNBS. In Methods in Enzymology; Academic Press: Cambridge, MA, USA, 1972; Volume 25, pp. 464–468. [Google Scholar]
- Torres, O.B.; Alving, C.R.; Matyas, G.R. Synthesis of Hapten-Protein Conjugate Vaccines with Reproducible Hapten Densities. Methods Mol. Biol. 2016, 1403, 695–710. [Google Scholar] [CrossRef] [PubMed]
- Serrano, M.J.; Mata, L.; Pellicer, S.; Segura-Gil, I.; Razquin, P.; Pagán, R. Development and validation of a rapid lateral flow test for the detection of fluoroquinolones in meat and blood. Food Control. 2024, 156. [Google Scholar] [CrossRef]
- Hendrickson, O.D.; Byzova, N.A.; Panferov, V.G.; Zvereva, E.A.; Xing, S.; Zherdev, A.V.; Liu, J.; Lei, H.; Dzantiev, B.B. Ultrasensitive Lateral Flow Immunoassay of Fluoroquinolone Antibiotic Gatifloxacin Using Au@Ag Nanoparticles as a Signal-Enhancing Label. Biosensors 2024, 14, 598. [Google Scholar] [CrossRef] [PubMed]
- Xue, G.; Wu, M.; Liu, T.; Fang, X.; Yin, J.; Lai, W.; Peng, J. A multiple lateral flow immunoassay based on AuNP for the detection of 5 chemical contaminants in milk. J. Dairy Sci. 2023, 106, 3856–3867. [Google Scholar] [CrossRef]
- Liu, C.; Yang, L.; Zhang, W.; Li, D.; Li, L.; Wang, H.; Ma, Y.; Li, C. A magnetic nanoparticle-based lateral flow immunochromatography assay for the rapid detection of fluoroquinolones in milk. Eur. Food Res. Technol. 2021, 247, 2645–2656. [Google Scholar] [CrossRef]
- Taranova, N.; Zvereva, E.; Shanin, I.; Eremin, S.; Zherdev, A.; Dzantiev, B. Impact of Immunogen Structure to Specificity of Fluoroquinolones Detection by Microplate and Lateral Flow Immunoassay Techniques. Biomed. Pharmacol. J. 2015, 8, 1389–1398. [Google Scholar] [CrossRef]
- Wang, Y.; Ma, B.; Liu, M.; Chen, E.; Xu, Y.; Zhang, M. Europium Fluorescent Nanoparticles-Based Multiplex Lateral Flow Immunoassay for Simultaneous Detection of Three Antibiotic Families Residue. Front. Chem. 2021, 9, 793355. [Google Scholar] [CrossRef] [PubMed]
- Duan, J.; Yuan, Z. Development of an indirect competitive ELISA for ciprofloxacin residues in food animal edible tissues. J. Agric. Food Chem. 2001, 49, 1087–1089. [Google Scholar] [CrossRef]
- Gomes, F.B.; Riedstra, S.; Ferreira, J.P. Development of an immunoassay for ciprofloxacin based on phage-displayed antibody fragments. J. Immunol. Methods 2010, 358, 17–22. [Google Scholar] [CrossRef]
- Liu, L.; Luo, L.; Suryoprabowo, S.; Peng, J.; Kuang, H.; Xu, C. Development of an immunochromatographic strip test for rapid detection of ciprofloxacin in milk samples. Sensors 2014, 14, 16785–16798. [Google Scholar] [CrossRef]
- Liu, J.; Wang, B.; Huang, H.; Jian, D.; Lu, Y.; Shan, Y.; Wang, S.; Liu, F. Quantitative ciprofloxacin on-site rapid detections using quantum dot microsphere based immunochromatographic test strips. Food Chem. 2021, 335, 127596. [Google Scholar] [CrossRef]
- Idowu, O.R.; Peggins, J.O.; Cullison, R.; Bredow, J.V. Comparative pharmacokinetics of enrofloxacin and ciprofloxacin in lactating dairy cows and beef steers following intravenous administration of enrofloxacin. Res. Vet. Sci. 2010, 89, 230–235. [Google Scholar] [CrossRef]
- Kovacs-Nolan, J.; Mine, Y. Avian egg antibodies: Basic and potential applications. Avian Poult. Biol. Rev. 2004, 15, 25–46. [Google Scholar] [CrossRef]
- Dias da Silva, W.; Tambourgi, D.V. IgY: A promising antibody for use in immunodiagnostic and in immunotherapy. Vet. Immunol. Immunopathol. 2010, 135, 173–180. [Google Scholar] [CrossRef]
- Schade, R.; Calzado, E.G.; Sarmiento, R.; Chacana, P.A.; Porankiewicz-Asplund, J.; Terzolo, H.R. Chicken egg yolk antibodies (IgY-technology): A review of progress in production and use in research and human and veterinary medicine. Altern. Lab. Anim. 2005, 33, 129–154. [Google Scholar] [CrossRef] [PubMed]
- Li, Y.; Hou, L.; Ye, J.; Liu, X.; Dan, H.; Jin, M.; Chen, H.; Cao, S. Development of a convenient immunochromatographic strip for the diagnosis of infection with Japanese encephalitis virus in swine. J. Virol. Methods 2010, 168, 51–56. [Google Scholar] [CrossRef]
- Zhang, L.; Li, D.; Liu, L.; Fang, J.; Xu, R.; Zhang, G. Development of a colloidal gold immunochromatographic strip for the rapid detection of soft-shelled turtle systemic septicemia spherical virus. J. Virol. Methods 2015, 221, 39–45. [Google Scholar] [CrossRef]












| Haptens * | Hapten Density (Number of Amines/Protein) |
|---|---|
| BSA-Cip (immunogen) | 3.14 |
| OVA-Cip (coating antigen) | 2.23 |
| FQs | IC50 (µg/mL) | Cross-Reactivity Percent |
|---|---|---|
| Ciprofloxacin | 0.82 | 100.00 |
| Enrofloxacin | 0.37 | 218.22 |
| Norfloxacin | 2.06 | 39.76 |
| Coating Antigen (mg/mL) | T/C Intensity (a.u.) | Percentage Inhibition (%) | |
|---|---|---|---|
| Negative | Positive | ||
| 5.00 | 1.2657 | 1.4154 | <1.00 |
| 2.00 | 1.1101 | 1.4895 | <1.00 |
| 1.00 | 0.6018 | 0.7850 | <1.00 |
| 0.50 | 0.9636 | 0.6642 | 31.07 |
| 0.25 | 1.0515 | 0.7150 | 32.01 |
| Solution | Concentration (% v/v) | T/C | Inhibition (%) | |
|---|---|---|---|---|
| Negative | Positive | |||
| BSA | 2.0 | 0.2230 | 0.1466 | 34.25 |
| 1.0 | 0.2786 | 0.2332 | 16.28 | |
| 0.5 | 0.2806 | 0.4778 | <0.01 | |
| Skim milk | 2.0 | 0.9320 | 0.5250 | 43.67 |
| 1.0 | 0.7280 | 0.5474 | 24.80 | |
| 0.5 | 0.8155 | 0.7104 | 12.89 | |
| Tween-20 | 2.0 | 0.4930 | 0.5413 | <0.01 |
| 1.0 | 0.7436 | 0.3997 | 46.25 | |
| 0.5 | 0.6436 | 0.3713 | 42.31 | |
| PEG 6000 | 2.0 | 0.4244 | 0.2984 | 29.70 |
| 1.0 | 0.4134 | 0.2687 | 34.99 | |
| 0.5 | 0.2125 | 0.2840 | <0.01 | |
| Polyvinylpyrrolidone | 2.0 | 0.7509 | 0.5596 | 25.47 |
| 1.0 | 0.3787 | 0.4293 | <0.01 | |
| 0.5 | 0.4868 | 0.3442 | 29.28 | |
| Sucrose | 2.0 | 0.3734 | 0.3773 | <0.01 |
| 1.0 | 0.2045 | 0.5419 | <0.01 | |
| 0.5 | 0.5010 | 0.3733 | 25.48 | |
| Detection Methods | Target Analytes | Samples | Type of Antibody | LOD | References |
|---|---|---|---|---|---|
| AuNPs-LFIA | Enro, Cip, Flu, Mar, Oxo, Dano | blood and meat | IgG mAb | 50, 50, 100, 75, 50, 50 µg/kg | [17] |
| Au@Ag NPs-LFIA | Gat | meat | IgG mAb | 0.8 pg/mL | [18] |
| AuNPs-LFIA | Enro | milk | IgG mAb | 0.078 ng/mL | [19] |
| MNPs-LFIA | Cip, Dan, Dif, Enro, Lom, Mar, Nor, Ofl, Orb, Sar | milk, raw milk | IgG mAb | 1–2 ng/mL | [20] |
| AuNPs-LFIA | Cip, Lev | milk | IgG pAb | 0.05, 0.1 ng/mL | [21] |
| EuNPs-LFIA | FQs | honey, milk, chicken, egg | IgG mAb | 2.4 ng/mL | [22] |
| AuNPs-LFIA | Cip | raw pork | IgY pAb | 0.2 µg/mL | This work |
Disclaimer/Publisher’s Note: The statements, opinions and data contained in all publications are solely those of the individual author(s) and contributor(s) and not of MDPI and/or the editor(s). MDPI and/or the editor(s) disclaim responsibility for any injury to people or property resulting from any ideas, methods, instructions or products referred to in the content. |
© 2025 by the authors. Licensee MDPI, Basel, Switzerland. This article is an open access article distributed under the terms and conditions of the Creative Commons Attribution (CC BY) license (https://creativecommons.org/licenses/by/4.0/).
Share and Cite
Yadoung, S.; Xu, H.-Y.; Dokuta, S.; Jeeno, P.; Yana, P.; Thongkham, M.; Sringarm, K.; Ishimatsu, R.; Xu, Z.-L.; Hongsibsong, S. Immunoglobulin Y-Based Lateral Flow Immunoassay Strip Test for Detecting Ciprofloxacin Antibiotic in Raw Pork Samples. Foods 2025, 14, 818. https://doi.org/10.3390/foods14050818
Yadoung S, Xu H-Y, Dokuta S, Jeeno P, Yana P, Thongkham M, Sringarm K, Ishimatsu R, Xu Z-L, Hongsibsong S. Immunoglobulin Y-Based Lateral Flow Immunoassay Strip Test for Detecting Ciprofloxacin Antibiotic in Raw Pork Samples. Foods. 2025; 14(5):818. https://doi.org/10.3390/foods14050818
Chicago/Turabian StyleYadoung, Sumed, Huan-Yuan Xu, Sirikwan Dokuta, Peerapong Jeeno, Pichamon Yana, Marninphan Thongkham, Korawan Sringarm, Ryoichi Ishimatsu, Zhen-Lin Xu, and Surat Hongsibsong. 2025. "Immunoglobulin Y-Based Lateral Flow Immunoassay Strip Test for Detecting Ciprofloxacin Antibiotic in Raw Pork Samples" Foods 14, no. 5: 818. https://doi.org/10.3390/foods14050818
APA StyleYadoung, S., Xu, H.-Y., Dokuta, S., Jeeno, P., Yana, P., Thongkham, M., Sringarm, K., Ishimatsu, R., Xu, Z.-L., & Hongsibsong, S. (2025). Immunoglobulin Y-Based Lateral Flow Immunoassay Strip Test for Detecting Ciprofloxacin Antibiotic in Raw Pork Samples. Foods, 14(5), 818. https://doi.org/10.3390/foods14050818

