Baccharis dracunculifolia DC Consumption Improves Nociceptive and Depressive-like Behavior in Rats with Experimental Osteoarthritis
Abstract
1. Introduction
2. Materials and Methods
2.1. Plant Material
2.2. HPLC-DAD and UPLC-ESI-QTOF-MS Analysis
2.3. In Vivo Assay of the Pharmacological Potential of B. dracunculifolia
2.3.1. Ethical Considerations and Handling
2.3.2. Anesthesia and Euthanasia
2.3.3. Ovariectomy
2.3.4. OA Induction
2.3.5. Drug Preparation and Administration
2.4. Behavioral Analysis
2.4.1. Pressure Application Measurement (PAM)
2.4.2. Open Field Test (OFT)
2.4.3. Forced Swimming Test (FST)
2.4.4. Sucrose Preference Test (SPT)
2.5. Histological Processing and Analysis of the Internal Organs
2.6. Brain Processing and Immunohistochemistry for IBA-1
2.7. Experimental Design
2.8. Statistical/DATA Analysis
3. Results
3.1. B. dracunculifolia Extract Phytochemical Composition
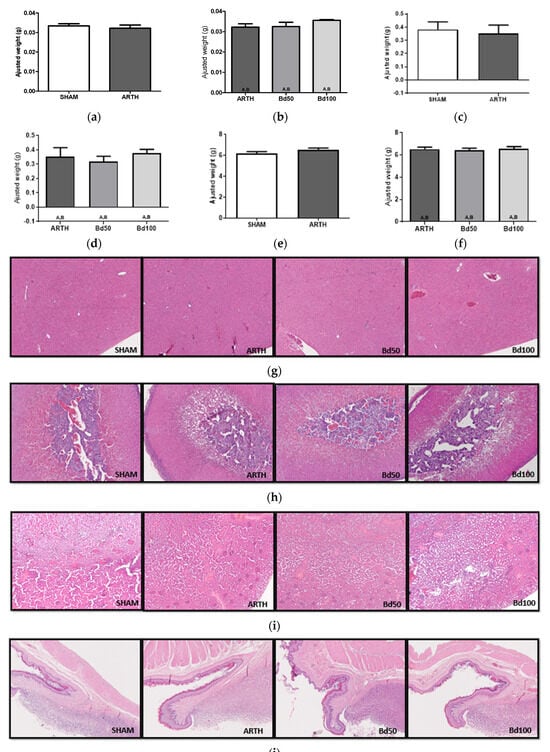
3.2. Animal Welfare
3.3. Pressure Application Measurement (PAM)
3.4. Open Field Test (FST)
3.5. Forced Swimming Test (FST)
3.6. Sucrose Preference Test (SPT)
3.7. Correlation Data
3.8. Immunohistochemistry Staining
4. Discussion
4.1. B. dracunculifolia Extract Phytochemical Composition
4.2. Animal Well-Being
4.3. Treatment with B. dracunculifolia Decreases Mechanical Hyperalgesia
4.4. B. dracunculifolia Treatment Does Not Alter Anxiety-like Behavior
4.5. B. dracunculifolia Treatment Reversed Depressive-like Behavior
4.6. OA Animals Display Increased M1 Microglial Cells
5. Conclusions
Author Contributions
Funding
Institutional Review Board Statement
Informed Consent Statement
Data Availability Statement
Conflicts of Interest
References
- Katz, N. The impact of pain management on quality of life. J. Pain Symptom Manag. 2002, 24, 38–47. [Google Scholar] [CrossRef] [PubMed]
- Fonseca-Rodrigues, D.; Rodrigues, A.; Martins, T.; Pinto, J.; Amorim, D.; Almeida, A.; Pinto-Ribeiro, F. Correlation between pain severity and levels of anxiety and depression in osteoarthritis patients: A systematic review and meta-analysis. Rheumatology 2022, 61, 53–75. [Google Scholar] [CrossRef] [PubMed]
- Bair, M.; Robinson, R.; Katon, W.; Kroenke, K. Depression and pain comorbidity: A literature review. JAMA 2003, 163, 2433–2445. [Google Scholar] [CrossRef]
- Hawker, G.A.; Gignac, M.A.; Badley, E.; Davis, A.M.; French, M.R.; Li, Y.; Perruccio, A.V.; Power, J.D.; Sale, J.; Lou, W. A longitudinal study to explain the pain—Depression link in older adults with osteoarthritis. Arthritis Care Res. 2011, 63, 1382–1390. [Google Scholar] [CrossRef]
- Taylor, A.M.W.; Mehrabani, S.; Liu, S.; Taylor, A.J.; Cahill, C.M. Topography of microglial activation in sensory- and affect-related brain regions in chronic pain. J. Neurosci. Res. 2017, 95, 1330–1335. [Google Scholar] [CrossRef]
- Kessler, R.C.; Berglund, P.; Demler, O.; Jin, R.; Koretz, D.; Merikangas, K.R.; Rush, J.; Walters, E.E.; Wang, P.S. The epidemiology of major depressive disorder results from the National Comorbidity Survey Replication (NCS-R). JAMA 2003, 289, 3095–3105. [Google Scholar] [CrossRef]
- Fillingim, R.; King, C.; Ribeiro-Da Silva, M.C.; Rahim-Williams, B.; Riley, J.L., 3rd. Sex, gender, and pain: A review of recent clinical and experimental findings. J. Pain 2009, 10, 447–485. [Google Scholar] [CrossRef]
- Nakagawa, Y.; Chiba, K. Role of microglial M1/M2 polarization in relapse and remission of psychiatric disorders and diseases. Pharmaceuticals 2014, 7, 1028–1048. [Google Scholar] [CrossRef]
- Chai, M.; Su, G.; Gao, J.; Chen, W.; Wu, Q.; Dong, Y.; Wang, H.; Chen, D.; Li, Y.; Gao, X.; et al. Molecular mechanism of the protective effects of M2 microglia on neurons: A review focused on exosomes and secretory proteins. Neurochem. Res. 2022, 47, 3556–3564. [Google Scholar] [CrossRef] [PubMed]
- Wang, H.; He, Y.; Sun, Z.; Ren, S.; Liu, M.; Wang, G.; Yang, J. Microglia in depression: An overview of microglia in the pathogenesis and treatment of depression. J. Neuroinflammation 2022, 19, 132. [Google Scholar] [CrossRef] [PubMed]
- Rodrigues, C.R.; Dias, J.H.; Semedo, J.G.; Silva, J.; Ferraz, A.B.; Picada, J.N. Mutagenic and genotoxic effects of Baccharis dracunculifolia (DC). J. Ethnopharmacol. 2009, 124, 321–324. [Google Scholar] [CrossRef] [PubMed]
- Salmon, J.W. Alternative Medicines: Popular and Policy Perspectives, 1st ed.; Taylor & Francis: London, UK, 2022; p. 328. [Google Scholar]
- Elizabeth, L.; Machado, P.; Zinöcker, M.; Baker, P.; Lawrence, M. Ultra-processed foods and health outcomes: A narrative review. Nutrients 2020, 12, 1955. [Google Scholar] [CrossRef]
- Galanakis, C.M. The “vertigo” of the food sector within the triangle of climate change, the post-pandemic world, and the Russian-Ukrainian war. Foods 2023, 12, 721. [Google Scholar] [CrossRef]
- Baker, M.T.; Lu, P.; Parrella, J.A.; Leggette, H.R. Consumer acceptance toward functional foods: A scoping review. Int. J. Environ. Res. Public Health 2022, 19, 1217. [Google Scholar] [CrossRef] [PubMed]
- Filho, A.A.D.S.; de Sousa, J.P.; Soares, S.; Furtado, N.A.; Andrade e Silva, M.L.; Cunha, W.R.; Gregório, L.E.; Nanayakkara, N.P.D.; Bastos, J.K. Antimicrobial activity of the extract and isolated compounds from Baccharis dracunculifolia D. C. (Asteraceae). Z. Naturforschung C J. Biosci. 2008, 63, 40–46. [Google Scholar] [CrossRef] [PubMed]
- Rezende, T.P.; Corrêa, J.O.D.A.; Aarestrup, B.J.; Aarestrup, F.M.; De Sousa, O.V.; da Silva Filho, A.A. Protective Effects of Baccharis dracunculifolia Leaves Extract against Carbon Tetrachloride-and Acetaminophen-Induced Hepatotoxicity in Experimental Animals. Molecules 2014, 19, 9257–9272. [Google Scholar] [CrossRef]
- Guimarães, N.S.; Mello, J.C.; Paiva, J.S.; Bueno, P.C.; Berretta, A.A.; Torquato, R.J.; Nantes, I.L.; Rodrigues, T. Baccharis dracunculifolia, the main source of green propolis, exhibits potent antioxidant activity and prevents oxidative mitochondrial damage. Food Chem. Toxicol. 2012, 50, 1091–1097. [Google Scholar] [CrossRef]
- Rodrigues, D.M.; De Souza, M.C.; Arruda, C.; Pereira, R.A.S.; Bastos, J.K. The role of Baccharis dracunculifolia and its chemical profile on green propolis production by Apis mellifera. J. Chem. Ecol. 2020, 46, 150–162. [Google Scholar] [CrossRef]
- Park, Y.K.; Paredes-Guzman, J.F.; Aguiar, C.L.; Alencar, S.M.; Fujiwara, F.Y. Chemical constituents in Baccharis dracunculifolia as the main botanical origin of southeastern Brazilian propolis. J. Agric. Food Chem. 2004, 52, 1100–1103. [Google Scholar] [CrossRef]
- Kumazawa, S.; Yoneda, M.; Shibata, I.; Kanaeda, J.; Hamasaka, T.; Nakayama, T. Direct evidence for the plant origin of Brazilian propolis by the observation of honeybee behavior and phytochemical analysis. Chem. Pharm. Bull. 2003, 51, 740–742. [Google Scholar] [CrossRef]
- Nakanishi, I.; Uto, Y.; Ohkubo, K.; Miyazaki, K.; Yakumaru, H.; Urano, S.; Okuda, H.; Ueda, J.; Ozawa, T.; Fukuhara, K.; et al. Efficient radical scavenging ability of artepillin C, a major component of Brazilian propolis, and the mechanism. Org. Biomol. Chem. 2003, 1, 1452–1454. [Google Scholar] [CrossRef]
- Ritter, M.R.; Christ, A.L.; Zevieski, A.; Fülber, M. An Overview of the Cultural and Popular Use of Baccharis. In Baccharis; Fernandes, G.W., Oki, Y., Barbosa, M., Eds.; Springer: Cham, Switzerland, 2021. [Google Scholar] [CrossRef]
- Bonin, E.; Carvalho, V.M.; Avila, V.D.; dos Santos, N.C.A.; Zanqueta, É.B.; Lancheros, C.A.C.; Previdelli, I.T.S.; Ueda-Nakamura, T.; Filho, B.A.A.; Prado, I.N. Baccharis dracunculifolia: Chemical constituents, cytotoxicity and antimicrobial activity. LWT 2020, 120, 108920. [Google Scholar] [CrossRef]
- Salazar, G.J.T.; Sousa, J.P.; Lima, C.N.F.; Lemos, I.C.S.; Silva, A.R.P.; Freitas, T.S.; Coutinho, H.D.M.; Silva, L.E.; Amaral, W.; Deschamps, C. Phytochemical characterization of the Baccharis dracunculifolia DC (Asteraceae) essential oil and antibacterial activity evaluation. Ind. Crops Prod. 2018, 122, 591–595. [Google Scholar] [CrossRef]
- Silva, L.A.; Malfatti, C.R.M.; Penteado, R.; Brasil, M.R.; Soares, K.C.N. Immunomodulation and anti-inflammatory effects of Baccharis dracunculifolia and Brazilian Green Propolis: A integrative literature review. Res. Soc. Dev. 2022, 11, e183111133358. [Google Scholar] [CrossRef]
- Dias, A.C.P.; Seabra, R.M.; Andrade, P.B.; Fernandes-Ferreira, M. The development and evaluation of an hplc-dad method for the analysis of the phenolic fractions from in vivo and in vitro biomass of hypericum species. J. Liq. Chromatogr. Relat. Technol. 2007, 22, 215–227. [Google Scholar] [CrossRef]
- David-Pereira, A.; Puga, S.; Gonçalves, S.; Amorim, D.; Silva, C.; Pertovaara, A.; Almeida, A.; Pinto-Ribeiro, F. Metabotropic glutamate 5 receptor in the infralimbic cortex contributes to descending pain facilitation in healthy and arthritic animals. Neuroscience 2016, 312, 108–119. [Google Scholar] [CrossRef]
- Lasota, A.; Danowska-Klonowska, D. Experimental osteoporosis-different methods of ovariectomy in female white rats. Rocz. Akad. Med. Bialymst. 2004, 49, 129–131. [Google Scholar] [PubMed]
- Pinto-Ribeiro, F.; Amorim, D.; David-Pereira, A.; Monteiro, A.M.; Costa, P.; Pertovaara, A.; Almeida, A. Pronociception from the dorsomedial nucleus of the hypothalamus is mediated by the rostral ventromedial medulla in healthy controls but is absent in arthritic. Brain Res. Bull. 2013, 99, 100–108. [Google Scholar] [CrossRef] [PubMed]
- Amorim, D.; David-Pereira, A.; Pertovaara, A.; Almeida, A.; Pinto-Ribeiro, F. Amitriptyline reverses hyperalgesia and improves associated mood-like disorders in a model of experimental monoarthritis. Brain Res. Bull. 2014, 265, 12–21. [Google Scholar] [CrossRef] [PubMed]
- Rénéric, J.; Bouvard, M.; Stinus, L. In the rat forced swimming test, chronic but not subacute administration of dual 5-HT/NA antidepressant treatments may produce greater effects than selective. Brain Res. Bull. 2002, 136, 521–532. [Google Scholar] [CrossRef] [PubMed]
- Fonseca-Rodrigues, D.; Gonçalves, J.; Laranjeira, I.; Almeida, A.; Pinto-Ribeiro, F. Sucrose intake and preference by Wistar Han rats are not influenced by sex or food/water deprivation. Pharmacol. Biochem. Behav. 2022, 216, 173387. [Google Scholar] [CrossRef]
- Oliveira, J.M.; Kotobuki, N.; Tadokoro, M.; Hirose, M.; Mano, J.F.; Reis, R.L.; Ohgushi, H. Ex vivo culturing of stromal cells with dexamethasone-loaded carboxymethylchitosan/poly (amidoamine) dendrimer nanoparticles promotes ectopic bone formation. Bone 2010, 46, 1424–1435. [Google Scholar] [CrossRef]
- Amorim, D.; David-Pereira, A.; Marques, P.; Puga, S.; Rebelo, P.; Costa, P.; Pertovaara, A.; Almeida, A.; Pinto-Ribeiro, F. A role of supraspinal galanin in behavioural hyperalgesia in the rat. PLoS ONE 2014, 9, e113077. [Google Scholar] [CrossRef]
- Amorim, D.; Fonseca-Rodrigues, D.; David-Pereira, A.; Costa, O.; Lima, A.P.; Nogueira, R.; Cruz, R.; Martins, A.S.; Sousa, L.; Oliveira, H.; et al. Injection of kaolin/carrageenan in the rat knee joint induces progressive experimental knee osteoarthritis. Pain 2023, 11, 2477–2490. [Google Scholar] [CrossRef]
- Kreutzberg, G. Microglia: A sensor for pathological events in the CNS. Trends Neuroscsi. 1996, 19, 312–318. [Google Scholar] [CrossRef]
- Jaiswal, R.; Müller, H.; Müller, A.; Karar, M.G.E.; Kuhnert, N. Identification and characterization of chlorogenic acids, chlorogenic acid glycosides and flavonoids from Lonicera henryi L. (Caprifoliaceae) leaves by LC–MSn. Phytochemistry 2014, 108, 252–263. [Google Scholar] [CrossRef] [PubMed]
- Midorikawa, K.; Banskota, A.H.; Tezuka, Y.; Nagaoka, T.; Matsushige, K.; Message, D.; Huertas, A.A.G.; Kadota, S. Liquid chromatography–mass spectrometry analysis of propolis. Phytochem. Anal. 2001, 12, 366–373. [Google Scholar] [CrossRef] [PubMed]
- Zhang, C.; Shen, X.; Chen, J.; Jiang, X.; Hu, F. Identification of free radical scavengers from Brazilian green propolis using off-line HPLC-DPPH assay and LC-MS. J. Food Sci. 2017, 82, 1602–1607. [Google Scholar] [CrossRef] [PubMed]
- Gardana, C.; Scaglianti, M.; Pietta, P.; Simonetti, P. Analysis of the polyphenolic fraction of propolis from different sources by liquid chromatography–tandem mass spectrometry. J. Pharm. Biomed. Anal. 2007, 45, 390–399. [Google Scholar] [CrossRef] [PubMed]
- Costa, P.; Almeida, M.O.; Lemos, M.; Arruda, C.; Casoti, R.; Somensi, L.B.; Boeing, T.; Mariott, M.; da Silva, R.dC.M.V.dA.F.; Stein, B.P.; et al. Artepillin C, drupanin, aromadendrin-4′-O-methyl-ether and kaempferide from Brazilian green propolis promote gastroprotective action by diversified mode of action. J. Ethnopharmacol. 2018, 226, 82–89. [Google Scholar] [CrossRef] [PubMed]
- Albuquerque, B.R.; Heleno, S.A.; Oliveira, M.B.P.; Barros, L.; Ferreira, I.C. Phenolic compounds: Current industrial applications, limitations and future challenges. Food Funct. 2021, 12, 14–29. [Google Scholar] [CrossRef]
- Liu, W.; Li, J.; Zhang, X.; Zu, Y.; Yang, Y.; Liu, W.; Xu, Z.; Gao, H.; Sun, X.; Jiang, X.; et al. Current advances in naturally occurring caffeoylquinic acids: Structure, bioactivity, and synthesis. J. Agric. Food Chem. 2020, 68, 10489–10516. [Google Scholar] [CrossRef]
- Boulebd, H.; Carmena-Bargueño, M.; Pérez-Sánchez, H. Exploring the antioxidant properties of caffeoylquinic and feruloylquinic acids: A computational study on hydroperoxyl radical scavenging and xanthine oxidase inhibition. Antioxidants 2023, 12, 1669. [Google Scholar] [CrossRef]
- Segheto, L.; Santos, B.C.S.; Werneck, A.F.L.; Vilela, F.M.P.; de Sousa, O.V.; Rodarte, M.P. Antioxidant extracts of coffee leaves and its active ingredient 5-caffeoylquinic acid reduce chemically induced inflammation in mice. Ind. Crops Prod. 2018, 126, 48–57. [Google Scholar] [CrossRef]
- Lodise, O.; Patil, K.; Karshenboym, I.; Prombo, S.; Chukwueke, C.; Pai, S.B. Inhibition of prostate cancer cells by 4, 5-dicaffeoylquinic acid through cell cycle arrest. Prostate Cancer 2019, 2019, 4520645. [Google Scholar] [CrossRef]
- Akram, M.; Riaz, M.; Wadood, A.W.C.; Hazrat, A.; Mukhtiar, M.; Ahmad Zakki, S.; Daniyal, M.; Shariati, M.A.; Khan, F.S.; Zainab, R. Medicinal plants with anti-mutagenic potential. Biotechnol. Biotechnol. Equip. 2020, 34, 309–318. [Google Scholar] [CrossRef]
- Yoshimoto, M.; Yahara, S.; Okuno, S.; Islam, M.S.; Ishiguro, K.; Yamakawa, O. Antimutagenicity of mono-, di-, and tricaffeoylquinic acid derivatives isolated from sweetpotato (Ipomoea batatas L.) leaf. Biosci. Biotechnol. Biochem. 2002, 66, 2336–2341. [Google Scholar] [CrossRef] [PubMed]
- Chen, L.; Liu, D.N.; Wang, Y.; Liu, X.Y.; Han, S.; Zhang, K.; Li, G.; Tian, X.; Wang, H.; Wang, J.H. Treatment with MQA, a derivative of caffeoylquinic acid, provides neuroprotective effects against cerebral ischemia through suppression of the p38 pathway and oxidative stress in rats. J. Mol. Neurosci. 2019, 67, 604–612. [Google Scholar] [CrossRef] [PubMed]
- Wu, C.; Zhang, X.; Zhang, X.; Luan, H.; Sun, G.; Sun, X.; Wang, X.; Guo, P.; Xu, X. The caffeoylquinic acid-rich Pandanus tectorius fruit extract increases insulin sensitivity and regulates hepatic glucose and lipid metabolism in diabetic db/db mice. J. Nutr. Biochem. 2014, 25, 412–419. [Google Scholar] [CrossRef] [PubMed]
- Spínola, V.; Castilho, P.C. Evaluation of Asteraceae herbal extracts in the management of diabetes and obesity. Contribution of caffeoylquinic acids on the inhibition of digestive enzymes activity and formation of advanced glycation end-products (in vitro). Phytochemistry 2017, 143, 29–35. [Google Scholar] [CrossRef] [PubMed]
- Kim, J.Y.; Lee, H.K.; Seong, Y.H. Anti-nociceptive and anti-inflammatory properties of ilex latifolia and its active component, 3, 5-di-caffeoyl quinic acid methyl ester. Nat. Prod. Sci. 2019, 25, 64–71. [Google Scholar] [CrossRef]
- dos Santos, M.D.; Gobbo-Neto, L.; Albarella, L.; de Souza, G.E.P.; Lopes, N.P. Analgesic activity of di-caffeoylquinic acids from roots of Lychnophora ericoides (Arnica da serra). J. Ethnopharmacol. 2005, 96, 545–549. [Google Scholar] [CrossRef] [PubMed]
- Abo-Salem, O.M. Kaempferol attenuates the development of diabetic neuropathic pain in mice: Possible anti-inflammatory and anti-oxidant mechanisms. OA Maced. J. Med. Sci. 2014, 2, 424–430. [Google Scholar] [CrossRef]
- do Nascimento, J.E.T.; de Morais, S.M.; Lisboa, D.S.; Sousa, M.O.; Santos, S.A.A.R.; Magalhães, F.E.A.; Campos, A.R. The orofacial antinociceptive effect of Kaempferol-3-O-rutinoside, isolated from the plant Ouratea fieldingiana, on adult zebrafish (Danio rerio). Biomed. Pharmacother. 2018, 107, 1030–1036. [Google Scholar] [CrossRef] [PubMed]
- De Melo, G.O.; Malvar, D.D.C.; Vanderlinde, F.A.; Rocha, F.F.; Pires, P.A.; Costa, E.A.; Matos, L.; Kaiser, C.; Costa, S.S. Antinociceptive and anti-inflammatory kaempferol glycosides from Sedum dendroideum. J. Ethnopharmacol. 2009, 124, 228–232. [Google Scholar] [CrossRef] [PubMed]
- Sireeratawong, S.; Jaijoy, K.; Khonsung, P.; Lertprasertsuk, N.; Ingkaninan, K. Acute and chronic toxicities of Bacopa monnieri extract in Sprague-Dawley rats. BMC Complement. Med. 2016, 16, 249. [Google Scholar] [CrossRef] [PubMed]
- Radhakrishnan, R.; Moore, S.; Sluka, K. Unilateral carrageenan injection into muscle or joint induces chronic bilateral hyperalgesia in rats. Pain 2003, 104, 567–577. [Google Scholar] [CrossRef] [PubMed]
- Singh, J.A.; Tugwell, P.; Zanoli, G.; Wells, G.A. Total joint replacement surgery for knee osteoarthritis and other non-traumatic diseases: A network meta-analysis. Cochrane Database Syst. Rev. 2015, 9, CD011765. [Google Scholar] [CrossRef]
- Panchal, N.K.; Sabina, E.P. Non-steroidal anti-inflammatory drugs (NSAIDs): A current insight into its molecular mechanism eliciting organ toxicities. Food Chem. Toxicol. 2023, 172, 113598. [Google Scholar] [CrossRef]
- Bennell, K.; Hunter, D.; Hinman, R.S. Management of osteoarthritis of the knee. BMJ Clin. Evid. 2012, 345, e4934. [Google Scholar] [CrossRef]
- Briem, K.; Axe, M.J.; Snyder-Mackler, L. Medial knee joint loading increases in those who respond to hyaluronan injection for medial knee osteoarthritis. J. Orthop. Res. 2009, 27, 1420–1425. [Google Scholar] [CrossRef]
- Khanna, D.; Sethi, G.; Ahn, K.S.; Pandey, M.K.; Kunnumakkara, A.B.; Sung, B.; Aggarwall, A.; Aggarwal, B.B. Natural products as a gold mine for arthritis treatment. Curr. Opin. Pharmacol. 2009, 7, 344–351. [Google Scholar] [CrossRef] [PubMed]
- dos Santos, D.A.; Fukui, M.D.J.; Nanayakkara, N.D.; Khan, S.I.; Sousa, J.P.B.; Bastos, J.K.; Andrade, S.F.; Filho, A.A.S.; Quintão, N.L. Anti-inflammatory and antinociceptive effects of Baccharis dracunculifolia DC (Asteraceae) in different experimental models. J. Ethnopharmacol. 2010, 127, 543–550. [Google Scholar] [CrossRef] [PubMed]
- Laranjeira, I.M.; Gonçalves, J.N.D.; Gonçalves, C.; Silva, M.; Mouta, N.; Dias, A.C.P.; Pinto-Ribeiro, F. Anti-Inflammatory effect of Pterospartum tridentatum leaf extract in acute and chronic inflammation. Appl. Sci. 2023, 13, 4494. [Google Scholar] [CrossRef]
- Yalcin, I.; Bohren, Y.; Waltisperger, E.; Sage-Ciocca, D.; Yin, J.C.; Freund-Mercier, M.J.; Barrot, M. A time-dependent history of mood disorders in a murine model of neuropathic pain. Biol. Psychiatry 2011, 70, 946–953. [Google Scholar] [CrossRef] [PubMed]
- Reis, J.S.; Oliveira, G.B.; Monteiro, M.C.; Machado, C.S.; Torres, Y.R.; Prediger, R.D.; Maia, C.S. Antidepressant-and anxiolytic-like activities of an oil extract of propolis in rats. Phytomedicine 2014, 21, 1466–1472. [Google Scholar] [CrossRef] [PubMed]
- Bouayed, J. Polyphenols: A Potential New Strategy for the Prevention and Treatment of Anxiety and Depression. Curr. Nutr. Food Sci. 2010, 6, 13–18. [Google Scholar] [CrossRef]
- Woo, T.; Lau, L.; Cheng, N.; Chan, P.; Tan, K.; Gardner, A. Efficacy of oral collagen in joint pain-osteoarthritis and rheumatoid arthritis. J. Arthritis 2017, 6, 233. [Google Scholar] [CrossRef]
- Lee, M.S.; Kim, Y.H.; Park, W.S.; Ahn, W.G.; Park, O.K.; Kwon, S.H.; Morita, K.; Shim, I.; Her, S. Novel antidepressant-like activity of propolis extract mediated by enhanced glucocorticoid receptor function in the hippocampus. Evid.-Based Complement Alternat. Med. eCAM 2013, 2013, 217853. [Google Scholar] [CrossRef]
- Ramaker, M.; Dulawa, S. Identifying fast-onset antidepressants using rodent models. Mol. Psychiatry 2017, 22, 656–665. [Google Scholar] [CrossRef]
- Thakur, M.; Rahman, W.; Hobbs, C.; Dickenson, A.H.; Bennett, D.L.H. Characterisation of a peripheral neuropathic component of the rat monoiodoacetate model of osteoarthritis. PLoS ONE 2012, 7, e33730. [Google Scholar] [CrossRef]
- Tozaki-Saitoh, H.; Tsuda, M. Microglia-neuron interactions in the models of neuropathic pain. Biochem. Pharmacol. 2019, 169, 113614. [Google Scholar] [CrossRef]
- Malfait, A.; Schnitzer, T. Towards a mechanism-based approach to pain management in osteoarthritis. Nat. Rev. Rheumatol. 2013, 9, 654–664. [Google Scholar] [CrossRef]
- Bielecka, A.M.; Paul-Samojedny, M.; Obuchowicz, E. Moclobemide exerts anti-inflammatory effect in lipopolysaccharide-activated primary mixed glial cell culture. Naunyn-Schmiedebergs Arch. Pharmacol. 2010, 382, 409–417. [Google Scholar] [CrossRef] [PubMed]
- Munshi, S.; Loh, M.K.; Ferrara, N.; DeJoseph, M.R.; Ritger, A.; Padival, M.; Record, M.J.; Urban, J.H.; Rosenkranz, J.A. Repeated stress induces a pro-inflammatory state, increases amygdala neuronal and microglial activation, and causes anxiety in adult male rats. Brain Behav. Immun. 2020, 84, 180–199. [Google Scholar] [CrossRef] [PubMed]
- Li, B.; Yang, W.; Ge, T.; Wang, Y.; Cui, R. Stress induced microglial activation contributes to depression. Pharmacol. Res. 2022, 179, 106145. [Google Scholar] [CrossRef] [PubMed]







| Peak | Compound | m/z Experimental | ʎmax (nm) | Formula | mg/mg | Reference |
|---|---|---|---|---|---|---|
| 34 | 5-caffeoylquinic acid | 353.0877 | 324 | C16H8O9 | 8.2 | [38] |
| 36 | Caffeic acid | 179.0334 | 325 | C9H8O4 | 7.5 | [39,40,41] |
| 37 | Coumaric acid | 163.0397 | 308 | C9H8O3 | 1.8 | [39,40,41] |
| 41 | 3,4-dicaffeoylquinic acid | 515.1212 | 327 | C25H24O12 | 97.6 | [39] |
| 42 | 3,5-dicaffeoylquinic acid | 515.1212 | 327 | C25H24O12 | 17.0 | [39,40] |
| 43 | 4,5-dicaffeoylquinic acid | 515.1212 | 327 | C25H24O12 | 77.6 | [40] |
| 49 | 3,4,5-tricaffeoylquinic acid | 677.1562 | 327 | C34H30O15 | 18.4 | [40,41] |
| 55 | Aromadendrin 4-methyl ether | 301.0708 | 260, 341 | C16H14O6 | 1.5 | [42] |
| 56 | Kaempferol | 285.0751 | 264, 365 | C15H10O6 | 7.5 | [39,40,41] |
| 65 | Kaempferide | 300.0634 | 264, 360 | C16H12O6 | 22.3 | [39,40,41,42] |
Disclaimer/Publisher’s Note: The statements, opinions and data contained in all publications are solely those of the individual author(s) and contributor(s) and not of MDPI and/or the editor(s). MDPI and/or the editor(s) disclaim responsibility for any injury to people or property resulting from any ideas, methods, instructions or products referred to in the content. |
© 2024 by the authors. Licensee MDPI, Basel, Switzerland. This article is an open access article distributed under the terms and conditions of the Creative Commons Attribution (CC BY) license (https://creativecommons.org/licenses/by/4.0/).
Share and Cite
Laranjeira, I.M.; Apolinário, E.; Amorim, D.; da Silva Filho, A.A.; Dias, A.C.P.; Pinto-Ribeiro, F. Baccharis dracunculifolia DC Consumption Improves Nociceptive and Depressive-like Behavior in Rats with Experimental Osteoarthritis. Foods 2024, 13, 535. https://doi.org/10.3390/foods13040535
Laranjeira IM, Apolinário E, Amorim D, da Silva Filho AA, Dias ACP, Pinto-Ribeiro F. Baccharis dracunculifolia DC Consumption Improves Nociceptive and Depressive-like Behavior in Rats with Experimental Osteoarthritis. Foods. 2024; 13(4):535. https://doi.org/10.3390/foods13040535
Chicago/Turabian StyleLaranjeira, Inês Martins, Elisabete Apolinário, Diana Amorim, Ademar Alves da Silva Filho, Alberto Carlos Pires Dias, and Filipa Pinto-Ribeiro. 2024. "Baccharis dracunculifolia DC Consumption Improves Nociceptive and Depressive-like Behavior in Rats with Experimental Osteoarthritis" Foods 13, no. 4: 535. https://doi.org/10.3390/foods13040535
APA StyleLaranjeira, I. M., Apolinário, E., Amorim, D., da Silva Filho, A. A., Dias, A. C. P., & Pinto-Ribeiro, F. (2024). Baccharis dracunculifolia DC Consumption Improves Nociceptive and Depressive-like Behavior in Rats with Experimental Osteoarthritis. Foods, 13(4), 535. https://doi.org/10.3390/foods13040535

