Next Article in Journal
Clinicopathological Challenge: A New Article Type in Dermatopathology
Previous Article in Journal
IgG4-Related Disease (IgG4-RD) with Unique Combined Generalized Skin Rashes and Biliary Tract Manifestation: A Comprehensive Immunological Analysis
 
 
Font Type:
Arial Georgia Verdana
Font Size:
Aa Aa Aa
Line Spacing:
Column Width:
Background:
Case Report

Interleukin-36 Is Highly Expressed in Skin Biopsies from Two Patients with Netherton Syndrome

by
Johannes Pawlowski
1,
Tatsiana Pukhalskaya
2,
Kelly Cordoro
3,
Marina Kristy Ibraheim
4 and
Jeffrey P. North
2,*
1
Department of Dermatology, University Hospital Mainz, 55131 Mainz, Germany
2
Department of Dermatology and Pathology, University of California San Francisco, San Francisco, CA 94143, USA
3
Department of Dermatology and Pediatrics, University of California San Francisco, San Francisco, CA 94143, USA
4
Department of Dermatology, Loma Linda University, Loma Linda, CA 92354, USA
*
Author to whom correspondence should be addressed.
Dermatopathology 2024, 11(3), 230-237; https://doi.org/10.3390/dermatopathology11030024
Submission received: 8 July 2024 / Revised: 5 August 2024 / Accepted: 7 August 2024 / Published: 12 August 2024

Abstract

Netherton syndrome (NS) is a rare autosomal recessive disorder that occurs due to a loss-of-function mutation in SPINK5; this loss results in significant inflammation, as well as perturbations of the skin barrier’s integrity and functionality. While it is unclear which inflammatory pathways contribute to the development of NS, recent studies have demonstrated the expression of interleukin (IL)-17/IL-36, as well as several Th2 cytokines. Consequently, immunohistochemistry (IHC) with IL-36 may serve as a potential tool for aiding the histopathological diagnosis of this condition. In this case series, we present two cases of NS and capture their immunostaining pattern with IL-36. Both cases demonstrated robust expression of IL-36. This finding bolsters the hypothesis that NS is partially driven by Th17 activation and suggests the potential utility of IL-36 IHC as part of the workup for this rare and diagnostically elusive entity. LEKTI IHC was negative in one biopsy, revealing a limitation of this stain in diagnosing NS.

1. Introduction

Netherton syndrome (NS) is a rare autosomal recessive disorder resulting from loss-of-function mutations in the SPINK5 gene, a gene encoding the serine protease inhibitor of Kazal-type 4 (LEKTI). Loss of this protein greatly impairs the skin barrier by engendering excessive desquamation, transepidermal water loss, and inflammation [1]. The disease presents classically with congenital ichthyosis, trichorrhexis invaginata, atopy, and elevated serum immunoglobulin (Ig)E [2]. While the clinical spectrum of disease is broad, NS phenotypes may be clustered as ichthyosis linearis circumflexa (NS-ILC) and scaly erythroderma (NS-SE) [3]. Depending on disease severity, NS can precipitate life-threatening sequelae in infants, including dehydration, electrolyte disturbances, seizures, failure to thrive, and recurrent infections [4].
The diagnosis of NS is often made when clinical features trigger suspicion and genetic testing is obtained for confirmation. Given the variety of cutaneous manifestations of NS, diagnosis is often delayed for years. Skin biopsy provides an additional data point for assessment. Biopsy specimens from NS patients can show psoriasiform epidermal hyperplasia, parakeratosis, elongated rete ridges, and a diminished granular layer. Microabscesses and dilated blood vessels may also be found in the epidermis and superficial dermis, respectively [5]. Spongiosis, the presence of eosinophils, and dyskeratotic keratinocytes, have also been documented [5].
These histopathologic findings overlap with psoriasis, which also features regular acanthosis, parakeratosis with neutrophils, hypogranulosis, and ectatic blood vessels in the papillary dermis [6,7,8]. Psoriasis is an inflammatory dermatosis promulgated by several inflammatory pathways, including T-helper (Th)1 cells, Th17/Th22 cells, and interleukin (IL)-23 [9]. Activation of the Th17 pathway increases the cutaneous production of IL-36, a pro-inflammatory cytokine that is highly expressed in psoriatic skin compared to spongiotic dermatitis [6,10]. Recent studies exploring the utility of IL-36 immunohistochemistry (IHC) have demonstrated the consistent diffusely strong expression of IL-36 in psoriatic skin compared to other psoriasiform dermatoses and eczema [6,7,8].
Given recent molecular studies identifying IL-17/IL-36 activity in NS, we aimed to assess IL-36 expression in lesional skin of NS patients [3,11]. We identified two cases of NS with the NS-ILC phenotype from our respective institutions based on molecular confirmation of SPINK5 mutation. Formalin-fixed, paraffin-embedded specimens were stained with hematoxylin–eosin and IL-36 (IL-36 gamma clone 2F4, 1:300 dilution, catalog # ab1456786; AbCam, Cambridge, MA, 4 μm sections). The grading of IL-36 was assessed based on cytoplasmic expression in the upper epidermis and adhered to the following 0–4 scoring system previously described in the literature: 0, negative; 1, focal weak; 2, diffuse weak; 3, focal, strong; 4, diffuse strong. A total of 6–8 cases were reviewed by two board-certified dermatopathologists (J.N. and T.P.).

2. Case Descriptions

2.1. Case 1

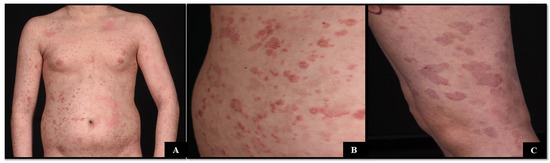
A 15-year-old boy with a history of NS [SPINK5 mutation, p.(Gln52lysfs*5); p.(Cys297)], allergic rhinitis, allergic conjunctivitis, and food allergies presented to the dermatology clinic with a several-year history of rash that transiently improved with methotrexate, cyclosporine, and dupilumab. A skin exam demonstrated coin-shaped, somewhat serpiginous erythematous plaques with a double collar of scale (Figure 1A–C). Trichoscopy revealed a portion of the proximal hair strand invaginated into the distal portion, consistent with trichorrhexis invaginata. Serologic testing demonstrated elevated serum IgE (5251 kU/L; reference > 20 kU/L).
Two punch biopsies were performed: one before the initiation of systemic therapy (Figure 2A–D) and one after the initiation of dupilumab (Figure 2E–G). Both biopsies revealed psoriasiform epidermal hyperplasia, mild spongiosis, parakeratosis with variable serum accumulation, and a normal to slightly increased granular layer. Additionally, a sparse superficial perivascular lymphocytic infiltrate and mildly dilated vessels in the superficial vascular plexus were noted (Figure 2A,B,E,F). Slight spongiosis was noted, but no dyskeratosis was observed. Sparse eosinophils were present. Both specimens demonstrated diffuse, high-intensity expression of IL-36 in the upper epidermis (grade 4 positivity) (Figure 2C,G). Immunohistochemical studies revealed the strong expression of LEKTI in the stratum corneum (Figure 2D).

2.2. Case 2

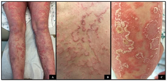
A 24-year-old woman with a history of a peanut allergy and NS [SPINK 5 mutation, HET c.C891T (+10In-Ex), p.K824Rfs*117] presented for evaluation of a new flare of her skin disease. The patient’s symptoms began in infancy with erythroderma prompting an initial diagnosis of atopic dermatitis. After developing a pustular component to her skin disease, a revised diagnosis of psoriasis was rendered. Two biopsies performed in childhood demonstrated psoriasiform dermatitis and subcorneal pustular dermatitis. The patient later developed erythematous, serpiginous plaques with a double-edged scale (Figure 3A,B); an eyebrow hair mount demonstrated trichorrhexis invaginata. Serologic testing demonstrated elevated serum IgE (8110 kU/L). The patient attempted numerous therapies including intravenous immunoglobulin (IVIG), adalimumab, secukinumab, and dupilumab, of which IVIG resulted in the greatest improvement.
A punch biopsy of a plaque on the thigh during a flare demonstrated acanthosis, broad parakeratosis with hypogranulosis, mild spongiosis, a tiny focus of neutrophils in the upper spinous zone, and superficial perivascular lymphocytic inflammation (Figure 4A–D). No dyskeratosis was noted. Spare eosinophils were present. The specimen strongly and diffusely expressed IL-36 in the upper epidermis, indicating grade 4 expression (Figure 4E).

3. Discussion

This case series captures the histopathologic findings and IL-36 immunostaining patterns of two patients with NS. In both cases, the affected skin highly expressed IL-36, suggesting that Th17 activation contributes at least partially to the pathogenesis of NS [3,11]. LEKTI, the protein product of the SPINK5 gene, is a serine protease inhibitor produced by keratinocytes between the granular layer and stratum corneum [12,13,14,15]. LEKTI inhibits several serine proteases found in this portion of the epidermis, including kallikrein-related proteinases (KLK) 5, KLK7, KLK14, and epidermal elastase 2; this counterbalance allows for appropriate rates of desquamation. In the absence of LEKTI, these serine proteases function unfettered, accelerating cadherin and desmosome degradation, altering pro-filaggrin processing, and triggering the premature separation of keratinocytes in the upper epidermis [15,16,17,18,19,20]. Hyperactivity of KLK5 upregulates protease-activated receptor-2, triggering the expression of numerous pro-inflammatory cytokines such as thymic stromal lymphopoietin (TSLP), CXCL8, TNF-α, and IL-17. This combination results in significant skin barrier impairment [11,16,17,21,22,23,24,25]. Interestingly, TSLP and IL-17/TNF-α are associated with Th2 and Th17 responses, respectively [3,11,15,22,26].
The activation of both Th2 and Th17 may explain the clinical and histologic findings seen in NS. The atopic features seen in NS and spongiosis on histopathology may be promulgated by the Th2 axis [5,26,27]. Activation of Th17 drives the production of IL-17 and TNF-α, both of which potentiate the production of IL-36 by keratinocytes. This generates a positive feedback loop, as IL-36 promotes further activity of Th17 [28]. Increased IL-36 activity is associated with aberrant cornification and excessive epidermal proliferation [29,30,31,32]. In keratinocytes, both IL-17 and IL-36 cytokines prompt the expression and secretion of CCL20 and CXCL8, further instigating an inflammatory response and attracting neutrophils [33,34]. This inflammatory pathway is a key driver of psoriasis, and previous studies have illustrated the association between IL-36 IHC expression and psoriasis [6,7,8].
The psoriasiform changes observed in NS, as well as the strong IL-36 expression seen in this case series, may be explained by this inflammatory cascade. Previously, a large case series captured the histopathological features found in NS. These included psoriasiform epidermal hyperplasia and, less frequently, parakeratosis, stratum corneum splitting, apoptotic keratinocytes, granulocytic dermal infiltrate, and dilated vessels in the papillary dermis [5]. The specimens in our case series demonstrated similar findings, with psoriasiform hyperplasia as the most prominent feature. Spongiosis has been documented in NS and was observed in varying degrees in the biopsies in our series, likely due to Th2 activation [5,27]. Both clinically and histopathologically, NS may be difficult to distinguish from eczema. In such cases, IL-36 expression may serve as an ancillary test to distinguish between these states. Additionally, in our first case of NS, LEKTI expression with IHC was observed despite a confirmed SPINK5 mutation. This finding contrasts with a previous study reporting LEKTI antibody’s sensitivity and specificity as 100% [35]. While this scenario may occur rarely, the use of IL-36 immunostain may provide an additional data point for use by clinicians.
While the diagnosis of NS poses its own challenges, its treatment remains equally elusive. No targeted therapy for NS exists. Given the atopic features seen in NS, some have attempted treatment with dupilumab to target the Th2 pathway. This approach has demonstrated improvement in pruritus in some patients, though the response may only be transient [26,27,36,37,38]. Other case reports have detailed clinical improvement with biologic therapies targeting both IL-17 and IL-23 in some patients [26,39,40,41,42]. It appears that the loss of LEKTI can result in the activation of multiple inflammatory pathways including both the Th17 and Th2 pathways. Future studies exploring the long-term efficacy of these agents and others that inhibit other inflammatory pathways involved in NS are needed, but Th17 activation in NS supports the potential therapeutic benefit of agents that target cytokines in these pathways [11].

4. Conclusions

Data from this small case series further support the assertion that NS is, at least in part, driven by Th17 inflammation. The use of IL-36 immunostaining could serve as a helpful diagnostic tool, as it can help to distinguish NS from some inflammatory dermatoses such as eczematous conditions like atopic dermatitis that are primarily driven by Th2 inflammation. However, IL-36 staining does not distinguish NS from other inflammatory diseases with Th17 activation such as psoriasis. Furthermore, LEKTI staining on biopsy specimens may not always show the loss of LEKTI expression in biopsies of NS. Positive IL-36 expression detected by immunostaining may serve as an additional clue raising suspicion for the diagnosis of NS.

Author Contributions

Conceptualization, J.P. and J.P.N.; writing—original draft preparation, J.P.; writing—review and editing, T.P., K.C., M.K.I. and J.P.N.; supervision, J.P.N.; histopathologic analysis, T.P. and J.P.N. All authors have read and agreed to the published version of the manuscript.

Funding

This research received no external funding.

Institutional Review Board Statement

Not applicable.

Informed Consent Statement

Written informed consent has been obtained from the patients to publish this paper.

Data Availability Statement

Data pertaining to the cases are presented in this article. Further inquiries can be directed to the corresponding author.

Acknowledgments

We would like to thank Keith Choate for providing the mutation information for the second case in this study; this information was collected as part of Grant R01AR068392 at Yale University.

Conflicts of Interest

The authors declare no conflicts of interest.

References

  1. Sprecher, E.; Amin, S.; Nielsen, K.; Pfendner, E.; Uitto, J.; Richard, G.; Chavanas, S.; DiGiovanna, J.J.; Prendiville, J.S.; Silverman, R.; et al. The spectrum of pathogenic mutations in SPINK5 in 19 families with Netherton syndrome: Implications for mutation detection and first case of prenatal diagnosis. J. Investig. Dermatol. 2001, 117, 179–187. [Google Scholar] [CrossRef] [PubMed]
  2. Greene, S.L.; Muller, S.A. Netherton’s syndrome. Report of a case and review of the literature. J. Am. Acad. Dermatol. 1985, 13 Pt 2, 329–337. [Google Scholar] [CrossRef] [PubMed]
  3. Barbieux, C.; Claustres, M.B.D.; Fahrner, M.; Petrova, E.; Tsoi, L.C.; Gouin, O.; Leturcq, F.; Nicaise-Roland, P.; Bole, C.; Béziat, V.; et al. Netherton syndrome subtypes share IL-17/IL-36 signature with distinct IFN-α and allergic responses. J. Allergy Clin. Immunol. 2022, 149, 1358–1372. [Google Scholar] [CrossRef] [PubMed]
  4. Bellon, N.; Hadj-Rabia, S.; Moulin, F.; Lambe, C.; Lezmi, G.; Charbit-Henrion, F.; Alby, C.; Peufeilhoux, L.L.S.; Leclerc-Mercier, S.; Hadchouel, A.; et al. The challenging management of a series of 43 infants with Netherton syndrome: Unexpected complications and novel mutations. Br. J. Dermatol. 2021, 184, 532–537. [Google Scholar] [CrossRef] [PubMed]
  5. Leclerc-Mercier, S.; Bodemer, C.; Furio, L.; Hadj-Rabia, S.; de Peufeilhoux, L.; Weibel, L.; Bursztejn, A.-C.; Bourrat, E.; Ortonne, N.; Molina, T.J.; et al. Skin Biopsy in Netherton Syndrome: A Histological Review of a Large Series and New Findings. Am. J. Dermatopathol. 2016, 38, 83–91. [Google Scholar] [CrossRef] [PubMed]
  6. Cohen, J.N.; Bowman, S.; Laszik, Z.G.; North, J.P. Clinicopathologic overlap of psoriasis, eczema, and psoriasiform dermatoses: A retrospective study of T helper type 2 and 17 subsets, interleukin 36, and β-defensin 2 in spongiotic psoriasiform dermatitis, sebopsoriasis, and tumor necrosis factor α inhibitor-associated dermatitis. J. Am. Acad. Dermatol. 2020, 82, 430–439. [Google Scholar] [CrossRef]
  7. Aquino, T.M.; Calvarido, M.G.; North, J.P. Interleukin 36 expression in psoriasis variants and other dermatologic diseases with psoriasis-like histopathologic features. J. Cutan. Pathol. 2022, 49, 123–132. [Google Scholar] [CrossRef]
  8. Ibraheim, M.K.; North, J.P. Utility of IL-36 immunostaining in distinguishing psoriasis from pityriasis rosea and pityriasis lichenoides. J. Cutan. Pathol. 2024, 51, 618–623. [Google Scholar] [CrossRef]
  9. Guo, J.; Zhang, H.; Lin, W.; Lu, L.; Su, J.; Chen, X. Signaling pathways and targeted therapies for psoriasis. Signal Transduct. Target. Ther. 2023, 8, 437. [Google Scholar] [CrossRef]
  10. D’Erme, A.M.; Wilsmann-Theis, D.; Wagenpfeil, J.; Hölzel, M.; Ferring-Schmitt, S.; Sternberg, S.; Wittmann, M.; Peters, B.; Bosio, A.; Bieber, T.; et al. IL-36γ (IL-1F9) Is a Biomarker for Psoriasis Skin Lesions. J. Investig. Dermatol. 2015, 135, 1025–1032. [Google Scholar] [CrossRef]
  11. Paller, A.S.; Renert-Yuval, Y.; Suprun, M.; Esaki, H.; Oliva, M.; Huynh, T.N.; Ungar, B.; Kunjravia, N.; Friedland, R.; Peng, X.; et al. An IL-17-dominant immune profile is shared across the major orphan forms of ichthyosis. J. Allergy Clin. Immunol. 2017, 139, 152–165. [Google Scholar] [CrossRef]
  12. Chao, S.C.; Richard, G.; Lee, J.Y.Y. Netherton syndrome: Report of two Taiwanese siblings with staphylococcal scalded skin syndrome and mutation of SPINK5. Br. J. Dermatol. 2005, 152, 159–165. [Google Scholar] [CrossRef] [PubMed]
  13. Bitoun, E.; Micheloni, A.; Lamant, L.; Bonnart, C.; Tartaglia-Polcini, A.; Cobbold, C.; Al Saati, T.; Mariotti, F.; Mazereeuw-Hautier, J.; Boralevi, F.; et al. LEKTI proteolytic processing in human primary keratinocytes, tissue distribution and defective expression in Netherton syndrome. Hum. Mol. Genet. 2003, 12, 2417–2430. [Google Scholar] [CrossRef] [PubMed]
  14. Ishida-Yamamoto, A.; Deraison, C.; Bonnart, C.; Bitoun, E.; Robinson, R.; O’Brien, T.J.; Wakamatsu, K.; Ohtsubo, S.; Takahashi, H.; Hashimoto, Y.; et al. LEKTI is localized in lamellar granules, separated from KLK5 and KLK7, and is secreted in the extracellular spaces of the superficial stratum granulosum. J. Investig. Dermatol. 2005, 124, 360–366. [Google Scholar] [CrossRef] [PubMed]
  15. Petrova, E.; López-Gay, J.M.; Fahrner, M.; Leturcq, F.; de Villartay, J.-P.; Barbieux, C.; Gonschorek, P.; Tsoi, L.C.; Gudjonsson, J.E.; Schilling, O.; et al. Comparative analyses of Netherton syndrome patients and Spink5 conditional knock-out mice uncover disease-relevant pathways. Commun. Biol. 2024, 7, 152. [Google Scholar] [CrossRef]
  16. Bonnart, C.; Deraison, C.; Lacroix, M.; Uchida, Y.; Besson, C.; Robin, A.; Briot, A.; Gonthier, M.; Lamant, L.; Dubus, P.; et al. Elastase 2 is expressed in human and mouse epidermis and impairs skin barrier function in Netherton syndrome through filaggrin and lipid misprocessing. J. Clin. Investig. 2010, 120, 871–882. [Google Scholar] [CrossRef] [PubMed]
  17. Descargues, P.; Deraison, C.; Prost, C.; Fraitag, S.; Mazereeuw-Hautier, J.; D’Alessio, M.; Ishida-Yamamoto, A.; Bodemer, C.; Zambruno, G.; Hovnanian, A. Corneodesmosomal cadherins are preferential targets of stratum corneum trypsin- and chymotrypsin-like hyperactivity in Netherton syndrome. J. Investig. Dermatol. 2006, 126, 1622–1632. [Google Scholar] [CrossRef] [PubMed]
  18. Deraison, C.; Bonnart, C.; Lopez, F.; Besson, C.; Robinson, R.; Jayakumar, A.; Wagberg, F.; Brattsand, M.; Hachem, J.P.; Leonardsson, G.; et al. LEKTI fragments specifically inhibit KLK5, KLK7, and KLK14 and control desquamation through a pH-dependent interaction. Mol. Biol. Cell 2007, 18, 3607–3619. [Google Scholar] [CrossRef]
  19. Schechter, N.M.; Choi, E.-J.; Wang, Z.-M.; Hanakawa, Y.; Stanley, J.R.; Kang, Y.; Clayman, G.L.; Jayakumar, A. Inhibition of human kallikreins 5 and 7 by the serine protease inhibitor lympho-epithelial Kazal-type inhibitor (LEKTI). Biol. Chem. 2005, 386, 1173–1184. [Google Scholar] [CrossRef]
  20. Fortugno, P.; Bresciani, A.; Paolini, C.; Pazzagli, C.; El Hachem, M.; D’Alessio, M.; Zambruno, G. Proteolytic activation cascade of the Netherton syndrome-defective protein, LEKTI, in the epidermis: Implications for skin homeostasis. J. Investig. Dermatol. 2011, 131, 2223–2232. [Google Scholar] [CrossRef]
  21. Briot, A.; Deraison, C.; Lacroix, M.; Bonnart, C.; Robin, A.; Besson, C.; Dubus, P.; Hovnanian, A. Kallikrein 5 induces atopic dermatitis-like lesions through PAR2-mediated thymic stromal lymphopoietin expression in Netherton syndrome. J. Exp. Med. 2009, 206, 1135–1147. [Google Scholar] [CrossRef] [PubMed]
  22. Briot, A.; Lacroix, M.; Robin, A.; Steinhoff, M.; Deraison, C.; Hovnanian, A. Par2 inactivation inhibits early production of TSLP, but not cutaneous inflammation, in Netherton syndrome adult mouse model. J. Investig. Dermatol. 2010, 130, 2736–2742. [Google Scholar] [CrossRef]
  23. Oikonomopoulou, K.; Hansen, K.K.; Saifeddine, M.; Tea, I.; Blaber, M.; Blaber, S.I.; Scarisbrick, I.; Andrade-Gordon, P.; Cottrell, G.S.; Bunnett, N.W.; et al. Proteinase-activated receptors, targets for kallikrein signaling. J. Biol. Chem. 2006, 281, 32095–32112. [Google Scholar] [CrossRef] [PubMed]
  24. Stefansson, K.; Brattsand, M.; Roosterman, D.; Kempkes, C.; Bocheva, G.; Steinhoff, M.; Egelrud, T. Activation of proteinase-activated receptor-2 by human kallikrein-related peptidases. J. Investig. Dermatol. 2008, 128, 18–25. [Google Scholar] [CrossRef] [PubMed]
  25. Malik, K.; He, H.; Huynh, T.N.; Tran, G.; Mueller, K.; Doytcheva, K.; Renert-Yuval, Y.; Czarnowicki, T.; Magidi, S.; Chou, M.; et al. Ichthyosis molecular fingerprinting shows profound TH17 skewing and a unique barrier genomic signature. J. Allergy Clin. Immunol. 2019, 143, 604–618. [Google Scholar] [CrossRef] [PubMed]
  26. Pontone, M.; Giovannini, M.; Filippeschi, C.; Oranges, T.; Pedaci, F.A.; Mori, F.; Barni, S.; Barbati, F.; Consonni, F.; Indolfi, G.; et al. Biological treatments for pediatric Netherton syndrome. Front. Pediatr. 2022, 10, 1074243. [Google Scholar] [CrossRef] [PubMed]
  27. Yan, S.; Wu, X.; Jiang, J.; Yu, S.; Fang, X.; Yang, H.; Bai, X.; Wang, H.; Luo, X. Dupilumab improves clinical symptoms in children with Netherton syndrome by suppressing Th2-mediated inflammation. Front. Immunol. 2022, 13, 1054422. [Google Scholar] [CrossRef] [PubMed]
  28. Carrier, Y.; Ma, H.-L.; Ramon, H.E.; Napierata, L.; Small, C.; O’Toole, M.; Young, D.A.; Fouser, L.A.; Nickerson-Nutter, C.; Collins, M.; et al. Inter-regulation of Th17 cytokines and the IL-36 cytokines in vitro and in vivo: Implications in psoriasis pathogenesis. J. Investig. Dermatol. 2011, 131, 2428–2437. [Google Scholar] [CrossRef]
  29. Wu, L.; Chen, X.; Zhao, J.; Martin, B.; Zepp, J.A.; Ko, J.S.; Gu, C.; Cai, G.; Ouyang, W.; Sen, G.; et al. A novel IL-17 signaling pathway controlling keratinocyte proliferation and tumorigenesis via the TRAF4-ERK5 axis. J. Exp. Med. 2015, 212, 1571–1587. [Google Scholar] [CrossRef]
  30. Jiang, Z.; Liu, Y.; Li, C.; Chang, L.; Wang, W.; Wang, Z.; Gao, X.; Ryffel, B.; Wu, Y.; Lai, Y. IL-36γ Induced by the TLR3-SLUG-VDR Axis Promotes Wound Healing via REG3A. J. Investig. Dermatol. 2017, 137, 2620–2629. [Google Scholar] [CrossRef]
  31. Wang, W.; Yu, X.; Wu, C.; Jin, H. IL-36γ inhibits differentiation and induces inflammation of keratinocyte via Wnt signaling pathway in psoriasis. Int. J. Med. Sci. 2017, 14, 1002–1007. [Google Scholar] [CrossRef] [PubMed]
  32. Pfaff, C.M.; Marquardt, Y.; Fietkau, K.; Baron, J.M.; Lüscher, B. The psoriasis-associated IL-17A induces and cooperates with IL-36 cytokines to control keratinocyte differentiation and function. Sci. Rep. 2017, 7, 15631. [Google Scholar] [CrossRef] [PubMed]
  33. Swindell, W.R.; Beamer, M.A.; Sarkar, M.K.; Loftus, S.; Fullmer, J.; Xing, X.; Ward, N.L.; Tsoi, L.C.; Kahlenberg, M.J.; Liang, Y.; et al. RNA-Seq Analysis of IL-1B and IL-36 Responses in Epidermal Keratinocytes Identifies a Shared MyD88-Dependent Gene Signature. Front. Immunol. 2018, 9, 80. [Google Scholar] [CrossRef]
  34. Müller, A.; Hennig, A.; Lorscheid, S.; Grondona, P.; Schulze-Osthoff, K.; Hailfinger, S.; Kramer, D. IκBζ is a key transcriptional regulator of IL-36-driven psoriasis-related gene expression in keratinocytes. Proc. Natl. Acad. Sci. USA 2018, 115, 10088–10093. [Google Scholar] [CrossRef]
  35. Leclerc-Mercier, S.; Bodemer, C.; Bourdon-Lanoy, E.; Larousserie, F.; Hovnanian, A.; Brousse, N.; Fraitag, S. Early skin biopsy is helpful for the diagnosis and management of neonatal and infantile erythrodermas. J. Cutan. Pathol. 2010, 37, 249–255. [Google Scholar] [CrossRef] [PubMed]
  36. Aktas, M.; Salman, A.; Sengun, O.A.; Ozer, E.C.; Tekin, S.H.; Cakici, O.A.; Demir, G.; Ergun, T. Netherton syndrome: Temporary response to dupilumab. Pediatr. Dermatol. 2020, 37, 1210–1211. [Google Scholar] [CrossRef] [PubMed]
  37. Süßmuth, K.; Traupe, H.; Loser, K.; Ständer, S.; Kessel, C.; Wittkowski, H.; Oji, V. Response to dupilumab in two children with Netherton syndrome: Improvement of pruritus and scaling. J. Eur. Acad. Dermatol. Venereol. 2021, 35, e152–e155. [Google Scholar] [CrossRef]
  38. Murase, C.; Takeichi, T.; Taki, T.; Yoshikawa, T.; Suzuki, A.; Ogi, T.; Suga, Y.; Akiyama, M. Successful dupilumab treatment for ichthyotic and atopic features of Netherton syndrome. J. Dermatol. Sci. 2021, 102, 126–129. [Google Scholar] [CrossRef] [PubMed]
  39. Volc, S.; Maier, L.; Gritsch, A.; Aichelburg, M.; Volc-Platzer, B. Successful treatment of Netherton syndrome with ustekinumab in a 15-year-old girl. Br. J. Dermatol. 2020, 183, 165–167. [Google Scholar] [CrossRef]
  40. Luchsinger, I.; Knöpfel, N.; Theiler, M.; Bonnet des Claustres, M.; Barbieux, C.; Schwieger-Briel, A.; Brunner, C.; Donghi, D.; Buettcher, M.; Meier-Schiesser, B.; et al. Secukinumab Therapy for Netherton Syndrome. JAMA Dermatol. 2020, 156, 907–911. [Google Scholar] [CrossRef]
  41. Gan, C.; King, E.; Orchard, D. Secukinumab use in the treatment of Netherton’s syndrome. Australas. J. Dermatol. 2022, 63, 365–367. [Google Scholar] [CrossRef] [PubMed]
  42. Blanchard, S.K.; Prose, N.S. Successful use of secukinumab in Netherton syndrome. JAAD Case Rep. 2020, 6, 577–578. [Google Scholar] [CrossRef] [PubMed]
Figure 1. (AC) Oval and annular erythematous macules, patches, and plaques with slight scale affecting the trunk and extremities.
Figure 1. (AC) Oval and annular erythematous macules, patches, and plaques with slight scale affecting the trunk and extremities.
Dermatopathology 11 00024 g001
Figure 2. (A,E) Hematoxylin and eosin (H&E)-stained sections demonstrating psoriasiform epidermal hyperplasia, parakeratosis with variable hypergranulosis. Mildly dilated blood vessels and a superficial perivascular lymphocytic infiltrate were also present. (H&E 40×); (B,F) features at high magnification (H&E 100×); (C,G) IL-36 staining grade 4 (IL-36 40×); (D) LEKTI strongly staining the granular layer (LEKTI 40×).
Figure 2. (A,E) Hematoxylin and eosin (H&E)-stained sections demonstrating psoriasiform epidermal hyperplasia, parakeratosis with variable hypergranulosis. Mildly dilated blood vessels and a superficial perivascular lymphocytic infiltrate were also present. (H&E 40×); (B,F) features at high magnification (H&E 100×); (C,G) IL-36 staining grade 4 (IL-36 40×); (D) LEKTI strongly staining the granular layer (LEKTI 40×).
Dermatopathology 11 00024 g002
Figure 3. (AC) Numerous erythematous, serpiginous plaques with a double edge scale on the trunk and extremities.
Figure 3. (AC) Numerous erythematous, serpiginous plaques with a double edge scale on the trunk and extremities.
Dermatopathology 11 00024 g003
Figure 4. (A) H&E demonstrating regular acanthosis, broad parakeratosis with focal neutrophilic inflammation, mild spongiosis, and superficial perivascular inflammation comprising lymphocytes. (H&E 40×); (BD) features at higher magnification ((B) H&E 100×, (C,D): H&E 400×); (E) IL-36 staining grade 4 (IL-36 40×).
Figure 4. (A) H&E demonstrating regular acanthosis, broad parakeratosis with focal neutrophilic inflammation, mild spongiosis, and superficial perivascular inflammation comprising lymphocytes. (H&E 40×); (BD) features at higher magnification ((B) H&E 100×, (C,D): H&E 400×); (E) IL-36 staining grade 4 (IL-36 40×).
Dermatopathology 11 00024 g004
Disclaimer/Publisher’s Note: The statements, opinions and data contained in all publications are solely those of the individual author(s) and contributor(s) and not of MDPI and/or the editor(s). MDPI and/or the editor(s) disclaim responsibility for any injury to people or property resulting from any ideas, methods, instructions or products referred to in the content.

Share and Cite

MDPI and ACS Style

Pawlowski, J.; Pukhalskaya, T.; Cordoro, K.; Ibraheim, M.K.; North, J.P. Interleukin-36 Is Highly Expressed in Skin Biopsies from Two Patients with Netherton Syndrome. Dermatopathology 2024, 11, 230-237. https://doi.org/10.3390/dermatopathology11030024

AMA Style

Pawlowski J, Pukhalskaya T, Cordoro K, Ibraheim MK, North JP. Interleukin-36 Is Highly Expressed in Skin Biopsies from Two Patients with Netherton Syndrome. Dermatopathology. 2024; 11(3):230-237. https://doi.org/10.3390/dermatopathology11030024

Chicago/Turabian Style

Pawlowski, Johannes, Tatsiana Pukhalskaya, Kelly Cordoro, Marina Kristy Ibraheim, and Jeffrey P. North. 2024. "Interleukin-36 Is Highly Expressed in Skin Biopsies from Two Patients with Netherton Syndrome" Dermatopathology 11, no. 3: 230-237. https://doi.org/10.3390/dermatopathology11030024

APA Style

Pawlowski, J., Pukhalskaya, T., Cordoro, K., Ibraheim, M. K., & North, J. P. (2024). Interleukin-36 Is Highly Expressed in Skin Biopsies from Two Patients with Netherton Syndrome. Dermatopathology, 11(3), 230-237. https://doi.org/10.3390/dermatopathology11030024

Article Metrics

Back to TopTop