Investigation of the Structure and Allergic Potential of Whey Protein by Both Heating Sterilization and Simulation with Molecular Dynamics
Abstract
1. Introduction
2. Materials and Methods
2.1. Materials
2.2. Ultraviolet–Visible (UV) Spectrum Analysis
2.3. Fluorescence Spectrum Analysis
2.4. Circular Dichroic (CD) Spectral Scanning
2.5. Scanning Electron Microscope (SEM) Analysis
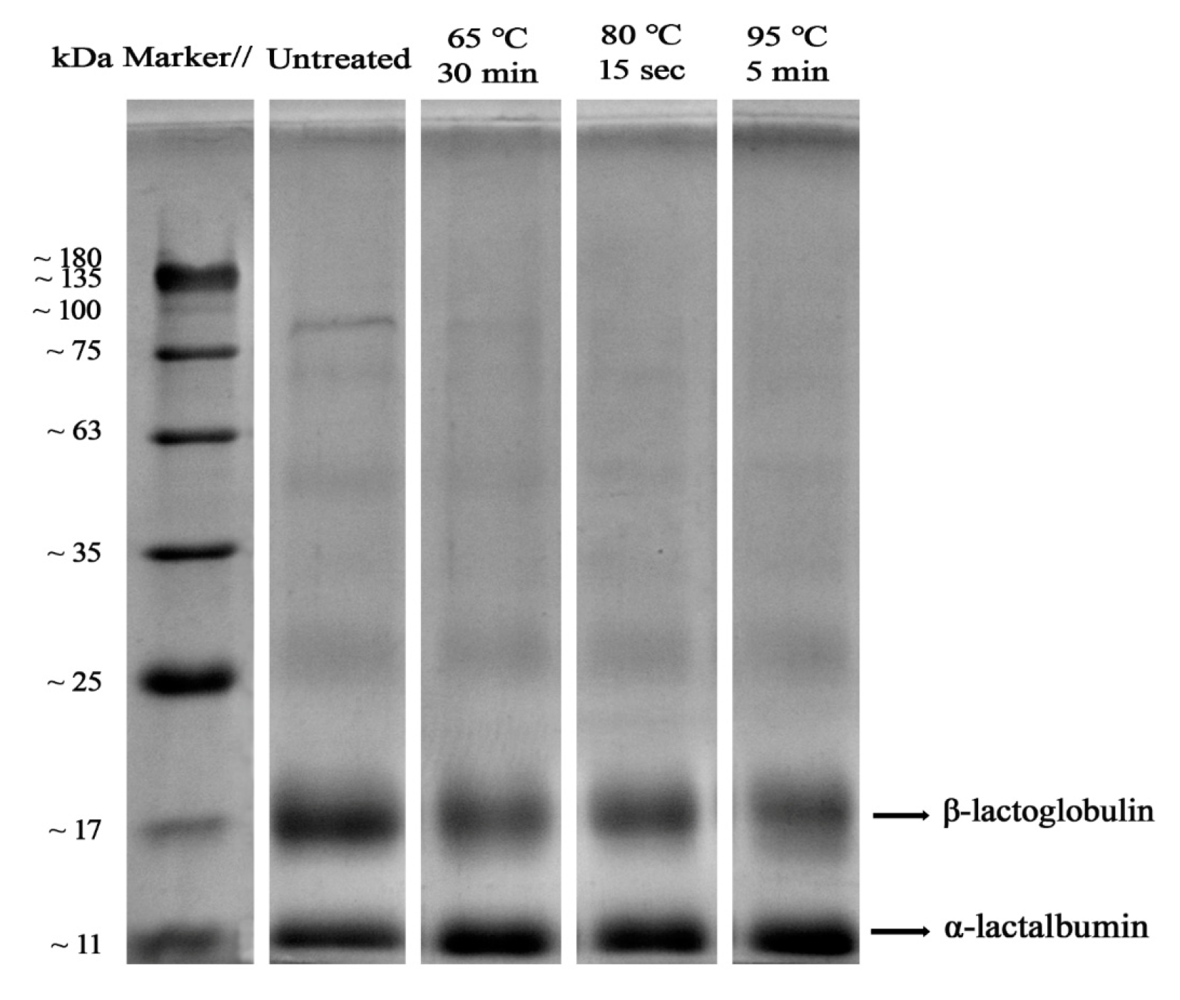
2.6. Reductive SDS-PAGE Analysis
2.7. Determination of Binding Capacity with IgE
2.8. MD Simulations
2.9. Statistical Analysis
3. Results
3.1. SDS-PAGE Analysis
3.2. Spectroscopic Analysis of Whey Protein
3.2.1. UV Spectrum Analysis
3.2.2. Fluorescence Spectrum Analysis
3.2.3. CD Spectrum
3.3. Microstructure Analysis by SEM
3.4. Analysis of Binding Capacity to IgE
3.5. MD Simulations of Major Allergens
3.5.1. α-LA
3.5.2. β-LG
4. Conclusions
Author Contributions
Funding
Data Availability Statement
Conflicts of Interest
References
- Guptill, A. Nature’s Perfect Food: How Milk Became America’s Drink. Rural Sociol. 2003, 68, 305. [Google Scholar]
- Boyano-Martínez, T.; García-Ara, C.; Pedrosa, M.; Díaz-Pena, J.M.; Quirce, S. Accidental allergic reactions in children allergic to cow’s milk proteins. J. Allergy Clin. Immunol. 2009, 123, 883–888. [Google Scholar] [CrossRef]
- Costa, J.; Fernandes, T.J.; Villa, C.; Oliveira, M.B.P.P.; Mafra, I. Food Safety. Innovative Analytical Tools for Safety Assessment. In Advances in Food Allergen Analysis; John Wiley & Sons, Inc.: New York, NY, USA, 2017; pp. 305–360. [Google Scholar]
- Dunlop, J.H.; Keet, C.A. Epidemiology of food allergy. Immunol. Allergy Clin. 2018, 38, 13–25. [Google Scholar] [CrossRef]
- Kaminogawa, S.; Totsuka, M. Allergenicity of milk proteins. In Advanced Dairy Chemistry—1 Proteins; Springer: Boston, MA, USA, 2003; pp. 647–674. [Google Scholar]
- Miciński, J.; Kowalski, I.M.; Zwierzchowski, G.; Szarek, J.; Pierożyński, B.; Zabłocka, E. Characteristics of cow’s milk proteins including allergenic properties and methods for its reduction. Pol. Ann. Med. 2013, 20, 69–76. [Google Scholar] [CrossRef]
- Chen, G.; Huang, K.; Miao, M.; Feng, B.; Campanella, O.H. Molecular dynamics simulation for mechanism elucidation of food processing and safety: State of the art. Compr. Rev. Food Sci. Food Saf. 2019, 18, 243–263. [Google Scholar] [CrossRef] [PubMed]
- Verhoeckx, K.C.; Vissers, Y.M.; Baumert, J.L.; Faludi, R.; Feys, M.; Flanagan, S.; Herouet-Guicheney, C.; Holzhauser, T.; Shimojo, R.; van der Bolt, N.; et al. Food processing and allergenicity. Food Chem. Toxicol. 2015, 80, 223–240. [Google Scholar] [CrossRef]
- Ma, X.J.; Chen, H.B.; Gao, J.Y.; Hu, C.Q.; Li, X. Conformation affects the potential allergenicity of ovalbumin after heating and glycation. Food Addit. Contam. Part. A 2013, 30, 1684–1692. [Google Scholar] [CrossRef] [PubMed]
- Davis, P.J.; Williams, S.C. Protein modification by thermal processing. Allergy 1998, 53, 102–105. [Google Scholar] [CrossRef]
- Starkl, P.; Krishnamurthy, D.; Szalai, K.; Felix, F.; Lukschal, A.; Oberthuer, D.; Sampson, H.A.; Swoboda, I.; Betzel, C.; Untersmayr, E.; et al. Heating affects structure, enterocyte adsorption and signalling, as well as immunogenicity of the peanut allergen Ara h 2. Open Allergy J. 2011, 4, 24. [Google Scholar] [CrossRef]
- Rahaman, T.; Vasiljevic, T.; Ramchandran, L. Effect of processing on conformational changes of food proteins related to allergenicity. Trends Food Sci. Technol. 2016, 49, 24–34. [Google Scholar] [CrossRef]
- Tari, N.R.; Gaygadzhiev, Z.; Guri, A.; Wright, A. Effect of pH and heat treatment conditions on physicochemical and acid gelation properties of liquid milk protein concentrate. J. Dairy Sci. 2021, 104, 6609–6619. [Google Scholar] [CrossRef] [PubMed]
- Renzone, G.; Arena, S.; Scaloni, A. Proteomic characterization of intermediate and advanced glycation end-products in commercial milk samples. J. Proteom. 2015, 117, 12–23. [Google Scholar] [CrossRef] [PubMed]
- Hansson, T.; Oostenbrink, C.; van Gunsteren, W. Molecular dynamics simulations. Curr. Opin. Struct. Biol. 2002, 12, 190–196. [Google Scholar] [CrossRef] [PubMed]
- Garrido-Arandia, M.; Gómez-Casado, C.; Díaz-Perales, A.; Pacios, L.F. Molecular dynamics of major allergens from Alternaria, birch pollen and peach. Mol. Inform. 2014, 33, 682–694. [Google Scholar] [CrossRef]
- Stănciuc, N.; Creţu, A.A.; Banu, I.; Aprodu, I. Advances on the impact of thermal processing on structure and antigenicity of chicken ovomucoid. J. Sci. Food Agric. 2018, 98, 3119–3128. [Google Scholar] [CrossRef]
- Stănciuc, N.; Banu, I.; Bolea, C.; Patraşcu, L.; Aprodu, I. Structural and antigenic properties of thermally treated gluten proteins. Food Chem. 2018, 267, 43–51. [Google Scholar] [CrossRef]
- Li, D.Y.; Tan, Z.F.; Liu, Z.Q.; Wu, C.; Liu, H.L.; Guo, C.; Zhou, D.Y. Effect of hydroxyl radical induced oxidation on the physicochemical and gelling properties of shrimp myofibrillar protein and its mechanism. Food Chem. 2021, 351, 129344. [Google Scholar] [CrossRef]
- Li, N.; Zhang, K.X.; Du, J.Y.; Tan, Z.F.; Xu, Y.P.; Liu, X.Y.; Zhou, D.-Y.; Li, D.Y. High-intensity ultrasound improved the physicochemical and gelling properties of Litopenaeus vannamei myofibrillar protein. Ultrason. Sonochemistry 2022, 90, 106217. [Google Scholar] [CrossRef]
- Jean, K.; Renan, M.; Famelart, M.H.; Guyomarc’h, F. Structure and surface properties of the serum heat-induced protein aggregates isolated from heated skim milk. Int. Dairy J. 2006, 16, 303–315. [Google Scholar] [CrossRef]
- Ding, F.Q.; Kai, Q.; Zhong, Q.D.; Lv, X.L.; Li, J.Y.; Xiong, Z.H. Evaluation of Available Protein Components in Milk-based Infant Formula by SDS-PAGE. Food Ferment. Ind. 2012, 38, 190–197. [Google Scholar]
- Liu, J.; Tu, Z.C.; Liu, G.X.; Niu, C.D.; Yao, H.L.; Wang, H.; Kaltashov, I.A. Ultrasonic pretreatment combined with dry-state glycation reduced the immunoglobulin E/immunoglobulin G-binding ability of α-lactalbumin revealed by high-resolution mass spectrometry. J. Agric. Food Chem. 2018, 66, 5691–5698. [Google Scholar] [CrossRef] [PubMed]
- Hang, D.M.; Li-Xing, F.E.N.G.; Lu, L.I.; Miao, L.I.U.; Jiang, B.H.; Min, Y.A.N.G.; Xuan, L.I.U. Nano-LC-ESI MS/MS analysis of proteins in dried sea dragon Solenognathus hardwickii and bioinformatic analysis of its protein expression profiling. Chin. J. Nat. Med. 2016, 14, 709–713. [Google Scholar]
- Chen, W.L.; Hwang, M.T.; Liau, C.Y.; Ho, J.C.; Hong, K.C.; Mao, S.J.T. β-Lactoglobulin is a thermal marker in processed milk as studied by electrophoresis and circular dichroic spectra. J. Dairy Sci. 2005, 88, 1618–1630. [Google Scholar] [CrossRef] [PubMed]
- Schokker, E.P.; Singh, H.; Creamer, L.K. Heat-induced aggregation of β-lactoglobulin A and B with α-lactalbumin. Int. Dairy J. 2000, 10, 843–853. [Google Scholar] [CrossRef]
- Dalgleish, D.G. Casein micelles as colloids: Surface structures and stabilities. J. Dairy Sci. 1998, 81, 3013–3018. [Google Scholar] [CrossRef]
- Lacotte, P.; Gomez, F.; Bardeau, F.; Muller, S.; Acharid, A.; Quervel, X.; Trossat, P.; Birlouez-Aragon, I. Amaltheys: A fluorescence-based analyzer to assess cheese milk denatured whey proteins. J. Dairy Sci. 2015, 98, 6668–6677. [Google Scholar] [CrossRef]
- Wang, C.; Wang, J.; Zhu, D.; Hu, S.; Kang, Z.; Ma, H. Effect of dynamic ultra-high pressure homogenization on the structure and functional properties of whey protein. J. Food Sci. Technol. 2020, 57, 1301–1309. [Google Scholar] [CrossRef]
- Yin, S.W.; Tang, C.H.; Wen, Q.B.; Yang, X.Q.; Li, L. Functional properties and in vitro trypsin digestibility of red kidney bean (Phaseolus vulgaris L.) protein isolate: Effect of high-pressure treatment. Food Chem. 2008, 110, 938–945. [Google Scholar] [CrossRef]
- Zhao, C.; Wu, Y.; Liu, X.; Liu, B.; Cao, H.; Yu, H.; Sarker, S.D.; Nahar, L.; Xiao, J. Functional properties, structural studies and chemo-enzymatic synthesis of oligosaccharides. Trends Food Sci. Technol. 2017, 66, 135–145. [Google Scholar] [CrossRef]
- Toda, M.; Heilmann, M.; Ilchmann, A.; Vieths, S. The Maillard reaction and food allergies: Is there a link? Clin. Chem. Lab. Med. 2014, 52, 61–67. [Google Scholar] [CrossRef]
- Zheng, Z.; Liao, P.; Luo, Y.; Li, Z. Effects of Fermentation by Lactobacillus delbrueckii subsp. bulgaricus Refrigeration and Simulated Gastrointestinal Digestion on the Antigenicity of Four Milk Proteins. J. Food Process. Preserv. 2014, 38, 1106–1112. [Google Scholar] [CrossRef]
- Kleber, N.; Hinrichs, J. Antigenic response of β-lactoglobulin in thermally treated bovine skim milk and sweet whey. Milchwissenschaft 2007, 62, 121–124. [Google Scholar]
- Justino, G.C.; Nascimento, C.P.; Justino, M.C. Molecular dynamics simulations and analysis for bioinformatics undergraduate students. Biochem. Mol. Biol. Educ. 2021, 49, 570–582. [Google Scholar] [CrossRef] [PubMed]
- Baildya, N.; Ghosh, N.N.; Chattopadhyay, A.P. Inhibitory activity of hydroxychloroquine on COVID-19 main protease: An insight from MD-simulation studies. J. Mol. Struct. 2020, 1219, 128595. [Google Scholar] [CrossRef]
- Huo, J.; Xu, Y.; Wang, N.; Wang, P.; Zhu, M.; Zhang, Y.; Gao, Y.; Xiao, Z. Functional and Structural Properties of Extruded Rice Protein and Glucose Conjugates: Influence of Extrusion Temperature. Food Sci. OL Chin. 2021, 1, 1–26. [Google Scholar]
- Järvinen, K.M.; Chatchatee, P.; Bardina, L.; Beyer, K.; Sampson, H.A. IgE and IgG binding epitopes on α-lactalbumin and β-lactoglobulin in cow’s milk allergy. Int. Arch. Allergy Immunol. 2001, 126, 111–118. [Google Scholar] [CrossRef]
- Maynard, F.; Jost, R.; Wal, J.M. Human IgE binding capacity of tryptic peptides from bovine α-lactalbumin. Int. Arch. Allergy Immunol. 1997, 113, 478–488. [Google Scholar] [CrossRef]
- Cong, Y.J.; Li, L.F. Identification of the critical amino acid residues of immunoglobulin E and immunoglobulin G epitopes in β-lactoglobulin by alanine scanning analysis. J. Dairy Sci. 2012, 95, 6307–6312. [Google Scholar] [CrossRef]
- Selo, I.; Clément, G.; Bernard, H.; Chatel, J.; Créminon, C.; Peltre, G.; Wal, J. Allergy to bovine beta-lactoglobulin: Specificity of human IgE to tryptic peptides. Clin. Exp. Allergy J. Br. Soc. Allergy Clin. Immunol. 1999, 29, 1055–1063. [Google Scholar] [CrossRef]








| Number | Gender | Age | Allergy Clinical Symptoms | Specific IgE Levels in Serum (IU/mL) |
|---|---|---|---|---|
| 1 | Female | 8 months | Atopic dermatitis | 4.646 |
| 2 | Male | 4 years | Asthmatic bronchitis | 11.459 |
| 3 | Female | 4 years | None | 4.078 |
| 4 | Male | 3 years | Childhood asthma | 4.121 |
| 5 | Male | 1 year | Atopic dermatitis | 5.203 |
| 6 | Male | 3 years | Eczematous Dermatitis | 15.803 |
| 7 | Male | 6 years | Nausea | 3.504 |
| 8 | Male | 2 years | Abnormal weight gain | 6.184 |
| 9 | Male | 3 years | Physical examination | 7.944 |
| 10 | Male | 7 years | Stomachache | 5.958 |
| 11 | Female | 2 years | Rash | 6.098 |
| 12 | Male | 6 years | Acute rhinitis | 7.008 |
| 13 | Male | 2 years | Nosebleeds | 17.075 |
| 14 | Male | 4 years | Cough | 3.769 |
| 15 | Female | 3 years | Acute bronchitis | 4.683 |
Publisher’s Note: MDPI stays neutral with regard to jurisdictional claims in published maps and institutional affiliations. |
© 2022 by the authors. Licensee MDPI, Basel, Switzerland. This article is an open access article distributed under the terms and conditions of the Creative Commons Attribution (CC BY) license (https://creativecommons.org/licenses/by/4.0/).
Share and Cite
Zhang, Z.; Ma, R.; Xu, Y.; Chi, L.; Li, Y.; Mu, G.; Zhu, X. Investigation of the Structure and Allergic Potential of Whey Protein by Both Heating Sterilization and Simulation with Molecular Dynamics. Foods 2022, 11, 4050. https://doi.org/10.3390/foods11244050
Zhang Z, Ma R, Xu Y, Chi L, Li Y, Mu G, Zhu X. Investigation of the Structure and Allergic Potential of Whey Protein by Both Heating Sterilization and Simulation with Molecular Dynamics. Foods. 2022; 11(24):4050. https://doi.org/10.3390/foods11244050
Chicago/Turabian StyleZhang, Zhao, Ruida Ma, Yunpeng Xu, Lei Chi, Yue Li, Guangqing Mu, and Xuemei Zhu. 2022. "Investigation of the Structure and Allergic Potential of Whey Protein by Both Heating Sterilization and Simulation with Molecular Dynamics" Foods 11, no. 24: 4050. https://doi.org/10.3390/foods11244050
APA StyleZhang, Z., Ma, R., Xu, Y., Chi, L., Li, Y., Mu, G., & Zhu, X. (2022). Investigation of the Structure and Allergic Potential of Whey Protein by Both Heating Sterilization and Simulation with Molecular Dynamics. Foods, 11(24), 4050. https://doi.org/10.3390/foods11244050

