Abstract
Surfactants demonstrate considerable potential in enzymatic saccharification at high solids loading (ESHSL). In this paper, the effects of the non-ionic surfactant Tween 80 on enzymatic saccharification of Avicel and steam-exploded poplar (SEP) at high solid loading were studied. The results showed that under the fed-batch conditions of 15.0% solid loading, 20 FPU/g glucan, and 1.0% Tween 80, the maximum enzymatic saccharification rate of Avicel and SEP achieved was 65.4% (128.2 g/L glucose) and 86.4% (93.9 g/L glucose), respectively. Moreover, Tween 80 improved the rheological properties of ESHSL slurry of SEP, especially for the fed-batch model, reducing the complex viscosity, shear stress, and storage modulus. Furthermore, cellulase adsorption assays, SDS-PAGE, Rose Bengal staining, and Zeta potential analysis demonstrated that Tween 80 reduced non-productive adsorption of cellulase (particularly β-glucosidase) on lignin through hydrophobic interactions. All these findings contribute to establishing a foundation for subsequent investigative efforts within the discipline.
1. Introduction
Lignocellulosic biomass (LCB) is a renewable resource for bioenergy, such as cellulosic fuel ethanol production, which can serve as an alternative to fossil fuel, contributing to a green and low-carbon society [1,2]. Enzymatic saccharification (ES) is one of the key bottlenecks in cellulosic ethanol production, which converts the sugar-based supramolecular components (i.e., cellulose and hemicellulose) of LCB into fermentable sugars. This process provides the carbon source for ethanol-fermenting strains during the subsequent fermentation process. Generally, the solid loading of the ES is a crucial factor affecting the economic feasibility of cellulosic ethanol production. Due to its main benefits, like a weak inhibitory effect on products, low viscosity of the broth, and reduced equipment requirements, the strategy of ES at low solid loading has been widely adopted, particularly for laboratory scale operation [3]. However, there are some drawbacks, such as low fermentable sugar concentration, high water and energy consumption, low equipment utilization efficiency, and poor cost-effectiveness, requiring to be addressed [4]. Extensive research has indicated that to ensure the economic feasibility of cellulosic fuel ethanol production at pilot scale, the ethanol concentration in the fermentation broth should be above 4% (w/w) during the distillation process. This requires the initial solids loading to exceed 15% (w/w) for most LCB types [5,6]. Additionally, the ES process operated at a solid loading beyond 15% (w/w) is commonly referred to as enzymatic saccharification at high solid loading (ESHSL) [7]. Generally, the disadvantages associated with low solid loading are avoided under the ESHSL strategy, which also offers advantages such as higher titers of fermentable sugars and ethanol, reduced energy input and water consumption, and lower equipment investment and operating costs [8]. Despite these benefits, challenges such as inhibition by degradation products, feedback inhibition by sugars, water constraints, and low mass transfer efficiency hinder the industrial application of the ESHSL strategy [4,9,10].
The addition of surfactants during the ES process can enhance the efficiency of ES of LCB primarily by improving the surface structure and properties of substrates such as cellulose accessibility, thereby enlarging the contact area between cellulose and cellulase, and reducing the non-productive adsorption of cellulase on a lignin surface [11,12]. Furthermore, the types, molecular weights, and concentrations of surfactants have varying effects on ES of LCB [13]. Furthermore, due to the hydrophobic carbon chains and charged groups in anionic and cationic agents, ionic surfactants can form hydrophobic and electrostatic interactions with cellulase, which affects its activity and consequently reduces the efficiency of ES [11]. Notably, non-ionic surfactants such as Tween and polyethylene glycol (PEG) can not only avoid the negative impacts of the ionic surfactants on the ES process but also reduce the amount of cellulase required and shorten the ES time [14,15,16]. Moreover, the cellulase and substrate feeding strategies influence the ES, which must be taken into account [17,18].
In this work, the effects of the non-ionic surfactant Tween 80 on ESHSL of Avicel and steam-exploded poplar (SEP) were investigated under different cellulase loading and feeding strategies. The dynamics of Tween 80 on the rheological properties of ESHSL of SEP was characterized. Additionally, the effects and mechanisms of Tween 80 on the non-productive adsorption of cellulase on lignin were also studied. The results show that Tween 80 increases the biomass ESHSL efficiency, improves the rheological properties, and reduces the non-productive adsorption of cellulase on lignin.
2. Materials and Methods
2.1. Materials
All chemical reagents and enzymes were obtained from commercial suppliers, as detailed below: Avicel (Shanghai Macklin Biochemical Technology Co., Ltd., Shanghai, China, with a particle size of 100–200 meshes and a density of 0.60 g/cm3), Tween 80 (Shanghai Titan Technology Co., Ltd., Shanghai, China, medical grade, with a density of 1.064 g/cm3), cellulase LLC02 (Qingdao Vland Biotech Inc., Qingdao, China, with a filter paper activity (FPA) of 191 IU/mL and a protein concentration of 307 mg/mL), and β-glucosidase (BG) (SUNSON Industry Group Co., Ltd., Beijing, China, with a p-NPG activity of 3477 U/mL).
The SEP was obtained by our own lab, with the main fractions of glucan (54.9%), xylan (3.8%), and lignin (34.2%) [19]. The lignin derived from SEP (LSEP) was prepared using the organic solvent extraction method described by Zhang et al. [20]. Initially, 10 g ultrafine crushed poplar wood powder was dissolved in a 250 mL triangle bottle containing 120 mL 0.2 mol/L 1,4-dioxane/water (volume ratio 9:1), followed by magnetic stirring for 45 min at 100 °C, cooling to room temperature and vacuum filter. The residue was washed twice with 50 mL 1,4-dioxane/water (volume ratio 9:1), followed by adjusting the pH to 3.0–4.0 using NaHCO3, and concentrating the solution by rotary evaporation at 50 °C. Then, the concentrated solution was poured into a large amount of cold water to precipitate lignin. The precipitated lignin was separated using a centrifuge at 4 °C and 8000 rpm, followed by washing with deionized water and freeze-drying.
2.2. Effects of Tween 80 on ESHSL of Avicel and SEP
2.2.1. ESHSL of Avicel Under Different Tween 80 Concentrations
Initially, 6 g Avicel was mixed with 34 mL citric acid buffer solution (0.05 mol/L, pH 4.8) in a 250 mL conical flask, resulting in a solid loading of 15.0% (w/w). The cellulase cocktail was prepared using LLC02 and BG with a BG:FPA ratio of 2.4. The ESHSL parameters were as follows: 10 FPU/g glucan of cellulase cocktail, 0, 0.5% (w/w), 1.0% (w/w), 1.5% (w/w), and 2.0% (w/w) of Tween 80, 100 μL tetracycline hydrochloride (10 mg/mL), with a stirring speed of 180 rpm at 50 °C for 72 h. After ES, the conical flask was subjected to heat treatment in hot water at 100 °C for 5 min to inactivate the enzymes. Then, the hydrolysate was filtered through a 0.22 μm filter membrane. Subsequently, the glucose in the filtered hydrolysate was quantified using a high-performance liquid chromatography (HPLC) system (Shimadzu LC-20, SHIMADZU (China) Co., Ltd., Shanghai, China) with a chromatographic column Aminex HPX-87H (Bio-Rad Laboratories, Inc., Hercules, California, USA). The analysis was conducted according to the standard method established by the National Renewable Energy Laboratory as follows: a mobile phase of 5 mmol/L H2SO4, a column temperature of 45 °C, a flow rate of 0.5 mL/min, a differential refractive index temperature of 30 °C, and a sample volume of 20 μL [21]. Additionally, to examine the impact of Tween 80 on the ESHSL of Avicel in the presence of lignin, the substrate was prepared by 6 g Avicel and 1 g LSEP, while the other ESHSL parameters remained unchanged. All experiments in this paper were performed in triplicate. One-way analysis of variance (ANOVA) with Tukey’s model was applied using Origin 8.5 software.
The enzymatic saccharification rate (ESR) of the substrate was determined by Equation (1).
Wherein, c is the glucose in the hydrolysate (g/L), v is the volume of the hydrolysate (L), m is the glucan in the substrate (g), and 0.9 means that 1.0 g glucose is equivalent to 0.9 g cellulose.
2.2.2. ESHSL of Avicel and SEP with Different Cellulase Loading and Feed Strategy
The batch ESHSL was implemented as follows: 6 g Avicel or SEP was added into a 250 mL conical flask containing 34 mL citric acid buffer solution (0.05 mol/L, pH 4.8), 1.0% (w/w) Tween 80, and 100 μL tetracycline hydrochloride (10 mg/mL). The cellulase cocktail loading was 10, 15, and 20 FPU/g glucan with a BG:FPA ratio of 2.4 (Avicel) or 2.8 (SEP), respectively. The conical flasks were placed in an air-bath shaker with a stirring speed of 180 rpm at 50 °C for 96 h. The glucose in the hydrolysate was analyzed every 12 h using an HPLC system.
The fed-batch ESHSL was conducted as follows: each 2 g Avicel or SEP was added into a 250 mL conical flask containing 34 mL citric acid buffer solution (0.05 mol/L, pH 4.8), 1.0% (w/w) Tween 80, and 100 μL tetracycline hydrochloride (10 mg/mL), at 0, 6, and 12 h. Simultaneously, at the start of the experiment (0 h), a cellulase cocktail was introduced at loading rates of 10, 15, and 20 FPU/g glucan, with a BG:FPA ratio of 2.4 for Avicel and 2.8 for SEP. All other ESHSL parameters remained consistent with the batch strategy. Samples were collected every 12 h for analysis using an HPLC system.
2.3. Effects of Tween 80 on Rheological Properties of ESHSL of SEP
The batch and fed-batch ESHSL using SEP as substrate were implemented with 20 FPU/g glucan of cellulase cocktail, with the remaining parameters as specified in Section 2.2.2. Samples of the ESHSL broth were taken at 0 h, 72 h, and 96 h, and cooled to room temperature, followed by testing with a DHR-2 controlled stress rotational rheometer (TA Instruments, Waters, Milan, Italy). The parameters for each mode were as follows: the deformation mode measures stress with a shear rate of 0.01 s−1, the oscillatory stress scan mode measures complex viscosity at a frequency of 1 Hz with a stress of 10 Pa, and a rotational speed ranging from 1 to 600 rad/s is used [22].
2.4. Effects of Tween 80 on Non-Productive Adsorption of Cellulase on Lignin
Initially, 0.1 g lignin was added to a 25 mL capped sample bottle containing 10 mL citric acid buffer solution (0.05 mol/L, pH 4.8) and 1.0% (w/w) Tween 80. Then, the mixture was ultrasonically treated for 20 min and incubated with a stirring speed of 180 rpm at 50 °C for 10 min. Subsequently, 10.5 μL cellulase LLC02 was added into the mixture and incubated for 24 h. Then, 2 mL supernatant was taken and centrifugally treated with a stirring speed of 7000 rpm at 4 °C for 5 min. Finally, the protein in the supernatant was quantified by a BCA Protein Assay Kit (Shanghai Yuan Ye Biotechnology Co., Ltd., China). The cellulase adsorption rate was calculated by Equation (2) as follows. The mixture without Tween 80 was used as the control.
Wherein, c0 and c1 represent the cellulase protein before and after adsorption, respectively, mg/mL.
The cellulase LLC02 before adsorption was diluted by citric acid buffer (0.05 mol/L, pH 4.8) to a concentration of 10 μg/μL. Then, 20 μL diluted cellulase LLC02 and the centrifugally treated supernatant after adsorption along with 5 μL 5× loading buffer were put into a 1 mL centrifuge tube, and incubated at 95 °C for 10 min. Then, 20 µL treated samples were loaded into the sample wells of a discontinuous sodium dodecyl sulfate-polyacrylamide gel electrophoresis (SDS-PAGE) setup consisting of a 12.0% separating gel and 4.0% acrylamide stacking gel (Shanghai yuanye Bio-Technology Co., Ltd., Shanghai, China), and then electrophoresed at a voltage of 120 V until the samples arrived at the bottom of the gel [23]. The gel was then stained with Coomassie Brilliant Blue G250 for 2 h and incubated on a horizontal shaker for 12 h, followed by removing the staining solution and washing with decolorizing solution. The washed gel was placed in the imager and photographed after the bands were clear. The gray values of the protein bands were analyzed using Image-J 1.8.0 and Origin 8.5 software.
2.5. Mechanisms of Tween 80 on Non-Productive Adsorption of Cellulase on Lignin
The Rose Bengal (RB) staining method was employed to determine the effect of Tween 80 on the hydrophobicity interaction of lignin and cellulase [24], with the main procedure as follows: 0.01 g, 0.03 g, 0.05 g, 0.07 g, and 0.10 g lignin samples were dissolved in 10 mL citric acid buffer (0.05 mol/L, pH 4.8) containing 40 mg/L RB and 1.0% (w/w) Tween 80. The samples were incubated at 180 rpm under 50 °C for 4 h, and then centrifuged at 8000 rpm under 4 °C for 10 min. The absorbance of the supernatant was measured at 543 nm. The partition coefficient (PQ) of RB was calculated as the ratio of adsorbed RB to free RB, and the slope of the fitted line of PQ represented the hydrophobicity of lignin [25]. The mixture without Tween 80 was used as the control.
The zeta potential measurement was conducted to determine the effect of Tween 80 on the electrostatic interaction of lignin and cellulase [26]. Initially, 0.02 g lignin was dispersed in 100 mL citric acid buffer solution (0.05 mol/L, pH 4.8) containing 1.0% (w/w) Tween 80, followed by sonicating for 30 min. Then, the zeta potential of the lignin suspension was tested with Zetasizer Nano ZS equipment (Malvern Instruments Ltd., Worcestershire, UK).
3. Results and Discussion
3.1. Effects of Tween 80 Concentration on ESHSL of Avicel
Avicel, composed primarily of linear β-1,4-glucans, is a common model substrate for ES by exo-glucanase (CBH). As shown in Figure 1, the ESR increased with Tween 80 concentrations up to 1.0%, peaking at 34.1%, which was a 32.7% increase over the control, and then declined at higher concentrations. This aligns with reports that Tween 80 enhances ES by preventing non-productive adsorption of endo-glucanase to Avicel, thereby improving the CBH access to glucan chain ends during the ES process [27,28]. However, it is noteworthy that excessive Tween 80 reduces ESR. The reason may be that a higher Tween 80 concentration would induce the aggregation of Tween 80 molecules forming micelles which entrap free cellulase and reduce the enzyme activity, decreasing the sugar yield [29,30]. When LSEP was introduced, the ESR dropped sharply to 11.3%, which was 56.0% lower than the group without LSEP. This was primarily attributed to the non-productive adsorption of cellulase to lignin. Upon addition of Tween 80, the ESR raised from 17.7% to 25.5%, with a corresponding increase ranging from 56.6% to 125.7% compared to the control group. Notably, the ESR of the substrate containing Avicel and lignin remained significantly lower than that of the Avicel substrate, even with Tween 80 added, suggesting Tween 80 cannot fully counteract the non-productive adsorption of cellulase on lignin. However, it has been reported that lignin’s impact on ES of Avicel may be limited, potentially because CBH adsorbed on lignin retains partial activity [31,32]. Summarily, the ANOVA results indicated that the addition of Tween 80, at various concentrations, significantly enhanced the ESR of Avicel in all cases—with and without lignin—relative to the corresponding control groups (p < 0.05). Post hoc Tukey testing showed that on Avicel, significant differences (p < 0.05) in ESR were only detected between the 0.5% and 1.0% Tw groups and the 1.0% and 2.0% Tw groups; all other pairwise comparisons on this substrate were non-significant (p > 0.05). In contrast, on Avicel with LSEP, all Tween 80 concentration pairs showed statistically significant differences in ESR (p < 0.05). These results demonstrate a more pronounced enhancing effect of Tween 80 on the ESR of the lignin-containing substrate (Avicel+LSEP) compared to pure Avicel.
Figure 1.
Effect of Tween 80 concentration on ESHSL of Avicel.
3.2. Effects of Tween 80 on ESHSL of Avicel and SEP with Different Cellulase Loading and Feed Strategy
As depicted in Figure 2, under the condition of 10 FPU/g glucan of cellulase cocktail loading, the ESR for batch and fed-batch ESHSL of Avicel was 29.6% (corresponding to glucose: 58.1 g/L) and 33.7% (corresponding to glucose: 66.2 g/L), respectively. With the addition of Tween 80, the ESR increased to 38.6% (corresponding to glucose: 75.7 g/L) and 44.8% (corresponding to glucose: 87.8 g/L), representing a 30.4% and 32.9% increase compared to the one without Tween 80, respectively, suggesting Tween 80 boosted both of the ESRs for batch and fed-batch ESHSL. One of the reasons was that Tween 80 improved the cellulase adsorption onto the substrate under the ESHSL process, resulting in the ESR of biomass [33]. Additionally, the cellulase loading and feed strategy are also important factors affecting the ESR of biomass. With increase in cellulase loading from 10 FPU/g glucan to 20 FPU/g glucan, the ESR of batch ESHSL increased from 38.6% (corresponding to glucose: 75.7 g/L) to 60.3% (corresponding to glucose: 118.2 g/L), representing a 30.4–103.7% increase compared to the control (29.6%) under the condition of 10 FPU/g glucan cellulase loading without Tween 80. Similarly, under the condition of cellulase loading from 10 FPU/g glucan to 20 FPU/g glucan, the ESR of fed-batch ESHSL increased from 44.8% (corresponding to glucose: 87.8 g/L) to 65.4% (corresponding to glucose: 128.2 g/L), representing a 32.9–94.1% increase compared to the control (33.7%) under the condition of 10 FPU/g glucan cellulase loading without Tween 80. These results indicated that higher cellulase loading and fed-batch ESHSL significantly enhance Avicel ESR, with Tween 80 further boosting the ESRs. Furthermore, the ESRs and glucose yields obtained in fed-batch ESHSL were higher than those in batch ESHSL(p < 0.05). Additionally, at 24 h, the ESRs of fed-batch ESHSL were 17.2–19.4% higher than those in batch ESHSL. This might be due to the increased liquid-to-solid ratio in the early stage of fed-batch, which alleviated the bound water inhibition and improved system fluidity. Moreover, the cellulase was added once, which correspondingly increased the enzyme loading. After adding Tween 80, the inhibition caused by bound water was further alleviated, and the fluidity of the system was increased, leading to an improvement in the ESR.
Figure 2.
Effect of Tween 80 on ESHSL of Avicel with different cellulase loading and feed strategy ((A) ESR; (B) Glucose).
As depicted in Figure 3, under the condition of 10 FPU/g glucan of cellulase cocktail loading, the ESR for batch and fed-batch ESHSL of SEP was 36.1% (corresponding to glucose: 39.2 g/L) and 38.9% (corresponding to glucose: 42.3 g/L), respectively. With the addition of Tween 80, the ESR increased to 43.5% (corresponding to glucose: 48.6 g/L) and 48.1% (corresponding to glucose: 57.3 g/L), representing a 20.5% and 23.6% increase compared to the one without Tween 80, respectively. With increase in cellulase loading from 10 FPU/g glucan to 20 FPU/g glucan, the ESR of batch ESHSL increased from 43.5% to 78.9% (corresponding to glucose: 85.7 g/L), representing a 20.5–118.6% increase compared to the control (36.1%) under the condition of 10 FPU/g glucan cellulase loading without Tween 80. Similarly, under the condition of cellulase loading from 10 FPU/g glucan to 20 FPU/g glucan, the ESR of fed-batch ESHSL increased from 48.1% to 86.4% (corresponding to glucose: 93.9 g/L), representing a 23.6–122.1% increase compared to the control (38.9%) under the condition of 10 FPU/g glucan cellulase loading without Tween 80. Furthermore, the ESRs and glucose yields obtained in fed-batch ESHSL were also higher than those in batch ESHSL (p < 0.05). Moreover, the fed-batch ESHSL strategy enhanced by Tween 80 proved more effective for steam-exploded poplar than other recent approaches, as summarized in Table 1.
Figure 3.
Effect of Tween 80 on ESHSL of SEP with different cellulase loading and feed strategy ((A) ESR; (B) Glucose).
Table 1.
Comparison of the ESHSL of poplar with different pretreated method and ES strategy.
3.3. Effect of Tween 80 on Rheological Properties of ESHSL of SEP
As shown in Figure 4 and Table 2, the complex viscosity exhibited a linear decline with increasing rotor angular frequency and ESHSL time, which was primarily caused by the consistent decrease in slurry viscosity as the rotational speed increased. Furthermore, as the cellulose of the feedstock degraded, the slurry viscosity correspondingly decreased. At the starting point of ESHSL (0 h), the complex viscosity was 29,905.6 ± 42.8 Pa·s. Upon addition of Tween 80, the complex viscosity significantly dropped to 21,606.7 ± 53.5 Pa·s, representing a 27.8% decrease compared to the sample without Tween 80, suggesting that Tween 80 can lower the initial complex viscosity of the ESHSL slurry. The complex viscosity at 96 h for a batch strategy with and without Tween 80 decreased to 4249.88 ± 34.5 Pa·s and 5792.1 ± 58.0 Pa·s, representing an 80.3% and 80.6% decrease compared to the responding initial value at 0 h, respectively. The complex viscosity at 96 h for the fed-batch ESHSL strategy with and without Tween 80 decreased to 2292.6 ± 53.4 Pa·s and 3870.2 ± 13.6 Pa·s, representing an 89.4% and 87.0% decrease compared to the responding initial value at 0 h, respectively. These outcomes indicate that Tween 80 can synergistically lower the initial complex viscosity (p < 0.05), with a more pronounced effect on the fed-batch ESHSL strategy. The ESHSL system is a highly concentrated, viscous, and strongly shearable non-Newtonian fluid slurry, which is difficult to flow and stir, leading to increased energy consumption for substrate transport and mixing, thus increasing operational costs. Commonly, in an ESHSL system, the complex viscosity is related to both the magnitude of the shear stress and the shear rate. A smaller value of complex viscosity indicates that the slurry is relatively soft, making it prone to deformation, while a larger value suggests that the slurry is relatively rigidity, making it less likely to deform. The addition of a surfactant is an effective strategy to improve the rheological properties such as the complex viscosity during the ES process. As reported, the addition of a cationic surfactant CTAB can reduce the shear force of the ES system, while adding a protein-based surfactant BSA increases the shear force [36].
Figure 4.
Effect of Tween 80 on complex viscosity of ESHSL slurry ((A) Batch; (B) Fed-batch).
Table 2.
Effect of Tween 80 on complex viscosity of ESHSL slurry.
As shown in Figure 5, the shear stress in all ESHSL systems initially rose sharply within approximately 10 s of rotor rotation, then gradually diminished as the ESHSL time increased. Furthermore, the addition of Tween 80 accelerated this decline to varying degrees, resulting in significantly lower shear stress in the fed-batch ESHSL system compared to the batch system at equivalent time points. This indicates a synergistic effect of Tween 80 in reducing shear stress.
Figure 5.
Effect of Tween 80 on shear stress of ESHSL slurry ((A) Batch; (B) Fed-batch).
The energy storage modulus represents the material’s capacity to store energy via elastic deformation under stress. As shown in Figure 6, the energy storage modulus of all ESHSL systems diminished over time, and Tween 80 assisted in lowering the energy storage modulus. Additionally, as the rotor angular frequency increased, the energy storage moduli typically exhibited an initial slow increase followed by a decrease. The energy storage modulus for batch-fed ESHSL was generally lower than that of batch ESHSL at the same angular frequency. It has been reported that when sodium lignosulfonate is employed as a promoter, it enhances the efficiency of ESHSL of corn cobs but also increases the complex viscosity and shear stress of the ESHSL slurry, adversely affecting its rheological properties. The mechanism behind Tween 80 synergistic enhancement of the enzymatic saccharification system’s rheology might be attributed to its alteration of the system’s hydrophobicity, thereby reducing its complex viscosity, shear force, and energy storage modulus [12]. Furthermore, as described in the literature, the addition of a non-ionic surfactant (e.g., PEG and Tween 20) improves the ES process configuration and overcomes mass transfer problems, which helps the ESR of biomass under a fed-batch strategy as compared to a batch strategy [37,38].
Figure 6.
Effect of Tween 80 on storage modulus of ESHSL slurry ((A) Batch; (B) Fed-batch).
3.4. Effects and Mechanism of Tween 80 on Reducing the Non-Productive Adsorption of Cellulase on Lignin
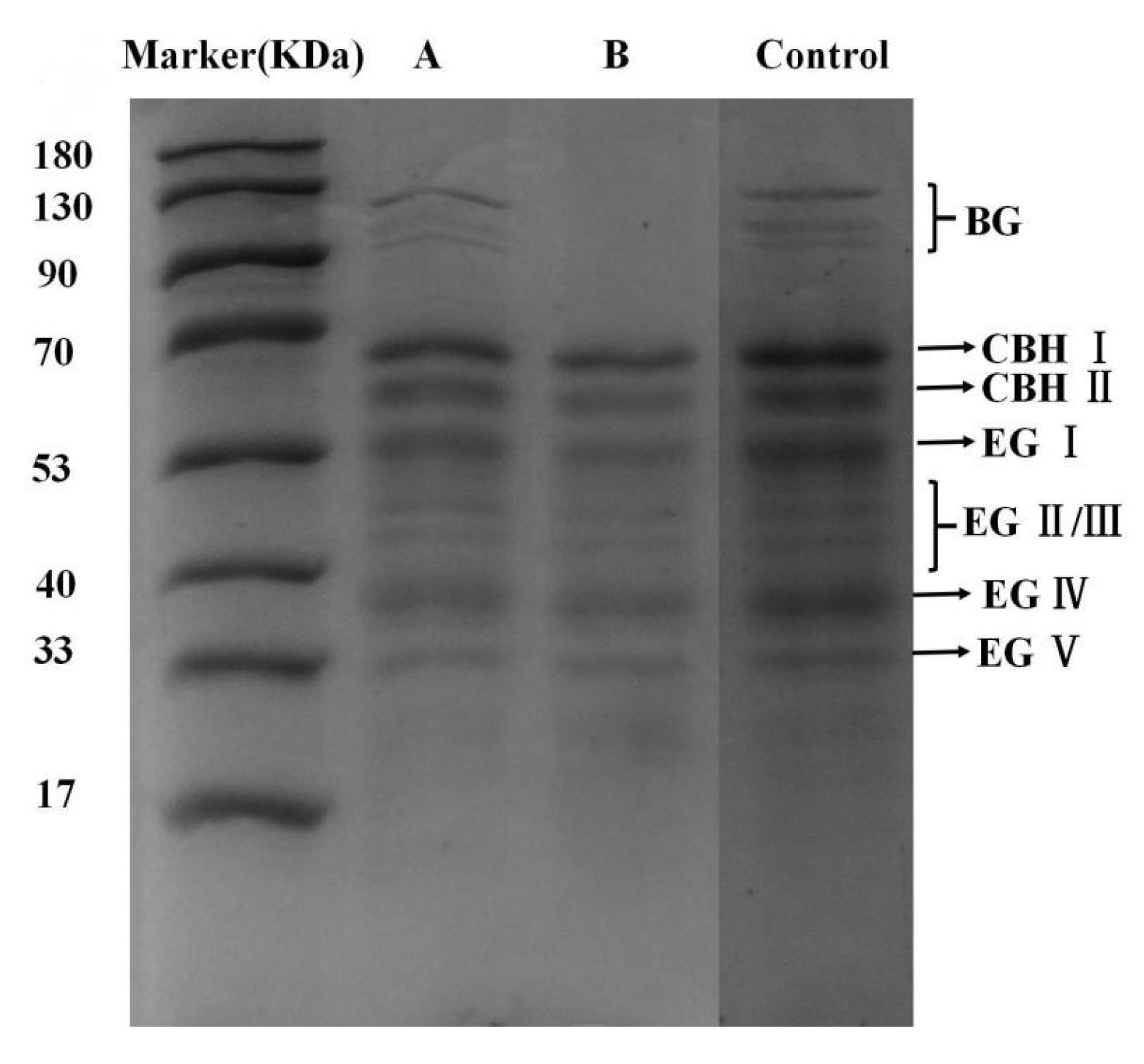
As shown in Table 3, the cellulase adsorption rate of LSEP+Tween 80 was 33.6 ± 0.49%, which was 14.1% lower than the value of LSEP (39.1 ± 0.75%), indicating that Tween 80 significantly reduced the non-productive adsorption of cellulase on lignin (p < 0.05). The dynamics of the cellulase LCC02 components (e.g., CBH, EG, and BG) before and after adsorption are depicted in Figure 7. Notably, the characteristics band of BG, CBH I, CBH II, EG I, EG IV is for a molecular weight of approximately 120 kDa [39], 66 kDa, 60 kDa, 53 kDa, and 33 kDa, respectively. Furthermore, the BG is positioned in the lower portion of the total protein, compared to those of CBH and EG. Upon comparing the SDS-PAGE bands of the control group, the main spectrum of cellulase LCC02 after adsorption remained, but the grayscale of the bands weakened variedly, indicating that lignin had a specific adsorption effect on cellulase. The grayscale of the cellulase components of the LSEP+Tween 80 group was enhanced compared to that of the LSEP group, suggesting that Tween 80 partially reduced the adsorption of cellulase on lignin. Additionally, the grayscale of the BG band seemed to be absent in the LSEP group, but reappeared in the LSEP+Tween 80 group, suggesting Tween 80 notably reduced the BG adsorption on LSEP. It has been reported that an adsorption rate of 98.4% for BG on lignin isolated from corn stover pretreated with liquid hot water was achieved [40]. This may be because BG has a higher isoelectric point than CBH and EG, resulting in a higher positive charge in the ESHSL system at pH 4.8, which, in turn, enhances the electrostatic interaction with negatively charged lignin [41,42].
Table 3.
Non-productive adsorption of cellulase on lignin.
Figure 7.
SDS-PAGE of supernatant cellulase before and after adsorption by LSEP (A: LSEP+Tween 80, B: LSEP).
Generally, hydrophobic interaction plays a critical role in the non-productive adsorption of cellulase on lignin. As depicted in Table 3, the hydrophobicity value of the LSEP+Tween 80 group (0.25 L/g) was 24.9% lower than the value for LSEP (0.33 L/g), which aligned with the result of the cellulase adsorption rate, suggesting that Tween 80 reduced the hydrophobic interaction between LSEP and RB (p < 0.05). It has been reported that the irreversible adsorption of hydrophobic olefin chains (C18) onto lignin is primarily caused by dispersion interactions, resulting in the solubilizing of lignin molecules. This is achieved by making the lignin surfaces more hydrophilic via increasing their polar surface energy component, which adversely reduces both the extent of cellulase adsorption and the rate of subsequent gradual mass increase [43,44].
As shown in Table 2, the zeta potential of the LSEP and LSEP+Tween 80 groups was −18.8 ± 0.96 mV and −19.3 ± 1.21 mV, respectively, suggesting that the introduction of Tween 80 slightly altered the zeta potential of lignin (p > 0.05), which is consistent with the findings of Han et al. [45]. Usually, the zeta potential of the substrate is predominantly affected by the intensity of charged ions and pH in the broth. Notably, Tween 80, being a non-ionic surfactant, slightly alters the ionic strength of the broth, showing a negligible effect on the zeta potential.
4. Conclusions
In this study, the effects of the non-ionic surfactant Tween 80 on the enzymatic saccharification of Avicel and steam-exploded poplar at high solid loading were investigated. The results showed that Tween 80 enhanced the enzymatic saccharification efficiency of Avicel and steam-exploded poplar at 15.0% solid loading, achieving a maximum enzymatic saccharification rate of 65.4% (128.2 g/L glucose) and 86.4% (93.9 g/L glucose), respectively. Furthermore, Tween 80 improved the rheological properties of the enzymatic saccharification slurry of steam-exploded poplar, reducing the complex viscosity, shear stress, and storage modulus. Additionally, the results of cellulase adsorption on lignin, SDS-PAGE, Rose Bengal staining, and Zeta potential tests revealed that Tween 80 reduced the non-productive adsorption of cellulase on lignin, mainly by means of hydrophobic interaction. These findings establish a foundation for operating an efficient enzymatic saccharification of biomass at high solid loading which is beneficial for industrial applications. In future studies, this investigation should be expanded to a wider range of feedstocks and pretreatment methods to determine the universality of the observed effects and develop tailored surfactant strategies for different biomass types.
Author Contributions
Conceptualization, methodology, resources, writing-original draft, supervision, P.Z.; Methodology, software and investigation, Y.T. and J.L.; resources and writing-review and editing, H.W. and L.S.; validation and resources, Z.W. All authors have read and agreed to the published version of the manuscript.
Funding
This work was funded by the National Key Research and Development Program of China (2019YFB1503801).
Data Availability Statement
The original contributions presented in this study are included in the article. Further inquiries can be directed to the corresponding author.
Acknowledgments
We thank the Hunan International Joint Laboratory of Woody Biomass Conversion and Hunan Engineering Research Center for Woody Biomass Conversion for their help.
Conflicts of Interest
The authors declare no conflicts of interest.
Abbreviations
The following abbreviations are used in this manuscript:
| ES | Enzymatic saccharification |
| ESR | Enzymatic saccharification rate |
| ESHSL | Enzymatic saccharification at high solids loading |
| LCB | Lignocellulosic biomass |
| SEP | Steam-exploded poplar |
| LSEP | Lignin derived from SEP |
References
- Qian, Q.; Luo, Z.; Sun, H.; Wei, Q.; Shi, J.; Li, L. Life cycle assessment and techno-economic analysis of wood-based biorefineries for cellulosic ethanol production. Bioresour. Technol. 2024, 399, 130595. [Google Scholar] [CrossRef]
- Kazmi, A.; Sultana, T.; Ali, A.; Nijabat, A.; Li, G.; Hou, H. Innovations in bioethanol production: A comprehensive review of feedstock generations and technology advances. Energy Strategy Rev. 2025, 57, 101634. [Google Scholar] [CrossRef]
- Woo, W.X.; Tan, J.P.; Wu, T.Y.; Yeap, S.K.; Indera Luthfi, A.A.; Abdul Manaf, S.F.; Jamali, N.S.; Hui, Y.W. An overview on the factors affecting enzymatic saccharification of lignocellulosic biomass into fermentable sugars. Rev. Chem. Eng. 2024, 40, 279–303. [Google Scholar] [CrossRef]
- Chen, H.; Liu, Z. Enzymatic hydrolysis of lignocellulosic biomass from low to high solids loading. Eng. Life Sci. 2017, 17, 489–499. [Google Scholar] [CrossRef]
- Singhania, R.R.; Patel, A.K.; Raj, T.; Tsai, M.-L.; Chen, C.-W.; Dong, C.D. Advances and Challenges in Biocatalysts Application for High Solid-Loading of Biomass for 2nd Generation Bio-Ethanol Production. Catalysts 2022, 12, 615. [Google Scholar] [CrossRef]
- Baral, P.; Kumar, V.; Agrawal, D. Emerging trends in high-solids enzymatic saccharification of lignocellulosic feedstocks for developing an efficient and industrially deployable sugar platform. Crit. Rev. Biotechnol. 2022, 42, 873–891. [Google Scholar] [CrossRef] [PubMed]
- Shiva; Rodríguez-Jasso, R.M.; López-Sandin, I.; Aguilar, M.A.; López-Badillo, C.M.; Ruiz, H.A. Intensification of enzymatic saccharification at high solid loading of pretreated agave bagasse at bioreactor scale. J. Environ. Chem. Eng. 2023, 11, 109257. [Google Scholar] [CrossRef]
- Zhang, B.; Liu, X.; Bao, J. High solids loading pretreatment: The core of lignocellulose biorefinery as an industrial technology—An overview. Bioresour. Technol. 2023, 369, 128334. [Google Scholar] [CrossRef] [PubMed]
- Da Silva, A.S.A.; Espinheira, R.P.; Teixeira, R.S.S.; de Souza, M.F.; Ferreira-Leitão, V.; Bon, E.P.S. Constraints and advances in high-solids enzymatic hydrolysis of lignocellulosic biomass: A critical review. Biotechnol. Biofuels 2020, 13, 58. [Google Scholar] [CrossRef]
- Arora, R.; Singh, P.; Sarangi, P.K.; Kumar, S.; Chandel, A.K. A critical assessment on scalable technologies using high solids loadings in lignocellulose biorefinery: Challenges and solutions. Crit. Rev. Biotechnol. 2024, 44, 218–235. [Google Scholar] [CrossRef]
- Sánchez Muñoz, S.; Rocha Balbino, T.; Mier Alba, E.; Gonçalves Barbosa, F.; Tonet De Pier, F.; Lazuroz Moura De Almeida, A.; Helena Balan Zilla, A.; Antonio Fernandes Antunes, F.; Terán Hilares, R.; Balagurusamy, N.; et al. Surfactants in biorefineries: Role, challenges & perspectives. Bioresour. Technol. 2022, 345, 126477. [Google Scholar] [CrossRef]
- Zheng, T.; Jiang, J.; Yao, J. Surfactant-promoted hydrolysis of lignocellulose for ethanol production. Fuel Process. Technol. 2021, 213, 106660. [Google Scholar] [CrossRef]
- Liu, T.; Wang, P.; Tian, J.; Guo, J.; Zhu, W.; Bushra, R.; Huang, C.; Jin, Y.; Xiao, H.; Song, J. Emerging role of additives in lignocellulose enzymatic saccharification: A review. Renew. Sust. Energy Rev. 2024, 197, 114395. [Google Scholar] [CrossRef]
- Gao, L.; Li, W.; Wang, W.; Zhang, Y.; Wang, M.; Liang, C.; Xing, S.; Qi, W. Relation between structural feature and non-ionic surfactant improving enzymatic hydrolysis of lignocellulose. Biomass Conv. Bioref. 2025, 15, 12949–12958. [Google Scholar] [CrossRef]
- Zhang, H.; Chen, W.; Han, X.; Zeng, Y.; Zhang, J.; Gao, Z.; Xie, J. Intensification of sugar production by using Tween 80 to enhance metal-salt catalyzed pretreatment and enzymatic hydrolysis of sugarcane bagasse. Bioresour. Technol. 2021, 339, 125522. [Google Scholar] [CrossRef]
- Li, R.; Ruan, H.; Zhang, D.; Zhu, C.; Lai, C.; Yong, Q. Tween 80 reversed adverse effects of combined autohydrolysis and p-toluenesulfonic acid pretreatment on enzymatic hydrolysis of poplar. Bioresour. Technol. 2024, 393, 130056. [Google Scholar] [CrossRef]
- de Oliveira Rodrigues, P.; Moreira, F.S.; Cardoso, V.L.; Santos, L.D.; Gurgel, L.V.A.; Pasquini, D.; Baffi, M.A. Combination of High Solid Load, On-site Enzyme Cocktails and Surfactant in the hydrolysis of Hydrothermally Pretreated Sugarcane Bagasse and Ethanol Production. Waste Biomass Valor. 2022, 13, 3085–3094. [Google Scholar] [CrossRef]
- Qi, W.; Feng, Q.; Wang, W.; Zhang, Y.; Hu, Y.; Shakeel, U.; Xiao, L.; Wang, L.; Chen, H.; Liang, C. Combination of surfactants and enzyme cocktails for enhancing woody biomass saccharification and bioethanol production from lab-scale to pilot-scale. Bioresour. Technol. 2023, 384, 129343. [Google Scholar] [CrossRef]
- Liang, Y.; Tong, D.; Hou, K.; Li, Z.; Zhang, L.; Shao, L.; Wu, Z.; Huang, Y.; Zhan, P. Mechanisms of surfactant JFC-M-assisted dilute phosphoric acid plus steam explosion of poplar wood. Biomass Conv. Bioref. 2025, 1–12. [Google Scholar] [CrossRef]
- Zhang, L.; Peng, W.; Wang, F.; Bao, H.; Zhan, P.; Chen, J.; Tong, Z. Fractionation and quantitative structural analysis of lignin from a lignocellulosic biorefinery process by gradient acid precipitation. Fuel 2022, 309, 122153. [Google Scholar] [CrossRef]
- Sluiter, A.; Hames, B.; Ruiz, R.; Scarlata, C.; Crocker, D. Laboratory Analytical Procedure. In Determinatin of Structural Carbohydrates and Lignin in Biomass: NREL/TP-510-42618; National Renewable Energy Laboratory: Golden, CO, USA, 2010. [Google Scholar]
- Zhang, J.; Wang, L.; Chen, H. Effect of periodic high-frequency vibration with rigid spheres added on high solids enzymatic hydrolysis of steam-exploded corn straw. Process Biochem. 2020, 94, 99–109. [Google Scholar] [CrossRef]
- Zhao, X.; Huang, C.; Lin, W.; Bian, B.; Lai, C.; Ling, Z.; Yong, Q. A structure–activity understanding of the interaction between lignin and various cellulase domains. Bioresour. Technol. 2022, 351, 127042. [Google Scholar] [CrossRef]
- Huang, Y.; Sun, S.; Huang, C.; Yong, Q.; Elder, T.; Tu, M. Stimulation and inhibition of enzymatic hydrolysis by organosolv lignins as determined by zeta potential and hydrophobicity. Biotechnol. Biofuels 2017, 10, 162. [Google Scholar] [CrossRef]
- Lin, W.; Yang, J.; Zheng, Y.; Huang, C.; Yong, Q. Understanding the effects of different residual lignin fractions in acid-pretreated bamboo residues on its enzymatic digestibility. Biotechnol. Biofuels 2021, 14, 143. [Google Scholar] [CrossRef]
- Lan, T.; Lin, T.; Qin, Y. Enhancement of enzyme hydrolysis by increasing the zeta potential to reduce non-productive cellulase adsorption on sugarcane bagasse treated with liquid hot water. BioResources 2020, 15, 5965–5974. [Google Scholar] [CrossRef]
- Li, Y.; Sun, Z.; Ge, X.; Zhang, J. Effects of lignin and surfactant on adsorption and hydrolysis of cellulases on cellulose. Biotechnol. Biofuels 2016, 9, 20. [Google Scholar] [CrossRef]
- Wang, J.; Xiao, W.; Zhang, J.; Quan, X.; Chu, J.; Meng, X.; Pu, Y.; Ragauskas, A.J. Beneficial effect of surfactant in adsorption/desorption of lignocellulose-degrading enzymes on/from lignin with different structure. Ind. Crops Prod. 2023, 191, 115904. [Google Scholar] [CrossRef]
- Nababan, M.Y.S.; Fatriasari, W.; Wistara, N.J. Response surface methodology for enzymatic hydrolysis optimization of jabon alkaline pulp with Tween 80 surfactant addition. Biomass Convers. Biorefinery 2022, 12, 2165–2174. [Google Scholar] [CrossRef]
- Parnthong, J.; Kungsanant, S.; Chavadej, S. The Influence of Nonionic Surfactant Adsorption on Enzymatic Hydrolysis of Oil Palm Fruit Bunch. Appl. Biochem. Biotechnol. 2018, 186, 895–908. [Google Scholar] [CrossRef]
- Brethauer, S.; Antczak, A.; Balan, R.; Zielenkiewicz, T.; Studer, M.H. Steam Explosion Pretreatment of Beechwood. Part 2: Quantification of Cellulase Inhibitors and Their Effect on Avicel Hydrolysis. Energies 2020, 13, 3638. [Google Scholar] [CrossRef]
- Mou, H.; Tang, L.; Wu, T.; Feng, L.; Liu, Y. Study on the mechanism of lignin non-productive adsorption on cellobiohydrolase. Int. J. Biol. Macromol. 2024, 273, 133003. [Google Scholar] [CrossRef]
- Ying, W.; Zhu, J.; Xu, Y.; Zhang, J. High solid loading enzymatic hydrolysis of acetic acid-peroxide/acetic acid pretreated poplar and cellulase recycling. Bioresour. Technol. 2021, 340, 125624. [Google Scholar] [CrossRef]
- Li, B.; Feng, S.; Huang, J.; Hu, Y.; Chen, X.; Fu, X.; Lin, X. Facile fractionation of poplar by a novel ternary deep eutectic solvent (DES) for cellulosic ethanol production under mild pretreatment conditions. Ind. Crops Prod. 2025, 223, 120132. [Google Scholar] [CrossRef]
- Wang, L.; Yin, M.; Li, M.; Chen, H. Salt-frost pretreatment disrupts the dense structure of poplar coupled with hydrothermal processing to enhance enzymatic hydrolysis. Ind. Crops Prod. 2025, 231, 121146. [Google Scholar] [CrossRef]
- Knutsen, J.S.; Liberatore, M.W. Rheology Modification and Enzyme Kinetics of High Solids Cellulosic Slurries. Energy Fuels 2010, 24, 3267–3274. [Google Scholar] [CrossRef]
- Charpentier Alfaro, C.; Méndez Arias, J. Enzymatic conversion of treated oil palm empty fruit bunches fiber into fermentable sugars: Optimization of solid and protein loadings and surfactant effects. Biomass Conv. Biorefinery 2021, 11, 2359–2368. [Google Scholar] [CrossRef]
- da Conceição Gomes, A.; Moysés, D.N.; Santa Anna, L.M.M.; de Castro, A.M. Fed-batch strategies for saccharification of pilot-scale mild-acid and alkali pretreated sugarcane bagasse: Effects of solid loading and surfactant addition. Ind. Crops Prod. 2018, 119, 283–289. [Google Scholar] [CrossRef]
- Javed, M.R.; Rashid, M.H.; Riaz, M.; Nadeem, H.; Qasim, M.; Ashiq, N. Physiochemical and Thermodynamic Characterization of Highly Active Mutated Aspergillus niger β-glucosidase for Lignocellulose Hydrolysis. Protein Pept. Lett. 2018, 25, 208–219. [Google Scholar] [CrossRef]
- Lu, X.; Zheng, X.; Li, X.; Zhao, J. Adsorption and mechanism of cellulase enzymes onto lignin isolated from corn stover pretreated with liquid hot water. Biotechnol. Biofuels 2016, 9, 118. [Google Scholar] [CrossRef]
- Xu, L.; Wang, J.; Zhang, A.; Pang, Y.; Yang, D.; Lou, H.; Qiu, X. Unveiling the role of long-range and short-range forces in the non-productive adsorption between lignin and cellulases at different temperatures. J. Colloid Interf. Sci. 2023, 647, 318–330. [Google Scholar] [CrossRef]
- Huang, C.; Jiang, X.; Shen, X.; Hu, J.; Tang, W.; Wu, X.; Ragauskas, A.; Jameel, H.; Meng, X.; Yong, Q. Lignin-enzyme interaction: A roadblock for efficient enzymatic hydrolysis of lignocellulosics. Renew. Sust. Energy Rev. 2022, 154, 111822. [Google Scholar] [CrossRef]
- Jiang, F.; Qian, C.; Esker, A.R.; Roman, M. Effect of Nonionic Surfactants on Dispersion and Polar Interactions in the Adsorption of Cellulases onto Lignin. J. Phys. Chem. B 2017, 121, 9607–9620. [Google Scholar] [CrossRef]
- Huang, C.; Zhao, X.; Zheng, Y.; Lin, W.; Lai, C.; Yong, Q.; Ragauskas, A.J.; Meng, X. Revealing the mechanism of surfactant-promoted enzymatic hydrolysis of dilute acid pretreated bamboo. Bioresour. Technol. 2022, 360, 127524. [Google Scholar] [CrossRef]
- Han, L.; Jiang, B.; Wang, W.; Wang, G.; Tan, Y.; Niu, K.; Fang, X. Alleviating Nonproductive Adsorption of Lignin on CBM through the Addition of Cationic Additives for Lignocellulosic Hydrolysis. ACS Appl. Bio Mater. 2022, 5, 2253–2261. [Google Scholar] [CrossRef] [PubMed]
Disclaimer/Publisher’s Note: The statements, opinions and data contained in all publications are solely those of the individual author(s) and contributor(s) and not of MDPI and/or the editor(s). MDPI and/or the editor(s) disclaim responsibility for any injury to people or property resulting from any ideas, methods, instructions or products referred to in the content. |
© 2025 by the authors. Licensee MDPI, Basel, Switzerland. This article is an open access article distributed under the terms and conditions of the Creative Commons Attribution (CC BY) license (https://creativecommons.org/licenses/by/4.0/).






