Hepatoprotective, Lipid-Lowering and Antioxidant Effects of Mangaba Powder (Hancornia speciosa) Administered to Rats Fed a High-Fat Diet
Abstract
1. Introduction
2. Materials and Methods
2.1. Acquisition and Preparation of Mangaba Powder (Hancornia speciosa)
2.2. Analyses of Bioactive Compounds and Nutritional Parameters of Mangaba Powder
2.3. Experimental Design
2.4. Somatic Parameters and Euthanasia
2.5. Determination of Lipid Profile, Aminotransferases and Calculation of Indices Related to Cardiovascular Health
2.6. Hepatic and Fecal Cholesterol, Triacylglycerides and Total Bile Acids
2.7. Hepatic and Serum Oxidative Parameters
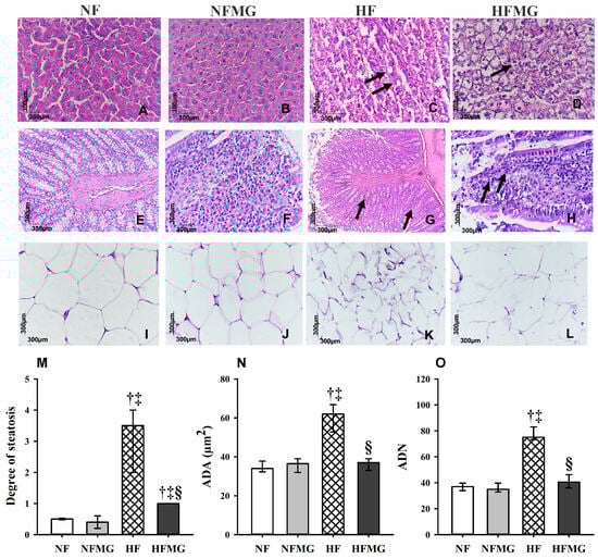
2.8. Histological Analyses of Liver, Intestine and Adipose Tissue
2.9. Statistical Analyses
3. Results
3.1. Somatic Parameters and Monitoring Body Weight and Dietary, Lipid and Energy Intake
3.2. Effect of Mangaba Powder on Lipid Parameters, Indices Related to Cardiovascular Health and Aminotransferases
3.3. Triacylglycerides, Total Cholesterol and Total Bile Acids in Feces and Liver
3.4. Malondialdehyde and Total Antioxidant Capacity
3.5. Effects of Mangaba Powder Treatment on Liver, Intestine and Adipose Tissue Histology
4. Discussion
4.1. Somatic Parameters, Monitoring Body Weight and Dietary, Lipid and Energy Intake
4.2. Effect of Mangaba Powder on Lipid Parameters, Indices Related to Cardiovascular Health and Aminotransferases
4.3. Triacylglycerides, Total Cholesterol and Total Bile Acids in Feces and Liver
4.4. Malondialdehyde and Total Antioxidant Capacity
4.5. Effects of Mangaba Powder Treatment on Liver, Intestine and Adipose Tissue Histology
5. Conclusions
Supplementary Materials
Author Contributions
Funding
Institutional Review Board Statement
Informed Consent Statement
Data Availability Statement
Acknowledgments
Conflicts of Interest
References
- Sharifi-Rad, J.; Rodrigues, C.F.; Sharopov, F.; Docea, A.O.; Can Karaca, A.; Sharifi-Rad, M.; Kahveci Karıncaoglu, D.; Gülseren, G.; Özçelik, B.; Demircan, E.; et al. Diet, lifestyle and cardiovascular diseases: Linking pathophysiology to cardioprotective effects of natural bioactive compounds. Int. J. Environ. Res. Public Health 2020, 17, 2326. [Google Scholar] [CrossRef] [PubMed]
- Batista, K.S.; Lima, M.d.S.; Alves, A.F.; Cavalcante, H.C.; de Souza, D.M.; de Oliveira, G.C.; Toscano, L.T.; Silva, A.S.; Rodrigues, J.F.; Meireles, B.R.L.d.A.; et al. Antioxidant potential of acerola by-product along the enterohepatic axis of rats fed a high-fat diet. Food Res. Int. 2023, 173, 113380. [Google Scholar] [CrossRef] [PubMed]
- Martin, A.; Lang, S.; Goeser, T.; Demir, M.; Steffen, H.M.; Kasper, P. Management of dyslipidemia in patients with non-alcoholic fatty liver disease. Curr. Atheroscler. Rep. 2022, 24, 533–546. [Google Scholar] [CrossRef]
- WHO. Cardiovascular Diseases. 2024. Available online: https://www.who.int/europe/news-room/fact-sheets/item/cardiovascular-diseases (accessed on 12 November 2024).
- Batista, K.S.; Alves, A.F.; Lima, M.d.S.; da Silva, L.A.; Lins, P.P.; Gomes, J.A.d.S.; Silva, A.S.; Toscano, L.T.; Meireles, B.R.L.d.A.; Cordeiro, A.M.T.d.M.; et al. Beneficial effects of consumption of acerola, cashew or guava processing by-products on intestinal health and lipid metabolism in dyslipidaemic female Wistar rats. Br. J. Nutr. 2018, 119, 30–41. [Google Scholar] [CrossRef]
- Bezerra, M.L.R.; de Souza, E.L.; de Sousa, J.M.B.; Lima, M.d.S.; Alves, A.F.; Almeida, M.d.G.; Alves, R.C.; de Araújo, E.V.; Soares, N.L.; da Silva, G.A.; et al. Effects of honey from Mimosa quadrivalvis L. (malícia) produced by the Melipona subnitida D. (jandaíra) stingless bee on dyslipidaemic rats. Food Funct. 2018, 9, 4480–4492. [Google Scholar] [CrossRef]
- WHO. Healthy Diet. 2020. Available online: https://www.who.int/news-room/fact-sheets/detail/healthy-diet (accessed on 12 November 2024).
- Batista, K.S.; Soares, N.L.; Dorand, V.A.M.; Alves, A.F.; Lima, M.d.S.; Pereira, R.d.A.; de Souza, E.L.; Magnani, M.; Persuhn, D.C.; Aquino, J.d.S. Acerola fruit by-product alleviates lipid, glucose, and inflammatory changes in the enterohepatic axis of rats fed a high-fat diet. Food Chem. 2023, 403, 134322. [Google Scholar] [CrossRef]
- Nunes, P.C.; Barbosa, F.K.S.; Silva, A.K.C.d.A.; Lima, M.d.S.; Alves, A.F.; Cordeiro, A.M.T.d.M.; Alcântara, M.A.; Meireles, B.R.L.d.A.; Melo, N.F.C.B.; Aquino, J.d.S.; et al. Malay apple (Syzygium malaccense) promotes changes in lipid metabolism and a hepatoprotective effect in rats fed a high-fat diet. Food Res. Int. 2022, 155, 110994. [Google Scholar] [CrossRef]
- Lucena, T.L.C.; Batista, K.S.; Pinheiro, R.O.; Cavalcante, H.C.; Gomes, J.A.d.S.; da Silva, L.A.; Lins, P.P.; Ferreira, F.S.; Lima, R.F.; Lima, M.d.S.; et al. Nutritional characterization, antioxidant, and lipid-lowering effects of yellow mombin (Spondias mombin) supplemented to rats fed a high-fat diet. Foods 2022, 11, 3064. [Google Scholar] [CrossRef]
- Nunes, V.V.; Silva-Mann, R.; Souza, J.L.; Calazans, C.C. Pharmaceutical, food potential, and molecular data of Hancornia speciosa Gomes: A systematic review. Genet. Resour. Crop. Evol. 2022, 69, 525–543. [Google Scholar] [CrossRef]
- Almeida, F.L.C.; de Oliveira, E.N.A.; Almeida, E.C.; de Souza, W.F.C.; Silva, M.d.O.; de Melo, A.M.; Castro, M.P.J.; Bullo, G.T.; Luna, L.C.; Prata, A.S.; et al. Hancornia speciosa: An overview focused on phytochemical properties, recent achievements, applications, and future perspectives. Int. J. Gastron. Food Sci. 2022, 29, 100561. [Google Scholar] [CrossRef]
- Borghi, S.M.; Pavanelli, W.R. Antioxidant compounds and health benefits of citrus fruits. Antioxidants 2023, 12, 1526. [Google Scholar] [CrossRef] [PubMed]
- Sharma, V.; Chaudhary, A.A.; Bawari, S.; Gupta, S.; Mishra, R.; Khan, S.-U.; Ali, M.A.M.; Shahid, M.; Srivastava, S.; Verma, D.; et al. Unraveling cancer progression pathways and phytochemical therapeutic strategies for its management. Front. Pharmacol. 2024, 15, 1414790. [Google Scholar] [CrossRef] [PubMed]
- Li, M.; Ma, S. A review of healthy role of dietary fiber in modulating chronic diseases. Food Res. Int. 2024, 191, 114682. [Google Scholar] [CrossRef] [PubMed]
- OECD/FAO. OECD-FAO Agricultural Outlook 2020–2029; OECD Publishing: Paris, France; FAO: Rome, France, 2020. [Google Scholar] [CrossRef]
- Bornal, D.R.; Silvestrini, M.M.; Pio, L.A.S.; Costa, A.C.; Peche, P.M.; Ramos, M.C.P. Brazilian position in the international fresh fruit trade network. Rev. Bras. Frutic. 2021, 43, e-021. [Google Scholar] [CrossRef]
- Boas, E.V.B.V.; de Lima, J.P.; Gonçalves, G.A.S.; Zitha, E.Z.M.; de Carvalho, E.E.N. Hancornia speciosa. In Fruits of the Brazilian Cerrado; Freitas de Lima, F., Lescano, C.H., Pires de Oliveira, I., Eds.; Springer: Cham, Switzerland, 2021. [Google Scholar] [CrossRef]
- Bhatkar, N.S.; Shirkole, S.S.; Brennan, C.; Thorat, B.N. Pre-processed fruits as raw materials: Part I—Different forms, process conditions and applications. Int. J. Food Sci. Technol. 2022, 57, 4945–4962. [Google Scholar] [CrossRef]
- Coşkun, N.; Sarıtaş, S.; Jaouhari, Y.; Bordiga, M.; Karav, S. The impact of freeze drying on bioactivity and physical properties of food products. Appl. Sci. 2024, 14, 9183. [Google Scholar] [CrossRef]
- Jiang, L.; Zhang, Z.; Qiu, C.; Wen, J. A review of whey protein-based bioactive delivery systems: Design, fabrication, and application. Foods 2024, 13, 2453. [Google Scholar] [CrossRef]
- Lichtenthaler, H.; Buschmann, C. Chlorophylls and carotenoids: Measurement and characterization by UV-VIS spectroscopy. Curr. Protoc. Food Anal. Chem. 2001, 1, f.4.3.1–f.4.3.8. [Google Scholar] [CrossRef]
- Association of Official Methods Analytical, & Chemists. AOAC Official Methods of Analysis, 20th ed.; AOAC: Gaithersburg, MD, USA, 2016. [Google Scholar]
- Dutra, M.C.P.; Rodrigues, L.L.; Oliveira, D.; Pereira, G.E.; Lima, M.S. Integrated analyses of phenolic compounds and minerals of Brazilian organic and conventional grape juices and wines: Validation of a method for determination of Cu, Fe and Mn. Food Chem. 2018, 269, 157–165. [Google Scholar] [CrossRef]
- Lima, M.d.S.; Nunes, P.C.; Silva, B.d.L.d.A.; Padilha, C.V.d.S.; Bonfim, T.H.F.D.; Stamford, T.L.M.; Vasconcelos, M.A.d.S.; Aquino, J.d.S. Determining 1-kestose, nystose and raffinose oligosaccharides in grape juices and wines using HPLC: Method validation and characterization of products from Northeast Brazil. J. Food Sci. Technol. 2019, 56, 4575–4584. [Google Scholar] [CrossRef]
- Lima, M.d.S.; Silani, I.d.S.V.; Toaldo, I.M.; Corrêa, L.C.; Biasoto, A.C.T.; Pereira, G.E.; Bordignon-Luiz, M.T.; Ninow, J.L. Phenolic compounds, organic acids and antioxidant activity of grape juices produced from new Brazilian varieties planted in the Northeast Region of Brazil. Food Chem. 2014, 161, 94–103. [Google Scholar] [CrossRef] [PubMed]
- Prosky, L.; Asp, N.G.; Schweizer, T.F.; DeVries, J.W.; Furda, I.; Lee, S.C. Determination of soluble dietary fiber in foods and food products: Collaborative study. J. AOAC Int. 1994, 77, 690–694. [Google Scholar] [CrossRef] [PubMed]
- Du Sert, N.P.; Hurst, V.; Ahluwalia, A.; Alam, S.; Avey, M.T.; Baker, M.; Browne, W.J.; Clark, A.; Cuthill, I.C.; Dirnagl, U.; et al. The ARRIVE guidelines 2.0: Updated guidelines for reporting animal research. PLoS Biol. 2020, 18, e3000410. [Google Scholar] [CrossRef]
- Novelli, E.L.B.; Diniz, Y.S.; Galhardi, C.M.; Ebaid, G.M.X.; Rodrigues, H.G.; Mani, F.; Fernandes, A.A.H.; Cicogna, A.C.; Filho, J.L.V.B.N. Anthropometrical parameters and markers of obesity in rats. Lab. Anim. 2007, 41, 111–119. [Google Scholar] [CrossRef] [PubMed]
- Nascimento, A.F.; Luvizotto, R.A.; Leopoldo, A.S.; Lima-Leopoldo, A.P.; Seiva, F.R.; Justulin, L.A.; Silva, M.D.P.; Okoshi, K.; Wang, X.-D.; Cicogna, A.C. Long-term high-fat diet-induced obesity decreases the cardiac leptin receptor without apparent lipotoxicity. Life Sci. 2011, 88, 1031–1038. [Google Scholar] [CrossRef]
- Erejuwa, O.O.; Nwobodo, N.N.; Akpan, J.L.; Okorie, U.A.; Ezeonu, C.T.; Ezeokpo, B.C.; Nwadike, K.I.; Erhiano, E.; Wahab, M.S.A.; Sulaiman, S.A. Nigerian honey ameliorates hyperglycemia and dyslipidaemia in alloxan-induced diabetic rats. Nutrients 2016, 8, 95. [Google Scholar] [CrossRef]
- Folch, J.; Less, M.; Stanley, S. A simple method for the isolation and purification of total lipids from animal tissues. J. Biol. Chem. 1957, 226, 497–509. [Google Scholar] [CrossRef]
- Huang, X.; Tang, J.; Zhou, Q.; Lu, H.; Wu, Y.; Wu, W. Polysaccharide from Fuzi (FPS) prevents hypercholesterolemia in rats. Lipids Health Dis. 2010, 9, 9. [Google Scholar] [CrossRef]
- Ohkawa, H.; Ohishi, N.; Yagi, K. Assay for lipid peroxides in animal tissues by thiobarbituric acid reaction. Anal Biochem. 1979, 95, 351–358. [Google Scholar] [CrossRef]
- Brand-Williams, W.; Cuvelier, M.E.; Berset, C. Use of a free radical method to evaluate antioxidant activity. LWT Food Sci Technol. 1995, 28, 25–30. [Google Scholar] [CrossRef]
- Pinheiro, R.O.; Lins, P.P.; de Carvalho, J.L.P.; de Araújo, E.V.; Alves, A.F.; Pereira, R.d.A.; Toscano, L.T.; Silva, A.S.; de Souza, E.L.; Alves, J.L.d.B.; et al. Maternal dyslipidaemic diet induces sex-specific alterations in intestinal function and lipid metabolism in rat offspring. Br. J. Nutr. 2019, 121, 721–734. [Google Scholar] [CrossRef] [PubMed]
- Tavares, R.L.; Vasconcelos, M.H.A.; Dorand, V.A.M.; Torres Junior, E.U.; Toscano, L.T.; Queiroz, R.T.; Alves, A.F.; Magnani, M.; Guzman-Quevedo, O.; Aquino, J.S. Mucuna pruriens treatment shows anti-obesity and intestinal health effects on obese rats. Food Funct. 2021, 12, 6479–6489. [Google Scholar] [CrossRef] [PubMed]
- Akoglu, H. User’s guide to correlation coefficients. Turk. J. Emerg. Med. 2018, 18, 91–93. [Google Scholar] [CrossRef]
- Saikia, S.; Mahnot, N.K.; Mahanta, C.L.; Chattopadhyay, P.; Agnihotri, A. Optimisation of a carambola pomace fibre fortified mix fruit beverage powder, its characterization and in vivo study. J. Saudi Soc. Agric. Sci. 2020, 19, 14–21. [Google Scholar] [CrossRef]
- Paulino, A.H.S.; Viana, A.M.F.; Bonomo, L.d.F.C.; Guerra, J.F.C.; Lopes, J.M.M.; Rabelo, A.C.S.; Fagundes, M.M.A.; Régis, A.L.R.S.; Lima, W.G.; Pedrosa, M.L.; et al. Araçá (Psidium cattleianum Sabine) ameliorates liver damage and reduces hepatic steatosis in rats fed with a high-fat diet. J. Food Nutr. Res. 2019, 7, 132–140. [Google Scholar]
- Lage, N.N.; Carvalho, M.M.d.F.; Guerra, J.F.d.C.; Lopes, J.M.M.; Pereira, R.R.; Rabelo, A.C.S.; Arruda, V.M.; Pereira, M.d.F.A.; Layosa, M.A.; Noratto, G.D.; et al. Jaboticaba (Myrciaria cauliflora) peel supplementation prevents hepatic steatosis through hypolipidemic effects and cholesterol metabolism modulation in diet-induced non-alcoholic fatty liver disease rat model. J. Med. Food 2021, 24, 968–977. [Google Scholar] [CrossRef]
- Horner, K.; Hopkins, M.; Finlayson, G.; Gibbons, C.; Brennan, L. Biomarkers of appetite: Is there a potential role for metabolomics? Nutr. Res. Rev. 2020, 33, 271–286. [Google Scholar] [CrossRef]
- Bernardis, L.L.; Patterson, B.D. Correlation between “Lee index” and carcass fat content in weanling and adult female rats with hypothalamic lesions. J. Endocrinol. 1968, 40, 527–528. [Google Scholar] [CrossRef]
- Sacher, S.; Mukherjee, A.; Ray, A. Deciphering structural aspects of reverse cholesterol transport: Mapping the knowns and unknowns. Biol. Rev. 2023, 98, 1160–1183. [Google Scholar] [CrossRef]
- Kontush, A. HDL and reverse remnant-cholesterol transport (RRT): Relevance to cardiovascular disease. Trends Mol. Med. 2020, 26, 1086–1100. [Google Scholar] [CrossRef]
- Langsted, A.; Jesen, A.M.R.; Varbo, A.; Nordestgaard, B.G. Low high-density lipoprotein cholesterol to monitor long-term average increased triglycerides. J. Clin. Endocrinol. Metab. 2020, 105, e1657–e1666. [Google Scholar] [CrossRef] [PubMed]
- Soliman, G.A. Dietary fiber, atherosclerosis, and cardiovascular disease. Nutrients 2019, 11, 1155. [Google Scholar] [CrossRef] [PubMed]
- Tanno, H.; Fujii, T.; Hirano, K.; Maeno, S.; Tonozuka, T.; Sakamoto, M.; Ohkuma, M.; Tochio, T.; Endo, A. Characterization of fructooligosaccharide metabolism and fructooligosaccharide-degrading enzymes in human commensal butyrate producers. Gut Microbes 2021, 13, 1869503. [Google Scholar] [CrossRef] [PubMed]
- Nguyen, V.; Taine, E.G.; Meng, D.; Cui, T.; Tan, W. Chlorogenic acid: A systematic review on the biological functions, mechanistic actions, and therapeutic potentials. Nutrients 2024, 16, 924. [Google Scholar] [CrossRef]
- Marcińczyk, N.; Gromotowicz-Popławska, A.; Tomczyk, M.; Chabielska, E. Tannins as hemostasis modulators. Front. Pharmacol. 2022, 12, 806891. [Google Scholar] [CrossRef]
- Mir, H.; Krouf, D.; Taleb-Dida, N.; Berzou, S.; Guenzet, A.; Khelladi, H. Effects of Citrus latifolia extract on dyslipidaemia and tissues redox status in rats fed a high-cholesterol diet. Nutr. Food Sci. 2019, 49, 989–999. [Google Scholar] [CrossRef]
- Sharma, P.; Arora, A. Clinical presentation of alcoholic liver disease and non-alcoholic fatty liver disease: Spectrum and diagnosis. Transl. Gastroenterol. Hepatol. 2020, 5, 19. [Google Scholar] [CrossRef]
- Ndrepepa, G. Aspartate aminotransferase and cardiovascular disease—A narrative review. J. Lab. Precis. Med. 2021, 6, 6. [Google Scholar] [CrossRef]
- Ndrepepa, G.; Kastrati, A. Alanine aminotransferase—A marker of cardiovascular risk at high and low activity levels. J. Lab. Precis. Med. 2019, 4, 29. [Google Scholar] [CrossRef]
- Yu, Y.; Zeng, F.; Han, P.; Zhang, L.; Yang, L.; Zhou, F.; Liu, Q.; Ruan, Z. Dietary chlorogenic acid alleviates high-fat diet-induced steatotic liver disease by regulating metabolites and gut microbiota. Int. J. Food Sci. Nutr. 2024, 75, 369–384. [Google Scholar] [CrossRef]
- Chandrasekaran, P.; Weiskirchen, R. The role of SCAP/SREBP as central regulators of lipid metabolism in hepatic steatosis. Int. J. Mol. Sci. 2024, 25, 1109. [Google Scholar] [CrossRef] [PubMed]
- Archana; Gupta, A.K.; Noumani, A.; Panday, D.K.; Zaidi, F.; Sahu, G.K.; Joshi, G.; Yadav, M.; Borah, S.J.; Susmitha, V.; et al. Gut microbiota derived short-chain fatty acids in physiology and pathology: An update. Cell Biochem. Funct. 2024, 42, e4108. [Google Scholar] [CrossRef] [PubMed]
- Lin, H.; Li, J.; Sun, M.; Wang, X.; Zhao, J.; Zhang, W.; Lv, G.; Wang, Y.; Lin, Z. Effects of hazelnut soluble dietary fiber on lipid-lowering and gut microbiota in high-fat-diet-fed rats. Int. J. Biol. Macromol. 2024, 256, 128538. [Google Scholar] [CrossRef] [PubMed]
- Roessler, J.; Zimmermann, F.; Schumann, P.; Nageswaran, V.; Rad, P.R.; Schuchardt, S.; Leistner, D.M.; Landmesser, U.; Haghikia, A. Modulation of the serum metabolome by the short-chain fatty acid propionate: Potential implications for its cholesterol-lowering effect. Nutrients 2024, 16, 2368. [Google Scholar] [CrossRef] [PubMed]
- Kumar, R.; Khan, M.I.; Ashfaq, F.; Alsayegh, A.A.; Khatoon, F.; Altamimi, T.N.; Rizvi, S.I. Hesperidin supplementation improves altered PON-1, LDL oxidation, inflammatory response and hepatic function in an experimental rat model of hyperlipidemia. Ind. J. Clin. Biochem. 2024, 39, 257–263. [Google Scholar] [CrossRef]
- Toma, L.; Sanda, G.; Niculescu, L.; Deleanu, M.; Sima, A.; Stancu, C. Phenolic compounds exerting lipid-regulatory, anti-inflammatory and epigenetic effects as complementary treatments in cardiovascular diseases. Biomolecules 2020, 10, 641. [Google Scholar] [CrossRef]
- Nie, J.; Zhang, L.; Zhao, G.; Du, X. Quercetin reduces atherosclerotic lesions by altering the gut microbiota and reducing atherogenic lipid metabolites. J. Appl. Microbiol. 2019, 127, 1824–1834. [Google Scholar] [CrossRef]
- Wang, B.; Han, D.; Hu, X.; Chen, J.; Liu, Y.; Wu, J. Exploring the role of a novel postbiotic bile acid: Interplay with gut microbiota, modulation of the farnesoid X receptor, and prospects for clinical translation. Microbiol. Res. 2024, 287, 127865. [Google Scholar] [CrossRef]
- Yu, L.; Liu, Y.; Wang, S.; Zhang, Q.; Zhao, J.; Zhang, H.; Narbad, A.; Tian, F.; Zhai, Q.; Chen, W. Cholestasis: Exploring the triangular relationship of gut microbiota-bile acid-cholestasis and the potential probiotic strategies. Gut Microbes 2023, 15, 2181930. [Google Scholar] [CrossRef]
- Zhang, Y.; Lu, Y.; Ji, H.; Li, Y. Anti-inflammatory, anti-oxidative stress and novel therapeutic targets for cholestatic liver injury. Biosci. Trends 2019, 13, 23–31. [Google Scholar] [CrossRef]
- Ramachandran, A.; Jaeschke, H. Oxidative stress and acute hepatic injury. Curr. Opin. Toxicol. 2018, 7, 17–21. [Google Scholar] [CrossRef] [PubMed]
- Jomova, K.; Alomar, S.Y.; Alwasel, S.H.; Nepovimova, E.; Kuca, K.; Valko, M. Several lines of antioxidant defense against oxidative stress: Antioxidant enzymes, nanomaterials with multiple enzyme-mimicking activities, and low-molecular-weight antioxidants. Arch. Toxicol. 2024, 98, 1323–1367. [Google Scholar] [CrossRef] [PubMed]
- Vidinamo, F.; Fawzia, S.; Karim, M.A. Effect of drying methods and storage with agro-ecological conditions on phytochemicals and antioxidant activity of fruits: A review. Crit. Rev. Food Sci. Nutr. 2020, 62, 353–361. [Google Scholar] [CrossRef]
- Othman, Z.A.; Ghazali, W.S.W.; Noordin, L.; Yusof, N.A.M.; Mohamed, M. Phenolic compounds and the anti-atherogenic effect of bee bread in high-fat diet-induced obese rats. Antioxidants 2019, 9, 33. [Google Scholar] [CrossRef]
- Park, Y.; Jang, J.; Lee, D.; Yoon, M. Vitamin C inhibits visceral adipocyte hypertrophy and lowers blood glucose levels in high-fat-diet-induced obese C57BL/6J mice. Biomed. Sci. Lett. 2018, 24, 311–318. [Google Scholar] [CrossRef]
- Zhang, S.; Cui, Z.; Zhang, H.; Wang, P.; Wang, F.; Zhang, J. Pea albumin extracted from pea (Pisum sativum L.) seeds ameliorates high-fat-diet-induced non-alcoholic fatty liver disease by regulating lipogenesis and lipolysis pathways. Nutrients 2024, 16, 2232. [Google Scholar] [CrossRef]
- Ballard, C.R.; dos Santos, E.F.; Dubois, M.J.; Pilon, G.; Cazarin, C.B.B.; Maróstica Junior, M.R.; Marette, A. Two polyphenol-rich Brazilian fruit extracts protect from diet-induced obesity and hepatic steatosis in mice. Food Funct. 2020, 11, 8800–8810. [Google Scholar] [CrossRef]
- Lee, Y.-G.; Lee, S.R.; Baek, H.J.; Kwon, J.E.; Baek, N.-I.; Kang, T.H.; Kim, H.; Kang, S.C. The effects of body fat reduction through the metabolic control of steam-processed ginger extract in high-fat-diet-fed mice. Int. J. Mol. Sci. 2024, 25, 2982. [Google Scholar] [CrossRef]
- Du, F.; Huang, R.; Lin, D.; Wang, Y.; Yang, X.; Huang, X.; Zheng, B.; Chen, Z.; Huang, Y.; Wang, X.; et al. Resveratrol improves liver steatosis and insulin resistance in non-alcoholic fatty liver disease in association with the gut microbiota. Front. Microbiol. 2021, 12, 611323. [Google Scholar] [CrossRef]
- Aquino, J.S.; Soares, N.L.; Batista, K.S.; Guzmán-Quevedo, O. (Eds.) Dietary Induction Models of Nutritional Disorders in Rodents: Bases for Translational Studies; Cambridge Scholars Publishing: Newcastle upon Tyne, UK, 2023. [Google Scholar]
- Nair, A.; Jacob, S. A simple practice guide for dose conversion between animals and human. J. Basic Clin. Pharm. 2016, 7, 27. [Google Scholar] [CrossRef]



| Parameters | Groups | ||||
|---|---|---|---|---|---|
| NF | NFMG | HF | HFMG | p | |
| FBW (g) | 360.00 (338.37–403.65) | 347.50 (330.94–357.81) | 380.00 (352.21–417.79) ‡ | 367.50 (336.25–381.25) | 0.029 |
| BL (cm) | 23. 50 (21.12–23.62) | 25.00 (23.00–26.25) | 24.01 (23.00–24.50) | 24.03 (23.50–24.87) | n.s. |
| WC (cm) | 17.25 (15.87–19.15) | 17.00 (16.00–18.00) | 17.50 (17.50–18.00) | 16.75 (14.62–18.00) | n.s. |
| CC (cm) | 15.25 (14.12–15.85) | 15.00 (14.00–15.00) | 15.00 (15.00–16.00) | 15.75 (15.00–17.37) | n.s. |
| BMI (g/cm2) | 0.62 (0.61–0.63) | 0.56 (0.50–0.58) † | 0.65 (0.61–0.66) ‡ | 0.60 (0.57–0.63) ‡§ | <0.001 |
| Lee index | 0.30 (0.29–030) | 0.28 (0.27–0.28) † | 0.30 (0.29–0.31) ‡ | 0.29 (0.29–0.30) ‡ | <0.001 |
| ADI (%) | 1.85 (1.76–2.93) | 2.69 (2.48–2.83) | 3.82 (3.76–3.92) †‡ | 3.28 (2.69–3.80) †‡ | 0.004 |
| Liver weight (g) | 3.53 (3.32–3.86) | 3.47 (3.35–3.72) | 5.41 (4.98–5.90) †‡ | 5.38 (4.31–5.68) †‡ | <0.001 |
| Adipose tissue weight (g) | 1.71 (1.32–2.92) | 2.61 (2.09–2.69) | 3.86 (3.59–4.09) †‡ | 3.28 (2.66–3.93) †‡ | 0.029 |
| Bowel weight (g) | 4.33 (3.91–4.82) | 4.53 (3.98–5.40) | 3.29 (3.02–3.94) ‡ | 3.46 (3.14–4.07) †‡ | 0.016 |
| Parameters | Groups | ||||
|---|---|---|---|---|---|
| NF | NFMG | HF | HFMG | p | |
| Feces | |||||
| TG (mg/g) | 10.69 (9.49–11.89) | 12.45 (11.80–13.10) | 9.60 (9.30–9.90) ‡ | 16.33 (15.51–17.16) § | 0.027 |
| TC (mg/g) | 3.38 (3.37–3.38) | 4.44 (4.25–4.63) | 4.84 (4.73–4.95) † | 4.62 (3.37–4.62) | 0.044 |
| TBA (mg/g) | 3.81 (3.75–3.86) | 3.22 (2.96–3.48) | 2.91 (2.85–2.98) † | 2.89 (2.85–3.39) | 0.040 |
| Liver | |||||
| TG (mg/g) | 65.70 (59.07–72.35) | 65.94 (60.76–71.12) | 82.79 (78.22–87.35) †‡ | 65.94 (60.76–71.12) § | n.s. |
| TC (mg/g) | 10.91 (10.18–11.64) | 10.58 (10.11–11.07) † | 14.70 (14.53–14.87) †‡ | 11.72 (10.87–12.56) § | 0.015 |
| TBA (mg/g) | 3.31 (3.04–3.84) | 5.56 (4.58–7.00) † | 2.94 (2.63–3.33) ‡ | 13.26 (12.80–13.83) †‡§ | 0.003 |
| Parameters | Groups | ||||
|---|---|---|---|---|---|
| NF | NFMG | HF | HFMG | p | |
| Serum | |||||
| MDA (µmol/L) | 4.55 (4.38–5.07) | 5.12 (4.99–6.59) | 8.19 (7.48–8.71) †‡ | 5.79 (5.18–6.11) †§ | 0.005 |
| TAC (µmol/L) | 15.43 (11.84–19.02) | 21.34 (16.54–25.00) † | 18.02 (3.95–22.09) | 26.30 (19.48–28.47) † | 0.019 |
| Liver | |||||
| MDA (µmol/g) | 3.14 (1.44–3.66) | 2.67 (2.59–2.87) | 8.81 (6.42–9.86) †‡ | 2.77 (2.41–2.85) § | 0.029 |
| TAC (µmol/L) | 30.38 (25.62–35.16) | 78.53 (77.48–81.76) † | 21.91 (17.13–25.70) ‡ | 93.55 (89.02–94.11) †§ | <0.001 |
Disclaimer/Publisher’s Note: The statements, opinions and data contained in all publications are solely those of the individual author(s) and contributor(s) and not of MDPI and/or the editor(s). MDPI and/or the editor(s) disclaim responsibility for any injury to people or property resulting from any ideas, methods, instructions or products referred to in the content. |
© 2024 by the authors. Licensee MDPI, Basel, Switzerland. This article is an open access article distributed under the terms and conditions of the Creative Commons Attribution (CC BY) license (https://creativecommons.org/licenses/by/4.0/).
Share and Cite
Silva, B.d.L.d.A.; Vasconcelos, M.A.d.S.; Batista, K.S.; Lima, M.d.S.; Batista, F.R.d.C.; Cavalcante, H.C.; Toscano, L.d.L.T.; Silva, A.S.; D’Oliveira, A.B.; Alves, A.F.; et al. Hepatoprotective, Lipid-Lowering and Antioxidant Effects of Mangaba Powder (Hancornia speciosa) Administered to Rats Fed a High-Fat Diet. Foods 2024, 13, 3773. https://doi.org/10.3390/foods13233773
Silva BdLdA, Vasconcelos MAdS, Batista KS, Lima MdS, Batista FRdC, Cavalcante HC, Toscano LdLT, Silva AS, D’Oliveira AB, Alves AF, et al. Hepatoprotective, Lipid-Lowering and Antioxidant Effects of Mangaba Powder (Hancornia speciosa) Administered to Rats Fed a High-Fat Diet. Foods. 2024; 13(23):3773. https://doi.org/10.3390/foods13233773
Chicago/Turabian StyleSilva, Bernadete de Lourdes de Araújo, Margarida Angélica da Silva Vasconcelos, Kamila Sabino Batista, Marcos dos Santos Lima, Fabiane Rabelo da Costa Batista, Hassler Clementino Cavalcante, Lydiane de Lima Tavares Toscano, Alexandre Sérgio Silva, Aline Barbosa D’Oliveira, Adriano Francisco Alves, and et al. 2024. "Hepatoprotective, Lipid-Lowering and Antioxidant Effects of Mangaba Powder (Hancornia speciosa) Administered to Rats Fed a High-Fat Diet" Foods 13, no. 23: 3773. https://doi.org/10.3390/foods13233773
APA StyleSilva, B. d. L. d. A., Vasconcelos, M. A. d. S., Batista, K. S., Lima, M. d. S., Batista, F. R. d. C., Cavalcante, H. C., Toscano, L. d. L. T., Silva, A. S., D’Oliveira, A. B., Alves, A. F., & Aquino, J. d. S. (2024). Hepatoprotective, Lipid-Lowering and Antioxidant Effects of Mangaba Powder (Hancornia speciosa) Administered to Rats Fed a High-Fat Diet. Foods, 13(23), 3773. https://doi.org/10.3390/foods13233773

