Development of Cashew and Pistachio Ladders through a Food-Processing Approach
Abstract
1. Introduction
2. Materials and Methods
2.1. Chemicals
2.2. Human Serum Samples and Cashew- and Ana o 3-Specific Polyclonal Antibodies
2.3. Soaking and Boiling Treatments of Cashew and Pistachio Nuts
2.4. Protein Extraction
2.5. Sodium Dodecyl Sulphate-Polyacrylamide Gel Electrophoresis (SDS-PAGE)
2.6. Intrinsic-Fluorescence Spectroscopy
2.7. Inhibition Immunoassay Using Allergen-Specific Polyclonal IgG
2.8. sIgE-Based Immunoblot Analysis
2.9. Statistical Analysis
3. Results and Discussion
3.1. Effects of Food-Processing Treatments on Solubility and Molecular Profiles of Treated-Nut Proteins
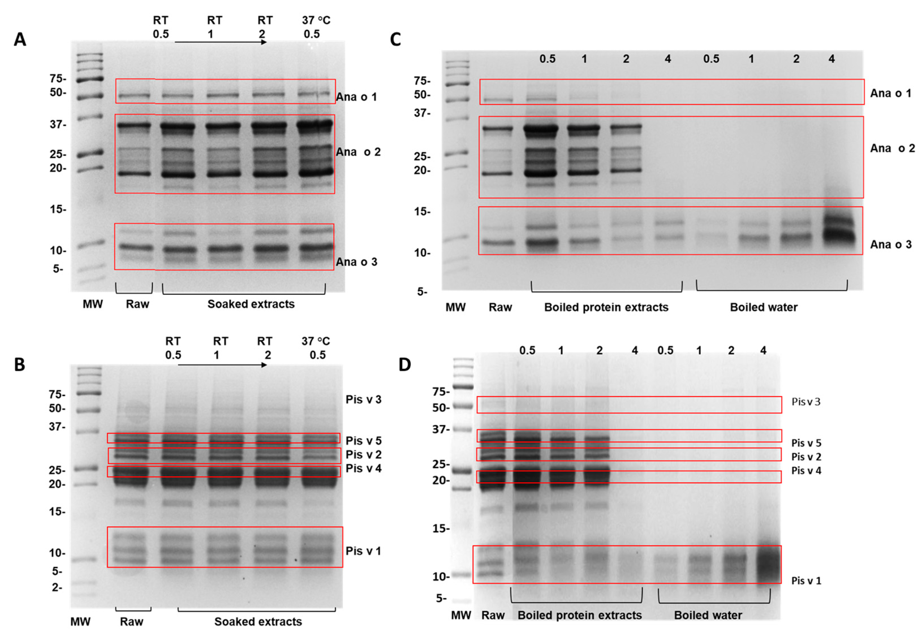
3.1.1. Effects of Soaking on the Solubility and Profile of Proteins in Cashew and Pistachio Kernels
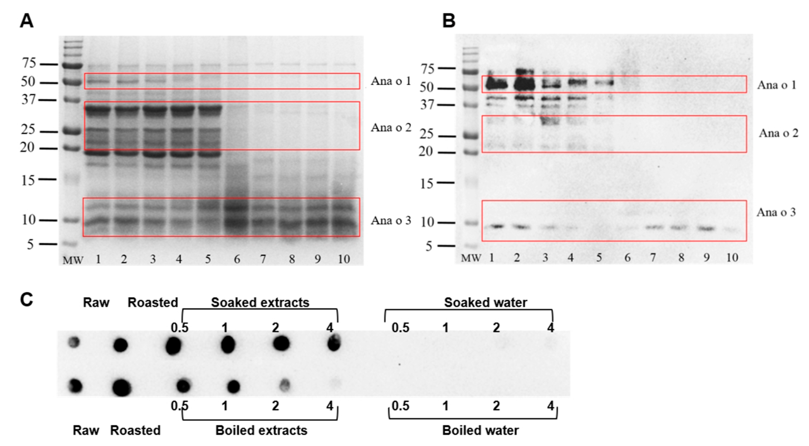
3.1.2. Effects of Boiling on the Solubility and Profile of Proteins in Cashew and Pistachio Kernels
3.2. Intrinsic Fluorescence Spectroscopy of Cashew and Pistachio Nut Proteins
3.3. Effects of Boiling Treatment on the Antibody-Binding Capacity and Immunoreactivity of Treated Nuts
3.3.1. Inhibition Enzyme-Linked Immunosorbent Assay (ELISA) Using Polyclonal Cashew Specific IgG
3.3.2. IgE-Binding of Cashew and Pistachio Proteins
4. Conclusions
Supplementary Materials
Author Contributions
Funding
Data Availability Statement
Conflicts of Interest
References
- McWilliam, V.; Koplin, J.; Lodge, C.; Tang, M.; Dharmage, S.; Allen, K. The Prevalence of Tree Nut Allergy: A Systematic Review. Curr. Allergy Asthma Rep. 2015, 15, 54–67. [Google Scholar] [CrossRef] [PubMed]
- Brettig, T.; Dang, T.; McWilliam, V.; Peters, R.L.; Koplin, J.J.; Perrett, K.P. The Accuracy of Diagnostic Testing in Determining Tree Nut Allergy: A Systematic Review. J. Allergy Clin. Immunol. Pract. 2021, 9, 2028–2049. [Google Scholar] [CrossRef] [PubMed]
- McWilliam, V.L.; Perrett, K.P.; Dang, T.; Peters, R.L. Prevalence and Natural History of Tree Nut Allergy. Ann. Allergy Asthma Immunol. 2020, 124, 466–472. [Google Scholar] [CrossRef] [PubMed]
- Costa, J.; Silva, I.; Vicente, A.A.; Oliveira, M.B.P.P.; Mafra, I. Critical Reviews in Food Science and Nutrition Pistachio Nut Allergy: An Updated Overview Pistachio Nut Allergy: An Updated Overview. Crit. Rev. Food Sci. Nutr. 2019, 59, 546–562. [Google Scholar] [CrossRef] [PubMed]
- Spolidoro, G.C.I.; Lisik, D.; Nyassi, S.; Ioannidou, A.; Ali, M.M.; Amera, Y.T.; Rovner, G.; Khaleva, E.; Venter, C.; van Ree, R.; et al. Prevalence of Tree Nut Allergy in Europe: A Systematic Review and Meta-Analysis. Allergy 2024, 79, 302–323. [Google Scholar] [CrossRef]
- FDA. FDA Approves First Medication to Help Reduce Allergic Reactions to Multiple Foods After Accidental Exposure. Available online: https://www.fda.gov/news-events/press-announcements/fda-approves-first-medication-help-reduce-allergic-reactions-multiple-foods-after-accidental (accessed on 28 August 2024).
- Midun, E.; Radulovic, S.; Brough, H.; Caubet, J.-C. Recent Advances in the Management of Nut Allergy. World Allergy Organ. J. 2021, 14, 100491. [Google Scholar] [CrossRef]
- Verhoeckx, K.C.M.; Vissers, Y.M.; Baumert, J.L.; Faludi, R.; Feys, M.; Flanagan, S.; Herouet-Guicheney, C.; Holzhauser, T.; Shimojo, R.; van der Bolt, N.; et al. Food Processing and Allergenicity. Food Chem. Toxicol. 2015, 80, 223–240. [Google Scholar] [CrossRef]
- Mejia, S.B.; Kendall, C.W.C.; Viguiliouk, E.; Augustin, L.S.; Ha, V.; Cozma, A.I.; Mirrahimi, A.; Maroleanu, A.; Chiavaroli, L.; Leiter, L.A.; et al. Effect of Tree Nuts on Metabolic Syndrome Criteria: A Systematic Review and Meta-Analysis of Randomised Controlled Trials. BMJ Open 2014, 4, e004660. [Google Scholar] [CrossRef]
- Patel, N.; Vazquez-Ortiz, M.; Robb, A.; Shamji, M.H.; Campbell, D.E.; Turner, P.J. Successful Desensitisation and Sustained Unresponsiveness Using Modified Peanut: Results From The BOPI Study. J. Allergy Clin. Immunol. 2019, 143, AB82. [Google Scholar] [CrossRef]
- Venter, C.; Meyer, R.; Ebisawa, M.; Athanasopoulou, P.; Mack, D.P. Food Allergen Ladders: A Need for Standardization. Pediatr. Allergy Immunol. 2022, 33, e13714. [Google Scholar] [CrossRef]
- Kong, F.; Singh, R.P. Digestion of Raw and Roasted Almonds in Simulated Gastric Environment. Food Biophys. 2009, 4, 365–377. [Google Scholar] [CrossRef]
- Dong, G.; Hinds, L.M.; Soro, A.B.; Hu, Z.; Sun, D.W.; Tiwari, B.K. Non-Thermal Processing Technologies for Allergen Control in Alternative Protein Sources for Food Industry Applications. Food Eng. Rev. 2024, 1–23. [Google Scholar] [CrossRef]
- Pereira, R.N.; Rodrigues, R.M.; Madalena, D.A.; Vicente, A. Tackling Food Allergens—The Role of Food Processing on Proteins’ Allergenicity. Adv. Food Nutr. Res. 2023, 106, 317–351. [Google Scholar] [CrossRef] [PubMed]
- Tao, B.; Morris, S.; Grzeskowiak, L.; Smith, W.; Forsyth, K.; Chataway, T. Sequential Hypoallergenic Boiled Peanut and Roasted Peanut Oral Immunotherapy. Clin. Exp. Allergy 2017, 47, 1501–1504. [Google Scholar] [CrossRef]
- Cuadrado, C.; Cheng, H.; Sanchiz, A.; Ballesteros, I.; Easson, M.; Grimm, C.C.; Dieguez, M.C.; Linacero, R.; Burbano, C.; Maleki, S.J. Influence of Enzymatic Hydrolysis on the Allergenic Reactivity of Processed Cashew and Pistachio. Food Chem. 2018, 241, 372–379. [Google Scholar] [CrossRef]
- Cuadrado, C.; Sanchiz, A.; Arribas, C.; Pedrosa, M.M.; Gamboa, P.; Betancor, D.; Blanco, C.; Cabanillas, B.; Linacero, R. Mitigation of Peanut Allergenic Reactivity by Combined Processing: Pressured Heating and Enzymatic Hydrolysis. Innov. Food Sci. Emerg. Technol. 2023, 86, 103383. [Google Scholar] [CrossRef]
- Cuadrado, C.; Arribas, C.; Sanchiz, A.; Pedrosa, M.M.; Gamboa, P.; Betancor, D.; Blanco, C.; Cabanillas, B.; Linacero, R. Effects of Enzymatic Hydrolysis Combined with Pressured Heating on Tree Nut Allergenicity Running Title: Allergenic Reactivity of Processed Tree Nuts. Food Chem. 2024, 451, 139433. [Google Scholar] [CrossRef]
- Zhao, Y.; Sun, X.; Marquis, C.P.; Lee, N.A. Development of a Sensitive Sandwich ELISA Specific to 2S Albumin (Ana o 3) as a Stable Protein Marker for Cashew Nut Residue Detection in Pre-Packaged Food Products. Food Control 2019, 96, 432–440. [Google Scholar] [CrossRef]
- Chiang, P.-Y.; Yeh, A.-I. Effect of Soaking on Wet-Milling of Rice. J. Cereal Sci. 2003, 35, 85–94. [Google Scholar] [CrossRef]
- Beyer, K.; Morrow, E.; Li, X.M.; Bardina, L.; Bannon, G.A.; Burks, A.W.; Sampson, H.A. Effects of Cooking Methods on Peanut Allergenicity. J. Allergy Clin. Immunol. 2001, 107, 1077–1081. [Google Scholar] [CrossRef]
- Tao, B.; Bernardo, K.; Eldi, P.; Chegeni, N.; Wiese, M.; Colella, A.; Kral, A.; Hayball, J.; Smith, W.; Forsyth, K.; et al. Extended Boiling of Peanut Progressively Reduces IgE Allergenicity While Retaining T Cell Reactivity. Clin. Exp. Allergy 2016, 46, 1004–1014. [Google Scholar] [CrossRef] [PubMed]
- Ahn, K.; Bardina, L.; Grishina, G.; Beyer, K.; Sampson, H.A. Identification of Two Pistachio Allergens, Pis v 1 and Pis v 2, Belonging to the 2S Albumin and 11S Globulin Family. Clin. Exp. Allergy 2009, 39, 926–934. [Google Scholar] [CrossRef] [PubMed]
- Barre, A.; Nguyen, C.; Granier, C.; Benoist, H.; Rougé, P. IgE-Binding Epitopes of Pis v 1, Pis v 2 and Pis v 3, the Pistachio (Pistacia vera) Seed Allergens. Allergies 2021, 1, 63–91. [Google Scholar] [CrossRef]
- Sanchiz, A.; Cuadrado, C.; Dieguez, M.C.; Ballesteros, I.; Rodríguez, J.; Crespo, J.F.; de las Cuevas, N.; Rueda, J.; Linacero, R.; Cabanillas, B.; et al. Thermal Processing Effects on the IgE-Reactivity of Cashew and Pistachio. Food Chem. 2018, 245, 595–602. [Google Scholar] [CrossRef]
- Kshirsagar, H.H.; Fajer, P.; Sharma, G.M.; Roux, K.H.; Sathe, S.K. Biochemical and Spectroscopic Characterization of Almond and Cashew Nut Seed 11S Legumins, Amandin and Anacardein. J. Agric. Food Chem. 2011, 59, 386–393. [Google Scholar] [CrossRef]
- Lakowicz, J.R. Protein Fluorescence. Princ. Fluoresc. Spectrosc. 1999, 445–486. [Google Scholar] [CrossRef]
- Venkatachalam, M.; Monaghan, E.K.; Kshirsagar, H.H.; Robotham, J.M.; O’donnell, S.E.; Gerber, M.S.; Roux, K.H.; Sathe, S.K. Effects of Processing on Immunoreactivity of Cashew Nut (Anacardium occidentale L.) Seed Flour Proteins. J. Agric. Food Chem. 2008, 56, 8998–9005. [Google Scholar] [CrossRef]
- Mattison, C.P.; Bren-Mattison, Y.; Vant-Hull, B.; Vargas, A.M.; Wasserman, R.L.; Grimm, C.C. Heat-Induced Alterations in Cashew Allergen Solubility and IgE Binding. Toxicol. Rep. 2016, 3, 244–251. [Google Scholar] [CrossRef]
- Noorbakhsh, R.; Mortazavi, S.A.; Sankian, M.; Shahidi, F.; Maleki, S.J.; Nasiraii, L.R.; Falak, R.; Sima, H.R.; Varasteh, A. Influence of Processing on the Allergenic Properties of Pistachio Nut Assessed in Vitro. J. Agric. Food Chem. 2010, 58, 10231–10235. [Google Scholar] [CrossRef]








Disclaimer/Publisher’s Note: The statements, opinions and data contained in all publications are solely those of the individual author(s) and contributor(s) and not of MDPI and/or the editor(s). MDPI and/or the editor(s) disclaim responsibility for any injury to people or property resulting from any ideas, methods, instructions or products referred to in the content. |
© 2024 by the authors. Licensee MDPI, Basel, Switzerland. This article is an open access article distributed under the terms and conditions of the Creative Commons Attribution (CC BY) license (https://creativecommons.org/licenses/by/4.0/).
Share and Cite
Shwe Yee, N.; Ng, H.K.; Zeng, J.; Bao, J.; Campbell, D.E.; Turner, P.J.; Lee, N.A. Development of Cashew and Pistachio Ladders through a Food-Processing Approach. Foods 2024, 13, 3440. https://doi.org/10.3390/foods13213440
Shwe Yee N, Ng HK, Zeng J, Bao J, Campbell DE, Turner PJ, Lee NA. Development of Cashew and Pistachio Ladders through a Food-Processing Approach. Foods. 2024; 13(21):3440. https://doi.org/10.3390/foods13213440
Chicago/Turabian StyleShwe Yee, Nicki, Hoi Ka Ng, Jingjing Zeng, Jinjing Bao, Dianne E. Campbell, Paul J. Turner, and Nanju Alice Lee. 2024. "Development of Cashew and Pistachio Ladders through a Food-Processing Approach" Foods 13, no. 21: 3440. https://doi.org/10.3390/foods13213440
APA StyleShwe Yee, N., Ng, H. K., Zeng, J., Bao, J., Campbell, D. E., Turner, P. J., & Lee, N. A. (2024). Development of Cashew and Pistachio Ladders through a Food-Processing Approach. Foods, 13(21), 3440. https://doi.org/10.3390/foods13213440

