Enhancing Solubility and Reducing Thermal Aggregation in Pea Proteins through Protein Glutaminase-Mediated Deamidation
Abstract
:1. Introduction
2. Materials and Methods
2.1. Materials
2.2. Preparation of Pea Protein Isolates (PPI)
2.3. Preparation of Deamidated Pea Protein Samples
2.4. Structural Characterization
2.4.1. Determination of Released Ammonia (Degree of Deamidation)
2.4.2. Determination of the Degree of Hydrolysis (DH)
2.4.3. Sodium Dodecyl Sulfate-Polyacrylamide Gel Electrophoresis (SDS-PAGE)
2.4.4. Zeta Potential Measurement
2.4.5. Fourier Transform Infrared Spectroscopy (FTIR)
2.4.6. Intrinsic Fluorescence Emission Spectroscopy
2.4.7. Surface Hydrophobicity (H0) Analysis
2.5. Determination of Solubility
2.6. Thermal Properties
2.6.1. The Turbidity (Heat Stability) of DPPI Solutions in the Presence of Ions
2.6.2. High-Performance Size Exclusion Chromatography (HPSEC) for DPPI Solution Samples with 0 and 0.1 M NaCl
2.6.3. Transmission Electron Microscopy (TEM)
2.7. Statistical Analysis
3. Results and Discussion
3.1. Structural Characterization
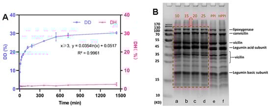
3.1.1. Deamidation Degree, Hydrolysis Degree, and Electrophoretic Analysis of DPPI Samples
3.1.2. Zeta Potential Analysis
3.1.3. Secondary Structure Analysis
3.1.4. Tertiary Structure Analysis
3.2. Solubility Analysis
3.3. The Heat Properties (Resistance against Thermal Aggregation) of DPPI
3.3.1. The Turbidity of DPPI Solutions with Different NaCl Concentrations after Heat Treatment
3.3.2. Molecular Weight Distribution of DPPI Solutions with and without Added 0.1 mol/L NaCl after Heat Treatment
3.3.3. Morphology of the DPPI Samples after Heating at 80 °C for 20 min
3.4. A Supposed Mechanism for the Improvement in Solubility and Heat Properties after Deamidation
4. Conclusions
Supplementary Materials
Author Contributions
Funding
Data Availability Statement
Conflicts of Interest
References
- Boukid, F.; Rosell, C.M.; Castellari, M. Pea protein ingredients: A mainstream ingredient to (re)formulate innovative foods and beverages. Trends Food Sci. Technol. 2021, 110, 729–742. [Google Scholar] [CrossRef]
- Lam, A.C.Y.; Karaca, A.C.; Tyler, R.T.; Nickerson, M.T. Pea protein isolates: Structure, extraction, functionality. Food Rev. Int. 2018, 34, 126–147. [Google Scholar] [CrossRef]
- Asen, N.D.; Aluko, R.E. Physicochemical and Functional Properties of Membrane-Fractionated Heat-Induced Pea Protein Aggregates. Front. Nutr. 2022, 9, 852225. [Google Scholar] [CrossRef] [PubMed]
- Guo, Q.; Su, J.; Yuan, F.; Mao, L.; Gao, Y. Preparation, characterization and stability of pea protein isolate and propylene glycol alginate soluble complexes. LWT Food Sci. Technol. 2019, 101, 476–482. [Google Scholar] [CrossRef]
- Ge, J.; Sun, C.-X.; Corke, H.; Gul, K.; Gan, R.-Y.; Fang, Y. The health benefits, functional properties; modifications, and applications of pea (Pisum sativum L.) protein: Current status, challenges, and perspectives. Compr. Rev. Food Sci. Food Saf. 2020, 19, 1835–1876. [Google Scholar] [CrossRef] [PubMed]
- Miwa, N.; Yokoyama, K.; Wakabayashi, H.; Nio, N. Effect of deamidation by protein-glutaminase on physicochemical and functional properties of skim milk. Int. Dairy J. 2010, 20, 393–399. [Google Scholar] [CrossRef]
- Chen, X.; Fu, W.; Luo, Y.; Cui, C.; Suppavorasatit, I.; Liang, L. Protein deamidation to produce processable ingredients and engineered colloids for emerging food applications. Compr. Rev. Food Sci. Food Saf. 2021, 20, 3788–3817. [Google Scholar] [CrossRef]
- Fang, L.; Xiang, H.; Sun-Waterhouse, D.; Cui, C.; Lin, J. Enhancing the usability of pea protein isolate in food applications through modifying its structural and sensory properties via deamidation by glutaminase. J. Agric. Food Chem. 2020, 68, 1691–1697. [Google Scholar] [CrossRef] [PubMed]
- Qu, Z.; Chen, G.; Wang, J.; Xie, X.; Chen, Y. Preparation, structure evaluation, and improvement in foaming characteristics of fibrotic pea protein isolate by cold plasma synergistic organic acid treatment. Food Hydrocoll. 2023, 134, 108057. [Google Scholar] [CrossRef]
- Yong, Y.H.; Yamaguchi, S.; Matsumura, Y. Effects of enzymatic deamidation by protein-glutaminase on structure and functional properties of wheat gluten. J. Agric. Food Chem. 2006, 54, 6034–6040. [Google Scholar] [CrossRef] [PubMed]
- Suppavorasatit, I.; De Mejia, E.G.; Cadwallader, K.R. Optimization of the enzymatic deamidation of soy protein by protein-glutaminase and its effect on the functional properties of the protein. J. Agric. Food Chem. 2011, 59, 11621–11628. [Google Scholar] [CrossRef]
- Peng, W.; Kong, X.; Chen, Y.; Zhang, C.; Yang, Y.; Hua, Y. Effects of heat treatment on the emulsifying properties of pea proteins. Food Hydrocoll. 2016, 52, 301–310. [Google Scholar] [CrossRef]
- Nielsen, P.M.; Petersen, D.; Dambmann, C. Improved method for determining food protein degree of hydrolysis. J. Food Sci. 2001, 66, 642–646. [Google Scholar] [CrossRef]
- Kato, A.; Nakai, S. Hydrophobicity determined by a fluorescence probe method and its correlation with surface properties of proteins. Biochim. Biophys. Acta 1980, 624, 13–20. [Google Scholar] [CrossRef] [PubMed]
- Adebiyi, A.P.; Aluko, R.E. Functional properties of protein fractions obtained from commercial yellow field pea (Pisum sativum L.) seed protein isolate. Food Chem. 2011, 128, 902–908. [Google Scholar] [CrossRef]
- Kunarayakul, S.; Thaiphanit, S.; Anprung, P.; Suppavorasatit, I. Optimization of coconut protein deamidation using protein-glutaminase and its effect on solubility, emulsification, and foaming properties of the proteins. Food Hydrocoll. 2018, 79, 197–207. [Google Scholar] [CrossRef]
- Yong, Y.H.; Yamaguchi, S.; Gu, Y.S.; Mori, T.; Matsumura, Y. Effects of enzymatic deamidation by protein-glutaminase on structure and functional properties of alpha-zein. J. Agric. Food Chem. 2004, 52, 7094–7100. [Google Scholar] [CrossRef] [PubMed]
- Miwa, N.; Shimba, N.; Nakamura, M.; Yokoyama, K.; Nio, N.; Suzuki, E.; Sonomoto, K. Incorporation of N-15-labeled ammonia into glutamine amide groups by protein-glutaminase and analysis of the reactivity for alpha-lactalbumin. J. Agric. Food Chem. 2011, 59, 12752–12760. [Google Scholar] [CrossRef]
- Hadidi, M.; Ibarz, A.; Pouramin, S. Optimization of extraction and deamidation of edible protein from evening primrose (Oenothera biennis L.) oil processing by-products and its effect on structural and techno-functional properties. Food Chem. 2021, 334, 127613. [Google Scholar] [CrossRef] [PubMed]
- Babiker, E.E. Effect of transglutaminase treatment on the functional properties of native and chymotrypsin-digested soy protein. Food Chem. 2000, 70, 139–145. [Google Scholar] [CrossRef]
- Pihlasalo, S.; Auranen, L.; Hanninen, P.; Harma, H. Method for estimation of protein isoelectric point. Anal. Chem. 2012, 84, 8253–8258. [Google Scholar] [CrossRef]
- Miwa, N.; Yokoyama, K.; Nio, N.; Sonomoto, K. Effect of enzymatic deamidation on the heat-induced conformational changes in whey protein isolate and its relation to gel properties. J. Agric. Food Chem. 2013, 61, 2205–2212. [Google Scholar] [CrossRef]
- Murayama, K.; Tomida, M. Heat-induced secondary structure and conformation change of bovine serum albumin investigated by Fourier transform infrared spectroscopy. Biochemistry 2004, 43, 11526–11532. [Google Scholar] [CrossRef] [PubMed]
- Shao, Q.; Qian, Y.; Wu, P.; Zhang, H.; Cai, C. Graphene oxide-induced conformation changes of glucose oxidase studied by infrared spectroscopy. Colloids Surf. B 2013, 109, 115–120. [Google Scholar] [CrossRef] [PubMed]
- Zhang, B.; Kang, X.; Cheng, Y.; Cui, B.; El-Aty, A.M.A. Impact of high moisture contents on the structure and functional properties of pea protein isolate during extrusion. Food Hydrocoll. 2022, 127, 107508. [Google Scholar] [CrossRef]
- Devi, V.S.; Coleman, D.R.; Truntzer, J. Thermal unfolding curves of high concentration bovine IgG measured by FTIR spectroscopy. Protein J. 2011, 30, 395–403. [Google Scholar] [CrossRef]
- Ayala, N.; Zamora, A.; Rinnan, A.; Saldo, J.; Castillo, M. The effect of heat treatment on the front-face fluorescence spectrum of tryptophan in skim milk. J. Food Compos. Anal. 2020, 92, 103569. [Google Scholar] [CrossRef]
- Ruan, K.; Balny, C. High pressure static fluorescence to study macromolecular structure-function. Biochim. Biophys. Acta (BBA) Protein Struct. Mol. Enzymol. 2002, 1595, 94–102. [Google Scholar] [CrossRef]
- Mession, J.-L.; Chihi, M.L.; Sok, N.; Saurel, R. Effect of globular pea proteins fractionation on their heat-induced aggregation and acid cold-set gelation. Food Hydrocoll. 2015, 46, 233–243. [Google Scholar] [CrossRef]
- Chihi, M.-L.; Mession, J.-L.; Sok, N.; Saurel, R. Heat-induced soluble protein aggregates from mixed pea globulins and beta-lactoglobulin. J. Agric. Food Chem. 2016, 64, 2780–2791. [Google Scholar] [CrossRef]
- Paulson, A.T.; Tung, M.A. Solubility, hydrophobicity and net charge of succinylated canola protein isolate. J. Food Sci. 1987, 52, 1557–1561. [Google Scholar] [CrossRef]
- Hall, D.; Zhao, R.; Dehlsen, I.; Bloomfield, N.; Williams, S.R.; Arisaka, F.; Goto, Y.; Carver, J.A. Protein aggregate turbidity: Simulation of turbidity profiles for mixed aggregation reactions. Anal. Biochem. 2016, 498, 78–94. [Google Scholar] [CrossRef]
- Ma, C.Y.; Harwalkar, V.R. Study of thermal-denaturation of oat globulin by ultraviolet and fluorescence spectrophotometry. J. Agric. Food Chem. 1988, 36, 155–160. [Google Scholar] [CrossRef]
- Li, X.; Li, Y.; Hua, Y.; Qiu, A.; Yang, C.; Cui, S. Effect of concentration, ionic strength and freeze-drying on the heat-induced aggregation of soy proteins. Food Chem. 2007, 104, 1410–1417. [Google Scholar] [CrossRef]
- Delahaije, R.J.B.M.; Wierenga, P.A.; Giuseppin, M.L.F.; Gruppen, H. Comparison of heat-induced aggregation of globular proteins. J. Agric. Food Chem. 2015, 63, 5257–5265. [Google Scholar] [CrossRef] [PubMed]







Disclaimer/Publisher’s Note: The statements, opinions and data contained in all publications are solely those of the individual author(s) and contributor(s) and not of MDPI and/or the editor(s). MDPI and/or the editor(s) disclaim responsibility for any injury to people or property resulting from any ideas, methods, instructions or products referred to in the content. |
© 2023 by the authors. Licensee MDPI, Basel, Switzerland. This article is an open access article distributed under the terms and conditions of the Creative Commons Attribution (CC BY) license (https://creativecommons.org/licenses/by/4.0/).
Share and Cite
Luo, L.; Deng, Y.; Liu, G.; Zhou, P.; Zhao, Z.; Li, P.; Zhang, M. Enhancing Solubility and Reducing Thermal Aggregation in Pea Proteins through Protein Glutaminase-Mediated Deamidation. Foods 2023, 12, 4130. https://doi.org/10.3390/foods12224130
Luo L, Deng Y, Liu G, Zhou P, Zhao Z, Li P, Zhang M. Enhancing Solubility and Reducing Thermal Aggregation in Pea Proteins through Protein Glutaminase-Mediated Deamidation. Foods. 2023; 12(22):4130. https://doi.org/10.3390/foods12224130
Chicago/Turabian StyleLuo, Lijuan, Yuanyuan Deng, Guang Liu, Pengfei Zhou, Zhihao Zhao, Ping Li, and Mingwei Zhang. 2023. "Enhancing Solubility and Reducing Thermal Aggregation in Pea Proteins through Protein Glutaminase-Mediated Deamidation" Foods 12, no. 22: 4130. https://doi.org/10.3390/foods12224130
APA StyleLuo, L., Deng, Y., Liu, G., Zhou, P., Zhao, Z., Li, P., & Zhang, M. (2023). Enhancing Solubility and Reducing Thermal Aggregation in Pea Proteins through Protein Glutaminase-Mediated Deamidation. Foods, 12(22), 4130. https://doi.org/10.3390/foods12224130

