Sublingual Dermoid Cyst in Young Child
Abstract
1. Introduction
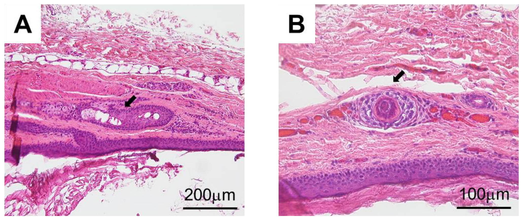
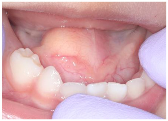
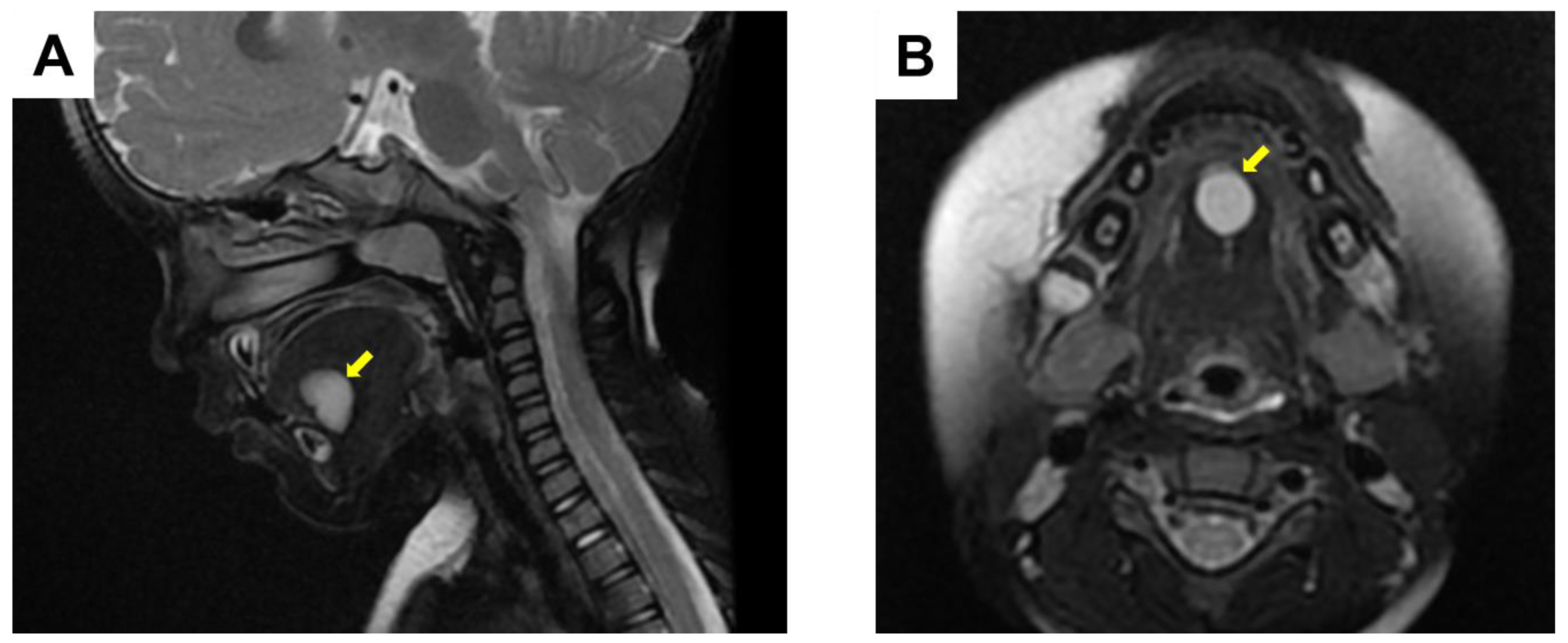
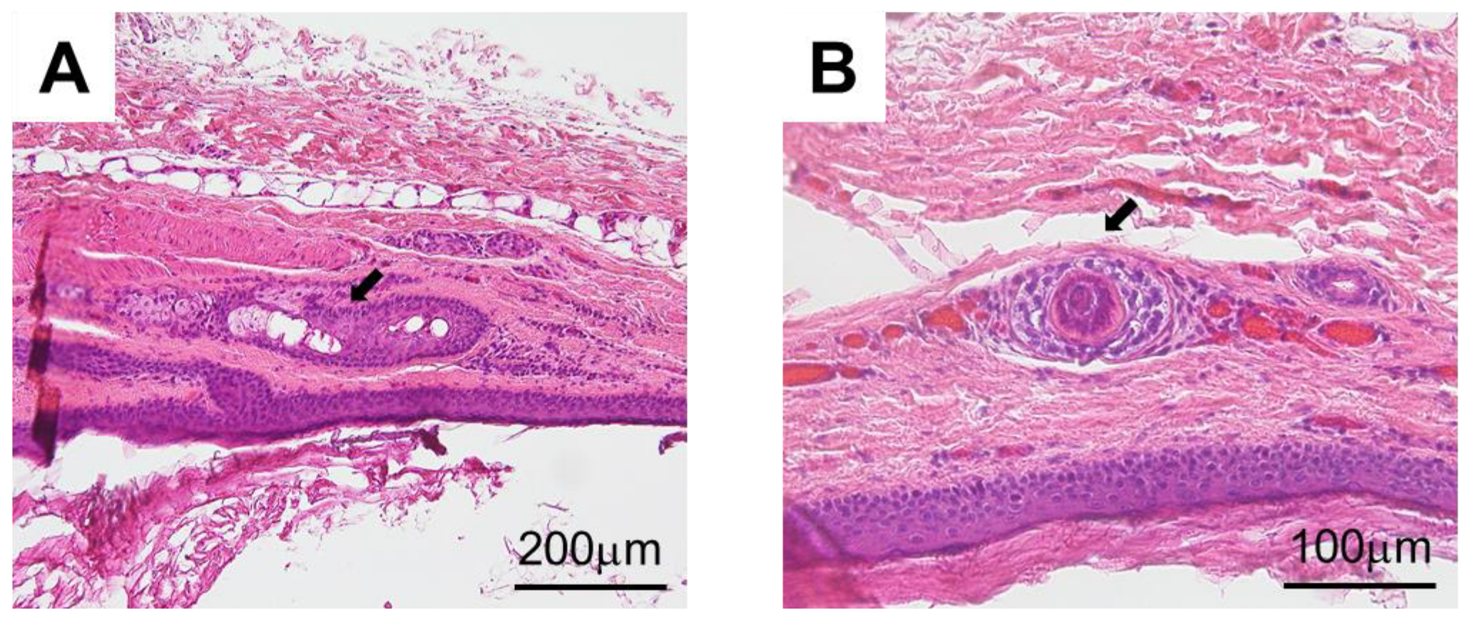
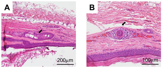
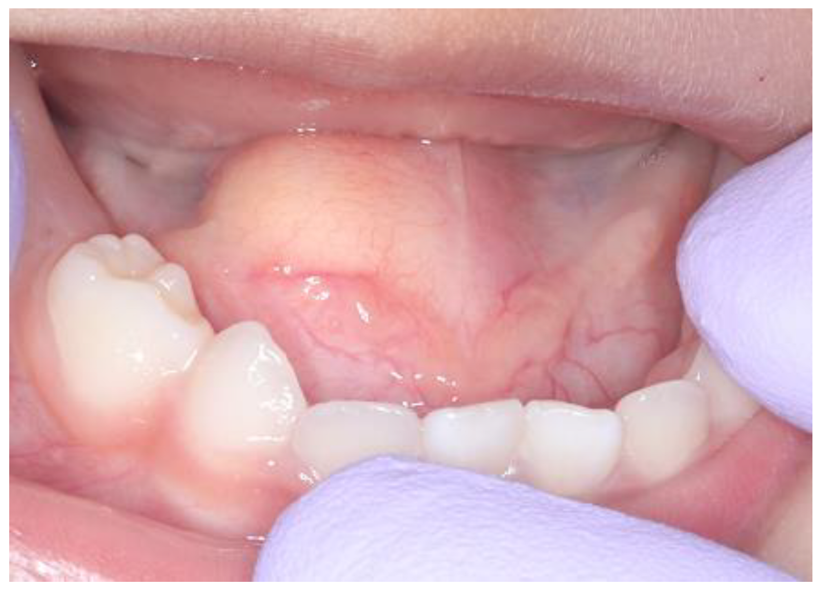
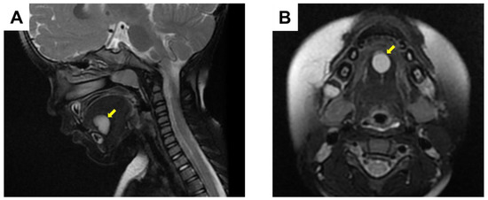
2. Case Presentation
3. Discussion
4. Conclusions
Author Contributions
Funding
Institutional Review Board Statement
Informed Consent Statement
Data Availability Statement
Acknowledgments
Conflicts of Interest
References
- Lin, H.W.; Silver, A.L.; Cunnane, M.E.; Sadow, P.M.; Kieff, D.A. Lateral dermoid cyst of the floor of mouth: Unusual radiologic and pathologic findings. Auris Nasus Larynx 2011, 38, 650–653. [Google Scholar] [CrossRef] [PubMed]
- Vélez-Cruz, M.E.; Gómez-Clavel, J.F.; Licéaga-Escalera, C.J.; Montoya Pérez, L.A.; Trujillo Fandiño, J.J.; Trejo Iriarte, C.G.; Ramírez-Cano, M.F.; García-Muñoz, A. Sublingual dermoid cyst in an infant: A case report and review of the literature. Clin. Case Rep. 2020, 8, 1403–1408. [Google Scholar] [CrossRef] [PubMed]
- Oluleke, O.O.; Akau, K.S.; Godwin, A.I.; Kene, A.I.; Sunday, A.O. Sublingual Dermoid Cyst: Review of 14 Cases. Ann. Maxillofac. Surg. 2020, 10, 279–283. [Google Scholar] [CrossRef] [PubMed]
- Sauer, A.; Abrol, A.; Cabrera, C.I.; Shah, J. A Pediatric Lateral Submental Mass: A Rare Presentation of Dermoid Cyst. Ear Nose Throat J. 2021, 1455613211019787. [Google Scholar] [CrossRef]
- Meyer, I. Dermoid cysts (dermoids) of the floor of the mouth. Oral Surg. Oral Med. Oral Pathol. 1955, 8, 1149–1164. [Google Scholar] [CrossRef]
- Lima, S.M., Jr.; Chrcanovic, B.R.; de Paula, A.M.; Freire-Maia, B.; Souza, L.N. Dermoid cyst of the floor of the mouth. Sci. World J. 2003, 3, 156–162. [Google Scholar] [CrossRef]
- Rajayogeswaran, V.; Eveson, J.W. Epidermoid cyst of the buccal mucosa. Oral Surg. Oral Med. Oral Pathol. 1989, 67, 181–184. [Google Scholar] [CrossRef]
- Bhalla, S.; Acharya, V.; Ally, M.; Taghi, A. Acute presentation of an intraoral dermoid cyst causing airway compromise in a young child. BMJ Case Rep. 2019, 12, e228421. [Google Scholar] [CrossRef]
- Santos, H.B.; Rolim, L.S.; Barros, C.C.; Cavalcante, I.L.; Freitas, R.D.; Souza, L.B. Dermoid and epidermoid cysts of the oral cavity: A 48-year retrospective study with focus on clinical and morphological features and review of main topics. Med. Oral Patol. Oral Cir. Bucal 2020, 25, e364–e369. [Google Scholar] [CrossRef] [PubMed]
- Kobayashi, Y.; Kino, K.; Manita, H.; Satou, R.; Kikuchi, K.; Yoshimasu, H.; Amagasa, T. Clinical Observation of Dermoid Cyst and Epidermoid Cyst in the Oral and Maxillofacial Region. J. Jpn. Stomatol. Soc. 1998, 47, 101–107. [Google Scholar]
- Misch, E.; Kashiwazaki, R.; Lovell, M.A.; Herrmann, B.W. Pediatric sublingual dermoid and epidermoid cysts: A 20-year institutional review. Int. J. Pediatr. Otorhinolaryngol. 2020, 138, 110265. [Google Scholar] [CrossRef] [PubMed]
- Ohta, N.; Watanabe, T.; Ito, T.; Kubota, T.; Suzuki, Y.; Ishida, A.; Kakehata, S.; Aoyagi, M. A case of sublingual dermoid cyst: Extending the limits of the oral approach. Case Rep. Otolaryngol. 2012, 2012, 634949. [Google Scholar] [CrossRef] [PubMed]
- Di Francesco, A.; Chiapasco, M.; Biglioli, F.; Ancona, D. Intraoral approach to large dermoid cysts of the floor of the mouth: A technical note. Int. J. Oral Maxillofac. Surg. 1995, 24, 233–235. [Google Scholar] [CrossRef] [PubMed]
- Pryor, S.G.; Lewis, J.E.; Weaver, A.L.; Orvidas, L.J. Pediatric dermoid cysts of the head and neck. Otolaryngol. Head Neck Surg. 2005, 132, 938–942. [Google Scholar] [CrossRef] [PubMed]
- Akinosi, J.O. Multiple sublingual dermoid cysts. Br. J. Oral Surg. 1974, 12, 235–239. [Google Scholar] [CrossRef] [PubMed]
- Liu, N.N.; Zhang, X.Y.; Tang, Y.Y.; Wang, Z.M. Two sequential surgeries in infant with multiple floor of the mouth dermoid cysts: A case report. World J. Clin. Cases 2020, 8, 2885–2892. [Google Scholar] [CrossRef] [PubMed]
- Şimşek-Kaya, G.; Özbudak, İ.H.; Kader, D. Coexisting sublingual dermoid cyst and heterotopic gastrointestinal cyst: Case report. J. Clin. Exp. Dent. 2018, 10, e196–e199. [Google Scholar] [PubMed]
- Muratsu, D.; Kawano, S.; Minamizato, T.; Tanaka, A.; Hashiguchi, Y.; Kiyoshima, T.; Shiratsuchi, Y.; Ikebe, T.; Nakamura, S. A large dermoid cyst of sublingual type in the oral floor of a child. Pediatr. Oral Maxillofac. Surg. 2014, 24, 170–174. [Google Scholar]
- Dillon, J.R.; Avillo, A.J.; Nelson, B.L. Dermoid Cyst of the Floor of the Mouth. Head Neck Pathol. 2015, 9, 376–378. [Google Scholar] [CrossRef] [PubMed]






Disclaimer/Publisher’s Note: The statements, opinions and data contained in all publications are solely those of the individual author(s) and contributor(s) and not of MDPI and/or the editor(s). MDPI and/or the editor(s) disclaim responsibility for any injury to people or property resulting from any ideas, methods, instructions or products referred to in the content. |
© 2023 by the authors. Licensee MDPI, Basel, Switzerland. This article is an open access article distributed under the terms and conditions of the Creative Commons Attribution (CC BY) license (https://creativecommons.org/licenses/by/4.0/).
Share and Cite
Hamada, M.; Okawa, R.; Masuda, K.; Tojo, F.; Suehiro, Y.; Ogaya, Y.; Kinosada, H.; Uzawa, N.; Nakano, K. Sublingual Dermoid Cyst in Young Child. Children 2023, 10, 254. https://doi.org/10.3390/children10020254
Hamada M, Okawa R, Masuda K, Tojo F, Suehiro Y, Ogaya Y, Kinosada H, Uzawa N, Nakano K. Sublingual Dermoid Cyst in Young Child. Children. 2023; 10(2):254. https://doi.org/10.3390/children10020254
Chicago/Turabian StyleHamada, Masakazu, Rena Okawa, Katsuhiko Masuda, Fumikazu Tojo, Yuto Suehiro, Yuko Ogaya, Hiroko Kinosada, Narikazu Uzawa, and Kazuhiko Nakano. 2023. "Sublingual Dermoid Cyst in Young Child" Children 10, no. 2: 254. https://doi.org/10.3390/children10020254
APA StyleHamada, M., Okawa, R., Masuda, K., Tojo, F., Suehiro, Y., Ogaya, Y., Kinosada, H., Uzawa, N., & Nakano, K. (2023). Sublingual Dermoid Cyst in Young Child. Children, 10(2), 254. https://doi.org/10.3390/children10020254

