Collision of Basal Cell Carcinoma with Apocrine–Sebaceous–Follicular Unit Neoplasms
Abstract
1. Introduction
2. Material and Methods
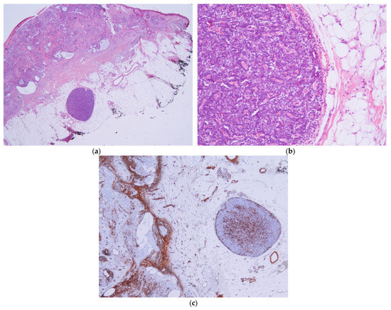
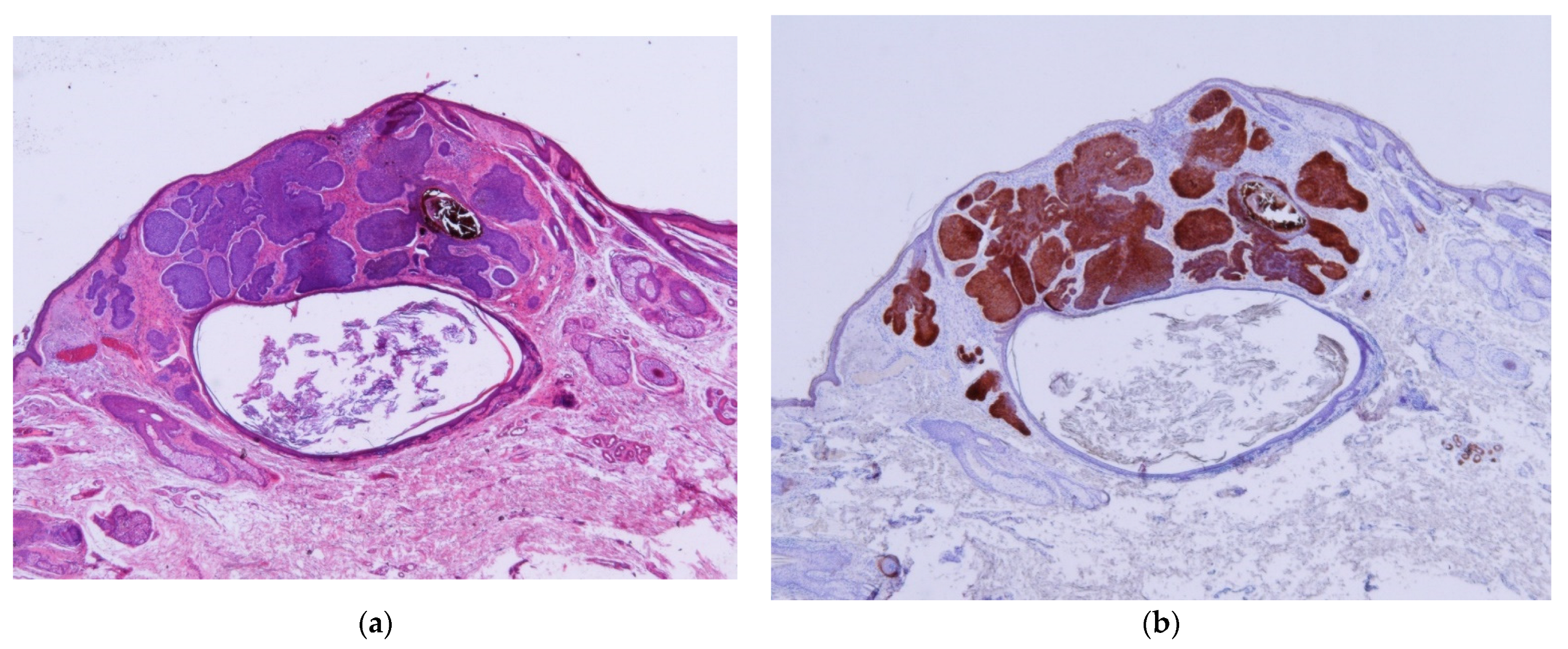
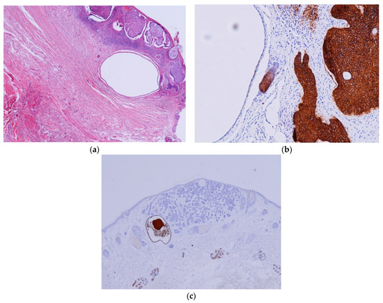
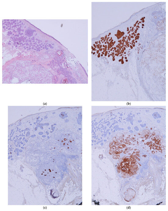
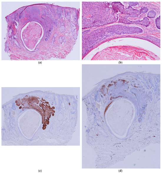
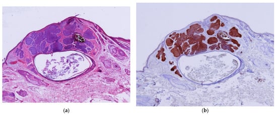
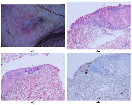
3. Results
4. Discussion
Funding
Institutional Review Board Statement
Informed Consent Statement
Data Availability Statement
Acknowledgments
Conflicts of Interest
References
- Weedon, D.; Strutton, G.; Rubin, A.I. Weedon’s Skin Patholoy, 3rd ed.; Churchuill Livingtone Elsevier: London, UK, 2010. [Google Scholar]
- Boyd, A.S.; Rapini, R.P. Cutaneous collision tumors. An analysis of 69 cases and review of the literature. Am. J. Dermatopathol. 1994, 16, 253–257. [Google Scholar] [CrossRef] [PubMed]
- Kossard, S.; Epstein, E.H., Jr.; Cerio, R.; Yu LLWeedon, D. Basal cell carcinoma. In Pathology & Genetics. Skin Tumours, 1st ed.; LeBoit, P.E., Burg, G., Weedon, D., Sarasin, A., Eds.; IARC Press: Lyon, France, 2006; pp. 13–19. [Google Scholar]
- Díaz-Cascajo, C.; Reichel, M.; Sánchez, J.L. Malignant neoplasms associated with seborrheic keratosis: An analysis of 54 cases. Am. J. Dermatopathol. 1996, 18, 278–282. [Google Scholar] [CrossRef] [PubMed]
- Piérard, G.E.; Fazaa, B.; Henry, F.; Kamoun, M.R.; Piérard-Franchimont, C. Collision of primary malignant neoplasm on the skin: The connection between malignant melanoma and basal cell carcinoma. Dermatology 1997, 194, 378–379. [Google Scholar] [CrossRef]
- Burkhaltter, A.; White, W.L. Malignant melanoma in situ colonizing basal cell carcinoma. Am. J. Dermatopathol. 1997, 19, 303–307. [Google Scholar] [CrossRef]
- Piqué-Duran, E.; Paredes, B. Colisión de carcinoma epidermoide y carcinoma basocelular. Estudio inmunohistoquímico con EMA y BerEP4 de 3 casos. In Proceedings of the XXXVI Reunión del Grupo Español de Dermatopatología, Barcelona, Spain, 20 October 2010. [Google Scholar]
- McKiernan, M.V.; McCann, J.J. Collision tumour—An unusual skin lesion. Br. J. Dermatol. 1995, 132, 486. [Google Scholar] [CrossRef]
- Proia, A.D.; Selim, A.; Reutter, J.C.; Michon, J.J. Basal cell-signet-ring squamous cell carcinoma of the eyelid. Arch. Pathol. Lab. Med. 2006, 130, 393–396. [Google Scholar] [CrossRef]
- Gülseren, D.; Noland, M.M.; Gru, A.A. Coexistence of a basal cell carcinoma and leiomyosarcoma: An unusual collision tumor. Am. J. Dermatopathol. 2019, 41, 956–958. [Google Scholar] [CrossRef] [PubMed]
- Levy, J.; Cagnano, E.; Benharroch, D.; Monos, T.; Lifshitz, T. Coliision sebaceous and cell carcinomas of the eyelid. Ann. Daig. Pathol. 2006, 10, 157–159. [Google Scholar] [CrossRef]
- Boran, C.; Parlak, A.H.; Erkol, H. Collision tumor of trichofolliculoma and basal cell carcinoma. Australas. J. Dermatol. 2007, 48, 127–129. [Google Scholar] [CrossRef]
- Wallace, M.L.; Smoller, B.R. Trichoepitelioma with an adjacent basal cell carcinoma, transformation os collision? J. Am. Acad. Dermatol. 1997, 37, 343–345. [Google Scholar] [CrossRef]
- Kallam, A.R.; Satyaranayana, M.A.; Aryasomayajula, S.; Krishna, R. Basal cell carcinoma developing from trichoepitelioma: Review of three cases. J. Clin. Diagn. Res. 2016, 10, 17–19. [Google Scholar]
- Sangwaiya, A.; Sharma, J.; Sharma, S.; Munghate, A.; Samal, S.; Sen, R. Multiple Familial Trichoepithelioma with an Adjacent Basal Cell Carcinoma, Transformation or Collision–A Case Report and Review of Literature. Ind. J. Dermatol. 2015, 60, 280–283. [Google Scholar]
- Jayaprakasam, A.; Rene, C. A benign or malignant eyelid lump–Can you tell? An unusual collision tumor highlighting the difficulty differentiating a hidrocystoma from a basal cell carcinoma. Case Rep. 2012. [Google Scholar] [CrossRef]
- Al Kaptan, M.; Kattampallil, J.; Rosendakd, C. Trichilemmoma in continuity with pigmented basal cell carcinoma; with dermatoscopy and dermatopathology. Dermatol. Pract. Concept. 2015, 5, 57–59. [Google Scholar] [CrossRef] [PubMed]
- Crowson, A.N.; Magro, C.M. Basal cell carcinoma arising in association with desmoplastic trichilemmoma. Am. J. Dermatopathol. 1996, 18, 43–48. [Google Scholar] [CrossRef]
- Shams, P.N.; Olver, J.M. A case of cutaneous collision tumour: The importance of photographic documentation and large incisional biopsy. Eye 2006, 20, 1323–1324. [Google Scholar] [CrossRef]
- Pique-Duran, E.; Duran-Hernandez, M.C.; Perez-Cejudo, J.A.; Garcia-Vazquez, O. Clear cell hidradenoma–Basal cell carcinoma collision. Am. J. Dermatopathol. 2021, 43, e23–e26. [Google Scholar] [CrossRef]
- Hofer, A.; Kaddu, S.; Seidi, H.; Kerl, H.; Wolf, P. Collision of squamous cell carcinoma with melanoma in situ in a child with xeroderma pigmentosum. Dermatology 2001, 203, 66–69. [Google Scholar] [CrossRef]
- Terada, T. Basal cell carcinoma arising from epidermal cyst. J. Cutan. Pathol. 2015, 19, 105–106. [Google Scholar] [CrossRef]
- Piqué-Duran, E.; Cameselle-Martínez, D.; Palacios- Llopis, S.; García-Vázquez, O.; Pérez-Cejudo, J.A. Carcinoma epidermoide sobre quiste infundibular. Piel 2012, 27, 441–445. [Google Scholar] [CrossRef]
- Theocharous, C.; Jaworski, R.C. Squamous cell carcinoma arising in an eccrine hidrocystoma. Pathology 2003, 25, 184–186. [Google Scholar] [CrossRef] [PubMed]
- Bulte, C.A.; Hoegler, K.M.; Khachemoune, A. Collision tumors: A review of their types, pathogenesis, and diagnostic challenges. Dermatol. Ther. 2020, 33, e14236. [Google Scholar] [CrossRef] [PubMed]
- Requena, L.; Yus, E.S.; Simon, P.; del Río, E. Induction of cutaneous hiperplasias by altered stroma. Am. J. Dermatopathol. 1996, 18, 248–266. [Google Scholar] [CrossRef]
- Ackerman, A.B. Basal cell carcinoma with follicular differentiation. Am. J. Dermatopathol. 1989, 11, 481–505. [Google Scholar]
- Moreno, C.; Requena, C.; Requena, L. Embriología, histología y fisiología del folículo piloso. In Neoplasias Anexiales Cutáneas, 1st ed.; Requena, L., Ed.; Aula Médica Ediciones: Madrid, Spain, 2004; pp. 185–202. [Google Scholar]
- Shiver, M.; Hugues, M.; Naylor, M.; McLarney, B.; Stolle, C.; Shalin, S.; Gao, L. A novel CYLD gene mutation and multiples basal cell carcinomas in a patient qith Brooke-Spiegler síndrome. Clin. Exp. Dermatol. 2016, 41, 94–103. [Google Scholar] [CrossRef]
- Baur, V.; Papadopoulos, T.; Kazakov, D.V.; Agaimy, A.; Hartmann, A.; Isbary, G.; Wirtz, R.M.; Schultz, E.S. A case of multiple familial trichoepitheliomas respondign to treatmente with the hedgehog signaling pathway inhibitors vismodegib. Virchows. Archiv. 2018, 473, 241–246. [Google Scholar] [CrossRef]
- Buckel, T.B.H.; Helm, K.F.; Ioffreda, M.D. Cystic basal cell carcinoma or hidrocystoma? The use of an excisional biopsy in a histopathollogically challenging case. Am. J. Dermatopathol. 2004, 26, 67–69. [Google Scholar] [CrossRef]
- Turnbull, N.; Ghumra, W.; Mudaliar, V.; Vella, J.; Sanders, D.S.A.; Taibjee, S.; Carr, R. CD34 and BerEP4 are helpful to distinguish basaloid tricholemmoma from basal cell carcinoma. Am. J. Dermatopathol. 2018, 40, 561–566. [Google Scholar] [CrossRef] [PubMed]
- Sangueza, M.; Requena, L. Cilindroma y Espiradenoma. In Neoplasias Anexiales Cutáneas, 1st ed.; Requena, L., Ed.; Aula Médica Ediciones: Madrid, Spain, 2004; pp. 73–80. [Google Scholar]
- Zheng, S.; Guo, Y.; Mones, J.M. Basal cell carcinoma with myoepithelial differentiation. Am. J. Dermatopathol. 2011, 33, 863–866. [Google Scholar] [CrossRef]
- Tsukamoto, H.; Hayashibe, K.; Mishima, Y.; Ichihashi, M. The altered expression of alpha-smooth muscle actin in basal cell epithelioma and its surrounding stroma: With special reference to proliferating cell nuclear antigen expression and adenoid differentiation. Br. J. Dermatol. 1994, 130, 189–194. [Google Scholar] [CrossRef]






| Antibody | Description | Laboratory | |
|---|---|---|---|
| SMA | Monoclonal mouse anti-human smooth muscle actin Clone 1A4 | DAKO | Denmark |
| BerEP4 | Monoclonal mouse anti-human epithelial antigen Clone Ber-EP4 | DAKO | Denmark |
| CEA | Monoclonal mouse anti-human carcinoembryonic antigen Clone II-7 | DAKO | Denmark |
| CK A1/A3 | Monoclonal mouse anti-human cytokeratin Clone AE1/AE3 | DAKO | Denmark |
| EMA | Monoclonal mouse anti-human epithelial membrane antigen Clone E29 | DAKO | Denmark |
| Ki67 | Monoclonal mouse anti-human Ki 67 antigen Clone MIB-1 | DAKO | Denmark |
| Case | Year + | Sex/Age | Medical History | Immunosuppression | Comment |
|---|---|---|---|---|---|
| Case 1 | 2005 | F/75 | HBP, DM, Cardiopathy | NO | Exitus 2007 |
| Case 2 | 2009 | M/67 | HBP, Prostatic sd, hypercholesterolemia, Hip prosthesis | NO * | Exitus 2012 due to lung carcinoma |
| Case 3 | 2009 | F/85 | Multinodular goiter, anxiety, multiple BCC | NO | |
| Case 4 | 2011 | F/83 | HBP, Hyperuricemia, Cardiopathy, Hypertriglyceridemia, BCC 2005 | NO | |
| Case 5 | 2013 | M/26 | X. Pigmentosum, melanoma, multiple BCC, SCC, and KA | NO | |
| Case 6 | 2014 | F/49 | None | NO | |
| Case 7 | 2015 | M/66 | Nephrotic syndrome, immunosuppression treatment | YES | |
| Case 8 | 2016 | F/66 | BCC 2004 | NO | |
| Case 9 | 2016 | M/91 | Prostatic cancer; Hodgkin lymphoma; BCC 2012 | YES | |
| Case 10 | 2017 | F/57 | Primary biliary cirrhosis; Ulcerative colitis; Esophageal varices; Hypothyroidism;Breast cancer 2016; prednisone treatment | YES | Exitus 2017 due to breast cancer |
| Case 11 | 2017 | M/66 | BCC 2011 | NO | |
| Case 12 | 2017 | F/72 | Arthrosis; Osteoporosis | NO |
| CASE Number | COLLISION | Location | Situation of the ASFu Neoplasm | Clinical Diagnosis | |
|---|---|---|---|---|---|
| BCC Type | ASFu Neoplasm | ||||
| Case 1 | Nodular | Hidrocystoma | Upper lip | Below | BCC |
| Case 2 | Nodular | Infundibular cyst | Left cheek | Below | BCC |
| Case 3 | Adenoid | Steatocystoma | Right Retro auricular | Below | BCC |
| Case 4 | Nodular/ Infiltrative | Spiradenoma | Forehead | Below | BCC |
| Case 5 | Adenoid | Infundibular Cyst | Sternum | Below | BCC |
| Case 6 | Nodular/Micronodular | Steatocystoma | Right cheek | Below | BCC |
| Case 7 | Nodular | Infundibular cyst + Hidrocystoma | Nose | Intermingled | BCC |
| Case 8 | Micronodular | Hidrocystoma | Nose | Below | BCC |
| Case 9 | Micronodular | Clear-cell Hidradenoma | Back | Intermingled | BCC |
| Case 10 | Superficial | Trichilemmoma | Right cheek | Intermingled | BCC |
| Case 11 | Superficial | Trichilemmoma | Back | Intermingled | BCC |
| Case 12 | Micronodular | Hidrocystoma | Forehead | Below | BCC vs. infundibular cyst |
| Case | Neoplasm ASFu | BerEP4 BCC/ASFu | CEA BCC/ASFu | SMA BCC/ASFu | EMA BCC/ASFu | CKA1A3 BCC/ASFu | Ki67 BCC/ASFu | Giemsa BCC/ASFu |
|---|---|---|---|---|---|---|---|---|
| Case 1 | Hidrocystoma | +/− | −/+ Luminal layer | + stroma and focal/+ Outer layer | ||||
| Case 2 | Infundibular cyst | +/− | −/− | + focal/- | ||||
| Case 3 | Steatocystoma | +/− | −/− | −/− | ||||
| Case 4 | Spiradenoma | +/− | −/+ Ducts | + stroma and focal/+ Peripheral layer and reticulate center | −/+ some cells | |||
| Case 5 | Infundibular cyst | |||||||
| Case 6 | Steatocystoma | +/− | −/+ Luminal layer | + focal/+ erector pili muscle | ||||
| Case 7 | Infundibular cyst + Hidrocystoma | +/− | −/− (Infundibular cyst) /+ Luminal layer hidrocystoma | +/+ outer layer/+ outer layer | ||||
| Case 8 | Hidrocystoma | +/− | −/+ Luminal layer | −/+ outer layer | ||||
| Case 9 | Clear-cell hidradenoma | +/+ solo cel claras | −/+ Ducts | −/+ in squamous cells | +/+ | ++/+ | +/− stroma | |
| Case 10 | Trichilemmoma | +/+ focal | ||||||
| Case 11 | Trichilemmoma | +/+ weak focal | −/+ weak focal | |||||
| Case 12 | Hidrocystoma | +/− | −/+ Ducts |
Disclaimer/Publisher’s Note: The statements, opinions and data contained in all publications are solely those of the individual author(s) and contributor(s) and not of MDPI and/or the editor(s). MDPI and/or the editor(s) disclaim responsibility for any injury to people or property resulting from any ideas, methods, instructions or products referred to in the content. |
© 2024 by the author. Published by MDPI on behalf of the European Society of Dermatopathology. Licensee MDPI, Basel, Switzerland. This article is an open access article distributed under the terms and conditions of the Creative Commons Attribution (CC BY) license (https://creativecommons.org/licenses/by/4.0/).
Share and Cite
Piqué-Duran, E. Collision of Basal Cell Carcinoma with Apocrine–Sebaceous–Follicular Unit Neoplasms. Dermatopathology 2024, 11, 303-314. https://doi.org/10.3390/dermatopathology11040032
Piqué-Duran E. Collision of Basal Cell Carcinoma with Apocrine–Sebaceous–Follicular Unit Neoplasms. Dermatopathology. 2024; 11(4):303-314. https://doi.org/10.3390/dermatopathology11040032
Chicago/Turabian StylePiqué-Duran, Enric. 2024. "Collision of Basal Cell Carcinoma with Apocrine–Sebaceous–Follicular Unit Neoplasms" Dermatopathology 11, no. 4: 303-314. https://doi.org/10.3390/dermatopathology11040032
APA StylePiqué-Duran, E. (2024). Collision of Basal Cell Carcinoma with Apocrine–Sebaceous–Follicular Unit Neoplasms. Dermatopathology, 11(4), 303-314. https://doi.org/10.3390/dermatopathology11040032

