Abstract
To improve the thermal stability of pectate lyase for ramie degumming, we modified the novel pectate lyase gene (pelG403) derived from the Dickeya dadantii DCE-01 high-efficiency ramie degumming strain by site-directed mutagenesis. Twelve mutants were acquired, wherein a prospective mutant (A129V) showed better enzyme activity and thermal stability. Compared with the wild type (PelG403), the specific enzyme activity and the optimal reaction temperature of A129V in the fermentation broth increased by 20.1%, and 5 °C, respectively. Under the conditions of 55 °C and pH 9.0, the weightlessness rate of ramie raw materials of A129V increased by 6.26%. Therefore, this study successfully improved the enzyme activity and heat resistance of PelG403 in an alkaline environment, which may contribute to the development of enzyme preparations and the elucidation of the mechanism for ramie bio-degumming.
1. Introduction
Pectate lyase (Pel, EC 4.2.2.2) can directly cut α-1,4 glycosidic bond of polygalacturonic acid (salt) or partially methylate pectin through the β-elimination mechanism; a hydrogen atom is eliminated at C5 at the non-reducing end of the pectin molecule to generate a hydroxyl group at C1 at the reducing end and to generate oligogalacturonic acid with unsaturated double bonds at the non-reducing end [1]. Most of the catalytic actions of pectate lyase require divalent ions, such as Ca2+ [2].
The high activity of alkaline pectate lyase can be utilized in a strong alkaline environment; it is widely used in the degradation of pectin in textile, food, paper, environment, and other fields. In the food industry, alkaline pectate lyase can be used as an additive in the fermentation process of tea, coffee, grapes, and others to improve the quality of fermentation [3]. In the papermaking process, adding alkaline pectate lyase can increase the pulp yield and quality [4]. In the environmental field, alkaline pectate lyase can degrade the waste water generated during the processing of vegetables and fruit juice [5,6]. Alkaline pectate lyase is used in bast fiber degumming and cotton fiber refining in the textile industry [7].
In addition to a large amount of cellulose (65–75%), ramie (a typical fiber crop) also contains pectin (4–5%), hemicellulose (14–16%), lignin (0.8–1.5%), and others. These non-cellulose substances are commonly called “gum”. Ramie needs to separate its fibers by degumming to meet the textile requirement [8]. Pectin is the viscose layer of hemicellulose and cellulose attached to the fiber surface; it is the main target in the biological degumming process of ramie [9]. The degumming reagent can penetrate into ramie and promote the efficiency of degumming only when the pectin is removed. In the traditional chemical degumming process, high temperature and a strong alkali solution are often used to treat the bast fiber crops, which easily produce a large amount of industrial wastewater, damage the fiber strength, and greatly reduce the fiber yield [10]. The application of alkaline pectate lyase to ramie degumming is efficient, low cost, and causes less pollution than other processes; moreover, it can retain the inherent morphology of natural fiber [11,12]. Thus, high-activity alkaline pectate lyase is a better candidate for ramie degumming [13,14,15].
Gene cloning and heterologous expression were conducted to efficiently obtain the alkaline pectate lyase for ramie degumming, and the structure of pectate lyase for ramie degumming was analyzed [16,17]. Shu et al. found the Pectobacterium carotovorum HG-49 strain, which can be used for biological degumming of ramie, and cloned and expressed the pectate lyase in it using the Escherichia coli expression system [18,19]. Li et al. cloned the pectate lyase gene (PelN) from Paenibacillus sp.0602 for ramie degumming into E. coli for expression and identified it as a member of the polysaccharide lyase family 1 [20]. Zou et al. cloned two pectate lyase genes, pelA and pelC, from Bacillus subtilis 7-3-3 and expressed them in E. coli BL21 (DE3), proving that family 1 and family 3 play an important role in the bio-degumming of ramie [21]. A pectate lyase (PelG403) from Dickeya dadantii DCE-01 was cloned into pET28a vector for prokaryotic expression and showed high enzyme activity [22]. However, the resistance to high temperature and high alkali conditions of Pels was insufficient to meet the criteria for industrial ramie degumming. Through site-directed mutation by rational designing, we could improve the thermal stability of natural enzymes and obtain enzymes that meet the needs of practical industrial applications [23,24].
This study aimed to carry out site-directed mutagenesis by combining various methods, such as homology modeling, computer-aided prediction, and introducing mutant sites, by whole plasmid PCR. Comparing the enzymatic properties of wild-type PelG403 and mutants, effective mutants with improved thermal stability were captured, and then, pectate lyase was obtained for ramie degumming.
2. Materials and Methods
2.1. Materials
The pectate lyase gene pelG403 (GenBank: AGC13165) in the recombinant plasmid pET28a-G403, which was preserved by the Bioprocessing Laboratory of the Bast Fibers Research Institute, Chinese Academy of Agricultural Sciences, was derived from the ramie degumming efficient strain D. dadantii DCE-01. Sodium polygalacturonate was from Sigma (San Diego, CA, U.S.A.). Rapid site-directed mutagenesis kit, E. coli BL21(DE3), and E. coli DH5α were obtained from Tiangen (Beijing, China). The ramie raw material (Zhongzhu No. 1) was presented by the Multi-year Breeding Species Research Laboratory of Institute of Bast Fiber Crops, Chinese Academy of Agricultural Sciences.
2.2. Point Mutations Prediction
The X-ray crystal structures of Pels were downloaded from the RCSB PDB database (https://www.rcsb.org/, accessed on 11 September 2021), and multiple sequence alignments were performed using ClustalW software to find conserved sites. The Pel structure (PDB: 2EWE) with the highest homology to the PelG403 sequence was selected. The online tool SWISS-MODEL (https://swissmodel.expasy.org/, accessed on 11 September 2021) was used for homology modeling to find potentially unstable amino acid sites with a high B-factor in the protein structure. The active site, substrate binding pocket, and other regions of the PelG403 structure were determined by mapping analysis with VMD. Amino acid residues in these regions with important functions remained unchanged. After identifying 12 potential mutation sites, the biological software SPDBV was used to replace the amino acid residues of the 3D structure of PelG403. The energy was minimized to determine the 3D predicted structure of the PelG403 mutant.
2.3. Mutation Sites and Primer
The secondary structure, tertiary structure, and temperature B-factor information of PelG403 were combined to predict the mutation sites (Table 1). Primer Premier 6.0 was used to design the mutation primers.
Table 1.
Mutation sites and their primers.
2.4. Construction and Expression of Mutant Recombinant Plasmid
Using the rapid site-directed mutation kit, the recombinant plasmid pET28a-G403 previously constructed in the laboratory was used as the template, and the primers in Table 1 were used for whole-plasmid PCR, thereby introducing the mutant target amino acids. The PCR products were digested with restriction endonuclease Dpn I to remove the plasmid template, and then were transferred into E. coli DH5α. The positive clones were selected, and the recombinant plasmid was extracted. After gel electrophoresis, DNA sequencing was used to determine whether the target mutation site was correct or not. E. coli BL21 (DE3) was applied for mutated protein expression.
2.5. Pectate Lyase Activity Determination and SDS-PAGE Analysis
The engineered bacteria were inoculated in 200 mL LB medium (with 50 μg/mL Kana) and cultured to an OD600 of approximately 0.4–0.6. IPTG was added to 0.8 mmol/L. Culturing was performed overnight at 28 °C, and then the bacteria cells were collected. The sonicator was operated at 300 W for 30 s and 20 s intermittently for 20 min. Centrifugation was performed at 9000 r/min for 5 min. The supernatant (intracellular enzyme) was collected and diluted with a buffer solution to determine the enzyme activity. Dominant mutants were screened.
Pectate lyase activity was measured by the DNS method [25]. Sodium polygalacturonate solution (5 mg/mL) was prepared with 0.05 mol/L Gly-NaOH buffer (pH 9.0). CaCl2 was added to 1 mmol/L. The substrate solution (1 mL) was preheated to 50 °C. The appropriate amount of PelG403 or mutant crude enzyme solution (the same treatment as the blank control with the boiled inactivated enzyme solution) was added. The mixture was shaken well and reacted at 50 °C for 10 min, after which 2 mL of DNS was added, the color was developed in the boiling water for 5 min. The absorbance of OD520 was measured by a microplate reader (Thermo Fisher, CA, USA). One unit of enzyme activity was defined as the amount of enzyme required to release 1 μmol of unsaturated products per minute.
SDS-PAGE electrophoresis was performed according to Laemmli’s method [26]. The protein pre-stained marker and the sample were electrophoresed under the same conditions. The Bradford method was used to determine the protein content [27], and bovine serum albumin was used as the standard protein.
2.6. Screening of Heat Stable Mutants
The crude enzyme solution was heated at a temperature range of 40–60 °C for 0, 30, 60, 90, and 120 min and then quickly transferred to ice for 10 min to determine the remaining enzyme activity. Compared with wild PelG403, if the residual enzyme activity of the mutant was significantly increased, then its thermal stability was considered to be improved. The enzyme activity of the mutant was measured at 40–60 °C to determine the optimal enzymatic hydrolysis temperature.
2.7. Optimal Ca2+ Concentration of Mutant
The specific enzyme activity of the thermostable candidate mutant was determined at a Ca2+ concentration range of 0–3.5 mmol/L, and the optimal Ca2+ concentration for the reaction was obtained.
2.8. Enzymatic Degumming of Ramie
Ramie ribbon (20 g) was accurately weighed and placed into a 500 mL shake flask. Various pectate lyases were diluted with pH 9.0 buffer to obtain a final concentration of 100 U/mL. CaCl2 was added to obtain a final concentration of 1 mmol/L, and the temperature was adjusted to 55 °C. Ramie was soaked with 200 mL of diluted pectate lyase. The liquor ratio of ramie and pectate lyase dilution was 1:10. Commercial pectate lyase (Novozymes, Copenhagen, Denmark) was used for ramie degumming as a positive control. At 55 °C, the reaction was oscillated at 90 r/min for 2 h, and the degumming was terminated after cooking at 105 °C for 20 min.
(1) The fiber morphology was observed. Raw ramie and enzymatically degummed ramie fibers were sprayed gold, and the surface morphology of the longitudinal section of the fibers was observed with a scanning electron microscope (Hitachi, Tokyo, Japan).
(2) Determination of weightlessness rate was as follows. If the weight of ramie raw material was Gm, then the weight of degummed fiber was Gf [28]. The calculation formula of weightlessness rate is as follows:
3. Results and Discussion
3.1. Determination of the Potential Mutant Sites
Pel 3D structure (PDB: 2EWE) was used as a template for homology modeling, and amino acids with unstable temperature factor (B-factor) were selected as potential mutation sites (data not shown). Based on multiple sequence alignments and three resolved Pel structures (PDB: 2EWE, 3ZSC, and 2NZM) [29,30,31], it was inferred that D162, D164, D203, and their nearby regions were the Ca2+ binding sites and regions of PelG403, and K223, R252, P254, R257, F291, and nearby regions, were the substrate binding pockets (Figure 1A). The highly conserved sites W175, D177, E287, Y354, and Y356 in the sequence were closely related to the catalytic activity of PelG403. The two pairs of disulfide bonds (formed by C105 vs. C188, and C363 vs. C386) had a positive effect on the stability of PelG403 (Figure 1B). Therefore, while selecting the unstable amino acid sites with high factor B in the 3D structure of PelG403, the conserved regions and disulfide bond sites needed to be excluded. We identified 12 potential mutation sites to replace small molecular weight amino acids in the flexible region (random curl and corner regions) with large molecular weight amino acids or amino acids with benzene rings to increase the rigidity and improve the thermal stability of PelG403 [32,33].
Figure 1.
The conserved sites of PelG403. (A): The substrate binding pockets. The red sticks indicate the Ca2+ binding sites (ASP162, ASP164 and AS203) and the blue sticks indicate substrate binding sites (LYS223, ARG252, PRO254, ARG257 and PHE291). (B): The highly conserved sites. The red sticks indicate the conserved sites associated with catalytic activity (TRP175, ASP177, GLU287, TYR354, and TYR356), and the two pairs of disulfide bonds formed by CYS105 vs. CYS188 and CYS363 vs. CYS386 positively affect the stability of PelG403.
3.2. Analysis of Exogenous Expression of Mutant Pels
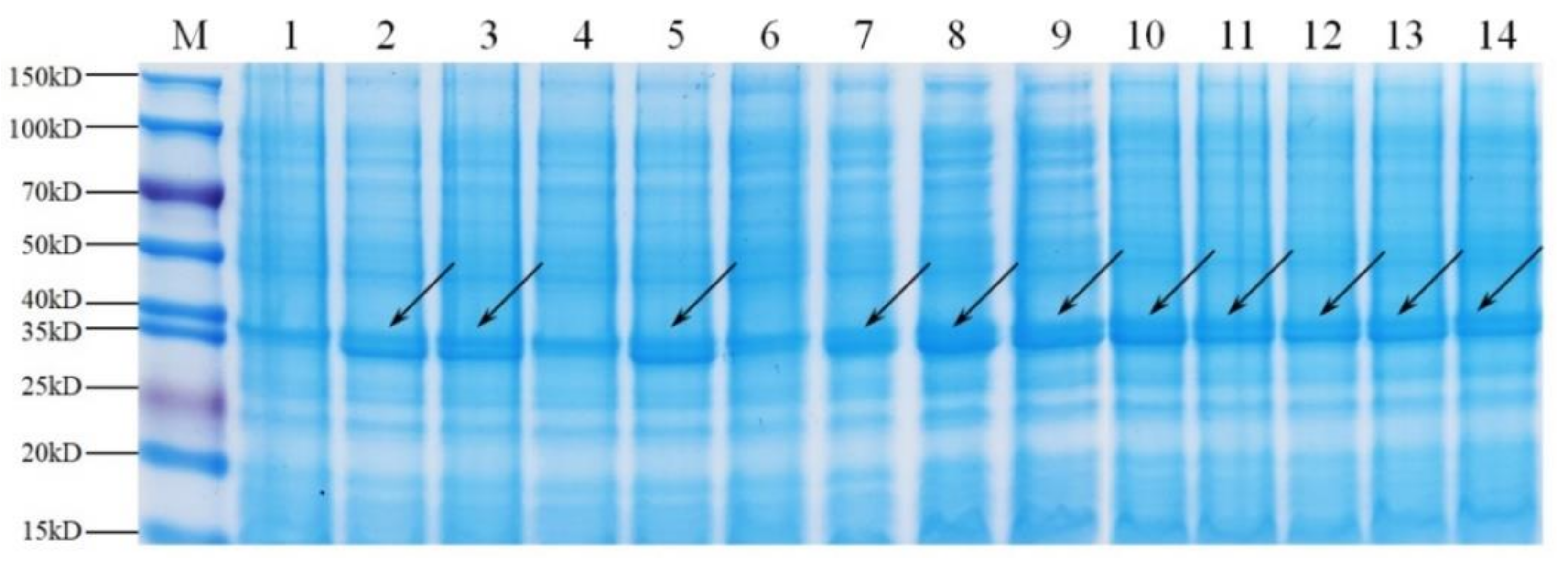
Mutated protein expression was induced as shown in Figure 2 by SDS-PAGE. Compared with the negative control, the original PelG403 and nine mutants (A41V, A129G, A129V, A112P, A112V, A160V, A201G, D333E, and D341E) had obvious characteristic bands, which indicated that high-efficiency expression was obtained. The apparent molecular weight of the characteristic bands was approximately 42.5 kDa, which was slightly smaller than the expected molecular weight. The mutants A82V and A129P had no obvious characteristic bands.
Figure 2.
Expression and identification of PelG403 and mutants. M: protein marker; 1: pET28a (negative control); 2: PelG403; 3: A41V; 4: A82V; 5: A129G; 6: A129P; 7: A129V; 8: A112P; 9: A112V; 10: A160V; 11: A201P; 12: A201G; 13: D333E; 14: D341E.
3.3. Analysis of Pectate Lyase Activity
To further verify the expression effect of the original pectate lyase and its mutants, the Pel activity determination was performed on the induced expression of pET28a-G403/BL21 and its mutant recombinant strains (Figure 3). Compared with the wild-type PelG403, the specific enzyme activity of mutant A129V was 9820.5 U/mg, which was increased by 20.1%, whereas the enzyme activities of other mutants were reduced to varying degrees. Therefore, one dominant mutant (A129V) stands out from the 12 PelG403 mutants.
Figure 3.
Pectate lyase activity of engineered bacteria. The enzyme activities of 12 mutants were measured, only A129V had specific enzymatic activity exceeding that of wild-type PelG403.
3.4. Optimal Reaction Temperature
The optimal temperature of the PelG403 and mutant is shown in Figure 4. The optimal catalytic temperatures of PelG403 and A129V were 50 °C and 55 °C, respectively. The optimal reaction temperature of the mutant was 5 °C higher than that of the wild type.
Figure 4.
Optimal temperature of PelG403 and A129V. The wild-type PelG403 has the highest activity at 50 °C. A129V has the highest activity at 55 °C. The highest activity of the wild-type PelG403 is considered to be 100%. Values are the means ±SD of three replicates.
3.5. Thermal Stability
The half-life comparison at 55 °C between mutant A129V and wild-type PelG403 is presented in Figure 5A. The thermal stability of the mutant enzyme A129V at 45 °C–60 °C was shown in Figure 5B. At 55 °C, the t1/2 of the dominant mutant enzyme was 73.8 min, which was 2.37 times that of wild PelG403. The thermal stability of the mutant A129V was greatly improved.
Figure 5.
Thermal stability of wild-type PelG403 and A129V. (A) Comparison of half-life between wild-type PelG403 and A129V. After incubation at 55 °C for 0–120 min, the wild-type PelG403 was measured at 50 °C for enzyme activity, and A129V was measured at 55 °C for enzyme activity. (B) Half-life of A129V mutant. After incubating at 45–65 °C for 0–120 min, A129V was measured at 55 °C for enzyme activity. The highest activity was taken as 100%. Values are the means ±SD of three replicates.
Guan et al. found a pectate lyase derived from Bacillus sp. with an optimal temperature of 50 °C [34]. Guo et al. reported that the pectate lyase of Bacillus sp. Y1 was stable at 30–50 °C [13]. Zhou et al. reported that the optimal temperature for pectate lyase extracted from Bacillus subtilis PB1 was 50 °C [35]. In this study, PelG403 was mutated to A129V, whose optimal reaction temperature was increased from 50 °C to 55 °C, and the t1/2 at 55 °C was 73.8 min, higher than other Pels. However, Li et al. improved the optimal reaction temperature of lipase derived from Rhizomucor miehei by 14.3 °C, the half-life at 70 °C by 12.5 times and the catalytic efficiency by 39% by introducing disulfide bonds and salt bridges through reasonable design [36]. Therefore, subsequent studies attempted to introduce disulfide bonds and salt bridges into the A129V protein structure to further improve the thermal stability of pectate lyase.
3.6. Analysis of the Optimal Ca2+ Concentration of Forward Mutant Enzyme
Under different Ca2+ concentrations, the specific activity of the mutant enzyme A129V was determined, and the results are shown in Figure 6. Under these conditions, the optimal Ca2+ concentration of the mutant A129V was 1 mmol/L.
Figure 6.
The effect of Ca2+ concentration on the relative activity of A129V. The pectate lyase activity without Ca2+ was taken as 100%. Values are the means ±SD of three replicates.
3.7. Ramie Degumming
Qualitative analysis was performed on the appearance and fiber morphology of ramie degummed by the enzymatic method. The results in Figure 7A showed that the ramie fiber treated with the mutant A129V exhibited the best effects in terms of whiteness, softness, and fiber dispersion. Compared with raw ramie, the ramie fibers treated with mutant A129V were dispersed and had a smooth surface (Figure 7B).
Figure 7.
Surface morphology of the treated ramie. (A) Surface morphology of the untreated and treated ramie. (B) Scanning electron micrograph of the untreated and treated ramie.
The weightlessness rate of ramie treated with different enzymes was measured. The results in Table 2 show that the weightlessness rate of ramie treated with commercial enzymes was the highest and reached 19.22%. The weightlessness rate of ramie treated with A129V was 18.33%, which was 6.25% higher than that of the wild enzyme and was equivalent to 95.4% of the commercial enzyme.
Table 2.
Weightlessness rate of ramie.
Traditional ramie degumming usually consumes a lot of acid, alkali and energy. Therefore, scientists have developed many environmentally friendly biological degumming methods, such as enzymatic degumming and strain degumming [18]. The principle of these methods is to degum with enzymes, such as Pel produced by strains. However, Pels produced by these strains are not thermally stable, and their 3D structures are easily destroyed by high temperature. When the relative positions of the secondary structures are changed, the activity of Pels is greatly reduced or even completely inactivated [35]. A series of alkaline heat-resistant pectate lyases have been used for ramie degumming. Liang et al. treated ramie with natural pectate lyase derived from B. pumilus and mutant M3, and their weightlessness rates were 17.5% and 23.5%, respectively [37]. Mukhopadhyay et al. treated ramie raw material with pectate lyase from B. megaterium AK2 for 24 h, and the weightlessness rate was 18.8%; the weightlessness rate increased to 25.7% when refining was performed with 0.1% NaOH [11]. The weightlessness rate of ramie treated with A129V was 18.33%, which was equivalent to 95.4% of commercial enzymes. Therefore, A129V is a potential industrial enzyme that can be applied to large-scale ramie degumming.
4. Conclusions
An effective mutant (A129V) with improved enzyme activity and thermal stability was screened out by comparing the enzyme activity and thermal stability from 12 mutants. The optimal reaction temperature of the mutant enzyme A129V was 5 °C higher than that of the wild type. The half-life of mutant A129V was 2.37 times that of the wild PelG403 at 55 °C. Moreover, the weightlessness rate of A129V for ramie degumming was 95.4%, which was comparable with that of typical commercial pectate lyase for bast fiber and cotton processing under high temperature conditions. Thus, this industrial enzyme can potentially be applied to large-scale ramie degumming. This study successfully improved the catalytic activity and thermal stability of PelG403 in the alkaline environment and provided an effective material for the development of ramie degumming enzyme preparation.
Author Contributions
Data curation, H.X. and K.Z.; formal analysis, S.D. and X.F.; funding acquisition, Y.P. and L.C.; writing—original draft, H.X. and Q.Y.; writing—review and editing, Y.P. and L.C. All authors have read and agreed to the published version of the manuscript.
Funding
This work was supported by the Yuelu Youth Funds of IBFC (Grant No: IBFC-YLQN-202102); Central Public-interest Scientific Institution Basal Research Fund (Grant No: 1610242021002); Natural Science Foundation of China (Grant No: 31871675); Natural Science Foundation of Hunan Province (Grant No: 2019JJ40332); Research and development plan of key areas in Hunan Province (Grant No: 2019NK2071); and China Agriculture Research System for Bast and Leaf Fiber Crops (Grant No: CARS-16-E22).
Institutional Review Board Statement
Not applicable.
Informed Consent Statement
Not applicable.
Data Availability Statement
Not applicable.
Conflicts of Interest
The authors declare no conflict of interest.
References
- Hugouvieux-Cotte-Pattat, N.; Condemine, G.; Shevchik, V.E. Bacterial pectate lyases, structural and functional diversity. Environ. Microbiol. Rep. 2014, 6, 427–440. [Google Scholar] [CrossRef]
- Tardy, F.; Nasser, W.; Robert-Baudouy, J.; Hugouvieux-Cotte-Pattat, N. Comparative analysis of the five major Erwinia chrysanthemi pectate lyases: Enzyme characteristics and potential inhibitors. J. Bacteriol. 1997, 179, 2503–2511. [Google Scholar] [CrossRef] [PubMed] [Green Version]
- Fitri; Tawali, A.; Tawali, A.B.; Laga, A. The effect of soaking time on mucilage removal from the coffee bean using pectinase enzyme. IOP Conf. Ser. Earth Environ. Sci. 2021, 807, 022053. [Google Scholar] [CrossRef]
- Sonia, A.; Mandhan, R.P.; Sudha, D.S.; Rakesh, K.; Jitender, S. Potential application of alkaline pectinase from Bacillus subtilis SS in pulp and paper industry. Appl. Biochem. Biotechnol. 2008, 149, 287–293. [Google Scholar]
- Nwobi, A.; Cybulska, I.; Tesfai, W.; Shatilla, Y.; Rodríguez, J.; Thomsen, M.H. Simultaneous saccharification and fermentation of solid household waste following mild pretreatment using a mix of hydrolytic enzymes in combination with Saccharomyces cerevisiae. Appl. Microbiol. Biotechnol. 2015, 99, 929–938. [Google Scholar] [CrossRef]
- Neelima, M.; Kavita, S.; Mukty, S.; Archana, D.; Brajesh, P.; Hyeji, J.; Seorin, P.; Srinath, P.; Sunghun, C. Biotransformation of Citrus Waste-I: Production of Biofuel and Valuable Compounds by Fermentation. Processes 2021, 9, 220. [Google Scholar]
- Aggarwal, R.; Dutta, T.; Sheikh, J. Extraction of pectinase from Candida isolated from textile mill effluent and its application in bio-scouring of cotton. Sustain. Chem. Pharm. 2020, 17, 100291. [Google Scholar] [CrossRef]
- Li, Z.F.; Li, Z.L.; Ding, R.Y.; Yu, C.W. Composition of ramie hemicelluloses and effect of polysaccharides on fiber properties. Text. Res. J. 2016, 86, 451–460. [Google Scholar] [CrossRef]
- Fan, P.; He, F.; Yang, Y.; Ao, M.; Ouyang, J.; Liu, Y.; Yu, L. In-situ microbial degumming technology with Bacillus sp. HG-28 for industrial production of ramie fibers. Biochem. Eng. J. 2015, 97, 50–58. [Google Scholar] [CrossRef]
- Vardhini, V.K.J.; Murugan, R.; Surjit, R. Effect of alkali and enzymatic treatments of banana fibre on properties of banana/polypropylene composites. J. Ind. Text. 2018, 47, 1849–1864. [Google Scholar] [CrossRef]
- Mukhopadhyay, A.; Dutta, N.; Chattopadhyay, D.; Chakrabarti, K. Degumming of ramie fiber and the production of reducing sugars from waste peels using nanoparticle supplemented pectate lyase. Bioresour. Technol. 2013, 137, 202–208. [Google Scholar] [CrossRef]
- Yang, Q.; Duan, S.; Cheng, L.; Feng, X.; Zheng, K.; Xie, C.; Liu, Z.; Pen, Y. Engineering of a Bacillus subtilis Strain Deficient in Cellulase: Application in Degumming of Ramie. FIBERS Polym. 2019, 20, 57–62. [Google Scholar] [CrossRef]
- Guo, F.; Zou, M.; Li, X.; Zhao, J.; Qu, Y.; Abd-Aziz, S. An effective degumming enzyme from Bacillus sp. Y1 and synergistic action of hydrogen peroxide and protease on enzymatic degumming of ramie fibers. BioMed Res. Int. 2013, 2013, 212315. [Google Scholar] [CrossRef] [PubMed] [Green Version]
- Li, X.; Wang, H.; Zhou, C.; Ma, Y.; Li, J.; Song, J. The alkaline pectate lyase PEL168 of Bacillus subtilis heterologously expressed in Pichia pastorisis more stable and efficient for degumming ramie fiber. BMC Biotechnol. 2013, 13, 26–35. [Google Scholar]
- Yadav, S.; Dubey, A.K.; Anand, G.; Kumar, R.; Yadav, D. Purification and biochemical characterization of an alkaline pectin lyase from Fusarium decemcellulareMTCC 2079 suitable for Crotolaria juncea fiber retting. J. Basic Microbiol. 2014, 54, 161–169. [Google Scholar] [CrossRef]
- Zhou, C.; Xue, Y.; Ma, Y. Cloning, evaluation, and high-level expression of a thermo-alkaline pectatelyase from alkaliphilic Bacillus clausii with potential in ramie degumming. Appl. Microbiol. Biotechnol. 2017, 101, 3663–3676. [Google Scholar] [CrossRef] [PubMed]
- Cheng, L.; Duan, S.; Zheng, K.; Feng, X.; Yang, Q.; Liu, Z.Y.; Liu, Z.; Peng, Y. An alkaline pectate lyase D from Dickeya dadantii DCE-01: Clone, expression, characterization, and potential application in ramie bio-degumming. Text. Res. J. 2019, 89, 2075–2083. [Google Scholar] [CrossRef]
- Shu, T.; Bai, Y.; Wang, Y.; Wang, H.; Li, P.; Xiang, M.; Yu, T.; Xu, H.; Yu, L. A high-efficiency and eco-friendly degumming process for ramie fibers. J. Clean. Prod. 2020, 276, 124271. [Google Scholar] [CrossRef]
- Wang, Y.; Bai, Y.; Shu, T.; Fan, P.; Zhang, H.; Turunen, O.; Xiong, H.; Yu, L. Characterization of a versatile glycoside hydrolase Cel5M from Pectobacterium carotovorum HG-49 for ramie degumming. Text. Res. J. 2020, 90, 1602–1615. [Google Scholar] [CrossRef]
- Li, X.; Wang, H.; Zhou, C.; Ma, Y.; Li, L.; Song, J. Cloning, expression and characterization of a pectate lyase from Paenibacillus sp. 0602 in recombinant Escherichia coli. BMC Biotechnol. 2014, 14, 18–29. [Google Scholar] [CrossRef] [Green Version]
- Zou, M.; Li, X.; Zhao, J.; Qu, Y. Characteristics of polygalacturonate lyase C from Bacillus subtilis 7-3-3 and its synergistic action with pelA in enzymatic degumming. PLoS ONE 2013, 8, e79357. [Google Scholar] [CrossRef] [Green Version]
- Xu, H.; Duan, S.; Feng, X.; Zheng, K.; Yang, Q.; Wang, Q.; Cheng, L.; Peng, Y. High level expression of pectate lyase gene from microbiology for ramie degumming and its bioinformatics analysis. Acta Agric. Boreali-Sin. 2021, 36, 18–23. (In Chinese) [Google Scholar]
- Zhou, Z.; Wang, X. Rational design and structure-based engineering of alkaline pectate lyase from Paenibacillus sp. 0602 to improve thermostability. BMC Biotechnol. 2021, 21, 32–43. [Google Scholar] [CrossRef] [PubMed]
- Tian, M.; Huang, S.; Wang, Z.; Fu, J.; Lv, P.; Miao, C.; Liu, T.; Yang, L.; Luo, W. Enhanced activity of Rhizomucor miehei lipase by directed saturation mutation of the propeptide. Enzyme. Microb. Technol. 2021, 150, 109870. [Google Scholar] [CrossRef]
- Ma, X.; Zhang, L.; Wang, W.; Zou, M.; Ding, T.; Ye, X.; Liu, D. Synergistic effect and mechanisms of combining ultrasound and pectinase on pectin hydrolysis. Food Bioprocess Technol. 2016, 9, 1249–1257. [Google Scholar] [CrossRef]
- Laemmli, U.K. Cleavage of structural proteins during the assembly of the head of bacteriophage T4. Nature 1970, 277, 680–685. [Google Scholar] [CrossRef] [PubMed]
- Bradford, M.M. A rapid and sensitive method for the quantitation of microgram quantities of protein utilizing the principle of protein-dye binding. Anal. Biochem. 1976, 72, 248–254. [Google Scholar] [CrossRef]
- Liu, Z.; Duan, S.; Sun, Q.; Peng, Y.; Feng, X.; Zheng, K.; Hu, Z.; Zhang, Y. A rapid process of ramie bio-degumming by Pectobacterium sp. CXJZU-120. Text. Res. J. 2012, 82, 1–7. [Google Scholar] [CrossRef]
- Steven, H.R.; Robert, S.D.; Michael, G.; Margaret, L.; Frances, J. Characterization and implications of Ca2+ binding to pectate lyase C. J. Biol. Chem. 2003, 278, 12271. [Google Scholar]
- Kluskens, L.D.; Gert-Jan, M.A.; Alphons, G.J.V.; Willem, V.M.; Van der, O.J. Molecular and biochemical characterization of the thermoactive family 1 pectate lyase from the hyperthermophilic bacterium Thermotoga maritime. Biochem. J. 2003, 370, 651–659. [Google Scholar] [CrossRef] [Green Version]
- Seyedarabi, A.; Teng, T.T.; Ali, S.; Hussain, S.; Fries, M.; Madsen, R.; Clausen, M.H.; Teixteira, S.; Brocklehurst, K.; Pickersgill, R.W. Structural insights into substrate specificity and the anti beta-elimination mechanism of pectate lyase. Biochemistry 2010, 49, 539–546. [Google Scholar] [CrossRef] [PubMed]
- Joyet, P.; Declerck, N.; Gaillardin, C. Hyperthermostable variants of a highly thermostable alpha-amylase. Bio/Technology 1992, 10, 1579–1583. [Google Scholar] [CrossRef] [PubMed]
- Xing, Y.N.; Tan, J.; Wang, Y.; Wang, J. Enhancing the thermostability of a mono- and diacylglycerol lipase from Malassizia globose by stabilizing a flexible loop in the catalytic pocket. Enzyme. Microb. Technol. 2021, 149, 109849. [Google Scholar] [CrossRef] [PubMed]
- Guan, Y.; Wang, D.; Lv, C.; Zhang, Y.; Gelbic, I.; Ye, X. Archives of microbiology: Screening of pectinase-producing bacteria from citrus peel and characterization of a recombinant pectate lyase with applied potential. Arch. Microbiol. 2020, 202, 1005–1013. [Google Scholar] [CrossRef]
- Zhou, Z.; Liu, Y.; Chang, Z.; Wang, H.; Leier, A.; Marquez-Lago, T.T.; Ma, Y.; Li, J.; Song, J. Structure-based engineering of a pectate lyase with improved specific activity for ramie degumming. Appl. Microbiol. Biotechnol. 2017, 101, 2919–2929. [Google Scholar] [CrossRef]
- Li, G.; Fang, X.; Su, F.; Chen, Y.; Xu, L.; Yan, Y. Enhancing the thermostability of Rhizomucor miehei lipase with a limited screening library by rational-design point mutations and disulfide bonds. Appl. Environ. Microbiol. 2018, 84, e02129-17. [Google Scholar] [CrossRef] [Green Version]
- Liang, C.; Gui, X.; Zhou, C.; Xue, Y.; Ma, Y.; Tang, S. Improving the thermoactivity and thermostability of pectate lyase from Bacillus pumilus for ramie degumming. Appl. Microbiol. Biotechnol. 2015, 99, 2673–2682. [Google Scholar] [CrossRef]
Publisher’s Note: MDPI stays neutral with regard to jurisdictional claims in published maps and institutional affiliations. |
© 2021 by the authors. Licensee MDPI, Basel, Switzerland. This article is an open access article distributed under the terms and conditions of the Creative Commons Attribution (CC BY) license (https://creativecommons.org/licenses/by/4.0/).






