Apophyseal Avulsion of the Rectus Femoris Tendon Origin in Adolescent Soccer Players
Abstract
:1. Introduction
2. Materials and Methods
2.1. Patients
2.2. Assessment
2.3. WOMAC
2.4. Tegner Score
2.5. Data Analysis
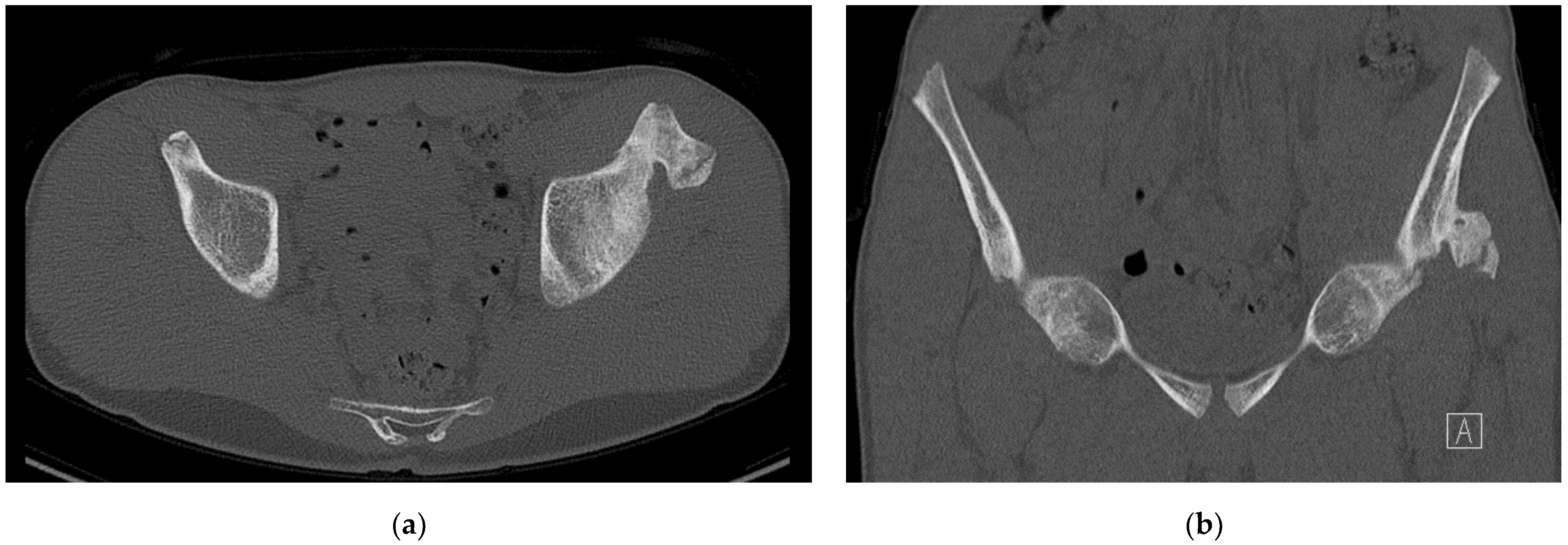
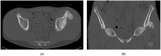
3. Results
3.1. Treatment
3.2. Outcomes
4. Discussion
5. Conclusions
Author Contributions
Funding
Institutional Review Board Statement
Informed Consent Statement
Data Availability Statement
Conflicts of Interest
References
- Vandervliet, E.J.M.; Vanhoenacker, F.M.; Snoeckx, A.; Gielen, J.L.; Van Dyck, P.; Parizel, P.M. Sports-related acute and chronic avulsion injuries in children and adolescents with special emphasis on tennis. Br. J. Sports Med. 2007, 41, 827–831. [Google Scholar] [CrossRef] [PubMed]
- Parvaresh, K.C.; Upasani, V.V.; Bomar, J.D.; Pennock, A.T. Secondary Ossification Center Appearance and Closure in the Pelvis and Proximal Femur. J. Pediatr. Orthop. 2018, 38, 418–423. [Google Scholar] [CrossRef] [PubMed]
- Eberbach, H.; Hohloch, L.; Feucht, M.J.; Konstantinidis, L.; Südkamp, N.P.; Zwingmann, J. Operative versus conservative treatment of apophyseal avulsion fractures of the pelvis in the adolescents: A systematical review with meta-analysis of clinical outcome and return to sports. BMC Musculoskelet. Disord. 2017, 18, 162. [Google Scholar] [CrossRef] [PubMed] [Green Version]
- Schuett, D.J.; Bomar, J.D.; Pennock, A.T. Pelvic Apophyseal Avulsion Fractures: A Retrospective Review of 228 Cases. J. Pediatr. Orthop. 2015, 35, 617–623. [Google Scholar] [CrossRef] [PubMed]
- Moeller, J.L.; Galasso, L. Pelvic Region Avulsion Fractures in Adolescent Athletes: A Series of 242 Cases. Clin. J. Sport Med. 2020, 22, e23–e29. [Google Scholar] [CrossRef]
- Rossi, F.; Dragoni, S. Acute avulsion fractures of the pelvis in adolescent competitive athletes: Prevalence, location and sports distribution of 203 cases collected. Skelet. Radiol. 2001, 30, 127–131. [Google Scholar] [CrossRef]
- Oldenburg, F.P.; Smith, M.V.; Thompson, G.H. Simultaneous Ipsilateral Avulsion of the Anterior Superior and Anterior Inferior Iliac Spines in an Adolescent. J. Pediatr. Orthop. 2009, 29, 29–30. [Google Scholar] [CrossRef]
- McKinney, B.I.; Nelson, C.; Carrion, W. Apophyseal Avulsion Fractures of the Hip and Pelvis. Orthopedics 2009, 32, 42. [Google Scholar] [CrossRef]
- Metzmaker, J.N.; Pappas, A.M. Avulsion fractures of the pelvis. Am. J. Sports Med. 1985, 13, 349–358. [Google Scholar] [CrossRef]
- Serbest, S.; Tosun, H.B.; Tiftikçi, U.; Oktas, B.; Kesgin, E. Anterior Inferior Iliac Spine Avulsion Fracture: A Series of 5 Cases. Medicine 2015, 94, e562. [Google Scholar] [CrossRef]
- Roorda, L.D.; Jones, C.A.; Waltz, M.; Lankhorst, G.J.; Bouter, L.M.; Van Der Eijken, J.W.; Willems, W.J.; Heyligers, I.C.; Voaklander, D.C.; Kelly, K.D.; et al. Satisfactory cross cultural equivalence of the Dutch WOMAC in patients with hip osteoarthritis waiting for arthroplasty. Ann. Rheum. Dis. 2004, 63, 36–42. [Google Scholar] [CrossRef] [PubMed]
- McConnell, S.; Kolopack, P.; Davis, A. The Western Ontario and McMaster Universities Osteoarthritis Index (WOMAC): A review of its utility and measurement properties. Arthritis Care Res. 2001, 45, 453–461. [Google Scholar] [CrossRef]
- Suryavanshi, J.R.; Goto, R.; Jivanelli, B.; PRiSM Outcomes Measures Research Interest Group; Aberdeen, J.; Duer, T.; Lam, K.C.; Franklin, C.C.; Macdonald, J.; Shea, K.G.; et al. Age-Appropriate Pediatric Sports Patient-Reported Outcome Measures and Their Psychometric Properties: A Systematic Review. Am. J. Sports Med. 2019, 47, 3270–3276. [Google Scholar] [CrossRef] [PubMed]
- Tegner, Y.; Lysholm, J. Rating systems in the evaluation of knee ligament injuries. Clin. Orthop. Relat. Res. 1985, 198, 43–49. [Google Scholar] [CrossRef]
- Carr, J.B., 2nd; Conte, E.; Rajadhyaksha, E.A.; Laroche, K.A.; Gwathmey, F.W.; Carson, E.W. Operative Fixation of an Anterior Inferior Iliac Spine Apophyseal Avulsion Fracture Nonunion in an Adolescent Soccer Player: A Case Report. JBJS Case Connect. 2017, 7, e29. [Google Scholar] [CrossRef]
- Sinikumpu, J.-J.; Hetsroni, I.; Schilders, E.; Lempainen, L.; Serlo, W.; Orava, S. Operative treatment of pelvic apophyseal avulsions in adolescent and young adult athletes: A follow-up study. Eur. J. Orthop. Surg. Traumatol. 2017, 28, 423–429. [Google Scholar] [CrossRef] [PubMed]
- Foote, C.J.; Maizlin, Z.V.; Shrouder, J.; Grant, M.M.; Bedi, A.; Ayeni, O.R. The Association Between Avulsions of the Reflected Head of the Rectus Femoris and Labral Tears: A retrospective study. J. Pediatr. Orthop. 2013, 33, 227–231. [Google Scholar] [CrossRef] [PubMed]
- Lambrechts, M.J.; Gray, A.D.; Hoernschemeyer, D.G.; Gupta, S.K. Hip Impingement after Anterior Inferior Iliac Spine Avulsion Fractures: A Case Report with Review of the Literature. Case Rep. Orthop. 2020, 2020, 8893062. [Google Scholar] [CrossRef]
- Resnick, J.M.; Carrasco, C.H.; Edeiken, J.; Yasko, A.W.; Ro, J.Y.; Ayala, A.G. Avulsion fracture of the anterior inferior iliac spine with abundant reactive ossification in the soft tissue. Skelet. Radiol. 1996, 25, 580–584. [Google Scholar] [CrossRef]
- Karakas, H.M.; Alicioglu, B.; Erdem, G. Bilateral Anterior Inferior Iliac Spine Avulsion in an Adolescent Soccer Player: A Typical Imitator of Malignant Bone Lesions. South. Med. J. 2009, 102, 758–760. [Google Scholar] [CrossRef]
- Knobloch, K.; Krämer, R.; Sommer, K.; Gänsslen, A.; Vogt, P.M. Avulsion injuries of the anterior inferior iliac spine among soccer players—A differential diagnosis to neoplasm decades following the trauma. Sportverletz. Sportschaden 2007, 21, 152–156. [Google Scholar] [CrossRef]
- Incedayi, M.; Ozyurek, S.; Aribal, S.; Keklikci, K.; Sonmez, G. Avulsion Fracture of the Anterior Inferior Iliac Spine Mimicking a Bone Tumor: A Case Report. Oman Med. J. 2014, 29, 220–222. [Google Scholar] [CrossRef] [PubMed]
- Lasky-McFarlin, C.; Thomas, M.; Newman, J.; Thorpe, D. Lack of Abdominal Stability and Control as a Possible Contributor to Rectus Femoris Avulsion Fracture in the Adolescent Soccer Player: A Case Report. Pediatr. Phys. Ther. 2020, 33, E15–E22. [Google Scholar] [CrossRef] [PubMed]
- Delgado, J.; Jaramillo, D.; Chauvin, N.A. Imaging the Injured Pediatric Athlete: Upper Extremity. RadioGraphics 2016, 36, 1672–1687. [Google Scholar] [CrossRef] [PubMed] [Green Version]
- Calderazzi, F.; Nosenzo, A.; Galavotti, C.; Menozzi, M.; Pogliacomi, F.; Ceccarelli, F. Apophyseal avulsion fractures of the pelvis. A review. Acta Biomed. 2018, 89, 470–476. [Google Scholar] [CrossRef] [PubMed]
- Yeager, K.C.; Silva, S.R.; Richter, D.L. Pelvic Avulsion Injuries in the Adolescent Athlete. Clin. Sports Med. 2021, 40, 375–384. [Google Scholar] [CrossRef] [PubMed]



| Case | Age | Gender | Side | Previous Symptoms | Trauma Mechanism | Diagnosis | Displacement from AIIS | Time to RtS (Months) |
|---|---|---|---|---|---|---|---|---|
| 1 | 12 | Male | R | None | Kicking a ball | X | 5 mm | NA |
| 2 | 13 | Male | R | None | Kicking a ball | X/CT | 15 mm | 3 |
| 3 | 13 | Male | R | None | Kicking a ball | X/US | 0 mm | 2 |
| 4 | 13 | Male | L + R | Yes | No trauma | X | 0 mm | Unknown * |
| 5 | 15 | Male | R | None | Kicking a ball | X | 8 mm | 2 |
| 6 | 16 | Male | L | None | Fall on knee | X/MRI | 10 mm | 3 |
| 7 | 17 | Male | L | Yes | Jump | X/CT | 10 mm | 3 |
| Case | WOMAC Pain | WOMAC Joint | WOMAC ph.F | WOMAC Total | Tegner Score | FU (m) |
|---|---|---|---|---|---|---|
| 1 | 100 | 100 | 100 | 100 | 6 | 45 |
| 2 | 95 | 100 | 88 | 91 | 9 | 18 |
| 3 | 100 | 100 | 100 | 100 | 9 | 43 |
| 4 | 100 | 100 | 100 | 100 | 9 | 34 |
| 6 | 100 | 100 | 100 | 100 | 9 | 20 |
| 7 | 100 | 100 | 100 | 100 | 5 | 31 |
Publisher’s Note: MDPI stays neutral with regard to jurisdictional claims in published maps and institutional affiliations. |
© 2022 by the authors. Licensee MDPI, Basel, Switzerland. This article is an open access article distributed under the terms and conditions of the Creative Commons Attribution (CC BY) license (https://creativecommons.org/licenses/by/4.0/).
Share and Cite
Weel, H.; Joosten, A.J.P.; van Bergen, C.J.A. Apophyseal Avulsion of the Rectus Femoris Tendon Origin in Adolescent Soccer Players. Children 2022, 9, 1016. https://doi.org/10.3390/children9071016
Weel H, Joosten AJP, van Bergen CJA. Apophyseal Avulsion of the Rectus Femoris Tendon Origin in Adolescent Soccer Players. Children. 2022; 9(7):1016. https://doi.org/10.3390/children9071016
Chicago/Turabian StyleWeel, Hanneke, A. J. Peter Joosten, and Christiaan J. A. van Bergen. 2022. "Apophyseal Avulsion of the Rectus Femoris Tendon Origin in Adolescent Soccer Players" Children 9, no. 7: 1016. https://doi.org/10.3390/children9071016
APA StyleWeel, H., Joosten, A. J. P., & van Bergen, C. J. A. (2022). Apophyseal Avulsion of the Rectus Femoris Tendon Origin in Adolescent Soccer Players. Children, 9(7), 1016. https://doi.org/10.3390/children9071016

