Protective Effect of Sweetpotato (Ipomoea batatas L.) Leaf Phenolic Acids Extract on IL-1β-Induced Barrier Injury of Caco-2 Monolayers
Abstract
1. Introduction
2. Materials and Methods
2.1. Chemicals and Materials
2.2. Isolation of the Phenolic Acid Compounds from Sweetpotato Leaves
2.3. Composition Analysis of the Sweetpotato Leaves Phenolic Acid Compounds
2.4. Determination of Cell Viability
2.5. Caco-2 Monolayers Culture
2.6. Nitric Oxide Inhibition Assay and ELISA Measurements
2.7. Measurement of Transepithelial Electric Resistance
2.8. Quantitative Real-Time Polymerase Chain Reaction Analysis
2.9. Western Blotting
2.10. Statistical Analysis
3. Results
3.1. Characterisation and Quantification of SPLPAs Extract
3.2. Cytotoxic Effect of SPLPAs Extract on the Caco-2 Cells and the Concentration Dependence of Inhibiting the NO Generation Action
3.3. Anti-Inflammatory Evaluation of SPLPAs Extract in the IL-1β-Treated Caco-2 Monolayers
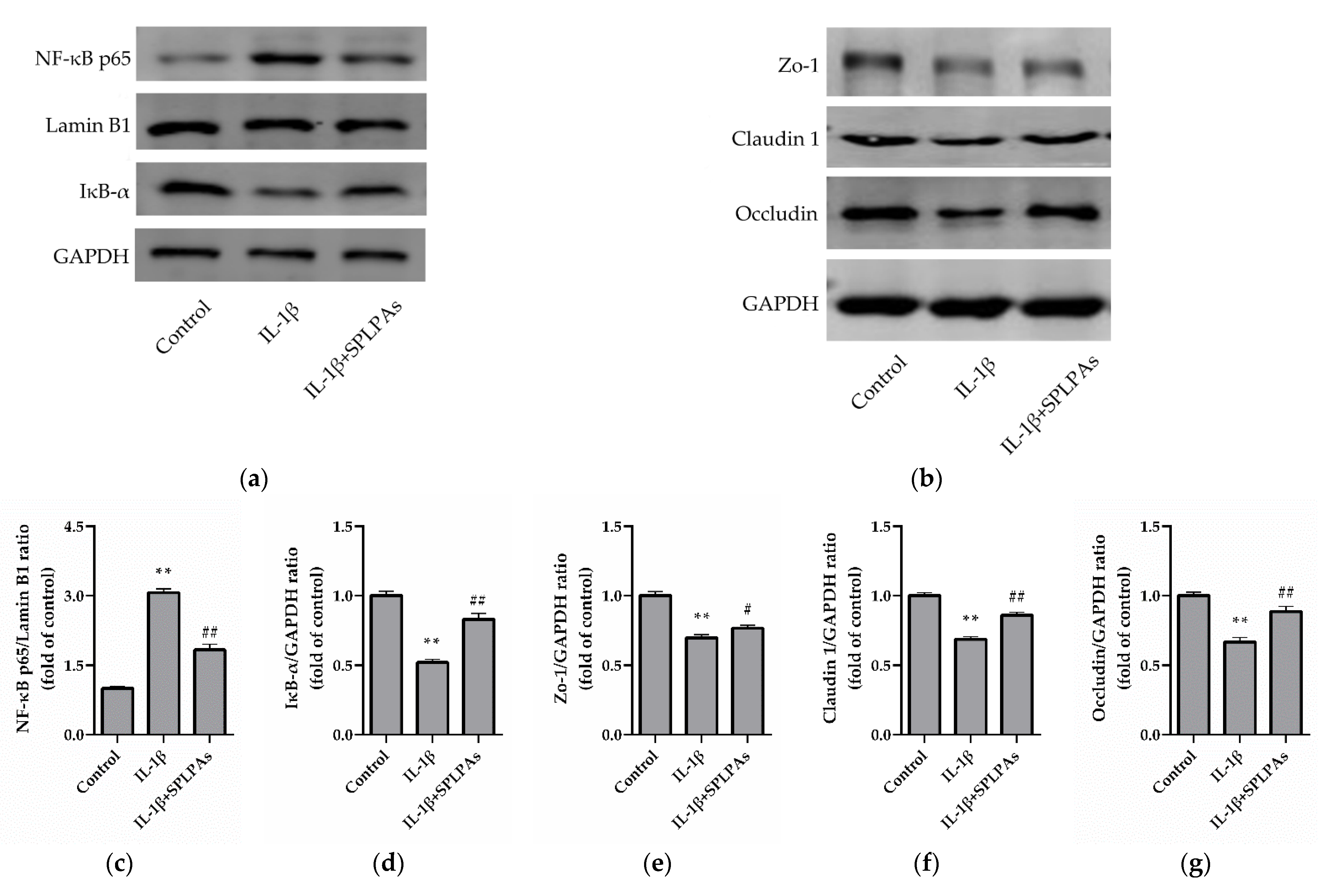
3.4. Effect of SPLPAs Extract on the Protein Expression of NF-κB and Tight Junctions
3.5. Effect of SPLPAs Extract on the Integrity of Caco-2 Monolayers
4. Discussion
5. Conclusions
Author Contributions
Funding
Institutional Review Board Statement
Informed Consent Statement
Data Availability Statement
Acknowledgments
Conflicts of Interest
References
- Lee, C.Y. The effect of high-fat diet-induced pathophysiological changes in the gut on obesity: What should be the ideal treatment? Clin. Transl. Gastroenterol. 2013, 4, e39. [Google Scholar] [CrossRef] [PubMed]
- Francescangeli, F.; De Angelis, M.L.; Zeuner, A. Dietary factors in the control of gut homeostasis, intestinal stem cells, and colorectal cancer. Nutrients 2019, 11, 2936. [Google Scholar] [CrossRef] [PubMed]
- Sun, C.; Zhao, Y.; Gao, X.; Yuan, Y.; Wang, C.; Wang, Y.; Zhang, L.; Gu, Y.; Zhang, F.; Hu, P.; et al. Cideb deficiency aggravates dextran sulfate sodium-induced ulcerative colitis in mice by exacerbating the oxidative burden in colonic mucosa. Inflamm. Bowel Dis. 2017, 23, 1338–1347. [Google Scholar] [CrossRef] [PubMed]
- Bashllari, R.; Molonia, M.S.; Muscarà, C.; Speciale, A.; Wilde, P.J.; Saija, A.; Cimino, F. Cyanidin-3-O-glucoside protects intestinal epithelial cells from palmitate-induced lipotoxicity. Arch. Physiol. Biochem. 2020, 1–8. [Google Scholar] [CrossRef] [PubMed]
- Laugerette, F.; Vors, C.; Géloën, A.; Chauvin, M.A.; Soulage, C.; Lambert-Porcheron, S.; Peretti, N.; Alligier, M.; Burcelin, R.; Laville, M.; et al. Emulsified lipids increase endotoxemia: Possible role in early postprandial low-grade inflammation. J. Nutr. Biochem. 2011, 22, 53–59. [Google Scholar] [CrossRef]
- Park, M.-Y.; Kim, M.Y.; Seo, Y.R.; Kim, J.-S.; Sung, M.-K. High-fat diet accelerates intestinal tumorigenesis through disrupting intestinal cell membrane integrity. J. Cancer Prev. 2016, 21, 95–103. [Google Scholar] [CrossRef] [PubMed]
- Moreira, A.P.B.; Texeira, T.F.S.; Ferreira, A.B.; do Carmo Gouveia Peluzio, M.; de Cássia Gonçalves Alfenas, R. Influence of a high-fat diet on gut microbiota, intestinal permeability and metabolic endotoxaemia. Br. J. Nutr. 2012, 108, 801–809. [Google Scholar] [CrossRef]
- Sambuy, Y.; De Angelis, I.; Ranaldi, G.; Scarino, M.L.; Stammati, A.; Zucco, F. The caco-2 cell line as a model of the intestinal barrier: Influence of cell and culture-related factors on caco-2 cell functional characteristics. Cell Biology.Toxicol. 2005, 21, 1–26. [Google Scholar] [CrossRef]
- Van De Walle, J.; Hendrickx, A.; Romier, B.; Larondelle, Y.; Schneider, Y.-J. Inflammatory parameters in Caco-2 cells: Effect of stimuli nature, concentration, combination and cell differentiation. Toxicol. Vitr. 2010, 24, 1441–1449. [Google Scholar] [CrossRef] [PubMed]
- Chen, S.; Einspanier, R.; Schoen, J. Transepithelial electrical resistance (TEER): A functional parameter to monitor the quality of oviduct epithelial cells cultured on filter supports. Histochem. Cell Biol. 2015, 144, 509–515. [Google Scholar] [CrossRef]
- Cremonini, E.; Mastaloudis, A.; Hester, S.N.; Verstraeten, S.V.; Anderson, M.; Wood, S.M.; Waterhouse, A.L.; Fraga, C.G.; Oteiza, P.I. Anthocyanins inhibit tumor necrosis alpha-induced loss of Caco-2 cell barrier integrity. Food Funct. 2017, 8, 2915–2923. [Google Scholar] [CrossRef]
- Contreras, T.C.; Ricciardi, E.; Cremonini, E.; Oteiza, P.I. (−)-Epicatechin in the prevention of tumor necrosis alpha-induced loss of Caco-2 cell barrier integrity. Arch. Biochem. Biophys. 2015, 573, 84–91. [Google Scholar] [CrossRef] [PubMed]
- FAOSTAT. Crops and Livestock Products Data [OB/OL]. 2020. Available online: https://www.fao.org/faostat/en/#data/QCL (accessed on 1 August 2022).
- Islam, M.S.; Yoshimoto, M.; Yahara, S.; Okuno, S.; Ishiguro, K.; Yamakawa, O. Identification and characterization of foliar polyphenolic composition in sweet potato (Ipomoea batatas L.) genotypes. J. Agric. Food Chem. 2002, 50, 3718–3722. [Google Scholar] [CrossRef] [PubMed]
- Johnson, M.; Pace, R.D. Sweet potato leaves: Properties and synergistic interactions that promote health and prevent disease. Nutr. Rev. 2010, 68, 604–615. [Google Scholar] [CrossRef] [PubMed]
- Kumar, N.; Goel, N. Phenolic acids: Natural versatile molecules with promising therapeutic applications. Biotechnol. Rep. 2019, 24, e00370. [Google Scholar] [CrossRef] [PubMed]
- Pereira, D.M.; Valentão, P.; Pereira, J.A.; Andrade, P.B. Phenolics: From chemistry to biology. Molecules 2009, 14, 2202–2211. [Google Scholar] [CrossRef]
- Clifford, M.N. Chlorogenic acids and other cinnamates-nature, occurrence, and dietary burden. J. Sci. Food Agric. 1999, 79, 362–372. [Google Scholar] [CrossRef]
- Jung, J.-K.; Lee, S.U.; Kozukue, N.; Levin, C.E.; Friedman, M. Distribution of phenolic compounds and antioxidative activities in parts of sweet potato (Ipomoea batata L.) plants and in home processed roots. J. Food Compos. Anal. 2011, 24, 29–37. [Google Scholar] [CrossRef]
- Khoddami, A.; Wilkes, M.A.; Roberts, T.H. Techniques for analysis of plant phenolic compounds. Molecules 2013, 18, 2328–2375. [Google Scholar] [CrossRef] [PubMed]
- Sasaki, K.; Han, J.; Shimozono, H.; Villareal, M.O.; Isoda, H. Caffeoylquinic acidrich purple sweet potato extract, with or without anthocyanin, imparts neuroprotection and contributes to the improvement of spatial learning and memory of SAMP8 mouse. J. Agric. Food Chem. 2013, 61, 5037–5045. [Google Scholar] [CrossRef] [PubMed]
- Han, J.; Miyamae, Y.; Shigemori, H.; Isoda, H. Neuroprotective effect of 3,5-di-O-caffeoylquinic acid on SH-SY5Y cells and senescence-accelerated-prone mice 8 through the up-regulation of phosphoglycerate kinase-1. Neuroscience 2010, 169, 1039–1045. [Google Scholar] [CrossRef] [PubMed]
- Sato, Y.; Itagaki, S.; Kurokawa, T.; Ogura, J.; Kobayashi, M.; Hirano, T.; Sugawara, M.; Iseki, K. In vitro and in vivo antioxidant properties of chlorogenic acid and caffeic acid. Int. J. Pharm. 2011, 403, 136–138. [Google Scholar] [CrossRef] [PubMed]
- Zhang, L.; Tu, Z.; Wang, H.; Fu, Z.; Wen, Q.; Chang, H.; Huang, X. Comparison of different methods for extracting polyphenols from Ipomoea batatas leaves, and identification of antioxidant constituents by HPLC-QTOF-MS2. Food Res. Int. 2015, 70, 101–109. [Google Scholar] [CrossRef]
- Zheng, W.; Cliffordb, M.N. Profiling the chlorogenic acids of sweet potato (Ipomoea batatas) from China. Food Chem. 2008, 106, 147–152. [Google Scholar] [CrossRef]
- Islam, M.S.; Yoshimoto, M.; Ishiguro, K.; Okuno, S.; Yamakawa, O. Effect of artificial shading and temperature on radical scavenging activity and polyphenolic composition in sweetpotato (Ipomoea batatas L.) leaves. J. Am. Soc. Hortic. Sci. 2003, 128, 182–187. [Google Scholar] [CrossRef]
- Sasaki, K.; Oki, T.; Kai, Y.; Nishiba, Y.; Okuno, S. Effect of repeated harvesting on the content of caffeic acid and seven species of caffeoylquinic acids in sweet potato leaves. Biosci. Biotechnol. Biochem. 2015, 79, 1308–1314. [Google Scholar] [CrossRef]
- Lin, K.-H.; Chao, P.Y.; Yang, C.-M.; Cheng, W.-C.; Lo, H.-F.; Chang, T.-R. The effects of flooding and drought stresses on the antioxidant constituents in sweet potato leaves. Bot. Stud. 2006, 47, 417–426. [Google Scholar]
- Xi, L.-S.; Mu, T.-H.; Sun, H.-N. Preparative purification of polyphenols from sweet potato (Ipomoea batatas L.) leaves by AB-8 macroporous resins. Food Chem. 2015, 172, 166–174. [Google Scholar] [CrossRef]
- Jaiswal, R.; Müller, H.; Müller, A.; Karar, M.G.E.; Kuhnert, N. Identification and characterization of chlorogenic acids, chlorogenic acid glycosides and flavonoids from Lonicera henryi L. (Caprifoliaceae) leaves by LC-MSn. Phytochemistry 2014, 108, 252–263. [Google Scholar] [CrossRef]
- Zhang, L.Q.; Li, Y.; Liang, Y.; Liang, K.; Zhang, F.; Xu, T.; Wang, M.; Song, H.; Lu, B. Determination of phenolic acid profiles by HPLC-MS in vegetables commonly consumed in China. Food Chem. 2019, 276, 538–546. [Google Scholar] [CrossRef]
- Le Phuong Nguyen, T.; Fenyvesi, F.; Remenyik, J.; Homoki, J.R.; Gogolák, P.; Bácskay, I.; Fehér, P.; Ujhelyi, Z.; Vasvári, G.; Vecsernyés, M.; et al. Protective Effect of Pure Sour Cherry Anthocyanin Extract on Cytokine-Induced Inflammatory Caco-2 Monolayers. Nutrients 2018, 10, 861. [Google Scholar] [CrossRef]
- Zhao, L.; Chen, X.F.; Shao, X.; Wang, Z.Y.; Du, Y.; Zhu, C.C.; Du, W.; Tang, D.Q.; Ji, S. Prenylated phenolic compounds from licorice (Glycyrrhiza uralensis) and their anti-inflammatory activity against osteoarthritis. Food Funct. 2022, 13, 795. [Google Scholar] [CrossRef] [PubMed]
- Ershad, M.; Shigenaga, M.K.; Bandy, B. Differential protection by anthocyanin-rich bilberry extract and resveratrol against lipid micelle-induced oxidative stress and monolayer permeability in Caco-2 intestinal epithelial cells. Food Funct. 2021, 12, 2950. [Google Scholar] [CrossRef]
- Sun, H.-N.; Mu, T.-H.; Xi, L.-S.; Zhang, M.; Chen, J.-W. Sweet potato (Ipomoea batatas L.) leaves as nutritional and functional foods. Food Chem. 2014, 156, 380–389. [Google Scholar] [CrossRef]
- Hering, N.A.; Fromm, M.; Schulzke, J.D. Determinants of colonic barrier function in inflammatory bowel disease and potential therapeutics. J. Physiol. 2012, 590, 1035–1044. [Google Scholar] [CrossRef] [PubMed]
- Zhao, X.; Xu, X.X.; Liu, Y.; Xi, E.Z.; An, J.J.; Tabys, D.; Liu, N. The In Vitro Protective Role of Bovine Lactoferrin on Intestinal Epithelial Barrier. Molecules 2019, 24, 148. [Google Scholar] [CrossRef]
- Wang, S.; Mateos, R.; Goya, L.; Amigo-Benavent, M.; Sarriá, B.; Bravo, L. A phenolic extract from grape by-products and its main hydroxybenzoic acids protect Caco-2 cells against pro-oxidant induced toxicity. Food Chem. Toxicol. 2016, 88, 65–74. [Google Scholar] [CrossRef]
- Sies, H.; Berndt, C.; Jones, D.P. Oxidative stress. Annu. Rev. Biochem. 2017, 86, 715–748. [Google Scholar] [CrossRef] [PubMed]
- Romier-Crouzet, B.; Van De Walle, J.; During, A.; Joly, A.; Rousseau, C.; Henry, O.; Schneider, Y.-J. Inhibition of inflammatory mediators by polyphenolic plant extracts in human intestinal Caco-2 cells. Food Chem. Toxicol. 2009, 47, 1221–1230. [Google Scholar] [CrossRef] [PubMed]
- Al-Sadi, R.; Guo, S.; Ye, D.; Dokladny, K.; Alhmoud, T.; Ereifej, L.; Said, H.M.; Ma, T.Y. Mechanism of il-1beta modulation of intestinal epithelial barrier involves p38 kinase and activating transcription factor-2 activation. J. Immunol. 2013, 190, 6596–6606. [Google Scholar] [CrossRef] [PubMed]
- Al-Sadi, R.; Guo, S.; Ye, D.; Ma, T.Y. TNF-α modulation of intestinal epithelial tight junction barrier is regulated by erk1/2 activation of elk-1. Am. J. Pathol. 2013, 183, 1871–1884. [Google Scholar] [CrossRef] [PubMed]
- Ramadan, Q.; Jing, L. Characterization of tight junction disruption and immune response modulation in a miniaturized caco-2/u937 coculture-based in vitro model of the human intestinal barrier. Biomed. Microdevices 2016, 18, 26809386. [Google Scholar] [CrossRef] [PubMed]
- Araki, Y.; Katoh, T.; Ogawa, A.; Bamba, S.; Andoh, A.; Koyama, S.; Fujiyama, Y.; Bamba, T. Bile acid modulates transepithelial permeability via the generation of reactive oxygen species in the Caco-2 cell line. Free. Radic. Biol. Med. 2005, 39, 769–780. [Google Scholar] [CrossRef] [PubMed]
- Aspenström-Fagerlund, B.; Ring, L.; Aspenström, P.; Tallkvist, J.; Ilbäck, N.-G.; Glynn, A.W. Oleic acid and docosahexaenoic acid cause an increase in the paracellular absorption of hydrophilic compounds in an experimental model of human absorptive enterocytes. Toxicology 2007, 237, 12–23. [Google Scholar] [CrossRef] [PubMed]
- Cui, W.; Li, L.X.; Sun, C.M.; Wen, Y.; Zhou, Y.; Dong, Y.L.; Liu, P. Tumor necrosis factor alpha increases epithelial barrier permeability by disrupting tight junctions in Caco-2 cells. Braz. J. Med. Biol. Res. 2010, 43, 330–337. [Google Scholar] [CrossRef]
- Slifer, Z.M.; Blikslager, A.T. The integral role of tight junction proteins in the repair of injured intestinal epithelium. Int. J. Mol. Sci. 2020, 21, 972. [Google Scholar] [CrossRef]
- Martini, E.; Krug, S.M.; Siegmund, B.; Neurath, M.F.; Becker, C. Mend Your Fences: The epithelial barrier and its relationship with mucosal immunity in inflammatory bowel disease. Cell. Mol. Gastroenterol. Hepatol. 2017, 4, 33–46. [Google Scholar] [CrossRef]
- Takenaka, T.; Harada, N.; Kuze, J.; Chiba, M.; Iwao, T.; Matsunaga, T. Application of a human intestinal epithelial cell monolayer to the prediction of oral drug absorption in humans as a superior alternative to the Caco-2 cell monolayer. J. Pharm. Sci. 2016, 105, 915–924. [Google Scholar] [CrossRef]
- Amasheh, M.; Schlichter, S.; Amasheh, S.; Mankertz, J.; Zeitz, M.; Fromm, M.; Schulzke, J.D. Quercetin enhances epithelial barrier function and increases claudin-4 expression in Caco-2 cells. J. Nutrition 2008, 138, 1067–1073. [Google Scholar] [CrossRef]
- Chen, M.; Hou, P.; Zhou, M.; Ren, Q.; Wang, X.; Huang, L.; Hui, S.; Yi, L.; Mi, M. Resveratrol attenuates high-fat diet-induced non-alcoholic steatohepatitis by maintaining gut barrier integrity and inhibiting gut inflammation through regulation of the endocannabinoid system. Clin. Nutr. 2020, 39, 1264–1275. [Google Scholar] [CrossRef]





| Peak No. | Retention Time (min) | Identification | Standard Curve | R2 | Peak Area | Content (%, DW) | 
|---|---|---|---|---|---|---|
| 1 | 3.33 | Neochlorogenic acid | Y = 6.524 × 104X | 0.9998 | 4.43 × 106 ± 6.62 × 104 | 1.64 ± 0.02 | 
| 2 | 3.77 | Chlorogenic acid | Y = 4.08 × 104X | 0.9994 | 1.28 × 107 ± 2.43 × 105 | 7.57 ± 0.14 | 
| 3 | 3.84 | Cryptochlorogenic acid | Y = 6.487 × 104X | 0.9990 | 1.02 × 107 ± 6.34 × 105 | 3.78 ± 0.02 | 
| 4 | 4.69 | Isochlorogenic acid B | Y = 6.183 × 104X | 0.9977 | 2.18 × 107 ± 2.05 × 105 | 8.51 ± 0.08 | 
| 5 | 4.78 | Isochlorogenic acid A | Y = 4.576 × 104X | 0.9993 | 7.74 × 107 ± 2.86 × 106 | 40.78 ± 1.51 | 
| 6 | 4.85 | Isochlorogenic acid C | Y = 6.036 × 104X | 0.9989 | 3.11 × 107 ± 6.28 × 105 | 12.43 ± 0.25 | 
| Total chlorogenic acid isomers | 74.70 ± 1.83 | |||||
| 1 | 0.98 | Gallic acid | Y = 4.272 × 103X | 0.9995 | 21.42 ± 0.25 | 1.73 × 10−3 ± 2.03 × 10−5 | 
| 2 | 1.07 | Phenylalanine | Y = 3.716 × 104X | 0.9966 | 11.78 ± 0.50 | 9.50 × 10−4 ± 4.01 × 10−5 | 
| 3 | 1.82 | 3,4-Dihydroxybenzoic acid | Y = 8.246 × 104X | 0.9997 | 1.33 × 103 ± 26.95 | 0.11 ± 2.17 × 10−3 | 
| 4 | 3.08 | Protocatechualdehyde | Y = 1.492 × 105X | 0.9996 | 1.37 × 103 ± 17.49 | 0.11 ± 1.41 × 10−3 | 
| 5 | 3.37 | p-Hydroxybenzoic acid | Y = 1.392 × 105X | 0.9992 | 1.45 × 103 ± 58.42 | 0.12 ± 4.71 × 10−3 | 
| 6 | 3.88 | Catechin | Y = 1.08 × 105X | 0.9995 | 0.31 ± 0.01 | 2.51 × 10−5 ± 4.25 × 10−7 | 
| 7 | 4.07 | Vanillic acid | Y = 9.867 × 104X | 0.9994 | 488.41 ± 14.12 | 3.94 × 10−2 ± 1.14 × 10−3 | 
| 8 | 4.21 | Caffeic acid | Y = 1.406 × 105X | 0.9995 | 1.24 × 105 ± 1.11 × 103 | 10.02 ± 0.09 | 
| 9 | 4.44 | Syringic acid | Y = 9.361 × 104X | 0.9981 | 18.44 ± 0.24 | 1.49 × 10−3 ± 1.94 × 10−5 | 
| 10 | 4.74 | L-Epicatechin | Y = 1.292 × 105X | 0.9999 | 0.43 ± 0.01 | 3.44 × 10−5 ± 8.40 × 10−7 | 
| 11 | 5.04 | Vanillin | Y = 9.974 × 104X | 0.9993 | 100.68 ± 0.36 | 8.12 × 10−3 ± 2.92 × 10−5 | 
| 12 | 5.23 | p-Hydroxycinnamic Acid | Y = 5.275 × 104X | 0.9977 | 1.00 × 103 ± 34.90 | 0.08 ± 2.81 × 10−3 | 
| 13 | 5.38 | Syringaldehyde | Y = 1.473 × 105X | 0.9985 | 6.78 ± 0.08 | 5.47 × 10−4 ± 6.30 × 10−6 | 
| 14 | 5.47 | Salicylic acid | Y = 2.891 × 105X | 0.9987 | 116.68 ± 6.67 | 9.41 × 10−3 ± 5.38 × 10−4 | 
| 15 | 5.58 | Trans-Ferulic acid | Y = 8.546 × 104X | 0.9971 | 2.24 × 103 ± 30.79 | 0.18 ± 2.48 × 10−3 | 
| 16 | 5.63 | Sinapic Acid | Y = 1.211 × 105X | 0.9961 | 122.66 ± 4.69 | 9.89 × 10−3 ± 3.78 × 10−4 | 
| 17 | 5.93 | Benzoic acid | Y = 7.26 × 104X | 0.9970 | 3.15 × 103 ± 124.93 | 0.25 ± 0.01 | 
| 18 | 7.04 | Hydrocinnamic acid | Y = 9.492 × 104X | 0.9986 | 0.91 ± 0.03 | 7.38 × 10−5 ± 2.12 × 10−6 | 
| 19 | 7.14 | Trans-Cinnamic acid | Y = 7.65 × 104X | 0.9987 | 82.03 ± 1.89 | 6.62 × 10−3 ± 1.53 × 10−4 | 
| Total other phenolic acid compounds | 10.95 ± 0.09 | |||||
| Total PAs | 85.65 ± 1.77 | |||||
| Publisher’s Note: MDPI stays neutral with regard to jurisdictional claims in published maps and institutional affiliations. | 
© 2022 by the authors. Licensee MDPI, Basel, Switzerland. This article is an open access article distributed under the terms and conditions of the Creative Commons Attribution (CC BY) license (https://creativecommons.org/licenses/by/4.0/).
Share and Cite
Zhang, Y.; Sun, J.; Zhao, L.; Niu, F.; Yue, R.; Zhu, H.; Zhang, W.; Ma, C. Protective Effect of Sweetpotato (Ipomoea batatas L.) Leaf Phenolic Acids Extract on IL-1β-Induced Barrier Injury of Caco-2 Monolayers. Processes 2022, 10, 2211. https://doi.org/10.3390/pr10112211
Zhang Y, Sun J, Zhao L, Niu F, Yue R, Zhu H, Zhang W, Ma C. Protective Effect of Sweetpotato (Ipomoea batatas L.) Leaf Phenolic Acids Extract on IL-1β-Induced Barrier Injury of Caco-2 Monolayers. Processes. 2022; 10(11):2211. https://doi.org/10.3390/pr10112211
Chicago/Turabian StyleZhang, Yi, Jian Sun, Lu Zhao, Fuxiang Niu, Ruixue Yue, Hong Zhu, Wenting Zhang, and Chen Ma. 2022. "Protective Effect of Sweetpotato (Ipomoea batatas L.) Leaf Phenolic Acids Extract on IL-1β-Induced Barrier Injury of Caco-2 Monolayers" Processes 10, no. 11: 2211. https://doi.org/10.3390/pr10112211
APA StyleZhang, Y., Sun, J., Zhao, L., Niu, F., Yue, R., Zhu, H., Zhang, W., & Ma, C. (2022). Protective Effect of Sweetpotato (Ipomoea batatas L.) Leaf Phenolic Acids Extract on IL-1β-Induced Barrier Injury of Caco-2 Monolayers. Processes, 10(11), 2211. https://doi.org/10.3390/pr10112211
 
        




 
       