Effect of Encapsulated Ferrous Sulphate Fortified Salt on Hemoglobin Levels in Anemic Rats
Abstract
:1. Introduction
2. Material and Methods
2.1. Salt Formulations and Diet
2.2. Animal Experiment, Care and Management
2.3. Clinical Observations of Animals
2.4. Study Design
2.5. Estimation of Hemoglobin [Hb]
2.6. Histopathology Examination
2.7. Institutional Review Board Statement
2.8. Statistical Analysis
3. Results
3.1. Development of Anemia in Rats
3.2. Recovery of Animals from Anemia

3.3. Body Weight Analysis
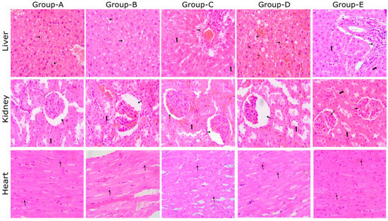
3.4. Histopathology
- Liver: showing cytoplasmic vacuolation of hepatocytes (thin arrow); Groups A, B, and D; showing normal histology, portal triad (thin arrow), and hepatocyte (thick arrow); Groups C and E (H & E, 400×).
- Kidney: showing dilated bowman’s space (thin arrow); note the normal tubule (thick arrow); Groups A, B, C, and D; showing normal histology, glomeruli (thin arrow), and tubules (thick arrow); E (H & E, 400×).
- Heart: showing normal histology, muscle fiber (thin arrow); A, B, C, D, and E (H & E, 400×).
4. Discussion
5. Conclusions
Author Contributions
Funding
Institutional Review Board Statement
Informed Consent Statement
Data Availability Statement
Acknowledgments
Conflicts of Interest
References
- Stoltzfus, R.J. Iron deficiency: Global prevalence and consequences. Food Nutr. Bull. 2003, 24, S99–S103. [Google Scholar] [CrossRef] [PubMed]
- Colin, D.M.; Stein, C.D.; Fat, M.; Rao, C.; Inoue, M.; Tomijima, N.; Bernard, C.; Lopez, A.D.; Murray, C.J.L. Global Burden of Disease 2000: Version 2 Methods and Results; World Health Organization: Geneva, Switzerland, 2002. [Google Scholar]
- WHO; UNICEF; UNU. IDA: Prevention, assessment and control. In Report of a Joint WHO/UNICEF/UNU Consultation; World Health Organization: Geneva, Switzerland, 1998; pp. 1–9. [Google Scholar]
- WHO; UNICEF; ICCIDD. Assessment of Iodine Deficiency Disorders and Monitoring Their Elimination; WHO/NHD/01.1; World Health Organization: Geneva, Switzerland, 2001. [Google Scholar]
- De Benoist, B.; Cogswell, M.; Egli, I.; McLean, E. Worldwide Prevalence of Anaemia 1993–2005; WHO Global Database of Anaemia: Geneva, Switzerland, 2008. [Google Scholar]
- Nair, K.M.; Bhaskaram, P.; Balakrishna, N.; Ravinder, P.; Sesikeran, B. Response of haemoglobin, serum ferritin and transferrin receptor during iron supplementation in pregnancy. Nutrition 2004, 20, 896–899. [Google Scholar] [CrossRef] [PubMed]
- National Nutrition Monitoring Bureau (NNMB). Prevalence of Micronutrient Deficiencies; NNMB Technical Report No.22; National Institute of Nutrition, Indian Council of Medical Research: Hyderabad, India, 2003. [Google Scholar]
- Sivakumar, B.; Nair, K.M. Double fortified salt at crossroads. Indian J. Pediatr. 2002, 69, 617–623. [Google Scholar] [CrossRef] [PubMed]
- National Nutrition Policy, Governments of India, Department of Women and Child Welfare, Ministry of Human Resource Development, New Delhi 1993. Available online: https://wcd.nic.in/sites/default/files/National%20Nutrition%20Policy_0.pdf (accessed on 8 May 2022).
- Ganz, T. Anemia of inflammation. N. Engl. J. Med. 2019, 381, 1148–1157. [Google Scholar] [CrossRef]
- Fishman, S.M.; Christian, P.; West, K.P. The role of vitamins in the prevention and control of anaemia. Public Health Nutr. 2000, 3, 125–150. [Google Scholar] [CrossRef] [Green Version]
- Kassebaum, N.J.; Jasrasaria, R.; Naghavi, M.; Wulf, S.K.; Johns, N.; Lozano, R. A systematic analysis of global anemia burden from 1990 to 2010. Blood 2014, 123, 615–624. [Google Scholar] [CrossRef]
- Zimmermann, M.B.; Adou, P.; Torresani, T.; Zeder, C.; Hurrell, R. Persistence of goiter despite oral iodine supplementation in goitrous children with iron deficiency anemia in Cote d’lvoire. Am. J. Clin. Nutr. 2000, 71, 88–93. [Google Scholar] [CrossRef]
- Zimmermann, M.B.; Wegmueller, R.; Zeder, C.; Chaouki, N.; Rohner, F.; Saïssi, M.; Torresani, T.; Hurrell, R.F. Dual fortification of salt with iodine and micronized ferric pyrophosphate: A randomized, double blind, controlled trial. Am. J. Clin. Nutr. 2004, 80, 952–959. [Google Scholar] [CrossRef]
- Zimmermann, M.B.; Hurrell, R.F. Nutritional iron deficiency. Lancet 2007, 370, 511–520. [Google Scholar] [CrossRef]
- Agarwal, K.N.; Agarwal, D.K.; Sharma, A.; Sharma, K.; Prasad, K.; Kalita, M.C.; Khetarpaul, N.; Kapoor, A.C.; Vijayalekshmi, L.; Govilla, A.K.; et al. Prevalence of anaemia in pregnant and lactating women in India. Indian J. Med. Res. 2006, 124, 173–184. [Google Scholar]
- Hurrell, R.F. Iron fortification practices and implications for iron addition to salt. J. Nutr. 2021, 151, 3S–14S. [Google Scholar] [CrossRef] [PubMed]
- Houston, R.; Tsang, B.L.; Gorstein, J. The Double-Fortified Salt (Iodized Salt with Iron) Consultation: A Process for Developing Evidence-Based Considerations for Countries. J. Nutr. 2021, 151, 1S–2S. [Google Scholar] [CrossRef] [PubMed]
- Diosady, L.L.; Mannar, M.G.V.; Krishnaswamy, K. Improving the lives of millions through new double fortification of salt technology. Matern. Child Nutr. 2019, 15, e12773. [Google Scholar] [CrossRef] [PubMed]
- Olson, A.D.; Hamilin, W.B. A new method for serum iron and total iron binding capacity by atomic absorption spectrophotometry. Clin. Chem. 1969, 6, 438–444. [Google Scholar] [CrossRef]
- Steiner, P. Brain fuel utilization in the developing brain. Ann. Nutr. Metab. 2019, 75, 8–18. [Google Scholar] [CrossRef]
- Scholl, T.O. Iron status during pregnancy: Setting the stage for mother and infant. Am. J. Clin. Nutr. 2005, 8, 218S–1222S. [Google Scholar] [CrossRef]
- Gasche, C.; Lomer, M.; Cavill, I.; Weiss, G. Iron, anaemia, and inflammatory bowel diseases. Gut 2004, 53, 1190–1197. [Google Scholar] [CrossRef] [Green Version]
- Rockey, D.C. Occult gastrointestinal bleeding. N. Engl. J. Med. 1999, 341, 38–46. [Google Scholar] [CrossRef]
- Miret, S.; Tascioglu, S.; Van der Burg, M.; Frenken, L.; Klkre, W. In vitro bioavailability of iron from the heme analogue sodium iron chlorophyllin. J. Agric. Food Chem. 2010, 58, 1327–1332. [Google Scholar] [CrossRef]
- Kamei, A.; Watanabe, Y.; Ishijima, T.; Uehara, M.; Arai, S.; Kato, H.; Abe, K. Dietary iron-deficient anemia induces a variety of metabolic changes and even apoptosis in rat liver: A DNA microarray study. Physiol. Genom. 2010, 42, 149–156. [Google Scholar] [CrossRef]
- Nascimento, A.F.; Sugizaki, M.M.; Leopoldo, A.S.; Lima-Leopoldo, A.P.; Luvizotto, R.A.; Nogueira, C.R.; Cicogna, A.C. A hypercaloric pellet-diet cycle induces obesity and co-morbidities in Wistar rats. Arq. Bras. Endocrinol. Metabol. 2008, 52, 968–974. [Google Scholar] [CrossRef] [PubMed] [Green Version]
- Thakur, M.K.; Kulkarni, S.S.; Mohanty, N.; Kadam, N.N.; Swain, N.S. Standardization and Development of Rat Model with Iron Deficiency Anaemia Utilising Commercially Available Iron Deficient Food. Biosci. Biotechnol. Res. Asia 2019, 16, 71. [Google Scholar] [CrossRef]
- Susanti, T.; Dirgahayu, P.; Indarto, D. Development of Rat Model with Iron Deficiency Anemia by Modification of Its Standard Food. In The 2nd Public Health International Conference; Atlantis Press: Paris, France, 2017. [Google Scholar]
- Xiao, C.; Lei, X.; Wang, Q.; Du, Z.; Jiang, Z.; Chen, S. Effects of a tripeptide iron on iron-deficiency anemia in rats. Biol. Trace Elem. Res. 2016, 169, 211–217. [Google Scholar] [CrossRef] [PubMed]
- Zhu, Q.; Qian, Y.; Yang, Y.; Wu, W.; Xie, J.; Wei, D. Effects of carbonyl iron powder on iron deficiency anemia and its subchronic toxicity. J. Food Drug Anal. 2016, 24, 746–753. [Google Scholar] [CrossRef] [Green Version]
- Yun, S.; Zhang, T.; Li, M.; Chen, B.; Zhao, G. Proanthocyanidins inhibit iron absorption from soybean (glycine max) seed ferritin in rats with iron deficiency anemia. Plant Foods Hum. Nutr. 2011, 66, 212–217. [Google Scholar] [CrossRef]
- Salaheldin, T.A.; Regheb, E.M. In-vivo nutritional and toxicological evaluation of nano iron fortified biscuits as food supplement for iron deficient anemia. J. Nanomed. Res. 2016, 3, 00049. [Google Scholar] [CrossRef] [Green Version]


| Content | Formulation-A (ppm) | Formulation-B (ppm) | Formulation-C (ppm) | Iron-Deficient Diet (ppm) |
|---|---|---|---|---|
| Casein | 200.00 | 200.00 | 200.00 | 200.00 |
| L-Cystine | 3.00 | 3.00 | 3.00 | 3.00 |
| Corn starch | 397.486 | 397.486 | 397.486 | 397.486 |
| Maltodextrin 10 | 132.00 | 132.00 | 132.00 | 132.00 |
| Sucrose | 100.00 | 100.00 | 100.00 | 100.00 |
| Avicel PH101 | 50.00 | 50.00 | 50.00 | 50.00 |
| Soybean oil | 70.00 | 70.00 | 70.00 | 70.00 |
| Butylhydroquinone | 0.014 | 0.014 | 0.014 | 0.014 |
| Mineral mix S18706 | 35.00 | 35.00 | 35.00 | 35.00 |
| Ferrous sulphate | 900.00 | 450.00 | 450.00 | 0.00 |
| Vitamin mix V10037 | 10.00 | 10.00 | 10.00 | 10.00 |
| Choline bitartrate | 2.500 | 2.500 | 2.500 | 2.500 |
| Sr. No | Ingredients | Percentage |
|---|---|---|
| 1 | Crude protein | 18.77 |
| 2 | Crude fat | 4.95 |
| 3 | Crude fiber | 5.30 |
| 4 | Calcium | 0.97 |
| 5 | Phosphorous | 0.68 |
| 6 | Total ash | 5.60 |
| 7 | Carbohydrates | 57.23 |
| 8 | Metabolizeble energy (kcal/gram) | 3.10 |
| Days | Hemoglobin [g/dL] | Mean | SD | ||||
|---|---|---|---|---|---|---|---|
| Day-1 | 13.24 | 15.83 | 16.25 | 16.24 | 16.08 | 15.52 | 1.29 |
| Day-15 | 10.73 | 13.49 | 14.95 | 11 | 13.64 | 12.76 | 1.82 |
| Day-26 | 10.73 | 10.96 | 11.14 | 9.37 | 8.37 | 10.11 | 1.19 |
Publisher’s Note: MDPI stays neutral with regard to jurisdictional claims in published maps and institutional affiliations. |
© 2022 by the authors. Licensee MDPI, Basel, Switzerland. This article is an open access article distributed under the terms and conditions of the Creative Commons Attribution (CC BY) license (https://creativecommons.org/licenses/by/4.0/).
Share and Cite
Shinde, D.B.; Koratkar, S.S.; Rale, V.; NM, S.; Mishra, N. Effect of Encapsulated Ferrous Sulphate Fortified Salt on Hemoglobin Levels in Anemic Rats. Foods 2022, 11, 1795. https://doi.org/10.3390/foods11121795
Shinde DB, Koratkar SS, Rale V, NM S, Mishra N. Effect of Encapsulated Ferrous Sulphate Fortified Salt on Hemoglobin Levels in Anemic Rats. Foods. 2022; 11(12):1795. https://doi.org/10.3390/foods11121795
Chicago/Turabian StyleShinde, Dasharath B., Santosh S. Koratkar, Vinay Rale, Shashikala NM, and Neetu Mishra. 2022. "Effect of Encapsulated Ferrous Sulphate Fortified Salt on Hemoglobin Levels in Anemic Rats" Foods 11, no. 12: 1795. https://doi.org/10.3390/foods11121795
APA StyleShinde, D. B., Koratkar, S. S., Rale, V., NM, S., & Mishra, N. (2022). Effect of Encapsulated Ferrous Sulphate Fortified Salt on Hemoglobin Levels in Anemic Rats. Foods, 11(12), 1795. https://doi.org/10.3390/foods11121795

