Full Mouth Treatment of Early Childhood Caries with Zirconia Dental Crowns: A Case Report
Abstract
1. Introduction
- Primary teeth have a different morphology than permanent teeth because they have a larger pulp chamber and a thinner enamel-dentin layer, which reduces the amount of time it takes for caries to reach the pulp and increases the risk of pain and pulp complications.
- The child’s future oral health-related quality of life may be compromised by the pain and terror brought on by ECC in emergency dental care.
- Young children are immature, typically uncooperative (sedation or GA may be necessary), and have a more complex decision-making process because parents are responsible for them.
- Losing primary teeth too soon can lead to speech impediments, feeding and biting issues, and a delayed eruption of permanent teeth.
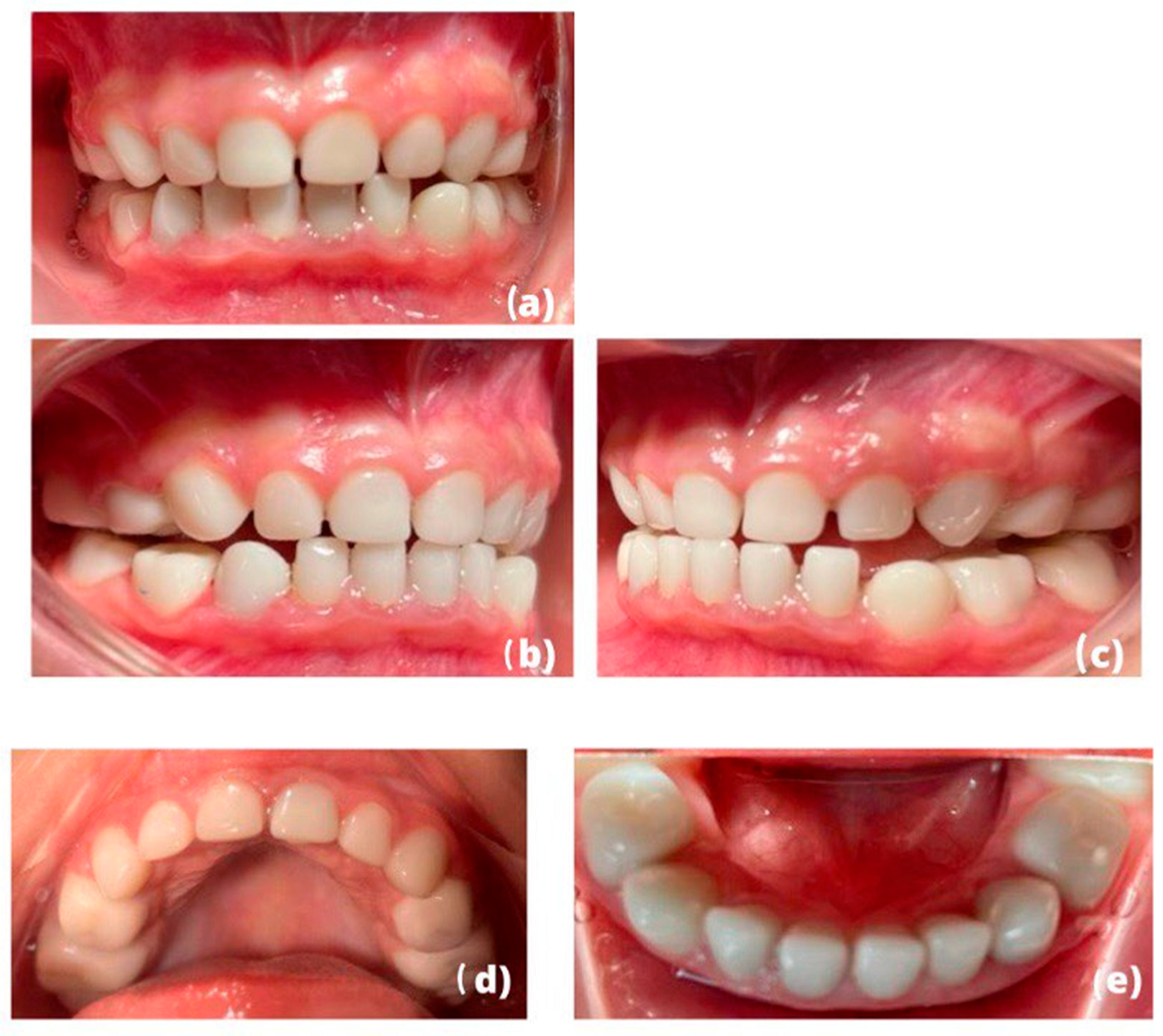
2. Case Presentation
3. Result and Follow-Up
4. Discussion
5. Conclusions
Author Contributions
Funding
Institutional Review Board Statement
Informed Consent Statement
Data Availability Statement
Conflicts of Interest
References
- Colak, H.; Dülgergil, C.T.; Dalli, M.; Hamidi, M.M. Early childhood caries update: A review of causes, diagnoses, and treatments. J. Nat. Sci. Biol. Med. 2013, 4, 29–38. [Google Scholar]
- Casamassimo, P.S.; Thikkurissy, S.; Edelstein, B.L.; Maiorini, E. Beyond the dmft: The human and economic cost of early childhood caries. J. Am. Dent. Assoc. 2009, 140, 650–657. [Google Scholar] [CrossRef] [PubMed]
- World Health Organisation. Country Oral Heath Profiles. Available online: http://www.mah.se/CAPP/Country-Oral-Health-Profiles (accessed on 14 December 2016).
- Marthaler, T.M. Changes in dental caries 1953–2003. Caries Res. 2004, 38, 173–181. [Google Scholar] [CrossRef] [PubMed]
- Lagerweij, M.D.; van Loveren, C. Declining Caries Trends: Are We Satisfied? Curr. Oral Health Rep. 2015, 2, 212–217. [Google Scholar] [CrossRef] [PubMed]
- FDI World Dental Association. The Challenge of Oral Disease—A call for global action. In The Oral Health Atlas, 2nd ed.; FDI World Dental Association: Geneva, Switzerland, 2015; Available online: http://www.fdiworldental.org/media/77552/complete_oh_atlas.pdf (accessed on 21 December 2016).
- Do, L.G.; Spencer, A. Oral health-related quality of life of children by dental caries and fluorosis experience. J. Public Health Dent. 2007, 67, 132–139. [Google Scholar] [CrossRef] [PubMed]
- Finucane, D. Rationale for restoration of carious primary teeth: A review. Eur. Arch. Paediatr. Dent. 2012, 13, 281–292. [Google Scholar] [CrossRef]
- Bagramian, R.A.; Garcia-Godoy, F.; Volpe, A.R. The global increase in dental caries. A pending public health crisis. Am. J. Dent. 2009, 22, 3–8. [Google Scholar]
- Duangthip, D.; Gao, S.S.; Lo, E.C.; Chu, C.H. Early childhood caries among 5- to 6-year-old children in Southeast Asia. Int. Dent. J. 2017, 67, 98–106. [Google Scholar] [CrossRef]
- Chu, C.H.; Wong, A.W.; Lo, E.C.; Courtel, F. Oral health status and behaviours of children in rural districts of Cambodia. Int. Dent. J. 2008, 58, 15–22. [Google Scholar] [CrossRef]
- Khanh, L.N.; Ivey, S.L.; Sokal-Gutierrez, K.; Barkan, H.; Ngo, K.M.; Hoang, H.T.; Vuong, I.; Thai, N. Early Childhood Caries, Mouth Pain, and Nutritional Threats in Vietnam. Am. J. Public Health 2015, 105, 2510–2517. [Google Scholar] [CrossRef]
- Dye, B.; Thornton-Evans, G.; Li, X.; Iafolla, T. Dental caries and sealant prevalence in children and adolescents in the United States, 2011–2012. NCHS Data Brief 2015, 191, 1–8. [Google Scholar]
- Health and Social Care Information Centre. Children’s Dental Health Survey 2013. Available online: http://www.hscic.gov.uk/catalogue/PUB17137/CDHS2013-England-Report.pdf (accessed on 19 March 2015).
- Hu, D.Y.; Hong, X.; Li, X. Oral health in China—Trends and challenges. Int. J. Oral Sci. 2011, 3, 7–12. [Google Scholar] [CrossRef]
- Sankeshwari, R.M.; Ankola, A.V.; Tangade, P.S.; Hebbal, M.I. Association of socio-economic status and dietary habits with early childhood caries among 3- to 5-year-old children of Belgaum city. Eur. Arch. Paediatr. Dent. 2013, 14, 147–153. [Google Scholar] [CrossRef]
- American Academy of Pediatric Dentistry; Clinical Affairs Committee—Restorative Dentistry Subcommittee. Guideline on pediatric restorative dentistry. Pediatr Dent. 2012, 34, 173–180. [Google Scholar]
- Kindelan, S.A.; Day, P.; Nichol, R.; Willmott, N.; Fayle, S.A. UK National Clinical Guidelines in Paediatric Dentistry: Stainless steel preformed crowns for primary molars. Int. J. Paediatr. Dent. 2008, 18 (Suppl. S1), 20–28. [Google Scholar] [CrossRef] [PubMed]
- Innes, N.P.; Ricketts, D.; Chong, L.Y.; Keightley, A.J.; Lamont, T.; Santamaria, R.M. Preformed crowns for decayed primary molar teeth. Cochrane Database Syst. Rev. 2015, 2015, CD005512. [Google Scholar] [CrossRef] [PubMed]
- Seale, N.S. The use of stainless steel crowns. Pediatr. Dent. 2002, 24, 501–505. [Google Scholar]
- Planells del Pozo, P.; Fuks, A.B. Zirconia crowns—An esthetic and resistant restorative alternative for ECC affected primary teeth. J. Clin. Pediatr. Dent. 2014, 38, 193–195. [Google Scholar] [CrossRef] [PubMed]
- Alrashdi, M.; Ardoin, J.; Liu, J.A. Zirconia crowns for children: A systematic review. Int. J. Paediatr. Dent. 2022, 32, 66–81. [Google Scholar] [CrossRef] [PubMed]
- Walia, T.; Salami, A.A.; Bashiri, R.; Hamoodi, O.M.; Rashid, F. A randomised controlled trial of three aesthetic full-coronal restorations in primary maxillary teeth. Eur. J. Paediatr. Dent. 2014, 15, 113–118. [Google Scholar]
- Daou, E.E. The zirconia ceramic: Strengths and weaknesses. Open Dent. J. 2014, 8, 33–42. [Google Scholar] [CrossRef]
- Ashima, G.; Sarabjot, K.B.; Gauba, K.; Mittal, H.C. Zirconia crowns for rehabilitation of decayed primary incisors: An esthetic alternative. J. Clin. Pediatr. Dent. 2014, 39, 18–22. [Google Scholar] [CrossRef] [PubMed]
- Tote, J.; Gadhane, A.; Das, G.; Soni, S.; Jaiswal, K.; Vidhale, G. Posterior esthetic crowns in peadiatric dentistry. Int. J. Dent. Med. Res. 2015, 1, 197. [Google Scholar]
- Clark, L.; Wells, M.H.; Harris, E.F.; Lou, J. Comparison of amount of primary tooth reduction required for anterior and posterior zirconia and stainless steel crowns. Pediatr. Dent. 2016, 38, 42–46. [Google Scholar] [PubMed]
- Guney, S.E.; Araz, C.; Tirali, R.E.; Cehreli, S.B. Dental anxiety and oral health-related quality of life in children following dental rehabilitation under general anesthesia or intravenous sedation: A prospective cross-sectional study. Niger J. Clin. Pract. 2018, 21, 1304–1310. [Google Scholar]
- Eidelman, E.; Faibis, S.; Peretz, B. A comparison of restorations for children with early childhood caries treated under general anesthesia or conscious sedation. Pediatr. Dent. 2000, 22, 33–37. [Google Scholar]
- Drury, T.F.; Horowitz, A.M.; Ismail, A.I.; Maertens, M.P.; Rozier, R.G.; Selwitz, R.H. Diagnosing and reporting early childhood caries for research purposes. J. Public Health Dent. 1999, 59, 192–197. [Google Scholar] [CrossRef]
- Tinanoff, N.; Baez, R.J.; Diaz Guillory, C.; Donly, K.J.; Feldens, C.A.; McGrath, C.; Phantumvanit, P.; Pitts, N.B.; Seow, W.K.; Sharkov, N.; et al. Early childhood caries epidemiology, aetiology, risk assessment, societal burden, management, education, and policy: Global perspective. Int. J. Paediatr. Dent. 2019, 29, 238–248. [Google Scholar] [CrossRef]
- Kowolik, J.; Kozlowski, D.; Jones, J.E. Utilization of stainless steel crowns by general dentists and pediatric dental specialists in Indiana. J. Indiana Dent. Assoc. 2007, 86, 16–21. [Google Scholar]
- Waggoner, W.F. Restoring primary anterior teeth: Updated for 2014. Pediatr. Dent. 2015, 37, 163–170. [Google Scholar]
- Stringhini Junior, E.; Dos Santos, M.G.C.; Oliveira, L.B.; Mercadé, M. MTA and biodentine for primary teeth pulpotomy: A systematic review and meta-analysis of clinical trials. Clin. Oral Investig. 2019, 23, 1967–1976. [Google Scholar] [CrossRef]
- Ludovichetti, F.S.; Stellini, E.; Signoriello, A.G.; DIFiore, A.; Gracco, A.; Mazzoleni, S. Zirconia vs. stainless steel pediatric crowns: A literature review. Minerva Dent. Oral Sci. 2021, 70, 112–118. [Google Scholar] [CrossRef] [PubMed]
- Lopez-Cazaux, S.; Aiem, E.; Velly, A.M.; Muller-Bolla, M. Preformed pediatric zirconia crown versus preformed pediatric metal crown: Study protocol for a randomized clinical trial. Trials. 2019, 20, 530. [Google Scholar] [CrossRef] [PubMed]
- Schockmel, W. Les coiffes pédiatriques préformées en zircone. Doctoral Dissertation, Université de Lorraine, Pont-à-Mousson, France, 2019. [Google Scholar]
- Lopez Cazaux, S.; Hyon, I.; Prud’homme, T.; Dajean Trutaud, S. Twenty-nine-month follow-up of a paediatric zirconia dental crown. BMJ Case Rep. 2017, 2017, bcr-2017-219891. [Google Scholar] [CrossRef] [PubMed]
- Collado, V.; Pichot, H.; Delfosse, C.; Eschevins, C.; Nicolas, E.; Hennequin, M. Impact of early childhood caries and its treatment under general anesthesia on orofacial function and quality of life: A prospective comparative study. Med. Oral Patol. Oral Cir. Bucal 2017, 22, e333–e341. [Google Scholar] [CrossRef] [PubMed]






Disclaimer/Publisher’s Note: The statements, opinions and data contained in all publications are solely those of the individual author(s) and contributor(s) and not of MDPI and/or the editor(s). MDPI and/or the editor(s) disclaim responsibility for any injury to people or property resulting from any ideas, methods, instructions or products referred to in the content. |
© 2023 by the authors. Licensee MDPI, Basel, Switzerland. This article is an open access article distributed under the terms and conditions of the Creative Commons Attribution (CC BY) license (https://creativecommons.org/licenses/by/4.0/).
Share and Cite
Kanareli, C.; Balazuc-Armbruster, M.; Tsolakis, I.A.; Kanarelis, T.; Tsolakis, A.I. Full Mouth Treatment of Early Childhood Caries with Zirconia Dental Crowns: A Case Report. Children 2023, 10, 488. https://doi.org/10.3390/children10030488
Kanareli C, Balazuc-Armbruster M, Tsolakis IA, Kanarelis T, Tsolakis AI. Full Mouth Treatment of Early Childhood Caries with Zirconia Dental Crowns: A Case Report. Children. 2023; 10(3):488. https://doi.org/10.3390/children10030488
Chicago/Turabian StyleKanareli, Christina, Marine Balazuc-Armbruster, Ioannis A. Tsolakis, Takis Kanarelis, and Apostolos I. Tsolakis. 2023. "Full Mouth Treatment of Early Childhood Caries with Zirconia Dental Crowns: A Case Report" Children 10, no. 3: 488. https://doi.org/10.3390/children10030488
APA StyleKanareli, C., Balazuc-Armbruster, M., Tsolakis, I. A., Kanarelis, T., & Tsolakis, A. I. (2023). Full Mouth Treatment of Early Childhood Caries with Zirconia Dental Crowns: A Case Report. Children, 10(3), 488. https://doi.org/10.3390/children10030488

