Point of Care Ultrasound Identification of Multiple Rib Fractures in a Pediatric Patient with Osteogenesis Imperfecta Type 3
Abstract
:1. Introduction
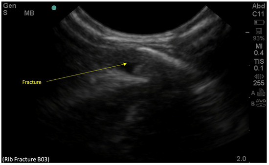
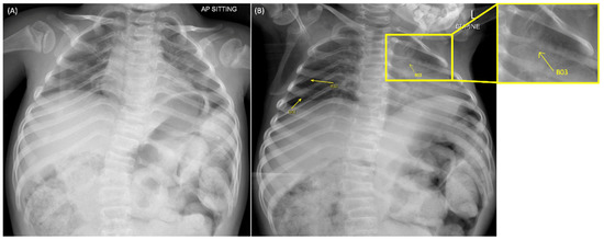
2. Case Presentation
3. Discussion
4. Conclusions
Author Contributions
Funding
Institutional Review Board Statement
Informed Consent Statement
Data Availability Statement
Conflicts of Interest
References
- Paine, C.W.; Fakeye, O.; Christian, C.W.; Wood, J.N. Prevalence of Abuse among Young Children with Rib Fractures: A Systematic Review. Pediatr. Emerg. Care 2019, 35, 96–103. [Google Scholar] [CrossRef] [PubMed]
- Roux, P.; Fisher, R.M. Chest injuries in children: An analysis of 100 cases of blunt chest trauma from motor vehicle accidents. J. Pediatr. Surg. 1992, 27, 551–555. [Google Scholar] [CrossRef]
- Folkestad, L.; Hald, J.D.; Ersbøll, A.K.; Gram, J.; Hermann, A.P.; Langdahl, B.; Abrahamsen, B.; Brixen, K. Fracture Rates and Fracture Sites in Patients with Osteogenesis Imperfecta: A Nationwide Register-Based Cohort Study. J. Bone Miner. Res. 2017, 32, 125–134. [Google Scholar] [CrossRef] [Green Version]
- Ekşioğlu, F.; Altinok, D.; Uslu, M.M.; Güdemez, E. Ultrasonographic findings in pediatric fractures. Turk. J. Pediatr. 2003, 45, 136–140. [Google Scholar] [PubMed]
- Griffith, J.F.; Rainer, T.H.; Ching, A.S.; Law, K.L.; Cocks, R.A.; Metreweli, C. Sonography compared with radiography in revealing acute rib fracture. AJR Am. J. Roentgenol. 1999, 173, 1603–1609. [Google Scholar] [CrossRef] [PubMed]
- Riccardi, A.; Spinola, M.B.; Ghiglione, V.; Licenziato, M.; Lerza, R. PoCUS evaluating blunt thoracic trauma: A retrospective analysis of 18 months of emergency department activity. Eur. J. Orthop. Surg. Traumatol. 2019, 29, 31–35. [Google Scholar] [CrossRef] [PubMed]
- Kara, M.; Dikmen, E.; Erdal, H.H.; Simsir, I.; Kara, S.A. Disclosure of unnoticed rib fractures with the use of ultrasonography in minor blunt chest trauma. Eur. J. Cardiothorac. Surg. 2003, 24, 608–613. [Google Scholar] [CrossRef] [Green Version]
- Pishbin, E.; Ahmadi, K.; Foogardi, M.; Salehi, M.; Seilanian Toosi, F.; Rahimi-Movaghar, V. Comparison of ultrasonography and radiography in diagnosis of rib fractures. Chin. J. Traumatol. 2017, 20, 226–228. [Google Scholar] [CrossRef] [PubMed]
- Yousefifard, M.; Baikpour, M.; Ghelichkhani, P.; Asady, H.; Darafarin, A.; Esfahani, M.R.A.; Hosseini, M.; Yaseri, M.; Safari, S. Comparison of Ultrasonography and Radiography in Detection of Thoracic Bone Fractures; a Systematic Review and Meta-Analysis. Emergency 2016, 4, 55–64. [Google Scholar] [PubMed]
- Linet, M.S.; Kim, K.P.; Rajaraman, P. Children’s exposure to diagnostic medical radiation and cancer risk: Epidemiologic and dosimetric considerations. Pediatr. Radiol. 2009, 39, 4–26. [Google Scholar] [CrossRef] [PubMed] [Green Version]
- Perchik, J.D.; Murphy, R.P.; Kelly, D.M.; Sawyer, J.R. Radiation exposure in adult and pediatric patients with osteogenesis imperfecta. J. Orthop. 2019, 22, 320–324. [Google Scholar] [CrossRef] [PubMed]
- Thorby-Lister, A.; Högler, W.; Hodgson, K.; Crabtree, N.; Nightingale, P.; Shaw, N.; Saraff, V. Cumulative radiation exposure from medical imaging and associated lifetime cancer risk in children with osteogenesis imperfecta. Bone 2018, 114, 252–256. [Google Scholar] [CrossRef] [PubMed] [Green Version]
- Baier, W.; Norman, D.G.; Williams, M.A. Micro-CT for the examination of paediatric rib injuries: A case series. Forensic Sci. Int. 2021, 325, 110789. [Google Scholar] [CrossRef] [PubMed]
- Canavese, F.; Samba, A.; Rousset, M. Pathological fractures in children: Diagnosis and treatment options. Orthop. Traumatol. Surg. Res. 2016, 102 (Suppl. S1), S149–S159. [Google Scholar] [CrossRef] [PubMed]
- Forbes-Amrhein, M.M.; Gensel, A.J.; Cooper, M.L.; Karmazyn, B. Multi-modality imaging characteristics of costochondral fractures, a highly specific rib fracture for child abuse. Pediatr. Radiol. 2022, 52, 910–923. [Google Scholar] [CrossRef] [PubMed]



Publisher’s Note: MDPI stays neutral with regard to jurisdictional claims in published maps and institutional affiliations. |
© 2022 by the authors. Licensee MDPI, Basel, Switzerland. This article is an open access article distributed under the terms and conditions of the Creative Commons Attribution (CC BY) license (https://creativecommons.org/licenses/by/4.0/).
Share and Cite
Quek, S.E.; James, V.; Castillo, L.; Tan, R.M.R.; Ong, G.Y.-K. Point of Care Ultrasound Identification of Multiple Rib Fractures in a Pediatric Patient with Osteogenesis Imperfecta Type 3. Children 2022, 9, 864. https://doi.org/10.3390/children9060864
Quek SE, James V, Castillo L, Tan RMR, Ong GY-K. Point of Care Ultrasound Identification of Multiple Rib Fractures in a Pediatric Patient with Osteogenesis Imperfecta Type 3. Children. 2022; 9(6):864. https://doi.org/10.3390/children9060864
Chicago/Turabian StyleQuek, Samuel Enci, Vigil James, Leodivica Castillo, Ronald Ming Ren Tan, and Gene Yong-Kwang Ong. 2022. "Point of Care Ultrasound Identification of Multiple Rib Fractures in a Pediatric Patient with Osteogenesis Imperfecta Type 3" Children 9, no. 6: 864. https://doi.org/10.3390/children9060864
APA StyleQuek, S. E., James, V., Castillo, L., Tan, R. M. R., & Ong, G. Y.-K. (2022). Point of Care Ultrasound Identification of Multiple Rib Fractures in a Pediatric Patient with Osteogenesis Imperfecta Type 3. Children, 9(6), 864. https://doi.org/10.3390/children9060864

