Early Intervention with a Preformed Eruption Guidance Appliance After the Excision of Cemento-Ossifying Fibroma: A Case Report
Abstract
1. Introduction
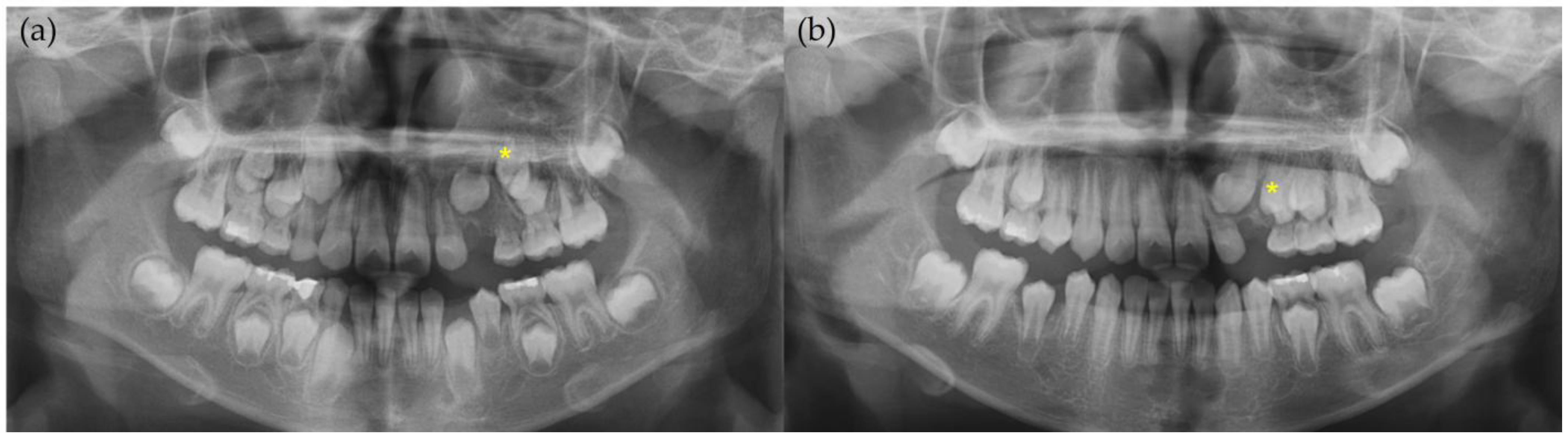
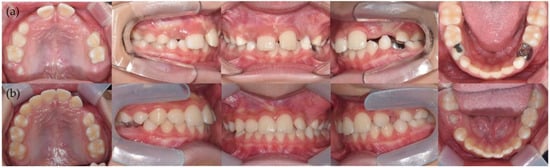
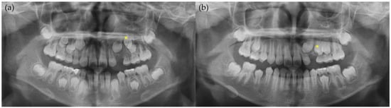
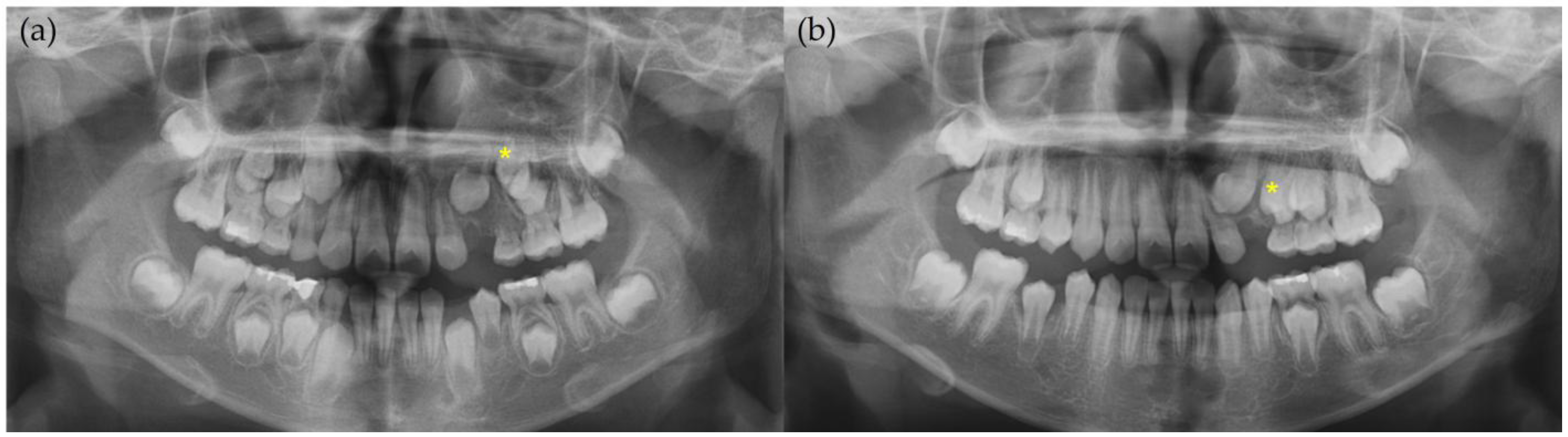
2. Case Report
3. Discussion
4. Conclusions
Author Contributions
Funding
Institutional Review Board Statement
Informed Consent Statement
Data Availability Statement
Conflicts of Interest
Abbreviations
| COF | Cemento-ossifying fibroma |
| WHO | World Health Organization |
| EGA | Eruption guidance appliance |
| JCOF | Juvenile cemento-ossifying fibroma |
References
- More, C.; Thakkar, K.; Asrani, M. Cemento-ossifying fibroma. Indian J. Dent. Res. 2011, 22, 352–355. [Google Scholar] [CrossRef]
- Chi, A.; Collins, L. Cemento-ossifying fibroma. In WHO Classifcation of Tumours Editorial Board. Head and Neck Tumours, 5th ed.; International Agency for Research on Cancer: Lyon, France, 2022. [Google Scholar]
- Vered, M.; Wright, J.M. Update from the 5th Edition of the World Health Organization Classification of Head and Neck Tumors: Odontogenic and Maxillofacial Bone Tumours. Head Neck Pathol. 2022, 16, 63–75. [Google Scholar] [CrossRef]
- Nagar, S.R.; Mittal, N.; Rane, S.U.; Bal, M.; Patil, A.; Ankathi, S.K.; Thiagarajan, S. Ossifying Fibromas of the Head and Neck Region: A Clinicopathological Study of 45 Cases. Head Neck Pathol. 2022, 16, 248–256. [Google Scholar] [CrossRef]
- Kaur, T.; Dhawan, A.; Bhullar, R.S.; Gupta, S. Cemento-Ossifying Fibroma in Maxillofacial Region: A Series of 16 Cases. J. Maxillofac. Oral Surg. 2021, 20, 240–245. [Google Scholar] [CrossRef]
- Soluk-Tekkesin, M.; Sinanoglu, A.; Selvi, F.; Cakir Karabas, H.; Aksakalli, N. The importance of clinical and radiological findings for the definitive histopathologic diagnosis of benign fibro-osseous lesions of the jaws: Study of 276 cases. J. Stomatol. Oral. Maxillofac. Surg. 2022, 123, 364–371. [Google Scholar] [CrossRef]
- Akkitap, M.P.; Gumru, B.; Idman, E.; Erdem, N.F.; Gumuser, Z.; Aksakalli, F.N. Cemento-Ossifying Fibroma: Clinical, Radiological, and Histopathological Findings. Clin. Exp. Health Sci. 2020, 10, 468–472. [Google Scholar] [CrossRef]
- Gautier, B.; Dugast, S.; Guyonvarc’h, P.; Longis, J.; Corre, P.; Bertin, H. Ossifying fibroma and juvenile ossifying fibroma: A systematic review on clinical and radiological parameters, treatment modalities and recurrence. J. Stomatol. Oral Maxillofac. Surg. 2024, 102185. [Google Scholar] [CrossRef]
- Titinchi, F. Juvenile ossifying fibroma of the maxillofacial region: Analysis of clinico-pathological features and management. Med. Oral Patol. Oral Cir. Bucal 2021, 26, e590–e597. [Google Scholar] [CrossRef]
- Achmad, H.; Mutmainnah, N.; Ramadhany, Y.F. A Systematic Review of Oral Myofunctional Therapy, Methods and Development of Class II Skeletal Malocclusion Treatment in Children. Syst. Rev. Pharm. 2020, 11, 511–521. [Google Scholar] [CrossRef]
- Wishney, M.; Darendeliler, M.A.; Dalci, O. Myofunctional therapy and prefabricated functional appliances: An overview of the history and evidence. Aust. Dent. J. 2019, 64, 135–144. [Google Scholar] [CrossRef]
- American Academy of Pediatric Dentistry. Behavior Guidance for the Pediatric Dental Patient. Ref. Man. Pediatr. Dent. 2024, 45, 358–378. Available online: https://www.aapd.org/research/oral-health-policies--recommendations/behavior-guidance-for-the-pediatric-dental-patient/ (accessed on 10 March 2025).
- Patait, M.; Chaudhari, V.; Mathew, A.; Mangrolia, R.; Ahire, M. Cemento-ossifying fibroma: Case report. Int. J. Appl. Dent. Sci. 2020, 6, 215–218. [Google Scholar] [CrossRef]
- Okechi, U.; Anyanechi, C.; Saheeb, B. A Clinical Audit of Histopathologically Diagnosed Ossifying Fibroma of the Jaws in a Nigerian Population. Niger. J. Clin. Pract. 2021, 24, 1397–1403. [Google Scholar] [CrossRef]
- Miyashita, H.; Suzuki, H.; Matsui, K.; Sato, N.; Kitamura, J.; Kumamoto, H.; Takahashi, T. Pediatric cemento-ossifying fibroma of the anterior mandible: A case report. J. Oral Maxillofac. Surg. Med. Pathol. 2020, 32, 285–290. [Google Scholar] [CrossRef]
- Khan, S.A.; Sharma, N.K.; Raj, V.; Sethi, T. Ossifying fibroma of maxilla in a male child: Report of a case and review of the literature. Natl. J. Maxillofac. Surg. 2011, 2, 73–79. [Google Scholar] [CrossRef]
- Chidzonga, M.; Sunhwa, E.; Makunike-Mutasa, R.; Chidzonga, M. Ossifying Fibroma in the Maxilla and Mandible: A Case Report With a Brief Literature Review. Cureus 2023, 15, e34257. [Google Scholar] [CrossRef]
- Chandini, R.; Saranya, R.; Mohideen, K.; Balasubramaniam, M.; Ghosh, S.; Dhungel, S. Juvenile psammomatoid ossifying fibroma of the maxilla and mandible: A systematic review of published case reports. Clin. Exp. Dent. Res. 2023, 9, 186–197. [Google Scholar] [CrossRef]
- Tortorici, S.; Buzzanca, M.L.; Burruano, F.; Difalco, P. Juvenile central ossifying fibroma of the mandible: A case report. J. Pediatr. Surg. 2010, 45, e1–e4. [Google Scholar] [CrossRef]
- Brierley, C.A.; DiBiase, A.; Sandler, P. Early class II treatment. Aust. Dent. J. 2017, 62, 4–10. [Google Scholar] [CrossRef]
- Xu, F.; Fang, Y.; Sui, X.; Yao, Y. Comparison of Twin Block appliance and Herbst appliance in the treatment of Class II malocclusion among children: A meta-analysis. BMC Oral Health 2024, 24, 278. [Google Scholar] [CrossRef]
- Keski-Nisula, K.; Keski-Nisula, L.; Varrela, J. Class II treatment in early mixed dentition with the eruption guidance appliance: Effects and long-term stability. Eur. J. Orthod. 2020, 42, 151–156. [Google Scholar] [CrossRef]
- Harun, A.; Supiaty; Asmidar, A.; Asrina Zohraeni, T.; Arrang, S. Evaluation of Electromyography and Muscle Contraction in the Use of Myofunctional Appliances: A Systematic Review. J. Pharm. Negat. Results 2022, 13, 915–926. [Google Scholar] [CrossRef]
- Achmad, H.; Wajdiyah, U.; Damayanti, L. Orofacial Myofunctional Therapy Effectivity in Child’s Anterior Open Bite. J. Dent. Oral Sci. 2022, 4, 1–16. [Google Scholar] [CrossRef]
- Bidjan, D.; Sallmann, R.; Eliades, T.; Papageorgiou, S.N. Orthopedic Treatment for Class II Malocclusion with Functional Appliances and Its Effect on Upper Airways: A Systematic Review with Meta-Analysis. J. Clin. Med. 2020, 9, 3806. [Google Scholar] [CrossRef]
- Myrlund, R.; Keski-Nisula, K.; Kerosuo, H. Stability of orthodontic treatment outcomes after 1-year treatment with the eruption guidance appliance in the early mixed dentition: A follow-up study. Angle Orthod. 2019, 89, 206–213. [Google Scholar] [CrossRef]
- Lanteri, V.; Cagetti, M.G.; Gaffuri, F.; Maspero, C.; Abate, A.; Ugolini, A. Skeletal and dento-alveolar changes obtained with customised and preformed eruption guidance appliances after 1-year treatment in early mixed dentition. Eur. J. Paediatr. Dent. 2023, 24, 180–187. [Google Scholar] [CrossRef]
- Huang, S.; Chen, Y.; Chen, T.; Mallineni, S.K.; McGrath, C.; Hagg, U. Clinical effectiveness of the Eruption Guidance Appliances in treating malocclusion in the mixed dentition: A systematic review and meta-analysis. Int. J. Paediatr. Dent. 2022, 32, 843–855. [Google Scholar] [CrossRef]
- Huang, G.J.; Bates, S.B.; Ehlert, A.A.; Whiting, D.P.; Chen, S.S.-H.; Bollen, A.-M. Stability of deep-bite correction: A systematic review. J. World Fed. Orthod. 2012, 1, e89–e96. [Google Scholar] [CrossRef]
- Keski-Nisula, K.; Keski-Nisula, L.; Salo, H.; Voipio, K.; Varrela, J. Dentofacial Changes after Orthodontic Intervention with Eruption Guidance Appliance in the Early Mixed Dentition. Angle Orthod. 2008, 78, 324–331. [Google Scholar] [CrossRef]
- Al Nimri, K.; Richardson, A. Interceptive orthodontics in the real world of community dentistry. Int. J. Paediatr. Dent. 2000, 10, 99–108. [Google Scholar] [CrossRef]
- Naseri, N.; Baherimoghadam, T.; Bassagh, N.; Hamedani, S.; Bassagh, E.; Hashemi, Z. The impact of general self-efficacy and the severity of malocclusion on acceptance of removable orthodontic appliances in 10-to 12-year-old patients. BMC Oral Health 2020, 20, 334. [Google Scholar] [CrossRef] [PubMed]





Disclaimer/Publisher’s Note: The statements, opinions and data contained in all publications are solely those of the individual author(s) and contributor(s) and not of MDPI and/or the editor(s). MDPI and/or the editor(s) disclaim responsibility for any injury to people or property resulting from any ideas, methods, instructions or products referred to in the content. |
© 2025 by the authors. Licensee MDPI, Basel, Switzerland. This article is an open access article distributed under the terms and conditions of the Creative Commons Attribution (CC BY) license (https://creativecommons.org/licenses/by/4.0/).
Share and Cite
Ju, Y.; Park, S.; Shin, J.; Jeong, T.; Lee, E. Early Intervention with a Preformed Eruption Guidance Appliance After the Excision of Cemento-Ossifying Fibroma: A Case Report. Children 2025, 12, 379. https://doi.org/10.3390/children12030379
Ju Y, Park S, Shin J, Jeong T, Lee E. Early Intervention with a Preformed Eruption Guidance Appliance After the Excision of Cemento-Ossifying Fibroma: A Case Report. Children. 2025; 12(3):379. https://doi.org/10.3390/children12030379
Chicago/Turabian StyleJu, Yeonjin, Soyoung Park, Jonghyun Shin, Taesung Jeong, and Eungyung Lee. 2025. "Early Intervention with a Preformed Eruption Guidance Appliance After the Excision of Cemento-Ossifying Fibroma: A Case Report" Children 12, no. 3: 379. https://doi.org/10.3390/children12030379
APA StyleJu, Y., Park, S., Shin, J., Jeong, T., & Lee, E. (2025). Early Intervention with a Preformed Eruption Guidance Appliance After the Excision of Cemento-Ossifying Fibroma: A Case Report. Children, 12(3), 379. https://doi.org/10.3390/children12030379

