Structure Identification of Two Polysaccharides from Morchella sextelata with Antioxidant Activity
Abstract
:1. Introduction
2. Materials and Methods
2.1. Materials and Pretreatment Methods
2.2. Fractionation of M. sextelata Polysaccharide
2.3. General Analysis of MSP1-1 and MSP1-2
2.4. Methylation
2.5. Nuclear Magnetic Resonance (NMR) Spectroscopy
2.6. Congo Red Test
2.7. Light Scattering Measurements and Morphological Observations
2.8. Thermal Analysis
2.9. Antioxidant Activity
2.10. Statistical Analysis
3. Results and Discussion
3.1. Structural Characterization of MSP1-1 and MSP1-2
3.2. Methylation Analysis of MSP1-1 and MSP1-2
3.3. NMR Analysis of MSP1-1 and MSP1-2
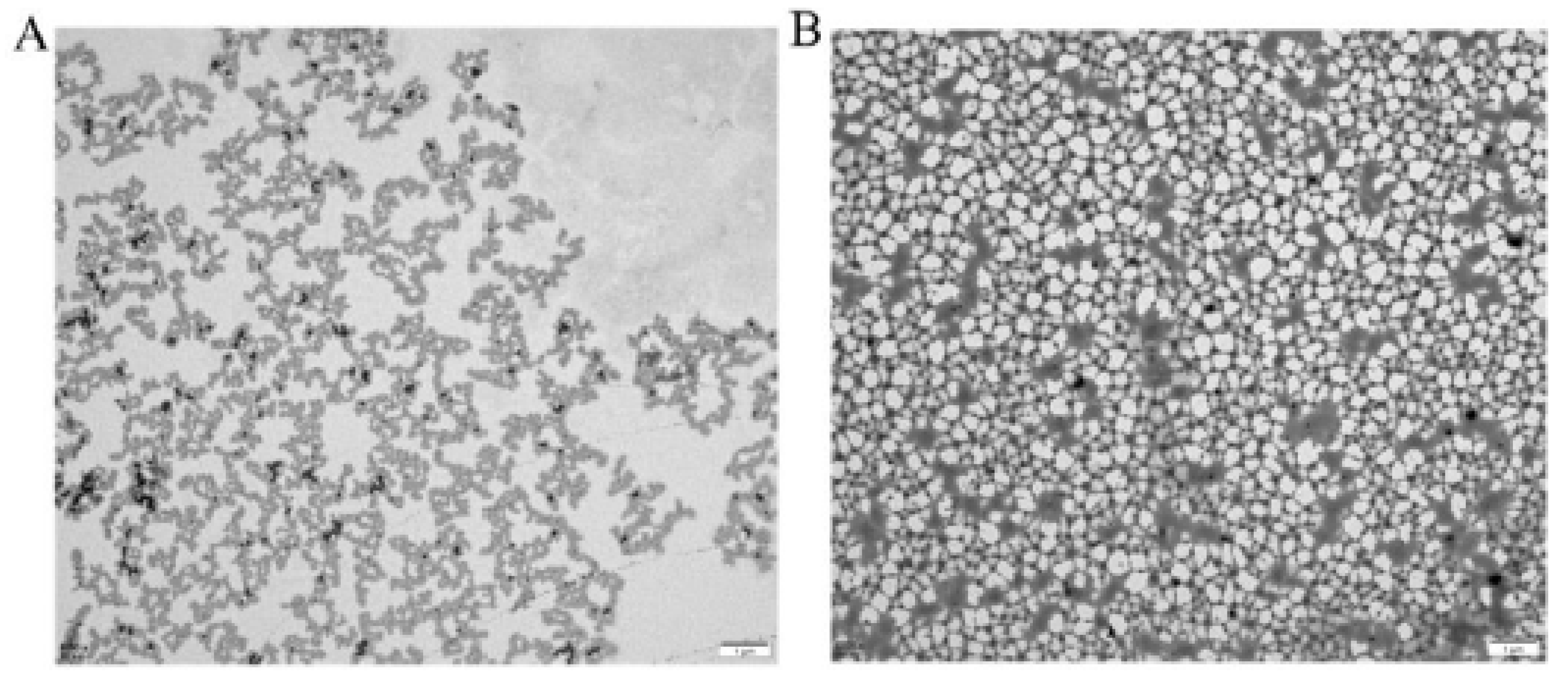
3.4. Conformation and Morphological Properties in Solution
3.4.1. Triple Helix Structural Determination
3.4.2. Conformational Characteristics
3.5. Thermal Properties
3.6. Antioxidant Activity In Vitro
4. Conclusions
Supplementary Materials
Author Contributions
Funding
Institutional Review Board Statement
Informed Consent Statement
Data Availability Statement
Acknowledgments
Conflicts of Interest
Abbreviations
References
- Mingyi, Y.; Belwal, T.; Devkota, H.P.; Li, L.; Luo, Z. Trends of utilizing mushroom polysaccharides (Mps) as potent nutraceutical components in food and medicine: A comprehensive review. Trends Food Sci. Tech. 2019, 92, 94–110. [Google Scholar] [CrossRef]
- Zhang, L.; Li, X.; Xu, X.; Zeng, F. Correlation between antitumor activity, molecular weight, and conformation of lentinan. Carbohyd. Res. 2005, 340, 1515–1521. [Google Scholar] [CrossRef] [PubMed]
- Tietel, Z.; Masaphy, S. True morels (Morchella)-nutritional and phytochemical composition, health benefits and flavor: A review. Crit. Rev. Food Sci. Nutr. 2018, 58, 1888–1901. [Google Scholar] [CrossRef]
- Li, W.; Cai, Z.; Mehmood, S.; Liang, L.; Liu, Y.; Zhang, H.; Chen, Y.; Lu, Y. Anti-inflammatory effects of Morchella esculenta polysaccharide and its derivatives in fine particulate matter-treated NR8383 cells. Int. J. Biol. Macromol. 2019, 129, 904–915. [Google Scholar] [CrossRef] [PubMed]
- Wen, Y.; Bi, S.; Hu, X.; Yang, J.; Li, C.; Li, H.; Yu, D.B.; Zhu, J.; Song, L.; Yu, R. Structural characterization and immunomodulatory mechanisms of two novel glucans from Morchella importuna fruiting bodies. Int. J. Biol. Macromol. 2021, 183, 145–157. [Google Scholar] [CrossRef]
- Lee, S.R.; Roh, H.; Lee, S.; Park, H.B.; Jang, T.S.; Ko, Y.; Baek, K.; Kim, K.H. Bioactivity-guided isolation and chemical characterization of antiproliferative constituents from morel mushroom (Morchella esculenta) in human lung adenocarcinoma cells. J. Funct. Foods 2018, 40, 249–260. [Google Scholar] [CrossRef]
- Liu, C.; Sun, Y.; Mao, Q.; Guo, X.; Li, P.; Liu, Y.; Xu, N. Characteristics and antitumor activity of Morchella esculenta polysaccharide extracted by pulsed electric field. Int. J. Mol. Sci. 2016, 17, 986. [Google Scholar] [CrossRef] [Green Version]
- Cai, Z.; Li, W.; Mehmood, S.; Pan, W.; Wang, Y.; Meng, F.; Wang, X.; Lu, Y.; Chen, Y. Structural characterization, in vitro and in vivo antioxidant activities of a heteropolysaccharide from the fruiting bodies of Morchella esculenta. Carbohyd. Polym. 2018, 195, 29–38. [Google Scholar] [CrossRef]
- Wen, Y.; Peng, D.; Li, C.; Hu, X.; Bi, S.; Song, L.; Peng, B.; Zhu, J.; Chen, Y.; Yu, R. A new polysaccharide isolated from Morchella importuna fruiting bodies and its immunoregulatory mechanism. Int. J. Biol. Macromol. 2019, 137, 8–19. [Google Scholar] [CrossRef]
- Peng, D.; Wen, Y.; Bi, S.; Huang, C.; Yang, J.; Guo, Z.; Huang, W.; Zhu, J.; Yu, R.; Song, L. A new GlcNAc-containing polysaccharide from Morchella importuna fruiting bodies: Structural characterization and immunomodulatory activities in vitro and in vivo. Int. J. Biol. Macromol. 2021, 192, 1134–1149. [Google Scholar] [CrossRef]
- Li, F.; Lei, H.; Xu, H. Influences of subcritical water extraction on the characterization and biological properties of polysaccharides from Morchella sextelata. J. Food Process. Pres. 2021, e16024. [Google Scholar] [CrossRef]
- Yang, Y.; Qiu, Z.; Li, L.; Vidyarthi, S.K.; Zheng, Z.; Zhang, R. Structural characterization and antioxidant activities of one neutral polysaccharide and three acid polysaccharides from ziziphus jujuba cv. Hamidazao: A comparison. Carbohyd. Polym. 2021, 261, 117879. [Google Scholar] [CrossRef] [PubMed]
- Jia, Y.; Wang, Y.; Li, R.; Li, S.; Zhang, M.; He, C.; Chen, H. The structural characteristic of acidic-hydrolyzed corn silk polysaccharides and its protection on the H2O2-injured intestinal epithelial cells. Food Chem. 2021, 356, 129691. [Google Scholar] [CrossRef] [PubMed]
- Tu, W.; Zhu, J.; Bi, S.; Chen, D.; Song, L.; Wang, L.; Zi, J.; Yu, R. Isolation, characterization and bioactivities of a new polysaccharide from Annona squamosa and its sulfated derivative. Carbohyd. Polym. 2016, 152, 287–296. [Google Scholar] [CrossRef] [PubMed]
- Li, S.; Yang, X.; Ma, H.; Yan, J.; Guo, D. Purification, characterization and antitumor activity of polysaccharides extracted from phellinus igniarius mycelia. Carbohyd. Polym. 2015, 133, 24–30. [Google Scholar] [CrossRef]
- Radzki, W.; Ziaja-Sołtys, M.; Nowak, J.; Rzymowska, J.; Topolska, J.; Sławińska, A.; Michalak-Majewska, M.; Zalewska-Korona, M.; Kuczumow, A. Effect of processing on the content and biological activity of polysaccharides from pleurotus ostreatus mushroom. LWT—Food Science and Technology 2016, 66, 27–33. [Google Scholar] [CrossRef]
- Cheng, J.; Song, J.; Liu, Y.; Lu, N.; Wang, Y.; Hu, C.; He, L.; Wei, H.; Lv, G.; Yang, S.; et al. Conformational properties and biological activities of α-d-mannan from sanghuangporus sanghuang in liquid culture. Int. J. Biol. Macromol. 2020, 164, 3568–3579. [Google Scholar] [CrossRef]
- Hawker, C.J.; Lee, R.; Frechet, J.M.J. One-step synthesis of hyperbranched dendritic polyesters. J. Am. Chem. Soc. 1991, 113, 4583–4588. [Google Scholar] [CrossRef]
- Shi, X.; Li, O.; Yin, J.; Nie, S. Structure identification of α-glucans from Dictyophora echinovolvata by methylation and 1d/2d nmr spectroscopy. Food Chem. 2019, 271, 338–344. [Google Scholar] [CrossRef]
- Wang, J.; Nie, S.; Chen, S.; Phillips, A.O.; Phillips, G.O.; Li, Y.; Xie, M.; Cui, S.W. Structural characterization of an α-1, 6-linked galactomannan from natural Cordyceps sinensis. Food Hydrocolloid. 2018, 78, 77–91. [Google Scholar] [CrossRef]
- Bock, K.; Pedersen, C. Carbon-13 nuclear magnetic resonance spectroscopy of monosaccharides. In Advances in Carbohydrate Chemistry and Biochemistry; Tipson, R.S., Horton, D., Eds.; Academic Press: Cambridge, MA, USA, 1983; Volume 41, pp. 27–66. [Google Scholar]
- Jing, L.; Zong, S.; Li, J.; Surhio, M.M.; Ye, M. Purification, structural features and inhibition activity on α-glucosidase of a novel polysaccharide from Lachnum YM406. Process Biochem. 2016, 51, 1706–1713. [Google Scholar] [CrossRef]
- Wang, J.; Nie, S.; Cui, S.W.; Wang, Z.; Phillips, A.O.; Phillips, G.O.; Li, Y.; Xie, M. Structural characterization and immunostimulatory activity of a glucan from natural Cordyceps sinensis. Food Hydrocolloid. 2017, 67, 139–147. [Google Scholar] [CrossRef]
- Zhang, A.; Deng, J.; Liu, X.; He, P.; He, L.; Zhang, F.; Linhardt, R.J.; Sun, P. Structure and conformation of α-glucan extracted from Agaricus blazei Murill by high-speed shearing homogenization. Int. J. Biol. Macromol. 2018, 113, 558–564. [Google Scholar] [CrossRef] [PubMed]
- Yang, X.; Wei, S.; Lu, X.; Qiao, X.; Simal-Gandara, J.; Capanoglu, E.; Woźniak, A.; Zou, L.; Cao, H.; Xiao, J.; et al. A neutral polysaccharide with a triple helix structure from ginger: Characterization and immunomodulatory activity. Food Chem. 2021, 350, 129261. [Google Scholar] [CrossRef]
- Teng, C.; Qin, P.; Shi, Z.; Zhang, W.; Yang, X.; Yao, Y.; Ren, G. Structural characterization and antioxidant activity of alkali-extracted polysaccharides from quinoa. Food Hydrocolloid. 2021, 113, 106392. [Google Scholar] [CrossRef]
- Mutaillifu, P.; Bobakulov, K.; Abuduwaili, A.; Huojiaaihemaiti, H.; Nuerxiati, R.; Aisa, H.A.; Yili, A. Structural characterization and antioxidant activities of a water soluble polysaccharide isolated from Glycyrrhiza glabra. Int. J. Biol. Macromol. 2020, 144, 751–759. [Google Scholar] [CrossRef]
- Choma, A.; Nowak, K.; Komaniecka, I.; Waśko, A.; Pleszczyńska, M.; Siwulski, M.; Wiater, A. Chemical characterization of alkali-soluble polysaccharides isolated from a boletus edulis (Bull.) Fruiting body and their potential for heavy metal biosorption. Food Chem. 2018, 266, 329–334. [Google Scholar] [CrossRef]
- Shen, C.; Wang, T.; Guo, F.; Sun, K.; Wang, B.; Wang, J.; Zhang, Z.; Zhang, X.; Zhao, Y.; Chen, Y. Structural characterization and intestinal protection activity of polysaccharides from sea buckthorn (Hippophae rhamnoides l.) berries. Carbohyd. Polym. 2021, 274, 118648. [Google Scholar] [CrossRef]
- Zhang, H.; Zou, P.; Zhao, H.; Qiu, J.; Regenstein, J.M.; Yang, X. Isolation, purification, structure and antioxidant activity of polysaccharide from pinecones of Pinus koraiensis. Carbohyd. Polym. 2021, 251, 117078. [Google Scholar] [CrossRef]
- Xu, S.; Ping, Z.; Xu, X.; Zhang, L. Changes in shape and size of the stiff branched β-glucan in dimethlysulfoxide/water solutions. Carbohyd. Polym. 2016, 138, 86–93. [Google Scholar] [CrossRef]
- Yin, J.; Nie, S.; Guo, Q.; Wang, Q.; Cui, S.W.; Xie, M. Effect of calcium on solution and conformational characteristics of polysaccharide from seeds of Plantago asiatica L. Carbohyd. Polym. 2015, 124, 331–336. [Google Scholar] [CrossRef] [PubMed]
- Li, M.; Chen, P.; Xu, M.; Xu, X. A novel self-assembly Lentinan-tetraphenylethylene composite with strong blue fluorescence in water and its properties. Carbohyd. Polym. 2017, 174, 13–24. [Google Scholar] [CrossRef] [PubMed]
- Wang, L.; Zhang, B.; Xiao, J.; Huang, Q.; Li, C.; Fu, X. Physicochemical, functional, and biological properties of water-soluble polysaccharides from Rosa roxburghii Tratt fruit. Food Chem. 2018, 249, 127–135. [Google Scholar] [CrossRef] [PubMed]
- Rashid, F.; Ahmed, Z.; Hussain, S.; Huang, J.; Ahmad, A. Linum usitatissimum L. Seeds: Flax gum extraction, physicochemical and functional characterization. Carbohyd. Polym. 2019, 215, 29–38. [Google Scholar] [CrossRef]
- Yang, Y.; Lei, Z.; Zhao, M.; Wu, C.; Wang, L.; Xu, Y. Microwave-assisted extraction of an acidic polysaccharide from Ribes nigrum L.: Structural characteristics and biological activities. Ind. Crop. Prod. 2020, 147, 112249. [Google Scholar] [CrossRef]
- Arab, K.; Ghanbarzadeh, B.; Ayaseh, A.; Jahanbin, K. Extraction, purification, physicochemical properties and antioxidant activity of a new polysaccharide from Ocimum album L. Seed. Int. J. Biol. Macromol. 2021, 180, 643–653. [Google Scholar] [CrossRef]
- Wang, X.; Shao, C.; Liu, L.; Guo, X.; Xu, Y.; Lü, X. Optimization, partial characterization and antioxidant activity of an exopolysaccharide from Lactobacillus plantarum KX041. Int. J. Biol. Macromol. 2017, 103, 1173–1184. [Google Scholar] [CrossRef]
- Zhu, D.; Ma, Y.; Wang, C.; Wang, H.; Ren, Y.; Zhang, J.; Thakur, K.; Wei, Z. Insights into physicochemical and functional properties of polysaccharides sequentially extracted from onion (Allium cepa L.). Int. J. Biol. Macromol. 2017, 105, 1192–1201. [Google Scholar] [CrossRef]
- Zhu, Z.; Chen, J.; Chen, Y.; Ma, Y.; Yang, Q.; Fan, Y.; Fu, C.; Limsila, B.; Li, R.; Liao, W. Extraction, structural characterization and antioxidant activity of turmeric polysaccharides. LWT 2022, 154, 112805. [Google Scholar] [CrossRef]
- Yin, D.; Sun, X.; Li, N.; Guo, Y.; Tian, Y.; Wang, L. Structural properties and antioxidant activity of polysaccharides extracted from Laminaria japonica using various methods. Process Biochem. 2021, 111, 201–209. [Google Scholar] [CrossRef]






| Sample | Retention Time (min) | PMAAs | Linkage Pattern | Relative Percentage (%) |
|---|---|---|---|---|
| MSP1-1 | 9.3 | 1,5-di-O-acetyl-2,3,4,6-tetra-O-methyl glucitol | t-Glc(p) | 15.9 |
| 14.2 | 1,5,6-tri-O-acetyl-2,3,4-tri-O-methyl glucitol | 6-Glc(p) | 10.9 | |
| 14.5 | 1,4,5-tri-O-acetyl-2,3,6-tri-O-methyl glucitol | 4-Glc(p) | 60.8 | |
| 18.8 | 1,4,5,6-tetra-O-acetyl-2,3-di-O-methyl glucitol | 4,6-Glc(p) | 12.4 | |
| MSP1-2 | 9.4 | 1,5-di-O-acetyl-2,3,4,6-tetra-O-methyl glucitol | t-Glc(p) | 10.6 |
| 9.9 | 1,4-di-O-acetyl-2,3,5,6-tetra-O-methyl galactitol | t-Gal(f) | 8.0 | |
| 12.9 | 1,2,5-tri-O-acetyl-3,4,6-tri-O-methyl mannitol | 2-Man(p) | 15.1 | |
| 14.2 | 1,5,6-tri-O-acetyl-2,3,4-tri-O-methyl mannitol | 6-Man(p) | 7.7 | |
| 14.2 | 1,4,5-tri-O-acetyl-2,3,6-tri-O-methyl | 5-Gal(f) | 5.9 | |
| 14.6 | 1,4,5-tri-O-acetyl-2,3,6-tri-O-methyl | 4-Glc(p) | 36.7 | |
| 18.8 | 1,2,5,6-tetra-O-acetyl-3,4-di-O-methyl | 2,6-Man(p) | 6.3 | |
| 18.9 | 1,4,5,6-tetra-O-acetyl-2,3-di-O-methyl | 4,6-Glc(p) | 9.7 |
| Sample | Sugar Residue | Chemical Shifts (ppm) a | ||||||||
|---|---|---|---|---|---|---|---|---|---|---|
| 1 | 2 | 3 | 4 | 5 | 6a | 6b | ||||
| MSP1-1 | A | →4)-α-D-Glcp-(1→ | H | 5.35 | 3.59 | 3.92 | 3.60 | 3.80 | 3.73 | 3.80 |
| C | 100.0 | 71.7 | 73.4 | 77.1 | 71.3 | 60.7 | ||||
| B | →4,6)-α-D-Glcp-(1→ | H | 5.31 | 3.56 | 4.01 | 3.62 | 3.65 | 3.37 | ||
| C | 100.0 | 71.6 | 70.2 | 77.1 | 72.7 | 69.4 | ||||
| C | α-D-Glcp-(1→ | H | 4.92 | 3.52 | 3.66 | 3.36 | 3.95 | 3.73 | 3.80 | |
| C | 98.5 | 72.8 | 72.9 | 73.0 | 74.4 | 60.6 | ||||
| D | →6)-α-D-Glcp-(1→ | H | 4.92 | 3.54 | 3.64 | 3.46 | 3.93 | 3.77 | ||
| C | 99.9 | 71.3 | 73.9 | 69.5 | 70.8 | 68.3 | ||||
| Rα | →4)-α-D-Glcp | H | 5.18 | 3.48 | 3.86 | 3.63 | 3.51 | 3.66 | ||
| C | 92.0 | 71.7 | 71.3 | 76.1 | 74.7 | 62.5 | ||||
| Rβ | →4)-β-D-Glcp | H | 4.58 | 3.20 | 3.69 | 3.80 | 3.55 | 3.66 | ||
| C | 95.8 | 74.1 | 72.9 | 76.9 | 72.9 | 62.5 | ||||
| MSP1-2 | A | →2)-α-D-Manp-(1→ | H | 5.20 | 4.06 | 3.92 | 3.67 | 3.93 | 3.73 | 3.84 |
| C | 100.9 | 78.5 | 70.3 | 67.2 | 73.5 | 60.9 | ||||
| B | →6)-α-D-Manp-(1→ | H | 5.02 | 4.01 | 3.91 | 3.68 | 3.93 | 3.79 | ||
| C | 102.3 | 70.3 | 70.6 | 66.8 | 73.3 | 66.6 | ||||
| C | →2,6)-α-D-Manp-(1→ | H | 5.08 | 4.02 | 3.89 | 3.69 | 3.89 | 3.77 | ||
| C | 98.4 | 78.6 | 69.0 | 66.1 | 74.6 | 66.5 | ||||
| D | α-D-Glcp-(1→ | H | 4.93 | 3.53 | 3.67 | 3.39 | 3.62 | 3.73 | 3.82 | |
| C | 98.7 | 73.3 | 72.9 | 69.4 | 74.2 | 60.7 | ||||
| E | →4)-α-D-Glcp-(1→ | H | 5.36 | 3.58 | 3.93 | 3.61 | 3.81 | 3.83 | 3.71 | |
| C | 99.7 | 71.7 | 73.4 | 77.1 | 71.1 | 60.6 | ||||
| F | →4,6)-α-D-Glcp-(1→ | H | 5.31 | 3.57 | 3.92 | 3.62 | 3.93 | 3.66 | ||
| C | 99.9 | 71.8 | 73.3 | 77.2 | 70.3 | 67.2 | ||||
| G | →5)-β-D-Galf-(1→ | H | 5.34 | 4.11 | 4.00 | 3.95 | 3.9 | 3.65 | 3.80 | |
| C | 108.4 | 81.5 | 78.7 | 82.7 | 78.0 | 62.7 | ||||
| H | β-D-Galf-(1→ | H | 5.18 | 4.13 | 4.00 | 4.02 | 3.82 | 3.66 | 3.80 | |
| C | 109.5 | 81.6 | 79.8 | 82.6 | 72.4 | 62.7 | ||||
| Sample | A2 (cm3mol/g2) | Mw (Da) | Rg (nm) | Rh (nm) | ρ (Rg/Rh) |
|---|---|---|---|---|---|
| MSP1-1 | 5.4 × 10−3 | 1.37 × 105 | 54.6 | 28.9 | 1.89 |
| MSP1-2 | −4.5 × 10−3 | 1.65 × 104 | 51.0 | 34.9 | 1.46 |
Publisher’s Note: MDPI stays neutral with regard to jurisdictional claims in published maps and institutional affiliations. |
© 2022 by the authors. Licensee MDPI, Basel, Switzerland. This article is an open access article distributed under the terms and conditions of the Creative Commons Attribution (CC BY) license (https://creativecommons.org/licenses/by/4.0/).
Share and Cite
Li, F.; Jin, Y.; Wang, J.; Xu, H. Structure Identification of Two Polysaccharides from Morchella sextelata with Antioxidant Activity. Foods 2022, 11, 982. https://doi.org/10.3390/foods11070982
Li F, Jin Y, Wang J, Xu H. Structure Identification of Two Polysaccharides from Morchella sextelata with Antioxidant Activity. Foods. 2022; 11(7):982. https://doi.org/10.3390/foods11070982
Chicago/Turabian StyleLi, Feng, Yu Jin, Jun Wang, and Huaide Xu. 2022. "Structure Identification of Two Polysaccharides from Morchella sextelata with Antioxidant Activity" Foods 11, no. 7: 982. https://doi.org/10.3390/foods11070982
APA StyleLi, F., Jin, Y., Wang, J., & Xu, H. (2022). Structure Identification of Two Polysaccharides from Morchella sextelata with Antioxidant Activity. Foods, 11(7), 982. https://doi.org/10.3390/foods11070982

