Quercetin-Loaded Ginkgo Starch Nanoparticles: A Promising Strategy to Improve Bioactive Delivery and Cellular Homeostasis in Functional Foods
Abstract
1. Introduction
2. Materials and Methods
2.1. Chemicals and Reagents
2.2. Animals
2.3. Acute Oral Toxicity Test
2.4. Subacute (30 d) Toxicity Test
2.5. Detection of Apoptosis by Annexin V-APC/7-AAD Double-Staining
2.6. Cell Cycle Analysis
2.7. Measurement of Mitochondrial Membrane Potential
2.8. Mice Lung-Cancer-Inoculated Tumor Models and Animal Groups
2.9. Volume Measurement and H&E-Stained Sections of Tumor Tissues
2.10. Fluorescence Imaging Analysis of the Living Body and Organs of Tumor-Bearing Mice
2.11. Statistical Analysis
3. Results
3.1. Acute and Subacute Toxicity
3.1.1. BW and Organ Coefficient
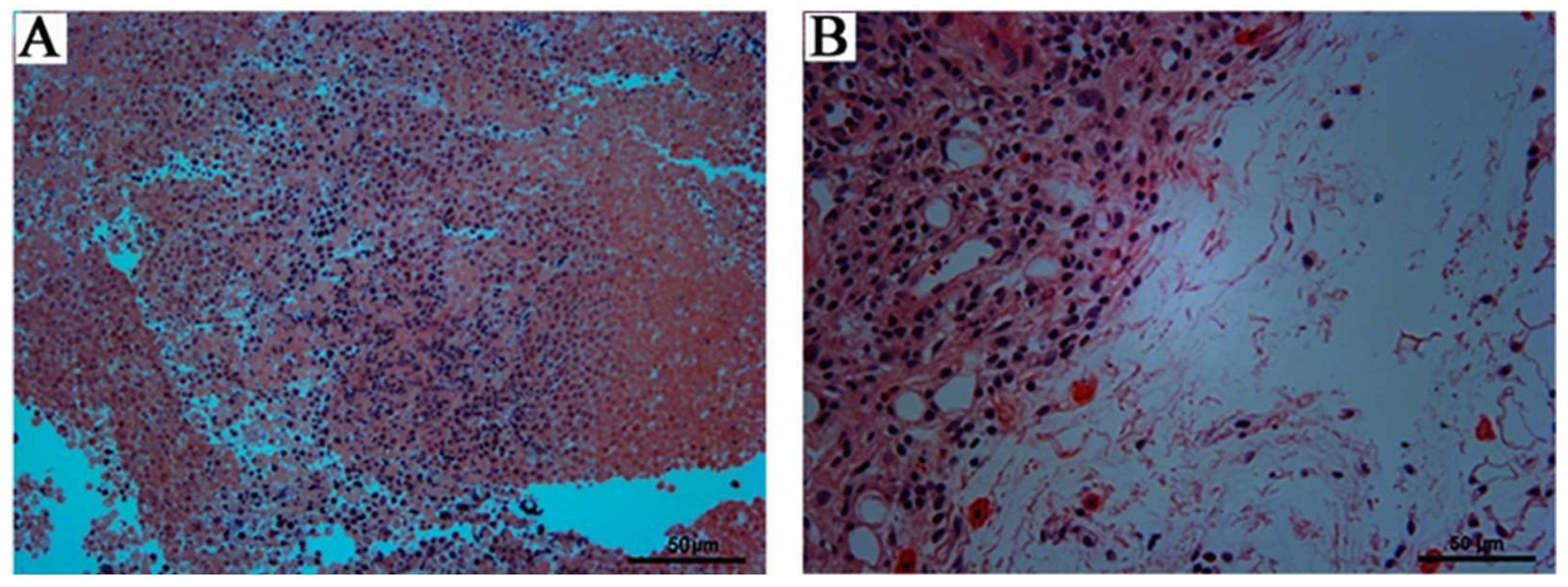
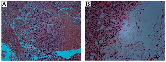
3.1.2. Histopathological Examination
3.1.3. Hematological and Biochemical Parameters
3.2. Cancer Cell Inhibitory Activity of SNPs/Qc
3.2.1. Effects of SNPs/Qc or F127/Qc on Apoptosis of 3LL Cells
3.2.2. Effects of SNPs/Qc or F127/Qc on the Cell Cycle of 3LL Cells
3.2.3. Effects of SNPs/Qc or F127/Qc on the Mitochondrial Membrane Potential of 3LL Cells
3.3. Biological Activity of SNPs/Qc
3.3.1. BW, Survival Rate and Tumor Volume of Tumor-Bearing Mice
3.3.2. Observation of Tumor Tissue Sections
3.3.3. Pharmacokinetic In Vivo Tumor and Fluorescence Imaging of Tumor-Bearing Mice
4. Discussion
5. Conclusions
Supplementary Materials
Author Contributions
Funding
Institutional Review Board Statement
Informed Consent Statement
Data Availability Statement
Acknowledgments
Conflicts of Interest
Abbreviations
| A/G | Albumin/globulin ratio |
| ALB | Albumin |
| ALT | Alanine transaminase |
| AST | Aspartate transaminase |
| BW | Body weight |
| CHOL | Total cholesterol |
| GLU | Blood glucose |
| HCT | Hematocrit |
| H & E | Hematoxylin and eosin |
| HGB | Hemoglobin concentration |
| ICR | Institute of Cancer Research |
| LL | Lower left |
| LR | Lower right |
| LYC | Lymphocyte count |
| MCH | Mean corpuscular hemoglobin |
| MCV | Mean corpuscular volume |
| NE | Neutrophils count |
| Qc | Quercetin |
| RBC | Red blood cell count |
| SNPs | Starch nanoparticles |
| SNPs/Qc | Starch nanoparticles/quercetin |
| TBIL | Total bilirubin |
| TG | Triglycerides |
| TP | Total serum protein |
| UL | Upper left |
| UR | Upper right |
| WBC | White blood cell count |
References
- Giuliani, C.; Di Dalmazi, G.; Bucci, I.; Napolitano, G. Quercetin and Thyroid. Antioxidants 2024, 13, 1202. [Google Scholar] [CrossRef] [PubMed]
- Moon, J.H.; Eo, S.K.; Lee, J.H.; Park, S.Y. Quercetin-induced autophagy flux enhances TRAIL-mediated tumor cell death. Oncol. Rep. 2015, 34, 375–381. [Google Scholar] [CrossRef] [PubMed]
- Lawson, M.K. Improvement of Therapeutic Value of Quercetin with Chitosan Nanoparticle Delivery Systems and Potential Applications. Int. J. Mol. Sci. 2023, 24, 3293. [Google Scholar] [CrossRef]
- Hosseini-Ashtiani, N.; Tadjarodi, A.; Zare-Dorabei, R. Low molecular weight chitosan-cyanocobalamin nanoparticles for controlled delivery of ciprofloxacin: Preparation and evaluation. Int. J. Biol. Macromol. 2021, 176, 459–467. [Google Scholar] [CrossRef]
- Su, Y.; Zhou, Q.; Xu, H.; Huang, M.; Li, S.; He, J.; Cheng, K.-W.; Wang, M. Enhancing the bioavailability of quercetin via the construction of carboxymethylated curdlan/quercetin nanocomplex. Food Hydrocoll. 2024, 149, 109502. [Google Scholar] [CrossRef]
- Jiang, F.; Du, C.; Zhao, N.; Jiang, W.; Yu, X.; Du, S.-K. Preparation and characterization of quinoa starch nanoparticles as quercetin carriers. Food Chem. 2022, 369, 130895. [Google Scholar] [CrossRef]
- McClements, D.J. Advances in edible nanoemulsions: Digestion, bioavailability, and potential toxicity. Prog. Lipid Res. 2021, 81, 101081. [Google Scholar] [CrossRef]
- Sathishkumar, P.; Li, Z.; Govindan, R.; Jayakumar, R.; Wang, C.; Long Gu, F. Zinc oxide-quercetin nanocomposite as a smart nano-drug delivery system: Molecular-level interaction studies. Appl. Surf. Sci. 2021, 536, 147741. [Google Scholar] [CrossRef]
- Qiu, J.; Chen, X.; Netrusov, A.I.; Zhou, Q.; Guo, D.; Liu, X.; He, H.; Xin, X.; Wang, Y.; Chen, L. Screening and Identifying Antioxidative Components in Ginkgo biloba Pollen by DPPH-HPLC-PAD Coupled with HPLC-ESI-MS2. PLoS ONE 2017, 12, e0170141. [Google Scholar] [CrossRef]
- Shan, H.; Kong, H. The genome of Ginkgo biloba refined. Nat. Plants 2021, 7, 714–715. [Google Scholar] [CrossRef]
- Zhang, Z.; Chen, S.; Mei, H.; Xuan, J.; Guo, X.; Couch, L.; Dobrovolsky, V.N.; Guo, L.; Mei, N. Ginkgo biloba leaf extract induces DNA damage by inhibiting topoisomerase II activity in human hepatic cells. Sci. Rep. 2015, 5, 14633. [Google Scholar] [CrossRef] [PubMed]
- Wang, T.; Wu, C.; Fan, G.; Li, T.; Gong, H.; Cao, F. Ginkgo biloba extracts-loaded starch nano-spheres: Preparation, characterization, and in vitro release kinetics. Int. J. Biol. Macromol. 2018, 106, 148–157. [Google Scholar] [CrossRef] [PubMed]
- Wang, T.; Wu, C.; Li, T.; Fan, G.; Gong, H.; Liu, P.; Yang, Y.; Sun, L. Comparison of two nanocarriers for quercetin in morphology, loading behavior, release kinetics and cell inhibitory activity. Mater. Express 2020, 10, 1589–1598. [Google Scholar] [CrossRef]
- Ghosh, N.; Sandur, R.; Ghosh, D.; Roy, S.; Janadri, S. Acute, 28days sub acute and genotoxic profiling of Quercetin-Magnesium complex in Swiss albino mice. Biomed. Pharmacother. 2017, 86, 279–291. [Google Scholar] [CrossRef]
- Tsuboi, T.; Hattori, K.; Ishimoto, T.; Imai, K.; Doke, T.; Hagita, J.; Ariyoshi, J.; Furuhashi, K.; Kato, N.; Ito, Y.; et al. In vivo efficacy and safety of systemically administered serinol nucleic acid-modified antisense oligonucleotides in mouse kidney. Mol. Ther. Nucleic Acids 2025, 36, 102387. [Google Scholar] [CrossRef]
- Lu, Y.; Wang, R.H.; Guo, B.B.; Jia, Y.P. Quercetin inhibits angiotensin II induced apoptosis via mitochondrial pathway in human umbilical vein endothelial cells. Eur. Rev. Med. Pharmacol. Sci. 2016, 20, 1609–1616. [Google Scholar]
- Guo, H.; Ding, H.; Tang, X.; Liang, M.; Li, S.; Zhang, J.; Cao, J. Quercetin induces pro-apoptotic autophagy via SIRT1/AMPK signaling pathway in human lung cancer cell lines A549 and H1299 in vitro. Thorac. Cancer 2021, 12, 1415–1422. [Google Scholar] [CrossRef]
- Gentile, E.A.; Castronuovo, C.C.; Cuestas, M.L.; Gómez, N.; Davio, C.; Oubiña, J.R.; Mathet, V.L. F127 poloxamer effect on cytotoxicity induction of tumour cell cultures treated with doxorubicin. J. Pharm. Pharmacol. 2019, 71, 1655–1662. [Google Scholar] [CrossRef]
- Yan, Z.; Wang, Q.; Liu, X.; Peng, J.; Li, Q.; Wu, M.; Lin, J. Cationic nanomicelles derived from Pluronic F127 as delivery vehicles of Chinese herbal medicine active components of ursolic acid for colorectal cancer treatment. RSC Adv. 2018, 8, 15906–15914. [Google Scholar] [CrossRef]
- Vendel, E.; Rottschäfer, V.; de Lange, E.C.M. The need for mathematical modelling of spatial drug distribution within the brain. Fluids Barriers CNS 2019, 16, 12. [Google Scholar] [CrossRef]
- Kong, T.; Zhang, S.H.; Zhang, C.; Zhang, J.L.; Yang, F.; Wang, G.Y.; Yang, Z.J.; Bai, D.Y.; Shi, Y.Y.; Liu, T.Q.; et al. Correction to: The Effects of 50 nm Unmodified Nano-ZnO on Lipid Metabolism and Semen Quality in Male Mice. Biol. Trace Elem. Res. 2020, 194, 443. [Google Scholar] [CrossRef] [PubMed]
- Yang, H.; Wang, M.; Huang, Y.; Qiao, Q.; Zhao, C.; Zhao, M. In vitro and in vivo evaluation of a novel mitomycin nanomicelle delivery system. RSC Adv. 2019, 9, 14708–14717. [Google Scholar] [CrossRef] [PubMed]
- Akhter, K.F.; Mumin, M.A.; Lui, E.M.K.; Charpentier, P.A. Immunoengineering with Ginseng Polysaccharide Nanobiomaterials through Oral Administration in Mice. ACS Biomater. Sci. Eng. 2019, 5, 2916–2925. [Google Scholar] [CrossRef] [PubMed]
- Descotes, J.; Allais, L.; Ancian, P.; Pedersen, H.D.; Friry-Santini, C.; Iglesias, A.; Rubic-Schneider, T.; Skaggs, H.; Vestbjerg, P. Nonclinical evaluation of immunological safety in Göttingen Minipigs: The CONFIRM initiative. Regul. Toxicol. Pharmacol. 2018, 94, 271–275. [Google Scholar] [CrossRef]
- Wang, T.; Feng, X.; Li, L.; Luo, J.; Liu, X.; Zheng, J.; Fan, X.; Liu, Y.; Xu, X.; Zhou, G.; et al. Effects of quercetin on tenderness, apoptotic and autophagy signalling in chickens during post-mortem ageing. Food Chem. 2022, 383, 132409. [Google Scholar] [CrossRef]
- Gu, C.; Stashko, M.A.; Puhl-Rubio, A.C.; Chakraborty, M.; Chakraborty, A.; Frye, S.V.; Pearce, K.H.; Wang, X.; Shears, S.B.; Wang, H. Inhibition of Inositol Polyphosphate Kinases by Quercetin and Related Flavonoids: A Structure-Activity Analysis. J. Med. Chem. 2019, 62, 1443–1454. [Google Scholar] [CrossRef]
- Pandey, A.K.; Shukla, S.C.; Bhattacharya, P.; Patnaik, R. A possible therapeutic potential of quercetin through inhibition of μ-calpain in hypoxia induced neuronal injury: A molecular dynamics simulation study. Neural Regen. Res. 2016, 11, 1247–1253. [Google Scholar] [CrossRef]
- Lu, J.; Papp, L.V.; Fang, J.; Rodriguez-Nieto, S.; Zhivotovsky, B.; Holmgren, A. Inhibition of Mammalian thioredoxin reductase by some flavonoids: Implications for myricetin and quercetin anticancer activity. Cancer Res. 2006, 66, 4410–4418. [Google Scholar] [CrossRef]
- Vijayababu, M.R.; Kanagaraj, P.; Arunkumar, A.; Ilangovan, R.; Aruldhas, M.M.; Arunakaran, J. Quercetin-induced growth inhibition and cell death in prostatic carcinoma cells (PC-3) are associated with increase in p21 and hypophosphorylated retinoblastoma proteins expression. J. Cancer Res. Clin. Oncol. 2005, 131, 765–771. [Google Scholar] [CrossRef]
- Latha, R.; Rajanathan, T.M.C.; Khusro, A.; Chidambaranathan, N.; Agastian, P.; Nagarajan, S. Anticancer activity of Mahonia leschenaultii methanolic root extract and berberine on Dalton’s ascitic lymphoma in mice. Asian Pac. J. Trop. Med. 2019, 12, 264–271. [Google Scholar]
- Sun, W.; Zhao, X.; Fan, J.; Du, J.; Peng, X. Boron Dipyrromethene Nano-Photosensitizers for Anticancer Phototherapies. Small 2019, 15, e1804927. [Google Scholar] [CrossRef] [PubMed]
- Zheng, Y.; Zhang, J.; Zhang, R.; Luo, Z.; Wang, C.; Shi, S. Gold nano particles synthesized from Magnolia officinalis and anticancer activity in A549 lung cancer cells. Artif. Cells Nanomed. Biotechnol. 2019, 47, 3101–3109. [Google Scholar] [CrossRef] [PubMed]
- Cunningham, P.; Patton, E.; VanderVeen, B.N.; Unger, C.; Aladhami, A.; Enos, R.T.; Madero, S.; Chatzistamou, I.; Fan, D.; Murphy, E.A.; et al. Sub-chronic oral toxicity screening of quercetin in mice. BMC Complement. Med. Ther. 2022, 22, 279. [Google Scholar] [CrossRef] [PubMed]
- Zhao, Q.; Yang, Z.-S.; Cao, S.-J.; Chang, Y.-F.; Cao, Y.-Q.; Li, J.-B.; Yao, Z.-X.; Wen, Y.-P.; Huang, X.-B.; Wu, R.; et al. Acute oral toxicity test and assessment of combined toxicity of cadmium and aflatoxin B1 in kunming mice. Food Chem. Toxicol. 2019, 131, 110577. [Google Scholar] [CrossRef]
- Dolati, P.; Zamiri, M.J.; Akhlaghi, A.; Jahromi, Z. P–060 Dose- dependent mitigation of lead acetate toxicity in males on embryo development in female mice. Hum. Reprod. 2021, 36, deab130.059. [Google Scholar] [CrossRef]
- Wang, W.; Sun, C.; Mao, L.; Ma, P.; Liu, F.; Yang, J.; Gao, Y. The biological activities, chemical stability, metabolism and delivery systems of quercetin: A review. Trends Food Sci. Technol. 2016, 56, 21–38. [Google Scholar] [CrossRef]
- Shen, B.; Zhu, Y.; Wang, F.; Deng, X.; Yue, P.; Yuan, H.; Shen, C. Fabrication and in vitro/vivo evaluation of quercetin nanocrystals stabilized by glycyrrhizic acid for liver targeted drug delivery. Int. J. Pharm. X 2024, 7, 100246. [Google Scholar] [CrossRef]
- Hwang, S.; Koo, I.; Patterson, A.D.; Lambert, J.D. Comparative urine metabolomics of mice treated with non-toxic and toxic oral doses of (−)-epigallocatechin-3-gallate. Food Funct. 2023, 14, 9434–9445. [Google Scholar] [CrossRef]
- Akal, Z.Ü.; Alpsoy, L.; Baykal, A. Biomedical applications of SPION@APTES@PEG-folic acid@carboxylated quercetin nanodrug on various cancer cells. Appl. Surf. Sci. 2016, 378, 572–581. [Google Scholar] [CrossRef]
- Ekambaram, P.; Parasuraman, P.; Jayachandran, T. Differential regulation of pro- and antiapoptotic proteins in fish adipocytes during hypoxic conditions. Fish Physiol. Biochem. 2016, 42, 919–934. [Google Scholar] [CrossRef]
- Zhang, Y.; Xu, X.; He, P. Tubeimoside-1 inhibits proliferation and induces apoptosis by increasing the Bax to Bcl-2 ratio and decreasing COX-2 expression in lung cancer A549 cells. Mol. Med. Rep. 2011, 4, 25–29. [Google Scholar] [CrossRef] [PubMed][Green Version]
- Flores-Romero, H.; Hohorst, L.; John, M.; Albert, M.C.; King, L.E.; Beckmann, L.; Szabo, T.; Hertlein, V.; Luo, X.; Villunger, A.; et al. BCL-2-family protein tBID can act as a BAX-like effector of apoptosis. EMBO J. 2022, 41, e108690. [Google Scholar] [CrossRef] [PubMed]
- Almannai, M.; Salah, A.; El-Hattab, A.W. Mitochondrial Membranes and Mitochondrial Genome: Interactions and Clinical Syndromes. Membranes 2022, 12, 625. [Google Scholar] [CrossRef]
- Shi, S.-W.; Li, Y.-H.; Zhang, Q.-L.; Yang, S.-P.; Liu, J.-G. Targeted and NIR light-controlled delivery of nitric oxide combined with a platinum(iv) prodrug for enhanced anticancer therapy. J. Mater. Chem. B 2019, 7, 1867–1874. [Google Scholar] [CrossRef]
- Ozturk, N.; Ozturk, D.; Pala-Kara, Z.; Kaptan, E.; Sancar-Bas, S.; Ozsoy, N.; Cinar, S.; Deniz, G.; Li, X.M.; Giacchetti, S.; et al. The immune system as a chronotoxicity target of the anticancer mTOR inhibitor everolimus. Chronobiol. Int. 2018, 35, 705–718. [Google Scholar] [CrossRef]
- Miao, T.; Wang, J.; Zeng, Y.; Liu, G.; Chen, X. Polysaccharide-Based Controlled Release Systems for Therapeutics Delivery and Tissue Engineering: From Bench to Bedside. Adv. Sci. 2018, 5, 1700513. [Google Scholar] [CrossRef]
- Zhang, L.; Kuang, G.; Gong, X.; Huang, R.; Zhao, Z.; Li, Y.; Wan, J.; Wang, B. Piperine attenuates hepatic ischemia/reperfusion injury via suppressing the TLR4 signaling cascade in mice. Transpl. Immunol. 2024, 84, 102033. [Google Scholar] [CrossRef]
- He, Z.; Zhang, L.; Li, Z.; Gao, X.; Zhang, Y.; Gao, F. Quantitative Detection of Orthotopic Liver Cancer in Mice Using Indocyanine Green and Dynamic Diffuse Fluorescence Tomography Imaging. J. Biophotonics 2025, e70003. [Google Scholar] [CrossRef]











| Parameters | Heart (%) | Liver (%) | Spleen (%) | Lungs (%) | Kidney (%) |
|---|---|---|---|---|---|
| Control | 0.48 ± 0.04 a | 4.14 ± 0.15 a | 0.32 ± 0.08 a | 0.83 ± 0.10 a | 1.41 ± 0.22 a |
| 20 mg/kg | 0.52 ± 0.08 a | 3.86 ± 0.18 a | 0.34 ± 0.06 a | 0.85 ± 0.09 a | 1.34 ± 0.14 a |
| 100 mg/kg | 0.54 ± 0.11 a | 4.24 ± 0.31 a | 0.31 ± 0.08 a | 0.79 ± 0.06 a | 1.37 ± 0.11 a |
| 500 mg/kg | 0.51 ± 0.06 a | 4.21 ± 0.22 a | 0.35 ± 0.05 a | 0.76 ± 0.07 a | 1.43 ± 0.15 a |
| Parameters | Control | 20 mg/kg | 100 mg/kg | 500 mg/kg |
|---|---|---|---|---|
| Hematological parameters of mice | ||||
| HCT (LL) | 0.51 ± 0.08 a | 0.55 ± 0.09 ab | 0.58 ± 0.03 b | 0.54 ± 0.04 ab |
| HGB (g/L) | 151.00 ± 8.00 a | 158.00 ± 9.00 ab | 159.00 ± 7.00 b | 162.00 ± 9.00 b |
| LYC (109/L) | 2.75 ± 0.18 a | 3.46 ± 0.89 b | 2.88 ± 0.50 a | 2.96 ± 0.41 a |
| MCH (pg) | 14.50 ± 0.60 a | 14.90 ± 0.90 a | 15.10 ± 0.70 a | 14.80 ± 0.40 a |
| MCV (fL) | 52.70 ± 1.10 a | 52.50 ± 1.90 a | 53.40 ± 1.30 a | 53.10 ± 1.40 a |
| NE (109/L) | 0.45 ± 0.08 a | 0.43 ± 0.09 a | 0.39 ± 0.07 a | 0.41 ± 0.14 a |
| RBC (1012/L) | 10.52 ± 0.58 a | 10.48 ± 0.69 a | 10.75 ± 0.43 a | 10.89 ± 0.77 a |
| WBC (109/L) | 2.35 ± 0.22 a | 3.75 ± 1.09 b | 2.77 ± 0.49 a | 2.85 ± 0.38 a |
| Biochemical parameters of mice | ||||
| ALB (g/L) | 35.10 ± 4.80 a | 34.80 ± 3.90 a | 36.90 ± 4.70 a | 36.20 ± 2.90 a |
| CHOL (mmol/L) | 5.35 ± 0.12 a | 4.95 ± 0.61 b | 5.77 ± 0.48 a | 5.85 ± 0.43 a |
| GLOB (g/L) | 23.54 ± 1.58 a | 22.88 ± 2.69 a | 22.74 ± 2.43 a | 23.69 ± 3.27 a |
| TBIL (μmol/L) | 4.50 ± 1.20 a | 4.30 ± 0.90 a | 3.90 ± 0.80 a | 4.10 ± 0.60 a |
| TG (mmol/L) | 1.78 ± 0.23 a | 1.54 ± 0.43 b | 1.64 ± 0.37 ab | 1.75 ± 0.17 a |
| TP (g/L) | 59.70 ± 1.80 a | 58.30 ± 1.90 a | 58.40 ± 1.50 a | 60.10 ± 1.40 b |
Disclaimer/Publisher’s Note: The statements, opinions and data contained in all publications are solely those of the individual author(s) and contributor(s) and not of MDPI and/or the editor(s). MDPI and/or the editor(s) disclaim responsibility for any injury to people or property resulting from any ideas, methods, instructions or products referred to in the content. |
© 2025 by the authors. Licensee MDPI, Basel, Switzerland. This article is an open access article distributed under the terms and conditions of the Creative Commons Attribution (CC BY) license (https://creativecommons.org/licenses/by/4.0/).
Share and Cite
Sun, Y.; Cong, K.; Wang, T.; Li, X.; Li, T.; Fan, G.; Zhou, D.; Wu, C. Quercetin-Loaded Ginkgo Starch Nanoparticles: A Promising Strategy to Improve Bioactive Delivery and Cellular Homeostasis in Functional Foods. Foods 2025, 14, 1890. https://doi.org/10.3390/foods14111890
Sun Y, Cong K, Wang T, Li X, Li T, Fan G, Zhou D, Wu C. Quercetin-Loaded Ginkgo Starch Nanoparticles: A Promising Strategy to Improve Bioactive Delivery and Cellular Homeostasis in Functional Foods. Foods. 2025; 14(11):1890. https://doi.org/10.3390/foods14111890
Chicago/Turabian StyleSun, Yanyu, Kaiping Cong, Tao Wang, Xiaojing Li, Tingting Li, Gongjian Fan, Dandan Zhou, and Caie Wu. 2025. "Quercetin-Loaded Ginkgo Starch Nanoparticles: A Promising Strategy to Improve Bioactive Delivery and Cellular Homeostasis in Functional Foods" Foods 14, no. 11: 1890. https://doi.org/10.3390/foods14111890
APA StyleSun, Y., Cong, K., Wang, T., Li, X., Li, T., Fan, G., Zhou, D., & Wu, C. (2025). Quercetin-Loaded Ginkgo Starch Nanoparticles: A Promising Strategy to Improve Bioactive Delivery and Cellular Homeostasis in Functional Foods. Foods, 14(11), 1890. https://doi.org/10.3390/foods14111890

