Permanent Tooth Agenesis and Associated Dental Anomalies among Orthodontically Treated Children
Abstract
1. Introduction
2. Materials and Methods
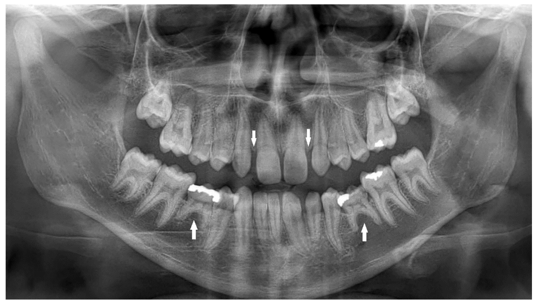
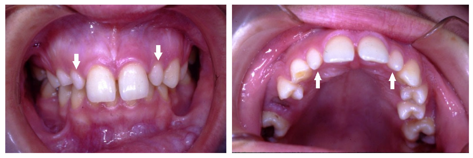
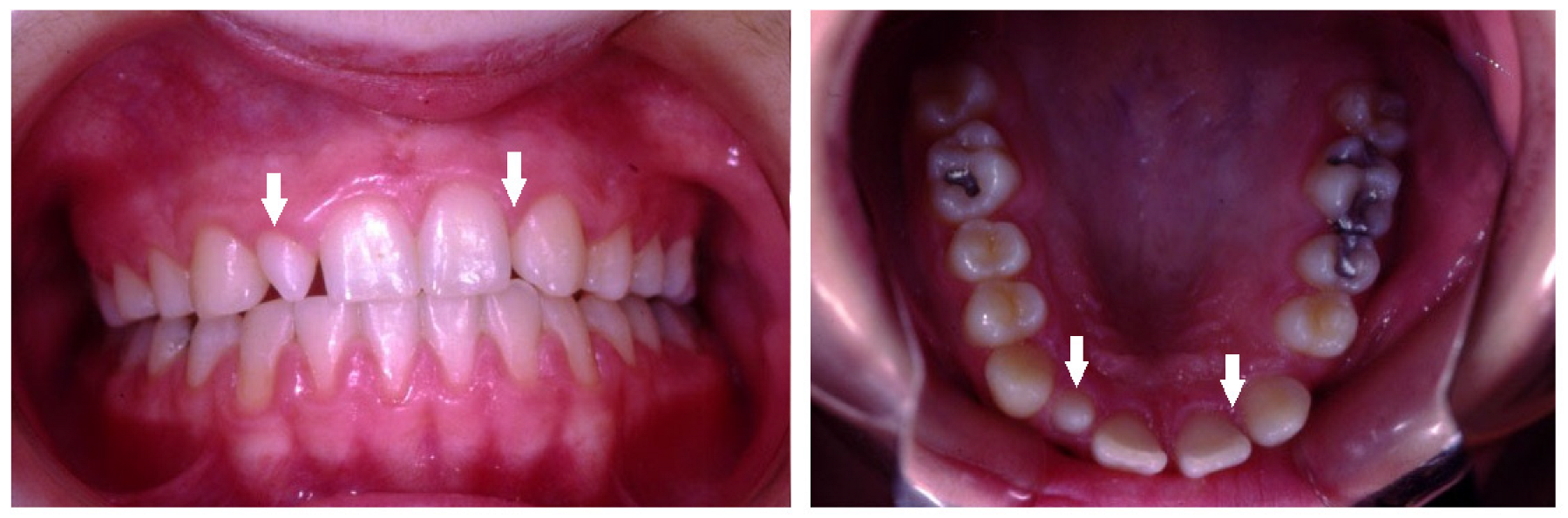
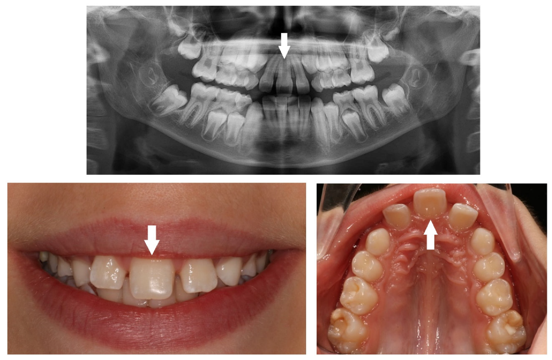
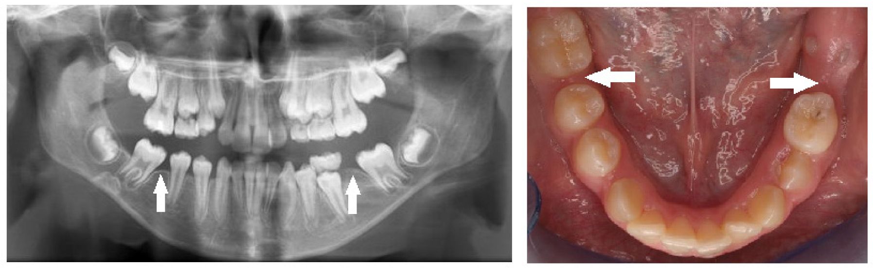
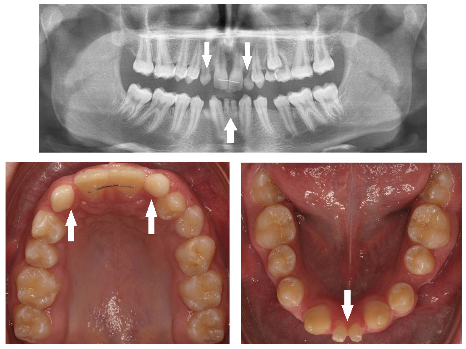
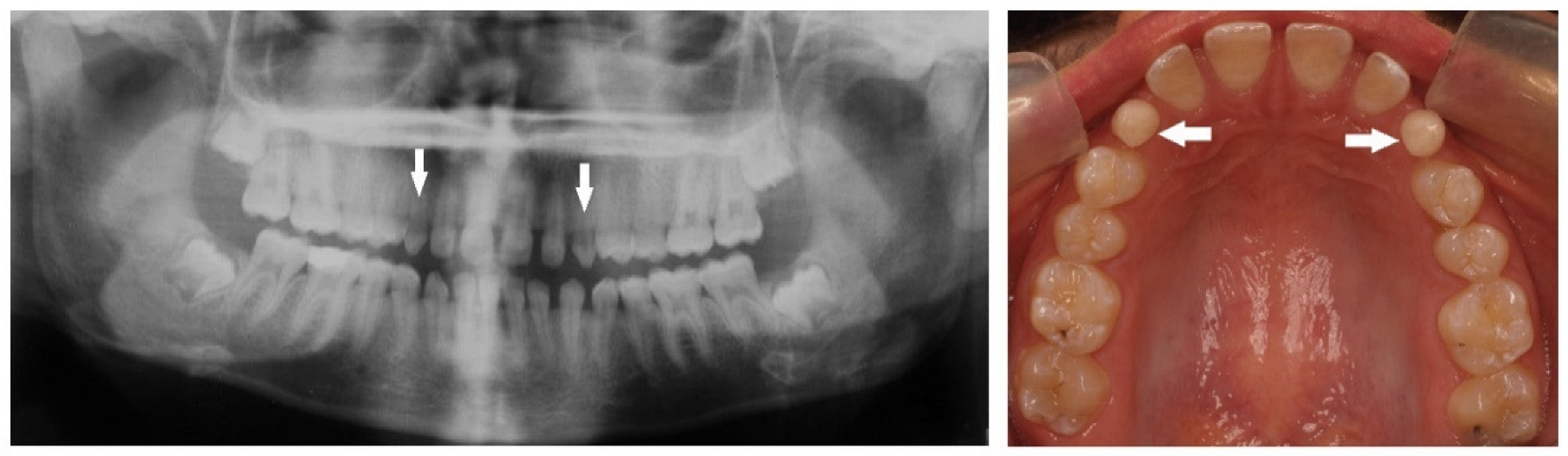
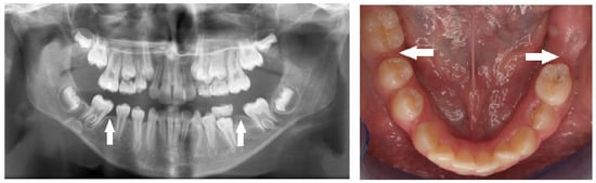
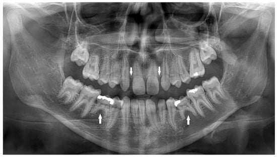
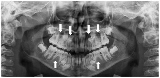
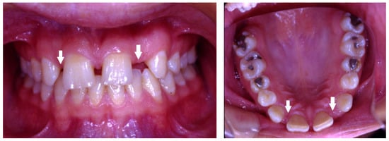
3. Results
4. Discussion
5. Conclusions
Author Contributions
Funding
Institutional Review Board Statement
Informed Consent Statement
Data Availability Statement
Acknowledgments
Conflicts of Interest
References
- Biedziak, B. Aetiology and occurance of tooth agenesis: Review of the literature. Dent. Ned. Probl. 2004, 41, 531–535. [Google Scholar]
- Kapadia, H.; Mues, G.; D’Souza, R. Genes affecting tooth morphogenesis. Orthod. Craniofac. Res. 2007, 10, 105–113. [Google Scholar] [CrossRef] [PubMed]
- Abu-Hussein, M.; Watted, N.; Yehia, M.; Proff, P.; Proff, P. Clinical genetic basis of tooth agenesis. J. Dent. Med. Sci. 2015, 14, 68–77. [Google Scholar]
- Vastardis, H. The genetics of human tooth agenesis: New discoveries for understanding dental anomalies. Am. J. Orthod. Dentofac. Orthop. 2000, 117, 650–656. [Google Scholar] [CrossRef]
- Vieira, A.R.; Meira, R.; Modesto, A.; Murray, J.C. MSX1, PAX9, and TGFA contribute to tooth agenesis in humans. J. Dent. Res. 2004, 83, 723–727. [Google Scholar] [CrossRef]
- Brook, A. A unifying aetiological explanation for anomalies of human tooth number and size. Arch. Oral Biol. 1984, 29, 373–378. [Google Scholar] [CrossRef]
- Schalk-van der Weide, Y.; Beemer, F.A.; Faber, J.A.J.; Bosman, F. Symptomatology of patients with oligodontia. J. Oral Rehab. 1994, 21, 247–261. [Google Scholar] [CrossRef]
- Shilpa, G.; Gokhale, N.; Mallineni, S.K.; Nuvvula, S. Prevalence of dental anomalies in deciduous dentition and its association with succedaneous dentition: A cross-sectional study of 4180 South Indian children. J. Indian Soc. Pedod. Prev. Dent. 2017, 35, 56–62. [Google Scholar] [CrossRef]
- The Glossary of Prosthodontic Terms Ninth Edition. J. Prosthet. Dent. 2017, 117 (Suppl. 5), e1–e105. [CrossRef]
- Abu-Hussein, M.; Watted, N.; Zere, E. Nonsyndromic oligodontia in permanent dentition: Three rare cases. IOSR J. Dent. Med. Sci. 2015, 14, 79–83. [Google Scholar]
- Larmour, C.J.; Mossey, P.A.; Thind, B.S.; Forgie, A.H.; Stirrups, D.R. Hypodontia—A retrospective review of prevalence and etiology. Part I. Quintessence Int. 2005, 36, 263–270. [Google Scholar]
- Abu-Hussein, M.; Watted, N.; Watted, A.; Abu-Hussein, Y.; Yehia, M.; Awadi, O.; Azzaldeen, A. Prevalemce of tooth agenesis in orthodontic patients at Arab population in Israel. Int. J. Public Health Res. 2015, 3, 77–82. [Google Scholar]
- Celikoglu, M.; Kazanci, F.; Miloglu, O.; Oztec, O.; Kamak, H.; Ceylan, I. Frequency and characteristics of tooth agenesis among an orthodontic patient population. Med. Oral Pathol. Oral Cir. Buccal. 2010, 15, e797–e801. [Google Scholar] [CrossRef]
- Endo, T.; Ozoe, R.; Kubote, M.; Akiyama, M.; Shimooka, S. A survey of hypodontia in Japanese orthodontic patients. Am. J. Orthod. Dentofac. Orthop. 2006, 129, 29–35. [Google Scholar] [CrossRef]
- Gabris, K.; Fabian, G.; Kaan, M.; Rozsa, N.; Tarjan, I. Prevalence of agenesis and hypodontia in paedodontic and orthodontic patients in Budapest. Commun. Dent. Health 2006, 23, 80–82. [Google Scholar]
- Yonezu, T.; Hayashi, Y.; Sasaki, J.; Machida, Y. Prevalence of congenital dental anomalies of the deciduous dentition in Japanese children. Bull. Tokyo Dent. Coll. 1997, 38, 27–32. [Google Scholar]
- Al-Ani, A.H.; Antoun, J.S.; Thomson, W.M.; Merriman, T.R.; Farella, M. Hypodontia: An update on its etiology, classification, and clinical management. BioMed Res. Int. 2017, 2017, 9378325. [Google Scholar] [CrossRef]
- Baccetti, T. A controlled study of associated dental anomalies. Angle Ortod. 1998, 68, 267–274. [Google Scholar]
- Schalk-van der Weide, Y.; Steen, W.H.; Bosman, F. Taurodontism and length of teeth in patients with oligodontia. J. Oral Rehabil. 1993, 20, 401–412. [Google Scholar] [CrossRef]
- Azzaldeen, A.; Watted, N.; Mai, A.; Borbely, P.; Abu-Hussein, M. Tooth agenesis: Aetiological factors. J. Dent. Med. Sci. 2017, 16, 75–85. [Google Scholar] [CrossRef]
- Goya, H.A.; Tanaka, S.; Maeda, T.; Akimoto, Y. An orthopantomographic study of hypodontia in permanent teeth of Japanese pediatric patients. J. Oral Sci. 2008, 50, 143–150. [Google Scholar] [CrossRef] [PubMed]
- Zhang, J.; Liu, H.C.; Lyu, X.; Shen, G.H.; Deng, X.X.; Li, W.R.; Zhang, X.X.; Feng, H.L. Prevalence of tooth agenesis in adolescent Chinese populations with or without orthodontics. Chin. J. Dent. Res. 2015, 18, 59–65. [Google Scholar] [PubMed]
- Fekonja, A. Hypodontia in orthodontically treated children. Eur. J. Orthod. 2005, 27, 457–460. [Google Scholar] [CrossRef] [PubMed]
- Alsoleihat, F.; Khraisat, A. Hypodontia: Prevalence and pattern amongst the living Druze population—A Near Eastern genetic isolate. J. Comp. Hum. Biol. 2014, 65, 201–213. [Google Scholar] [CrossRef]
- Kokich, V.O. Congenitally missing teeth: Orthodontic management in an adolescent patient. Am. J. Orthod. Dentofac. Orthop. 2002, 121, 594–595. [Google Scholar] [CrossRef]
- Muller, T.; Hill, I.; Petersen, A.; Blaybey, J. A survey of congenital missing permanent teeth. J. Am. Dent. Assoc. 1970, 81, 101–107. [Google Scholar] [CrossRef]
- Mani, S.A.; Mohsin, W.S.Y.; John, J. Prevalence and pattern of tooth agenesis among Malay children. Southeast Asian J. Trop. Med. Public Health 2014, 45, 490–498. [Google Scholar]
- Tunis, T.S.; Sarne, O.; Hershkovitz, I.; Finkelstein, T.; Pavlidi, A.M.; Shapira, Y.; Davidovitch, M.; Shpack, N. Dental Anomalies’ characteristics. Diagnostics 2021, 11, 1161. [Google Scholar] [CrossRef]
- Marzouk, T.; Alves, I.L.; Wong, C.L.; DeLucia, L.; McKinney, C.M.; Pendleton, C.; Howe, B.J.; Marazita, M.L.; Peter, T.K.; Kopycka-Kedzierawski, D.T.; et al. Association between dental anomalies and orofacial clefts: A meta-analysis. JDR Clin. Trans. Res. 2021, 6, 368–381. [Google Scholar] [CrossRef]
- Garib, D.G.; Alencar, B.M.; Lauris, J.; Baccetti, T. Agenesis of maxillary lateral incisors and associated dental anomalies. Am. J. Orthod. Dentofac. Orthop. 2010, 137, 732.e1–732.e6. [Google Scholar] [CrossRef]
- Schonberger, S.; Shapira, Y.; Pavlidi, A.M.; Finkelstein, T. Prevalence and pattern of permanent tooth agenesis among orthodontic patients—Treatment options and outcome. Appl. Sci. 2022, 12, 12252. [Google Scholar] [CrossRef]
- Endo, T.; Sanpei, S.; Komatsuzaki, A.; Endo, S.; Takakuwa, A.; Oka, K. Patterns of tooth agenesis in Japanese subjects with bilateral agenesis of mandibular second premolars. Odontology 2013, 101, 216–221. [Google Scholar] [CrossRef]
- Garn, S.; Lewis, A. The relationship between third molar agenesis and reduction in tooth number. Angle Orthod. 1962, 32, 14–18. [Google Scholar]
- Garn, S.; Lewis, A. The gradient and pattern of crow-size reduction in simple hypodontia. Angle Orthod. 1970, 40, 51–58. [Google Scholar]
- Garib, D.G.; Peck, S.; Gomes, S.C. Increased occurrence of dental anomalies associated with second premolar agenesis. Angle Orthod. 2009, 79, 436–441. [Google Scholar] [CrossRef]
- Dhamo, B.; Vucic, S.; Kuijpers, M.A.; Jaddoe, V.W.; Hofman, A.; Wolvius, E.B.; Ongkosuwito, E.M. The association between hypodontia and dental development. Clin. Oral Investig. 2016, 20, 1347–1354. [Google Scholar] [CrossRef]
- Kadry, R.; Atalla, R.; Tunis, T.S.; Finkekstein, T.; Schonberger, S.; Kharouba, J.; Shapira, Y. Prevalence and distribution of dental anomalies among Arab orthodontic patients in Israel: Is there a correlation to consanguinity marriage? Appl. Sci. 2023, 13, 197. [Google Scholar] [CrossRef]
- Fekonja, A. Prevalence of dental developmental anomalies of permanent teeth in children and their influence on esthetics. J. Esthet. Restor. Dent. 2017, 29, 276–283. [Google Scholar] [CrossRef]
- Ben-Bassat, Y.; Brin, I. Skeletal and dental patterns in patients with severe congenital absence of teeth. Am. J. Orthod. Dentofac. Orthop. 2009, 135, 349–356. [Google Scholar] [CrossRef]
- Zachrisson, B.U.; Rosa, M.; Toreskog, S. Congenitally missing maxillary lateral incisors: Canine substitution. Am. J. Orthod. Dentofac. Orthop. 2011, 139, 434–444. [Google Scholar] [CrossRef]
- Kokich, V.O., Jr.; Kinzer, G.A. Managing congenitally missing lateral incisors. Part I: Canine substitution. J. Esthet. Restor. Dent. 2005, 17, 5–10. [Google Scholar] [CrossRef] [PubMed]
- Kokich, V.O., Jr.; Kinzer, G.A.; Janakievski, J. Congenitally missing maxillary lateral incisors: Restorative replacement. Am. J. Orthod. Dentofac. Orthop. 2011, 139, 441. [Google Scholar] [CrossRef] [PubMed]
- Kinzer, G.A.; Kokich, V.O., Jr. Managing congenitally missing lateral incisors. Part II: Tooth-supported restorations. J. Esthet. Restor. Dent. 2005, 17, 76–84. [Google Scholar] [CrossRef] [PubMed]
- Kinzer, G.A.; Kokich, V.O., Jr. Managing congenitally missing lateral incisors. Part III: Single-tooth implants. J. Esthet. Restor. Dent. 2005, 17, 202–210. [Google Scholar] [CrossRef]
- Czochrowska, E.M.; Stenvik, A.; Album, B.; Zachrisson, B.U. Autotransplantation of premolars to replace maxillary incisors: A comparison with natural incisors. Am. J. Orthod. Dentofac. Orthop. 2000, 118, 592–600. [Google Scholar] [CrossRef]












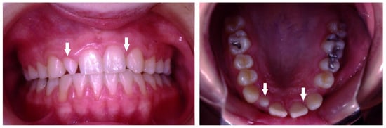
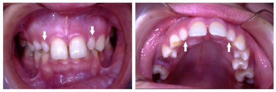
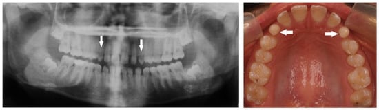
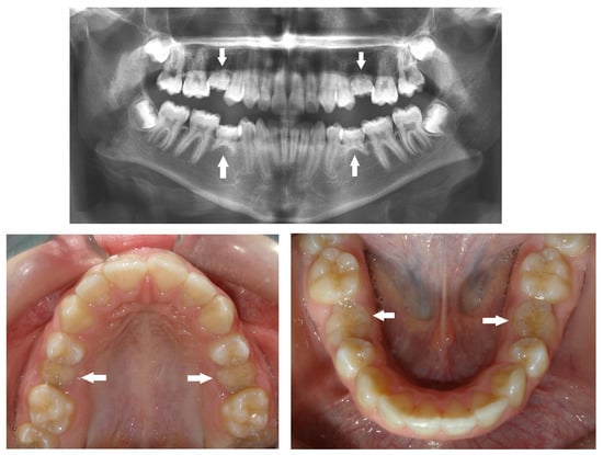
| Dental Anomaly | Diagnostic Criteria |
|---|---|
| Supernumerary | Presence of extra teeth more than the full complement of teeth. |
| Missing | Congenital absence of permanent teeth. |
| Peg-shaped | Small conical tooth with a narrowing in diameter from the cervix to the in-cisal edge. |
| Impaction | Failure of tooth eruption into the oral cavity. |
| Transposition | Two adjacent permanent teeth that switched their position within the same quadrant of the dental arch. |
| Ectopic | Eruption of teeth not in their normal position. |
| Submergence | A primary tooth positioned under the occlusal surface of the adjacent teeth. |
| Retained | A primary tooth that fails to exfoliate at the appropriate time. |
| Peg-Shape Lateral Incisors | Supernumerary Teeth | Ectopic Teeth | Impacted Teeth | Submerged Teeth | Retained Teeth | Transposition | ||||||||
|---|---|---|---|---|---|---|---|---|---|---|---|---|---|---|
| No. | % | No. | % | No. | % | No. | % | No. | % | No. | % | No. | % | |
| Total | 54 | 1.8 | 26 | 0.9 | 414 | 13.8 | 431 | 14.3 | 21 | 0.7 | 344 | 11.5 | 16 | 0.5 |
| Gender | Children | Children with Missing Teeth | Missing Maxillary Lateral Incisors | Missing Mandibular Second Premolars | Missing Maxillary Second Premolars | |||||
|---|---|---|---|---|---|---|---|---|---|---|
| No. | % | No. | % | No. | % | No. | % | No. | % | |
| Male | 1220 | 41 | 139 | 43 | 65 | 37 | 66 | 48 | 24 | 33 |
| Female | 1780 | 59 | 187 | 57 | 111 | 63 | 71 | 52 | 49 | 67 |
| Total | 3000 | 100 | 326 | 100 | 176 | 100 | 137 | 100 | 73 | 100 |
| Jaws | Agenesis of First Premolars | Agenesis of Permanent Canines | Agenesis of Central Incisors | Agenesis of First Molars | ||||
|---|---|---|---|---|---|---|---|---|
| No. | % | No. | % | No. | % | No. | % | |
| Maxilla | 34 | 56 | 25 | 61 | 1 | 3 | 0 | 0 |
| Mandible | 27 | 44 | 16 | 39 | 30 | 97 | 2 | 100 |
| Total | 61 | 100 | 41 | 100 | 31 | 100 | 2 | 100 |
Disclaimer/Publisher’s Note: The statements, opinions and data contained in all publications are solely those of the individual author(s) and contributor(s) and not of MDPI and/or the editor(s). MDPI and/or the editor(s) disclaim responsibility for any injury to people or property resulting from any ideas, methods, instructions or products referred to in the content. |
© 2023 by the authors. Licensee MDPI, Basel, Switzerland. This article is an open access article distributed under the terms and conditions of the Creative Commons Attribution (CC BY) license (https://creativecommons.org/licenses/by/4.0/).
Share and Cite
Schonberger, S.; Kadry, R.; Shapira, Y.; Finkelstein, T. Permanent Tooth Agenesis and Associated Dental Anomalies among Orthodontically Treated Children. Children 2023, 10, 596. https://doi.org/10.3390/children10030596
Schonberger S, Kadry R, Shapira Y, Finkelstein T. Permanent Tooth Agenesis and Associated Dental Anomalies among Orthodontically Treated Children. Children. 2023; 10(3):596. https://doi.org/10.3390/children10030596
Chicago/Turabian StyleSchonberger, Shirley, Rana Kadry, Yehoshua Shapira, and Tamar Finkelstein. 2023. "Permanent Tooth Agenesis and Associated Dental Anomalies among Orthodontically Treated Children" Children 10, no. 3: 596. https://doi.org/10.3390/children10030596
APA StyleSchonberger, S., Kadry, R., Shapira, Y., & Finkelstein, T. (2023). Permanent Tooth Agenesis and Associated Dental Anomalies among Orthodontically Treated Children. Children, 10(3), 596. https://doi.org/10.3390/children10030596

