Production, Characterization and Application of a Novel Chitosanase from Marine Bacterium Bacillus paramycoides BP-N07
Abstract
:1. Introduction
2. Materials and Methods
2.1. Materials and Reagents
2.2. Isolation and Identification of Chitosanase-Producing Strains
2.3. Determination of Chitosanase Activity
2.4. Determination of the Growth and Enzyme Production Curves of Bacillus paramycoides BP-N07
2.5. Production and Purification of BpCSN
2.6. Zymogram Analysis of Chitosanase Enzyme BpCSN
2.7. Determination of Optimal pH and pH Stability of BpCSN
2.8. Determination of Optimal Temperature and Thermal Stability of BpCSN
2.9. Effects of Metal Ions on Enzyme Activity of BpCSN
2.10. Determination of Kinetic Parameters and Substrate Specificity of BpCSN
2.11. Analysis of the Hydrolytic Products of BpCSN by TLC and HPLC
2.12. Statistical Analysis
3. Results
3.1. Isolation and Identification of Chitosanase-Producing Strain
3.2. Time-Course Expression Profile of Chitosanase by Bacillus paramycoides BP-N07
3.3. Purification and Zymogram Analysis of BpCSN
3.4. Effect of pH and Temperature on the Catalytic Activity of BpCSN
3.5. Effect of Metal Ions on Enzyme Activity of BpCSN
3.6. Determination of Substrate Specificity and Kinetic Parameters of BpCSN
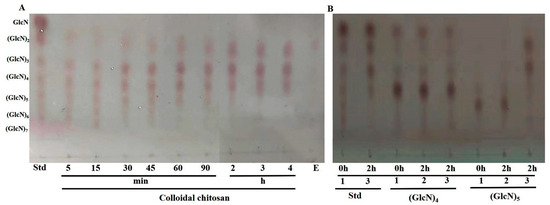
3.7. Identification of Hydrolysis Product and Investigation of Hydrolysis Patterns of Chitosan Catalyzed by BpCSN
4. Discussion
5. Conclusions
Supplementary Materials
Author Contributions
Funding
Data Availability Statement
Conflicts of Interest
References
- Bhuvanachandra, B.; Sivaramakrishna, D.; Alim, S.; Preethiba, G.; Rambabu, S.; Swamy, M.J.; Podile, A.R. New class of chitosanase from Bacillus amyloliquefaciens for the generation of chitooligosaccharides. J. Agric. Food Chem. 2021, 69, 78–87. [Google Scholar] [CrossRef]
- Yan, N.; Chen, X. Sustainability: Don’t waste seafood waste. Nature 2015, 524, 155–157. [Google Scholar] [CrossRef] [PubMed]
- Yang, G.; Hu, Z.; Wang, Y.; Mo, H.; Liu, S.; Hou, X.; Wu, X.; Jiang, H.; Fang, Y. Engineering chitin deacetylase ascda for improving the catalytic efficiency towards crystalline chitin. Carbohydr. Polym. 2023, 318, 121123. [Google Scholar] [CrossRef] [PubMed]
- Yang, G.; Wang, Y.; Fang, Y.; An, J.; Hou, X.; Lu, J.; Zhu, R.; Liu, S. A novel potent crystalline chitin decomposer: Chitin deacetylase from Acinetobacter schindleri MCDA01. Molecules 2022, 27, 5345. [Google Scholar] [CrossRef]
- Dahiya, N.; Tewari, R.; Hoondal, G.S. Biotechnological aspects of chitinolytic enzymes: A review. Appl. Microbiol. Biotechnol. 2006, 71, 773–782. [Google Scholar] [CrossRef] [PubMed]
- Ramanavicius, S.; Ramanavicius, A. Charge transfer and biocompatibility aspects inconducting polymer-based enzymatic biosensors and biofuel cells. Nanomaterials 2021, 11, 371. [Google Scholar] [CrossRef] [PubMed]
- Wang, W.; Meng, Q.; Li, Q.; Liu, J.; Zhou, M.; Jin, Z.; Zhao, K. Chitosan derivatives and their application in biomedicine. Int. J. Mol. Sci. 2020, 21, 487. [Google Scholar] [CrossRef]
- Liaqat, F.; Eltem, R. Chitooligosaccharides and their biological activities: A comprehensive review. Carbohydr. Polym. 2018, 184, 243–259. [Google Scholar] [CrossRef]
- Chen, X.; Zhai, C.; Kang, L.; Li, C.; Yan, H.; Zhou, Y.; Yu, X.; Ma, L. High-level expression and characterization of a highly thermostable chitosanase from Aspergillus fumigatus in Pichia pastoris. Biotechnol. Lett. 2012, 34, 689–694. [Google Scholar] [CrossRef]
- Thadathil, N.; Velappan, S.P. Recent developments in chitosanase research and its biotechnological applications: A review. Food Chem. 2014, 150, 392–399. [Google Scholar] [CrossRef]
- Cantarel, B.L.; Coutinho, P.M.; Rancurel, C.; Bernard, T.; Lombard, V.; Henrissat, B. The carbohydrate-active enzymes database (CAZY): An expert resource for glycogenomics. Nucleic Acids Res. 2009, 37, D233–D238. [Google Scholar] [CrossRef]
- Su, H.; Sun, J.; Jia, Z.; Zhao, H.; Mao, X. Insights into promiscuous chitosanases: The known and the unknown. Appl. Microbiol. Biotechnol. 2022, 106, 6887–6898. [Google Scholar] [CrossRef]
- Eijsink, V.; Hoell, I.; Vaaje-Kolstada, G. Structure and function of enzymes acting on chitin and chitosan. Biotechnol. Genet. Eng. Rev. 2010, 27, 331–366. [Google Scholar] [PubMed]
- Lee, Y.S.; Yoo, J.S.; Chung, S.Y.; Lee, Y.C.; Cho, Y.S.; Choi, Y.L. Cloning, purification, and characterization of chitosanase from Bacillus sp. DAU101. Appl. Microbiol. Biotechnol. 2006, 73, 113–121. [Google Scholar] [CrossRef] [PubMed]
- Tanaka, T.; Fukui, T.; Atomi, H.; Imanaka, T. Characterization of an exo-beta-d-glucosaminidase involved in a novel chitinolytic pathway from the hyperthermophilic archaeon Thermococcus kodakaraensis KOD1. J. Bacteriol. 2003, 185, 5175–5181. [Google Scholar] [CrossRef]
- Zhang, W.; Zhou, J.; Gu, Q.; Sun, R.; Yang, W.; Lu, Y.; Wang, C.; Yu, X. Heterologous expression of GH5 chitosanase in Pichia pastoris and antioxidant biological activity of its chitooligosacchride hydrolysate. J. Biotechnol. 2022, 348, 55–63. [Google Scholar] [CrossRef] [PubMed]
- Sun, H.; Gao, L.; Xue, C.; Mao, X. Marine-polysaccharide degrading enzymes: Status and prospects. Compr. Rev. Food Sci. Food Saf. 2020, 19, 2767–2796. [Google Scholar] [CrossRef]
- Yang, Y.; Zheng, Z.; Xiao, Y.; Zhang, J.; Zhou, Y.; Li, X.; Li, S.; Yu, H. Cloning and characterization of a cold-adapted chitosanase from marine bacterium Bacillus sp. BY01. Molecules 2019, 24, 3915. [Google Scholar] [CrossRef]
- Miller, G.L. Use of dinitrosalicylic acid reagent for determination of reducing sugar. Anal. Chem. 1959, 31, 426–428. [Google Scholar] [CrossRef]
- Pechsrichuang, P.; Yoohat, K.; Yamabhai, M. Production of recombinant Bacillus subtilis chitosanase, suitable for biosynthesis of chitosan-oligosaccharides. Bioresour. Technol. 2013, 127, 407–414. [Google Scholar] [CrossRef]
- Luo, S.; Qin, Z.; Chen, Q.; Fan, L.; Jiang, L.; Zhao, L. High level production of a Bacillus amlyoliquefaciens chitosanase in Pichia pastoris suitable for chitooligosaccharides preparation. Int. J. Biol. Macromol. 2020, 149, 1034–1041. [Google Scholar] [CrossRef]
- Su, H.; Sun, J.; Guo, C.; Jia, Z.; Mao, X. New insights into bifunctional chitosanases with hydrolysis activity toward chito- and cello-substrates. J. Agric. Food Chem. 2022, 70, 6168–6176. [Google Scholar] [CrossRef]
- Mei, Y.X.; Dai, X.Y.; Yang, W.; Xu, X.W.; Liang, Y.X. Antifungal activity of chitooligosaccharides against the dermatophyte Trichophyton rubrum. Int. J. Biol. Macromol. 2015, 77, 330–335. [Google Scholar] [CrossRef]
- Mengibar, M.; Mateos-Aparicio, I.; Miralles, B.; Heras, A. Influence of the physico-chemical characteristics of chito-oligosaccharides (COS) on antioxidant activity. Carbohydr. Polym. 2013, 97, 776–782. [Google Scholar] [CrossRef]
- Cote, N.; Fleury, A.; Dumont-Blanchette, E.; Fukamizo, T.; Mitsutomi, M.; Brzezinski, R. Two exo-beta-d-glucosaminidases/exochitosanases from actinomycetes define a new subfamily within family 2 of glycoside hydrolases. Biochem. J. 2006, 394, 675–686. [Google Scholar] [CrossRef]
- Kang, L.X.; Chen, X.M.; Fu, L.; Ma, L.X. Recombinant expression of chitosanase from bacillus subtilis hd145 in Pichia pastoris. Carbohydr. Res. 2012, 352, 37–43. [Google Scholar] [CrossRef]
- Wang, J.; Li, X.; Chen, H.; Lin, B.; Zhao, L. Heterologous expression and characterization of a high-efficiency chitosanase from Bacillus mojavensis sy1 suitable for production of chitosan oligosaccharides. Front. Microbiol. 2021, 12, 781138. [Google Scholar] [CrossRef]
- PYO, H.I.; JANG, H.K.; LEE, S.Y.; Choi, S.G. Cloning and characterization of a bifunctional cellulase-chitosanase gene from Bacillus lichenformis NBL420. J. Microbiol. Biotechnol. 2003, 13, 35–42. [Google Scholar]
- Cui, D.; Yang, J.; Lu, B.; Shen, H. Efficient preparation of chitooligosaccharide with a potential chitosanase Csn-Sh and its application for fungi disease protection. Front. Microbiol. 2021, 12, 682829. [Google Scholar] [CrossRef]
- Peng, Y.; Wang, Y.; Liu, X.; Zhou, R.; Liao, X.; Min, Y.; Ma, L.; Wang, Y.; Rao, B. Expression and surface display of an acidic cold-active chitosanase in Pichia pastoris using multi-copy expression and high-density cultivation. Molecules 2022, 27, 800. [Google Scholar] [CrossRef]
- Yang, G.; Sun, H.; Cao, R.; Liu, Q.; Mao, X. Characterization of a novel glycoside hydrolase family 46 chitosanase, Csn-BAC, from Bacillus sp. MD-5. Int. J. Biol. Macromol. 2020, 146, 518–523. [Google Scholar] [CrossRef] [PubMed]
- Zhou, J.; Liu, X.; Yuan, F.; Deng, B.; Yu, X. Biocatalysis of heterogenously-expressed chitosanase for the preparation of desirable chitosan oligosaccharides applied against phytopathogenic fungi. ACS Sustainable Chem. Eng. 2020, 8, 4781–4791. [Google Scholar] [CrossRef]
- Guo, N.; Sun, J.; Wang, W.; Gao, L.; Liu, J.; Liu, Z.; Xue, C.; Mao, X. Cloning, expression and characterization of a novel chitosanase from Streptomyces albolongus ATCC 27414. Food Chem. 2019, 286, 696–702. [Google Scholar] [CrossRef] [PubMed]
- Desbrieres, J. Viscosity of semiflexible chitosan solutions: Influence of concentration, temperature, and role of intermolecular interactions. Biomacromolecules 2002, 3, 342–349. [Google Scholar] [CrossRef] [PubMed]
- Pan, A.D.; Zeng, H.Y.; Foua, G.B.; Alain, C.; Li, Y.Q. Enzymolysis of chitosan by papain and its kinetics. Carbohydr. Polym. 2016, 135, 199–206. [Google Scholar] [CrossRef] [PubMed]
- Zhang, J.; Mei, Z.; Huang, X.; Ding, Y.; Liang, Y.; Mei, Y. Inhibition of maillard reaction in production of low-molecular-weight chitosan by enzymatic hydrolysis. Carbohydr. Polym. 2020, 236, 116059. [Google Scholar] [CrossRef]
- Jiang, Z.; Ma, S.; Guan, L.; Yan, Q.; Yang, S. Biochemical characterization of a novel bifunctional chitosanase from Paenibacillus barengoltzii for chitooligosaccharide production. World J. Microbiol. Biotechnol. 2021, 37, 83. [Google Scholar] [CrossRef]
- Chen, T.; Cheng, G.; Jiao, S.; Ren, L.; Zhao, C.; Wei, J.; Han, J.; Pei, M.; Du, Y.; Li, J.J. Expression and biochemical characterization of a novel marine chitosanase from Streptomyces niveus suitable for preparation of chitobiose. Mar. Drugs 2021, 19, 300. [Google Scholar] [CrossRef]
- Sinha, S.; Chand, S.; Tripathi, P. Recent progress in chitosanase production of monomer-free chitooligosaccharides: Bioprocess strategies and future applications. Appl. Biochem. Biotechnol. 2016, 180, 883–899. [Google Scholar] [CrossRef]







Disclaimer/Publisher’s Note: The statements, opinions and data contained in all publications are solely those of the individual author(s) and contributor(s) and not of MDPI and/or the editor(s). MDPI and/or the editor(s) disclaim responsibility for any injury to people or property resulting from any ideas, methods, instructions or products referred to in the content. |
© 2023 by the authors. Licensee MDPI, Basel, Switzerland. This article is an open access article distributed under the terms and conditions of the Creative Commons Attribution (CC BY) license (https://creativecommons.org/licenses/by/4.0/).
Share and Cite
Wang, Y.; Mo, H.; Hu, Z.; Liu, B.; Zhang, Z.; Fang, Y.; Hou, X.; Liu, S.; Yang, G. Production, Characterization and Application of a Novel Chitosanase from Marine Bacterium Bacillus paramycoides BP-N07. Foods 2023, 12, 3350. https://doi.org/10.3390/foods12183350
Wang Y, Mo H, Hu Z, Liu B, Zhang Z, Fang Y, Hou X, Liu S, Yang G. Production, Characterization and Application of a Novel Chitosanase from Marine Bacterium Bacillus paramycoides BP-N07. Foods. 2023; 12(18):3350. https://doi.org/10.3390/foods12183350
Chicago/Turabian StyleWang, Yuhan, Hongjuan Mo, Zhihong Hu, Bingjie Liu, Zhiqian Zhang, Yaowei Fang, Xiaoyue Hou, Shu Liu, and Guang Yang. 2023. "Production, Characterization and Application of a Novel Chitosanase from Marine Bacterium Bacillus paramycoides BP-N07" Foods 12, no. 18: 3350. https://doi.org/10.3390/foods12183350
APA StyleWang, Y., Mo, H., Hu, Z., Liu, B., Zhang, Z., Fang, Y., Hou, X., Liu, S., & Yang, G. (2023). Production, Characterization and Application of a Novel Chitosanase from Marine Bacterium Bacillus paramycoides BP-N07. Foods, 12(18), 3350. https://doi.org/10.3390/foods12183350

