Image-Guided Radiation Therapy Is Equally Effective for Basal and Squamous Cell Carcinoma
Abstract
1. Introduction
2. Materials and Methods
2.1. IGSRT Treatment Methodology and Energy/Dose Selection Process
2.2. Tumor Configuration and Depth Determination
2.3. Data Collection
2.4. Statistical Analysis
2.5. Ethics
3. Results
3.1. Patient and Disease Characteristics
3.2. Freedom from Recurrence Rates by Histology
3.3. Freedom from Recurrence Rates by Histologic Subtype
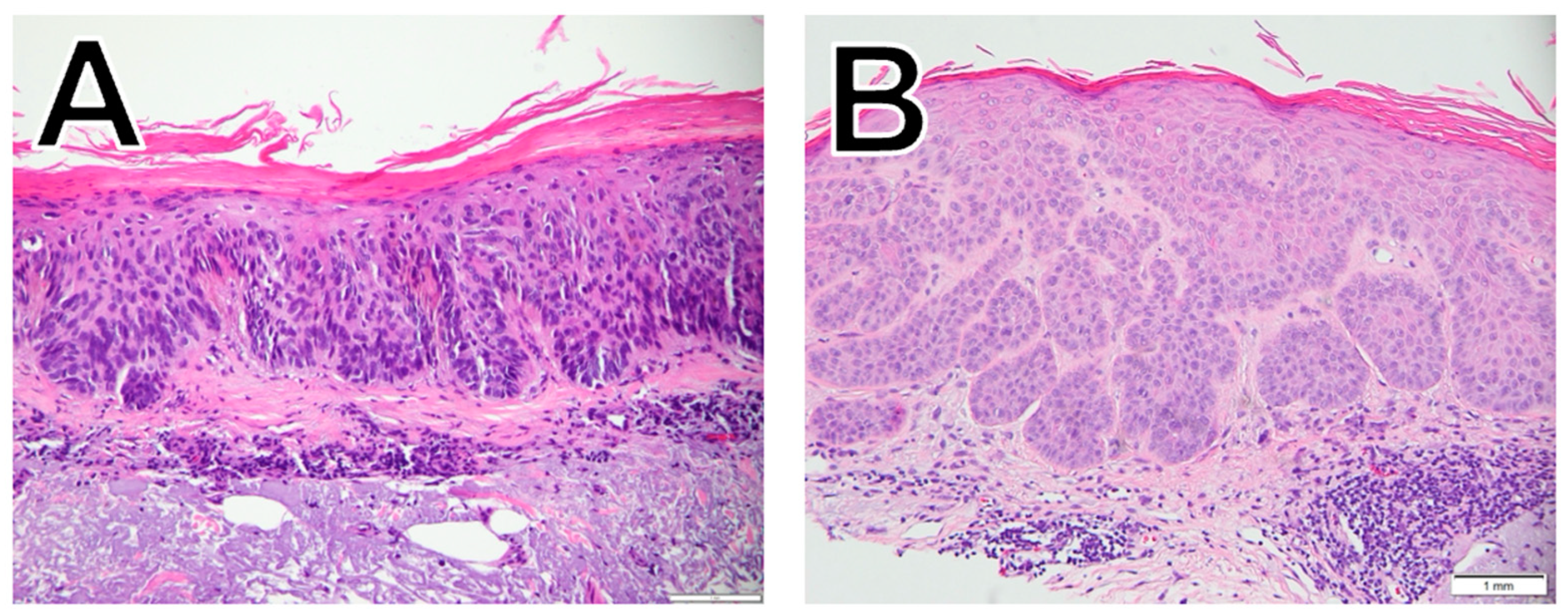
3.4. Example Cases
4. Discussion
5. Conclusions
Author Contributions
Funding
Institutional Review Board Statement
Informed Consent Statement
Data Availability Statement
Acknowledgments
Conflicts of Interest
References
- Cives, M.; Mannavola, F.; Lospalluti, L.; Sergi, M.C.; Cazzato, G.; Filoni, E.; Cavallo, F.; Giudice, G.; Stucci, L.S.; Porta, C.; et al. Non-Melanoma Skin Cancers: Biological and Clinical Features. Int. J. Mol. Sci. 2020, 21, 5394. [Google Scholar] [CrossRef] [PubMed]
- Leigh, I.M. Progress in skin cancer: The U.K. experience. Br. J. Dermatol. 2014, 171, 443–445. [Google Scholar] [CrossRef] [PubMed]
- Rogers, H.W.; Weinstock, M.A.; Feldman, S.R.; Coldiron, B.M. Incidence Estimate of Nonmelanoma Skin Cancer (Keratinocyte Carcinomas) in the U.S. Population, 2012. JAMA Dermatol. 2015, 151, 1081–1086. [Google Scholar] [CrossRef] [PubMed]
- American Cancer Society. Key Statistics for Basal and Squamous Cell Skin Cancers. Available online: https://www.cancer.org/cancer/types/basal-and-squamous-cell-skin-cancer/about/key-statistics.html (accessed on 10 June 2024).
- Ciążyńska, M.; Kamińska-Winciorek, G.; Lange, D.; Lewandowski, B.; Reich, A.; Sławińska, M.; Pabianek, M.; Szczepaniak, K.; Hankiewicz, A.; Ułańska, M.; et al. The incidence and clinical analysis of non-melanoma skin cancer. Sci. Rep. 2021, 11, 4337. [Google Scholar] [CrossRef] [PubMed]
- Aggarwal, P.; Knabel, P.; Fleischer, A.B., Jr. United States burden of melanoma and non-melanoma skin cancer from 1990 to 2019. J. Am. Acad. Dermatol. 2021, 85, 388–395. [Google Scholar] [CrossRef]
- Lomas, A.; Leonardi-Bee, J.; Bath-Hextall, F. A systematic review of worldwide incidence of nonmelanoma skin cancer. Br. J. Dermatol. 2012, 166, 1069–1080. [Google Scholar] [CrossRef]
- Cameron, M.C.; Lee, E.; Hibler, B.P.; Barker, C.A.; Shoko, M.; Cordova, M.; Nehal, K.S.; Rossi, A.M. Basal cell carcinoma: Epidemiology; pathophysiology; clinical and histological subtypes; and disease associations. J. Am. Acad. Dermatol. 2019, 80, 303–317. [Google Scholar] [CrossRef]
- Fitzmaurice, C.; Abate, D.; Abbasi, N.; Abbastabar, H.; Abd-Allah, F.; Abdel-Rahman, O.; Abdelalim, A.; Abdoli, A.; Abdollahpour, I.; Abdulle, A.S.M.; et al. Global, Regional, and National Cancer Incidence, Mortality, Years of Life Lost, Years Lived with Disability, and Disability-Adjusted Life-Years for 29 Cancer Groups, 1990 to 2017: A Systematic Analysis for the Global Burden of Disease Study. JAMA Oncol. 2019, 5, 1749–1768. [Google Scholar]
- American Cancer Society. What are Basal and Squamous Cell Skin Cancers? Available online: https://www.cancer.org/cancer/types/basal-and-squamous-cell-skin-cancer/about/what-is-basal-and-squamous-cell.html (accessed on 10 June 2024).
- McDaniel, B.; Badri, T.; Steele, R.B. Basal Cell Carcinoma; StatPearls Publishing: St. Petersburg, FL, USA. Available online: https://www.ncbi.nlm.nih.gov/books/NBK482439/ (accessed on 10 June 2024).
- Howell, J.Y.; Hadian, Y.; Ramsey, M.L. Squamous Cell Skin Cancer; StatPearls Publishing: St. Petersburg, FL, USA. Available online: https://www.ncbi.nlm.nih.gov/books/NBK441939/ (accessed on 10 June 2024).
- National Comprehensive Cancer Network. Basal Cell Skin Cancer, NCCN Guidelines, Version 3.2024 ed; National Comprehensive Cancer Network: Jen Kintown, PA, USA; Available online: https://www.nccn.org/professionals/physician_gls/pdf/nmsc.pdf (accessed on 10 June 2024).
- National Comprehensive Cancer Network. Squamous Cell Skin Cancer, NCCN Guidelines, Version 1.2024 ed; National Comprehensive Cancer Network: Jen Kintown, PA, USA; Available online: https://www.nccn.org/professionals/physician_gls/pdf/squamous.pdf (accessed on 10 June 2024).
- Prickett, K.A.; Ramsey, M.L. Mohs Micrographic Surgery; StatPearls Publishing: St. Petersburg, FL, USA. Available online: https://www.ncbi.nlm.nih.gov/books/NBK441833/ (accessed on 10 June 2024).
- Drucker, A.M.; Adam, G.P.; Rofeberg, V.; Gazula, A.; Smith, B.; Moustafa, F.; Weinstock, M.A.; Trikalinos, T.A. Treatments of Primary Basal Cell Carcinoma of the Skin: A Systematic Review and Network Meta-analysis. Ann. Intern. Med. 2018, 169, 456–466. [Google Scholar] [CrossRef]
- Yu, L.; Oh, C.; Shea, C.R. The Treatment of Non-Melanoma Skin Cancer with Image-Guided Superficial Radiation Therapy: An Analysis of 2917 Invasive and In Situ Keratinocytic Carcinoma Lesions. Oncol. Ther. 2021, 9, 153–166. [Google Scholar] [CrossRef]
- Tran, A.; Moloney, M.; Kaczmarski, P.; Zheng, S.; Desai, A.; Desai, T.; Yu, L. Analysis of image-guided superficial radiation therapy (IGSRT) on the treatment of early-stage non-melanoma skin cancer (NMSC) in the outpatient dermatology setting. J. Cancer Res. Clin. Oncol. 2023, 149, 6283–6291. [Google Scholar] [CrossRef] [PubMed]
- McClure, E.M.; Sedor, G.; Jin, Y.; Kattan, M.W. Image-guided superficial radiation therapy has superior 2-year recurrence probability to Mohs micrographic surgery. Clin. Transl. Radiat. Oncol. 2023, 43, 100678. [Google Scholar] [CrossRef] [PubMed]
- McClure, E.; Sedor, G.; Moloney, M.; Jin, Y.; Yu, L.; Kattan, M.W. Image guidance improves freedom from recurrence rate after superficial radiation therapy for non-melanoma skin cancer. Adv. Radiat. Oncol. 2024, 101463, 22280478. [Google Scholar]
- Yu, L.; Moloney, M.; Tran, A.; Zheng, S.; Rogers, J. Local control comparison of early-stage non-melanoma skin Cancer (NMSC) treated by superficial radiotherapy (SRT) and external beam radiotherapy (XRT) with and without dermal image guidance: A meta-analysis. Discov. Oncol. 2022, 13, 129. [Google Scholar] [CrossRef] [PubMed]
- Yu, L.; Moloney, M.; Zheng, S.; Rogers, J. High resolution dermal ultrasound (US) combined with superficial radiation therapy (SRT) versus non-image guided SRT or external beam radiotherapy (XRT) in early-stage epithelial cancer: A comparison of studies. BMC Cancer 2023, 23, 98. [Google Scholar] [CrossRef]
- Skowronek, J. Brachytherapy in the treatment of skin cancer: An overview. Postepy Dermatol. Alergol. 2015, 32, 362–367. [Google Scholar] [CrossRef]
- Fionda, B.; Placidi, E.; Rosa, E.; Lancellotta, V.; Stimato, G.; De Angeli, M.; Ciardo, F.G.; Cornacchione, P.; Siebert, F.A.; Tagliaferri, L.; et al. Multilayer intensity modulated contact interventional radiotherapy (brachytherapy): Stretching the therapeutic window in skin cancer. J. Contemp. Brachytherapy 2023, 15, 220–223. [Google Scholar] [CrossRef]
- Stiegel, E.; Lam, C.; Schowalter, M.; Somani, A.K.; Lucas, J.; Poblete-Lopez, C. Correlation Between Original Biopsy Pathology and Mohs Intraoperative Pathology. Dermatol. Surg. 2018, 44, 193–197. [Google Scholar] [CrossRef]
- Combalia, A.; Carrera, C. Squamous Cell Carcinoma: An Update on Diagnosis and Treatment. Dermatol. Pract. Concept. 2020, 10, e2020066. [Google Scholar] [CrossRef]
- Reiter, O.; Mimouni, I.; Gdalevich, M.; Marghoob, A.A.; Levi, A.; Hodak, E.; Leshem, Y.A. The diagnostic accuracy of dermoscopy for basal cell carcinoma: A systematic review and meta-analysis. J. Am. Acad. Dermatol. 2019, 80, 1380–1388. [Google Scholar] [CrossRef]
- Lallas, A.; Argenziano, G.; Zendri, E.; Moscarella, E.; Longo, C.; Grenzi, L.; Pellacani, G.; Zalaudek, I. Update on non-melanoma skin cancer and the value of dermoscopy in its diagnosis and treatment monitoring. Expert Rev. Anticancer Ther. 2013, 13, 541–558. [Google Scholar] [CrossRef] [PubMed]
- Hurley, A.R.; Totty, J.P.; Pinder, R.M. Dermoscopy as an adjunct to surgical excision of nonmelanoma Skin lesions: A systematic review and Meta-analysis. J. Clin. Aesthet. Dermatol. 2022, 15, 45–49. [Google Scholar] [PubMed]
- Schuh, S.; Ruini, C.; Perwein MK, E.; Daxenberger, F.; Gust, C.; Sattler, E.C.; Welzel, J. Line-Field Confocal Optical Coherence Tomography: A New Tool for the Differentiation between Nevi and Melanomas? Cancers 2022, 14, 1140. [Google Scholar] [CrossRef]
- Razi, S.; Kuo, Y.H.; Pathak, G.; Agarwal, P.; Horgan, A.; Parikh, P.; Rao, B.K. Line-Field Confocal Optical Coherence Tomography for the Diagnosis of Skin Tumors: A Systematic Review and Meta-Analysis. Diagnostics 2024, 14, 1522. [Google Scholar] [CrossRef]
- Paradisi, A.; Cornacchia, L.; Cappilli, S.; Abeni, D.; Federico, F.; Di Stefani, A.; Mannino, M.; Peris, K. Preoperative evaluation of high-risk basal cell carcinoma with line-field confocal optical coherence tomography (LC-OCT) reduces Mohs micrographic surgery stage number: A case-control study. EJC Skin Cancer 2024, 2, 100015. [Google Scholar] [CrossRef]
- Scott, J.G.; Berglund, A.; Schell, M.J.; Mihaylov, I.; Fulp, W.J.; Yue, B.; Torres-Roca, J.F. A genome-based model for adjusting radiotherapy dose (GARD): A retrospective, cohort-based study. Lancet Oncol. 2017, 18, 202–211. [Google Scholar] [CrossRef] [PubMed]
- Scott, J.G.; Sedor, G.; Ellsworth, P.; Scarborough, J.A.; Ahmed, K.A.; Oliver, D.E.; Torres-Roca, J.F. Pan-cancer prediction of radiotherapy benefit using genomic-adjusted radiation dose (GARD): A cohort-based pooled analysis. Lancet Oncol. 2021, 22, 1221–1229. [Google Scholar] [CrossRef]
- Lou, B.; Doken, S.; Zhuang, T.; Wingerter, D.; Gidwani, M.; Mistry, N.; Abazeed, M.E. An image-based deep learning framework for individualizing radiotherapy dose. Lancet Digit. Health 2019, 1, e136–e147. [Google Scholar] [CrossRef]










| Characteristic | All Lesions (n = 19,988) | BCC (n = 9885) | SCC (n = 5270) | SCCIS (n = 4635) | ≥2 NMSC (n = 198) |
|---|---|---|---|---|---|
| Age, n (%) | |||||
| <65 Years | 3152 (15.8) | 2042 (20.7) | 547 (10.4) | 545 (11.8) | 18 (9.1) |
| ≥65 Years | 16,911 (84.2) | 7843 (79.3) | 4723 (89.6) | 4090 (88.2) | 180 (90.9) |
| Sex, n (%) | |||||
| Female | 7652 (38.3) | 3895 (39.4) | 1925 (36.5) | 1766 (38.1) | 66 (33.3) |
| Male | 12,324 (61.7) | 5985 (60.6) | 3341 (63.4) | 2866 (61.9) | 132 (66.7) |
| Missing | 12 | 5 | 4 | 3 | 0 |
| Size, cm, median (IQR) | 1.0 (0.9, 1.6) | 1.0 (0.8, 1.6) | 1.2 (1.0, 2.0) | 1.0 (1.0, 1.5) | 1.5 (1.0, 2.0) |
| Missing | 354 | 134 | 88 | 129 | 3 |
| TDF, median (IQR) | 96.0 (93.0, 98.0) | 96.0 (94.0, 98.0) | 96.0 (93.0, 98.0) | 96.0 (93.0, 97.0) | 97.0 (95.0, 99.0) |
| Missing | 255 | 131 | 69 | 51 | 4 |
| Energy, n (%) | |||||
| 100 kV | 3312 (16.6) | 1908 (19.3) | 1008 (19.1) | 335 (7.2) | 61 (30.8) |
| 50 kV | 5376 (26.9) | 2365 (23.9) | 1336 (25.4) | 1645 (35.5) | 30 (15.2) |
| 70 kV | 11,105 (55.6) | 5537 (56.0) | 2852 (54.1) | 2609 (56.3) | 107 (54.0) |
| Other | 190 (1.0) | 73 (0.7) | 72 (1.4) | 45 (1.0) | 0 (0.0) |
| Missing | 5 | 2 | 2 | 1 | 0 |
| Tumor Location, n (%) | |||||
| Head/neck | 12,728 (63.7) | 7098 (71.8) | 2784 (52.8) | 2693 (58.1) | 153 (77.3) |
| Ear | 1692 (8.5) | 861 (8.7) | 466 (8.8) | 346 (7.5) | 19 (9.6) |
| Scalp | 1289 (6.4) | 271 (2.7) | 435 (8.3) | 555 (12.0) | 28 (14.1) |
| Forehead | 1807 (9.0) | 914 (9.2) | 395 (7.5) | 477 (10.3) | 21 (10.6) |
| Temple | 607 (3.0) | 306 (3.1) | 145 (2.8) | 144 (3.1) | 12 (6.1) |
| Orbit/eyelid | 119 (0.6) | 90 (0.9) | 13 (0.2) | 16 (0.3) | 0 (0.0) |
| Nose | 3460 (17.3) | 2663 (26.9) | 399 (7.6) | 361 (7.8) | 37 (18.6) |
| Cheek | 2956 (14.8) | 1439 (14.6) | 769 (14.6) | 715 (15.4) | 33 (16.7) |
| Mucosal lip | 51 (0.3) | 16 (0.2) | 26 (0.5) | 9 (0.2) | 0 (0.0) |
| Chin/mandible | 149 (0.7) | 112 (1.1) | 26 (0.5) | 11 (0.2) | 0 (0.0) |
| Neck | 760 (3.8) | 460 (4.7) | 138 (2.6) | 155 (3.3) | 9 (4.5) |
| Extremities | 4125 (20.6) | 1080 (10.9) | 1791 (34.0) | 1228 (26.5) | 26 (13.1) |
| Shoulder | 468 (2.3) | 321 (3.2) | 69 (1.3) | 76 (1.6) | 2 (1.0) |
| Trunk | 817 (4.1) | 528 (5.3) | 126 (2.4) | 157 (3.4) | 6 (3.0) |
| Chest | 530 (2.7) | 275 (2.8) | 127 (2.4) | 125 (2.7) | 3 (1.5) |
| Back | 793 (4.0) | 597 (6.0) | 84 (1.6) | 107 (2.3) | 4 (2.0) |
| Stage, n (%) | |||||
| 0 | 4635 (23.4) | 0 (0.0) | 0 (0.0) | 4635 (100.0) | 0 (0.0) |
| 1 | 12,996 (65.7) | 8436 (86.4) | 4410 85.0) | 0 (0.0) | 150 (76.9) |
| 2 | 1903 (9.6) | 1176 (12.1) | 698 (13.5) | 0 (0.0) | 29 (14.9) |
| 3 | 243 (1.2) | 147 (1.5) | 80 (1.5) | 0 (0.0) | 16 (8.2) |
| Missing | 211 | 126 | 82 | 0 | 3 |
| Histology | 2-Year Freedom from Recurrence | 4-Year Freedom from Recurrence | 6-Year Freedom from Recurrence |
|---|---|---|---|
| BCC | |||
| At risk, n (events) | 3949 (28) | 1378 (32) | 189 (32) |
| Freedom from recurrence, % | 99.60 | 99.45 | 99.45 |
| Without BCC | |||
| At risk, n (events) | 4095 (18) | 1457 (22) | 206 (22) |
| Freedom from recurrence, % | 99.75 | 99.63 | 99.63 |
| SCC | |||
| At risk, n (events) | 2261 (17) | 846 (19) | 104 (19) |
| Freedom from recurrence, % | 99.58 | 99.49 | 99.49 |
| Without SCC | |||
| At risk, n (events) | 5783 (29) | 1989 (35) | 291 (35) |
| Freedom from recurrence, % | 99.71 | 99.56 | 99.56 |
| SCCIS | |||
| At risk, n (events) | 1895 (1) | 621 (3) | 102 (3) |
| Freedom from recurrence, % | 99.96 | 99.80 | 99.80 |
| Without SCCIS | |||
| At risk, n (events) | 6149 (45) | 2214 (51) | 293 (51) |
| Freedom from recurrence, % | 99.59 | 99.46 | 99.46 |
| Histologic Subtype | 2-Year Freedom from Recurrence | 4-Year Freedom from Recurrence | 6-Year Freedom from Recurrence |
|---|---|---|---|
| Nodular BCC | |||
| At risk, n (events) | 1706 (15) | 515 (18) | 73 (18) |
| Freedom from recurrence, % | 99.53 | 99.29 | 99.29 |
| Multiple-subtype BCC | |||
| At risk, n (events) | 642 (2) | 170 (2) | 14 (2) |
| Freedom from recurrence, % | 99.87 | 99.87 | 99.87 |
| Superficial BCC | |||
| At risk, n (events) | 346 (1) | 90 (1) | 22 (1) |
| Freedom from recurrence, % | 99.84 | 99.84 | 99.84 |
| Infiltrating BCC | |||
| At risk, n (events) | 57 (0) | 13 (0) | NA (NA) |
| Freedom from recurrence, % | 100.00 | 100.00 | NA |
| Morpheaform BCC | |||
| At risk, n (events) | 29 (0) | 8 (0) | 1 (0) |
| Freedom from recurrence, % | 100.00 | 100.00 | 100.00 |
| Squamous differentiation BCC | |||
| At risk, n (events) | 9 (0) | 2 (0) | NA (NA) |
| Freedom from recurrence, % | 100.00 | 100.00 | NA |
| Well-differentiated SCC | |||
| At risk, n (events) | 440 (1) | 107 (1) | 9 (1) |
| Freedom from recurrence, % | 99.78 | 99.78 | 99.78 |
Disclaimer/Publisher’s Note: The statements, opinions and data contained in all publications are solely those of the individual author(s) and contributor(s) and not of MDPI and/or the editor(s). MDPI and/or the editor(s) disclaim responsibility for any injury to people or property resulting from any ideas, methods, instructions or products referred to in the content. |
© 2024 by the authors. Published by MDPI on behalf of the European Society of Dermatopathology. Licensee MDPI, Basel, Switzerland. This article is an open access article distributed under the terms and conditions of the Creative Commons Attribution (CC BY) license (https://creativecommons.org/licenses/by/4.0/).
Share and Cite
McClure, E.M.; Cockerell, C.J.; Hammond, S.; Marienberg, E.S.; Koneru, B.N.; Ward, J.; Stricker, J.B. Image-Guided Radiation Therapy Is Equally Effective for Basal and Squamous Cell Carcinoma. Dermatopathology 2024, 11, 315-329. https://doi.org/10.3390/dermatopathology11040033
McClure EM, Cockerell CJ, Hammond S, Marienberg ES, Koneru BN, Ward J, Stricker JB. Image-Guided Radiation Therapy Is Equally Effective for Basal and Squamous Cell Carcinoma. Dermatopathology. 2024; 11(4):315-329. https://doi.org/10.3390/dermatopathology11040033
Chicago/Turabian StyleMcClure, Erin M., Clay J. Cockerell, Stephen Hammond, Evelyn S. Marienberg, Bobby N. Koneru, Jon Ward, and Jeffrey B. Stricker. 2024. "Image-Guided Radiation Therapy Is Equally Effective for Basal and Squamous Cell Carcinoma" Dermatopathology 11, no. 4: 315-329. https://doi.org/10.3390/dermatopathology11040033
APA StyleMcClure, E. M., Cockerell, C. J., Hammond, S., Marienberg, E. S., Koneru, B. N., Ward, J., & Stricker, J. B. (2024). Image-Guided Radiation Therapy Is Equally Effective for Basal and Squamous Cell Carcinoma. Dermatopathology, 11(4), 315-329. https://doi.org/10.3390/dermatopathology11040033

