Pleuropulmonary MDCT Findings: Comparison between Children with Pulmonary Vein Stenosis and Prematurity-Related Lung Disease
Abstract
:1. Introduction
2. Methods
2.1. Institutional Review Board Approval
2.2. Patient Population
2.3. Prematurity and Pulmonary Vein Stenosis Diagnostic Criteria
2.4. Thoracic MDCT Technical Factors
2.4.1. Types of MDCT Scanners
2.4.2. Thoracic MDCT Technical Parameters
2.5. Thoracic MDCT Image Review
2.6. Thoracic MDCT Study Image Assessment
2.7. Statistical Analysis
3. Results
3.1. Patient Population Characterization
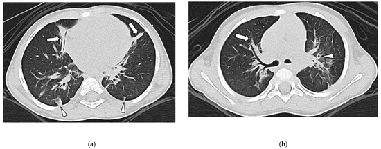
3.2. Thoracic MDCT Findings
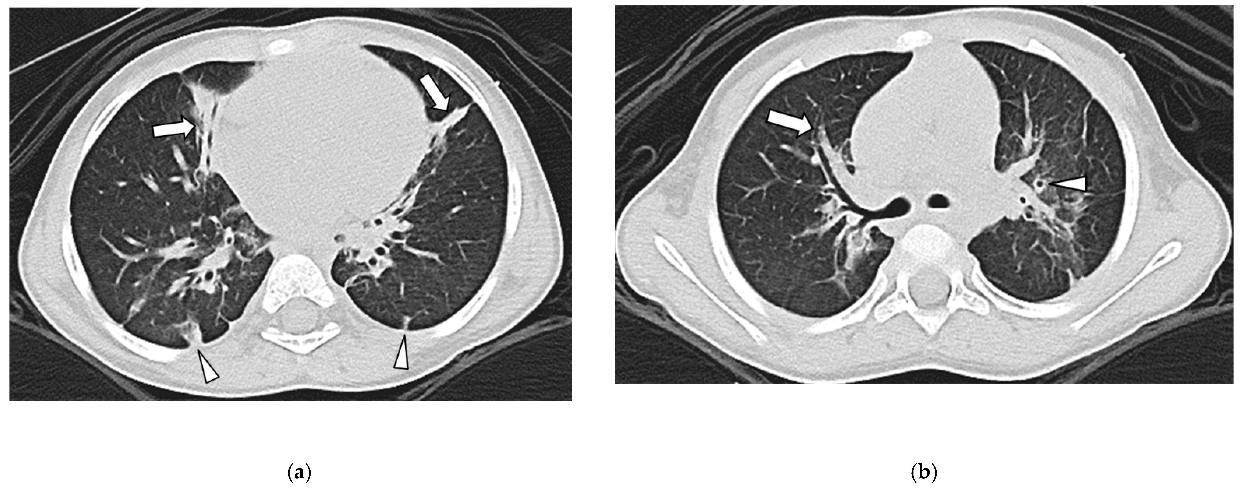
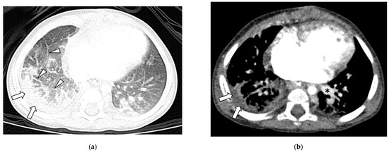
3.3. Lung Findings
3.4. Airway Findings
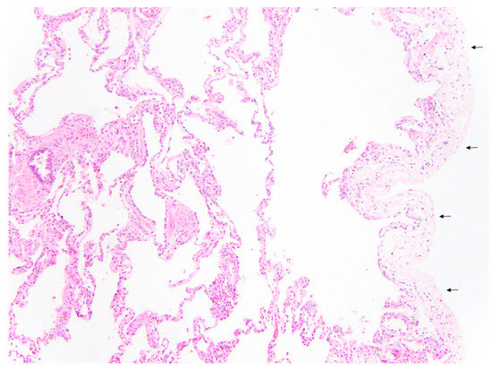
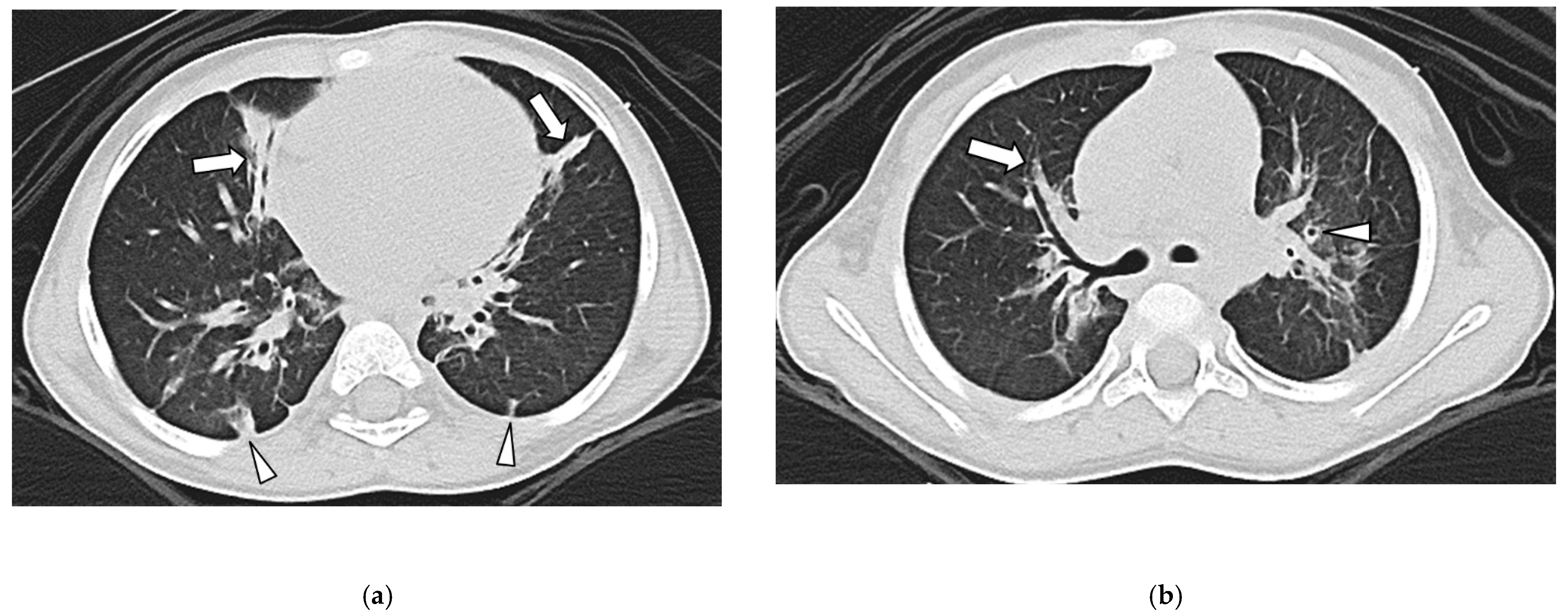
3.5. Pleural Findings
3.6. Interobserver Agreement
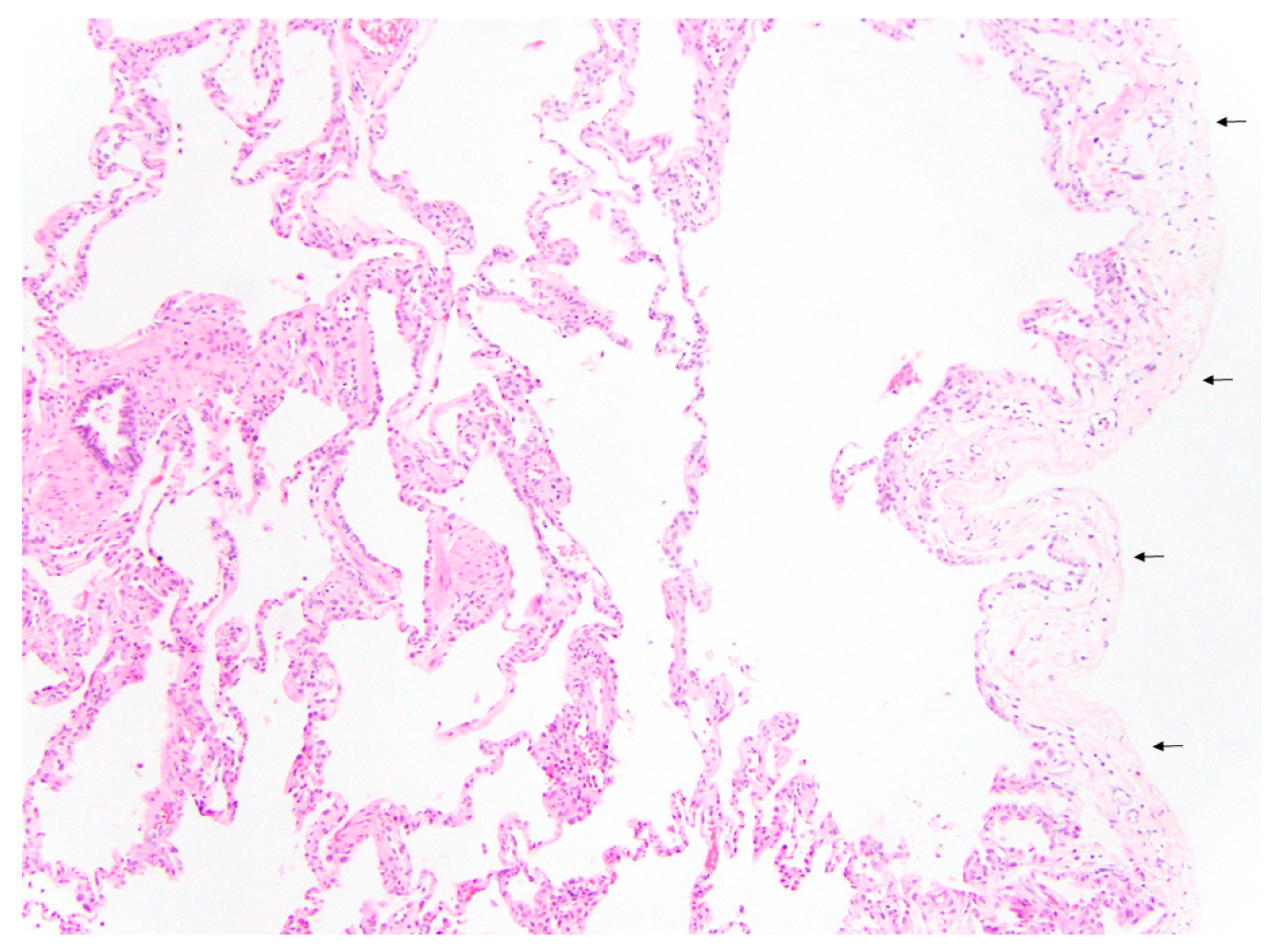
4. Discussion
Author Contributions
Funding
Institutional Review Board Statement
Informed Consent Statement
Conflicts of Interest
References
- Humpl, T.; Fineman, J.; Qureshi, A.M. The many faces and outcomes of pulmonary vein stenosis in early childhood. Pediatr. Pulmonol. 2020, 56, 649–655. [Google Scholar] [CrossRef] [PubMed]
- Backes, C.H.; Nealon, E.; Armstron, A.K.; Cua, C.L.; Mitchell, C.; Krishnan, U.; Vanderlaan, R.D.; Song, M.K.; Viola, N.; Smith, C.V.; et al. Pulmonary vein stenosis in infants: A systemic review, meta-analysis, and meta-regression. J Pediatr. 2018, 198, 36–45. [Google Scholar] [CrossRef] [PubMed]
- Frank, D.B.; Levy, P.T.; Stiver, C.A.; Boe, B.A.; Baird, C.W.; Callahan, R.M.; Smith, C.V.; Vanderlaan, R.D.; Backes, C.H. Primary pulmonary vein stenosis during infancy: State of the art review. J. Perinatol. 2021, 41, 1528–1539. [Google Scholar] [CrossRef]
- Suntharos, P.; Prieto, L.R. Treatment of Congenital and Acquired Pulmonary Vein Stenosis. Curr. Cardiol. Rep. 2020, 22, 153. [Google Scholar] [CrossRef]
- Samuel, M.; Khairy, P.; Mongeon, F.-P.; Andrade, J.G.; Gomes, S.; Galvan, Z.; Weerasooriya, R.; Novak, P.; Nault, I.; Arentz, T.; et al. Pulmonary Vein Stenosis After Atrial Fibrillation Ablation: Insights from the ADVICE Trial. Can. J. Cardiol. 2020, 36, 1965–1974. [Google Scholar] [CrossRef] [PubMed]
- Edriss, H.; Denega, T.; Test, V.; Nugent, K. Pulmonary vein stenosis complicating radiofrequency catheter ablation for atrial fibrillation: A literature review. Respir. Med. 2016, 117, 215–222. [Google Scholar] [CrossRef] [PubMed]
- Swier, N.L.; Richards, B.; Cua, C.L.; Lynch, S.K.; Yin, H.; Nelin, L.D.; Smith, C.V.; Backes, C.H. Pulmonary Vein Stenosis in Neonates with Severe Bronchopulmonary Dysplasia. Am. J. Perinatol. 2016, 33, 671–677. [Google Scholar] [CrossRef] [PubMed]
- Choi, C.; Gauvreau, K.; Levy, P.; Callahan, R.; Jenkins, K.J.; Chen, M. Longer Exposure to Left-to-Right Shunts Is a Risk Factor for Pulmonary Vein Stenosis in Patients with Trisomy 21. Children 2021, 8, 19. [Google Scholar] [CrossRef] [PubMed]
- Kovach, A.E.; Magcalas, P.M.; Ireland, C.; McEnany, K.; Oliveira, A.M.; Kieran, M.W.; Baird, C.W.; Jenkins, K.; Vargas, S.O. Paucicellular fibrointimal proliferation characterizes pediatric pulmonary vein stenosis: Clinicopathologic analysis of 213 samples from 97 patients. Am. J. Surg. Pathol. 2017, 41, 1198–1204. [Google Scholar] [CrossRef]
- Pogoriler, J.E.; Kulik, T.J.; Casey, A.M.; Baird, C.W.; Mullen, M.P.; Jenkins, K.J.; Vargas, S.O. Lung Pathology in Pediatric Pulmonary Vein Stenosis. Pediatr. Dev. Pathol. 2016, 19, 219–229. [Google Scholar] [CrossRef]
- Razek, A.A.K.A.; Marsafawy, H.; Elmansy, M.; Latif, M.A.; Sobh, D. Computed tomography angiography and magnetic resonance angiography of congenital anomalies of pulmonary veins. J. Comput. Assist. Tomogr. 2019, 43, 399–405. [Google Scholar] [CrossRef]
- Hassani, C.; Saremi, F. Comprehensive Cross-sectional Imaging of the Pulmonary Veins. RadioGraphics 2017, 37, 1928–1954. [Google Scholar] [CrossRef] [PubMed]
- Restrepo, C.S.; Vargas, D.; Martínez-Jiménez, S.; Ocazionez, D. Post-operative imaging of pulmonary vessels. Cardiovasc. Diagn. Ther. 2018, 8, 362–371. [Google Scholar] [CrossRef] [PubMed]
- Lee, E.Y.; Dorkin, H.; Vargas, S.O. Congenital Pulmonary Malformations in Pediatric Patients: Review and Update on Etiology, Classification, and Imaging Findings. Radiol. Clin. N. Am. 2011, 49, 921–948. [Google Scholar] [CrossRef] [PubMed]
- Lee, E.Y.; Jenkins, K.J.; Muneeb, M.; Marshall, A.C.; Tracy, D.A.; Zurakowski, D.; Boiselle, P.M. Proximal pulmonary vein stenosis detection in pediatric patients: Value of multiplanar and 3-D VR imaging evaluation. Pediatr. Radiol. 2013, 43, 929–936. [Google Scholar] [CrossRef] [PubMed]
- Lee, E.; Callahan, R.; Vargas, S.; Jenkins, K.; Park, H.; Gauthier, Z.; Winant, A. Extravascular MDCT Findings of Pulmonary Vein Stenosis in Children with Cardiac Septal Defect. Children 2021, 8, 667. [Google Scholar] [CrossRef]
- Lee, E.Y.; Jenkins, K.J.; Vargas, S.O.; Callahan, R.; Park, H.J.; Gauthier, Z.; Winant, A.J. Thoracic multidetector computed tomography angiography of primary pulmonary vein stenosis in children: Evaluation of characteristic extravascular findings. J. Thorac. Imaging 2021, 36, 318–325. [Google Scholar] [CrossRef] [PubMed]
- Lee, E.Y.; Vargas, S.O.; Jenkins, K.J.; Callahan, R.; Park, H.J.; Gauthier, Z.; Winant, A.J. Secondary Pulmonary Vein Stenosis Due to Total Anomalous Pulmonary Venous Connection Repair in Children: Extravascular MDCT Findings. Children 2021, 8, 726. [Google Scholar] [CrossRef] [PubMed]
- Liszewski, M.C.; Lee, E.Y. Neonatal Lung Disorders: Pattern Recognition Approach to Diagnosis. Am. J. Roentgenol. 2018, 210, 964–975. [Google Scholar] [CrossRef]
- Carrico, F.; Gurioli, C.; Piciucchi, S.; Dubini, A.; Tomassetti, S.; Poletti, V. Pulmonary vein stenosis mimicking interstitial lung disease. Pulmonology 2021, 27, 584–589. [Google Scholar] [CrossRef] [PubMed]
- Rosenblum, J.M.; Altin, H.F.; Gillespie, S.E.; Bauser-Heaton, H.; Kanter, K.A.; Sinha, R.; Cory, M.; Alsoufi, B. Management outcomes of primary pulmonary vein stenosis. J. Thorac. Cardiovasc. Surg. 2019, 159, 1029–1036. [Google Scholar] [CrossRef] [PubMed]
- Preterm Labor and Birth: Condition Information; National Institutes of Health, 2015. Available online: https://www.nichd.nih.gov/health/topics/preterm/conditioninfo/default (accessed on 5 December 2021).
- Hansell, D.M.; Bankier, A.A.; MacMahon, H.; McLoud, T.C.; Müller, N.L.; Remy, J. Fleischner Society: Glossary of Terms for Thoracic Imaging. Radiology 2008, 246, 697–722. [Google Scholar] [CrossRef] [PubMed] [Green Version]
- Lee, E.Y.; Khatwa, U.; McAdam, A.J.; Bastos, M.d.; Mahmood, S.A.; Ervoes, J.P.; Boiselle, P.M. Streptococcus milleri group pleuropulmonary infection in children: Computed to-mography findings and clinical features. J. Comput. Assist. Tomogr. 2010, 43, 927–932. [Google Scholar] [CrossRef] [PubMed]
- SAS Institute Inc. SAS/STAT® 14.1 User Guide; SAS Institute Inc.: Cary, NC, USA, 2015. [Google Scholar]
- Vanhaverbeke, K.; Van Eyck, A.; Van Hoorenbeeck, K.; De Winter, B.; Snoeckx, A.; Mulder, T.; Verhulst, S. Lung imaging in bronchopulmonary dysplasia: A systematic review. Respir. Med. 2020, 171, 106101. [Google Scholar] [CrossRef] [PubMed]
- Liszewski, M.C.; Laya, B.F.; Zucker, E.J.; Restrepo, R.; Lee, E.Y. Lung; Lee, E.Y., Ed.; Wolters Kluwer Press: Philadelphia, PA, USA, 2019; pp. 1–98. [Google Scholar]




| Types of Pleuropulmonary Thoracic MDCT Findings | Group 1 (PVS) Number (Percentage) of Abnormalities (n = 49) | Group 2 (PLD) Number (Percentage) of Abnormalities (n = 54) | p Value |
|---|---|---|---|
| Lung Findings | |||
| GGO | 39/49 (76%) | 45/54 (83%) | 0.800 |
| TOL | 0/49 (0%) | 43/54 (80%) | <0.001 |
| Consolidation | 0/49 (0%) | 8/54 (15%) | 0.531 |
| Nodule | 0/49 (0%) | 0/54 (0%) | 1.000 |
| Mass | 0/49 (0%) | 0/54 (0%) | 1.000 |
| Cyst(s) | 0/49 (0%) | 5/54 (9%) | 0.058 |
| Septal Thickening | 39/49 (76%) | 0/54 (0%) | <0.001 |
| Fibrosis | 0/49 (90%) | 0/54 (0%) | 1.00 |
| Airway Findings | |||
| Bronchial Wall Thickening | 0/49 (0%) | 33/54 (61%) | <0.001 |
| Bronchiectasis | 0/49 (0%) | 30/54 (56%) | <0.001 |
| Pleural Findings | |||
| Pleural Thickening | 44/49 (90%) | 2/54 (4%) | <0.001 |
| Pleural Effusion | 0/49 (0%) | 2/54 (4%) | 1.000 |
| Pneumothorax | 0/49 (0%) | 0/54 (0%) | 1.000 |
Publisher’s Note: MDPI stays neutral with regard to jurisdictional claims in published maps and institutional affiliations. |
© 2022 by the authors. Licensee MDPI, Basel, Switzerland. This article is an open access article distributed under the terms and conditions of the Creative Commons Attribution (CC BY) license (https://creativecommons.org/licenses/by/4.0/).
Share and Cite
Winant, A.J.; Vargas, S.O.; Jenkins, K.J.; Callahan, R.; Rameh, V.; Krone, K.A.; Johnston, P.R.; Keochakian, M.L.; Lee, E.Y. Pleuropulmonary MDCT Findings: Comparison between Children with Pulmonary Vein Stenosis and Prematurity-Related Lung Disease. Children 2022, 9, 355. https://doi.org/10.3390/children9030355
Winant AJ, Vargas SO, Jenkins KJ, Callahan R, Rameh V, Krone KA, Johnston PR, Keochakian ML, Lee EY. Pleuropulmonary MDCT Findings: Comparison between Children with Pulmonary Vein Stenosis and Prematurity-Related Lung Disease. Children. 2022; 9(3):355. https://doi.org/10.3390/children9030355
Chicago/Turabian StyleWinant, Abbey J., Sara O. Vargas, Kathy J. Jenkins, Ryan Callahan, Vanessa Rameh, Katie A. Krone, Patrick R. Johnston, Mirjam L. Keochakian, and Edward Y. Lee. 2022. "Pleuropulmonary MDCT Findings: Comparison between Children with Pulmonary Vein Stenosis and Prematurity-Related Lung Disease" Children 9, no. 3: 355. https://doi.org/10.3390/children9030355
APA StyleWinant, A. J., Vargas, S. O., Jenkins, K. J., Callahan, R., Rameh, V., Krone, K. A., Johnston, P. R., Keochakian, M. L., & Lee, E. Y. (2022). Pleuropulmonary MDCT Findings: Comparison between Children with Pulmonary Vein Stenosis and Prematurity-Related Lung Disease. Children, 9(3), 355. https://doi.org/10.3390/children9030355

