Quorum Quenching Enzyme (PF-1240) Capable to Degrade AHLs as a Candidate for Inhibiting Quorum Sensing in Food Spoilage Bacterium Hafnia alvei
Abstract
:1. Introduction
2. Methods and Materials
2.1. Bacterial Strains, Growth Conditions, and Reagents
2.2. Extraction of H. alvei AHLs
2.3. Expression and Purification of PF-1240
2.4. Determination of PF-1240 Concentration and Validation of Its Activity
2.5. Enzymatic Properties of PF-1240
2.6. Inhibitory Effect of PF-1240 on Spoilage Characteristics of H. alvei
2.6.1. Effect of PF-1240 on Cell Viability
2.6.2. Effect of PF-1240 on Production of Purpurin in CV026
2.6.3. Effect of PF-1240 on Biofilm of H. alvei
Determination of Biofilm by Enzyme Plate Method
SEM Analysis of Biofilms
2.6.4. Determination of Extracellular Polymers
2.6.5. Detection of Siderophore
CAS Plate Tests
Detection of Siderophore in Liquid Medium
2.6.6. Motility Inhibition Assays
2.6.7. Determination of Protease
2.6.8. Determination of Lipase
3. Results and Discussion
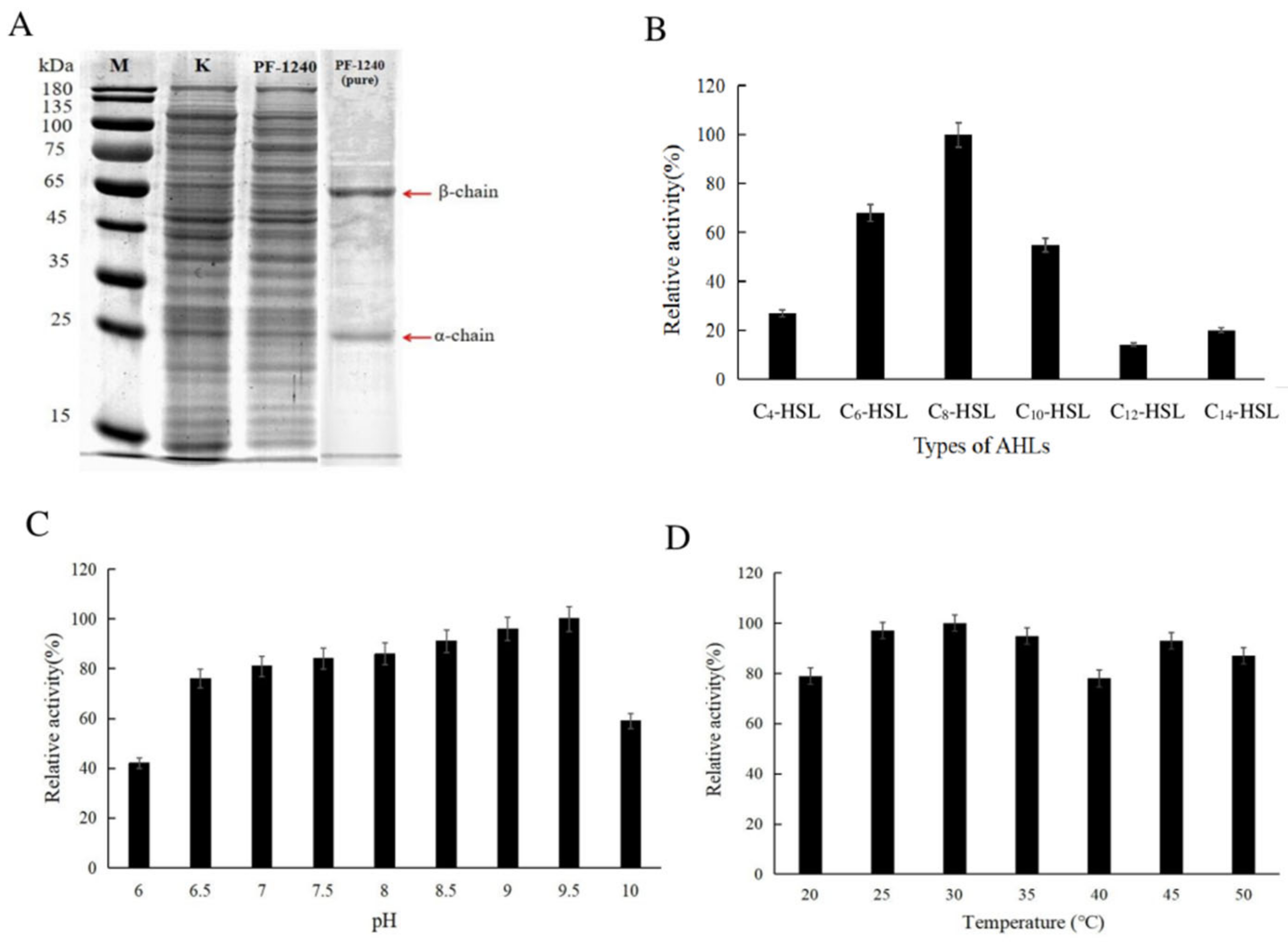
3.1. Recombinant Expression of PF-1240 by E. coli BL21
3.2. Enzymatic Properties of PF-1240
3.2.1. Optimal Substrate of PF-1240
3.2.2. Optimum Reaction pH of PF-1240
3.2.3. Optimum Reaction Temperature of PF-1240
3.3. Effect of PF-1240 on the Growth of H. alvei
3.4. Determination of QS Inhibitory Activity of PF-1240
3.5. Effect of PF-1240 on Production of Purple Bacteriocin CV026
3.6. Effect of PF-1240 on the Formation of H. alvei Biofilm
3.7. Effect of PF-1240 on the EPS of H. alvei
3.8. Effect of PF-1240 on Swarming and Swimming of H. alvei
3.9. Effect of PF-1240 on Siderophore of H. alvei
3.10. Effect of PF-1240 on Extracellular Protease of H. alvei
3.11. Effect of PF-1240 on Lipase of H. alvei
4. Conclusions
Supplementary Materials
Author Contributions
Funding
Conflicts of Interest
References
- Molnár, M.; Fenyvesi, É.; Berkl, Z.; Németh, I.; Fekete-Kertész, I.; Márton, R.; Vaszita, E.; Varga, E.; Ujj, D.; Szente, L. Cyclodextrin-mediated quorum quenching in the Aliivibrio fischeri bioluminescence model system–Modulation of bacterial communication. Int. J. Pharm. 2021, 594, 120150. [Google Scholar] [CrossRef] [PubMed]
- Zhao, X.; Yu, Z.; Ding, T. Quorum-sensing regulation of antimicrobial resistance in bacteria. Microorganisms 2020, 8, 425. [Google Scholar] [CrossRef] [Green Version]
- Bao, Q.; Hosoe, A.; Hosomi, M.; Terada, A. Quorum quenching acylase impacts the viability and morphological change of Agrobacterium tumefaciens cells. J. Biosci. Bioeng. 2020, 130, 82–88. [Google Scholar] [CrossRef] [PubMed]
- Fatimah, N.; Pande, G.S.J.; Natrah, F.M.I.; Meritha, W.W.; Widanarni; Sucipto, A.; Ekasari, J. The role of microbial quorum sensing on the characteristics and functionality of bioflocs in aquaculture systems. Aquaculture 2019, 504, 420–426. [Google Scholar] [CrossRef]
- Geng, Y.F.; Yang, C.; Zhang, Y.; Tao, S.N.; Mei, J.; Zhang, X.C.; Sun, Y.J.; Zhao, B.T. An innovative role for luteolin as a natural quorum sensing inhibitor in Pseudomonas aeruginosa. Life Sci. 2021, 274, 119325. [Google Scholar] [CrossRef]
- Zhu, M.; Yang, Y.; Wang, M.; Li, X.; Han, R.; Chen, Q.; Shen, D.; Shentu, J. A deep insight into the suppression mechanism of Sedum alfredii root exudates on Pseudomonas aeruginosa based on quorum sensing. Ecotoxicol. Environ. Saf. 2021, 217, 112240. [Google Scholar] [CrossRef] [PubMed]
- Maddela, N.R.; Sheng, B.; Yuan, S.; Zhou, Z.; Villamar-Torres, R.; Meng, F. Roles of quorum sensing in biological wastewater treatment: A critical review. Chemosphere 2019, 221, 616–629. [Google Scholar] [CrossRef]
- Qin, X.; Thota, G.K.; Singh, R.; Balamurugan, R.; Goycoolea, F.M. Synthetic homoserine lactone analogues as antagonists of bacterial quorum sensing. Bioorg. Chem. 2020, 98, 103698. [Google Scholar] [CrossRef]
- Da Silva Pires, Á.; Franco, O.L.; Saad, A.; Hamed, M.; Naim, H.; Ali, A.H.; Elbehiry, A. Nile tilapia (Oreochromis niloticus) as an aquatic vector for Pseudomonas species of medical importance: Antibiotic Resistance Association with Biofilm Formation, Quorum Sensing and Virulence. Aquaculture 2021, 532, 736068. [Google Scholar] [CrossRef]
- Cui, T.; Bai, F.; Sun, M.; Lv, X.; Li, X.; Zhang, D.; Du, H. Lactobacillus crustorum ZHG 2–1 as novel quorum-quenching bacteria reducing virulence factors and biofilms formation of Pseudomonas aeruginosa. LWT 2020, 117, 108696. [Google Scholar] [CrossRef]
- Liu, L.; Yan, Y.; Feng, L.; Zhu, J. Quorum sensing asaI mutants affect spoilage phenotypes, motility, and biofilm formation in a marine fish isolate of Aeromonas salmonicida. Food Microbiol. 2018, 76, 40–51. [Google Scholar] [CrossRef] [PubMed]
- Padilla, D.; Remuzgo-Martínez, S.; Acosta, F.; Ramos-Vivas, J. Hafnia alveiand Hafnia paralvei. Taxonomy defined but still far fromvirulence and pathogenicity. Vet. Microbiol. 2013, 1, 200–201. [Google Scholar] [CrossRef] [PubMed]
- Tan, J.Y.; Yin, W.F.; Chan, K.G. Quorum sensing activity of Hafnia alvei isolated from packed food. Sensors 2014, 14, 6788–6796. [Google Scholar] [CrossRef] [Green Version]
- Li, T.; Mei, Y.; He, B.; Sun, X.; Li, J. Reducing quorum sensing-mediated virulence factor expression and biofilm formation in hafnia alvei by using the potential quorum sensing inhibitor L-carvone. Front. Microbiol. 2018, 9, 3324. [Google Scholar] [CrossRef]
- Vivas, J.; Padilla, D.; Real, F.; Bravo, J.; Grasso, V.; Acosta, F. Influence of environmental conditions on biofilm formation by Hafnia alvei strains. Vet. Microbiol. 2008, 129, 150–155. [Google Scholar] [CrossRef] [PubMed]
- Viana, E.S.; Campos, M.E.; Ponce, A.R.; Mantovani, H.C.; Vanetti, M.C. Biofilm formation and acyl homoserine lactone production in Hafnia alvei isolated from raw milk. Biol. Res. 2009, 42, 427–436. [Google Scholar]
- Rashiya, N.; Padmini, N.; Ajilda, A.A.K.; Prabakaran, P.; Durgadevi, R.; Veera Ravi, A.; Ghosh, S.; Sivakumar, N.; Selvakumar, G. Inhibition of biofilm formation and quorum sensing mediated virulence in Pseudomonas aeruginosa by marine sponge symbiont Brevibacterium casei strain Alu 1. Microb. Pathog. 2021, 150, 104693. [Google Scholar] [CrossRef]
- Grandclément, C.; Tannières, M.; Moréra, S.; Dessaux, Y.; Faure, D.D. Quorum quenching: Role in nature and applied developments. Expert Rev. Anti-Infect. Ther. 2016, 40, 86–116. [Google Scholar] [CrossRef] [PubMed]
- Rakesh, S.; Mikael, E. Quorum quenching enzymes and their effects on virulence, biofilm, and microbiomes: A review of recent advances. Expert Rev. Anti-Infect. Ther. 2020, 11–13. [Google Scholar] [CrossRef]
- Bzdrenga, J.; Daudé, D.; Rémy, B.; Jacquet, P.; Plener, L.; Elias, M.; Chabrière, E. Biotechnological applications of quorum quenching enzymes. Chem. Biol. Interact. 2017, 267, 104–115. [Google Scholar] [CrossRef] [PubMed]
- Chen, F.; Gao, Y.; Chen, X.; Yu, Z.; Li, X. Quorum quenching enzymes and their application in degrading signal molecules to block quorum sensing-dependent infection. Int. J. Mol. Sci. 2013, 14, 17477–17500. [Google Scholar] [CrossRef]
- Fetzner, S. Quorum quenching enzymes. J. Biotechnol. 2015, 201, 2–14. [Google Scholar] [CrossRef] [PubMed]
- Vogel, J.; Wakker-Havinga, M.; Setroikromo, R.; Quax, W.J. Immobilized acylase PvdQ reduces Pseudomonas aeruginosa biofilm formation on PDMS silicone. Front. Chem. 2020, 8, 54. [Google Scholar] [CrossRef] [PubMed]
- Mukherji, R.; Varshney, N.K.; Panigrahi, P.; Suresh, C.G.; Prabhune, A. A new role for penicillin acylases: Degradation of acyl homoserine lactone quorum sensing signals by Kluyvera citrophila penicillin G acylase. Enzyme Microb. Technol. 2014, 56, 1–7. [Google Scholar] [CrossRef]
- Liu, J.; Shao, R.; Lan, Y.; Liao, X.; Zhang, J.; Mai, K.; Ai, Q.; Wan, M. Vitamin D3 protects turbot (Scophthalmus maximus L.) from bacterial infection. Fish. Shellfish. Immunol. 2021, 118, 25–33. [Google Scholar] [CrossRef] [PubMed]
- Huang, J.J.; Petersen, A.; Whiteley, M.; Leadbetter, J.R. Identification of QuiP, the product of gene PA1032, as the second acyl-homoserine lactone acylase of Pseudomonas aeruginosa PAO1. Appl. Environ. Microbiol. 2006, 72, 1190–1197. [Google Scholar] [CrossRef] [Green Version]
- Li, T.; Cui, F.; Bai, F.; Zhao, G.; Li, J. Involvement of acylated homoserine lactones (AHLs) of Aeromonas sobria in spoilage of refrigerated turbot (Scophthalmus maximus L.). Sensors 2016, 16, 1083. [Google Scholar] [CrossRef]
- Vijayaraghavan, P.; Vincent, S.G.P. A simple method for the detection of protease activity on agar plates using bromocresolgreen dye. J. Biochem. Technol. 2013, 4, 628–630. [Google Scholar]
- Yasutake, Y.; Kusada, H.; Ebuchi, T.; Hanada, S.; Kamagata, Y.; Tamura, T.; Kimura, N. Bifunctional quorum-quenching and antibiotic-acylase MacQ forms a 170-kDa capsule-shaped molecule containing spacer polypeptides. Sci. Rep. 2017, 7, 1. [Google Scholar] [CrossRef] [Green Version]
- Utari, P.D.; Vogel, J.; Quax, W.J. Deciphering physiological functions of AHL quorum quenching acylases. Front. Microbiol. 2017, 8, 1123. [Google Scholar] [CrossRef] [Green Version]
- Gerdt, J.P.; Blackwell, H.E. Competition studies confirm two major barriers that can preclude the spread of resistance to quorum-sensing inhibitors in bacteria. ACS Chem. Biol. 2014, 9, 2291–2299. [Google Scholar] [CrossRef] [PubMed]
- McClean, K.H.; Winson, M.K.; Fish, L.; Taylor, A.; Chhabra, S.R.; Camara, M.; Daykin, M.; Lamb, J.H.; Swift, S.; Bycroft, B.W.; et al. Quorum sensing and Chromobacterium violaceum: Exploitation of violacein production and inhibition for the detection of N-acylhomoserine lactones. Microbiology 1997, 143, 3703–3711. [Google Scholar] [CrossRef] [Green Version]
- Billings, A.N.; Millan, M.R.; Caldara, M.; Rusconi, R.; Tarasova, Y.; Stocker, R.; Ribbeck, K. The extracellular matrix Component Psl provides fast-acting antibiotic defense in Pseudomonas aeruginosa biofilms. PLoS Pathog. 2013, 9, e1003526. [Google Scholar] [CrossRef] [PubMed] [Green Version]
- Solano, C.; Echeverz, M.; Lasa, I. Biofilm dispersion and quorum sensing. Curr. Opin. Microbiol. 2014, 18, 96–104. [Google Scholar] [CrossRef] [PubMed] [Green Version]
- Flemming, H.C.; Wingender, J.; Szewzyk, U.; Steinberg, P.; Rice, S.A.; Kjelleberg, S. Biofilms: An emergent form of bacterial life. Nat. Rev. Microbiol. 2016, 14, 563–575. [Google Scholar] [CrossRef]
- Jay, J.M.; Vilai, J.P.; Hughes, M.E. Profile and activity of the bacterial biota of ground beef held from freshness to spoilage at 5–7 °C. Int. J. Food Microbiol. 2003, 81, 105–111. [Google Scholar] [CrossRef]
- Wioleta, B.; Izabela, K. Extracellular polymeric substances (EPS) as microalgal bioproducts: A review of factors affecting EPS synthesis and application in flocculation processes. Energies 2021, 14, 4007. [Google Scholar] [CrossRef]
- Tiwari, O.N.; Sasmal, S.; Kataria, A.K.; Devi, I. Application of microbial extracellular carbohydrate polymeric substances in food and allied industries. 3 Biotech. 2020, 10, 221. [Google Scholar] [CrossRef]
- Zhou, K.J.; Hu, Y.; Zhang, L.Q.; Yang, K.; Lin, D. The role of ex-opolymeric substances in the bioaccumulation and toxicity of Ag nanoparticles to algae. Sci. Rep. 2016, 6, 32998. [Google Scholar] [CrossRef] [Green Version]
- Harz, M.; Rösch, P.; Peschke, K.D.; Ronneberger, O.; Burkhardt, H.; Popp, J. Micro-Raman spectroscopic identification of bacterial cells of the genus Staphylococcus and dependence on their cultivation conditions. Analyst 2005, 130, 1543–1550. [Google Scholar] [CrossRef]
- Kahraman, M.; Zamaleeva, A.I.; Fakhrullin, R.F.; Culha, M. Layer-by-layercoatingofbacteriawithnoblemetalnanoparticlesforsurface- enhanced Raman scattering. Anal. Bioanal. Chem. 2009, 395, 2559–2567. [Google Scholar] [CrossRef] [PubMed]
- Culha, M.; Adigüzel, A.; Yazici, M.M.; Kahraman, M.; Sahin, F.; Güllüce, M. Characterization of thermophilic bacteria using surface-enhanced Raman scattering. Appl. Spectrosc. 2008, 62, 1226–1232. [Google Scholar] [CrossRef] [PubMed]
- Atkinson, S.; Chang, C.Y.; Patrick, H.L.; Buckley, C.M.; Wang, Y.; Sockett, R.E.; Cámara, M.; Williams, P. Functional interplay between the Yersinia pseudotuberculosis YpsRI and YtbRI quorum sensing systems modulates swimming motility by controlling expression of flhDC and fliA. Mol. Microbiol. 2008, 69, 137–151. [Google Scholar] [CrossRef] [PubMed]
- Ahmed, E.; Holmström, S.J.M. Siderophores in environmental research: Roles and applications. Microb. Biotechnol. 2014, 7, 196–208. [Google Scholar] [CrossRef]
- Oliveira, F.; França, Â.; Cerca, N. Staphylococcus epidermidis is largely dependent on iron availability to form biofilms. Int. J. Med. Microbiol. 2017, 307, 552–563. [Google Scholar] [CrossRef] [Green Version]
- Chung, P.Y. The emerging problems of Klebsiella pneumoniae infections: Carbapenem resistance and biofilm formation. FEMS Microbiol. Lett. 2016, 363, fnw219. [Google Scholar] [CrossRef] [Green Version]
- Diggle, S.P.; Matthijs, S.; Wright, V.J.; Fletcher, M.P.; Chhabra, S.R.; Lamont, I.L.; Kong, X.; Hider, R.C.; Cornelis, P.; Cámara, M.; et al. The Pseudomonas aeruginosa 4-quinolone signal molecules HHQ and PQS play multifunctional roles in quorum sensing and iron entrapment. Chem. Biol. 2007, 14, 87–96. [Google Scholar] [CrossRef] [Green Version]
- Li, X.H.; Lee, J.H. Quorum sensing-dependent post-secretional activation of extracellular proteases in Pseudomonas aeruginosa. J. Biol. Chem. 2019, 294, 19635–19644. [Google Scholar] [CrossRef]
- Zhu, S.; Wu, H.; Zeng, M.; Liu, Z.; Wang, Y. The involvement of bacterial quorum sensing in the spoilage of refrigerated litopenaeus vannamei. Int. J. Food Microbiol. 2015, 192, 26–33. [Google Scholar] [CrossRef]





Publisher’s Note: MDPI stays neutral with regard to jurisdictional claims in published maps and institutional affiliations. |
© 2021 by the authors. Licensee MDPI, Basel, Switzerland. This article is an open access article distributed under the terms and conditions of the Creative Commons Attribution (CC BY) license (https://creativecommons.org/licenses/by/4.0/).
Share and Cite
Shen, Y.; Cui, F.; Wang, D.; Li, T.; Li, J. Quorum Quenching Enzyme (PF-1240) Capable to Degrade AHLs as a Candidate for Inhibiting Quorum Sensing in Food Spoilage Bacterium Hafnia alvei. Foods 2021, 10, 2700. https://doi.org/10.3390/foods10112700
Shen Y, Cui F, Wang D, Li T, Li J. Quorum Quenching Enzyme (PF-1240) Capable to Degrade AHLs as a Candidate for Inhibiting Quorum Sensing in Food Spoilage Bacterium Hafnia alvei. Foods. 2021; 10(11):2700. https://doi.org/10.3390/foods10112700
Chicago/Turabian StyleShen, Yue, Fangchao Cui, Dangfeng Wang, Tingting Li, and Jianrong Li. 2021. "Quorum Quenching Enzyme (PF-1240) Capable to Degrade AHLs as a Candidate for Inhibiting Quorum Sensing in Food Spoilage Bacterium Hafnia alvei" Foods 10, no. 11: 2700. https://doi.org/10.3390/foods10112700
APA StyleShen, Y., Cui, F., Wang, D., Li, T., & Li, J. (2021). Quorum Quenching Enzyme (PF-1240) Capable to Degrade AHLs as a Candidate for Inhibiting Quorum Sensing in Food Spoilage Bacterium Hafnia alvei. Foods, 10(11), 2700. https://doi.org/10.3390/foods10112700

