Tibial Tubercle Avulsion Fracture in Young Athletes Surgically Treated: Mid-Long Term Result and Comparison
Abstract
1. Introduction
2. Materials and Methods
2.1. Objective
2.2. Study Population
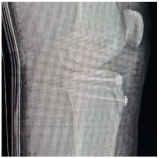
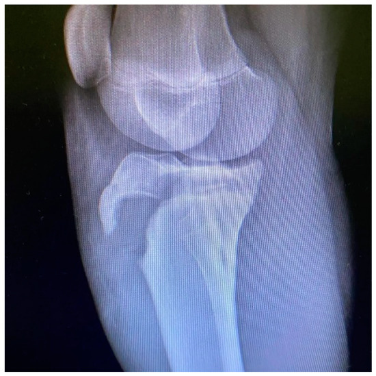
2.3. Surgical Treatment and Complications
2.4. Rehabilitation Protocol
- -
- 0–3 weeks: Flexion allowed 0–45°, full weight bearing using a locking knee brace at 0° and isometric reinforcement.
- -
- 4–6 weeks: flexion allowed 0–90°, full weight bearing using a locking knee brace at 0–60° and isometric reinforcement
- -
- 7–12 weeks: Full flexion, full weight bearing, intensive muscle exercise
- -
- From 12th week: Return to playing sport
2.5. Instrumentation
2.6. Acquisition Protocol
- The extension of the leg held for one minute to evaluate the maximum voluntary contraction: the patient was placed on a raised couch so that his or her feet did not touch the floor. The patient had to perform the extension of both legs (first the operated leg and then the healthy leg). The chosen leg was blocked using an obstacle that prevented full extension of the leg but allowed for maximum voluntary contraction; the operator was careful to ensure that the patient exerted maximum force equally throughout the entire minute.
- Single-leg squat (also known as “pistol squat”) repeated three times with a pause between each squat: the patient was positioned lateral to the camera. During the execution of the task, the subject must stand upright with feet shoulder-width apart, shift the weight onto one leg while lifting the other leg slightly off the ground, and extend the arms forward for balance. After setting the initial position, the subject is allowed to slowly lower their body by bending the knee of the supporting leg and extending the non-supporting leg straight out in front of them as they descend. The task requires continuing lowering until the supporting thigh is parallel to the ground, or as low as the subject is capable without compromising form, pause briefly at the bottom of the squat, and push through the heel of the supporting leg to return to the starting position.
2.7. Biomechanical Data Processing
2.8. Statistical Analysis
3. Results
4. Discussion
5. Conclusions
Author Contributions
Funding
Institutional Review Board Statement
Informed Consent Statement
Data Availability Statement
Conflicts of Interest
References
- Frey, S.; Hosalkar, H.; Cameron, D.B.; Ganley, T.J. Tibial tuberosity fractures in adolescents. J. Child. Orthop. 2008, 2, 469–474. [Google Scholar] [CrossRef] [PubMed]
- Hamilton, S.W.; Gibson, P.H. Simultaneous bilateral avulsion fractures of the tibial tuberosity in adolescence: A case report and review of over 50 years of literature. Knee 2006, 13, 404–407. [Google Scholar] [CrossRef] [PubMed]
- Ogden, J.A.; Tross, R.B.; Murphy, M.J. Fractures of the tibial tuberosity in adolescents. J. Bone Jt. Surg. Am. 1980, 62, 205–215. [Google Scholar] [CrossRef]
- Chow, S.P.; Lam, J.J.; Leong, J.C. Fracture of the tibial tubercle in the adolescent. J. Bone Jt. Surg. Br. 1990, 72, 231–234. [Google Scholar] [CrossRef] [PubMed]
- Bertin, K.C.; Goble, E.M. Ligament injuries associated with physeal fractures about the knee. Clin. Orthop. Relat. Res. 1983, 177, 188–195. [Google Scholar] [CrossRef]
- Little, R.M.; Milewski, M.D. Physeal fractures about the knee. Curr. Rev. Musculoskelet. Med. 2016, 9, 478–486. [Google Scholar] [CrossRef] [PubMed]
- Pandya, N.K.; Edmonds, E.W.; Roocroft, J.H.; Mubarak, S.J. Tibial tubercle fractures: Complications, classification, and the need for intra-articular assessment. J. Pediatr. Orthop. 2012, 32, 749–759. [Google Scholar] [CrossRef] [PubMed]
- Tegner Velverton, M.D.; Lysholm Jack, M.D. Rating Systems in the Evaluation of Knee Ligament Injuries. Clin. Orthop. Relat. Res. 1985, 198, 42–49. [Google Scholar]
- Lysholm, J.; Gillquist, J. Evaluation of knee ligament surgery results with special emphasis on use of a scoring scale. Am. J. Sports Med. 1982, 10, 150–154. [Google Scholar] [CrossRef] [PubMed]
- Riccio, A.I.; Tulchin-Francis, K.; Hogue, G.D.; Wimberly, R.L.; Gill, C.S.; Collins, D.; Karol, L.A. Functional outcomes following operative treatment of tibial tubercle fractures. J. Pediatr. Orthop. 2019, 39, e108–e113. [Google Scholar] [CrossRef] [PubMed]
- Pretell-Mazzini, J.; Kelly, D.M.; Sawyer, J.R.; Esteban, E.M.; Spence, D.D.; Warner, W.C., Jr.; Beaty, J.H. Outcomes and complications of tibial tubercle fractures in pediatric patients: A systematic review of the literature. J. Pediatr. Orthop. 2016, 36, 440–446. [Google Scholar] [CrossRef] [PubMed]
- Haber, D.B.; Tepolt, F.A.; McClincy, M.P.; Hussain, Z.B.; Kalish, L.A.; Kocher, M.S. Tibial tubercle fractures in children and adolescents: A large retrospective case series. J. Pediatr. Orthop. B 2021, 30, 13–18. [Google Scholar] [CrossRef] [PubMed]
- Zrig, M.; Annabi, H.; Ammari, T.; Trabelsi, M.; Mbarek, M.; Ben Hassine, H. Acute tibial tubercle avulsion fractures in the sporting adolescent. Arch. Orthop. Trauma Surg. 2008, 128, 1437–1442. [Google Scholar] [CrossRef] [PubMed]
- Jakoi, A.; Freidl, M.; Old, A.; Javandel, M.; Tom, J.; Realyvasquez, J. Tibial tubercle avulsion fractures in adolescent basketball players. Orthopedics 2012, 35, 692–696. [Google Scholar] [CrossRef] [PubMed]
- Bolesta, M.J.; Fitch, R.D. Tibial tubercle avulsions. J. Ped. Orthop. 1986, 6, 186–192. [Google Scholar] [CrossRef] [PubMed]
- Reyes, C.D.; Wu, W.; Pandya, N.K. Adolescent Tibial Tubercle Fracture: Review of Outcomes and Complications. Curr. Rev. Musculoskelet. Med. 2023, 16, 392–397. [Google Scholar] [CrossRef] [PubMed] [PubMed Central]
- Taylor, R.M.; Sullivan, M.P.; Mehta, S. Acute compartment syndrome: Obtaining diagnosis, providing treatment, and minimizing medicolegal risk. Curr. Rev. Musculoskelet. Med. 2012, 5, 206–213. [Google Scholar] [CrossRef] [PubMed]









| Variable | Mean ± St. Dev. |
|---|---|
| Age (years) | 15.2 ± 1.1 |
| Time of the Injury (months) | 24.5 ± 7.5 |
| LYSHOLM | 95.5 ± 5.4 |
| TAS | 8.2 ± 2.7 |
| SF-12 | |
| PCS-12 | 54.6 ± 4.0 |
| MCS-12 | 60.7 ± 2.0 |
| EQ 5D Y | 91.7 ± 13.3 |
| Muscle | Operated Leg | Healthy Leg |
|---|---|---|
| RF [%] | 32.68 | 32.92 |
| VL [%] | 26.82 | 33.09 |
| VM [%] | 23.92 | 25.59 |
| ST [%] | 6.17 | 5.97 |
| Muscle | Operated Leg | HEALTHY LEG |
|---|---|---|
| RF [%] | 20.89 | 23.91 |
| VL [%] | 33.55 | 32.39 |
| VM [%] | 29.70 | 25.54 |
| ST [%] | 13.89 | 9.81 |
Disclaimer/Publisher’s Note: The statements, opinions and data contained in all publications are solely those of the individual author(s) and contributor(s) and not of MDPI and/or the editor(s). MDPI and/or the editor(s) disclaim responsibility for any injury to people or property resulting from any ideas, methods, instructions or products referred to in the content. |
© 2025 by the authors. Licensee MDPI, Basel, Switzerland. This article is an open access article distributed under the terms and conditions of the Creative Commons Attribution (CC BY) license (https://creativecommons.org/licenses/by/4.0/).
Share and Cite
Moretti, L.; Amati, C.; Geronimo, A.; Abbaticchio, A.M.; Miolla, M.P.; Dibello, D.; Solarino, G. Tibial Tubercle Avulsion Fracture in Young Athletes Surgically Treated: Mid-Long Term Result and Comparison. Children 2025, 12, 533. https://doi.org/10.3390/children12050533
Moretti L, Amati C, Geronimo A, Abbaticchio AM, Miolla MP, Dibello D, Solarino G. Tibial Tubercle Avulsion Fracture in Young Athletes Surgically Treated: Mid-Long Term Result and Comparison. Children. 2025; 12(5):533. https://doi.org/10.3390/children12050533
Chicago/Turabian StyleMoretti, Lorenzo, Carlo Amati, Alessandro Geronimo, Andrea Michele Abbaticchio, Maria Paola Miolla, Daniela Dibello, and Giuseppe Solarino. 2025. "Tibial Tubercle Avulsion Fracture in Young Athletes Surgically Treated: Mid-Long Term Result and Comparison" Children 12, no. 5: 533. https://doi.org/10.3390/children12050533
APA StyleMoretti, L., Amati, C., Geronimo, A., Abbaticchio, A. M., Miolla, M. P., Dibello, D., & Solarino, G. (2025). Tibial Tubercle Avulsion Fracture in Young Athletes Surgically Treated: Mid-Long Term Result and Comparison. Children, 12(5), 533. https://doi.org/10.3390/children12050533

