Pediatric Mesenteric Lipoma: Case Report and Narrative Literature Review
Abstract
1. Introduction
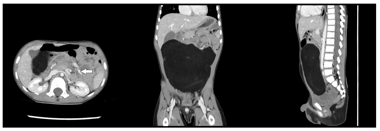
2. Case Presentation
3. Discussion
4. Conclusions
Author Contributions
Funding
Institutional Review Board Statement
Informed Consent Statement
Data Availability Statement
Conflicts of Interest
References
- Öztaş, T.; Asena, M. Mesenteric lipoma in a child: A case report. Pediatr. Acad. Case Rep. 2023, 2, 53–55. [Google Scholar] [CrossRef]
- Rwomurushaka, E.S.; Amsi, P.; Lodhia, J. Giant mesenteric lipoma in a pre-school child: A case report. J. Surg. Case Rep. 2024, 2024, rjae698. [Google Scholar] [CrossRef] [PubMed]
- Hashizume, N.; Aiko, T.; Fukahori, S.; Ishii, S.; Saikusa, N.; Koga, Y.; Higashidate, N.; Sakamoto, S.; Tsuruhisa, S.; Nakahara, H.; et al. Benign mesenteric lipomatous tumor in a child: A case report and literature review. Surg. Case Rep. 2020, 6, 243. [Google Scholar] [CrossRef]
- Azhar, M.; Zamir, N.; Jabbar, A. Giant Mesenteric Lipoma—A Rare Tumour of Paediatric Age. J. Ayub Med. Coll. Abbottabad 2021, 33, 339–340. [Google Scholar]
- Ilhan, H.; Tokar, B.; Isiksoy, S.; Koku, N. Pasaoglu, Ö. Giant mesenteric lipoma. J. Pediatr. Surg. 1999, 34, 639–640. [Google Scholar] [CrossRef]
- Tayeh, C.; Mneimneh, S.; El-Masri, R.; Daoud, N.; Rajab, M. Giant mesenteric lipoma: A case report and a review of the literature. J. Pediatr. Surg. Case Rep. 2015, 3, 166–170. [Google Scholar] [CrossRef]
- Malik, H.; Mirza, B.; Talat, N.; Zia, W.; Manzoor, A. Mesenteric Lipoma with Volvulus: A Rare Cause of Acute Abdomen in a Child. J. Coll. Physicians Surg. Pak. 2020, 30, 650–651. [Google Scholar] [CrossRef]
- Prince, T.C.; Shaffner, L.D. Mesenteric Lipoma in Children. Ann. Surg. 1956, 144, 913–914. [Google Scholar] [CrossRef]
- Kaniklides, C.; Frykberg, T.; Lundkvist, K. Paediatric Mesenteric Lipoma, An Unusual Cause of Repeated Abdominal Pain. Acta Radiol. 1998, 39, 695–697. [Google Scholar] [CrossRef]
- Hanine, D.; Rouijel, B.; El Baoudi, A.; Aboulam, Z.; Kisra, M. The Mesenteric Lipoma in Children. Res. Pediatr. Neonatol. 2021, 5, 444–446. [Google Scholar] [CrossRef]
- Turk, E.; Edirne, Y.; Karaca, F.; Memetoglu, M.E.; Unal, E.; Ermumcu, O. A Rare Cause of Childhood Ileus: Giant Mesenteric Lipoma and a Review of the Literature. Eurasian J. Med. 2013, 45, 222–225. [Google Scholar] [CrossRef]
- Ozel, S.K.; Apak, S.; Ozercan, I.H.; Kazez, A. Giant Mesenteric Lipoma as a Rare Cause of Ileus in a Child: Report of a Case. Surg. Today 2004, 34, 470–472. [Google Scholar] [CrossRef] [PubMed]
- Maree, G.; Gawrieh, B.; Omran, A.; Ali, W. A rare lipoma site in a 1-year-old boy. J. Surg. Case Rep. 2021, 2021, rjab447. [Google Scholar] [CrossRef] [PubMed] [PubMed Central]
- Laguna, B.A.; Iyer, R.S.; Rudzinski, E.R.; Roybal, J.L.; Stanescu, A.L. Torsion of a giant mesocolic lipoma in a child with Bannayan-Riley-Ruvalcaba syndrome. Pediatr. Radiol. 2014, 45, 449–452. [Google Scholar] [CrossRef] [PubMed]
- Wolko, J.D.; Rosenfeld, D.L.; Lazar, M.J.; Underberg-Davis, S.J. Torsion of a giant mesenteric lipoma. Pediatr. Radiol. 2003, 33, 34–36. [Google Scholar] [CrossRef]
- Prando, A.; Wallace, S.; Marins, J.L.C.; Pereira, R.M.; de Oliveira, E.R.; Alvarenga, M. Sonographic features of benign intraperitoneal lipomatous tumors in children-report of 4 cases. Pediatr. Radiol. 1990, 20, 571–574. [Google Scholar] [CrossRef]
- Hamidi, H.; Rasouly, N.; Khpalwak, H.; Malikzai, M.O.; Faizi, A.R.; Hoshang, M.M.S.; Maroof, S.; Nasery, M.N.; Farzam, F.; Salehzai, M.; et al. Childhood giant omental and mesenteric lipoma. Radiol. Case Rep. 2016, 11, 41–44. [Google Scholar] [CrossRef]
- Selman, J.; Bender, J.R. Mesenteric Lipoma in a Child. Radiology 1948, 51, 66–70. [Google Scholar] [CrossRef]
- Gupta, D.K.; Rohatgi, M.; Rao, P.S. Mesenteric lipoma. Indian Pediatr. 1988, 25, 1007–1009. [Google Scholar]
- Cherian, A.; Singh, S.J.; Broderick, N.; Zaitoun, A.M.; Kapila, L. Small bowel volvulus due to giant mesenteric lipoma. Pediatr. Surg. Int. 2004, 20, 869–871. [Google Scholar] [CrossRef]
- Kisra, M.; Ettayebi, F.; El Azzouzi, D.; Benhammou, M. Image of the Month—Answer. Arch. Surg. 2006, 141, 1046. [Google Scholar] [CrossRef] [PubMed][Green Version]
- Srinivasan, K.; Gaikwad, A.; Ritesh, K.; Ushanandini, K. Giant omental and mesenteric lipoma in an infant. Afr. J. Paediatr. Surg. 2009, 6, 68–69. [Google Scholar] [CrossRef] [PubMed]
- Ahmed, I.; Singh, S.; Rawat, J.D. Chronic abdominal pain in a child. Saudi J. Gastroenterol. 2011, 17, 295–296. [Google Scholar] [CrossRef]
- Alireza, R.; Mohammad, S.S.; Mehrzad, M.; Houman, A. Midgut volvulus caused by mesenteric lipoma. Iran. J. Pediatr. 2013, 23, 121–123. [Google Scholar]
- Mozumder, M.R.; Afrin, R.; Biswas, T.; Haque, J.A.; Hoque, T.; Anjum, M.; Tofa, T.T. Mesenteric Lipoma in a Child-A Case Report. J. Dhaka Med. Coll. 2024, 31, 258–263. [Google Scholar] [CrossRef]
- Garge, S.; Sharma, A.; Kelkar, H.; Jajodia, J. A Case of a Giant Mesentric Lipoma in a Two-year-old Child Presenting as Koch’s Abdomen. Apollo Med. 2024, 21, S11–S13. [Google Scholar] [CrossRef]
- Ogilvy, W.L.; Owen, H.F. Mesenteric lipoma in children. Can. J. Surg. 1960, 3, 344–346. [Google Scholar]
- Stransky, E.; Sevilla-Cabrera, R. On a huge intraabdominal mesocolic lipoma in infancy. Ann. Paediatr. 1962, 198, 24–34. [Google Scholar]
- Yang, C.; Wang, S.; Zhang, J.; Kong, X.R.; Zhao, Z.; Li, C.C. An unusual cause of paediatric abdominal pain: Mesenteric masses accompanied with volvulus. Turk. J. Gastroenterol. 2016, 27, 325–329. [Google Scholar] [CrossRef]
- Cha, J.M.; Lee, J.I.; Joo, K.R.; Choe, J.W.; Jung, S.W.; Shin, H.P.; Kim, H.C.; Lee, S.H.; Lim, S.J. Giant Mesenteric Lipoma as an Unusual Cause of Abdominal Pain: A Case Report and a Review of the Literature. J. Korean Med. Sci. 2009, 24, 333–336. [Google Scholar] [CrossRef] [PubMed] [PubMed Central]
- Farkas, N.; Wong, J.; Bethel, J.; Monib, S.; Frampton, A.; Thomson, S. A systematic review of symptomatic small bowel lipomas of the jejunum and ileum. Ann. Med. Surg. 2020, 58, 52–67. [Google Scholar] [CrossRef]



| Authors | Year | Age (Months) | Sex | Comorbidities | Symptoms | Symptoms Duration | Imaging | Tumor Size (mm) | Tumor Weight (g) | Localization | Type of Surgery | Intraoperative Findings | Complications | LoS (Days) |
|---|---|---|---|---|---|---|---|---|---|---|---|---|---|---|
| Selman J et al. [18] | 1947 | 48 | F | none | abdominal mass; nausea; vomiting | 4 y | X-ray | NR | NR | ileum | laparotomy | NR | none | NR |
| Prince T C et al. [8] | 1956 | 10 | F | NR | abdominal mass | 3 m | X-ray | 200 | NR | ileum | laparotomy | NR | none | 7 |
| Gupta D K et al. [19] | 1988 | 14 | F | NR | NR | NR | NR | 150 | NR | ileum | NR | NR | NR | NR |
| Prando A et al. [16] | 1990 | 30 | M | NR | abdominal mass | NR | X-ray; US | 110 × 90 × 50 | NR | jejunum | NR | adherent to the wall of small bowel | NR | NR |
| Kaniklides C et al. [9] | 1998 | 132 | M | NR | abdominal pain; constipation | 8 y | X-ray; US; CT | 220 × 290 × 50 | 700 | mesentery | laparotomy | NR | NR | NR |
| Ilhan H et al. [5] | 1999 | 36 | M | none | abdominal distension | 6 m | US; CT | 310 × 230 × 120 | 2050 | mesentery | laparotomy | NR | none | 6 |
| Wolko J D et al. [15] | 2003 | 108 | M | Sorbital Intolerance | abdominal pain | 10 d | CT | 100 × 150 | NR | NR | NR | torsion of the lipoma; small bowel obstruction | none | NR |
| Ozel S K et al. [12] | 2004 | 84 | F | NR | abdominal pain; bilius vomiting | 4 d | X-ray; US; CT | 180 × 150 × 50 | NR | ileum | laparotomy | NR | NR | NR |
| Cherian A et al. [20] | 2004 | 168 | F | NR | abdominal pain; bilius vomiting | 8 h | X-ray | 160 × 150 × 75 | NR | ileum | laporoscopy; laparotomy | volvulus | none | 7 |
| Kisra M et al. [21] | 2006 | 168 | M | NR | NR | NR | NR | 124 × 68 × 110 | NR | ileum | NR | volvulus | NR | NR |
| Srinivasan K G et al. [22] | 2009 | 9 | NR | NR | abdominal distension; diarrhoea | 3 m | US; CT | NR | 1500 | omentum; mesentery; transverse colon | laparotomy | NR | NR | NR |
| Ahmed I et al. [23] | 2011 | 72 | M | none | abdominal pain; abdominal distension; constipation | 2 y | CT | NR | NR | ileum | laparotomy | NR | none | NR |
| Turk E et al. [11] | 2013 | 24 | F | none | abdominal pain, bilius vomiting | 24 h | X-ray; US | 160 × 150 × 80 | 770 | ileum | laparotomy | intestinal obstruction with necrosis | none | 5 |
| Alireza R et al. [24] | 2013 | 72 | F | NR | abdominal pain; nausea; vomiting | 2 d | X-ray; US; CT | 130 × 30 × 50 | NR | ileum | laparotomy | volvulus | none | NR |
| Tayeh C et al. [6] | 2015 | 24 | M | none | failure to thrive; abdominal distension | 1 y | X-ray; US | 220 × 190 × 90 | 1620 | ileum | laparotomy | NR | none | 6 |
| Laguna B A et al. [14] | 2015 | 72 | M | Bannayan-Riley-Ruvelbaca Syndrome | abdominal pain | 12 h | CT | 68 × 42 × 83 | NR | mesocolon | laparoscopy | torsion of the lipoma | NR | NR |
| Hamidi H et al. [17] | 2016 | 72 | F | NR | abdominal pain; abdominal distension | 4 y | US; CT | 280 × 240 × 100 | NR | NR | laparotomy | NR | none | NR |
| Hashizume N et al. [3] | 2020 | 36 | F | none | abdominal pain; abdominal distension | NR | US; CT; MRI | 80 × 60 | NR | ileum | laparotomy | NR | none | NR |
| Maree G et al. [13] | 2020 | 12 | M | NR | abdominal distension; diarrhoea | NR | US; CT | 90 × 110 | NR | jejunum | laparotomy | NR | none | 5 |
| Malik H et al. [7] | 2020 | 72 | F | NR | abdominal pain; vomiting; constipation | 24 h | X-ray | 100 × 80; 20 × 20 | NR | ileum | laparotomy | volvulus | none | NR |
| Azhar M et al. [4] | 2021 | 11 | M | none | abdominal distension; constipation; abdominal pain; vomiting | 4 m | US; CT | 300 × 190 × 120 | NR | ileum | laparotomy | small bowel wrapped around tumor | none | 5 |
| Hanine D et al. [10] | 2021 | 60 | M | NR | abdominal pain | NR | X-ray; US; CT | NR | NR | ileum | laparotomy | NR | none | NR |
| Mozumder MR et al. [25] | 2022 | 96 | F | none | abdominal pain; vomiting | 1.5 y | US; CT | 85 × 65 × 45 | 150 | ileum | laparotomy | NR | none | NR |
| Oztas T et al. [1] | 2023 | 48 | M | none | abdominal pain; vomiting | NR | X-ray; US; CT | 120 × 120 × 70 | NR | ileum | NR | volvulus | none | 6 |
| Rwomurushaka E S et al. [2] | 2024 | 36 | F | NR | abdominal distension; nausea | 1 y | US; CT | 170 × 170 × 90 | NR | small bowel; mesentery | laparotomy | NR | none | 3 |
| Garge S et al. [26] | 2024 | 24 | M | NR | abdominal distension, abdominal pain, failure to thrive | 6 m | X-ray; US; CT | 150 × 60 × 100 | NR | ileum | laparotomy | NR | none | 5 |
Disclaimer/Publisher’s Note: The statements, opinions and data contained in all publications are solely those of the individual author(s) and contributor(s) and not of MDPI and/or the editor(s). MDPI and/or the editor(s) disclaim responsibility for any injury to people or property resulting from any ideas, methods, instructions or products referred to in the content. |
© 2025 by the authors. Licensee MDPI, Basel, Switzerland. This article is an open access article distributed under the terms and conditions of the Creative Commons Attribution (CC BY) license (https://creativecommons.org/licenses/by/4.0/).
Share and Cite
Zovko, Z.; Boscarelli, A.; Codrich, D.; Bussani, R.; Neri, F.; Schleef, J. Pediatric Mesenteric Lipoma: Case Report and Narrative Literature Review. Children 2025, 12, 461. https://doi.org/10.3390/children12040461
Zovko Z, Boscarelli A, Codrich D, Bussani R, Neri F, Schleef J. Pediatric Mesenteric Lipoma: Case Report and Narrative Literature Review. Children. 2025; 12(4):461. https://doi.org/10.3390/children12040461
Chicago/Turabian StyleZovko, Zeljko, Alessandro Boscarelli, Daniela Codrich, Rossana Bussani, Francesca Neri, and Jürgen Schleef. 2025. "Pediatric Mesenteric Lipoma: Case Report and Narrative Literature Review" Children 12, no. 4: 461. https://doi.org/10.3390/children12040461
APA StyleZovko, Z., Boscarelli, A., Codrich, D., Bussani, R., Neri, F., & Schleef, J. (2025). Pediatric Mesenteric Lipoma: Case Report and Narrative Literature Review. Children, 12(4), 461. https://doi.org/10.3390/children12040461

