Acute Coronary Syndrome Treated with Percutaneous Coronary Intervention in Hutchinson–Gilford Progeria
Abstract
1. Introduction
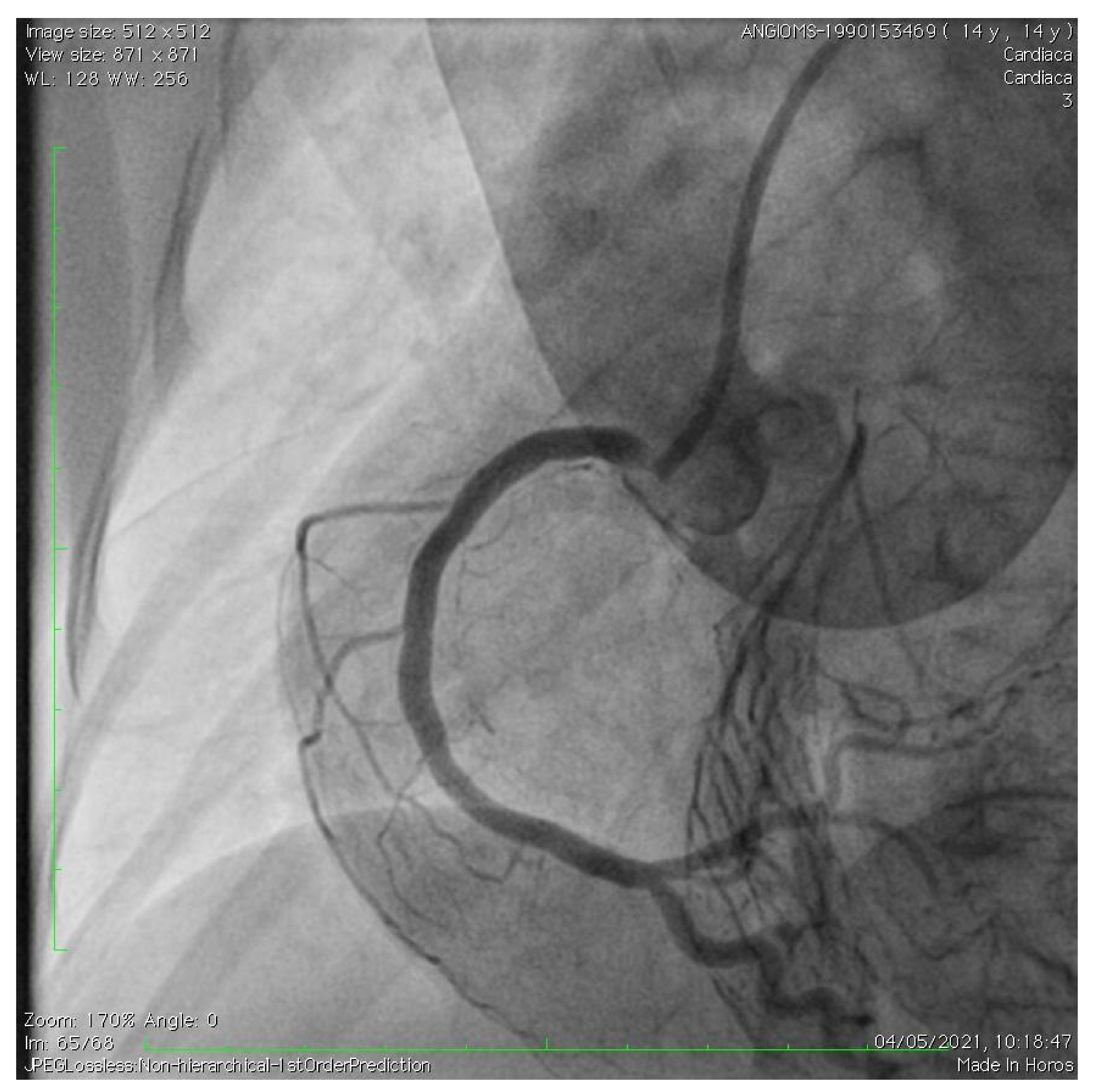
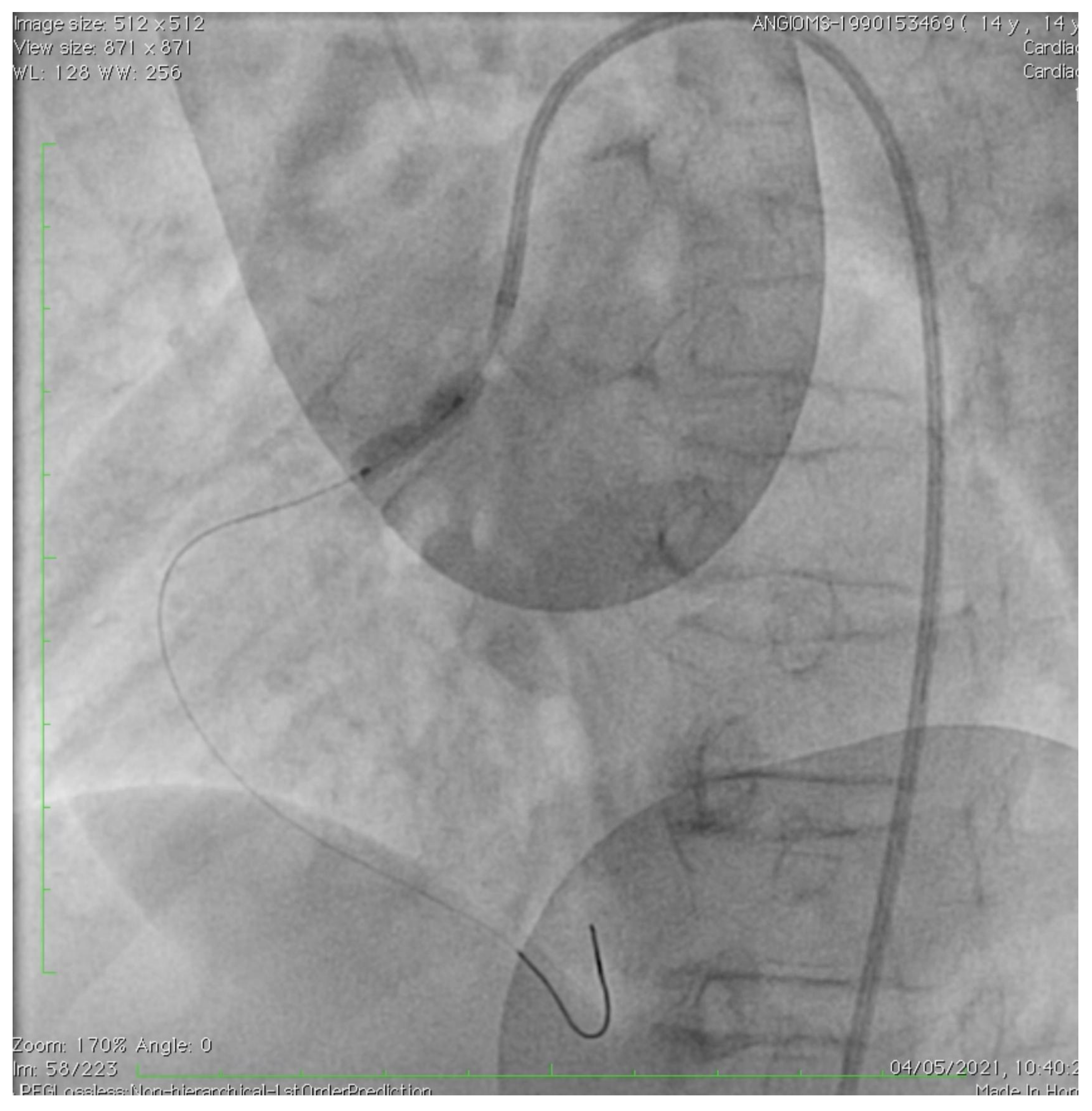
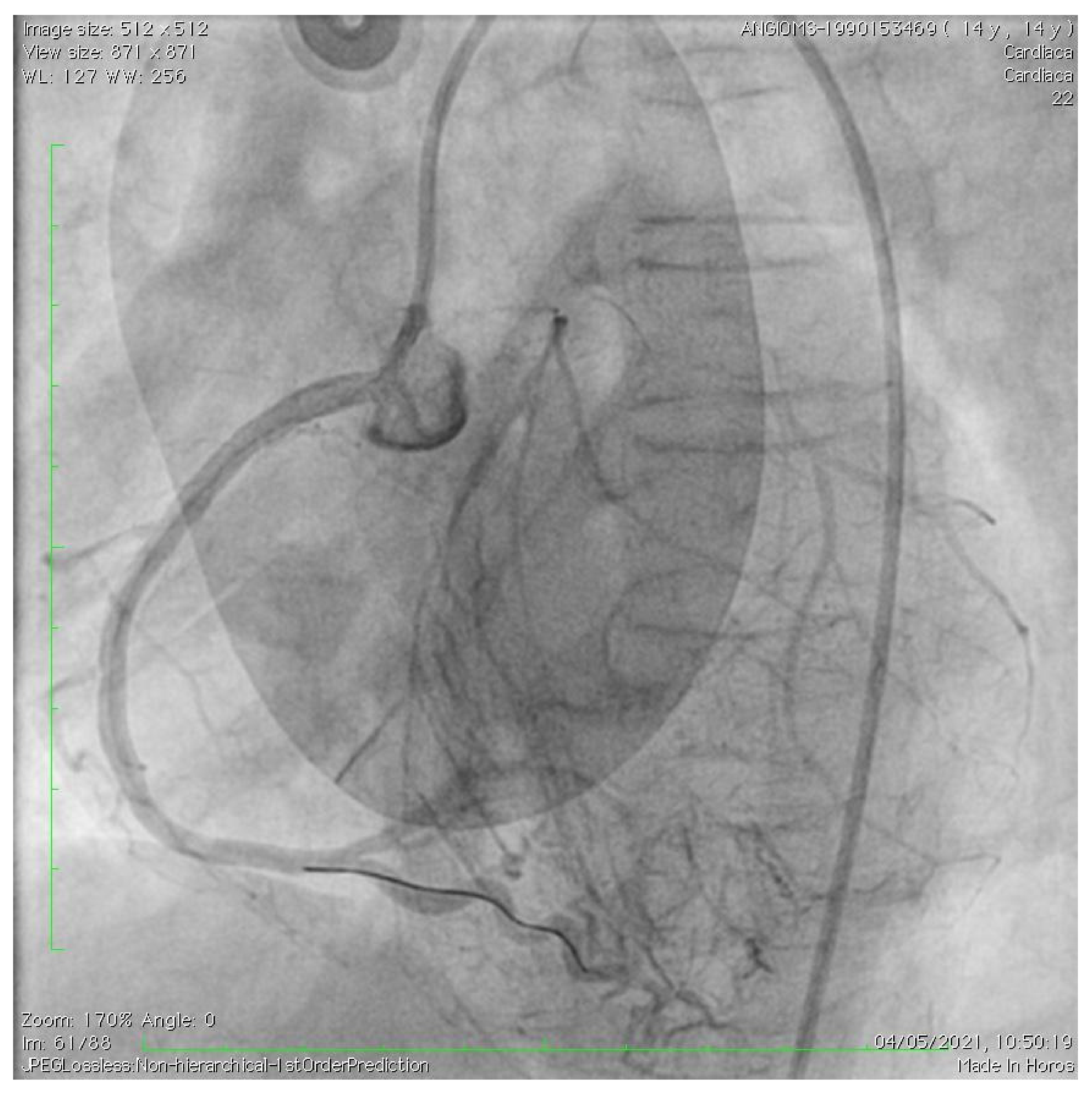
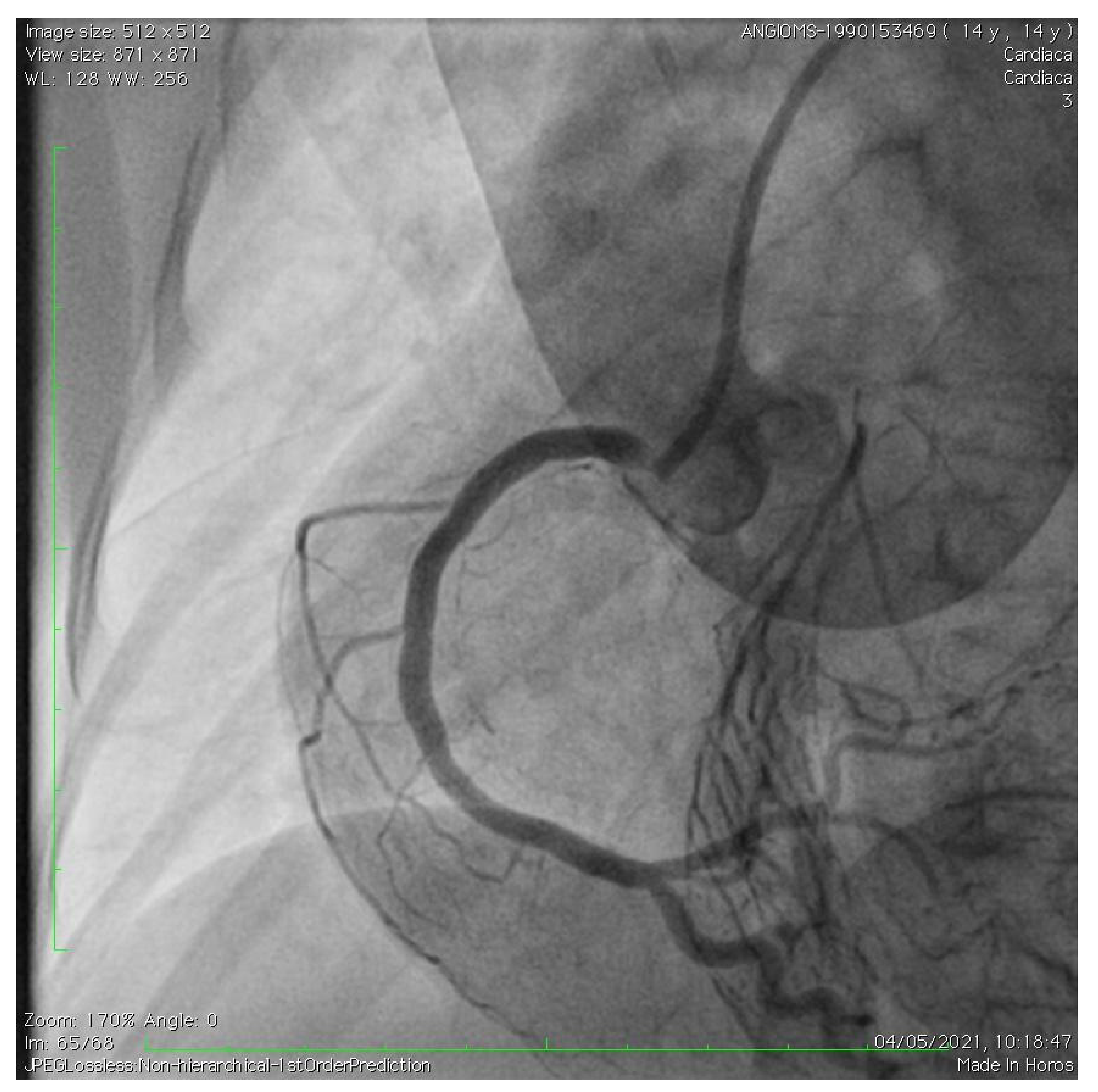
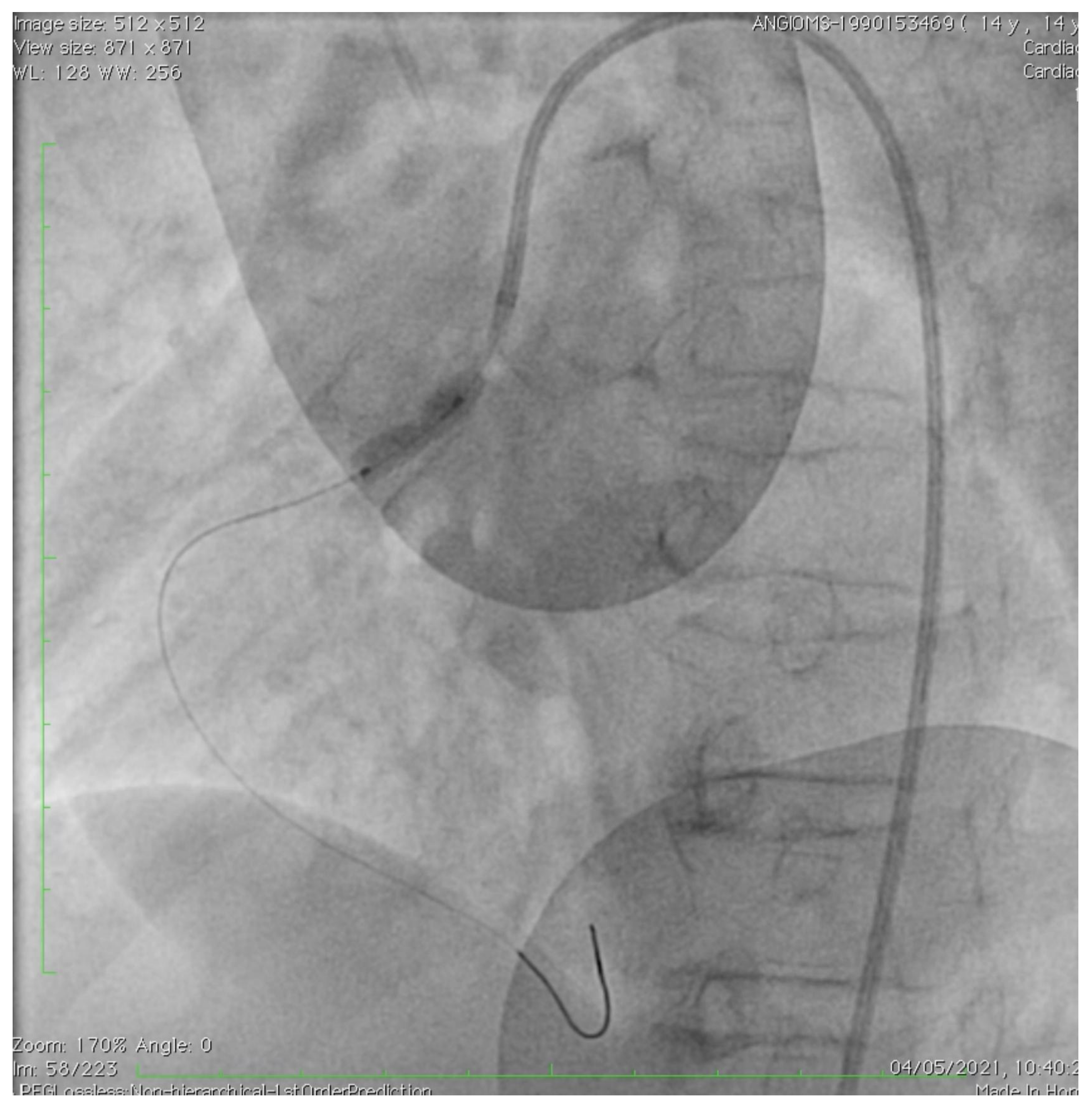
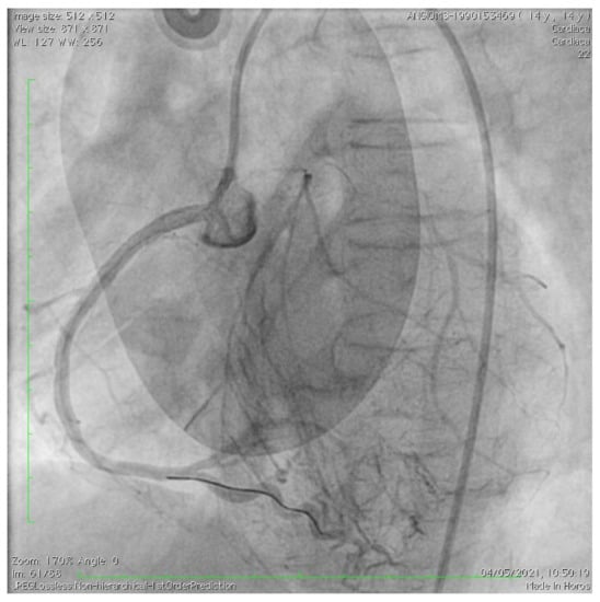
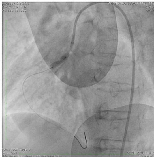
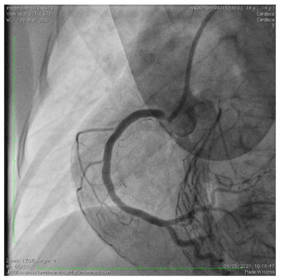
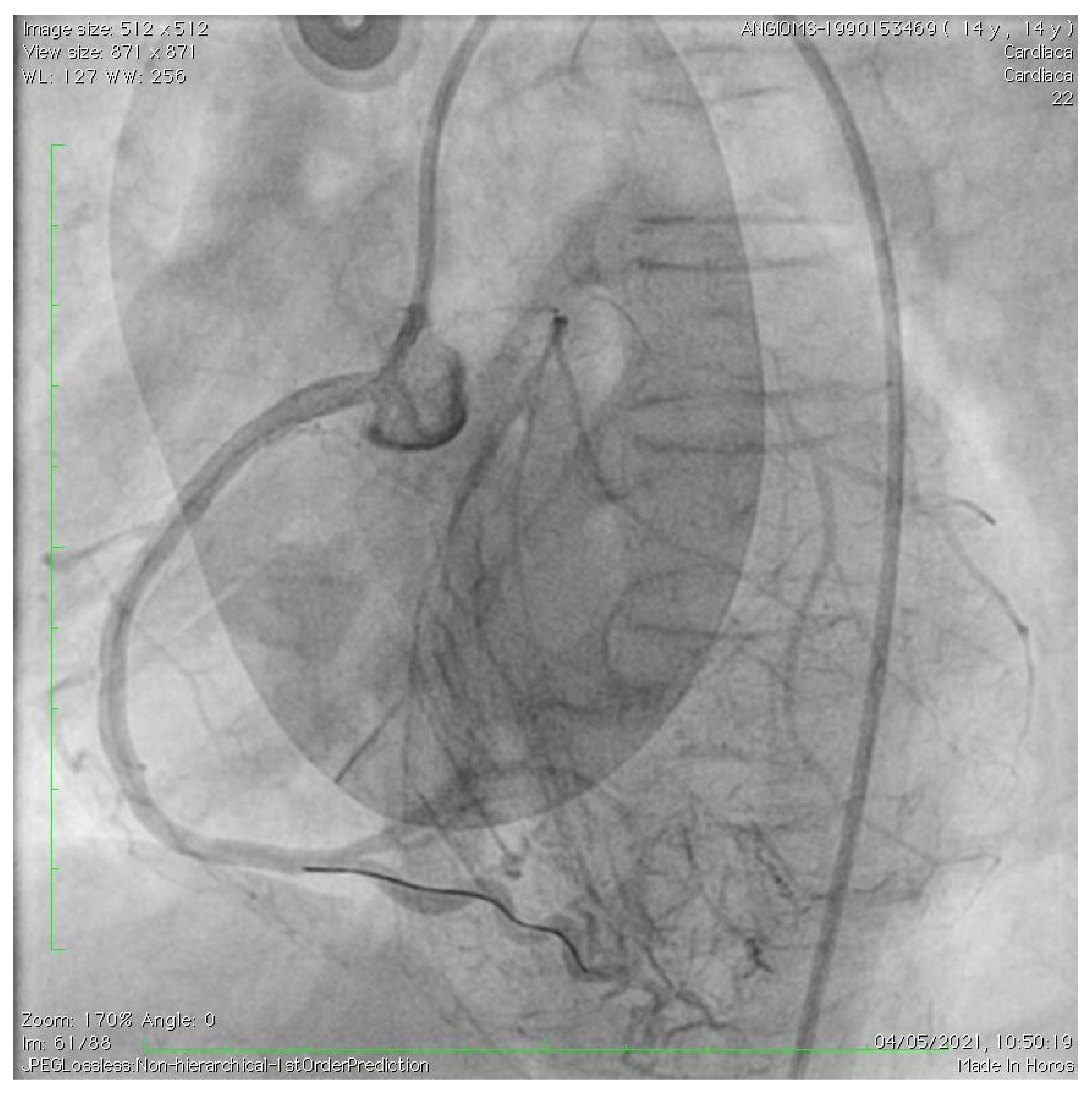
2. Case Description
3. Discussion
4. Conclusions
Author Contributions
Funding
Informed Consent Statement
Data Availability Statement
Conflicts of Interest
References
- De Sandre-Giovannoli, A.; Bernard, R.; Cau, P.; Navarro, C.; Amiel, J.; Boccaccio, I.; Lyonnet, S.; Stewart, C.L.; Munnich, A.; Le Merrer, M.; et al. Lamin A truncation in Hutchinson-Gilford progeria. Science 2003, 300, 205. [Google Scholar] [CrossRef] [PubMed]
- Panigrahi, R.G.; Panigrahi, A.; Vijayakumar, P.; Choudhury, P.; Bhuyan, S.K.; Bhuyan, R.; Maragathavalli, G.; Pati, A.R. Hutchinson-Gilford progeria syndrome: A rare genetic disorder. Case Rep. Dent. 2013, 2013, 631378. [Google Scholar] [CrossRef] [PubMed]
- Eriksson, M.; Brown, W.T.; Gordon, L.B.; Glynn, M.W.; Singer, J.; Scott, L.; Erdos, M.R.; Robbins, C.M.; Moses, T.Y.; Berglund, P.; et al. Recurrent de novo point mutations in lamin A cause Hutchinson-Gilford progeria syndrome. Nature 2003, 293–298. [Google Scholar] [CrossRef] [PubMed]
- Goldman, R.D.; Shumaker, D.K.; Erdos, M.R.; Eriksson, M.; Goldman, A.E.; Gordon, L.B.; Gruenbaum, Y.; Khuon, S.; Mendez, M.; Varga, R.; et al. Accumulation of mutant lamin A causes progressive changes in nuclear architecture in Hutchinson-Gilford progeria syndrome. Proc. Natl. Acad. Sci. USA 2004, 101, 8963–8968. [Google Scholar] [CrossRef] [PubMed]
- Gordon, L.B.; Brown, W.T.; Collins, F.S. Hutchinson-Gilford Progeria Syndrome. In GeneReviews; Adam, M.P., Ardinger, H.H., Pagon, R.A., Eds.; University of Washington: Seattle, WA, 1993. [Google Scholar]
- Henneckam, R.C. Hutchinson-Guilford progeria syndrome: Review of the phenotype. Am. J. Med. Genet 2006, 140, 224–263. [Google Scholar]
- Merideth, M.A.; Gordon, L.B.; Clauss, S.; Sachdev, V.; Smith, A.C.; Perry, M.B.; Brewer, C.C.; Zalewski, C.; Kim, H.J.; Solomon, B.; et al. Phenotype and course of Hutchinson-Gilford progeria syndrome. N. Engl. J. Med. 2008, 358, 592–604. [Google Scholar] [CrossRef]
- Coppedè, F. The epidemiology of premature aging and associated comorbidities. Clin. Interv. Aging 2013, 8, 1023–1032. [Google Scholar] [CrossRef]
- Shozawa, T.; Sageshima, M.; Okada, E. Progeria with cardiac hypertrophy and review of 12 autopsy cases in the literature. Acta. Pathol. Jan. 1984, 34, 797–811. [Google Scholar]
- Stebbens, W.E.; Wakefield, S.J.; Gilbert-Barness, E.; Olson, R.E.; Ackerman, J. Histological and ultrastructural features of atherosclerosis in progeria. Cardiovasc. Pathol. 1999, 8, 29–39. [Google Scholar] [CrossRef]
- Trigueros-Motos, L.; Jose, M. Gonzalez Jose Rivera, Vicente Andres, Hutchinson-Gilford progeria syndrome, cardiovascular disease and oxidative stress. Front. Biosci. 2011, 3, 1285–1297. [Google Scholar] [CrossRef]
- Alves, J.M.S.D.B.; Silva, J.M.; Menezes, T.O.; Cavaleiro, R.S.; Tuji, M.A.L.C.M.; Lopes, M.A.; Zaia, A.A.; Della Coletta, R. Clinical and radiographic features of Hutchinson Gilford progeria syndrome: A case report. World J. Coin. Cases 2014, 2, 67–71. [Google Scholar] [CrossRef]
- Figueiras-Rama, D.; Rivera Torres, J.; Andres, V. Electrocardiographic abnormalities in patients with Hutchinson-Gilford Progeria Syndrome. JAMA Cardiol. 2018, 3, 1024–1025. [Google Scholar] [CrossRef]
- Rivera-Torres, J.; Calvo, C.J.; Llach, A.; Guzmán-Martínez, G.; Caballero, R.; González-Gómez, C.; Jiménez-Borreguero, L.J.; Guadix, J.A.; Osorio, F.G.; López-Otín, C.; et al. Cardiac electrical defects in progeroid mice and Hutchinson Gilford progeria syndrome patients with nuclear lamina alterations. Proc. Natl. Acad. Sci. USA 2016, 113, E7250–E7259. [Google Scholar] [CrossRef]
- Ghekiere, O.; Salgado, R.; Buls, N.; Leiner, T.; Mancini, I.; Vanhoenacker, P.; Dendale, P.; Nchimi, A. Image quality in coronary CT angiography: Challenges and technical solutions. Br. J. Radiol. 2017, 90, 20160567. [Google Scholar] [CrossRef]
- Incze, M.A. Should I get a coronary CT scan? JAMA Intern. Med 2021, 121, 102189. [Google Scholar] [CrossRef]
- Nagueh, S.; Appleton, C.; Gillebert, T.; Marino, P.; Oh, J.; Otto, A.S.; Waggoner, A.; Flachskampf, F.; Pellikka, P.; Evangelista, A. Recommendations for the evaluation of left ventricular diastolic function by echocardiography. J. Am. Soc. Echocardiogr. 2009, 22, 107–133. [Google Scholar] [CrossRef]
- Ahmed, M.S.; Ikram, S.; Bibi, N.; Mir, A. Hutchinson-Gilford Progeria Syndrome: A premature aging disease. Mol. Neurobiol. 2018, 55, 4417–4427. [Google Scholar] [CrossRef]
- Olive, M.; Harten, I.; Mitchell, R.; Beers, J.K.; Djabali, K.; Cao, K.; Erdos, M.R.; Blair, C.; Funke, B.; Smoot, L.; et al. Cardiovascular pathology in Hutchinson-Gilford progeria: Correlation with the vascular pathology of aging. Arterioscler. Thromb. Vasc. Biol. 2010, 30, 2301–2309. [Google Scholar] [CrossRef]
- Ullrich, N.J.; Gordon, L.B. Hutchinson-Gilford progeria syndrome. Handb. Clin. Neurol. 2015, 132, 249–264. [Google Scholar]
- Gordon, L.B.; Harten, I.A.; Patti, M.E.; Lichtenstein, A.H. Reduced adiponectin and HDL cholesterol without elevated C-reactive protein: Clues to the biology of pre mature atherosclerosis in Hutchinson-Gilford progeria syndrome. J. Pediatr. 2005, 146, 336–341. [Google Scholar] [CrossRef]
- Prakash, A.; Gordon, L.; Kleinman, M.; Gurary, E.; Massaro, J.; Kieran, M.; Gerhard-Herman, M.; Smoot, L. Cardiac Abnormalities in Patients With Hutchinson-Gilford Progeria Syndrome. JAMA Cardiol. 2018, 3, 326–334. [Google Scholar] [CrossRef] [PubMed]
- Roggen, M.; Dubois, C.; Gewillig, M. Coronary artery stenting in a patient with progeria. Catheter. Cardiovasc. Interv. 2017, 90, E38–E40. [Google Scholar] [CrossRef] [PubMed]
- Cerejo, R.P.S.; Rodriguez, R.A.N.; Martins, J.D.; Torres, C.G.E.D.; Sousa, L.M.; Pinto, F.F.; Fragata, J.I.C. A very rare case of Coronary Artery Bypass Grafting in a Progeria Child. World J. Pediatr. Congenit. Heart Sure 2020, 11, NP244–NP246. [Google Scholar] [CrossRef]
- Al-Shali Khalid, Z.; Hegele Robert, A. Laminopathies and atherosclerosis. Arterioscler. Thromb. Vasc. Biol. 2004, 24, 1591–1595. [Google Scholar] [CrossRef]
- Natnicha Pongbangli, Kannika Pitipakorn, Sasivimon Jai-Aue, Piyaporn Sirijanchune, Sorawit Pongpittayut, Wanwarang Wongcharoen A 13-Year-Old Boy from Thailand with Hutchinson-Gilford Progeria Syndrome with Coronary Artery and Aortic Calcification and Non-ST-Segment Elevation Myocardial Infarction (NSTEMI). A case report Am. J. Case Rep. 2021, 22, e928969.
- Collet, J.P.; Thiele, H.; Barbato, E.; Barthélémy, O.; Bauersachs, J.; Bhatt, D.L.; Dendale, P.; Dorobantu, M.; Edvardsen, T.; Folliguet, T.; et al. 2020 ESC Guidelines for the management of acute coronary syndromes in patients presenting without persistent ST-segment elevation. Eur. J. 2021, 42, 1289–1367. [Google Scholar]
- Amsterdam, E.A.; Wenger, N.K.; Brindis, R.G.; Casey, D.E., Jr.; Ganiats, T.G.; Holmes, D.R., Jr.; Jaffe, A.S.; Jneid, H.; Kelly, R.F.; Kontos, M.C.; et al. 2014 AHA/ACC Guideline for the management of patients with non-ST-elevation acute coronary syndromes. A report of the American College of Cardiology/American Heart Association Task Force on Practice Guidelines. J. Am. Coll. Cardiol. 2014, 64, e139-228. [Google Scholar] [CrossRef]
- Masoomi, M.A.; Al-Shammeri, I.; Kalafallah, K.; Elrahman, H.M.; Ragab, O.; Ahmed, E.; Jehan, A.-S.; Arafat, S. Wiener filter improves diagnostic accuracy of CAD SPECT images-comparison to angiography and CT angiography Medicine Baltimore. Medicine 2019, 98, e14207. [Google Scholar] [CrossRef]
- Cheng, Z.; Zhao, S.; Bi, W.; Wang, X. Bilateral coronary ostial stenosis secondary to syphilitic aortitis. J. Cardiovasc. Comput. Tomogr. 2014, 8, 331–333. [Google Scholar] [CrossRef]
- Callahan, R.; Lock, J.E.; Shah, P.B.; Marshall, A.C. Transcatheter intervention of coronary ob structions in infants, children and young adults. Pediatr. Cardiol. 2018, 39, 1299–1307. [Google Scholar] [CrossRef]
- Pufulete, M.; Harris, J.; Sterne, J.; Johnson, T.; Lasserson, D.; Mumford, A.; Doble, B.; Wordsworth, S.; Benedetto, U.; A Rogers, C.; et al. Comprehensive ascertainment of bleeding in patients prescribed different combinations of dual antiplatelet therapy (DAPT) and triple therapy (TT) in the UK: Study protocol for three population-based cohort studies emulating ‘target trials’ (the ADAPTT Study). BMJ Open 2019, 9, e029388. [Google Scholar]




Disclaimer/Publisher’s Note: The statements, opinions and data contained in all publications are solely those of the individual author(s) and contributor(s) and not of MDPI and/or the editor(s). MDPI and/or the editor(s) disclaim responsibility for any injury to people or property resulting from any ideas, methods, instructions or products referred to in the content. |
© 2023 by the authors. Licensee MDPI, Basel, Switzerland. This article is an open access article distributed under the terms and conditions of the Creative Commons Attribution (CC BY) license (https://creativecommons.org/licenses/by/4.0/).
Share and Cite
De Simone, L.; Chiellino, S.; Spaziani, G.; Porcedda, G.; Calabri, G.B.; Berti, S.; Favilli, S.; Stefani, L.; Santoro, G. Acute Coronary Syndrome Treated with Percutaneous Coronary Intervention in Hutchinson–Gilford Progeria. Children 2023, 10, 526. https://doi.org/10.3390/children10030526
De Simone L, Chiellino S, Spaziani G, Porcedda G, Calabri GB, Berti S, Favilli S, Stefani L, Santoro G. Acute Coronary Syndrome Treated with Percutaneous Coronary Intervention in Hutchinson–Gilford Progeria. Children. 2023; 10(3):526. https://doi.org/10.3390/children10030526
Chicago/Turabian StyleDe Simone, Luciano, Serena Chiellino, Gaia Spaziani, Giulio Porcedda, Giovan Battista Calabri, Sergio Berti, Silvia Favilli, Laura Stefani, and Giuseppe Santoro. 2023. "Acute Coronary Syndrome Treated with Percutaneous Coronary Intervention in Hutchinson–Gilford Progeria" Children 10, no. 3: 526. https://doi.org/10.3390/children10030526
APA StyleDe Simone, L., Chiellino, S., Spaziani, G., Porcedda, G., Calabri, G. B., Berti, S., Favilli, S., Stefani, L., & Santoro, G. (2023). Acute Coronary Syndrome Treated with Percutaneous Coronary Intervention in Hutchinson–Gilford Progeria. Children, 10(3), 526. https://doi.org/10.3390/children10030526

