Dermatomyositis-like Eruptions, Hydroxyurea-Associated Squamous Dysplasia, and Nonmelanoma Skin Cancer: A Case Report and Systematic Review
Abstract
1. Introduction
2. Case Report
3. Materials and Methods
- Original articles, case series, and case reports on hydroxyurea-induced dermatitis, hydroxyurea-induced dermatomyositis, hydroxyurea-induced dysplasia, and hydroxyurea-induced squamous cell carcinoma.
- Review articles;
- Language other than English.
4. Results
5. Discussion
6. Conclusions
Author Contributions
Funding
Institutional Review Board Statement
Informed Consent Statement
Data Availability Statement
Conflicts of Interest
References
- Janerowicz, D.; Czarnecka-Operacz, M.; Stawny, M.; Silny, W. Dermatomyositis-like eruption induced by hydroxyurea: A case report. Acta Dermatovenerol. Alp. Pannonica Adriat. 2009, 18, 131–134. [Google Scholar] [PubMed]
- Kalajian, A.H.; Cely, S.J.; Malone, J.C.; Burruss, J.B.; Callen, J.P. Hydroxyurea-associated dermatomyositis-like eruption demonstrating abnormal epidermal p53 expression: A potential premalignant manifestation of chronic hydroxyurea and UV radiation exposure. Arch. Dermatol. 2010, 146, 305–310. [Google Scholar]
- De Unamuno, J.; Vilata Corell, J.; Ballester Sanchez, R.; Alegre Miquel, V. Hydroxyurea-induced dermatomyositis-like eruption with abnormal expression of p53. J. Am. Acad. Dermatol. 2013, 68, 676–683. [Google Scholar]
- Sanchez-Palacios, C.; Guitart, J. Hydroxyurea-associated squamous dysplasia. J. Am. Acad. Dermatol. 2004, 51, 293–300. [Google Scholar] [PubMed]
- Page, M.J.; McKenzie, J.E.; Bossuyt, P.M.; Boutron, I.; Hoffmann, T.C.; Mulrow, C.D.; Shamseer, L.; Tetzlaff, J.M.; Akl, E.A.; Brennan, S.E.; et al. The PRISMA 2020 statement: An updated guideline for reporting systematic reviews. PLoS Med. 2021, 18, e1003583. [Google Scholar] [CrossRef]
- Burns, D.A.; Sarkany, I.; Gaylarde, P. Effects of hydroxyurea therapy on normal skin: A case report. Clin. Exp. Dermatol. 1980, 5, 447–449. [Google Scholar]
- Sigal, M.; Crickx, B.; Blanchet, P.; Perron, J.; Simony, J.; Belaïch, S. Lésions cutanées induites par l’utilisation au long cours de l’hydroxyurée. Ann. Dermatol. Venereol. 1984, 111, 895–900. [Google Scholar] [PubMed]
- Richard, M.; Truchetet, F.; Friedel, J.; Leclech, C.; Heid, E. Skin lesions simulating chronic dermatomyositis during long-term hydroxyurea therapy. J. Am. Acad. Dermatol. 1989, 21, 797–799. [Google Scholar] [CrossRef]
- Chantereau, M.; Lorcerie, B.; Escallier, F. L'hydroxyuree responsable de lesions cutanees de type dormatomyosite. Rev Med Inl 1990, 11, 4196. [Google Scholar]
- Thomas, L.; Ferrier, F.; Moulin, C. Dermatomyositis-like eruption complicating hydroxyurea therapy of chronic myelogenous leukemia. Eur. J. Dermatol. 1992, 2, 492–495. [Google Scholar]
- Senet, P.; Aractingi, S.; Porneuf, M.; Perrin, P.; Duterque, M. Hydroxyurea-induced dermatomyositis-like eruption. Br. J. Dermatol. 1995, 133, 455–459. [Google Scholar] [PubMed]
- Bahadoran, P.; Castanet, J.; Lacour, J.P.; Perrin, C.; Del Giudice, P.; Mannocci, N.; Fuzibet, J.G.; Ortonne, J.P. Pseudo-Dermatomyositis Induced by Long-Term Hydroxyurea Therapy: Report of Two Cases. Br. J. Dermatol. 1996, 134, 1161–1162. [Google Scholar] [PubMed]
- Daoud, M.S.; Gibson, L.E.; Pittelkow, M.R. Hydroxyurea Dermopathy: A Unique Lichenoid Eruption Complicating Long-Term Therapy with Hydroxyurea. J. Am. Acad. Dermatol. 1997, 36, 178–182. [Google Scholar] [PubMed]
- Suehiro, M.; Kishimoto, S.; Wakabayashi, T.; Ikeuchi, A.; Miyake, H.; Takenaka, H.; Okano, A.; Hirai, H.; Shimazaki, C.; Yasuno, H. Hydroxyurea dermopathy with a dermatomyositis-like eruption and a large leg ulcer. Br. J. Dermatol. 1998, 139, 748–749. [Google Scholar]
- Kennedy, B.J. Hydroxyurea-associated leg ulceration. Ann. Intern. Med. 1998, 129, 252. [Google Scholar]
- Varma, S.; Lanigan, V. Dermatomyositis-like eruption and leg ulceration caused by hydroxyurea in a patient with psoriasis. Clin. Exp. Dermatol. 1999, 24, 164–166. [Google Scholar]
- Vélez, A. Hydroxyurea-Induced Leg Ulcers: Is Macroerythrocytosis a Pathogenic Factor? J. Eur. Acad. Dermatol. Venereol. 1999, 12, 243–244. [Google Scholar]
- Vassallo, C.; Passamonti, F.; Merante, S.; Ardigò, M.; Nolli, G.; Mangiacavalli, S.; Borroni, G. Muco-cutaneous changes during long-term therapy with hydroxyurea in chronic myeloid leukaemia. Clin. Exp. Dermatol. 2001, 26, 141–148. [Google Scholar]
- Ruiz-Genao, D.P.; Sanz-Sánchez, T.; Bartolomé-González, B.; Fernández-Herrera, J.; García-Díez, A. Dermatomyositis-like reaction induced by chemotherapeutical agents. Int. J. Dermatol. 2002, 41, 885–887. [Google Scholar]
- Oskay, T.; Kutluay, L.; Ozyilkan, O. Dermatomyositis-like eruption after long-term hydroxyurea therapy for polycythemia vera. Eur. J. Dermatol. 2002, 12, 586–588. [Google Scholar]
- Dacey, M.J.; Callen, J.P. Hydroxyurea-induced dermatomyositis-like eruption. J. Am. Acad. Dermatol. 2003, 48, 439–441. [Google Scholar] [CrossRef] [PubMed]
- Rocamora, V.; Puig, L.; Alomar, A. Dermatomyositis-like eruption following hydroxyurea therapy. J. Eur. Acad. Dermatol. Venereol. 2000, 14, 227–228. [Google Scholar] [CrossRef] [PubMed]
- Yoshida, K.; Saito, M.; Amagai, M.; Ikeda, Y. Gottron-like papules induced by hydroxyurea. Clin. Exp. Dermatol. 2005, 30, 191–192. [Google Scholar] [CrossRef]
- Zaccaria, E.; Cozzani, E.; Parodi, A. Secondary cutaneous effects of hydroxyurea: Possible pathogenetic mechanisms. J. Dermatolog. Treat. 2006, 17, 176–178. [Google Scholar] [CrossRef]
- Elliott, R.; Davies, M.; Harmse, D. Dermatomyositis-like eruption with long-term hydroxyurea. J. Dermatolog. Treat. 2006, 17, 59–60. [Google Scholar] [CrossRef]
- Slobodin, G.; Lurie, M.; Munichor, M.; Kovalev, J.; Rosner, I. Gottron’s papules-like eruption developing under hydroxyurea therapy. Rheumatol. Int. 2006, 26, 768–770. [Google Scholar] [CrossRef]
- Haniffa, M.A.; Speight, E.L. Painful leg ulcers and a rash in a patient with polycythaemia rubra vera: Diagnosis—Hydroxyurea-induced leg ulceration and dermatomyositis-like skin changes. Clin. Exp. Dermatol. 2006, 31, 733–734. [Google Scholar] [CrossRef]
- Martorell-Calatayud, A.; Requena, C.; Nagore-Enguídanos, E.; Guillén-Barona, C. Úlceras dolorosas múltiples en la pierna resistentes al tratamiento asociadas a lesiones dermatomiositis-like en las articulaciones interfalángicas de las manos: Hidroxiurea como agente causal. Actas Dermosifiliogr. 2009, 100, 804–807. [Google Scholar] [CrossRef] [PubMed]
- Cook-Norris, R.H.; Mansfield, A.S.; Michaels, J.D.; Davis, M.D.P. Hydroxycarbamide-induced dermopathy. Am. J. Hematol. 2010, 85, 75–76. [Google Scholar] [CrossRef]
- Agrawal, P.; Mahajan, S.; Khopkar, U.; Kharkar, V. Gottron - like papules induced by hydroxyurea. Indian J Dermatol Venereol Leprol 2012, 78, 775. [Google Scholar] [CrossRef]
- Nofal, A.; Salah El-Din, E. Hydroxyurea-induced dermatomyositis: True amyopathic dermatomyositis or dermatomyositis-like eruption? Int. J. Dermatol. 2012, 51, 535–541. [Google Scholar] [CrossRef] [PubMed]
- Zappala, T.M.; Rodins, K.; Muir, J. Hydroxyurea-induced dermatomyositis-like eruption. Australas. J. Dermatol. 2012, 53, e58–e60. [Google Scholar]
- De Unamuno-Bustos, B.; Ballester-Sánchez, R.; Sabater Marco, V.; Vilata-Corell, J.J. Dermatomyositis-like eruption associated with hydroxyurea therapy: A premalignant condition? Actas Dermosifiliogr. 2014, 105, 876–878. [Google Scholar]
- Ito, E.; Muro, Y.; Shibata, A.; Sugiura, K.; Akiyama, M. Hydroxyurea-induced amyopathic dermatomyositis presenting with heliotrope erythema. Dermatol. Online J. 2014, 20, 8. [Google Scholar]
- Koch, L.; Lichem, R.; Cerroni, L.; Aberer, W.; Massone, C. Dermatitis, nonmelanoma skin cancer and leg ulcers. Clin. Exp. Dermatol. 2016, 41, 943–944. [Google Scholar]
- Moreno-Artero, E.; Paricio, J.J.; Antoñanzas, J.; España, A. Dermatomyositis-like eruption in a woman treated with hydroxyurea. Actas Dermosifiliogr. 2019, 110, 64–67. [Google Scholar] [CrossRef] [PubMed]
- Calleja Algarra, A.; Miguel, R.A.; Tous Romero, F.; Maroñas Jiménez, L. Mucocutaneous lesions and nail pigmentation in a patient with essential thrombocytosis. Aust. Fam. Physician. 2017, 46, 222–224. [Google Scholar]
- Marie, I.; Joly, P.; Levesque, H.; Heron, F.; Courville, P.; Cailleux, N.; Courtois, H. Pseudo-dermatomyositis as a complication of hydroxyurea therapy. Clin. Exp. Rheumatol. 2000, 18, 536–537. [Google Scholar]
- Platto, J.; Alexander, C.E.; Kurtzman, D.J.B. A violaceous, photodistributed cutaneous eruption and leg ulcer in a woman with essential thrombocytosis. JAMA Dermatol. 2018, 154, 95–96. [Google Scholar]
- Veraitch, O.; Curto-Garcia, N.; Harrison, C.; Stefanato, C.M.; McGibbon, D. Hydroxyurea-induced dermatomyositis koebnerizing at the site of previous shingles. Clin. Exp. Dermatol. 2019, 44, 546–548. [Google Scholar]
- Pruessmann, W.; Kirfel, J.; Sailer, V.W.; Rose, C. Dermatomyositis-like skin eruptions under hydroxyurea therapy conceal TP53-mutated atypical keratinocytes: A histopathologic and molecular pathologic case series. J. Cutan. Pathol. 2024, 51, 852–859. [Google Scholar] [PubMed]
- Ahdoot, R.; Rew, J.; Reynolds, K.A.; Lowe, L.; Mervak, J.E. Violaceous scaly plaques of the dorsal hands. JAAD Case Rep. 2024, 49, 85–87. [Google Scholar] [PubMed]
- Disdier, P.; Harle, J.R.; Grob, J.J. More rapid development of multiple squamous-cell carcinomas during chronic granulocytic leukemia. Dermatologica 1991, 183, 47–48. [Google Scholar] [PubMed]
- Papi, M.; Didona, B.; Def’ita, O.; Abruzzese, E.; Stasi, R.; Papa, G.; Cavalieri, R. Multiple skin tumors on light-exposed areas during long-term treatment with hydroxyurea. J. Am. Acad. Dermatol. 1993, 28, 485–486. [Google Scholar]
- Angeli-Besson, C.; Koeppel, M.C.; Jacquet, P.; Andrac, L.; Sayag, J. Multiple squamous-cell carcinomas of the scalp and chronic myeloid leukemia. Dermatology 1995, 191, 321–322. [Google Scholar]
- Grange, F.; Couilliet, D.; Audhuy, B.; Krzisch, S.; Schlecht, P.; Guillaume, J.C. Kératoses multiples induites par l’hydroxyurée. Ann. Dermatol. Venereol. 1995, 122, 16–18. [Google Scholar]
- Callot-Mellot, C.; Bodemer, C.; Chosidow, O.; Frances, C.; Azgui, Z.; Varet, B.; de Prost, Y. Cutaneous carcinoma during long-term hydroxyurea therapy: A report of 5 cases. Arch. Dermatol. 1996, 132, 1395–1397. [Google Scholar]
- De Simone, C.; Guerriero, C.; Guidi, B.; Rotoli, M.; Venier, A.; Tartaglione, R. Multiple squamous cell carcinomas of the skin during long-term treatment with hydroxyurea. Eur. J. Dermatol. 1998, 8, 114–115. [Google Scholar]
- Best, P.J.; Petitt, R.M. Multiple skin cancers associated with hydroxyurea therapy. Mayo Clin. Proc. 1998, 73, 961–963. [Google Scholar]
- Young, H.S.; Khan, A.S.; Kendra, J.R.; Coulson, I.H. The cutaneous side effects of hydroxyurea. Clin. Lab. Haematol. 2000, 22, 229–232. [Google Scholar]
- Salmon-Ehr, V.; Leborgne, G.; Vilque, J.P.; Potron, G.; Bernard, P. Secondary cutaneous effects of hydroxyurea: Prospective study of 26 patients from a dermatologic consultation. Rev. Med. Interne 2000, 21, 30–34. [Google Scholar] [CrossRef]
- Aste, N.; Fumo, G.; Biggio, P. Multiple squamous epitheliomas during long-term treatment with hydroxyurea. J. Eur. Acad. Dermatol. Venereol. 2001, 15, 89–90. [Google Scholar] [CrossRef]
- Estève, E.; Georgescu, V.; Heitzmann, P.; Martin, L. Carcinomes cutanés et buccaux multiples après traitement par l’hydroxyurée. Ann. Dermatol. Venereol. 2001, 128, 919–921. [Google Scholar]
- Pamuk, G.E.; Turgut, B.; Vural, O.; Demir, M.; Tek, M.; Altaner, S. Metastatic squamous cell carcinoma of the skin in chronic myeloid leukaemia: Complication of hydroxyurea therapy. Clin. Lab. Haematol. 2003, 25, 329–331. [Google Scholar] [CrossRef]
- De Benedittis, M.; Petruzzi, M.; Giardina, C.; Lo Muzio, L.; Favia, G.; Serpico, R. Oral squamous cell carcinoma during long-term treatment with hydroxyurea. Clin. Exp. Dermatol. 2004, 29, 605–607. [Google Scholar] [CrossRef] [PubMed]
- Schleußinger, T.M.; Dyall-Smith, D.; Field, L.M. Hydroxyurea-associated squamous dysplasia in a monozygotic twin. J. Am. Acad. Dermatol. 2011, 65, 679–680. [Google Scholar] [CrossRef] [PubMed]
- Stone, T.; Berger, A.; Blumberg, S.; O’Neill, D.; Ross, F.; McMeeking, A.; Chen, W.; Pastar, I. A multidisciplinary team approach to hydroxyurea-associated chronic wound with squamous cell carcinoma. Int. Wound J. 2012, 9, 324–329. [Google Scholar] [CrossRef] [PubMed]
- Radić, J.; Batinac, T.; Hadžisejdić, I.; Načinović-Duletić, A.; Valković, T.; Jonjić, N. Concurrent basal cell and squamous cell carcinomas associated with hydroxyurea therapy. Acta Dermatovenerol. Croat. 2011, 19, 183–186. [Google Scholar]
- Neill, B.; Ryser, T.; Neill, J.; Aires, D.; Rajpara, A. A patient case highlighting the myriad of cutaneous adverse effects of prolonged use of hydroxyurea. Dermatol. Online J. 2017, 23, 15. [Google Scholar] [CrossRef]
- Antar, A.; Ishak, R.S.; Otrock, Z.K.; El-Majzoub, N.; Ghosn, S.; Mahfouz, R.; Taher, A.T. Successful treatment of hydroxyurea-associated chronic leg ulcers associated with squamous cell carcinoma. Hematol. Oncol. Stem Cell Ther. 2014, 7, 166–169. [Google Scholar] [CrossRef]
- Uday Kumar, P.; Anshul, S.; Anusha Reddy, S.; Vidyasgar, M.S.; Prahlad, H.Y. Oral cavity squamous cell carcinoma in a case of ichthyosis follicularis, alopecia, and photophobia syndrome with chronic myeloid leukemia on long-term hydroxyurea: A rare presentation. Asian J. Pharm. Clin. Res. 2017, 10, 1–3. [Google Scholar]
- Cantisani, C.; Kiss, N.; Naqeshbandi, A.F.; Tosti, G.; Tofani, S.; Cartoni, C.; Carmosino, I.; Cantoresi, F. Nonmelanoma skin cancer associated with Hydroxyurea treatment: Overview of the literature and our own experience. Dermatol. Ther. 2019, 32, e13043. [Google Scholar] [PubMed]
- Xu, Y.; Liu, J. Hydroxyurea-induced cutaneous squamous cell carcinoma: A case report. World J. Clin. Cases 2019, 7, 4091–4097. [Google Scholar] [PubMed]
- Brown, H.; Lamrock, E. Hydroxyurea-induced squamous cell carcinoma. Australas. J. Dermatol. 2021, 62, 83–84. [Google Scholar]
- Kerdoud, O.; Aloua, R.; Kaouani, A.; Belem, O.; Slimani, F. Squamous cell carcinoma during long-term hydroxyurea treatment: A case report. Int. J. Surg. Case Rep. 2021, 85, 106–160. [Google Scholar]



| DM-like Eruption | HU-Associated Squamous Cell Carcinoma | |
|---|---|---|
| Number of cases | 65 | 45 |
| F | 35 | 18 |
| M | 30 | 27 |
| Age (mean) | 61.4 (SD: +/−13.61) | 66.07 (SD: +/−10.10) |
| Time to onset (mean) | 5.04 y (SD: +/−3.23) | 7.68 y (SD: +/−4.15) |
| Site | Hands (65 patients, 100%) and face (16 patients, 25%) | Photodistibuted: face, head and scalp in 21 patients (47%), hands in 7 patients(6.43%) |
| Histology | Interface dermatitis, the vacuolar alteration of basal keratinocytes, dyskeratotic keratinocytes, melanin incontinence, and vascular ectasia. Mucin, often present in true dermatomyositis, is less frequently observed, appearing in 7 patients at a rate of 10.78%.. | From AK to In situ or invasive SCC |
| p53 | 6 patients | 2 patients |
| Authors | Sex Age | Pathology | HU Exposure (y) | Cutaneous Manifestations | Histopathologic Description | Evolution After Therapy Discontinuation |
|---|---|---|---|---|---|---|
| Burns et al. 1980 [6] | M/31 | Chronic granulocytic leukemia | 7 | Thinned skin with scaly erythema on fingers, dorsal hands and toes and feet. | Hyperkeratosis, flattened epidermis, thickened granular layer, and basal layer liquefaction. | U |
| Burns et al. 1980 [6] | M/31 | Chronic myeloid leukemia | 7 | Scaly erythema on fingers, dorsa of hands, toes, and soles. | NA | U |
| Sigal et al. 1984 [7] | F/50 | Chronic myeloid leukemia | 1.5 | Hyperpigmentation in pressure areas, erythema and keratoses on dorsal hands/feet, bird’s beak-like nail deformities, malleolar ulcer, and tongue stomatitis with ulceration. | NA | IMP |
| F/78 | Chronic myeloid leukemia | 1.3 | Erythema and keratoses on dorsa of hands, feet, and elbows; purpuric spots on oral mucosa. | NA | IMP | |
| M/72 | Chronic myeloid leukemia | 3 | Erythema on dorsa of hands evolving into ulcers; palmar erythema. | NA | NO DIS | |
| Richard et al. 1989 [8] | F/55 | Chronic myelogenous leukemia | 4 | Telangiectatic facial erythema; eyelid edema; scaling and atrophy on dorsa of hands; palmar keratoderma; malleolar ulcer. | Alternating epidermal atrophy and acanthosis with hyperkeratosis, cytoid bodies in the basal layer, edematous papillary dermis with melanophages, and lichenoid and perivascular mononuclear infiltrate with exocytosis. Immunofluorescence negative. | IMP |
| Chantereau et al. 1990 [9] | M/68 | Myeloid splenomegaly | 1.2 | Eermatomyositis-like eruption of the hands | NA | IMP |
| Thomas et al. 1992 [10] | F/69 | Chronic myeloid leukemia | 6 | Dermatomyositis-like eruption of the hands | NA | IMP |
| Senet et al. 1995 [11] | M/62 | Chronic myelogenous leukaemia | 4 | Linear erythema and scaling on finger joints and dorsa of hands and feet; xerosis; palmoplantar keratoderma. | NA | IMP |
| M/65 | Chronic myelogenous leukaemia | 10 | Scaling erythema on dorsa of finger joints; purpuric plaques with necrotic leg ulcers; facial erythema. | Necrotic plaques: moderate dermal polymorphic infiltrate. | DIED | |
| F/59 | Chronic myelogenous leukaemia | 5 | Scaling erythema on dorsa of finger joints; xerosis. | Hyperkeratotic epidermis, basal vacuolar changes, moderate dermal lymphocytic infiltrate, and edema. | NO DIS | |
| F/47 | Chronic myelogenous leukaemia | 9 | Scaling erythema on dorsa of finger joints; palmoplantar keratoderma. | Orthokeratotic hyperkeratosis, basal vacuolar changes, moderate dermal lymphocytic infiltrate, and edema. | IMP | |
| F/56 | Essential thrombocythaemia | 2 | Scaling and linear erythema on finger joints and elbows; palmoplantar keratoderma. | NA | NO DIS | |
| M/66 | Essential thrombocythaemia | 2 | Scaling erythema on dorsa of finger joints; palmoplantar keratoderma; necrotic leg ulcers. | NA | IMP | |
| Bahadoran et al. 1996 [12] | M/62 | Chronic myeloid leukemia | 5 | Telangiectatic erythema on face, linear erythematous scaling atrophic eruption on dorsal hands, dry painful erythematous plantar keratoderma, multiple facial AKs and SCCs. | Atrophic epidermis with areas of hyperkeratosis and hypergranulosis; hydropic degeneration of the basal layer with a few Civatte bodies. Perivascular mononuclear infiltrate in the papillary dermis, extending into areas of hydropic degeneration | IMP |
| M/58 | Chronic myeloid leukemia | 7 | Multiple AKs and SCCs, diffuse skin dryness, plantar keratoderma, erythema of the hands and face | Lichenoid infiltrate in some areas; mucin deposition in the papillary dermis Direct immunofluorescence: positive IgA staining in cytoid bodies | IMP | |
| Daoud et al. 1997 [13] | M/56–69 | Chronic granulocytic leukemia | 5 | Poikilodermatous eruption with telangiectasia, erythema, scaling onelbows, palms and dorsal feet, and lichenoid papules on dorsal hands and fingers. | Orthokeratosis, absent granular layer, basal keratinocyte alterations, hydropic degeneration with Civatte bodies, and lichenoid lymphocytic inflammation at the dermoepidermal junction. Telangiectasia, endothelial swelling, and moderate dermal lymphocytic infiltration. DIF: vessel staining (IgG, IgM, IgA, C3) and fibrinogen deposits. | IMP |
| M/56–69 | Chronic myelocytic leukemia | 5 | Poikilodermatous eruption with telangiectasia, erythema, scaling, and lichenoid papules on the dorsal hands and fingers | Orthokeratosis, absent granular layer, basal keratinocyte alterations, hydropic degeneration with Civatte bodies, and lichenoid lymphocytic inflammation at the dermoepidermal junction. Telangiectasia, endothelial swelling, and moderate dermal lymphocytic infiltration. DIF: vessel staining (IgG, IgM, IgA, C3) and fibrinogen deposits. | IMP | |
| M/56–69 | Chronic myelocytic leukemia | 5 | Poikilodermatous eruption with telangiectasia, erythema, scaling, and lichenoid papules on the dorsal hands and fingers | Orthokeratosis, absent granular layer, basal keratinocyte alterations, hydropic degeneration with Civatte bodies, and lichenoid lymphocytic inflammation at the dermoepidermal junction. Telangiectasia, endothelial swelling, and moderate dermal lymphocytic infiltration. DIF: vessel staining (IgG, IgM, IgA, C3) and fibrinogen deposits. | IMP | |
| F/56–69 | Essential thrombocytosis | 5 | Poikilodermatous eruption with telangiectasia, erythema, scaling, and lichenoid papules on the dorsal hands and fingers | Orthokeratosis, absent granular layer, basal keratinocyte alterations, hydropic degeneration with Civatte bodies, and lichenoid lymphocytic inflammation at the dermoepidermal junction. Telangiectasia, endothelial swelling, and moderate dermal lymphocytic infiltration. DIF: vessel staining (IgG, IgM, IgA, C3) and fibrinogen deposits. | U | |
| F/56–69 | Essential thrombocytosis | 5 | Poikilodermatous eruption with telangiectasia, erythema, scaling, and lichenoid papules on the dorsal hands and fingers | Orthokeratosis, absent granular layer, basal keratinocyte alterations, hydropic degeneration with Civatte bodies, and lichenoid lymphocytic inflammation at the dermoepidermal junction. Telangiectasia, endothelial swelling, and moderate dermal lymphocytic infiltration. DIF: vessel staining (IgG, IgM, IgA, C3) and fibrinogen deposits. | NO DIS | |
| F/56–69 | Polycythaemia rubra vera | 5 | Poikilodermatous eruption with telangiectasia, erythema, scaling, and lichenoid papules on the dorsal hands and fingers | Orthokeratosis, absent granular layer, basal keratinocyte alterations, hydropic degeneration with Civatte bodies, and lichenoid lymphocytic inflammation at the dermoepidermal junction. Telangiectasia, with endothelial swelling, and moderate dermal lymphocytic infiltration. DIF: vessel staining (IgG, IgM, IgA, C3) and fibrinogen deposits. | NO DIS | |
| Suehiro et al. 1998 [14] | F/52 | Chronic myelogenous leukemia | 3 | Painful erythema, shallow ulcers, ichthyosis on bilateral legs and feet, facial and trunk hyperpigmentation, refractory dermatomyositis-like hand lesions evolving into ulcers. | Slight epidermal atrophy, hyperkeratosis, hypogranulosis, focal basal degeneration, hydropic degeneration, and prominent lichenoid lymphocytic inflammation. Dermal telangiectasia with and endothelial swelling, no vasculitis. | IMP |
| Kennedy et al. 1998 [15] | M/45 | Chronic myeloid leukemia | 3 | Violaceous papular eruption on hands and elbow; leg and hand ulcers. | NA | IMP |
| F/45 | Chronic myeloid leukemia | 3 | Generalized hyperpigmentation especially on the back; mottled atrophic lesions resembling lichen planus on hands and heels; mild involvement on cheeks. | NA | IMP | |
| F/42 | Chronic myeloid leukemia | 4 | Atrophy of the skin on the dorsum of both hands and brittle, atrophic nails | NA | NO DIS | |
| Varma et al. 1999 [16] | F/81 | Long-standing widespread psoriasis | 5 | Symmetrical dermatomyositis-like eruption on hands (Gottron’s papules, periungual erythema with telangiectasia, cuticular dystrophy), ulcerative lesions on legs and left foot. | Acanthosis, hyperkeratosis, focal basal degeneration, pigment incontinence, and oedematous, non-inflamed dermis. Direct immunofluorescence: positive IgM staining in cytoid bodies. | U |
| Vélez et al. 1999 [17] | M/42 | Chronic myelogenous leukemia | 3 | Diffuse erythema with skin atrophy, wrinkled “cigarette paper-like” skin on dorsal hands and fingers | Diffuse and severe dermal elastosis. Immunofluorescence negative. | IMP |
| Vassallo et al. 2001 [18] | M/73 | Chronic myeloid leukemia | 2 | Acral erythema, xerosis, ichthyosiform lesions, telangiectases, malleolar and oral mucosal ulcers, dermatomyositis-like changes | NA | DIED |
| M/68 | Chronic myeloid leukemia | 0.6 | Acral erythema, xerosis, ichthyosiform lesions, telangiectases, hyperpigmentation, dermatomyositis-like changes | NA | DIED | |
| M/57 | Chronic myeloid leukemia | 2 | Acral erythema, xerosis, ichthyosiform lesions, telangiectases, scrotum ulcers, dermatomyositis-like changes. | NA | DIED | |
| M/50 | Chronic myeloid leukemia | 5 | Acral erythema, xerosis, ichthyosiform lesions, telangiectases, scrotum ulcers, dermatomyositis-like changes, SCC (lower lip). | NA | DIED | |
| M/65 | Chronic myeloid leukemia | 5 | Acral erythema, xerosis, ichthyosiform lesions, telangiectases, malleolar ulcers, keratoacanthoma (right hand), dermatomyositis-like changes. | NA | U | |
| F/64 | Chronic myeloid leukemia | 2 | Acral erythema with xerosis, ichthyosiform lesions, telangiectases, stomatitis, malleolar ulcers, hyperpigmentation, dermatomyositis-like changes, and livedoid fixed erythema on heels. | NA | DIED | |
| F/25 | Chronic myeloid leukemia | 1 | Acral erythema with xerosis, ichthyosiform lesions, telangiectases, hyperpigmentation, and dermatomyositis-like changes. | NA | U | |
| Ruiz-Genao et al. 2002 [19] | M/34 | Chronic myeloid leukemia pH positive | 1.6 | Bilateral pruritic erythema and erythematous lesions on palms, fingers and elbows. | Hyperkeratosis, focal basal degeneration with necrotic keratinocytes, and perivascular chronic infiltrate in pruritic erythematous lesions | IMP |
| Oskay et al. 2002 [20] | M/69 | Polycythaemia vera | Dermatomyositis-like eruption on dorsal hands and face | NA | IMP | |
| Dacey et al. 2003 [21] | F/77 | Chronic myelogenous leukemia | 5 | Violaceous papules on knuckles, scaly erythematous plaques on lateral fingers resembling mechanic’s hands. | Mild basilar vacuolopathy, sparse perivascular lymphocytic infiltrate, and mild dermal mucin increase. | IMP |
| Rocamora et al. 2005 [22] | M/57 | Chronic myelogenous leukemia | 5 | Xerosis, chronic painful ulcers, and violaceous papules/plaques of interphalangeal joints. | Slight epidermal atrophy with orthohyperkeratosis, basal vacuolar changes, colloid bodies in the papillary dermis, and slight lymphomononuclear infiltrate in the upper dermis. | STA |
| Yoshida et al. 2005 [23] | F/70 | Polycythaemia vera | 2 | Scaly erythematous papules and plaques on metacarpophalangeal and proximal interphalangeal joints | Slight epidermal atrophy with hyperkeratosis, basal vacuolar changes, colloid bodies, dilated dermal vessels, no vasculitis. DIF: cytoid bodies stained positive for IgM, IgA, C3, and fibrinogen | IMP |
| Zaccaria et al. 2006 [24] | M/73 | Essential thrombocythaemia | 12 | Symmetrical dermatomyositis-like eruption with pruritic poikilodermatous keratotic lesions on hands, leg ulcer, and five SCCs of the face. | NA | IMP |
| Elliott et al. 2006 [25] | M/53 | Polycythaemia rubra vera | 3 | Dermatomyositis-like eruption with violaceous erythema, scaling, and atrophy on dorsal hands. | Hyperkeratosis, epidermal thinning, vacuolar changes in the basal layer with cytoid bodies. Minimal dermal lymphocytic infiltration. Autoantibodies negative. | U |
| Slobodin et al. 2006 [26] | F/57 | Chronic myeloid leukemia | 5 | Dry, scaly, red-violaceous plaques on hands and forearms, particularly on dorsal MCP and PIP joints (Gottron’s papules). | NA | DIED |
| Haniffa et al. 2006 [27] | F/52 | Polycythaemia rubra vera | 5 | Painful leg ulcers, widespread telangiectases, violaceous facial erythema, and purple interphalangeal papules. | Epidermal atrophy, basal cell hydropic degeneration with cytoid bodies and dyskeratotic cells, and mild perivascular lymphocytic infiltrate. | U |
| Martorell-Calatayud et al. 2009 [28] | F/76 | Essential thrombocythaemia | 5 | Leg ulcers and non-pruritic scaly erythematous lesions of interphalangeal joints. | Mild hydropic degeneration of the basal layer, slight lymphocytic infiltration in the superficial and mid-dermis, and moderate interstitial mucin deposition. | IMP |
| Janerowicz et al. 2009 [1] | M/74 | Polycythaemia rubra vera | 2 | Intense xerosis (ichthyosis-like), violaceous papules on dorsal hands, and heliotrope-like periorbital erythema. | Thin, atrophic epidermis with Civatte bodies and sparse perivascular mixed dermal infiltrate. | IMP |
| Kalajian et al. 2010 [2] | F/82 | Myelodysplastic syndrome | Gottron’s papules, scaly erythematous plaques on hands, periungual erythema, confluent facial erythema, xerosis, poikiloderma, leg ulcer. | Lichenoid inflammation with basal vacuolar changes, occasional Civatte bodies, apoptotic keratinocytes, and mild superficial dermal lymphocytic infiltrate. Focal p53 expression in a confluent nuclear pattern along the lower levels of the epidermis. | DIED | |
| Cook-Norris et al. 2010 [29] | F/62 | Myelodysplasia | 5 | Pruritic eruption of the dorsum of her hands. shiny, violaceous papules over herknuckles and erythematous, reticulated, scaly plaques onher fingers and the dorsum of her hands, mimick-ing Gottron papules and mechanic hands of dermatomyosi-tis. | Hyperkeratosis and epidermalatrophy. The basal layer showed vacuolar change and cytoid bodies. | IMP |
| Agrawal et al. 2012 [30] | F/45 | Chronic myelogenous leukemia | 5 | Shiny, scaly erythematous papules and plaques on MCP and PIP joints of hands. | Slight epidermal atrophy, orthohyperkeratosis, basal vacuolar changes, colloid bodies, melanophages, and slight perivascular lymphomononuclear infiltrate. | NO DIS |
| Nofal et al. 2012 [31] | F/68 | Chronic myeloid leukemia | 6 | Gottron’s papules, atrophy, xerosis, ichthyosis, photosensitivity, hyperpigmentation (skin, oral, nail), acral erythema, palmoplantar keratoderma, actinic keratoses on hands, and leg ulcers. | Epidermal atrophy with hyperkeratosis, vacuolar degeneration in the basal layer, and mononuclear perivascular infiltrate in the upper and mid-dermis. | IMP |
| Zappala et al. 2012 [32] | F/66 | Myelofibrosi | 5 | Violaceous keratotic lesions oh the hands with a painful lateral malleolus ulcer. | Lichenoid inflammation with basal vacuolar changes, occasional Civatte bodies, apoptotic keratinocytes, and mild superficial dermal lymphocytic infiltrate. | IMP |
| De Unamuno-Bustos et al. 2014 [33] | F/76 | Idiopathic myelofibrosis | 4 | Desquamating erythematous plaques over interphalangeal joints, periorbital erythema, erythematous papular frontal and retroauricular lesions, and malleolar ulcer with atrophic erythematous border. | Acanthotic epidermis with hyperkeratosis, dyskeratosis, basal vacuolization, and lichenoid interface dermatitis. Keratinocyte disorganization and atypia with large nuclei. Intense expression of p53 in the dysplastic keratinocytes | IMP |
| Ito et al. 2014 [34] | M/69 | Essential trhombocytosis | Amyopathic dermatomyositis with Gottron’s papules and heliotrope erythema. | NA | U | |
| Koch et al. 2016 [35] | F/84 | Polycythaemia vera | 4.5 | Periorbital telangiectatic erythema; scaly plaques on cheeks, forehead, and hands; xerosis; small leg ulcers near malleoli. | Basal vacuolar degeneration with necrotic keratinocytes and mild lymphohistiocytic infiltrate in the superficial dermis. | IMP |
| Moreno-Artero et al. 2017 [36] | F/63 | Essential thrombocythaemia | 6 | Erythematous, scaly lesions on hands, feet, elbows, knees, and presternal area. | NA | IMP |
| Calleja Algarra et al. 2017 [37] | M/45 | Essential thrombocytosis | 1 | Purplish-red, infiltrated plaques symmetrically on proximal interphalangeal joints; pronounced palmoplantar hyperkeratosis. | NA | U |
| Marie et al. 2017 [38] | F/68 | Chronic myelogenous leukemia | 7 | Dermatomyositis-like band-like scaling erythema on the hands, periorbital erythema with heliotrope rash, painful pretibial leg ulcer. | Hyperkeratotic epidermis with basal vacuolar changes and moderate pericapillary lymphocytic infiltrates. No granulomas or vasculitis. Direct immunofluorescence negative. | IMP |
| Platto et al. 2018 [39] | F/69 | Essential trhombocytosis | Violaceous plaques on dorsal hands and interphalangeal joints; enlarging, painful leg ulcer. | Epidermal atrophy, vacuolar interface dermatitis with dyskeratotic keratinocytes, and perivascular lymphocytic infiltrates. | IMP | |
| Veraitch et al. 2019 [40] | M/40 | Polycythaemia vera | 0.75 | Erythematous pigmented flat-topped papules on the face, forehead and eyelids, and on the elbows and fingers. | Acanthotic epidermis with interface dermatitis and scattered basal necrotic keratinocytes. Mild perivascular lymphocytic infiltrate in the superficial papillary dermis with melanophages. | IMP |
| Pruessmann et al. 2024 [41] | M/64 | Chronic myeloid leukemia | 12 | Atrophic, poikilodermatous, scaly patches on dorsa of hands with accentuation over proximal interphalangeal joints; similar palmar and plantar lesions. | Acanthosis, orthokeratosis, atrophy of the epidermidis; pigment incontinence; vascular proliferation and fibrosis. | U |
| F/85 | Polycythemia vera | 10 | Erythematous macules on décolleté; worsening scaly plaques on arms; erythematous papules on dorsa of hands. | Acanthosis, orthokeratosis and parakeratosis, atrophy of the epidermidis; pigment incontinence; interface dermatitis; vascular proliferation and fibrosis. Suprabasal p53 expression. | U | |
| M/73 | Polycythemia vera | 12 | Erythematous papules on dorsa of hands, accentuated on PIP joints. | Acanthosis, parakeratosis; interface dermatitis. vascular proliferation and fibrosis. Suprabasal p53 expression. | U | |
| F/73 | Myeloproliferative neoplasm | 16 | Erythema and papules on face; scaly erythematous papules and plaques on hands, accentuated on PIP joints. | Acanthosis, parakeratosis; pigment incontinence. interface dermatitis; vascular proliferation and fibrosis. Suprabasal p53 expression. | U | |
| Ahdoot et al. 2024 [42] | F/84 | Myeloproliferative neoplasm | 12 | Violaceous scaly, atrophic thin plaques on her dorsal hands | Subtle vacuolar interface dermatitis with a mild increase in dermal mucin and vascular ectasia. | U |
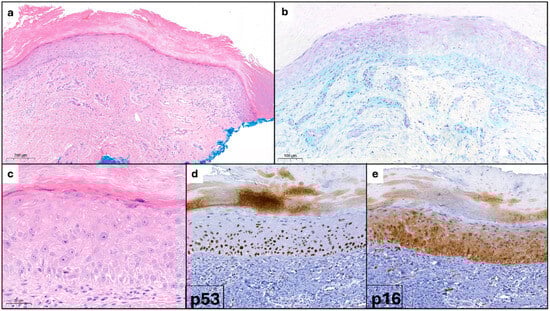
| Our case | F/70 | Polycytemia vera | 12 | Gottron’s papules on the dorsa of her hands, erythematous rash on the face | Orthokeratotic hyperkeratosis with slight epidermal atrophy, superficial angioplasia, mild perivascular lymphocytic infiltrate; occasional mucin deposits, keratinocyte atypia, dyskeratosis and nuclear irregularities p53 positivity in the basal and lower epidermal layers; p16 positivity in keratinocytes of the lower two-thirds of the epiderm. | IMP |
| Authors | Sex /Age | Pathology | HU Exposure (Years) | Cutaneous Manifestations | Histopathologic Description | Evolution After Therapy Discontinuation |
|---|---|---|---|---|---|---|
| Disdier et al. 1991 [43] | M/65 | Chronic granulocytic leukemia | 2 | Multiple SCCs of the head, scalp, hands; multiple AK, BCC, SCC, thin pellagroid-like skin | Infiltrating SCCs | Switch from HU to Mercaptopurine. Vertex lesion reoccured after surgical excission, infiltrating the skull and with metastatic cervical lymphnodes. Died. |
| Papi et al. 1993 [44] | M/70 | Chronic myeloid leukemia | 4 | Leg ulcer, multiple AK, SCC (left temple), BCC; diffuse xerosis, DM-like erythema and atrophy hands | Severe orthokeratotic hyperkeratosis of the hands lesions, cells containing mucin bodies | Switch from HU to Etretinate and Busulfan. Surgical excision of SCC. After few weeks other SCC appeared on the head while dermatomyositis-like lesions of the hand and elbows slowly worsened. |
| Angeli-Besson et al. 1995 [45] | M/67 | Chronic myeloid leukemia | 4 | Multiple SCC (adenoid type) of the scalp, cutaneous horn of the left cheeck, solar elastosis of the rest of the face | Squamous-cell carcinomas with adenoid feature structures. | Switch from HU to Mercaptopurine. Splenectomy. |
| Grange et al. 1995 [46] | F/60 | Chronic myeloid leukemia | 6 | Rapid, multiple infiltrative AKs, xerosis, melanonychia; lichenoid papules and atrophy of the hands | NA | NA |
| Bahadoran et al. 1996 [12] | M/62 | Chronic myeloid leukemia | 5 | Painful keratoderma, telangiectatic erythema, linear erythematous scaling athrophic eruption, multiple facial AKs and SCCs | Atrophic skin. In some areas, hyperkeratosis and hypergranulosis. Moderate hydropic degeneration of the basal layer and a few Civatte bodies. In the papillary dermis, perivascular mononuclear infiltrate extending to the overlying epidermis in the areas of hydropic degeneration. | Switch from HU to Busulfan. Resolution after a few months. |
| M/58 | Chronic myeloid leukemia | 7 | Multiple AKs and SCCs of the face, diffuse skin dryness, plantar keratoderma, erythema of the hands and face | Lichenoid infiltrate in some areas. Colloidal iron and alcian blue stains showed mucin deposition in the papillary dermis. DIF showed positive staining of the cytoid bodies for IgA. | Moderate improvement after discontinuation. | |
| Callot-Mellot et al. 1996 [47] | M/64 | Essential thrombocythemia | 5.5 | 3 SCCs and AKs of the scalp; xerosis, melanonychia | NA | Discontinuation of HU. No reoccurrence in 3 years follow up. |
| M/72 | Polycythaemia rubra vera | 7 | 5 BCC, AKs | NA | Discontinuation of HU. No reoccurrence in 2.5 years follow up. | |
| F/69 | Polycythaemia rubra vera | 8.5 | SCC of the hand, AKs, plantar keratoderma, erythema | NA | No withdrawal. No reoccurrence | |
| F/76 | Essential thrombocythemia | 10 | BCCs, AKs, nycholysis and alopecia | NA | Unavailable for follow up | |
| F/76 | Essential thrombocythemia | 2 | 3 BCCs, AKs | NA | Unavailable for follow up | |
| De Simone et al. 1998 [48] | M/59 | Chronic myelogenous leukemia | 6 | Multiple nodular lesions of the head (SCC and AK) | SCC and AK of the head | Switch from HU to Busulfan. |
| Best et al. 1998 [49] | F/59 | Essential thrombocythaemia | 6.5 | Scaly red patch of the face, facial telangiectasia, dry white scaling of her palms and soles, and pink-red flat papules over the bony prominences of her hands. 4 SCC (3 of the face, 1 of the hand) | 3 SCCs in situ of the face, 1 SCCs of the hand with dermal mucinosis, telangiectasia and solar elastosis. 3 BCCs and 10 Aks. | Switch from HU to Anagrelide |
| F/50 | Chronic myelogenous leukemia | 0.5 | Multiple ulcers, BCC of the left nasal ala, SCC of the lip | BCC of the left nasal ala, SCC of the lip | Switch from HU to interferon-alpha. Resolution of leg ulcers in 8M. 4Y after discontinuation multiple SCC of the hands developed. Died that year. | |
| Young et al. 2000 [50] | F/72 | Polycythaemia rubra vera | . | Poikilodermatous eruption with ichtiosys and lichenoid papules oh her cheeks and forehead; longitudinal bands of pigmentation of her toe and thumb nails. Non-scarring alopecia, finger nail dystrophy. AKs of the face and forehead. SCC of the forehead. | SCC | Switch from HU to interferon-alpha, slow improvement of lesions is observed. Cryotherapy for AK. |
| Salmon-Ehr et al. 2000 [51] | M/73 | Polycythaemia rubra vera | 10 | AKs, SCCs (ear) | NA | Switch from HU to Busulfan. Surgical excission of SCC. No reoccurrence in 14 months follow-up. |
| Aste et al. 2001 [52] | M/60 | Chronic myeloid leukemia | 10 | SCCs on the face, scalp and back of his hands. | NA | Switch from HU to Mercaptopurine combined with Etretinate for 3 months, without improvement. Chemotherapy based on Vincristine on day 1 followed by Bleomycin for the next 4 days, but only mild clinical improvement. |
| Vassallo et al. 2001 [18] | M/50 | Chronic myeloid leukemia | 5 | Acral erythema, xerosis, ichthyosiform lesions, telangiectasias, scrotum ulcers, dermatomyositis-like changes, squamous-cell carcinoma (lower lip). | Hyperkeratosis, irregular acanthosis, sparse superficial perivascular lymphohistiocytic infiltrate with focal dermo-epidermal interface changes and, rarely, dyskeratosis of single keratinocytes. Inflammatory infiltarte, dilatated blood vessels and atrophy of the erythematous areas. | Switch from HU to Pentoxyfilline. Died. |
| M/65 | Chronic myeloid leukemia | 5 | Acral erythema, xerosis, ichthyosiform lesions, telangiectasias, malleolar ulcers, keratoacanthoma (dorsum of right hand), dermatomyositis-like changes | Hyperkeratosis, irregular acanthosis, a sparse superficial perivascular lymphohistiocytic infiltrate with focal dermo-epidermal interface changes and, rarely, dyskeratosis of single keratinocytes. Inflammatory infiltarte, dilatated blood vessels and atrophy of the erythematous areas. | Switch from HU to Pentoxyfilline | |
| M/55 | Chronic myeloid leukemia | 7 | Acral erythema, ichthyosiform lesions, lower-lip ulcer, glossitis, squamous-cell carcinoma (left ear) | Hyperkeratosis, irregular acanthosis, a sparse superficial perivascular lymphohistiocytic infiltrate with focal dermo-epidermal interface changes and, rarely, dyskeratosis of single keratinocytes. Inflammatory infiltarte, dilatated blood vessels and atrophy of the erythematous areas. | No treatment. Died. | |
| M/70 | Chronic myeloid leukemia | 5.75 | Acral erythema, xerosis, ichthyosiform lesions, telangiectasias, squamous-cell carcinoma (forehead), livedoid fixed erythema of heels. | Hyperkeratosis, irregular acanthosis, a sparse superficial perivascular lymphohistiocytic infiltrate with focal dermo-epidermal interface changes and, rarely, dyskeratosis of single keratinocytes. Inflammatory infiltarte, dilatated blood vessels and atrophy of the erythematous areas. | No treatment. Died. | |
| F/64 | Chronic myeloid leukemia | 10 | Acral erythema, xerosis, ichthyosiform lesions, malleolar ulcers, keratoacanthoma (left cheek), hyperpigmentation. | Hyperkeratosis, irregular acanthosis, a sparse superficial perivascular lymphohistiocytic infiltrate with focal dermo-epidermal interface changes and, rarely, dyskeratosis of single keratinocytes. Inflammatory infiltarte, dilatated blood vessels and atrophy of the erythematous areas. | Switch from HU to Pentoxyfilline. Died. | |
| Esteve et al. 2001 [53] | F/83 | Polycythaemia rubra vera | 13 | 5 photodistributed SCCs, 2 oral SCCs | NA | NA |
| Pamuk et al. 2003 [54] | M/73 | Chronic myeloid leukemia | 3 | Scaly lesion, redness and dryness on his left posterior auricle | SCC metastatic to the parathyroid gland and regional lymph nodes | Patient refused to change drug so HU intake was reduced. 1Y after SCC was metastatic. Surgery (ear grafting and radical neck and lymph nodes dissection) and radiotherapy. HU suspended after surgery, but patient died few weeks after. |
| Sanchez-Palacios et al. 2004 [4] | M/69 | Essential thrombocythemia | 9 | 8 squamous cell carcinomas and multiple diffuse hypertrophic AKs on sunexposed areas | Diffuse atypia of the epidermis with disarray of keratinocytes, and acantholysis and focal vacuolar changes of the lower layers of the epidermis. Diffuse expression of p53 along the lower layers of the epidermis. Supportive of the dysplastic nature of the acantholytic process. | NA |
| M/66 | Chronic myelogenous leukemia | 11 | 2 SCCs, 1 BCC and multiple hypertrophic AKs on his scalp; malleolar ulcer | NA | NA | |
| De Benedittis et al. 2004 [55] | M/66 | Polycythaemia vera | 15 | Alopecia, dryness, erythema, atrophy, skin and nail hyperpigmentation, ulcer of the left leg. White ulcerative lesion (SCC) of the left margin of the toungue. | Moderately differentiated oral SCC (T2N0M0) | Switch from HU to Thioguanine, Pentoxyfilline. Treatment of SCC with hemiglossectomy, hemimandibulectomy, removal of the salivary glands and latero-cervical lymphnodes. |
| Zaccaria et al. 2006 [24] | M/73 | Essential thrombocythaemia | NA | Itchy cutaneous eruption. Leg ulceration. Poikilodermatous keratotic lesions of the dorsum of hands, face and back (5 SCCs). | Well-differentiated SCC | Switch from HU to Busulfan. Complete resolution of DM-like lesions and normal platelet count in 90 days. |
| Kalajian et al. 2010 [2] | F/82 | Myelodysplastic syndrome | Gottron’s papules, scaly erythematous plaques on hands, confluent facial erythema, xerosis, poikiloderma, leg ulcer. SCC in situ of the dorsal right index. | Lichenoid inflammation with basal vacuolar changes, occasional Civatte bodies, apoptotic keratinocytes and mild superficial dermal lymphocytic infiltrate. | SCCs continued to progress over the next 3 months. Died 5 months later from complications of her myelodysplastic syndrome. | |
| Schleußinger TM et al. 2011 [56] | F/80 | Essential thrombocytosis | 13 | Multiple large hyperkeratotic lesions (AKs and SCCs in situ) of the face | Bowenoid AK and Bowen disease. | NA |
| Stone et al. 2011 [57] | F/62 | Polycythaemia vera | 9 | Painful non healing chronic ulcer on the left heel. | Invasive SCC at the ulcer area with tumour cells characterized by enlarged nuclei with angulated contours and prominent nucleoli. | No improvement (treatment with HU was stopped 2Y before consultation). Surgery for SCC. Aspirin for polycythemia vera. |
| Radić et al. 2011 [58] | F/76 | Polycythaemia vera | NA | BCC and SCC on the dorsum of the hand | BCC and poorly differentiated sarcomatoid SCC (positive for vimentin, EMA and cytokeratins CK5/6, and negative for bcl-2). p53 was positive in approximately 50% of squamous cell carcinoma cells and in almost all basal cell carcinoma cells | NA |
| Neill et al. 2013 [59] | M/67 | Polycythaemia vera | 11 | Extensive photodamage, atrophy, and dermatoheliosis on the dorsal hands and posterior forearms; hyperkeratotic papule on his right helix (SCC); dermatomyositis-like hypopigmented pink papules (Gottron’s papules) and plaques on hands. | Invasive SCC of the helix, AK of the hands, right fifth proximal interphalangeal joint showed sparse lymphocitic infiltrate and necrotic keratinocytes compatible with DM. | Improvement over a month of discontinuation from HU. |
| Antar et al. 2014 [60] | F/60 | Essential thrombocythaemia | 5 | Painful erythematous ulcerated plaques bilateral on feet. | Infiltrating and keratinizing SCC, with areas of SCC in situ. | Switch from HU to Anagrelide (non tolerated), then Peginterferon and subsequent improvement. Debridement and grafting of the ulcerated lesions |
| Uday Kumar et al. 2017 [61] | M/30 | Chronic myeloid leukemia | 5 | Diffuse ulceroproliferative lesion of the buccal mucosa (SCC), and mucositis. | Hydroxyurea-induced erosive lichen planus of oral cavity | Discontinuation from HU. Radiotherapy for SCC. Buccal lesion did not re-occurred. Died after 1 year. |
| Cantisani et al. 2019 [62] | 9 patients. Mean age: 77 ± 6.3 years, 1F, 8M | Polycythaemia vera | NA | AKs in 7 patients on the head; among these, one patient also developed a BCC, one patient developed a SCC, and one patient developed both a SCC and a BCC. The other two patients of our cohort developed solely BCC on the trunk and on the head. | NA | Daylight photodynamic therapy to treat NMSC, Imiquimod in one patient who had multiple ulcerated lesions. |
| Xu et al. 2019 [63] | F/67 | Primary myelofibrosis | 20 | Nodular and keratotic lesions with sharp margins, branny desquamation, hyperpigmentation on her dorsal hands and legs, and ulcerative lesions (SCC) on her left ankle | Well-differentiated SCC of the ulcerated ankle with abundant cytoplasmic keratin pearls | Radical surgery with under-the-knee amputation and preventive right groin nodal dissection. Healing with scabbing of the hands’ wounds. |
| Brown et al. 2020 [64] | F/84 | Essential thrombocythaemia | 17 | Multiple hyperkeratotic lesions, AKs and SCCs on her right forearm, left hand, right chin. | Intra-epidermal SCC | Hydroxyurea suspended. Impossible complete excision of SCC. Palliative radiotherapy and topical 5FU and Acitretin. |
| Kerdoud et al. 2021 [65] | F/59 | Essential thrombocytosis | Painless slow-growing nodular lesion, black horn-shaped hyperkeratosis lesion of the nasal pyramid | Well-differentiated SCC | Switch from HU to Busulfan. Maxillofacial surgery of SCC |
Disclaimer/Publisher’s Note: The statements, opinions and data contained in all publications are solely those of the individual author(s) and contributor(s) and not of MDPI and/or the editor(s). MDPI and/or the editor(s) disclaim responsibility for any injury to people or property resulting from any ideas, methods, instructions or products referred to in the content. |
© 2025 by the authors. Published by MDPI on behalf of the European Society of Dermatopathology. Licensee MDPI, Basel, Switzerland. This article is an open access article distributed under the terms and conditions of the Creative Commons Attribution (CC BY) license (https://creativecommons.org/licenses/by/4.0/).
Share and Cite
Di Marco, G.; Bigotto, G.D.; Cossar, E.; Rizzo, N.; Guida, S.; Rongioletti, F. Dermatomyositis-like Eruptions, Hydroxyurea-Associated Squamous Dysplasia, and Nonmelanoma Skin Cancer: A Case Report and Systematic Review. Dermatopathology 2025, 12, 11. https://doi.org/10.3390/dermatopathology12020011
Di Marco G, Bigotto GD, Cossar E, Rizzo N, Guida S, Rongioletti F. Dermatomyositis-like Eruptions, Hydroxyurea-Associated Squamous Dysplasia, and Nonmelanoma Skin Cancer: A Case Report and Systematic Review. Dermatopathology. 2025; 12(2):11. https://doi.org/10.3390/dermatopathology12020011
Chicago/Turabian StyleDi Marco, Giorgia, Gianmarco Diego Bigotto, Eleonora Cossar, Nathalie Rizzo, Stefania Guida, and Franco Rongioletti. 2025. "Dermatomyositis-like Eruptions, Hydroxyurea-Associated Squamous Dysplasia, and Nonmelanoma Skin Cancer: A Case Report and Systematic Review" Dermatopathology 12, no. 2: 11. https://doi.org/10.3390/dermatopathology12020011
APA StyleDi Marco, G., Bigotto, G. D., Cossar, E., Rizzo, N., Guida, S., & Rongioletti, F. (2025). Dermatomyositis-like Eruptions, Hydroxyurea-Associated Squamous Dysplasia, and Nonmelanoma Skin Cancer: A Case Report and Systematic Review. Dermatopathology, 12(2), 11. https://doi.org/10.3390/dermatopathology12020011

